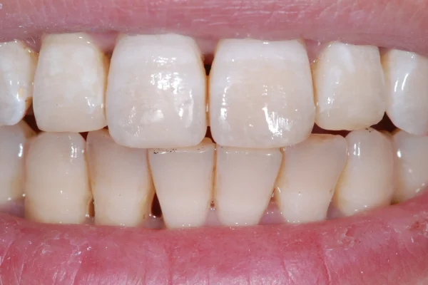
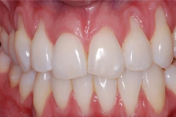
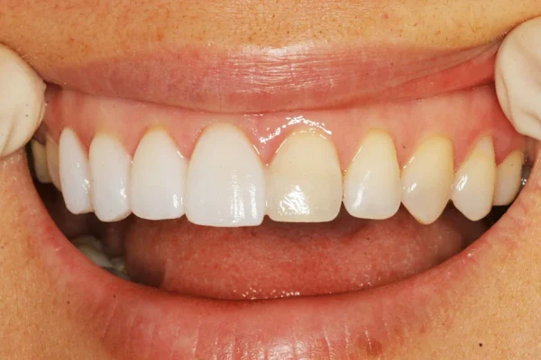
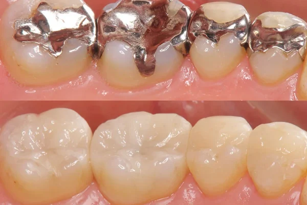
Scegliere Miglior Clinica Dentale in Albania è oggi una delle decisioni più intelligenti per chi cerca cure dentali sicure, moderne e accessibili. Ogni anno migliaia di pazienti italiani scelgono le nostre soluzioni grazie alla combinazione perfetta fra alta qualità odontoiatrica, dentisti qualificati Albania, prezzi competitivi e un’esperienza completa di turismo dentale Albania. La nostra clinica odontoiatrica Albania utilizza tecnologie all’avanguardia, materiali certificati e protocolli di lavoro internazionali per garantire risultati prevedibili, estetici e duraturi. Se stai cercando una soluzione professionale, rapida e conveniente per i tuoi denti, sei nel posto giusto.











































