[rank_math_breadcrumb]

Aumento cresta ossea(Costi, Tecniche e Tempi di Guarigione)

Cos’è la aumento cresta ossea e quando è necessaria? La aumento cresta ossea è una procedura chirurgica mirata a ricostruire il volume osseo perso a causa di edentulia, malattie parodontali, traumi o infezioni. L’osso mascellare e mandibolare può…

Picture of Geschrieben von Dr. Greta Toska
Geschrieben von Dr. Greta Toska

Wissenschaftlich geprüft vom Dentalteam

Bester Preis in Albanien für [geoip_detect2 property=”city” format=”%name%”] [geoip_detect2_current_flag]

Table of Contents of Aumento cresta ossea(Costi, Tecniche e Tempi di Guarigione)

Cos’è la aumento cresta ossea e quando è necessaria?

La aumento cresta ossea è una procedura chirurgica mirata a ricostruire il volume osseo perso a causa di edentulia, malattie parodontali, traumi o infezioni. L’osso mascellare e mandibolare può subire un processo di riassorbimento osseo quando viene a mancare la stimolazione meccanica data dalla presenza dei denti naturali. In questi casi, il volume osseo si riduce in altezza e spessore, compromettendo la possibilità di posizionare correttamente un impianto dentale.

Quando si rende necessario un innesto osseo 

L’innesto osseo si rende indispensabile quando l’osso residuo non è sufficiente a garantire la stabilità di un impianto.

 

È indicato nei casi di grave atrofia ossea, fratture della cresta alveolare, o in seguito a estrazioni traumatiche o tardive.

 

Spesso viene eseguito prima o contemporaneamente all’inserimento dell’impianto, soprattutto se si vuole garantire un carico protesico ottimale e a lungo termine.

 

Cause principali del riassorbimento osseo: edentulia, parodontite, traumi 

Edentulia prolungata: la mancanza di un dente per mesi o anni comporta la perdita graduale del supporto osseo.

 

Parodontite avanzata: l’infiammazione cronica delle gengive può distruggere l’osso alveolare che sostiene i denti.

 

Traumi dentali o chirurgici possono danneggiare direttamente l’osso o comprometterne la vascolarizzazione, causando riassorbimento.

 

Differenza tra rigenerazione ossea e ricostruzione ossea dentale 

  • Sebbene i due termini siano spesso usati come sinonimi, in ambito clinico si fa una sottile distinzione. 
    • Rigenerazione ossea: implica l’uso di tecniche biologicamente guidate per stimolare la formazione di nuovo osso (es. GBR). 
    • Ricostruzione ossea: include anche tecniche più invasive come l’innesto a blocco, o interventi con l’utilizzo di griglie in titanio o lamine corticali, specialmente nei casi di atrofia avanzata. 

In sintesi, la rigenerazione ossea dentale è fondamentale per garantire il successo implantare, migliorare l’estetica del sorriso e ripristinare la funzione masticatoria. Grazie all’evoluzione delle tecniche e dei biomateriali, oggi è possibile ottenere risultati prevedibili anche in pazienti con gravi deficit ossei.

Quali sono le tecniche più utilizzate per la rigenerazione dell’osso dentale? 

La rigenerazione dell’osso dentale può essere effettuata attraverso diverse tecniche chirurgiche, ognuna con indicazioni specifiche in base alla gravità del riassorbimento osseo, alla zona interessata (mascella o mandibola), e agli obiettivi del trattamento. Le tecniche più diffuse includono la rigenerazione ossea guidata (GBR), innesti a blocco (autologhi o xenogenici) e metodiche innovative come la tecnica “Bone into Bone”.

Cosa significa rigenerazione ossea guidata (GBR)? 

È una delle tecniche più comuni e documentate per la rigenerazione ossea.

 

Prevede l’impiego di membrane riassorbibili (in collagene) o non riassorbibili (es. PTFE o dPTFE) per isolare il sito osseo dal tessuto gengivale.

 

Le membrane impediscono ai tessuti molli di invadere l’area rigenerativa, consentendo alle cellule ossee di colonizzare la zona in modo ottimale.

 

Si abbina quasi sempre all’utilizzo di sostituti ossei (osso bovino deproteinizzato, osso autologo, materiali sintetici) per aumentare il volume e guidare la formazione del nuovo osso.

 

Indicato per difetti ossei localizzati e contenitivi.

 

Cos’è l’innesto a blocco osseo autologo o eterologo? 

Utilizzato nei casi di atrofia ossea verticale o orizzontale severa.

 

L’osso autologo (prelevato dal mento, cresta iliaca o ramo mandibolare) è considerato il gold standard per via della sua vitalità e capacità rigenerativa.

 

Gli innesti eterologhi, come i blocchi ossei xenogenici collagenati (CXBB), offrono un’alternativa meno invasiva e con minore morbilità per il paziente.

 

I blocchi vengono fissati alla cresta ossea con viti in titanio, spesso seguiti da membrane per proteggerli e favorire la rigenerazione.

 

Cos’è la tecnica “Bone into Bone”? 

Una tecnica rigenerativa minimamente invasiva, utile in casi di atrofia ossea orizzontale.

 

Prevede l’inserimento di lamine corticali in fessure chirurgiche realizzate lungo il margine osseo del difetto.

 

Le lamine formano una “scaffolding” naturale che mantiene lo spazio per l’osso nuovo, riducendo l’uso di viti o membrane.

 

Spesso viene riempita con una miscela di osso autologo e osso suino deproteinizzato, per ottenere un impianto solido e ben integrato.

 

Riduce i tempi di guarigione e semplifica la chirurgia.

 

Le tecniche descritte rappresentano il cuore della moderna chirurgia ossea ricostruttiva, ognuna con i propri vantaggi e limiti. La scelta della procedura più adatta dipende da variabili cliniche, anatomiche e dal grado di riassorbimento della cresta alveolare.

Quanto tempo ci vuole per guarire dopo un innesto osseo dentale? 

La guarigione dopo un innesto osseo dentale è un processo che varia in base a diversi fattori, tra cui la tecnica utilizzata, il tipo di materiale impiegato, l’estensione del difetto da rigenerare e le condizioni generali di salute del paziente. Comprendere i tempi medi e le fasi della guarigione è fondamentale per pianificare in modo corretto l’inserimento degli impianti dentali e garantire un risultato duraturo e sicuro.

Tempi medi di guarigione: 4–6 mesi

Generalmente, i tempi standard di guarigione per un innesto osseo si aggirano tra i 4 e i 6 mesi.

 

In casi di rigenerazioni ossee maggiori o di atrofie severe, può essere necessario attendere anche 8-9 mesi, soprattutto se vengono impiegate griglie in titanio o blocchi ossei strutturali.

 

Nei casi più favorevoli, come quelli con piccoli difetti contenitivi trattati con GBR e osso particolato, l’integrazione può avvenire anche in soli 3-4 mesi.

 

Fattori che influenzano i tempi: estensione del difetto, materiali utilizzati

Estensione del difetto osseo: più il difetto è ampio e complesso, più lunga sarà la guarigione.

 

Tipo di materiale utilizzato: l’osso autologo si integra più velocemente, mentre materiali xenogenici come il DBBM hanno tempi più lenti di riassorbimento e sostituzione con osso neoformato.

 

Tecnica chirurgica impiegata: tecniche mini-invasive come la “Bone into Bone” o l’uso di membrane riassorbibili possono accelerare i tempi.

 

Salute del paziente: abitudini come il fumo, patologie sistemiche (es. diabete) e scarsa igiene orale possono rallentare il processo di guarigione.

 

Quando è possibile posizionare l’impianto dopo l’innesto

L’impianto dentale può essere inserito dopo la completa osteointegrazione dell’innesto, in media dopo 5-6 mesi.

 

In alcuni casi selezionati è possibile il carico immediato o differito precoce, purché siano presenti segni clinici e strumentali (es. ISQ > 60) che confermino la stabilità primaria dell’osso rigenerato.

 

Nei grandi aumenti verticali, il posizionamento dell’impianto può richiedere un tempo più lungo, fino a 10 mesi.

 

Il ruolo del carico precoce nella guarigione

Studi recenti mostrano che un carico protesico anticipato, quando eseguito su impianti stabili, può favorire la maturazione dell’osso e migliorare la qualità del tessuto neoformato.

 

È fondamentale, però, che il carico venga distribuito in modo bilanciato e progressivo, evitando stress eccessivi durante la fase iniziale della guarigione.

 

Qual è la differenza tra rigenerazione ossea verticale e orizzontale? 

La rigenerazione ossea dentale può essere classificata in verticale e orizzontale, in base alla direzione dell’aumento di volume necessario per permettere il posizionamento ottimale degli impianti. Comprendere le differenze tra queste due tecniche è fondamentale per stabilire il piano chirurgico più adatto in caso di atrofie ossee.

Quando serve l’aumento verticale: difetti gravi e altezze insufficienti 

L’aumento verticale si rende necessario quando l’altezza dell’osso è insufficiente per l’inserimento di impianti con lunghezza adeguata.

 

Questa condizione si verifica spesso nei settori posteriori mandibolari o nel mascellare superiore dopo lunghi periodi di edentulia.

 

L’aumento verticale è indicato in presenza di riassorbimenti ossei gravi, con riduzione della distanza tra cresta e strutture anatomiche critiche, come il nervo alveolare inferiore o il seno mascellare.

 

Le tecniche utilizzate includono innesti a blocco autologo, membrane in titanio (come Yxoss CBR®), e griglie modellate tridimensionalmente, spesso associate a fattori di crescita (PDGF, PRF).

 

Tecniche per aumento orizzontale: split-crest, espansione, innesti laterali 

L’aumento orizzontale è indicato quando la larghezza della cresta ossea non è sufficiente a contenere l’impianto in sicurezza.

 

La tecnica split-crest consente di espandere la cresta ossea creando una fessura mediana e spostando le corticali laterali.

 

Si possono usare espansori manuali, strumenti piezoelettrici o strumentazione sonica per facilitare l’espansione e ridurre il trauma chirurgico.

 

In alternativa, è possibile utilizzare innesti laterali con osso particolato o blocchi fissati con viti, coperti da membrane in collagene o in PTFE.

 

L’aumento orizzontale può essere effettuato contestualmente al posizionamento implantare, se le condizioni lo permettono.

 

Uso di griglie in titanio personalizzate (Yxoss CBR®) 

Le griglie in titanio personalizzate tramite tecnologia CAD/CAM (es. Yxoss CBR®) sono un’innovazione nella rigenerazione ossea, soprattutto per difetti complessi.

 

Consentono di modellare perfettamente la forma desiderata del nuovo volume osseo, migliorando la precisione chirurgica.

 

Offrono un’elevata stabilità dell’innesto, mantenendo lo spazio necessario per la rigenerazione e riducendo il rischio di collasso dei tessuti.

 

Sono indicate sia per aumenti verticali che orizzontali, soprattutto quando si richiede un’architettura tridimensionale precisa.

 

Quali materiali si usano per la rigenerazione ossea dentale?

La scelta dei materiali nella rigenerazione ossea dentale è cruciale per il successo dell’intervento. Ogni materiale ha specifiche proprietà biologiche e meccaniche che lo rendono più o meno adatto in base al tipo di difetto da trattare, alla tecnica chirurgica adottata e alle condizioni cliniche del paziente. I principali materiali utilizzati sono: osso autologo, osso eterologo (come l’osso bovino deproteinizzato), membrane protettive e fattori di crescita.

Osso autologo: vantaggi e svantaggi 

L’osso autologo, cioè prelevato dallo stesso paziente (da sedi intraorali come mento, branca mandibolare o tuberosità mascellare, oppure da sedi extraorali come cresta iliaca), è considerato il gold standard nella rigenerazione ossea.

 

Offre elevato potenziale osteogenico, osteoinduttivo e osteoconduttivo, favorendo la formazione di nuovo osso vivo.

 

Tra i principali vantaggi: alta predicibilità, integrazione rapida e assenza di rischio di rigetto immunologico.

 

Gli svantaggi includono: morbilità del sito donatore, rischio di dolore post-operatorio e quantità limitata disponibile, soprattutto nei prelievi intraorali.

 

Osso bovino deproteinizzato (DBBM): ruolo e benefici 

Il DBBM (deproteinized bovine bone mineral) è uno dei materiali eterologhi più utilizzati, apprezzato per la sua lunga stabilità volumetrica.

 

Deriva da osso bovino trattato per eliminare la componente organica e prevenire qualsiasi rischio infettivo.

 

Ha un’azione principalmente osteoconduttiva, fungendo da impalcatura per la crescita dell’osso del paziente.

 

Ideale per interventi GBR e innesti in creste con riassorbimento orizzontale o difetti contenitivi.

 

Membrane: collagene, PTFE, dPTFE 

Le membrane riassorbibili in collagene sono usate per delimitare l’area di rigenerazione e impedire l’invasione dei tessuti molli nel sito osseo.

 

Le membrane non riassorbibili in PTFE o dPTFE offrono un maggiore controllo dello spazio, ma richiedono una seconda chirurgia per la rimozione.

 

Le membrane rinforzate in titanio o le griglie tridimensionali come Yxoss CBR® offrono una soluzione ideale per i difetti complessi o verticali, grazie alla loro rigidità e adattabilità.

 

Fattori di crescita: PRF e PDGF 

Il PRF (Platelet Rich Fibrin) è ottenuto dal sangue del paziente mediante centrifugazione e contiene fattori di crescita che accelerano la guarigione dei tessuti molli e duri.

 

Il PDGF (Platelet-Derived Growth Factor) stimola la proliferazione cellulare e la formazione ossea, ed è spesso utilizzato in combinazione con materiali da innesto per potenziarne l’efficacia.

 

L’utilizzo di questi biomodulatori biologici è in costante crescita, soprattutto nei casi in cui si desidera ridurre i tempi di guarigione.

 

Quanto costa una rigenerazione ossea dentale? 

Il costo di una rigenerazione ossea dentale può variare notevolmente a seconda di diversi fattori, come la complessità del caso, il tipo di materiale utilizzato, la tecnica chirurgica adottata e il paese in cui viene effettuato l’intervento. Capire queste variabili è essenziale per orientare correttamente i pazienti nella scelta del trattamento.

Fasce di prezzo medie in Italia e all’estero 

In Italia, il costo medio di una rigenerazione ossea dentale semplice parte da circa 600€ e può arrivare a 1.500–2.000€ per interventi complessi o combinati a impianti.

 

In paesi come l’Albania, la Turchia o la Croazia, i prezzi possono essere più bassi, con tariffe tra i 300€ e gli 800€, attrattive per chi cerca soluzioni nel contesto del turismo dentale.

 

In paesi come Germania, Regno Unito o Stati Uniti, il costo può essere molto più elevato, con tariffe che superano facilmente i 2.000–3.000€, specialmente se si usano materiali innovativi o tecniche avanzate.

 

Cosa include il costo: visita, materiale, chirurgia, follow-up 

La maggior parte dei preventivi include:

 

Visita specialistica iniziale con ortopanoramica o CBCT.

 

Materiali da innesto osseo (autologo, bovino, sintetico).

 

Membrane protettive e materiali di supporto (viti, griglie, PRF, ecc.).

 

Intervento chirurgico in anestesia locale.

 

Controlli post-operatori e rimozione delle suture.

 

In alcuni casi, sono compresi anche gli esami del sangue e la sedazione cosciente, se necessaria.

 

Differenze tra rigenerazione ossea semplice e aumento esteso 

Una rigenerazione ossea semplice, come un piccolo riempimento post-estrattivo o un mini-rialzo del seno, ha costi contenuti e tempi ridotti.

 

Un aumento di cresta orizzontale o verticale complesso, invece, richiede spesso più materiali, l’uso di griglie o membrane non riassorbibili e un secondo intervento per la rimozione o il posizionamento dell’impianto, aumentando significativamente il costo complessivo.

 

Possibilità di copertura tramite assicurazione o SSN 

In genere, la rigenerazione ossea dentale è considerata un trattamento privato, e non è coperta dal Servizio Sanitario Nazionale (SSN), salvo rare eccezioni in ambito ospedaliero o in caso di gravi traumi o malformazioni.

 

Alcune assicurazioni dentali private possono coprire parte del costo dell’intervento, ma è sempre consigliato verificare i dettagli del proprio piano assicurativo.

 

Per i pazienti che non possono permettersi il costo iniziale, molti studi dentistici offrono la possibilità di pagamento rateale.

Rigenerazione ossea dentale: è dolorosa? 

Una delle domande più comuni tra i pazienti che si sottopongono a un intervento di rigenerazione ossea dentale riguarda il dolore associato alla procedura. Sebbene si tratti di un atto chirurgico vero e proprio, oggi le tecniche moderne e l’utilizzo di anestetici locali e post-operatori mirati permettono di ridurre al minimo il disagio percepito.

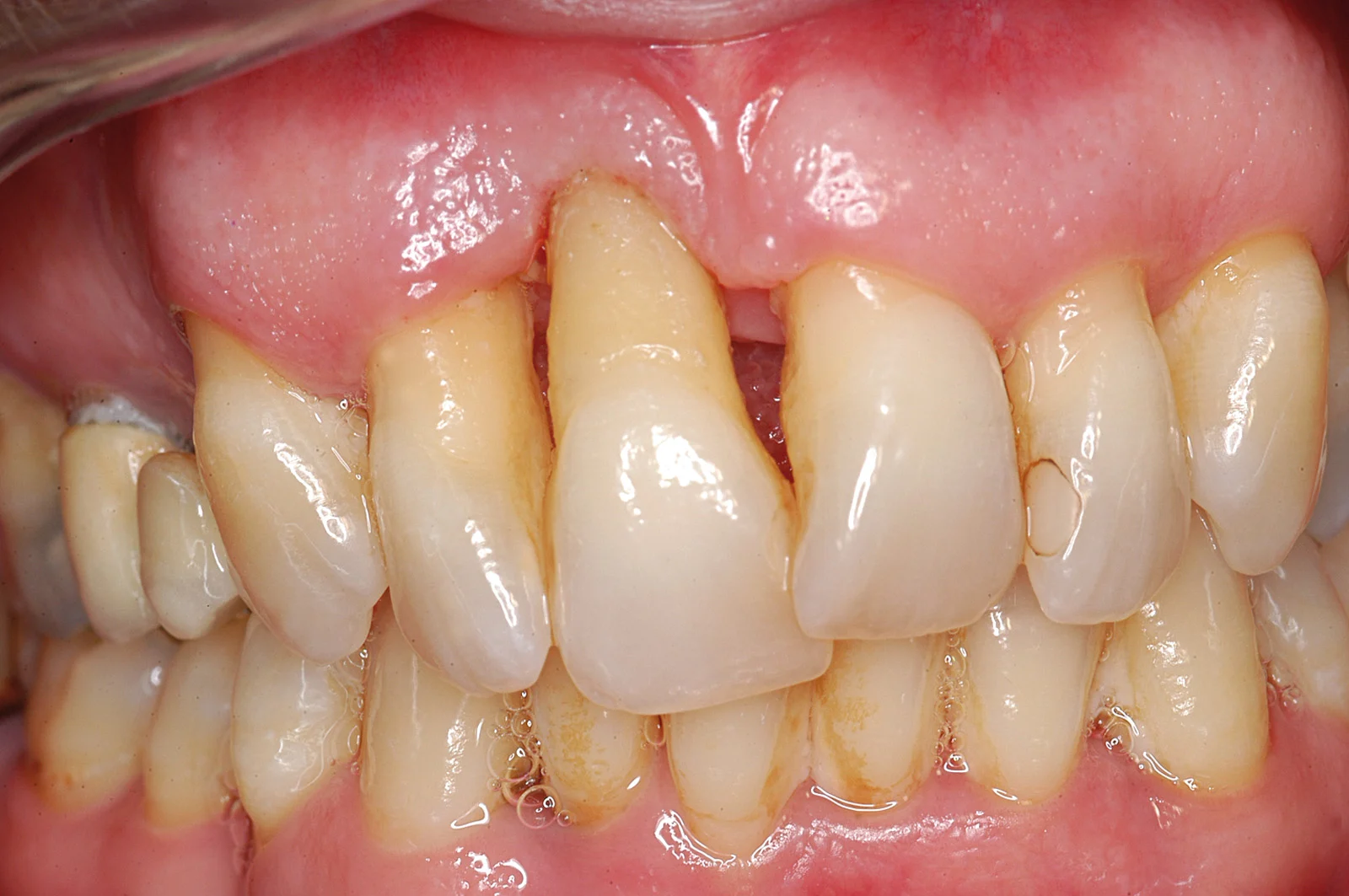
Sensazioni post-operatorie comuni: dolore lieve, gonfiore 

Dopo l’intervento, è normale avvertire una sensazione di fastidio o lieve dolore, simile a quello post-estrazione dentale.

 

Il gonfiore locale nella zona trattata è frequente e tende a raggiungere il picco entro 48–72 ore dall’intervento, per poi ridursi gradualmente.

 

Alcuni pazienti riferiscono una leggera limitazione nei movimenti della bocca o difficoltà nella masticazione nei primi giorni successivi.

 

Come gestire il dolore dopo l’intervento 

Il dolore può essere gestito efficacemente con farmaci antinfiammatori non steroidei (FANS) come l’ibuprofene, o su prescrizione, con analgesici più forti nei casi di interventi estesi.

 

Applicazioni di ghiaccio esterno nelle prime 24 ore aiutano a ridurre sia il gonfiore che la sensazione di dolore.

 

Una corretta igiene orale è fondamentale per evitare infezioni e quindi ulteriore dolore. I dentisti forniscono specifiche istruzioni su come pulire la zona senza compromettere la guarigione.

 

Si raccomanda una dieta morbida e fredda nei primi giorni (yogurt, puree, gelati, ecc.).

 

Quando preoccuparsi: segni di infezione o fallimento 

Se il dolore persiste oltre 5–7 giorni, aumenta invece di diminuire, o è associato a febbre, pus, alitosi persistente o mobilità dell’innesto, è importante contattare immediatamente il proprio dentista.

 

Questi possono essere segni di infezione o di fallimento dell’innesto osseo.

 

Anche il sanguinamento eccessivo o la rottura della sutura devono essere segnalati prontamente.

 

Ruolo degli antibiotici e collutori antisettici nel recupero 

Per prevenire infezioni, nella maggior parte dei casi vengono prescritti antibiotici a largo spettro, da assumere prima e dopo l’intervento per un periodo che varia da 5 a 7 giorni.

 

Viene spesso consigliato anche l’uso di collutori antisettici a base di clorexidina allo 0,2%, da usare per circa 7–10 giorni dopo la chirurgia.

 

Evitare il fumo e l’uso di alcol è fortemente raccomandato per favorire la guarigione e ridurre il rischio di infezioni.

 

Quali sono i rischi e le complicanze di una ricostruzione ossea dentale? 

Nonostante la rigenerazione ossea dentale sia una procedura ampiamente collaudata e generalmente sicura, come ogni intervento chirurgico può comportare rischi e complicanze. Conoscere queste eventualità consente al paziente di affrontare il percorso terapeutico con maggiore consapevolezza e al professionista di attuare tutte le precauzioni necessarie.

Possibili complicanze: esposizione della membrana, rigetto dell’innesto 

Una delle complicanze più comuni è l’esposizione della membrana utilizzata nella tecnica GBR (Guided Bone Regeneration). Questo accade quando i lembi gengivali non riescono a coprire adeguatamente la membrana durante la fase di guarigione, aumentando il rischio di infezione.

 

Nei casi in cui si utilizzano materiali eterologhi o sintetici, può avvenire un rigetto dell’innesto, anche se è un evento raro. Questo porta alla necessità di rimuovere il materiale e ripetere eventualmente la procedura.

 

Deiscenze dei lembi chirurgici, ovvero apertura dei punti di sutura, possono compromettere l’integrità del sito rigenerato.

 

Rischio di insuccesso e come prevenirlo 

Il fallimento dell’innesto può avvenire per diversi motivi, tra cui una scarsa vascolarizzazione del sito, movimenti eccessivi della zona chirurgica o carico precoce non pianificato.

 

La prevenzione si basa su una pianificazione chirurgica accurata, un’adeguata copertura mucosa, la scelta dei materiali più idonei al caso specifico e la scrupolosa esecuzione dell’intervento.

 

Un altro aspetto cruciale è la comunicazione preoperatoria con il paziente, al fine di condividere istruzioni post-operatorie da seguire alla lettera.

 

Importanza della sterilità e tecnica chirurgica corretta 

La sterilità del campo operatorio è essenziale per ridurre il rischio di contaminazione batterica durante l’intervento.

 

L’uso di strumentazione sterile, guanti e teli chirurgici monouso, oltre a una sala idonea, minimizzano drasticamente il rischio infettivo.

 

La precisione chirurgica e la corretta gestione dei tessuti molli sono fondamentali per un risultato rigenerativo stabile nel tempo.

 

Fattori di rischio: fumo, diabete, scarsa igiene orale 

Il fumo è uno dei principali fattori di rischio per il fallimento dell’innesto osseo, poiché riduce l’apporto sanguigno alla gengiva e rallenta la guarigione.

 

Il diabete non controllato compromette i processi di rigenerazione tissutale e aumenta l’incidenza di infezioni post-operatorie.

 

Una scarsa igiene orale durante il periodo post-operatorio facilita l’accumulo di placca e batteri, potenzialmente dannosi per il sito chirurgico.

 

Altri fattori possono includere uso cronico di farmaci immunosoppressori, patologie autoimmuni, parodontite attiva e mancanza di follow-up regolare.

Quali alternative esistono se non si può eseguire un innesto osseo? 

Non tutti i pazienti sono candidati ideali per una rigenerazione ossea dentale. Esistono condizioni cliniche o sistemiche che rendono rischiosa o inefficace la procedura, come un riassorbimento osseo troppo avanzato, patologie croniche, o fattori economici e logistici. In questi casi, è fondamentale valutare soluzioni alternative per poter procedere comunque con una riabilitazione funzionale ed estetica.

Impianti zigomatici 

Gli impianti zigomatici rappresentano una valida alternativa alla rigenerazione ossea nei casi di grave atrofia del mascellare superiore.

 

Si ancorano direttamente all’osso zigomatico (lo zigomo), che ha una densità e volume osseo maggiore rispetto alla cresta alveolare atrofica.

 

Questa tecnica evita l’uso di innesti ossei e permette una riabilitazione protesica anche nei pazienti con osso residuo minimo, riducendo i tempi complessivi del trattamento.

 

È una procedura complessa, eseguita solo da chirurghi esperti in implantologia avanzata.

 

Protesi su impianti in posizione diversa 

Quando non è possibile ricostruire l’area ossea compromessa, si può optare per il posizionamento di impianti in zone con sufficiente osso naturale.

 

Ad esempio, nel mascellare superiore si possono utilizzare le regioni anteriori, che spesso mantengono un buon volume osseo, evitando così la necessità di un innesto.

 

Le protesi possono poi essere costruite in modo da distribuire correttamente le forze masticatorie, anche in assenza di impianti posteriori.

 

Terapie conservative o rigenerazione parodontale 

Nei casi in cui la perdita ossea sia parziale e legata a malattia parodontale, si può optare per una terapia rigenerativa parodontale.

 

Questa tecnica prevede l’utilizzo di membrane e biomateriali per rigenerare osso e tessuti di supporto dei denti naturali, evitando per il momento l’utilizzo di impianti.

 

In altri casi, si può decidere di stabilizzare i denti residui e posticipare un intervento implantare.

 

Soluzioni temporanee o non chirurgiche 

Se il paziente non desidera sottoporsi a chirurgia, si può optare per protesi rimovibili parziali o totali, eventualmente stabilizzate con mini-impianti.

 

Sono una soluzione meno invasiva, più economica e con tempi di realizzazione ridotti.

 

Alcuni pazienti scelgono questa via in attesa di un miglioramento delle condizioni cliniche o economiche che permetta un futuro trattamento implantare.

 

Come capire se un innesto osseo dentale è andato a buon fine? 

Il successo di un innesto osseo dentale è fondamentale per la futura stabilità degli impianti. Ma come può un paziente – o anche il professionista – valutare se l’innesto si è integrato correttamente? Esistono diversi indicatori clinici e strumenti diagnostici per monitorare l’esito della rigenerazione ossea.

Indicatori clinici e radiografici 

Uno dei primi segnali di successo è l’assenza di dolore persistente, gonfiore o infezioni localizzate nelle settimane successive all’intervento.

 

La stabilità della zona trattata è un altro indicatore positivo: se il sito appare fermo e non mobile al tatto, è un buon segno.

 

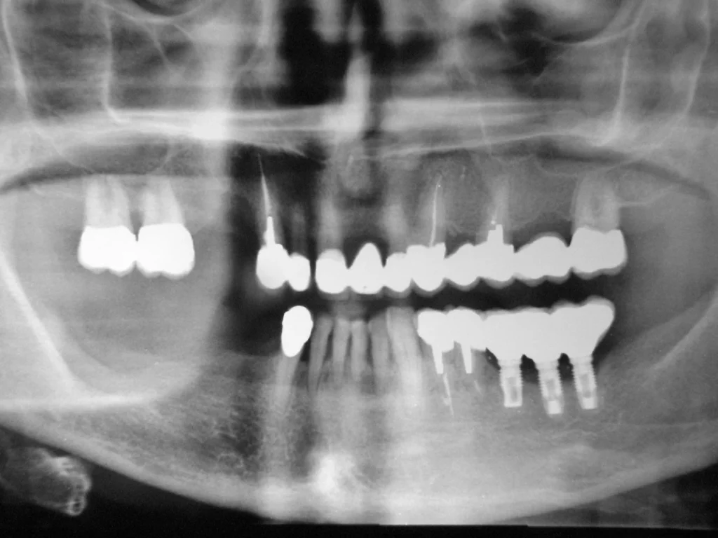
Le radiografie endorali e panoramiche post-operatorie permettono di visualizzare la quantità di osso neoformato, confrontandolo con immagini pre-operatorie.

 

Le CBCT (Tomografie computerizzate a fascio conico) sono spesso impiegate per un’analisi tridimensionale più precisa del volume osseo rigenerato.

 

Analisi della frequenza di risonanza (ISQ) 

Una delle tecniche più affidabili per verificare l’esito di un innesto e la stabilità dell’impianto è la misurazione dell’ISQ (Implant Stability Quotient).

 

Questo valore viene rilevato con strumenti elettronici (come Osstell®) e fornisce un’indicazione numerica della stabilità implantare.

 

Valori superiori a 60 ISQ sono generalmente considerati sicuri per procedere al carico protesico, ma anche valori tra 55 e 60 possono essere accettabili in base al caso clinico.

 

Tempi e fasi di controllo dopo l’intervento 

Dopo un innesto osseo, i controlli si svolgono generalmente a 7-10 giorni, 30 giorni, 3 mesi, e 6 mesi dall’intervento.

 

Nei primi controlli si valuta la guarigione dei tessuti molli, mentre nei successivi si monitorano segni di integrazione ossea.

 

È fondamentale che il paziente rispetti il programma di follow-up e mantenga un’ottima igiene orale.

 

Quando fare il secondo accesso chirurgico 

Il secondo accesso chirurgico viene effettuato per verificare direttamente la qualità dell’osso rigenerato e posizionare gli impianti.

 

Questa fase avviene solitamente tra 4 e 6 mesi dopo l’innesto, ma può variare a seconda della tecnica utilizzata e della risposta individuale del paziente.

 

Durante l’intervento si osserva visivamente e si sonda l’osso rigenerato: se appare duro, ben vascolarizzato e privo di mobilità, si può procedere all’inserimento implantare.

 

Domande frequenti su Rigenerazione ossea dentale 

Quanto costa la rigenerazione ossea dentale? 

Il costo della rigenerazione ossea dentale può variare in modo significativo a seconda di diversi fattori: tipo di intervento, materiali utilizzati, tecnica chirurgica e posizione geografica della clinica.

 

In Italia, i prezzi medi oscillano tra 600 € e 2.500 € a seconda della complessità: una rigenerazione ossea semplice con GBR può costare intorno ai 700–900 €, mentre un aumento di cresta con innesto a blocco può superare i 2.000 €.

 

Le cliniche all’estero, come in Albania o in alcuni Paesi dell’Est Europa, offrono tariffe più competitive, spesso comprese tra 400 € e 1.500 €, pur mantenendo standard elevati.

 

Il prezzo include generalmente: visita pre-operatoria, radiografie, materiali da innesto, chirurgia, controlli post-operatori, eventuali medicazioni, e in alcuni casi anche la rimozione di viti o griglie.

 

Alcune assicurazioni sanitarie private o integrative possono coprire parzialmente l’intervento, ma il Servizio Sanitario Nazionale (SSN) lo rimborsa solo in casi molto specifici (es. pazienti oncologici o con grave trauma maxillo-facciale).

 

È consigliabile richiedere sempre un preventivo dettagliato, che specifichi i materiali usati (autologo, xenogenico, membrane, PRF, ecc.) e le tecnologie adottate (CBCT, ISQ, piezochirurgia…).

 

Quanto dura un innesto osseo dentale? 

I tempi di permanenza di un innesto osseo non sono infiniti, poiché l’obiettivo è l’integrazione biologica con l’osso naturale del paziente.

 

La durata effettiva si riferisce al tempo di guarigione e maturazione ossea, che solitamente è di 4-6 mesi nei casi di GBR semplice, e fino a 9-12 mesi nei casi complessi con blocchi o griglie in titanio.

 

Dopo il periodo iniziale, l’osso innestato viene progressivamente rimodellato dal corpo, diventando parte integrante dell’osso mascellare o mandibolare.

 

Se ben integrato, l’osso rigenerato ha una stabilità a lungo termine comparabile a quello nativo e può supportare impianti per decenni, se mantenuto con una buona igiene e controlli regolari.

 

I fattori che influenzano la durata dell’innesto sono: tipo di materiale (autologo vs biomateriale), condizioni di salute del paziente (fumo, diabete), complicanze post-operatorie, e carico masticatorio precoce o eccessivo.

 

Un innesto che non si integra può andare incontro a riassorbimento parziale o totale, richiedendo un nuovo intervento correttivo. Tuttavia, con tecniche moderne e corretta pianificazione, il successo supera il 90% dei casi.