Table of Contents
ToggleCosa Sono Le Protesi Dentarie Mobili Senza Palato E Quando Si Usano?

Le protesi dentarie mobili senza palato sono dispositivi innovativi progettati per sostituire i denti mancanti senza l’invasiva presenza del palato artificiale, che solitamente caratterizza le tradizionali dentiere. Questo tipo di protesi è particolarmente indicato per chi ha difficoltà a tollerare il palato delle dentiere tradizionali, poiché permette una maggiore sensazione di naturalezza e comfort.
Queste protesi mobili sono spesso scelte da chi ha intolleranza al palato artificiale o soffre di riflesso del vomito quando porta una dentiera convenzionale. A differenza delle dentiere complete, le protesi mobili senza palato non coprono l’intero palato, offrendo così una maggiore libertà nel movimento della lingua e un minor rischio di fastidi durante la masticazione e la fonazione.
Benefici funzionali:
- Comfort: Le protesi senza palato sono più leggere e meno ingombranti rispetto alle dentiere tradizionali, riducendo la sensazione di oggetto estraneo in bocca.
- Leggerezza: Queste protesi sono meno pesanti rispetto alle dentiere tradizionali, il che le rende più comode durante l’uso quotidiano.
- Assenza del palato artificiale: La mancanza del palato artificiale riduce la sensazione di “copertura” nella bocca, rendendo l’esperienza più naturale.
Indicazioni cliniche più frequenti:
- Intolleranza al palato: Alcuni pazienti non sopportano la copertura del palato delle dentiere tradizionali. Le protesi senza palato offrono una soluzione più comoda.
- Riflesso del vomito: Molti pazienti che hanno un riflesso del vomito accentuato a causa della copertura del palato nelle dentiere troveranno sollievo con queste protesi.
- Problemi fonetici: Poiché non coprono il palato, le protesi senza palato migliorano la pronuncia, riducendo le difficoltà fonetiche comuni con le dentiere tradizionali.
Le protesi mobili senza palato sono una scelta sempre più popolare grazie ai loro numerosi vantaggi funzionali e al comfort che offrono rispetto alle soluzioni convenzionali. Se soffri di difficoltà nel portare una dentiera tradizionale, questa potrebbe essere la soluzione giusta per te.
Quali Tipi Di Protesi Dentarie Mobili Senza Palato Esistono?
Le protesi dentarie mobili senza palato si presentano in diverse varianti, ognuna adatta a specifiche esigenze cliniche e preferenze personali. Queste soluzioni consentono una maggiore libertà e comfort rispetto alle dentiere tradizionali, ma esistono opzioni che si differenziano per il supporto e la tecnologia utilizzata.
Esistono Protesi Senza Palato Con O Senza Impianti?
Le protesi mobili senza palato possono essere realizzate sia con impianti che senza impianti, a seconda delle necessità del paziente e delle condizioni cliniche specifiche.
- Protesi mobili senza impianti:
- Overdenture su impianti vs protesi tradizionali senza ancoraggio: Le overdenture su impianti sono protesi che si ancorano agli impianti dentali inseriti nell’osso. Queste soluzioni garantiscono una maggiore stabilità rispetto alle protesi tradizionali senza impianti. Tuttavia, le protesi senza impianti possono essere una scelta più economica e meno invasiva, pur presentando alcune limitazioni in termini di stabilità.
- Quando si può usare una protesi mobile senza impianti: Le protesi senza impianti possono essere utilizzate nei casi in cui i pazienti non abbiano sufficiente osso per supportare gli impianti, oppure preferiscano evitare interventi chirurgici invasivi.
- Stabilità e limiti delle soluzioni senza impianti: Sebbene le protesi senza impianti siano più semplici da applicare e meno costose, possono non offrire la stessa stabilità a lungo termine delle soluzioni con impianti. Il rischio di slittamento durante la masticazione o la pronuncia è maggiore, e potrebbe essere necessario l’uso di adesivi o paste speciali per mantenere la protesi in posizione.
- Protesi mobili con impianti:
- Vantaggi degli impianti: Quando si utilizzano impianti dentali, la protesi mobile acquista una maggiore stabilità e durata. Gli impianti permettono di fissare la protesi in modo permanente, evitando l’uso di adesivi o colle. Questo tipo di soluzione è particolarmente indicato per i pazienti con problemi di resistenza e stabilità delle protesi senza supporto impiantare.
- Differenze principali: Le protesi mobili con impianti offrono una maggiore sicurezza, stabilità e confort, specialmente nelle situazioni in cui l’osso mascellare è sufficientemente sano da supportare gli impianti.
Cosa Si Intende Per Scheletrato Superiore Senza Palato?
Lo scheletrato superiore senza palato è una soluzione che combina la funzionalità di una protesi mobile con il comfort di non avere il palato artificiale. Questa tipologia di protesi è spesso utilizzata nei casi in cui il paziente non vuole coprire il palato, ma necessita comunque di una struttura di supporto per i denti.
- Descrizione dello scheletrato: Lo scheletrato è una protesi parziale o completa che si appoggia sulle gengive e sui denti residui. È costituito da una base metallica che fornisce supporto alla protesi, ma senza coprire il palato.
- Perché può essere privo di palato: Lo scheletrato senza palato è adatto a chi preferisce un comfort maggiore rispetto alla tradizionale dentiera, evitando il fastidio causato dalla copertura del palato.
Ruolo dei ganci e degli attacchi in titanio:
- Ganci e attacchi in titanio: Questi sono fondamentali per garantire che la protesi rimanga ben ancorata, senza necessitare di una base che copra il palato. Il titanio è utilizzato per la sua biocompatibilità e resistenza.
- Vantaggi estetici rispetto alle protesi complete: Rispetto alle protesi complete che coprono l’intero palato, gli scheletrati senza palato sono esteticamente più gradevoli, in quanto evitano l’aspetto artificiale della dentiera. Inoltre, sono più facili da pulire e mantenere.
Che Cos’è Una Protesi Fissa Su Impianti E Quando È Più Indicata Della Mobile?
Le protesi fisse su impianti sono una delle soluzioni più stabili ed estetiche per i pazienti che hanno perso uno o più denti. Questa tipologia di protesi è particolarmente indicata per chi cerca una soluzione permanente, simile ai denti naturali, che garantisca funzionalità e comfort senza dover rimuovere la protesi quotidianamente. Ma quali sono le differenze principali rispetto alle protesi mobili e quando è più conveniente optare per una soluzione fissa su impianti?
Differenze Fondamentali Tra Protesi Fissa e Mobile Su Impianti
- Stabilità e comfort:
- Protesi fissa su impianti: La protesi fissa viene ancorata agli impianti dentali che sono inseriti chirurgicamente nell’osso mascellare o mandibolare. Questo garantisce una stabilità ottimale, eliminando il rischio di movimento durante la masticazione o la parola, come accade con le protesi mobili.
- Protesi mobile: Le protesi mobili, invece, sono removibili dal paziente e vengono posizionate sui denti residui o sulle gengive. Nonostante la stabilità offerta dai sistemi con impianti (come gli overdenture), le protesi mobili tendono a muoversi, causando disagi durante l’uso.
- Estetica:
- Protesi fissa: Poiché le protesi fisse sono supportate da impianti che si integrano con l’osso, risultano molto naturali nell’aspetto. Inoltre, grazie ai materiali moderni come la zirconia e la ceramica, è possibile ottenere risultati estetici eccezionali, con denti che imitano perfettamente quelli naturali.
- Protesi mobile: Anche le protesi mobili possono avere un aspetto estetico soddisfacente, ma la loro visibilità (soprattutto nella parte che entra in contatto con il palato o le gengive) può risultare meno naturale rispetto alle soluzioni fisse. Inoltre, il rischio di usura del materiale nel tempo può influenzare l’aspetto.
Indicazioni Per La Scelta: Età Del Paziente, Condizioni Ossee, Abitudini
La scelta tra protesi fissa o mobile su impianti dipende da vari fattori:
- Età del paziente:
- Le protesi fisse su impianti sono particolarmente consigliate per i pazienti più giovani o per quelli che cercano una soluzione a lungo termine.
- Le protesi mobili possono essere più indicate per pazienti anziani o per coloro che non desiderano sottoporsi a un intervento chirurgico invasivo per gli impianti.
- Condizioni ossee:
- Per chi ha una buona densità ossea, la protesi fissa su impianti è la scelta ideale, poiché l’impianto si integra perfettamente nell’osso.
- In caso di perdita ossea significativa, la protesi mobile può essere preferibile, soprattutto se l’osso non è sufficiente per sostenere un impianto.
- Abitudini del paziente:
- Chi desidera una soluzione che richieda pochi interventi di manutenzione e che garantisca una lunga durata, troverà nella protesi fissa su impianti una scelta vantaggiosa.
- Chi preferisce una soluzione più economica e reversibile, potrebbe orientarsi verso la protesi mobile.
Qual È Il Costo Di Una Protesi Dentaria Fissa O Mobile Senza Palato?
Il costo di una protesi dentale fissa o mobile senza palato può variare notevolmente a seconda di diversi fattori, tra cui il tipo di materiale utilizzato, la presenza di impianti, la tecnologia impiegata nella realizzazione e, ovviamente, la clinica o il paese in cui viene eseguito l’intervento. In questa sezione, esploreremo i fattori che influenzano il prezzo delle protesi dentali senza palato, evidenziando le differenze di costo tra le soluzioni fisse e mobili.
Fattori Che Influenzano Il Prezzo: Materiali, Impianti, Tecnologie CAD/CAM
- Materiali utilizzati:
- Protesi fisse senza palato: Le protesi fisse, che includono impianti dentali e corone o ponti in zirconia, ceramica o metallo-ceramica, tendono a essere più costose rispetto alle protesi mobili. La zirconia e la ceramica, essendo materiali altamente estetici e durevoli, contribuiscono ad aumentare il prezzo. Le corone in zirconia, ad esempio, sono particolarmente costose per la loro biocompatibilità e l’aspetto simile ai denti naturali.
- Protesi mobili senza palato: Le protesi mobili tendono ad essere meno costose rispetto alle protesi fisse. Le protesi in resina o metallo resina, comuni nelle soluzioni mobili, sono generalmente più economiche, ma potrebbero non offrire la stessa resistenza estetica delle protesi fisse. Tuttavia, soluzioni più avanzate come l’overdenture (una protesi mobile supportata da impianti) possono costare di più, ma offrono maggiore stabilità rispetto alle dentiere tradizionali.
- Impianti dentali:
- L’aggiunta di impianti dentali al trattamento aumenta significativamente il costo della protesi. Un impianto è composto da una vite in titanio che viene inserita nell’osso mascellare o mandibolare, quindi la sua integrazione è un processo che richiede tempo e risorse chirurgiche specializzate. Gli impianti possono essere necessari sia per le protesi fisse che per le soluzioni mobili avanzate, come gli overdenture, ma non sono richiesti per le dentiere tradizionali senza impianti.
- Tecnologie CAD/CAM:
- L’uso di tecnologie CAD/CAM (Computer-Aided Design/Computer-Aided Manufacturing) per la realizzazione di protesi dentarie, come nel caso delle corone o dei ponti su impianti, contribuisce a migliorare la precisione e la qualità delle protesi. Questi sistemi automatizzati riducono gli errori e il tempo di produzione, ma comportano anche un aumento del costo finale della protesi.
Differenze Di Costo Tra Protesi Fisse E Mobili
- Protesi fisse:
- Il costo di una protesi fissa su impianti può variare notevolmente. In Italia, per esempio, i costi possono oscillare tra €2.000 e €5.000 per singolo impianto, a seconda dei materiali e della tecnica utilizzata (ad esempio, l’All-on-4). Le corone in zirconia o ceramica aggiungono un ulteriore costo, e la cifra finale dipende dalla complessità del trattamento.
- Le protesi fisse senza palato (ad esempio, ponti o corone fisse) senza l’uso di impianti possono essere più economiche, ma comunque più costose rispetto alle protesi mobili.
- Protesi mobili:
- Le protesi mobili senza palato sono generalmente più accessibili, con costi che variano tra €500 e €2.000 a seconda del tipo di materiale e della presenza o meno di impianti. Le dentiere o le protesi mobili senza impianti tendono a essere le soluzioni più economiche per chi desidera una sostituzione parziale o totale dei denti.
- L’uso di impianti nella protesi mobile, come nel caso degli overdenture, aumenta il costo, ma fornisce una stabilità e comfort superiori rispetto alle dentiere tradizionali.
Costi Medi Per Arcata Superiore Con O Senza Impianti
- Arcata superiore senza impianti: Una dentiera superiore senza palato tradizionale, ovvero una protesi mobile, può costare tra €600 e €1.500 in base al tipo di materiale scelto (ad esempio resina o metallo-resina).
- Arcata superiore con impianti: Se la protesi mobile è supportata da impianti (come gli overdenture), i costi aumentano notevolmente, con un range che può andare dai €3.000 ai €7.000 a seconda del numero di impianti e del tipo di materiali scelti per la protesi. Le soluzioni fisse, come le protesi su 4 impianti, hanno un costo decisamente più elevato, ma offrono una stabilità e una durata maggiori.
Che Cos’è Una Protesi A Bottone E Quali Sono I Suoi Vantaggi?
Le protesi a bottone rappresentano una delle soluzioni più innovative nel campo delle protesi dentali mobili, particolarmente apprezzate per la loro facilità di utilizzo, stabilità e comfort. Questo tipo di protesi viene spesso utilizzato per migliorare l’esperienza del paziente con una protesi mobile, che può essere ritenuta più comoda rispetto alle tradizionali dentiere removibili. In questa sezione, esploreremo cos’è una protesi a bottone, come funziona e quali sono i vantaggi rispetto ad altre soluzioni protesiche.
Spiegazione Del Meccanismo “A Click” Con Bottoni Maschio/Femmina
- Meccanismo di attacco “a click”:
- La protesi a bottone è costituita da un meccanismo di ancoraggio che utilizza un sistema a bottoni maschio/femmina. Questo sistema è progettato per fornire una connessione sicura e stabile tra la protesi mobile e gli impianti dentali o i denti naturali rimasti.
- Il “bottone maschio” è fissato sull’impianto o sul dente naturale, mentre il “bottone femmina” si trova all’interno della protesi, e quando viene inserita, i due componenti si uniscono con un semplice “click”. Questo permette al paziente di avere una protesi stabile ma facilmente rimovibile per le operazioni di igiene orale.
- Vantaggi di stabilità:
- Il meccanismo di attacco a bottone consente una maggiore stabilità rispetto ad altre soluzioni mobili. La protesi rimane saldamente fissata durante le attività quotidiane, come masticare, parlare e ridere, evitando che si sposti o scivoli. Inoltre, l’assenza di adesivi per protesi dentarie rende l’esperienza molto più comoda per il paziente, che non dovrà preoccuparsi di riapplicare paste adesive o gel ogni volta che rimuove la protesi.
Comfort, Stabilità E Semplicità Di Igiene Quotidiana
- Comfort migliorato:
- Le protesi a bottone offrono un comfort superiore rispetto alle dentiere tradizionali, poiché non richiedono l’utilizzo di colle adesive e garantiscono un posizionamento stabile. Il sistema a click permette anche un adattamento più preciso alle esigenze individuali del paziente, riducendo il rischio di fastidi legati al movimento della protesi durante la masticazione.
- Semplicità nell’igiene quotidiana:
- Uno dei maggiori vantaggi delle protesi a bottone è la facilità di manutenzione. Poiché la protesi può essere rimossa facilmente, il paziente può pulirla accuratamente ogni giorno senza difficoltà. Inoltre, l’igiene delle gengive e degli impianti è altrettanto semplice, poiché la protesi non interferisce con le normali operazioni di igiene orale.
- Meno rischio di irritazioni:
- Il meccanismo di aggancio riduce il rischio di irritazioni gengivali che spesso si verificano con le dentiere tradizionali, dove l’uso di colle o adesivi può causare un contatto irregolare con le gengive. Inoltre, la stabilità fornita dal sistema a bottone previene la pressione eccessiva su aree specifiche delle gengive, che può causare dolore o disagio.
Quando Si Consiglia Rispetto Ad Altre Soluzioni Mobili
- Adatto a pazienti con una buona salute orale:
- Le protesi a bottone sono particolarmente consigliate a chi ha una buona salute orale e desidera una soluzione stabile ma rimovibile. Se i denti naturali rimasti sono in buone condizioni o se sono presenti impianti dentali sufficientemente forti, una protesi a bottone può essere la scelta ideale per migliorare l’estetica e la funzionalità orale.
- Alternativa per pazienti con difficoltà a usare protesi tradizionali:
- Per chi trova difficile l’utilizzo delle tradizionali protesi mobili, la protesi a bottone rappresenta un’alternativa valida. La possibilità di rimuoverla facilmente ma con un attacco sicuro rende questa opzione meno complicata rispetto alle dentiere che richiedono adesivi o colla.
- Opzione per un comfort a lungo termine:
- Se un paziente ha bisogno di una protesi che rimanga stabile nel tempo, ma che sia anche facile da rimuovere e pulire, la protesi a bottone è una scelta ideale. Grazie alla stabilità e al sistema di ritenzione sicura, il paziente potrà godere di un comfort a lungo termine senza preoccuparsi di problematiche comuni come lo spostamento della protesi o la difficoltà di rimozione.
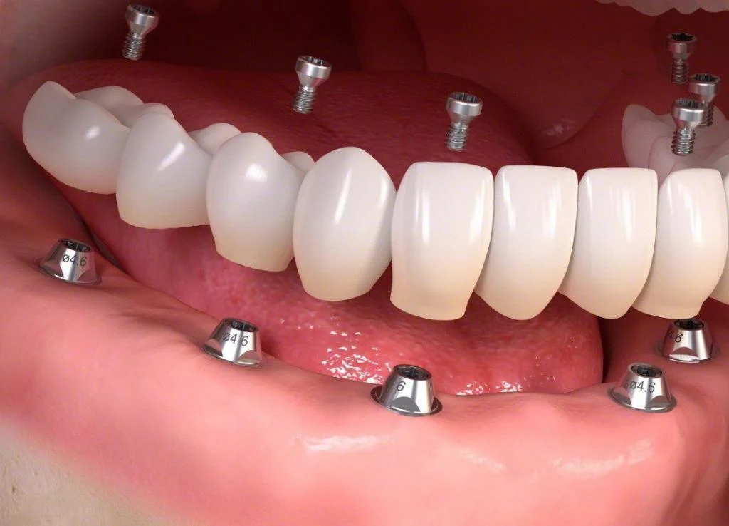
Come Funzionano Le Protesi Fisse Su 4 O 6 Impianti?

Le protesi fisse su impianti rappresentano una delle soluzioni più avanzate e stabili per la sostituzione dei denti mancanti. La tecnica All-on-4 e All-on-6 sono due delle metodologie più comuni per l’installazione di una protesi fissa su impianti dentali. In questo paragrafo esploreremo come funzionano queste tecniche, quali sono le loro caratteristiche principali, e quando è possibile scegliere una soluzione rispetto all’altra.
Quali Sono Le Caratteristiche Della Protesi Su 4 Impianti?
- Posizionamento degli impianti:
- La tecnica All-on-4 prevede il posizionamento di quattro impianti dentali strategicamente disposti nell’arcata dentale per sostenere un’intera protesi fissa. Due impianti vengono posizionati verticalmente al centro dell’arcata, mentre gli altri due vengono inseriti in modo obliquo, alle estremità laterali.
- Tecnica minimamente invasiva:
- Uno dei principali vantaggi della All-on-4 è che non è necessario un intervento invasivo per posizionare un numero maggiore di impianti. Questa tecnica riduce i tempi di intervento e facilita la guarigione rispetto alle soluzioni tradizionali che richiedono più impianti.
- Estetica e funzionalità:
- Grazie alla posizione strategica degli impianti, la protesi su 4 impianti garantisce una stabilità eccellente e una resa estetica simile a quella dei denti naturali. Inoltre, permette di ripristinare completamente la funzionalità masticatoria, migliorando significativamente la qualità della vita del paziente.
Quando È Possibile Optare Per All-on-4?
- Buona densità ossea:
- La tecnica All-on-4 è adatta a pazienti con una quantità sufficiente di osso, ma non necessariamente un osso denso come per le soluzioni più tradizionali. È l’ideale per pazienti che potrebbero non essere candidati per altre tecniche più invasive, come l’inserimento di più impianti.
- Costo contenuto:
- Rispetto ad altre soluzioni con più impianti, l’All-on-4 è più economica. Non solo il numero di impianti è inferiore, ma la tecnica riduce anche il tempo operatorio e il periodo di recupero, abbattendo i costi complessivi dell’intervento.
- Tempi di recupero rapidi:
- Poiché il numero di impianti è ridotto, i tempi di recupero sono più veloci. I pazienti spesso possono ricevere una protesi temporanea il giorno stesso dell’intervento, continuando a godere di una funzionalità masticatoria quasi immediata.
Quando Conviene Una Protesi Su 6 Impianti?
- Carenza ossea:
- Se un paziente presenta una carenza ossea più significativa, la tecnica All-on-6 può essere una scelta migliore. Con sei impianti, la distribuzione del carico masticatorio è più uniforme, garantendo maggiore stabilità e durabilità della protesi.
- Migliore distribuzione del carico:
- Una protesi su 6 impianti offre una resistenza maggiore e una distribuzione del carico masticatorio più equilibrata. Ciò significa che la protesi durerà più a lungo, riducendo il rischio di danneggiamenti o deterioramenti, in particolare per i pazienti che masticano cibi duri o che hanno bisogno di una maggiore robustezza.
- Estetica avanzata:
- Grazie a un numero maggiore di impianti, le protesi su 6 impianti offrono anche una resa estetica superiore, poiché i denti vengono distribuiti su una base più solida, riducendo il rischio di sforzi o movimenti anomali della protesi nel tempo.
Indicazioni Cliniche Per Scegliere La All-on-6
- Pazienti con grave atrofia ossea:
- La tecnica All-on-6 è particolarmente indicata per i pazienti che presentano una riduzione significativa della densità ossea o una perdita ossea a causa di età avanzata, malattie parodontali o altre patologie. L’ulteriore impianto permette una maggiore stabilità in questi casi.
- Migliore soluzione per pazienti con denti molto danneggiati:
- Se i denti naturali rimanenti sono gravemente danneggiati e non possono essere salvati, l’All-on-6 fornisce una soluzione completa e definitiva per ripristinare una dentatura funzionale ed estetica.
Che Cos’è Una Toronto Bridge E Quando Si Utilizza?
La protesi Toronto Bridge è una delle soluzioni più innovative per il trattamento delle edentulie totali, particolarmente indicata per i pazienti che necessitano di una riabilitazione completa dell’arcata dentale. Si tratta di una protesi fissa che viene applicata su impianti dentali, ma a differenza delle tradizionali protesi fisse, la Toronto Bridge presenta delle caratteristiche uniche che la rendono particolarmente vantaggiosa in termini estetici e funzionali.
Quali Materiali Si Usano Per Le Toronto Bridge?
La Toronto Bridge può essere realizzata utilizzando una varietà di materiali, a seconda delle necessità del paziente e delle indicazioni cliniche specifiche. I materiali più comuni includono:
- Metallo-resina:
- Questo materiale combina la robustezza del metallo con l’estetica della resina. La base metallica garantisce solidità e resistenza, mentre il rivestimento in resina fornisce un aspetto naturale che si integra facilmente con i denti circostanti.
- Metallo-composito:
- Una combinazione di metallo e materiali compositi, che offre una buona resistenza e un aspetto naturale, sebbene con una durata inferiore rispetto alla ceramica.
- Metallo-ceramica:
- Questo è uno dei materiali più usati nelle Toronto Bridge. Il metallo conferisce robustezza alla struttura, mentre la ceramica permette di ottenere un aspetto estetico eccellente. È ideale per le arcate superiori, dove l’aspetto estetico è fondamentale.
- Zirconia:
- La zirconia ceramica è uno dei materiali più avanzati per le protesi dentali. È completamente priva di metallo, altamente resistente e biocompatibile. La sua traslucenza la rende particolarmente simile ai denti naturali, offrendo una qualità estetica superiore, ed è ideale per chi cerca un risultato completamente “metal free”.
Vantaggi Estetici, Funzionali Ed Economici
- Estetica avanzata:
- La Toronto Bridge è particolarmente apprezzata per la sua capacità di ripristinare l’estetica del sorriso. Grazie ai materiali avanzati come la zirconia o la ceramica, la protesi offre un aspetto naturale che imita perfettamente il dente umano. Questo la rende particolarmente adatta per chi desidera una soluzione estetica che non comprometta la bellezza del proprio sorriso.
- Funzionalità migliorata:
- Non solo estetica, ma anche funzionalità masticatoria è un aspetto fondamentale. La Toronto Bridge permette una corretta masticazione, riducendo i disagi causati dalle protesi mobili. Essendo fissa, non c’è alcun rischio che la protesi si sposti, migliorando la qualità della vita quotidiana.
- Risparmio economico:
- Sebbene inizialmente più costosa rispetto ad altre opzioni, la Toronto Bridge è un investimento a lungo termine. Grazie alla sua durabilità e stabilità, riduce la necessità di sostituire frequentemente le protesi, che invece può essere un problema con le protesi mobili tradizionali.
Quando Si Consiglia La Toronto Bridge?
- Per pazienti con edentulia totale:
- La Toronto Bridge è ideale per i pazienti che hanno perso tutti i denti in un’arcata e necessitano di una riabilitazione completa. Grazie al suo design e alla sua stabilità, è una scelta perfetta per chi ha bisogno di una soluzione fissa.
- Quando la qualità estetica è una priorità:
- Per i pazienti che desiderano una protesi che non solo funzioni correttamente ma abbia anche un aspetto molto simile ai denti naturali, la Toronto Bridge rappresenta una delle migliori soluzioni. È particolarmente adatta per chi ha bisogno di riabilitare l’arcata superiore, visibile quando si sorride.
- Pazienti con osso sufficiente per impianti:
- La Toronto Bridge è ideale per coloro che hanno una sufficiente quantità di osso mascellare per supportare gli impianti. In caso di atrofia ossea significativa, sarà necessario un intervento per l’aumento osseo, ma in generale, la Toronto Bridge offre una grande stabilità anche in pazienti con ossa sane e forti.
Toronto Bridge Avvitata O Cementata: Qual È La Differenza?
Quando si parla di protesi Toronto Bridge, una delle decisioni fondamentali riguarda il metodo di fissaggio: avvitata o cementata. La scelta tra queste due tecniche dipende da diversi fattori, tra cui le preferenze del paziente, le caratteristiche dell’impianto e le necessità cliniche specifiche. In questa sezione esploreremo le differenze, i pro e i contro di ciascun metodo di fissaggio, nonché i benefici a lungo termine di ogni opzione.
Pro e Contro Di Ciascuna Tecnica
1-Protesi Avvitata
La protesi avvitata è fissata all’impianto attraverso una vite che la collega al pilastro in titanio. Questo tipo di fissaggio è particolarmente vantaggioso per vari motivi:
-
- Facilità di manutenzione:
- La principale caratteristica della protesi avvitata è la sua facilità di rimozione. In caso di necessità, come la riparazione o la sostituzione della corona, il dentista può rimuovere facilmente la protesi, eseguendo modifiche o aggiustamenti senza compromettere la struttura dell’impianto.
- Minor rischio di decementazione:
- Poiché la protesi è avvitata, non c’è il rischio di decementazione, un problema comune con le protesi cementate, che può portare a fastidi come cattivi odori o malfunzionamento.
- Maggiore stabilità:
- La protesi avvitata garantisce una maggiore stabilità, riducendo il rischio di spostamenti o problemi legati alla pressione masticatoria.
- Svantaggi:
- Visibilità della vite: Una leggera visibilità della vite, che potrebbe risultare un aspetto estetico negativo per alcuni pazienti, è un piccolo svantaggio.
- Tempi di installazione più lunghi: L’installazione richiede più tempo rispetto alla cementata, poiché il dentista deve lavorare con maggiore precisione per garantire che la vite sia correttamente posizionata.
- Facilità di manutenzione:
2-Protesi Cementata
La protesi cementata viene fissata all’impianto mediante l’utilizzo di un cemento speciale che collega la corona al pilastro. Questo tipo di fissaggio è noto per i suoi vantaggi estetici e funzionali:
-
- Estetica superiore:
- La protesi cementata è particolarmente apprezzata per la sua estetica superiore. Essendo priva di viti visibili, offre un aspetto più naturale e più simile ai denti naturali, soprattutto quando si trattano le arcate superiori.
- Semplicità:
- Il processo di applicazione di una protesi cementata è relativamente semplice e veloce, riducendo i tempi di trattamento rispetto alla tecnica avvitata.
- Svantaggi:
- Rimozione difficoltosa: Una volta che la protesi è cementata, non può essere facilmente rimossa, e quindi se si verifica un problema o se è necessaria una riparazione, la procedura diventa più complessa.
- Rischio di decementazione: Anche se raro, il rischio di decementazione può presentarsi nel tempo. Questo potrebbe compromettere l’efficacia della protesi, causando malfunzionamenti o disagio per il paziente.
- Estetica superiore:
Facilità di Rimozione e Manutenzione
- Protesi Avvitata:
- La facilità di rimozione è uno dei principali vantaggi della protesi avvitata. Se necessiti di un intervento, il dentista può facilmente smontare la corona, eseguire la manutenzione e riposizionarla. Questo tipo di protesi permette anche una manutenzione continua, facilitando eventuali riparazioni e sostituzioni.
- Protesi Cementata:
- La protesi cementata offre un’installazione rapida, ma la manutenzione potrebbe essere più complessa. In caso di necessità, rimuovere la protesi richiede una procedura chirurgica o l’utilizzo di strumenti specifici, aumentando il tempo e i costi del trattamento.
Qual È La Scelta Migliore?
La scelta tra protesi avvitata e cementata dipende dalle esigenze estetiche e funzionali del paziente. Se l’estetica è la priorità assoluta, la protesi cementata potrebbe essere la scelta migliore, soprattutto per i denti visibili, ma se la facilità di manutenzione e la possibilità di interventi rapidi sono più importanti, la protesi avvitata rappresenta una soluzione ideale.
Quali Sono I Rischi E Le Controindicazioni Degli Impianti Dentali?
Gli impianti dentali rappresentano una soluzione avanzata e duratura per la sostituzione dei denti mancanti. Tuttavia, come per ogni procedura chirurgica, esistono dei rischi e delle controindicazioni che devono essere considerati. In questa sezione, esploreremo i principali rischi e le controindicazioni degli impianti dentali, nonché le possibili complicazioni a breve e lungo termine che potrebbero verificarsi.
Quando È Sconsigliato Inserire Impianti Dentali?
Non tutti i pazienti sono adatti per ricevere impianti dentali. Esistono infatti delle condizioni mediche che potrebbero compromettere l’esito dell’intervento e aumentare i rischi associati. Ecco alcune delle situazioni in cui l’installazione degli impianti dentali potrebbe non essere raccomandata:
- Diabete Non Controllato:
- Il diabete non controllato può compromettere la guarigione dell’osso e dei tessuti gengivali, aumentando il rischio di infezioni post-operatorie. Se il diabete non è ben gestito, l’osteointegrazione dell’impianto potrebbe non avvenire correttamente, compromettendo la stabilità dell’impianto.
- Osteoporosi e Altre Malattie Ossee:
- I pazienti con osteoporosi o altre malattie ossee potrebbero non avere una densità ossea sufficiente per supportare l’impianto dentale. In questi casi, l’osteointegrazione potrebbe essere difficile o addirittura impossibile. È fondamentale che il medico esegua una valutazione approfondita dell’osso per determinare se è adatto a ricevere l’impianto.
- Assunzione di Farmaci Immunosoppressori:
- I pazienti che assumono farmaci immunosoppressori per trattare malattie autoimmuni o altre condizioni potrebbero essere a rischio di infezioni dopo l’intervento. Questi farmaci sopprimono la risposta immunitaria del corpo, riducendo la capacità di guarire rapidamente e aumentando il rischio di complicazioni.
- Fumo:
- Il fumo è uno dei principali fattori di rischio per il fallimento degli impianti dentali. Il fumo riduce il flusso sanguigno alle gengive e ostacola il processo di guarigione, aumentando il rischio di infezioni e complicazioni. I pazienti fumatori dovrebbero essere consapevoli che il loro rischio di fallimento dell’impianto è maggiore rispetto a chi non fuma.
- Bruxismo:
- Il bruxismo, ovvero il digrignamento dei denti, può mettere sotto stress l’impianto e la corona, aumentando il rischio di rottura dell’impianto stesso. Se il paziente soffre di bruxismo, potrebbe essere necessario intervenire con trattamenti aggiuntivi, come l’uso di una mascherina notturna, per proteggere l’impianto.
Complicazioni Post-Operatorie Comuni
Anche se gli impianti dentali sono generalmente sicuri e ben tollerati, possono verificarsi alcune complicazioni post-operatorie. Alcune delle complicazioni più comuni includono:
- Infezioni:
- Le infezioni sono una delle complicazioni più comuni dopo l’inserimento di un impianto dentale. Sebbene siano rare, possono verificarsi soprattutto se non si seguono correttamente le istruzioni di cura post-operatoria o se il paziente non mantiene una buona igiene orale. Le infezioni possono compromettere l’osteointegrazione e richiedere la rimozione dell’impianto.
- Perimplantite:
- La perimplantite è un’infiammazione dei tessuti che circondano l’impianto, che può portare alla perdita dell’osso e compromettere la stabilità dell’impianto. Se non trattata, la perimplantite può portare al fallimento dell’impianto e richiedere il suo ritiro.
- Dolore e Gonfiore:
- Dopo l’intervento chirurgico, è normale che il paziente possa avvertire dolore e gonfiore nella zona trattata. Questi sintomi sono solitamente temporanei e possono essere gestiti con farmaci antidolorifici e antinfiammatori prescritti dal dentista.
- Rigetto dell’Impianto:
- Anche se molto raro, il rigetto dell’impianto può verificarsi. Questo accade quando il corpo non accetta l’impianto, causando il fallimento del processo di osteointegrazione. La causa di rigetto potrebbe essere una reazione allergica ai materiali dell’impianto o una risposta immunitaria avversa.
Gestione Post-Operatoria e Guarigione
Il successo di un impianto dentale dipende in gran parte dalla gestione post-operatoria e dal periodo di guarigione. Ecco alcune indicazioni per favorire una corretta guarigione e ridurre il rischio di complicazioni:
- Segui le istruzioni del dentista:
- È fondamentale seguire tutte le istruzioni post-operatorie fornite dal dentista, come evitare di masticare sui denti trattati, limitare le attività fisiche e seguire una dieta morbida nei primi giorni dopo l’intervento.
- Controlli regolari:
- I pazienti devono sottoporsi a controlli regolari dal dentista per monitorare la guarigione dell’impianto e garantire che non vi siano segni di infezione o altre complicazioni. Durante questi controlli, il dentista esaminerà l’impianto e verificherà che l’osteointegrazione stia procedendo correttamente.
- Igiene orale:
- Mantenere una buona igiene orale è essenziale per prevenire infezioni. Utilizzare uno spazzolino morbido, filo interdentale e scovolini specifici per gli impianti dentali può aiutare a mantenere l’area intorno all’impianto pulita.
Quali Sono Le Differenze Tra Una Protesi Dentaria Mobile E Una Fissa?

Quando si tratta di sostituire i denti mancanti, i pazienti spesso si trovano a scegliere tra due opzioni principali: protesi dentarie mobili e protesi dentarie fisse. Entrambe le soluzioni hanno i loro vantaggi e svantaggi, e la scelta dipende da vari fattori, tra cui la condizione delle gengive, la salute dell’osso, l’estetica desiderata, la funzionalità e, naturalmente, il budget. In questa sezione, esploreremo le differenze tra questi due tipi di protesi e come scegliere la soluzione migliore per le proprie esigenze.
Differenze Funzionali, Estetiche Ed Economiche
Le protesi dentarie mobili e fisse si differenziano principalmente per la loro modalità di utilizzo, stabilità, e durata. Di seguito, vediamo un confronto delle principali differenze funzionali, estetiche ed economiche tra le due soluzioni.
- Funzionalità:
- Protesi mobili: Le dentiere mobili (sia parziali che totali) sono rimovibili e vengono generalmente usate quando il paziente ha perso molti o tutti i denti. Queste protesi poggiano direttamente sulle gengive e sull’osso, quindi la loro stabilità può essere influenzata da fattori come il riassorbimento osseo. Inoltre, i pazienti devono fare attenzione durante la masticazione e la fonazione per evitare che la protesi si sposti.
- Protesi fisse: Le protesi fisse (come le corone o i ponti) sono permanentemente ancorate agli impianti dentali o ai denti naturali residui. Offrono una maggiore stabilità, in quanto non sono soggette a spostamenti, migliorando la masticazione e la fonazione. Inoltre, sono più simili ai denti naturali, sia per aspetto che per funzionalità.
- Estetica:
- Protesi mobili: Anche se le dentiere moderne sono progettate per essere esteticamente gradevoli, le protesi mobili possono non sembrare naturali come le protesi fisse, soprattutto per quanto riguarda il bordo che poggia sulle gengive. Inoltre, potrebbero essere visibili piccoli ganci di supporto, soprattutto nelle dentiere parziali.
- Protesi fisse: Le protesi fisse, in particolare quelle su impianti, sono progettate per sembrare naturali. Possono essere realizzate in materiali come zirconia o ceramica, che offrono una traslucenza simile ai denti naturali. Poiché le protesi fisse sono supportate da impianti dentali, non si muovono e non sono visibili i ganci o altre strutture di supporto.
- Economia:
- Protesi mobili: Le dentiere mobili tendono ad essere una soluzione più economica rispetto alle protesi fisse. Non richiedono interventi chirurgici invasivi, come nel caso degli impianti, e sono quindi meno costose da realizzare. Tuttavia, richiedono una manutenzione maggiore e devono essere sostituite più frequentemente.
- Protesi fisse: Sebbene le protesi fisse possano avere un costo iniziale più elevato, la loro durata e stabilità le rendono un investimento a lungo termine. Le protesi fisse richiedono anche meno manutenzione rispetto a quelle mobili e tendono a durare più a lungo, soprattutto se supportate da impianti dentali.
Tempi Di Adattamento E Manutenzione A Confronto
Un altro fattore importante da considerare nella scelta tra protesi mobili e fisse è il tempo di adattamento e la manutenzione necessaria.
- Protesi mobili:
- I pazienti che scelgono protesi mobili possono impiegare un po’ di tempo per abituarsi al nuovo dispositivo, soprattutto se si tratta di una dentiera totale. Potrebbero sentirsi inizialmente a disagio con la protesi che si muove o si sposta durante la masticazione.
- Le protesi mobili richiedono manutenzione quotidiana. Devono essere rimosse ogni notte, pulite accuratamente e conservate in un apposito contenitore. Inoltre, i pazienti devono fare attenzione a non masticare cibi duri che potrebbero danneggiare la protesi o farla spostare.
- Protesi fisse:
- Le protesi fisse, una volta installate, richiedono un adattamento minimo. La loro stabilità consente ai pazienti di masticare e parlare come se avessero denti naturali. Non è necessario rimuoverle per la pulizia, ma i pazienti devono comunque adottare buone pratiche di igiene orale, come l’uso del filo interdentale, per mantenere le gengive e gli impianti sani.
- Sebbene la manutenzione sia meno intensa rispetto alle protesi mobili, le protesi fisse richiedono controlli periodici dal dentista per monitorare lo stato degli impianti e la salute delle gengive circostanti.
Quando Scegliere Una Soluzione Mista O Combinata?
Esiste anche la possibilità di scegliere una soluzione mista che combina protesi fisse e mobili. Questo approccio viene generalmente utilizzato nei casi di edentulia parziale, dove alcuni denti sono stati sostituiti con impianti e altre aree richiedono l’uso di protesi mobili. In questi casi, una protesi combinata può offrire il miglior equilibrio tra funzionalità, estetica ed economia.
Le protesi combinate sono ideali per pazienti che desiderano una soluzione stabile per alcune aree dell’arcata dentale, ma necessitano anche di una protesi mobile per altre aree meno critiche.
Quanto Dura Una Protesi Dentaria E Cosa Fare Per Prolungarne La Vita?
La durata di una protesi dentaria, sia mobile che fissa, dipende da una serie di fattori, tra cui la qualità dei materiali, le abitudini del paziente e, naturalmente, la corretta manutenzione. Comprendere quanto tempo dura una protesi dentale e quali pratiche adottare per prolungarne la vita è fondamentale per assicurarsi che la protesi mantenga la sua funzionalità ed estetica nel tempo. In questa sezione, esploreremo la durata media delle protesi, i fattori che influenzano la loro longevità e le buone pratiche da seguire per mantenerle in buono stato.
Durata Media Delle Protesi Mobili E Fisse
- Protesi mobili:
- Le dentiere mobili (sia parziali che totali) tendono ad avere una durata inferiore rispetto alle protesi fisse. In media, una dentiera mobile può durare tra 5 e 7 anni, a seconda di come viene trattata e della frequenza con cui vengono eseguiti aggiustamenti o riparazioni.
- Tuttavia, la durata può variare a seconda dell’usura dei materiali e della qualità della realizzazione. Le protesi mobili possono essere danneggiate più facilmente rispetto alle fisse, specialmente se il paziente non segue correttamente le indicazioni di cura.
- Protesi fisse:
- Le protesi fisse, come ponti e corone, tendono ad avere una durata più lunga, solitamente tra i 10 e i 15 anni, se mantenute correttamente. Questo tipo di protesi è progettato per durare a lungo grazie alla sua stabilità e resistenza.
- Tuttavia, la durata effettiva dipende dalla condizione dei denti naturali che supportano la protesi, dalla qualità degli impianti dentali (se presenti) e dall’igiene orale del paziente.
Fattori Che Influenzano La Longevità Della Protesi
Igiene orale:
Una corretta igiene orale è fondamentale per prolungare la durata di qualsiasi tipo di protesi. Le protesi fisse e mobili devono essere pulite regolarmente per prevenire la formazione di placca e tartaro che potrebbero compromettere la salute delle gengive e degli impianti.
Per le protesi mobili, il paziente deve rimuoverle ogni notte, pulirle accuratamente con uno spazzolino morbido e un detergente specifico per protesi, e conservarle in un contenitore asciutto. Questo previene l’accumulo di batteri e mantiene la protesi igienica.
Per le protesi fisse, è essenziale usare il filo interdentale per rimuovere i residui di cibo che potrebbero accumularsi tra la protesi e il dente naturale. L’uso di spazzolini interdentali e scovolini è particolarmente utile per mantenere la salute gengivale.
Controlli periodici dal dentista:
I pazienti con protesi dentali dovrebbero sottoporsi a controlli periodici dal dentista, almeno una volta all’anno, per verificare lo stato della protesi e degli impianti (se presenti). Il dentista può riparare o sostituire eventuali componenti danneggiati prima che il problema diventi più serio.
I controlli regolari consentono anche di monitorare l’eventuale riassorbimento osseo (nel caso di impianti dentali) che potrebbe compromettere la stabilità della protesi fissa.
Materiali utilizzati:
La durata della protesi è influenzata anche dalla qualità del materiale utilizzato. Le protesi in zirconia o ceramica tendono ad essere più durevoli e resistenti all’usura rispetto a quelle realizzate in resina o metallo.
La scelta del materiale dipende dalle esigenze estetiche, funzionali ed economiche del paziente. Le protesi metalliche possono essere meno estetiche ma più resistenti, mentre le protesi in ceramica offrono un aspetto più naturale, ma potrebbero essere più fragili in caso di urti.
Manutenzione Professionale E Sostituzione Dei Gommini O Attacchi
Anche le protesi dentali ben mantenute necessitano di manutenzione professionale per garantirne una lunga durata. Nei casi di protesi mobili, ad esempio, i gommini e gli attacchi in titanio potrebbero usurarsi nel tempo, compromettendo la stabilità della protesi. È importante sostituire questi componenti durante le visite periodiche dal dentista per evitare che la protesi diventi instabile o causi discomfort.
Per le protesi fisse, il dentista potrebbe anche raccomandare di sostituire la corona se il materiale si usura o si danneggia con il tempo. La riparazione tempestiva di eventuali danni alla protesi è essenziale per mantenere la sua funzionalità ed evitare danni più seri.
Come Scegliere La Protesi Su Impianti Più Adatta Alle Proprie Esigenze?
La scelta della protesi su impianti più adatta dipende da diversi fattori individuali del paziente, come le condizioni ossee, l’estetica desiderata, e il budget disponibile. Ogni persona ha esigenze specifiche, e quindi la decisione deve essere presa insieme al dentista, che sarà in grado di consigliare la soluzione migliore per garantire il miglior risultato funzionale ed estetico. In questa sezione esploreremo i principali criteri da considerare per scegliere la protesi su impianti ideale.
Criteri Di Scelta: Condizioni Ossee, Estetica Desiderata, Budget
- Condizioni Ossee:
- La condizione dell’osso del paziente è uno dei fattori determinanti nella scelta della protesi. Se l’osso è sano e abbondante, il dentista può optare per impianti standard. Se, invece, il paziente ha subito un riassorbimento osseo o ha una scarsa quantità di osso disponibile, è possibile che vengano utilizzati impianti corti o una tecnica di innesto osseo per migliorare la stabilità.
- La tecnica All-on-4 o All-on-6 è spesso raccomandata in pazienti con carenza ossea, poiché consente di posizionare impianti anche in casi di atrofia ossea, senza la necessità di un intervento di innesto osseo.
- Estetica Desiderata:
- L’estetica gioca un ruolo fondamentale nella scelta della protesi su impianti, specialmente nelle arcate superiori. Le protesi in ceramica o zirconia sono scelte molto popolari poiché offrono un aspetto molto naturale, simile ai denti naturali.
- Se il paziente desidera un risultato estetico impeccabile, le protesi metal-free come quelle in zirconia ceramica o disilicato di litio possono essere la scelta migliore, poiché non solo sono esteticamente simili ai denti naturali, ma sono anche molto resistenti.
- Se la stabilità è la priorità principale, le protesi metallo-ceramica potrebbero essere preferibili, in quanto sono resistenti ma leggermente meno esteticamente naturali rispetto alle opzioni completamente in ceramica.
- Budget Disponibile:
- Il budget è un altro fattore decisivo. Le protesi mobili, come le dentiere, sono generalmente meno costose rispetto alle protesi fisse. Le protesi su impianti fissi, pur essendo più costose, offrono una maggiore stabilità e comfort.
- Le protesi avvitate su impianti tendono ad avere un costo maggiore rispetto a quelle cementate, ma la facilità di rimozione e la possibilità di sostituire singoli componenti possono giustificare l’investimento maggiore.
Importanza Della Consulenza Personalizzata
- Consulto Personalizzato:
- La scelta della protesi su impianti deve sempre essere fatta in collaborazione con un dentista specializzato, che effettuerà una valutazione completa della salute orale del paziente, delle sue esigenze estetiche, e delle condizioni fisiche che potrebbero influenzare il trattamento.
- Durante la consulenza, il dentista potrebbe suggerire radiografie e tomografie 3D per valutare l’osso e progettare il trattamento più adatto. Inoltre, la consulenza dovrebbe includere una discussione approfondita delle opzioni di trattamento, con la possibilità di scegliere tra impianti singoli, ponti su impianti, o protesi complete a seconda delle necessità del paziente.
- Approccio Multidisciplinare:
- In alcuni casi, potrebbe essere necessario un approccio multidisciplinare che coinvolga specialisti in chirurgia orale, parodontologia, implantologia, e odontotecnici. Questo approccio assicura che tutte le fasi del trattamento siano coordinate e ottimizzate per ottenere il miglior risultato possibile in termini di funzionalità ed estetica.
Vantaggi Di Una Protesi Su Impianti
- Stabilità:
- Le protesi su impianti sono molto più stabili rispetto alle dentiere tradizionali, poiché gli impianti sono ancorati nell’osso, permettendo una masticazione naturale e senza il rischio di spostamenti.
- Durata:
- Gli impianti dentali, se curati correttamente, possono durare decenni. La loro longevità dipende dalla manutenzione, dalla qualità degli impianti, e dall’igiene orale.
- Estetica Naturale:
- Le protesi fisse in zirconia o ceramica offrono un risultato esteticamente naturale, che permette ai pazienti di migliorare il loro sorriso senza compromettere l’aspetto del viso o della dentatura.
Domande frequenti su Protesi Dentarie Mobili Senza Palato

In questa sezione risponderemo ad alcune delle domande più frequenti sulle protesi dentarie mobili senza palato. Queste domande riguardano vari aspetti di comfort, funzionalità, costi e manutenzione che i pazienti spesso considerano quando scelgono una protesi rimovibile senza palato. Abbiamo raccolto queste informazioni per aiutarvi a prendere una decisione consapevole su questa soluzione dentale.
Cosa Sono Le Protesi Dentarie Mobili Senza Palato E Quando Si Usano?
Protesi dentarie mobili senza palato are a type of removable denture designed to replace missing teeth while maintaining the natural feel and function of your mouth. These prostheses are specifically designed without a palate, which means there is no artificial roof of the mouth that often causes discomfort or gagging reflex in some patients.
They are ideal for people who may experience discomfort with traditional dentures or have an overactive gag reflex. They are also recommended for those who suffer from intolerance to palate coverage, allowing them to enjoy a more comfortable and secure fit.
In addition, protesi mobili senza palato are often used in elderly patients or those with limited bone density, as they offer a non-invasive and comfortable solution for replacing missing teeth without the need for implants.
Quali Tipi Di Protesi Dentarie Mobili Senza Palato Esistono?
There are different types of mobili dentarie senza palato available, which cater to various needs and preferences:
- Overdenture su Impianti vs Protesi Tradizionali Senza Ancoraggio:
- Overdentures supported by implants offer greater stability compared to traditional non-anchored dentures. These overdentures are secured in place by implants, reducing the risk of slipping and providing a more secure fit. On the other hand, traditional removable dentures without implants rely on the natural contours of the mouth for stability, which may not always provide the same level of comfort and security.
- Protesi Senza Palato Con O Senza Impianti:
- Protesi senza palato senza impianti are a great option for patients who do not want or cannot undergo the implant procedure. These dentures rely on natural suction or dental adhesives to stay in place. However, the stability may not be as high as with implant-supported dentures.
- Protesi senza palato con impianti, on the other hand, provide additional support through the use of dental implants, which provide a firmer hold, particularly for those who have low bone density or need more stability for denture retention.
Cosa Si Intende Per Scheletrato Superiore Senza Palato?
A scheletrato superiore senza palato refers to a framework denture designed to replace the upper set of teeth without covering the palate. This structure is designed with metal or acrylic materials and is supported by titanium attachments or clasping devices that anchor the denture in place. The absence of a palate in this design provides a significant benefit for patients who experience discomfort with traditional full-coverage dentures.
Ganci e attacchi in titanio are often used in this type of prosthesis to provide better retention and stability without compromising comfort. These materials ensure that the denture remains firmly in place during daily activities like eating and speaking.
The aesthetic advantage of this design is significant because the absence of the palate makes it more natural-looking and less bulky compared to traditional dentures. This makes it ideal for individuals who want a more discreet solution that blends seamlessly with the natural contours of the mouth.
Vantaggi Estetici Rispetto Alle Protesi Complete
The esthetic advantages of scheletrato superiore senza palato include:
- Improved comfort due to the absence of a palate.
- Better aesthetics, especially for those who prefer a less visible prosthesis.
- Natural appearance, as the denture more closely mimics the look of natural teeth without the added bulk of a full palate.





