Cos’è la Contenzione denti e Perché È Così Importante?
La contenzione dentale è una fase fondamentale nel trattamento ortodontico. Dopo aver completato l’allineamento dei denti con un apparecchio ortodontico, è cruciale utilizzare un dispositivo di contenzione per garantire che i risultati ottenuti vengano mantenuti nel tempo. La contenzione, infatti, ha lo scopo di prevenire la recidiva odontoiatrica, ovvero il fenomeno che porta i denti a tornare alla loro posizione originale.
Il Ruolo della Contenzione Ortodontica
La contenzione ortodontica agisce come un supporto per mantenere i denti nella posizione desiderata, evitando che si spostino. Durante il trattamento ortodontico, i denti vengono spostati dalla posizione originale, e i legamenti che li sostengono si allungano. Dopo la rimozione dell’apparecchio ortodontico, i denti sono ancora in una fase di adattamento. È in questo periodo che la memoria del dente entra in gioco, facendo sì che i denti tendano a riprendersi la loro posizione iniziale. La contenzione serve proprio a contrastare questa naturale tendenza e a mantenere il sorriso allineato.
Perché la Contenzione È Fondamentale nel Trattamento Ortodontico?
La contenzione non deve essere considerata una fase opzionale del trattamento, ma piuttosto una parte essenziale del processo di cura. Infatti, se non indossato correttamente, il retainer (un tipo di apparecchio di contenzione) non solo può causare un ritorno ai vecchi disallineamenti, ma può anche vanificare gli sforzi fatti durante il trattamento ortodontico.
Nel lungo periodo, la contenzione dentale è importante per evitare che i denti ritornino a essere storti e fuori allineamento. Un uso costante del retainer riduce notevolmente il rischio di recidiva e assicura che i risultati siano stabili nel tempo.
Il Concetto di “Memoria” nei Denti
I denti, proprio come altre parti del corpo, possiedono una “memoria”. Questo significa che, anche se sono stati allineati correttamente durante il trattamento, tendono naturalmente a spostarsi verso la loro posizione originaria. La memoria del dente è influenzata dalla pressione continua esercitata durante la masticazione, dalla lingua, dalle guance e dalle labbra. Questo fenomeno è una delle ragioni principali per cui i denti tendono a muoversi anche dopo il trattamento ortodontico, rendendo necessaria la contenzione.
Come Funziona la Contenzione Ortodontica per Mantenere il Sorriso?
Il retainer funziona in modo semplice ma efficace: una volta che i denti sono stati allineati correttamente, il retainer li aiuta a mantenere la posizione raggiunta. Può essere di tipo mobile, come una mascherina trasparente, o fisso, come un filo di metallo che viene incollato dietro i denti. Entrambi i tipi di retainer hanno lo scopo di stabilizzare i denti e prevenire che si spostino. La chiave per mantenere un sorriso perfetto è seguire scrupolosamente le indicazioni del dentista riguardo alla durata e alla frequenza di utilizzo del retainer.
Cos’è un Retainer Dentale?
Un retainer dentale è un dispositivo ortodontico utilizzato per mantenere i denti nella loro posizione finale dopo un trattamento ortodontico, come l’uso di un apparecchio fisso o mobile. Quando l’apparecchio ortodontico viene rimosso, i denti potrebbero cercare di tornare alla loro posizione originale. Il retainer agisce come un supporto per impedire che questo accada, stabilizzando i denti e garantendo che i risultati ottenuti siano duraturi.
Tipi di Retainers Dentali
Esistono diversi tipi di retainers dentali, ognuno progettato per soddisfare le esigenze specifiche del paziente. I due principali tipi di retainer sono i retainers fissi e i retainers rimovibili. Vediamo le differenze principali tra i due.
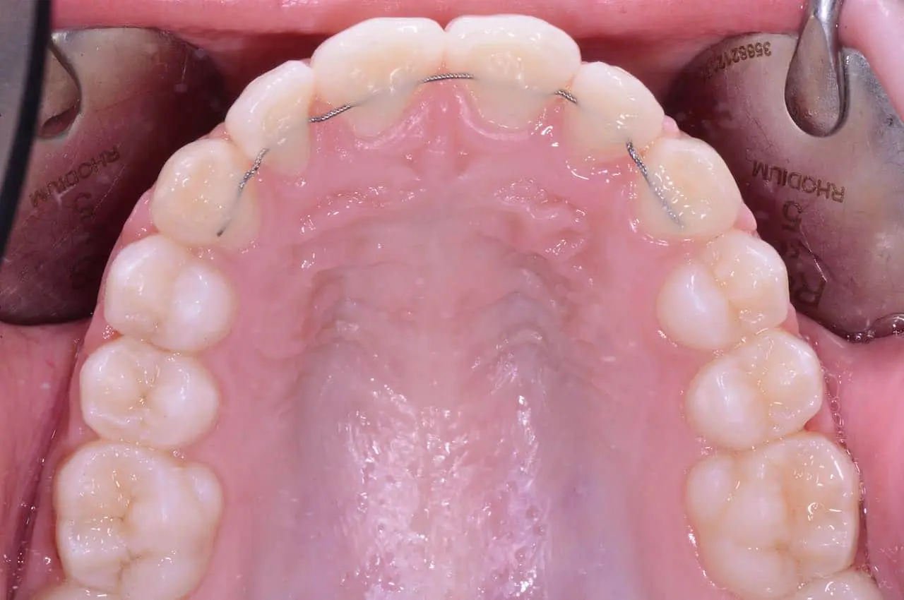
1-Retainers Fissi
I retainers fissi consistono in un sottile filo di metallo che viene incollato alla superficie interna dei denti anteriori, solitamente dalla parte interna dei canini. Questo tipo di retainer è molto discreto, in quanto non è visibile dall’esterno.
Vantaggi:
Non richiede l’impegno del paziente per essere indossato, poiché è fisso.
È molto efficace nel prevenire il movimento dei denti.
Svantaggi:
Richiede una buona igiene orale, poiché il filo metallico può accumulare placca e cibo.
Se il filo si stacca o si danneggia, è necessario rivolgersi al dentista per la riparazione.
2-Retainers Rimovibili
I retainers rimovibili sono dispositivi trasparenti che si posizionano sopra l’arcata dentale. Possono essere in plastica o metallo e sono simili agli allineatori invisibili.
Vantaggi:
Sono facili da rimuovere e pulire, consentendo una maggiore igiene orale.
Sono invisibili, il che li rende una scelta estetica per molti pazienti.
Svantaggi:
Richiedono la collaborazione del paziente: devono essere indossati regolarmente, soprattutto durante la notte.
Se non vengono indossati correttamente, c’è un rischio maggiore di recidiva, ovvero che i denti ritornino alla loro posizione iniziale.
Come Funziona un Retainer?
Un retainer, che sia fisso o rimovibile, ha il compito di stabilizzare i denti appena trattati. Dopo che i denti sono stati allineati, sia con un apparecchio mobile che fisso, il retainer li mantiene nella posizione desiderata. Questo dispositivo impedisce ai denti di muoversi e assicura che i legamenti e le ossa circostanti si adattino completamente alla nuova posizione dei denti.
Nel caso dei retainers fissi, il filo metallico fornisce un supporto costante, mentre i retainers rimovibili offrono la flessibilità di essere tolti per mangiare e spazzolare i denti. È importante seguire le indicazioni del dentista riguardo l’uso quotidiano del retainer, in quanto una scarsa osservanza può portare al ritorno dei denti nella loro posizione originale.
L’importanza di un Retainer per il Sorriso Duraturo
L’utilizzo del retainer dentale è essenziale per mantenere un sorriso perfetto nel lungo termine. Senza di esso, i denti potrebbero spostarsi lentamente, compromettendo i risultati raggiunti durante il trattamento ortodontico. Per garantire la durata dei risultati ottenuti, è cruciale non solo indossare il retainer secondo le indicazioni, ma anche eseguire una corretta manutenzione del dispositivo.
Quanto Tempo Bisogna Indossare un Retainer Dentale Dopo l’Apparecchio?

Una delle domande più comuni dopo aver rimosso l’apparecchio ortodontico è quanto tempo bisogna indossare un retainer dentale per mantenere i risultati ottenuti. La durata del periodo di utilizzo del retainer dipende da vari fattori, tra cui la gravità del disallineamento iniziale, la risposta dei denti e la tipologia di trattamento ortodontico effettuato. Tuttavia, esistono delle linee guida generali che possono aiutare i pazienti a capire cosa aspettarsi.
I Primi 3-6 Mesi Dopo il Trattamento Ortodontico
Nei primi mesi dopo la rimozione dell’apparecchio ortodontico, il retainer deve essere indossato 24 ore al giorno. Questo periodo iniziale è cruciale, poiché i denti non sono ancora completamente stabili nella loro nuova posizione. Indossare il retainer durante il giorno e la notte aiuta a evitare che i denti si spostino e assicura che le ossa e i legamenti che li sostengono si adattino correttamente.
Durante questo periodo, il paziente dovrà rimuovere il retainer solo per mangiare e per spazzolare i denti. La costanza nell’indossare il retainer è fondamentale per ottenere i migliori risultati.
Ridurre l’Uso del Retainer Dopo i Primi Mesi
Dopo i primi 3-6 mesi, la maggior parte dei pazienti può iniziare a ridurre l’uso del retainer. A questo punto, i denti sono abbastanza stabili da poter essere mantenuti solo durante la notte. L’ortodontista generalmente raccomanda di indossare il retainer solo di notte per i successivi 6-12 mesi.
Questa fase è ancora molto importante, poiché i denti potrebbero ancora essere suscettibili a lievi spostamenti. Continuare a usare il retainer durante la notte assicura che i denti rimangano nella posizione corretta mentre i tessuti che li supportano si stabilizzano completamente.
L’uso a Lungo Periodo del Retainer
In alcuni casi, l’uso a lungo termine del retainer è necessario per mantenere i risultati a vita. Per molte persone, è sufficiente indossare il retainer solo di notte per continuare a prevenire eventuali spostamenti. Tuttavia, in alcuni casi, l’ortodontista può consigliare l’uso del retainer a vita, specialmente se il paziente ha subito un trattamento ortodontico complesso.
Anche dopo il periodo iniziale di utilizzo, è consigliato mantenere regolari visite di controllo dall’ortodontista per monitorare la stabilità dei denti e valutare se è necessario continuare l’uso del retainer.
Cosa Succede Se Non Si Usa il Retainer
Se il retainer non viene indossato per il tempo necessario, i denti potrebbero iniziare a spostarsi di nuovo nella loro posizione originale, un fenomeno noto come recidiva ortodontica. La recidiva può verificarsi anche con l’uso errato del retainer, come ad esempio non indossarlo ogni notte durante la fase di mantenimento. Questo rischio è particolarmente alto nei primi mesi dopo il trattamento, ma può anche verificarsi dopo molti anni.
Per evitare che ciò accada, è essenziale seguire scrupolosamente le istruzioni del dentista riguardo all’uso del retainer, anche dopo aver completato il trattamento ortodontico.
Fattori che Influenzano la Durata del Retainer
Alcuni fattori influenzano quanto tempo è necessario indossare il retainer, tra cui:
- Età: I giovani pazienti, la cui crescita ossea non è ancora completamente terminata, potrebbero dover indossare il retainer per un periodo più lungo rispetto agli adulti.
- Gravità del disallineamento iniziale: I pazienti che avevano un disallineamento significativo potrebbero necessitare di un periodo più lungo di mantenimento.
- Tipologia di trattamento ortodontico: I pazienti che hanno subito trattamenti complessi, come la correzione di un morso profondo o l’affollamento dei denti, potrebbero dover usare il retainer più a lungo per evitare che i denti ritornino alla loro posizione originale.
Conclusione
La durata dell’utilizzo del retainer dentale è un aspetto cruciale del trattamento ortodontico. Mantenere i denti allineati richiede una certa disciplina e costanza, e l’uso del retainer è fondamentale per garantire che i risultati raggiunti siano permanenti. Sebbene la durata vari in base ai casi individuali, è importante seguire sempre le indicazioni del proprio ortodontista per mantenere il sorriso perfetto e prevenire movimenti indesiderati dei denti.
Quali Sono i Diversi Tipi di Retainers Dentali?
Esistono diversi tipi di retainers dentali utilizzati in ortodonzia per mantenere i denti nella loro posizione corretta dopo il trattamento ortodontico. La scelta del tipo di retainer dipende dalle esigenze individuali del paziente e dal trattamento ortodontico effettuato. In questa sezione, esploreremo le differenze tra i retainers fissi e retainers rimovibili, spiegando i vantaggi e gli svantaggi di ciascun tipo.
Retainers Fissi
I retainers fissi sono dispositivi permanenti che vengono incollati sulla superficie interna dei denti, solitamente sui denti anteriori. Sono progettati per rimanere in posizione per un lungo periodo, senza la necessità di essere rimossi dal paziente.
Come Funzionano i Retainers Fissi
Il retainer fisso è costituito da un filo metallico che viene fissato dietro gli incisivi superiori o inferiori. Il filo viene incollato utilizzando una resina speciale e può essere nascosto dietro i denti, risultando quasi invisibile. Il vantaggio principale di questo tipo di retainer è che non richiede alcuna collaborazione da parte del paziente, poiché rimane fisso e non può essere rimosso.
Vantaggi dei Retainers Fissi
- Mantenimento permanente: Non c’è bisogno di ricordarsi di indossarlo, poiché è fissato ai denti e funziona senza interruzioni.
- Comodità: Una volta installato, il retainer fisso è molto comodo e non interferisce con le normali funzioni della bocca, come parlare o mangiare.
- Efficacia: È ideale per mantenere la posizione dei denti a lungo termine, evitando la recidiva ortodontica.
Svantaggi dei Retainers Fissi
- Igiene orale più complessa: Poiché il filo è attaccato ai denti, è più difficile pulire correttamente gli spazi interdentali. Il filo interdentale può essere utilizzato con uno scovolino o uno spazzolino interdentale per garantire una buona pulizia.
- Visite regolari: È necessario visitare regolarmente l’ortodontista per verificare lo stato del retainer e per controllare che non si stacchi o si danneggi.
Retainers Rimovibili
I retainers rimovibili sono dispositivi che possono essere facilmente tolti e messi dal paziente. Solitamente, sono realizzati in plastica trasparente o metallo e sono progettati per mantenere i denti nella loro posizione corretta durante il periodo post-trattamento ortodontico.
Come Funzionano i Retainers Rimovibili
I retainers rimovibili possono essere costituiti da mascherine trasparenti che si adattano perfettamente alla forma dei denti. In alternativa, alcuni retainers rimovibili sono dotati di un filo metallico che passa davanti ai denti. Questi dispositivi sono più facili da rimuovere e pulire rispetto ai retainers fissi.
Vantaggi dei Retainers Rimovibili
- Flessibilità: I pazienti possono rimuovere il retainer per mangiare e per lavarsi i denti, rendendo l’igiene orale più facile rispetto ai retainers fissi.
- Estetica: I retainers trasparenti sono praticamente invisibili, il che li rende una scelta popolare tra gli adulti e i pazienti più giovani.
- Comodità: Possono essere rimossi quando non necessari, offrendo maggiore comfort durante la giornata.
Svantaggi dei Retainers Rimovibili
- Collaborazione del paziente: Poiché il retainer deve essere rimosso e rimesso regolarmente, la sua efficacia dipende dalla costanza del paziente nel portarlo, in particolare durante la notte.
- Possibilità di danneggiamento: I retainers rimovibili sono più suscettibili a danni se non trattati con cura. Possono rompersi se lasciati in ambienti caldi o se non vengono conservati correttamente.
Retainers Trasparenti
I retainers trasparenti sono una variante dei retainers rimovibili, progettati per essere discretamente invisibili. Questi dispositivi sono simili agli allineatori Invisalign e sono realizzati in materiale plastico rigido, trasparente.
Vantaggi dei Retainers Trasparenti
- Invisibilità: Essendo trasparenti, questi retainers sono quasi invisibili, il che li rende ideali per i pazienti che desiderano un’opzione estetica.
- Comodità: Poiché si adattano perfettamente ai denti, i retainers trasparenti sono confortevoli da indossare e non interferiscono con le normali attività quotidiane.
Svantaggi dei Retainers Trasparenti
- Durabilità: Sebbene comodi, i retainers trasparenti possono usurarsi più velocemente rispetto ai modelli in metallo e possono diventare opachi nel tempo, richiedendo sostituzioni periodiche.
Conclusione
La scelta tra un retainer fisso e un retainer rimovibile dipende dalle esigenze individuali del paziente e dalle preferenze estetiche. Entrambi i tipi di retainer sono efficaci nel mantenere i denti allineati dopo il trattamento ortodontico, ma ognuno ha vantaggi e svantaggi specifici. Consultare sempre il proprio ortodontista per determinare quale tipo di retainer sia il più adatto al proprio caso. Indipendentemente dalla scelta, l’importante è seguire le raccomandazioni del dentista per evitare che i denti ritornino alla loro posizione originale, compromettendo i risultati ottenuti.
Come Mantenere e Pulire il Tuo Retainer
La manutenzione e la pulizia del retainer dentale sono cruciali per mantenere la sua funzionalità e prevenire problemi di igiene orale. Se non vengono seguiti correttamente i consigli di cura, il retainer può accumulare placca, germi e cattivo odore, compromettendo l’efficacia del trattamento ortodontico. In questa sezione, esploreremo l’importanza di mantenere pulito il tuo retainer e ti forniremo suggerimenti su come farlo in modo corretto.
Perché la Pulizia del Retainer è Importante
Una buona igiene orale non si limita ai denti, ma si estende anche agli apparecchi come i retainers. Se non pulito regolarmente, il retainer può accumulare batteri, che possono causare alito cattivo, carie, o persino infezioni alle gengive. Inoltre, un retainer non pulito correttamente può danneggiarsi nel tempo, riducendo la sua durata e l’efficacia.
- Prevenzione del cattivo odore: La placca accumulata sul retainer può causare un odore sgradevole.
- Prevenzione della formazione di tartaro: I batteri che si accumulano possono formare tartaro sui denti e sul retainer.
- Mantenimento dell’efficacia: Un retainer pulito aiuta a mantenere i denti in posizione e assicura che il trattamento ortodontico abbia successo.
Come Pulire un Retainer Rimovibile?
I retainers rimovibili, come quelli trasparenti o in plastica, sono relativamente facili da pulire, ma è essenziale farlo correttamente per evitare danni e batteri.
- Risciacquare regolarmente: Ogni volta che rimuovi il retainer, risciacqualo con acqua fredda per rimuovere eventuali residui di cibo e saliva.
- Pulizia giornaliera: Usa uno spazzolino con setole morbide e un po’ di sapone neutro o dentifricio non abrasivo per pulire il retainer. Evita il dentifricio che potrebbe danneggiare la superficie del retainer e alterarne l’aspetto.
- Ammollo settimanale: Immergi il retainer in una soluzione di pulizia specifica per apparecchi ortodontici, oppure utilizza pastiglie effervescenti, che sono facilmente reperibili in farmacia.
- Evita l’acqua calda: Non usare acqua calda per pulire il retainer, poiché potrebbe deformarsi.
Suggerimenti:
- Non lasciare mai il retainer in un ambiente caldo e umido, come in una tasca o in un luogo esposto al sole, per evitare che si deformi.
- Conserva sempre il retainer nella sua custodia quando non lo indossi, per proteggerlo da polvere e danni.
Come Pulire un Retainer Fisso?
I retainers fissi richiedono un po’ più di attenzione durante la pulizia, poiché non possono essere rimossi dal paziente. È necessario un buon regime di igiene orale per garantire che il filo metallico e l’area circostante rimangano puliti.
- Spazzolare accuratamente: Spazzola i denti e il retainer fissi due volte al giorno, utilizzando uno spazzolino a setole morbide. Concentrati sul filo metallico e sui denti circostanti.
- Filo interdentale e scovolino: Poiché non è possibile usare il filo interdentale tradizionale, utilizza uno scovolino o filo interdentale speciale per pulire tra il filo del retainer e i denti. Questo aiuta a prevenire l’accumulo di placca.
- Visite regolari dall’ortodontista: Durante le visite di controllo, il dentista o l’ortodontista esaminerà la pulizia del retainer fisso e verificherà che non ci siano danni al filo o alla resina.
Suggerimenti:
- Presta particolare attenzione alla pulizia degli spazi tra il filo e i denti, dove i residui di cibo possono accumularsi facilmente.
- Assicurati di usare sempre uno spazzolino interdentale per evitare l’accumulo di placca e tartaro nei punti difficili da raggiungere.
Conclusione
La pulizia del retainer dentale è essenziale per mantenere la sua funzionalità e per garantire che il trattamento ortodontico produca risultati duraturi. Indipendentemente dal tipo di retainer che indossi, è importante seguire un regime di pulizia regolare per evitare che batteri e placca compromettano la salute della bocca e il trattamento ortodontico. Assicurati di consultare il tuo ortodontista per eventuali suggerimenti aggiuntivi sulla manutenzione del tuo retainer, e ricorda che una buona igiene orale è fondamentale per mantenere il sorriso perfetto che hai guadagnato con l’ortodonzia.
Cosa Succede Se Non Indossi il Retainer?

Una volta completato il trattamento ortodontico, molti pazienti si sentono sollevati nel rimuovere l’apparecchio. Tuttavia, l’importanza della contenzione dentale non può essere sottovalutata. Se non si indossa correttamente il retainer, i denti rischiano di tornare alla loro posizione iniziale, annullando tutti gli sforzi fatti durante il trattamento ortodontico. In questa sezione, esploreremo i rischi legati alla non osservanza della fase di contenzione e come prevenire il ritorno della recidiva ortodontica.
I Rischi di Non Indossare il Retainer
Non indossare il retainer può portare a movimenti indesiderati dei denti. La recidiva ortodontica è un fenomeno comune in cui i denti, dopo il trattamento, tendono a spostarsi gradualmente verso la loro posizione originale. Questo accade perché i denti, come altri organi del corpo, hanno una “memoria” che li spinge a ritornare alla loro posizione naturale, soprattutto nei mesi successivi alla rimozione dell’apparecchio.
- Denti che si spostano: Senza un retainer, i denti possono spostarsi lentamente, riportandosi alla posizione iniziale, compromettendo i risultati raggiunti.
- Spostamenti permanenti: In alcuni casi, la mancanza di contenzione può portare a spostamenti significativi che non possono essere corretti senza un ulteriore trattamento ortodontico.
- Problemi funzionali: Oltre alla perdita estetica, i denti che si spostano possono causare problemi funzionali come difficoltà nella masticazione o nella fonazione.
La Recidiva Ortodontica: Perché Accade?
La recidiva ortodontica è un processo naturale in cui i denti, dopo essere stati allineati, cercano di tornare nella loro posizione originaria. Questo fenomeno si verifica soprattutto nei primi mesi dopo il trattamento, ma può continuare per anni, se non viene gestito correttamente.
- Fibre elastiche nei tessuti: Durante il trattamento ortodontico, i legamenti che tengono i denti in posizione vengono allungati, ma non perdono la loro elasticità. Dopo la rimozione dell’apparecchio, queste fibre tendono a spingere i denti indietro.
- Influenza della masticazione e dei muscoli orali: La pressione esercitata dai muscoli della bocca (lingua, guance e labbra) e la masticazione quotidiana possono contribuire a spostare i denti se non vengono mantenuti stabili da un retainer.
- Fase critica immediatamente dopo il trattamento: Nei primi mesi dopo la rimozione dell’apparecchio, i denti sono particolarmente vulnerabili a spostamenti, motivo per cui è essenziale l’uso del retainer fin dai primi giorni.
Cosa Succede Se Non Indossi il Retainer per Un Periodo Prolungato?
Se non si indossa il retainer per un periodo prolungato, i denti avranno maggiore libertà di movimento, e la probabilità che i denti ritornino alla loro posizione iniziale aumenta. Questo fenomeno è più evidente quando il retainer viene abbandonato senza seguire le indicazioni dell’ortodontista. Ecco cosa può accadere se non segui le indicazioni:
- Perdita dei progressi ottenuti: L’intero trattamento ortodontico può essere vanificato, e i denti potrebbero tornare nella loro posizione disallineata.
- Necessità di un nuovo trattamento: In molti casi, sarà necessario ripetere il trattamento ortodontico, aumentando i costi e il tempo dedicato.
- Problemi estetici e funzionali: La recidiva ortodontica può portare a una perdita estetica e anche a problemi di masticazione, fonazione e salute orale generale.
Prevenire la Recidiva Ortodontica con la Contenzione
La chiave per prevenire la recidiva è indossare correttamente il retainer, come prescritto dall’ortodontista. Ecco alcuni consigli per garantire il successo del trattamento:
- Indossare il retainer come prescritto: Seguire le indicazioni dell’ortodontista sul tempo di utilizzo del retainer è fondamentale. Se ti viene chiesto di indossarlo 24 ore al giorno, è importante farlo per i primi mesi, dopodiché la frequenza può essere ridotta a seconda dei consigli ricevuti.
- Visite di controllo regolari: Prenota visite regolari con il tuo ortodontista per monitorare l’allineamento dei denti e verificare lo stato del retainer.
- Cura adeguata del retainer: Mantieni il retainer pulito e in buone condizioni, come spiegato nella sezione precedente, per evitare che si danneggi o accumuli batteri.
Conclusione
Non indossare il retainer può compromettere seriamente i risultati ottenuti con il trattamento ortodontico. La contenzione dentale è essenziale per mantenere il sorriso perfetto e prevenire la recidiva ortodontica. Seguendo le indicazioni del tuo ortodontista e utilizzando correttamente il retainer, potrai preservare i risultati e godere di un sorriso sano e dritto per molti anni.
Quanto Costa un Retainer Dentale?
Una delle domande più comuni che molti pazienti pongono quando si parla di contenzione ortodontica riguarda il costo dei retainers dentali. Mentre il trattamento ortodontico può essere un investimento significativo, è importante considerare che la fase di contenzione, purtroppo, non è un passaggio gratuito. In questa sezione, esploreremo i costi medi dei retainers dentali, sia per i modelli fissi che rimovibili, per aiutarti a comprendere meglio a cosa vai incontro finanziariamente quando ti viene prescritto un retainer.
Costo dei Retainers Rimovibili
I retainers rimovibili sono dispositivi personalizzati che puoi indossare e togliere facilmente. Di solito, sono costituiti da una mascherina trasparente che si adatta perfettamente alla forma dei tuoi denti. Questi retainers sono molto popolari grazie alla loro comodità, in quanto ti permettono di mantenere un’igiene orale completa senza ostacoli. Tuttavia, nonostante la loro praticità, hanno anche un costo che può variare a seconda del tipo e del materiale utilizzato.
- Costo indicativo: Un retainer rimovibile, come il Essix (un tipo di retainer trasparente), può costare tra 150 e 500 euro. La fascia di prezzo dipende dalla qualità del materiale e dalla personalizzazione del dispositivo.
- Materiali: I retainers trasparenti di alta qualità tendono ad essere più costosi rispetto ai modelli più economici in plastica. Inoltre, i retainers in metallo o plastica rinforzata possono avere un prezzo inferiore.
- Durata e manutenzione: I retainers rimovibili necessitano di una manutenzione regolare e devono essere sostituiti nel tempo, soprattutto se si danneggiano o si deformano. Tuttavia, se curati correttamente, possono durare diversi anni.
Costo dei Retainers Fissi
I retainers fissi, che vengono incollati permanentemente sulla parte posteriore dei denti, sono un’altra opzione popolare per mantenere i denti in posizione dopo il trattamento ortodontico. Questi dispositivi sono meno visibili rispetto ai retainers rimovibili e non richiedono alcuna collaborazione da parte del paziente, in quanto sono permanentemente applicati.
- Costo indicativo: Un retainer fisso solitamente costa tra 300 e 600 euro. Questo prezzo può variare a seconda del dentista, della complessità del trattamento e delle necessità individuali del paziente.
- Materiali: I retainers fissi sono generalmente realizzati con filo metallico (spesso in acciaio o titanio) e resina dentale. In alcuni casi, vengono utilizzati materiali più avanzati e invisibili, ma il costo può aumentare.
- Vantaggi e svantaggi: Sebbene i retainers fissi siano comodi perché non necessitano di rimozione, richiedono un’attenzione particolare per quanto riguarda l’igiene orale. L’accumulo di placca e tartaro può essere più difficile da gestire rispetto ai modelli rimovibili. Tuttavia, sono una soluzione efficace per i pazienti che desiderano una contenzione a lungo termine senza dover ricordarsi di indossare un dispositivo ogni notte.
Cosa Influisce sul Costo del Retainer?
Il costo di un retainer dentale può variare in base a vari fattori. Ecco alcuni degli elementi principali che influiscono sul prezzo:
- Tipo di retainer: I retainers fissi tendono a essere più costosi rispetto ai rimovibili, in quanto richiedono più tempo per l’installazione e spesso richiedono una visita più lunga dal dentista.
- Materiale utilizzato: I materiali di alta qualità, come i retainers trasparenti o quelli in plastica rinforzata, tendono ad avere un costo superiore rispetto ai modelli più economici.
- Visite di controllo: I costi del retainer fisso possono aumentare se è necessaria una manutenzione regolare o se si verifica un problema, come un danno al filo metallico. Le visite di controllo aggiuntive potrebbero comportare costi extra.
- Luogo e specialista: La posizione geografica e l’esperienza dell’ortodontista possono influenzare i costi. Le cliniche nelle grandi città o in aree ad alto costo di vita tendono a praticare tariffe più alte.
L’Importanza di Investire in un Retainer
Sebbene i costi dei retainers possano sembrare elevati, è importante ricordare che l’investimento in un retainer dentale è fondamentale per mantenere i risultati ottenuti dal trattamento ortodontico. Senza un retainer, i denti hanno una forte probabilità di spostarsi di nuovo, il che potrebbe richiedere un altro ciclo di trattamenti ortodontici, con conseguenti ulteriori spese.
- Prevenzione della recidiva: Utilizzare un retainer riduce notevolmente il rischio che i denti tornino nella loro posizione iniziale, risparmiando tempo e denaro per ulteriori trattamenti.
- Risultati duraturi: Un retainer, se indossato correttamente, può mantenere il sorriso perfetto per anni, evitando la necessità di un intervento ortodontico futuro.
Conclusioni sul Costo dei Retainers
Sebbene i retainers dentali possano avere un costo iniziale, il loro utilizzo è essenziale per mantenere i risultati del trattamento ortodontico e per prevenire la recidiva ortodontica. La scelta tra un retainer fisso o rimovibile dipende dalle preferenze personali, dalla durata del trattamento e dal tipo di sorriso che desideri mantenere. Investire in un retainer oggi significa preservare il sorriso perfetto che hai conquistato con tanto impegno.
Quali Sono i Benefici di Indossare un Retainer Dentale?
Dopo aver completato il trattamento ortodontico, molti pazienti si chiedono perché sia necessario continuare a indossare un retainer dentale. Oltre alla funzione di mantenere i denti nella loro posizione corretta, i retainers dentali offrono numerosi benefici che vanno ben oltre la semplice estetica del sorriso. In questa sezione, esploreremo i vantaggi che i retainers offrono, non solo per il sorriso ma anche per la salute dentale a lungo termine.
Prevenzione della Recidiva e Mantenimento dei Risultati Ortodontici
Uno dei principali benefici di un retainer dentale è la sua capacità di prevenire la recidiva ortodontica. Quando i denti sono stati allineati tramite apparecchi ortodontici, i legamenti, le gengive e l’osso circostante hanno bisogno di tempo per adattarsi e stabilizzarsi. Senza un retainer, i denti tendono a ritornare gradualmente nella loro posizione originale, vanificando mesi o anni di trattamento. Ecco come un retainer aiuta a mantenere i risultati:
- Sostegno ai legamenti: Durante l’uso del retainer, i legamenti che circondano i denti vengono stabilizzati, prevenendo il ritorno alla posizione iniziale.
- Sostegno all’osso: Il retainer contribuisce anche a stabilizzare l’osso che supporta i denti, dando al corpo il tempo necessario per rafforzare questa nuova posizione.
- Mantenimento dell’occlusione: Aiuta a mantenere l’occlusione (l’allineamento delle superfici masticanti dei denti) stabile, evitando problemi di morso a lungo termine.
Miglioramento dell’Estetica a Lungo Periodo
Il sorriso perfetto ottenuto grazie all’ortodonzia è sicuramente uno dei principali motivi per cui molte persone intraprendono un trattamento ortodontico. Senza l’uso di un retainer, i denti potrebbero iniziare a spostarsi, rovinando l’estetica che si è ottenuta con tanto impegno. Usare il retainer permette di mantenere il sorriso inalterato nel tempo, con un impatto positivo sull’autostima e sulla fiducia in sé stessi.
- Prevenzione di disallineamenti: Il retainer impedisce che i denti si spostino e si sovrappongano nuovamente, garantendo che il sorriso rimanga bello e allineato.
- Sorriso duraturo: Indossare il retainer permette di mantenere il sorriso ottenuto dal trattamento ortodontico a lungo termine, migliorando l’estetica complessiva del viso.
Prevenzione di Problemi Dentali Futuri
Oltre a mantenere il sorriso perfetto, l’uso del retainer previene problemi dentali futuri che potrebbero emergere se i denti iniziassero a spostarsi. Ecco alcuni dei problemi che possono essere evitati indossando un retainer:
- Affollamento dentale: Se i denti iniziano a muoversi, possono creare spazi stretti dove il cibo può accumularsi, favorendo la formazione di carie dentale e malattie gengivali.
- Problemi di masticazione e morso: Un retainer aiuta a mantenere l’occlusione stabile, prevenendo malocclusioni che potrebbero causare difficoltà a masticare o parlare.
- Riduzione delle forze eccessive: Un retainer riduce le forze che potrebbero causare danni alle radici dei denti, mantenendo la salute generale della bocca.
Comfort e Facilità di Utilizzo
Un altro importante vantaggio di indossare un retainer è il comfort e la facilità d’uso. I retainers rimovibili in plastica o metallo sono leggeri e facili da indossare, senza compromettere le attività quotidiane. Anche i retainers fissi sono generalmente molto tollerati, in quanto non sono visibili e non interferiscono con il parlare o il mangiare.
- Comodità durante la notte: Indossare il retainer solo di notte, in particolare nel caso dei modelli rimovibili, non influisce sulle attività quotidiane, e non c’è bisogno di preoccuparsi di indossarlo durante il giorno.
- Facilità di pulizia: I retainers rimovibili sono facili da pulire ogni giorno, il che rende la manutenzione e l’igiene dentale molto più semplici.
Benefici a Lungo Periodo per la Salute Orale
Infine, uno degli aspetti più importanti di un retainer è che contribuisce al benessere della salute orale generale. Non solo aiuta a mantenere i denti allineati, ma riduce anche il rischio di complicazioni future che potrebbero compromettere la salute dentale. Ad esempio, prevenire il ritorno dei denti nella posizione sbagliata consente di evitare la formazione di spazi interdentali che potrebbero ospitare batteri e tartaro, riducendo così il rischio di malattie gengivali e altre problematiche dentali.
- Riduzione del rischio di malocclusione futura: Il retainer aiuta a mantenere i denti in una posizione funzionale, riducendo il rischio di sviluppare malocclusioni che potrebbero causare danni a lungo termine ai denti e alla mandibola.
- Migliore igiene orale: Un retainer riduce la probabilità che i denti si sovrappongano, permettendo una migliore pulizia interdentale e riducendo il rischio di accumulo di cibo e placca.
Conclusione
In definitiva, l’uso del retainer dentale offre una protezione essenziale per i risultati ottenuti con il trattamento ortodontico. Non solo mantiene il sorriso perfetto, ma previene anche complicazioni future legate alla salute dentale. Con i vari tipi di retainers disponibili, ogni paziente può scegliere quello che meglio si adatta alle proprie esigenze, per garantire che il sorriso raggiunto rimanga stabile nel tempo.
Se desideri ulteriori informazioni sui benefici dei retainers o hai domande sulla manutenzione e pulizia, non esitare a consultare il tuo ortodontista!
Come Mantenere e Pulire il Tuo Retainer
Un aspetto fondamentale per garantire che il retainer dentale continui a funzionare efficacemente nel mantenere il tuo sorriso perfetto è una corretta manutenzione e pulizia. Mantenere il retainer pulito e ben curato non solo aiuta a prolungarne la durata, ma previene anche la formazione di batteri e placca dentale, mantenendo la tua bocca sana. In questa sezione, esploreremo come pulire e mantenere correttamente il tuo retainer per assicurarti che continui a funzionare come previsto.
L’Importanza della Pulizia del Retainer
La pulizia regolare del retainer dentale è essenziale per prevenire problemi di igiene orale come l’alito cattivo, l’accumulo di placca e, nel lungo termine, le malattie gengivali. I batteri che si accumulano nel retainer, soprattutto se non viene pulito correttamente, possono trasferirsi nella bocca e causare infezioni. Ecco alcuni motivi per cui è cruciale mantenere il retainer pulito:
- Prevenzione di alito cattivo: I batteri che si accumulano sul retainer possono causare alito cattivo.
- Mantenimento della salute orale: Pulire regolarmente il retainer aiuta a evitare problemi di gengivite o carie, che potrebbero sorgere a causa dei batteri presenti.
- Prevenzione di danni al retainer: Una corretta pulizia evita che il retainer si deteriori rapidamente a causa dell’accumulo di placca o cibo.
Come Pulire un Retainer Rimovibile
Se hai un retainer rimovibile, la pulizia è abbastanza semplice ma deve essere eseguita con attenzione per garantire la sua lunga durata. Di seguito sono riportati i passaggi essenziali per pulire il retainer rimovibile in plastica o metallo:
- Risciacquo quotidiano: Ogni volta che rimuovi il retainer, risciacqualo sotto l’acqua fredda per rimuovere eventuali residui di cibo.
- Spazzolatura giornaliera: Utilizza uno spazzolino con setole morbide e sapone neutro o un detergente specifico per pulire delicatamente il retainer. Evita di usare il dentifricio, poiché potrebbe danneggiare la superficie del retainer, rendendolo opaco e meno estetico.
- Immersione settimanale: Ogni settimana, immergi il retainer in una soluzione di pulizia effervescente o un prodotto specifico per dentiera. Questo aiuta a rimuovere i batteri che potrebbero accumularsi.
- Evita l’acqua calda: Non utilizzare acqua troppo calda, poiché potrebbe deformare il retainer o danneggiarne la forma.
Come Pulire un Retainer Fisso
Il retainer fisso, che è incollato sui denti, richiede una cura speciale. Poiché non può essere rimosso per essere pulito, è importante adottare una routine di igiene orale molto scrupolosa per evitare accumuli di placca o tartaro attorno al filo metallico. Ecco come mantenere pulito un retainer fisso:
- Spazzolamento accurato: Utilizza uno spazzolino morbido per pulire i denti attorno al retainer. Assicurati di raggiungere anche le aree difficili da raggiungere dietro il filo metallico.
- Uso di spazzolini interdentali: Un spazzolino interdentale è uno strumento utile per pulire tra i denti e attorno al filo del retainer fisso. Questo strumento può raggiungere gli spazi più stretti e rimuovere residui di cibo e placca.
- Filo interdentale: Usa il filo interdentale con attenzione per pulire intorno al filo metallico. Puoi anche utilizzare un filo speciale per retainers fissi, che è progettato per facilitare l’igiene tra i denti e i fili.
- Controlli regolari: È importante programmare visite periodiche dal dentista per monitorare la pulizia e lo stato del retainer fisso e per rimuovere eventuali accumuli di tartaro che non possono essere eliminati con la normale spazzolatura.
Cosa Fare Se Il Tuo Retainer Si Danneggia
Se il tuo retainer si danneggia, è essenziale agire prontamente per evitare che i denti si spostino. Ecco cosa fare se noti che il tuo retainer ha subito dei danni:
- Contatta il dentista: Se il retainer si rompe o si stacca, è importante contattare subito il tuo ortodontista per una riparazione o sostituzione. Non cercare di ripararlo da solo, poiché potrebbe danneggiarlo ulteriormente.
- Non ignorare il danno: Anche un piccolo danno al retainer può compromettere la sua capacità di mantenere i denti in posizione. Se il retainer non è più efficace, i denti potrebbero tornare nella loro posizione originaria.
- Sostituzione tempestiva: Se il danno è irreparabile, il retainer deve essere sostituito al più presto per evitare che i denti si spostino. Un nuovo retainer può essere realizzato e adattato alla nuova posizione dei denti.
Conclusione
Mantenere il tuo retainer pulito e ben curato è essenziale per garantire il successo del trattamento ortodontico e mantenere i risultati nel lungo periodo. Sia che tu stia usando un retainer fisso o rimovibile, seguire una routine di pulizia adeguata aiuterà a mantenere i tuoi denti allineati e la tua bocca sana. Non trascurare la cura del retainer, poiché una manutenzione scorretta può compromettere il lavoro svolto durante il trattamento ortodontico. Assicurati di consultare regolarmente il tuo dentista per monitorare la salute del tuo retainer e fare eventuali aggiustamenti se necessario.
Domande frequenti su Dental Retainers

Il retainer dentale è una parte fondamentale del trattamento ortodontico, ma ci sono ancora molte domande comuni che i pazienti si pongono una volta completato il trattamento. In questa sezione, risponderemo ad alcune delle domande più frequenti relative ai retainere dentali, aiutandoti a comprendere meglio come funziona, quanto tempo devi indossarlo e cosa succede se non segui le indicazioni del tuo ortodontista.
Quanto Tempo Bisogna Indossare un Retainer Dopo l’Apparecchio?
Una delle domande più comuni che i pazienti si pongono è quanto tempo dovranno continuare a indossare il retainer dentale dopo aver rimosso l’apparecchio ortodontico. La risposta a questa domanda varia in base a diversi fattori, tra cui il tipo di trattamento ortodontico che hai avuto, la tua età, e la stabilità dei tuoi denti. In generale, la fase di contenzione non ha una durata prestabilita universale, ma i seguenti passaggi rappresentano una guida generale:
- I primi 3-6 mesi dopo aver rimosso l’apparecchio, è generalmente consigliato indossare il retainer 24 ore al giorno, tranne quando mangi o ti lavi i denti. Questo periodo è cruciale per stabilizzare i denti, poiché, anche se sono allineati, i tessuti circostanti hanno bisogno di tempo per adattarsi alla nuova posizione dei denti.
- Dopo i primi mesi, il retainer dovrebbe essere indossato solo di notte. La durata complessiva di questa fase può variare, ma in media, i pazienti dovrebbero continuare a indossare il retainer almeno per un paio di anni. Alcuni pazienti potrebbero essere in grado di ridurre ulteriormente il tempo di utilizzo, ma solo dopo una valutazione regolare da parte dell’ortodontista.
- Per alcuni pazienti, specialmente quelli con un rischio maggiore di recidiva, l’uso del retainer può essere raccomandato per tutta la vita, soprattutto durante la notte.
In definitiva, è fondamentale seguire le indicazioni del proprio ortodontista e non ridurre il tempo di utilizzo del retainer prima che i denti siano completamente stabilizzati.
Cosa Succede Se Non Indossi il Retainer?
Molti pazienti potrebbero essere tentati di smettere di indossare il retainer una volta che i denti sembrano stabili, ma non farlo potrebbe portare a conseguenze negative. La fase di contenzione è essenziale per mantenere i risultati ottenuti durante il trattamento ortodontico. Ecco cosa può succedere se non indossi il retainer:
- Recidiva ortodontica: La principale conseguenza di non indossare il retainer è che i denti potrebbero spostarsi di nuovo nella loro posizione originale. I denti hanno una “memoria” che tende a riportarli alla posizione iniziale, soprattutto durante i primi mesi dopo la rimozione dell’apparecchio. Questo fenomeno, noto come recidiva, può rendere necessarie nuove correzioni ortodontiche.
- Perdita di progressi: Se i denti tornano alla loro posizione precedente, il trattamento che hai appena completato potrebbe essere compromesso, facendo perdere i progressi fatti con l’apparecchio. La contente ortodontica non è solo un passaggio opzionale, ma una parte essenziale del trattamento per garantire che i denti rimangano nella loro posizione corretta.
- Necessità di un nuovo trattamento ortodontico: In alcuni casi, se non viene indossato il retainer, potrebbe essere necessario un nuovo trattamento ortodontico, il che implica più tempo, impegno e costi per raggiungere nuovamente i risultati desiderati.
- Possibili complicazioni: Quando i denti iniziano a spostarsi, potrebbero anche comparire problemi di morso o disallineamenti che influenzano la funzionalità della masticazione e potrebbero portare a dolore o difficoltà nell’occlusione dei denti.
Conclusione
Indossare il retainer dentale come indicato dal tuo ortodontista è fondamentale per mantenere i risultati ottenuti con l’ortodonzia. Non seguire correttamente le istruzioni potrebbe portare a spostamenti indesiderati dei denti e, in alcuni casi, richiedere un nuovo trattamento. Se hai dubbi su quanto tempo dovresti indossare il retainer o su come prenderti cura di esso, è sempre meglio consultare il tuo ortodontista per ricevere le indicazioni più appropriate per il tuo caso specifico. Non dimenticare che la fase di contenzione ortodontica è altrettanto importante quanto il trattamento stesso!





