Table of Contents
ToggleCosa Sono Le Resine Composite E Qual È La Differenza Con La Resina?

Le resine composite sono materiali utilizzati in odontoiatria per la ricostruzione dentale, offrendo una soluzione estetica e funzionale per ripristinare denti danneggiati. Si tratta di una combinazione di una matrice resinosa e particelle di riempitivo che conferiscono resistenza e durabilità.
Che Differenza C’è Tra Resina e Composito?
Molti pazienti si chiedono quale sia la differenza tra resina e composito. La resina dentale è un materiale plastico più semplice, spesso utilizzato per riparazioni temporanee o interventi fai-da-te. Il composito, invece, è una combinazione avanzata di resina e materiali di riempitivo, progettato per garantire una maggiore resistenza e un aspetto estetico naturale.
Cosa Vuol Dire Ricostruzione in Composito?
La ricostruzione in composito si riferisce all’applicazione di resine composite per riparare o migliorare i denti danneggiati, scheggiati o usurati. Questo trattamento permette di ripristinare non solo la funzionalità ma anche l’estetica del dente.
Quali Sono I Vantaggi Dei Materiali Compositi?
Le resine composite offrono numerosi vantaggi, tra cui:
- Estetica eccellente: Si mimetizzano perfettamente con i denti naturali.
- Minimamente invasivo: Richiede meno rimozione di tessuto dentale rispetto alle otturazioni in amalgama.
- Versatilità: Possono essere utilizzate per otturazioni, ricostruzioni estetiche e chiusura di diastemi.
- Durabilità: Con una corretta manutenzione, le otturazioni in composito possono durare molti anni.
- Sicurezza: Non contengono mercurio, a differenza delle otturazioni in amalgama.
Cosa Significa Denti in Composito?
I denti in composito sono quelli che sono stati trattati o ricostruiti utilizzando resine composite. Questi restauri sono progettati per integrare perfettamente il colore e la forma del dente naturale, fornendo una soluzione estetica duratura.
Quanto Costa La Resina Composita Per I Denti?
Il costo della resina composita per i denti varia in base a diversi fattori, come la complessità del trattamento, l’esperienza del dentista e la localizzazione dello studio. Le otturazioni e ricostruzioni in composito rappresentano un’opzione estetica e funzionale, ma è importante conoscere i costi associati prima di procedere con il trattamento.
Quanto Costa Mettere La Resina Sui Denti?
Il prezzo per applicare la resina sui denti dipende dalla dimensione e dalla posizione della ricostruzione. In media, il costo di una ricostruzione in composito può variare da:
- 50€ a 150€ per piccoli ritocchi estetici.
- 100€ a 300€ per ricostruzioni più complesse di una singola superficie del dente.
- 300€ a 600€ per restauri estesi o ricostruzioni di più denti.
Quanto Costa Un’Otturazione In Composito?
Il costo di un’otturazione in composito dipende dalla profondità della cavità e dal numero di superfici interessate. I prezzi medi sono:
- Otturazione di piccole dimensioni: 80€ – 150€
- Otturazione di medie dimensioni: 150€ – 250€
- Otturazione estesa su più superfici: 250€ – 400€
Le otturazioni in composito sono più costose rispetto a quelle in amalgama, ma offrono una resa estetica superiore e sono prive di materiali tossici come il mercurio.
Quanto Costa Ricostruire Un Dente Con Composito?
La ricostruzione dentale con composito è indicata per ripristinare la forma e la funzione di denti danneggiati. Il costo medio per questo tipo di intervento può variare tra:
- 150€ – 350€ per ricostruzioni parziali.
- 400€ – 800€ per ricostruzioni complete su un dente gravemente danneggiato.
Quanto Costa Una Corona In Composito?
Le corone in composito sono utilizzate per proteggere denti gravemente danneggiati o devitalizzati. Anche se meno durevoli rispetto alle corone in ceramica, rappresentano una soluzione economica ed esteticamente soddisfacente. I prezzi medi per una corona in composito sono:
- 300€ – 600€ per una corona singola.
- 600€ – 1.200€ per trattamenti multipli o corone su impianti.
Prima di scegliere una corona in composito, è fondamentale considerare i pro e i contro, valutando con il proprio dentista le alternative disponibili in base alle esigenze estetiche e funzionali.
Quanto Durano Le Otturazioni E Ricostruzioni In Composito?
La durata delle otturazioni e ricostruzioni in composito dipende da diversi fattori, tra cui la qualità del materiale utilizzato, la tecnica di applicazione, l’igiene orale del paziente e le abitudini alimentari. Le otturazioni in composito sono progettate per durare a lungo, ma è importante conoscerne la durata e i fattori che ne influenzano la longevità.
Quanto Durano Le Otturazioni In Composito?
In media, un’otturazione in composito può durare tra i 5 e i 10 anni, se ben curata. Tuttavia, la durata può essere influenzata da:
- L’uso corretto del dente (evitare di mordere cibi duri o oggetti).
- L’igiene orale quotidiana, come spazzolatura e utilizzo del filo interdentale.
- Controlli dentistici regolari per monitorare l’integrità dell’otturazione.
Quanto Dura Un Dente Ricostruito In Composito?
Un dente ricostruito in composito può avere una durata media di 7-15 anni, ma dipende da vari fattori, tra cui:
- L’estensione del restauro: le ricostruzioni più estese tendono a usurarsi più velocemente.
- La qualità della resina composita utilizzata.
- Le abitudini masticatorie del paziente, come il bruxismo (digrignamento dei denti).
Quanto Dura Un Dente In Composito?
I denti in composito, come le faccette o le ricostruzioni estetiche, possono mantenersi in buone condizioni per 5-10 anni, a condizione che:
- Si eviti il consumo eccessivo di bevande e cibi pigmentati come caffè, vino e tè.
- Si pratichi una corretta igiene orale per prevenire l’accumulo di placca batterica.
- Si effettuino visite regolari dal dentista per eventuali ritocchi o sostituzioni.
Quanto Dura Una Faccetta In Composito?
Le faccette in composito, utilizzate per migliorare l’estetica del sorriso, hanno una durata media di 5-7 anni. Tuttavia, possono durare più a lungo con una manutenzione adeguata e adottando buone pratiche come:
- Evitare cibi molto duri o appiccicosi che possono compromettere l’integrità della faccetta.
- Usare un bite notturno in caso di bruxismo per prevenire usura e rottura.
- Sottoporsi a regolari sedute di igiene professionale per mantenere la brillantezza e la pulizia.
Quanto Sono Resistenti I Denti In Resina?
I denti in resina composita offrono una resistenza adeguata per la maggior parte delle funzioni masticatorie quotidiane. Tuttavia, rispetto alla ceramica, la resina è meno resistente e più soggetta ad abrasione e scolorimento nel tempo. I fattori che influenzano la resistenza includono:
- La tecnica di applicazione e stratificazione della resina.
- L’adesione ai tessuti dentali naturali.
- L’usura dovuta alle abitudini alimentari e igieniche del paziente.
Come Si Mantiene E Rimuove La Resina Composita Dai Denti? 
La corretta manutenzione della resina composita è essenziale per preservarne l’aspetto e la funzionalità nel tempo. Tuttavia, può accadere che si renda necessaria la rimozione del materiale per motivi estetici o funzionali. Scopriamo come mantenere e rimuovere la resina composita in modo efficace.
Come Si Toglie Il Composito Dai Denti?
La rimozione della resina composita dai denti è un processo delicato che deve essere eseguito da un professionista per evitare danni allo smalto naturale. Le tecniche più comuni includono:
- Strumenti rotanti a bassa velocità, come frese diamantate, per rimuovere il composito senza compromettere il dente sottostante.
- Sistemi ad ultrasuoni, che aiutano a dissolvere la resina senza generare calore eccessivo.
- Sabbiatura dentale, una tecnica minimamente invasiva che utilizza particelle abrasive per rimuovere il composito.
È importante non tentare di rimuovere il composito autonomamente, poiché si rischia di danneggiare lo smalto dentale.
Come Si Toglie La Resina Dai Denti?
Nel caso di resina non adesiva, come le resine provvisorie o applicazioni di fai da te, la rimozione può essere effettuata con:
- Strumenti odontoiatrici specifici, per eliminare la resina senza intaccare la superficie dentale.
- Pasta lucidante e spazzolini rotanti, per rifinire eventuali residui di resina rimasti sui denti.
- Tecniche di levigatura minimamente invasive, che permettono di ripristinare la superficie del dente.
Perché La Resina Si Stacca?
La resina composita può staccarsi dai denti a causa di diversi fattori, tra cui:
- Scarsa adesione iniziale, dovuta a una preparazione inadeguata della superficie dentale.
- Masticazione di cibi duri, che possono provocare microfratture e perdita di adesione.
- Bruxismo, ovvero il digrignamento involontario dei denti, che esercita una pressione eccessiva sulla ricostruzione.
- Cambiamenti di temperatura, che causano espansione e contrazione della resina, compromettendo l’adesione.
Per prevenire il distacco della resina, è importante seguire le istruzioni del dentista e adottare una buona igiene orale.
Dove Non Si Attacca La Resina?
La resina composita non si attacca efficacemente su superfici:
- Umide o contaminate, come denti non adeguatamente asciugati prima dell’applicazione.
- Metalli o ceramiche, che richiedono trattamenti adesivi specifici per favorire la tenuta della resina.
- Materiali altamente lucidi, che necessitano di una mordenzatura per creare una superficie di adesione adeguata.
Un’adeguata preparazione del dente, come la mordenzatura e l’uso di adesivi appropriati, è fondamentale per garantire una buona adesione della resina.
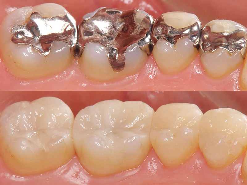
Su Quale Materiale Non Attacca La Resina?
La resina composita ha difficoltà ad aderire su:
- Superfici metalliche lisce, come otturazioni in amalgama o corone metalliche.
- Materiali ceramici, che necessitano di specifici primer per garantire un’adesione efficace.
- Protesi in resina acrilica, che spesso richiedono l’uso di adesivi specifici.
Cosa Si Può Usare Al Posto Della Resina?
Se la resina composita non è l’opzione più adatta, esistono diverse alternative per la ricostruzione dentale, tra cui:
- Ceramica dentale, altamente estetica e resistente all’abrasione.
- Intarsi in porcellana, che offrono una soluzione duratura per le ricostruzioni posteriori.
- Materiali bioattivi, che rilasciano ioni minerali per proteggere i denti dalla carie.
- Amalgama dentale, ancora utilizzata per la sua resistenza nelle zone ad alto stress masticatorio, sebbene meno estetica.
Adottare l’opzione più adatta dipende dalle esigenze specifiche del paziente, dalle condizioni del dente e dal consiglio del dentista.
Quali Sono I Tipi E Le Proprietà Delle Resine Composite?
Le resine composite utilizzate in odontoiatria si distinguono per le loro diverse formulazioni, proprietà meccaniche ed estetiche. Ogni tipologia di resina è progettata per rispondere a specifiche esigenze cliniche, garantendo resistenza, estetica e durabilità.
Quali Sono Le Migliori Resine?
Le migliori resine composite per uso odontoiatrico si distinguono in base a diversi fattori come:
- Estetica, con resine ad alta traslucenza e opalescenza per restauri anteriori.
- Resistenza all’abrasione, necessaria per le zone posteriori sottoposte a carichi masticatori elevati.
- Facilità di manipolazione, importante per l’operatore durante la stratificazione e modellazione.
- Adesione duratura, garantendo una lunga tenuta senza rischio di distacco.
- Resistenza alla pigmentazione, per evitare macchie dovute al cibo, bevande o fumo.
Tra i marchi più noti, troviamo 3M Filtek™, GC G-aenial™, Ivoclar Tetric EvoCeram™, che offrono resine composite con eccellenti proprietà estetiche e meccaniche.
Quanti Tipi Di Resine Ci Sono?
Le resine composite possono essere classificate in base a diversi criteri, tra cui la composizione, il tipo di riempitivo e il loro utilizzo clinico. Le principali categorie includono:
- Resine composite microibride:
- Bilanciano estetica e resistenza meccanica.
- Ideali per restauri anteriori e posteriori.
- Contengono particelle di riempitivo di dimensioni variabili per una migliore lucentezza.
- Resine composite nanoriempite:
- Offrono una finitura superficiale estremamente liscia e naturale.
- Alta resistenza all’abrasione e alla pigmentazione.
- Indicate per restauri estetici su denti frontali.
- Resine composite fluide (flowable):
- Bassa viscosità, ideale per lesioni cavitarie di piccole dimensioni.
- Perfette per sigillature e strati base nei restauri compositi.
- Resine bulk-fill:
- Consentono di riempire cavità profonde con un unico strato.
- Riducono il tempo operativo e lo stress da contrazione.
- Utilizzate principalmente per restauri posteriori.
- Resine composite ibride:
- Combinano particelle di diverse dimensioni per garantire resistenza e maneggevolezza.
- Ampia versatilità in restauri estetici e funzionali.
Quanto È Dura La Resina?
La durezza della resina composita è un parametro essenziale per valutare la sua resistenza nel tempo. La durezza dipende da vari fattori:
- Quantità di riempitivo inorganico, che influisce sulla resistenza all’usura.
- Tecnica di fotopolimerizzazione, una polimerizzazione errata può compromettere la durezza finale.
- Tipo di resina, con materiali più resistenti per i settori posteriori.
- Carico masticatorio, che può causare usura nel tempo se il materiale non è adeguato.
Le resine composite di alta qualità presentano una durezza superficiale elevata, permettendo una maggiore resistenza all’abrasione e una lunga durata, anche in condizioni di elevata usura come nei molari.
Come Viene Utilizzata La Resina Composita In Odontoiatria?

La resina composita per denti viene ampiamente utilizzata in odontoiatria per numerosi trattamenti estetici e funzionali. Grazie alla sua versatilità, permette di eseguire restauri minimamente invasivi, migliorando l’estetica e la funzionalità del sorriso del paziente.
Come Sono I Denti In Composito?
I denti in composito sono restauri estetici realizzati con resine composite che replicano l’aspetto naturale del dente. Le caratteristiche principali includono:
- Aspetto naturale, grazie a materiali disponibili in diverse tonalità per adattarsi al colore dei denti circostanti.
- Resistenza alla frattura, consentendo di ricostruire denti danneggiati senza compromettere la loro funzionalità.
- Versatilità, adatti a ricostruzioni anteriori e posteriori.
- Procedura rapida, che spesso si completa in una sola seduta.
Le ricostruzioni in composito si adattano perfettamente alla forma del dente, offrendo una soluzione estetica e duratura.
Quali Sono Le Applicazioni Della Resina Composita Per I Denti?
La resina composita per denti viene utilizzata in diversi trattamenti odontoiatrici, tra cui:
- Otturazioni estetiche, per restaurare cavità cariose in modo discreto e funzionale.
- Ricostruzione di denti scheggiati, riparando rapidamente piccoli danni con risultati naturali.
- Chiusura di diastemi, riducendo gli spazi tra i denti senza interventi invasivi.
- Correzione delle discromie, per migliorare l’estetica dei denti macchiati.
- Restauri di emergenza, utili per trattamenti rapidi su denti danneggiati.
Grazie alla sua malleabilità e alla possibilità di essere stratificata, la resina composita è una scelta ideale per restauri estetici personalizzati.
Cos’è La Resina Per Denti Fai Da Te?
La resina per denti fai da te è una soluzione temporanea che alcune persone utilizzano per riparazioni dentali casalinghe. Tuttavia, è importante considerare i limiti e i rischi associati:
- Utilizzo temporaneo, non rappresenta una soluzione a lungo termine.
- Mancanza di adesione professionale, può staccarsi facilmente con la masticazione.
- Rischio di infezioni, se non applicata correttamente.
- Possibile danno ai denti naturali, a causa di applicazioni non professionali.
Si raccomanda sempre di consultare un dentista per ottenere un trattamento sicuro e duraturo piuttosto che ricorrere a soluzioni fai da te.
La Resina Per Denti Scheggiati È Una Soluzione Efficace?
La resina per denti scheggiati rappresenta un’opzione efficace e minimamente invasiva per riparare piccole fratture. I vantaggi includono:
- Riparazione immediata, con un procedimento che può essere completato in una sola visita.
- Risultato estetico eccellente, grazie alla capacità di abbinare il colore dei denti naturali.
- Protezione della struttura dentale, prevenendo ulteriori danni o carie.
- Durata variabile, con controlli regolari per garantire la longevità del restauro.
Se applicata correttamente da un dentista esperto, la resina composita può garantire un sorriso armonioso e funzionale per diversi anni.
Quanto Durano Le Otturazioni In Composito?
La durata delle otturazioni in composito dipende da diversi fattori, tra cui la qualità del materiale utilizzato, le abitudini del paziente e la posizione del dente restaurato. In generale, le otturazioni in composito possono durare dai 5 ai 10 anni, ma con una corretta manutenzione possono raggiungere anche i 15 anni.
Quanto Dura Un Dente Ricostruito In Composito?
Un dente ricostruito con resina composita può avere una durata variabile in base a:
- La posizione del dente, i denti posteriori sono soggetti a maggiore usura rispetto agli anteriori.
- Le abitudini del paziente, come il bruxismo o il consumo frequente di cibi duri.
- La tecnica di applicazione, una stratificazione corretta della resina migliora la durata.
- La qualità del composito, materiali di alta qualità offrono maggiore resistenza e longevità.
In condizioni ottimali, una ricostruzione in composito può durare tra i 5 e i 12 anni, con controlli regolari dal dentista.
Quanto Dura Un Dente In Composito?
La longevità di un dente in composito dipende dalla cura e dalla manutenzione. Alcuni fattori da considerare sono:
- Igiene orale adeguata, lavarsi i denti almeno due volte al giorno e usare il filo interdentale.
- Visite regolari dal dentista, per monitorare eventuali segni di usura o carie secondarie.
- Evitare cibi e bevande altamente pigmentate, per prevenire discromie e macchie.
- Utilizzo di un bite notturno, in caso di bruxismo per proteggere le ricostruzioni.
In media, un dente restaurato con resina composita può mantenere la sua integrità estetica e funzionale per 7-10 anni.
Quanto Dura Una Faccetta In Composito?
Le faccette in composito sono una soluzione estetica meno invasiva rispetto a quelle in ceramica, ma la loro durata è inferiore. Generalmente, possono durare:
- Dai 5 agli 8 anni, con una buona cura e manutenzione.
- Maggior rischio di macchie, rispetto alle faccette in ceramica.
- Possibilità di scheggiature, soprattutto se esposte a stress masticatori elevati.
Le faccette in composito offrono comunque una buona estetica e sono facilmente riparabili in caso di danneggiamento.
Quanto Sono Resistenti I Denti In Resina?
La resistenza dei denti in resina composita dipende da:
- La qualità del materiale, esistono resine composite di alta resistenza specifiche per i denti posteriori.
- Il carico masticatorio, i molari richiedono materiali più resistenti rispetto agli incisivi.
- Lo spessore della ricostruzione, uno strato più spesso garantisce maggiore durabilità.
Sebbene meno resistenti rispetto alle corone in ceramica, i denti in resina composita possono resistere alle normali forze masticatorie e mantenere una buona funzionalità per diversi anni con la giusta cura.
Come Si Toglie Il Composito Dai Denti?
La rimozione della resina composita dai denti è un processo che deve essere eseguito con attenzione per evitare danni allo smalto. Generalmente, il dentista utilizza strumenti specifici come frese diamantate o ultrasuoni per rimuovere il composito senza compromettere la struttura dentale naturale.
Come Si Toglie La Resina Dai Denti?
Il composito può essere rimosso con diverse tecniche professionali, tra cui:
- Strumenti rotanti a bassa velocità, che permettono una rimozione precisa senza surriscaldare il dente.
- Abrasione con bicarbonato di sodio, utilizzata per rimuovere piccole tracce di resina senza danneggiare lo smalto.
- Laser dentale, una tecnologia innovativa che permette di eliminare la resina in modo selettivo e minimamente invasivo.
- Polishing finale, per eliminare eventuali residui di resina e ripristinare la superficie del dente.
È sconsigliato tentare la rimozione del composito a casa, poiché si rischia di danneggiare il dente e provocare sensibilità.
Perché La Resina Si Stacca?
La resina composita può staccarsi per diverse ragioni, tra cui:
- Scarsa adesione iniziale, dovuta a un’errata applicazione del sistema adesivo.
- Masticazione di cibi duri o abitudini nocive, come mordere unghie o penne.
- Digrignamento dei denti (bruxismo), che sottopone le otturazioni a stress eccessivo.
- Cattiva igiene orale, che può portare alla carie secondaria e compromettere la tenuta della resina.
- Invecchiamento del materiale, poiché nel tempo la resina può perdere la sua adesione e resistenza.
Una manutenzione regolare e controlli dal dentista possono prevenire il distacco del composito.
Dove Non Si Attacca La Resina?
La resina composita non aderisce efficacemente su:
- Superfici metalliche, come vecchie otturazioni in amalgama.
- Materiali ceramici, senza l’uso di primer specifici per l’adesione.
- Smaltature non adeguatamente preparate, in assenza di mordenzatura o primer.
- Superfici umide o contaminate, poiché l’umidità può compromettere l’adesione della resina.
Per garantire un’adesione ottimale, è fondamentale che il dente sia asciutto e ben preparato prima dell’applicazione.
Su Quale Materiale Non Attacca La Resina?
Alcuni materiali dentali e superfici ostacolano l’adesione della resina, tra cui:
- Porcellana, se non trattata con appositi agenti di adesione.
- Oro e altri metalli preziosi, a causa della loro superficie liscia e inerte.
- Materiali a base di polietilene, comunemente utilizzati in alcune protesi dentarie.
In questi casi, è necessario utilizzare adesivi speciali per garantire una tenuta adeguata.
Cosa Si Può Usare Al Posto Della Resina?
In alternativa alla resina composita, si possono utilizzare materiali diversi per la ricostruzione dentale, come:
- Ceramica dentale, per una maggiore resistenza e durata.
- Intarsi in composito o ceramica, che offrono una soluzione più resistente rispetto alle otturazioni dirette.
- Cementi vetroionomerici, utilizzati per le otturazioni nei settori posteriori, con rilascio di fluoro per prevenire la carie.
- Amalgama dentale, ancora utilizzata in alcuni casi per la sua resistenza, anche se meno estetica rispetto ai compositi moderni.
La scelta del materiale dipende dalle esigenze funzionali ed estetiche del paziente, oltre che dalla posizione del dente da trattare.
Quali Sono Le Migliori Resine?
La scelta della migliore resina composita per i denti dipende da diversi fattori, tra cui l’area da trattare, le esigenze estetiche e funzionali del paziente e la tecnica adottata dal dentista. Le resine di ultima generazione offrono un eccellente equilibrio tra estetica, resistenza e longevità.
Caratteristiche Delle Migliori Resine Composite
Le resine composite di alta qualità devono possedere caratteristiche specifiche, tra cui:
- Alta resistenza all’abrasione, per garantire la durata del restauro nel tempo.
- Elevata estetica, con capacità di mimetizzarsi perfettamente con i denti naturali.
- Basso tasso di contrazione da polimerizzazione, per ridurre il rischio di microfessure e infiltrazioni.
- Facilità di modellazione, per una corretta applicazione e adattamento alla forma del dente.
- Buona radiopacità, che consente una chiara identificazione nelle radiografie dentali.
- Versatilità di utilizzo, sia per ricostruzioni anteriori che posteriori.
Marche Di Resine Composite Più Utilizzate
Tra le marche più rinomate nel settore odontoiatrico, troviamo:
- 3M Filtek, nota per la sua eccellente estetica e durata.
- Ivoclar Tetric EvoCeram, che offre una gamma di colori naturali e alta resistenza meccanica.
- GC Gradia Direct, apprezzata per la sua versatilità e semplicità di applicazione.
- Kulzer Venus Pearl, con ottime proprietà di lucentezza e lucidabilità nel tempo.
- Dentsply Sirona Ceram X, ideale per restauri estetici di alta qualità.
Ogni marca offre soluzioni specifiche per differenti tipi di ricostruzione dentale, garantendo risultati personalizzati per ogni paziente.
Quanti Tipi Di Resine Ci Sono?
Esistono diverse tipologie di resine composite dentali, classificate in base alla composizione e all’utilizzo clinico. Ogni tipo di resina è formulato per specifiche esigenze di restauro e varia in base alla percentuale di riempitivo e alle proprietà meccaniche.
Tipologie Di Resine Composite
Le principali tipologie di resine composite includono:
- Microibridi, caratterizzate da una combinazione di particelle di diverse dimensioni per un miglior equilibrio tra estetica e resistenza.
- Nanoriempite, contenenti nanoparticelle che conferiscono elevata resistenza all’usura e una lucentezza duratura.
- Fluidi (flowable), utilizzate per piccoli restauri e sigillature grazie alla loro bassa viscosità.
- Packable, con una consistenza più densa per restauri posteriori che richiedono maggiore resistenza alla pressione masticatoria.
- Bulk-fill, progettate per essere applicate in strati più spessi, riducendo i tempi di lavorazione e polimerizzazione.
Quale Tipo Di Resina Scegliere?
La scelta della resina dipende da diversi fattori clinici, tra cui:
- La posizione del dente da restaurare (anteriore o posteriore).
- Le esigenze estetiche e di mimetizzazione con i denti naturali.
- Il livello di stress masticatorio a cui sarà sottoposto il restauro.
- La preferenza del dentista per tecniche di stratificazione o applicazione diretta.
Un’analisi dettagliata delle esigenze del paziente aiuta a determinare il tipo di resina più adatto per ottenere un restauro duraturo ed esteticamente soddisfacente.
Quanto È Dura La Resina?
La resistenza della resina composita è una caratteristica fondamentale per garantire la durata del restauro nel tempo. Le resine dentali moderne offrono una combinazione ottimale di durezza e flessibilità per resistere alle forze masticatorie senza fratturarsi facilmente.
Fattori Che Influenzano La Durezza Della Resina
La durezza della resina dipende da vari fattori, tra cui:
- Percentuale di riempitivo inorganico, che migliora la resistenza all’abrasione.
- Tecnica di polimerizzazione, poiché un’indurimento corretto garantisce una struttura più compatta e resistente.
- Tipologia della resina, con alcune formulazioni più dure rispetto ad altre (es. packable rispetto alle fluide).
- Spessore dell’applicazione, poiché strati troppo sottili possono risultare meno resistenti.
- Abitudini del paziente, come bruxismo o consumo di alimenti duri, che possono influenzare la durata della resina.
Resistenza Della Resina Composita Rispetto Ad Altri Materiali
Rispetto ad altri materiali da restauro, la resina composita offre:
- Maggior resistenza rispetto ai cementi vetroionomerici, ma inferiore rispetto alla ceramica.
- Flessibilità superiore rispetto alla ceramica, che la rende meno soggetta a fratture sotto carichi improvvisi.
- Buona resistenza all’usura, ma con necessità di controlli periodici per mantenere l’integrità del restauro.
Per ottenere una resistenza ottimale, è fondamentale seguire le istruzioni del dentista per la manutenzione della resina e adottare buone pratiche di igiene orale.
Come Sono I Denti In Composito?

I denti in composito rappresentano una soluzione estetica e funzionale per ricostruire denti danneggiati, scheggiati o usurati. Grazie alle proprietà avanzate delle resine composite, i restauri risultano naturali e armoniosi con il resto della dentatura, offrendo un’ottima alternativa ai materiali tradizionali.
Aspetto Estetico Dei Denti In Composito
I restauri in composito sono noti per la loro capacità di replicare fedelmente l’aspetto dei denti naturali. Alcuni aspetti estetici includono:
- Colorazione personalizzata, grazie a una vasta gamma di tonalità disponibili per abbinarsi al colore naturale dei denti.
- Lucentezza simile allo smalto dentale, che conferisce un aspetto brillante e naturale.
- Traslucenza controllata, che permette di ottenere un effetto estetico realistico.
- Adattabilità alla forma del dente, per una perfetta integrazione con il resto della dentatura.
Funzionalità Dei Denti In Composito
Oltre all’estetica, i denti in composito offrono eccellenti prestazioni funzionali, quali:
- Resistenza alle forze masticatorie, adatta per restauri nei settori anteriori e posteriori.
- Buona adesione ai tessuti dentali, che garantisce stabilità nel tempo.
- Bassa invasività del trattamento, preservando la struttura dentale naturale.
- Riparabilità, consentendo di intervenire su piccole fratture o usure senza sostituire completamente il restauro.
Resina Composita Per Denti: Quali Sono Le Opzioni Disponibili?
La resina composita per denti è disponibile in diverse formulazioni, ciascuna studiata per rispondere a specifiche esigenze cliniche ed estetiche. La scelta della resina più adatta dipende dall’area da trattare e dalle necessità del paziente.
Tipologie Di Resina Composita Per Denti
Esistono vari tipi di resine composite utilizzate per restauri dentali, tra cui:
- Resine composite microibride, ideali per restauri estetici di lunga durata.
- Resine nanoriempite, note per la loro elevata resistenza e brillantezza prolungata.
- Resine fluide (flowable), utilizzate per piccoli restauri e sigillature preventive.
- Resine bulk-fill, progettate per ridurre i tempi di applicazione nei restauri posteriori.
Vantaggi Della Resina Composita Per Denti
I principali vantaggi dell’utilizzo della resina composita includono:
- Estetica eccellente, con la possibilità di scegliere colori che si mimetizzano perfettamente con il dente naturale.
- Minima rimozione di tessuto dentale, mantenendo intatta la struttura originale.
- Costo accessibile, rispetto ad altre soluzioni come le faccette o le corone in ceramica.
- Applicazione rapida e semplice, spesso eseguibile in un’unica seduta dal dentista.
Resina Per Denti Scheggiati: Una Soluzione Efficace?
La resina per denti scheggiati è una delle soluzioni più comuni per riparare danni estetici e funzionali ai denti anteriori e posteriori. Questo materiale permette di ricostruire la parte mancante del dente in modo rapido ed efficace, restituendo un sorriso naturale.
Come Funziona La Ricostruzione Di Un Dente Scheggiato?
Il processo di ricostruzione con resina composita prevede le seguenti fasi:
- Preparazione del dente, con una leggera abrasione per facilitare l’adesione della resina.
- Applicazione di un agente adesivo, che consente un’adesione stabile e duratura.
- Stratificazione della resina composita, modellata per ripristinare la forma originaria del dente.
- Indurimento con luce LED, per conferire resistenza e durezza al restauro.
- Finitura e lucidatura, per ottenere un aspetto naturale e brillante.
Benefici Della Resina Per La Riparazione Di Denti Scheggiati
Optare per la resina composita per la riparazione di denti scheggiati offre diversi vantaggi, tra cui:
- Rapida esecuzione, spesso completabile in una sola visita.
- Soluzione poco invasiva, preservando la struttura dentale sana.
- Costo contenuto, rispetto a trattamenti più complessi come le faccette o le corone.
- Riparabilità, consentendo ulteriori interventi in caso di nuovi danni o usura.
Resina Per Denti Fai Da Te: È Una Soluzione Sicura?
L’uso della resina per denti fai da te è diventato popolare tra coloro che cercano soluzioni rapide ed economiche per piccoli problemi dentali, come scheggiature o riempimenti temporanei. Tuttavia, è importante valutare attentamente i rischi e le limitazioni di questi prodotti prima di utilizzarli.
Cosa Sono Le Resine Per Denti Fai Da Te?
Le resine fai da te sono materiali dentali temporanei venduti in kit che consentono ai pazienti di effettuare piccole riparazioni a casa. Questi kit di solito includono:
- Materiale composito a indurimento rapido, spesso con catalizzatori chimici o a base di luce.
- Strumenti di modellazione, per adattare la resina alla forma del dente.
- Istruzioni per l’applicazione, che guidano passo dopo passo nel processo di riparazione.
Vantaggi Delle Resine Fai Da Te
L’utilizzo di una resina per denti fai da te offre alcuni vantaggi, tra cui:
- Costo ridotto, rispetto a un intervento professionale dal dentista.
- Soluzione temporanea rapida, utile per emergenze come otturazioni cadute o piccole scheggiature.
- Facilità d’uso, con istruzioni chiare e applicazione semplice.
Rischi E Limiti Delle Resine Fai Da Te
Nonostante la loro praticità, le resine fai da te presentano diversi rischi e limitazioni:
- Durata limitata, poiché non garantiscono una tenuta duratura come le soluzioni professionali.
- Adesione non ottimale, che può portare a infiltrazioni batteriche e carie secondarie.
- Possibili reazioni allergiche, dovute agli ingredienti chimici contenuti nelle resine.
- Difficoltà nell’applicazione, che può portare a risultati estetici e funzionali scadenti.
Quando Evitare Le Resine Fai Da Te?
L’utilizzo di resine dentali fai da te è sconsigliato nei seguenti casi:
- Danni estesi o profondi, che richiedono l’intervento di un dentista qualificato.
- Denti con carie avanzata, che necessitano di una pulizia professionale prima di essere ricostruiti.
- Problemi estetici complessi, per cui è necessaria una pianificazione odontoiatrica accurata.
Resina Per Denti Scheggiati: Quali Soluzioni Sono Disponibili?
I denti scheggiati possono rappresentare un problema estetico e funzionale, influenzando sia il sorriso che la masticazione. La resina per denti scheggiati è una delle soluzioni più utilizzate per ripristinare l’integrità del dente in modo efficace e minimamente invasivo.
Cosa Fare In Caso Di Dente Scheggiato?
Quando un dente si scheggia, è importante agire tempestivamente per evitare ulteriori danni. Ecco alcuni passaggi da seguire:
- Consultare un dentista per valutare l’entità del danno.
- Evitare cibi duri che potrebbero aggravare la scheggiatura.
- Mantenere una corretta igiene orale per prevenire infezioni.
Come Funziona La Ricostruzione Con Resina Composita?
La ricostruzione con resina composita per denti scheggiati segue un processo preciso, che include le seguenti fasi:
- Preparazione del dente: il dentista pulisce la superficie danneggiata e applica un agente adesivo.
- Applicazione della resina: la resina viene modellata con precisione per ripristinare la forma naturale del dente.
- Indurimento con luce UV: la resina viene polimerizzata per garantire una struttura resistente.
- Rifinitura e lucidatura: il dente viene sagomato e lucidato per un aspetto naturale e armonioso.
Vantaggi Della Resina Composita Per Denti Scheggiati
L’uso della resina per la ricostruzione dei denti scheggiati offre numerosi vantaggi:
- Aspetto naturale: la resina è disponibile in diverse tonalità per adattarsi al colore dei denti.
- Procedura minimamente invasiva: non richiede la rimozione significativa della struttura dentale originale.
- Costo contenuto: rispetto a soluzioni come faccette o corone, la resina è più accessibile economicamente.
- Rapidità del trattamento: spesso, la riparazione può essere completata in un’unica seduta.
Svantaggi Della Resina Composita Per Denti Scheggiati
Nonostante i numerosi vantaggi, ci sono alcuni aspetti negativi da considerare:
- Durata inferiore rispetto alla ceramica, con una maggiore tendenza all’usura.
- Possibile scolorimento, soprattutto se esposti frequentemente a cibi e bevande pigmentate.
- Sensibilità post-trattamento, che potrebbe manifestarsi per alcuni giorni dopo la procedura.
Quando È Preferibile Una Soluzione Alternativa Alla Resina?
In alcuni casi, la resina composita potrebbe non essere la soluzione ideale e il dentista potrebbe raccomandare alternative come:
- Faccette in ceramica, per garantire una maggiore durabilità e resistenza estetica.
- Corone dentali, in caso di danni estesi che compromettono la struttura del dente.
- Intarsi in composito o ceramica, per restauri più ampi e resistenti.
Resina Composita Per Denti: Quali Sono Le Migliori Opzioni Disponibili?

La resina composita per denti è un materiale ampiamente utilizzato nell’odontoiatria moderna per la ricostruzione estetica e funzionale dei denti danneggiati. Ma quali sono le migliori opzioni disponibili sul mercato e come scegliere quella più adatta alle proprie esigenze?
Quali Sono Le Migliori Resine Composite Per Denti?
Le migliori resine composite si distinguono per una combinazione di fattori, tra cui estetica, resistenza, lavorabilità e durata. Ecco alcune delle tipologie più consigliate dai professionisti:
- Resine microibride: offrono un buon equilibrio tra resistenza e resa estetica, adatte per restauri anteriori e posteriori.
- Resine nanoriempite: garantiscono eccellente lucentezza e durata nel tempo, ideali per restauri estetici.
- Resine fluide (flowable): utilizzate per piccole ricostruzioni e sigillature, grazie alla loro facile applicazione.
- Resine ad alta densità: forniscono una maggiore resistenza per ricostruzioni in zone sottoposte a forte stress masticatorio.
Quali Fattori Considerare Nella Scelta Della Resina Composita?
Per scegliere la resina composita più adatta, è importante valutare diversi aspetti, tra cui:
- Zona di applicazione: i denti anteriori richiedono resine con elevata estetica, mentre quelli posteriori necessitano di maggiore resistenza.
- Durata prevista: le resine con alta percentuale di riempitivo tendono a durare più a lungo.
- Facilità di applicazione: per restauri complessi, le resine più modellabili e meno viscose sono preferibili.
- Compatibilità con il sistema adesivo: garantire una perfetta adesione al tessuto dentale è fondamentale per la longevità del restauro.
Qual È La Resina Più Dura E Resistente?
Le resine composite più dure e resistenti sono generalmente quelle che contengono una maggiore percentuale di particelle di riempitivo inorganico. Alcune delle caratteristiche principali includono:
- Alta resistenza all’usura, particolarmente utile per molari e premolari.
- Bassa contrazione da polimerizzazione, che riduce il rischio di microfessure.
- Elevata durezza superficiale, che previene l’abrasione nel tempo.
Resina Composita Vs. Altri Materiali Restaurativi
A confronto con altri materiali come la ceramica e l’amalgama, la resina composita offre diversi vantaggi e svantaggi:
Vantaggi della resina composita:
- Aspetto naturale e possibilità di adattare il colore ai denti.
- Procedura minimamente invasiva.
- Costo inferiore rispetto alla ceramica.
Svantaggi della resina composita:
- Minore resistenza rispetto alla ceramica.
- Maggiore necessità di manutenzione e ritocchi periodici.
- Possibilità di scolorimento nel tempo.
Quali Sono Le Ultime Innovazioni Nelle Resine Composite?
L’industria odontoiatrica continua a sviluppare nuove soluzioni per migliorare le prestazioni delle resine composite. Le ultime innovazioni includono:
- Resine nanocomposite di ultima generazione, che offrono eccellenti caratteristiche estetiche e resistenza.
- Materiali con tecnologia di riduzione della contrazione, per migliorare l’adesione e la durata del restauro.
- Resine bioattive, che rilasciano ioni per migliorare la remineralizzazione del dente naturale.
Quanto Dura Un Dente Ricostruito In Composito?
La durata di un dente ricostruito in composito dipende da diversi fattori, tra cui la qualità del materiale utilizzato, la tecnica di applicazione e le abitudini di igiene orale del paziente. Le otturazioni e le ricostruzioni in composito sono progettate per essere durevoli, ma come ogni trattamento odontoiatrico, richiedono cure adeguate per mantenere la loro efficacia nel tempo.
Quanto Durano Le Otturazioni In Composito?
Le otturazioni in composito possono durare mediamente tra i 5 e i 10 anni, ma con una buona manutenzione e controlli regolari possono superare questa soglia. La loro longevità dipende da:
- Posizione del dente: i denti posteriori sottoposti a forti carichi masticatori tendono a usurarsi più rapidamente rispetto ai denti anteriori.
- Qualità del materiale: resine composite di alta qualità offrono maggiore resistenza e durata.
- Tecnica di applicazione: un’otturazione ben eseguita, con un’adeguata stratificazione e polimerizzazione, riduce il rischio di distacchi o fratture.
Quanto Dura Un Dente In Composito Prima Di Sostituzione?
Un dente in composito può durare fino a 10-15 anni, ma fattori come l’usura meccanica, l’accumulo di placca e il consumo di alimenti pigmentanti possono ridurne la durata. Ecco alcuni elementi che possono influenzare la necessità di una sostituzione:
- Digrignamento dei denti (bruxismo): causa un’usura accelerata della resina.
- Consumo di cibi e bevande coloranti: il composito può scolorirsi con il tempo, influenzando l’estetica.
- Igiene orale insufficiente: può portare a infiltrazioni cariose sotto il restauro.
Quanto Dura Una Faccetta In Composito?
Le faccette in composito, utilizzate per migliorare l’estetica dei denti anteriori, hanno una durata media di 5-7 anni, ma possono resistere più a lungo con una corretta cura. Rispetto alle faccette in ceramica, quelle in composito sono più economiche, ma tendono a scolorirsi e ad usurarsi più velocemente.
Quanto Sono Resistenti I Denti In Resina Composita?
I denti ricostruiti con resina composita sono abbastanza resistenti per le normali funzioni masticatorie, ma presentano una minore durezza rispetto a materiali come la ceramica o le corone metalliche. Alcuni aspetti chiave della resistenza includono:
- Buona resistenza all’usura quotidiana, se non sottoposti a stress eccessivo.
- Maggiore flessibilità rispetto alla ceramica, riducendo il rischio di fratture.
- Possibilità di riparazione semplice e rapida in caso di piccoli danni.
Come Prolungare La Durata Di Un Dente In Composito?
Per garantire una maggiore longevità delle ricostruzioni in composito, è essenziale adottare alcune buone pratiche:
- Igiene orale accurata, con spazzolatura regolare e uso del filo interdentale.
- Evitare di mordere oggetti duri, come penne o unghie, per prevenire scheggiature.
- Visite periodiche dal dentista, per monitorare eventuali segni di usura o necessità di ritocchi.
- Utilizzo di un bite notturno, in caso di bruxismo, per proteggere la ricostruzione.