La ricostruzione in composito rappresenta una tecnica all’avanguardia nell’ambito dell’odontoiatria estetica conservativa, studiata per ripristinare la funzionalità e l’aspetto naturale dei denti danneggiati. Che tu stia cercando soluzioni come ricostruzione composito, ricostruzione composito dente o ricostruzione dentale composito, questo articolo ti guiderà attraverso tutti gli aspetti rilevanti, dalla definizione dei materiali fino agli indizi sulla durata e sui costi dei trattamenti. In ambito clinico potrai trovare termini come ricostruzione denti con composito, dente in composito e ricostruzione dente in composito, che sono usati in maniera intercambiabile per indicare la medesima procedura: una tecnica che consente al dentista di modellare, incidere e fissare una resina composita direttamente sul dente, ripristinando estetica e funzionalità in modo minimamente invasivo.
- Spiegheremo come la ricostruzione composito rispetti la morfologia naturale del dente, garantendo una perfetta integrazione visiva e funzionale.
- Analizzeremo come l’uso di materiali moderni, come le resine composite – dette anche ricostruzione denti in composito o ricostruzione dente composito – possa offrire risultati eccellenti e duraturi.
- Verranno messe in luce le numerose varianti di questa tecnica, evidenziando termini come ricostruzione denti composito e altre espressioni, utili per trovare soluzioni personalizzate a seconda del caso clinico.
Questa introduzione si propone di fornire una visione d’insieme sul tema, gettando le basi per approfondimenti successivi riguardanti differenze tra materiali, procedure, durata, costi e vantaggi dell’utilizzo del composito nella ricostruzione dentale. Nel prosieguo, risponderemo a domande fondamentali come “Che differenza c’è tra resina e composito?” e “Quanto dura un dente ricostruito in composito?”, per guidarti nella scelta del trattamento più adatto alle tue esigenze.
Table of Contents
ToggleQuali Sono I Termini Sinonimi Per Ricostruzione In Composito?

- Spiega come esistono diverse varianti del termine che indicano la medesima procedura di restauro dentale mediante composito.
- Illustra che termini come ricostruzione in composito, ricostruzione composito, ricostruzione composito dente, e le altre varianti vengono usati in maniera intercambiabile nei contenuti SEO per ottimizzare le ricerche.
- Sottolinea che l’utilizzo di questi termini sinergici aiuta i motori di ricerca a comprendere la rilevanza del contenuto per il tema della ricostruzione dentale con composito.
- Evidenzia come, indipendentemente dall’espressione utilizzata, l’obiettivo rimane lo stesso: descrivere la tecnica che consente di ripristinare la forma, la funzione e l’estetica dei denti utilizzando materiali compositi.
Qual è la differenza tra resina e composito?
- Spiega che, pur essendo strettamente correlati, “resina” e “composito” non sono sinonimi esatti: la resina è l’elemento base, mentre il composito è il prodotto finale ottenuto combinando la resina con riempitivi minerali e agenti leganti.
- Illustra come la scelta del composito migliori la resistenza meccanica e l’estetica, grazie all’aggiunta di particelle inorganiche che ne aumentano la durezza e la capacità di imitare il colore del dente naturale.
- Sottolinea che entrambe le tecnologie sono impiegate nella ricostruzione dentale, ma il termine “composito” viene utilizzato per evidenziare il vantaggio estetico e funzionale raggiunto attraverso questa combinazione di materiali.
- Evidenzia l’importanza di comprendere queste differenze per scegliere correttamente il materiale più adatto a seconda delle esigenze cliniche e estetiche.
Quanto Durano Le Ricostruzioni Dentali Con Composito?
- Discuti le diverse domande relative alla durata dei trattamenti: “Quanto dura un dente in composito?”, “Quanto dura un dente ricostruito in composito?” e “Quanto dura il composito?”.
- Evidenzia i fattori che influenzano la longevità, come la tecnica adottata, la qualità dei materiali e le abitudini igieniche del paziente.
- Spiega cosa significano i “risultati a lungo termine della ricostruzione dentale con composito” e come studi clinici, come quelli relativi alla “Longevità delle ricostruzioni dirette in composito”, supportino tali dati.
- Illustra l’importanza di visite di controllo periodiche per mantenere l’efficacia e l’estetica dei restauri nel tempo.
Cosa Sono Le Resine Composite?
- Definizione delle Resine Composite: Spiega che le resine composite sono materiali utilizzati in odontoiatria per restaurare i denti danneggiati, costituite da una miscela di resina e riempitivi minerali.
- Composizione dei Materiali Compositi: Descrive i componenti principali delle resine composite, inclusi la resina (ad esempio BisGMA, BisEMA), i riempitivi minerali (come quarzo, silice colloidale) e gli agenti leganti che assicurano l’adesione al dente.
- Proprietà delle Resine Composite: Illustra le caratteristiche chiave delle resine composite, come l’atossicità, la versatilità cromatica per abbinarsi al colore naturale dei denti, e la resistenza meccanica che le rende adatte per varie applicazioni odontoiatriche.
- Applicazioni delle Resine Composite: Spiega come vengono utilizzate le resine composite in diverse procedure, come otturazioni, ricostruzioni dirette, bonding dentale e applicazioni estetiche per migliorare l’aspetto dei denti.
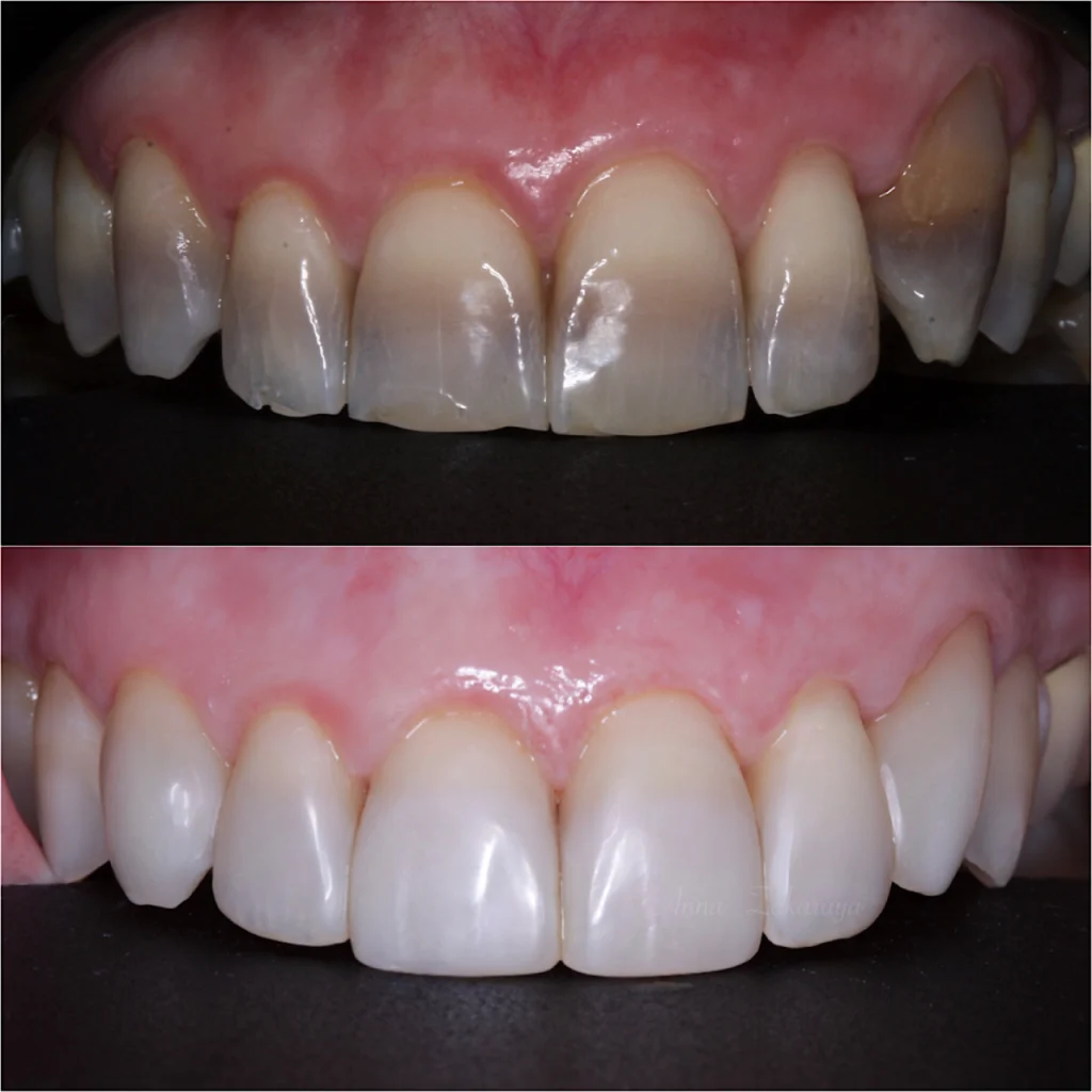
Che Cos’è Il Composito?
- Definizione del Composito Dentale: Fornisce una definizione chiara di cosa sia il composito dentale, sottolineando che si tratta del materiale finale ottenuto combinando resina, riempitivi minerali e agenti leganti.
- Differenze Tra Resina e Composito: Spiega la distinzione tra resina (l’elemento base) e composito (il prodotto finito), evidenziando come l’aggiunta di riempitivi minerali e agenti leganti migliori le proprietà meccaniche ed estetiche del composito rispetto alla sola resina.
- Vantaggi dell’Utilizzo del Composito: Descrive i benefici dell’uso del composito nelle ricostruzioni dentali, come la migliore adesione al dente, la maggiore durata rispetto ai materiali precedenti, e l’aspetto estetico naturale che imita lo smalto e la dentina dei denti.
- Evoluzione del Composito Dentale: Discute i miglioramenti nel tempo delle formulazioni di composito, inclusi i progressi nella riduzione della contrazione da polimerizzazione e nell’aumento della resistenza all’usura, che hanno contribuito a una maggiore longevità delle ricostruzioni in composito.
Quanto Durano Le Ricostruzioni Dentali Con Composito?

- Durata Media delle Ricostruzioni in Composito: Risponde alle domande “Quanto dura un dente in composito?”, “Quanto dura un dente ricostruito in composito?” e “Quanto dura il composito?” spiegando che, in media, le otturazioni in composito possono durare tra i 5 e i 10 anni, a seconda di vari fattori.
- Fattori che Influenzano la Longevità: Analizza i diversi fattori che possono influenzare la durata delle ricostruzioni in composito, come la tecnica utilizzata, la qualità dei materiali, l’igiene orale del paziente e le abitudini alimentari.
- Risultati a Lungo Termine delle Ricostruzioni Dentali: Illustra i risultati a lungo termine basati su studi clinici, evidenziando che le ricostruzioni in composito mostrano una buona resistenza e estetica anche dopo molti anni di utilizzo.
- Importanza delle Visite di Controllo Periodiche: Sottolinea l’importanza delle visite di controllo regolari per monitorare lo stato delle ricostruzioni in composito, effettuare eventuali ritocchi e prevenire problemi come carie secondarie o fratture del restauro.
- Confronto con Altri Materiali Restaurativi: Confronta la durata delle ricostruzioni in composito con quella di altri materiali, come l’amalgama e la ceramica, evidenziando i punti di forza e le limitazioni di ciascuno.
A Cosa Serve Il Composito Dentale?
- Spiega come il composito venga utilizzato per restaurare denti danneggiati da carie, fratture, scheggiature o alterazioni estetiche.
- Illustra che il composito offre un approccio minimamente invasivo che preserva la struttura dentale naturale.
- Sottolinea che questo materiale è fondamentale per migliorare sia la funzionalità che l’estetica del sorriso.
- Evidenzia che il trattamento può essere applicato sia per otturazioni che per ricostruzioni complete dei denti.
Cosa Vuol Dire Otturazione in Composito?
- Definisci il termine “otturazione in composito” come la procedura di riempimento delle cavità dentali utilizzando resina composita.
- Spiega come questa tecnica consenta di ripristinare la forma e il colore naturale del dente con interventi minimamente invasivi.
- Menziona i vantaggi relativi al mantenimento dell’estetica e della funzionalità del dente trattato.
Quali Problemi Si Possono Risolvere Con Il Composito Dentale?
- Descrivi come il composito possa essere impiegato per riparare denti danneggiati da carie, traumi o usura.
- Spiega che il materiale consente di chiudere spazi (diastemi) tra i denti, migliorando l’armonia del sorriso.
- Sottolinea che il composito permette interventi di natura estetica (correzione di colori alterati, ricostruzione di fratture) senza compromettere la struttura naturale.
Come Si Usa Il Composito Per Chiudere I Diastemi?
- Illustra la tecnica di applicazione del composito per chiudere gli spazi (diastemi) tra i denti, ottenendo un risultato estetico naturale.
- Evidenzia il processo di scelta della tonalità e l’adattamento del materiale per garantire continuità cromatica con i denti adiacenti.
- Spiega l’importanza dell’isolamento del dente durante la procedura per evitare infiltrazioni e garantire una migliore adesione del materiale.
Quanto Costa Un Composito Dentale?
- Spiega come il costo dei trattamenti con composito possa variare in base alla complessità dell’intervento e alla quantità di materiale utilizzata.
- Descrivi i fattori che influenzano il prezzo, come la qualità dei materiali, la posizione geografica dello studio e la tecnica impiegata.
- Fornisci un’indicazione generale dei costi, sottolineando che i prezzi possono oscillare in una fascia determinata.
- Evidenzia l’importanza di una valutazione personalizzata per determinare il costo effettivo del trattamento.
Quanto Costa Una Corona Dentale in Composito?
- Illustra come la corona in composito sia una soluzione quando il dente necessita di una protezione più estesa rispetto a una semplice otturazione.
- Spiega i vantaggi estetici e funzionali della corona in composito, che offre una finitura naturale e una resistenza adeguata.
- Specifica che il costo di una corona in composito dipende dalle tecnologie utilizzate e dal materiale specifico scelto, risultando generalmente più elevato rispetto a interventi meno invasivi.
Quanto Costa Ricostruire Un Dente Con Composito?
- Descrivi il procedimento di ricostruzione diretta in composito e come questa tecnica consenta di ripristinare un dente danneggiato con un intervento minimamente invasivo.
- Analizza i fattori che incidono sul costo della ricostruzione, come l’estensione del danno e la complessità tecnica dell’intervento.
- Sottolinea che il prezzo finale può variare in base alla durata prevista del restauro e alle esigenze estetiche del paziente.
Qual è il Prezzo Della Ricostruzione in Composito?
- Riassumi le considerazioni sui costi complessivi del trattamento, integrando le informazioni delle altre domande relative al prezzo.
- Evidenzia che il prezzo della ricostruzione in composito è un parametro importante per il paziente e che esistono diverse opzioni a seconda delle necessità cliniche.
- Spiega che la valutazione del costo include sia il materiale utilizzato che il tempo dedicato dal professionista, garantendo un restauro di qualità e duraturo.
Come Si Togli Il Composito Dai Denti?
- Spiega perché la rimozione del composito può essere necessaria: ad esempio, per effettuare ritocchi, sostituire il materiale difettoso o aggiornare il restauro con tecniche più avanzate.
- Descrivi la procedura adottata dal dentista, che prevede l’utilizzo di strumenti specifici (come frese diamantate) per rimuovere accuratamente il materiale, minimizzando il danno ai tessuti dentali naturali.
- Evidenzia l’importanza dell’isolamento del dente (utilizzo della diga di gomma e ganci metallici) durante la procedura per proteggere le strutture adiacenti e garantire un’adesione ottimale in eventuali successive ricostruzioni.
- Sottolinea che la rimozione viene eseguita in modo minimamente invasivo e mirato, per preservare la salute e la struttura del dente, consentendo una facile ripresa del restauro in composito se necessario.
Che Materiale È Il Composito Per I Denti?

- Spiega la composizione del composito dentale, evidenziando che esso è formato da una base di resina, riempitivi minerali e agenti leganti.
- Descrivi il ruolo di ciascun componente: la resina per la modellabilità, i riempitivi per conferire durezza e visibilità radiografica, e gli agenti leganti per assicurare la coesione del materiale.
- Illustra come le innovazioni tecnologiche abbiano portato all’utilizzo di riempitivi avanzati (come nanoparticelle e compositi nanoibridi) per migliorare le prestazioni estetiche e meccaniche.
- Sottolinea il vantaggio di avere un materiale che combina estetica elevata e resistenza, adatto a ripristinare sia i denti anteriori che quelli posteriori.
Quali Sono I Vantaggi Dei Materiali Compositi?
- Spiega come i materiali compositi offrano un’elevata resa estetica, consentendo di abbinare perfettamente la tonalità dei denti naturali.
- Illustra i benefici del trattamento minimamente invasivo, che preserva la struttura dentale e riduce i tempi di recupero.
- Evidenzia la flessibilità nella modellazione, che permette al dentista di ottenere forme e contorni personalizzati per ogni dente.
- Discute il miglioramento della resistenza meccanica grazie a tecnologie innovative e all’uso di riempitivi avanzati, che garantiscono una lunga durata del restauro.
Cos’è Il Bonding Dentale in Composito?
- Spiega il concetto di bonding dentale come tecnica che utilizza il composito per riparare o migliorare la forma e l’estetica dei denti danneggiati.
- Illustra la procedura di applicazione del bonding: preparazione del dente, applicazione di un agente adesivo, modellazione del composito, e indurimento con luce LED o UV.
- Sottolinea i vantaggi del bonding dentale in composito, come la rapidità del trattamento, la sua natura minimamente invasiva e la capacità di ottenere risultati estetici naturali.
- Evidenzia le situazioni cliniche in cui il bonding è indicato (ad es. riparazione di scheggiature, riempimento di piccole cavità, chiusura di diastemi) e come possa essere una valida alternativa rispetto ad altre tecniche restaurative.
Quali Risorse Spiegano La Ricostruzione Dentale In Composito?
- Elenca e descrivi alcune delle fonti autorevoli e degli articoli che approfondiscono l’argomento, evidenziando come ciascuno offra prospettive e dettagli unici sulla tecnica e sulle best practice.
- Spiega come le risorse, quali “Incollaggio Composito | Booking Surgery” e “Guida completa alla ricostruzione dentale con composito per dentisti: tecniche, materiali e best practice – Dentaltix”, forniscano informazioni pratiche e aggiornate per i professionisti.
- Indica che altri articoli, come “RICOSTRUZIONI ESTETICHE IN COMPOSITO – Dentista MB Lugano” e “Bonding dentale in composito: cos’è, pro e contro e prezzo”, offrono approfondimenti su aspetti specifici come la durata, l’estetica e il bonding.
- Sottolinea l’importanza di consultare differenti risorse per avere una visione completa, integrando le tecniche tradizionali con quelle innovative, dalla “RICOSTRUZIONE DIRETTA IN COMPOSITO DI DENTE FRATTURATO” alle comparazioni tra ceramica e composito.