[rank_math_breadcrumb]

Sbiancante Denti: Tutto Quello Che Devi Sapere Per Un Sorriso Perfetto

Quanto Costa e Come Funziona Lo Sbiancamento Dentale Professionale? Lo sbiancamento dentale professionale è uno dei trattamenti estetici più richiesti per ottenere denti bianchi e luminosi. Questa procedura, eseguita in studio dentistico, utilizza agenti sbiancanti ad alta concentrazione…

Picture of Geschrieben von Dr. Greta Toska
Geschrieben von Dr. Greta Toska

Wissenschaftlich geprüft vom Dentalteam

Bester Preis in Albanien für [geoip_detect2 property=”city” format=”%name%”] [geoip_detect2_current_flag]

Table of Contents of Sbiancante Denti: Tutto Quello Che Devi Sapere Per Un Sorriso Perfetto

Table of Contents

Quanto Costa e Come Funziona Lo Sbiancamento Dentale Professionale? 

Lo sbiancamento dentale professionale è uno dei trattamenti estetici più richiesti per ottenere denti bianchi e luminosi. Questa procedura, eseguita in studio dentistico, utilizza agenti sbiancanti ad alta concentrazione come il perossido di idrogeno o il perossido di carbammide.

Idealmente, ecco cosa devi sapere su costi, durata ed effetti del trattamento professionale:

Come viene eseguito lo sbiancamento dentale dal dentista?

Il trattamento si svolge in 2-3 sedute, ciascuna di circa 30-60 minuti. Il dentista applica il gel sbiancante sui denti e utilizza una lampada LED o laser per attivare il prodotto e accelerare i risultati.

Quanto costa lo sbiancamento dentale dal dentista?

Il costo varia da €300 a €600, a seconda della tecnica utilizzata (LED o laser) e delle esigenze specifiche del paziente. In alcuni centri, come DentalPro, i costi possono essere leggermente superiori.

Quanto dura l’effetto dello sbiancamento dentale professionale?

I risultati del trattamento professionale durano in media 12-24 mesi, ma dipendono dallo stile di vita del paziente, come il consumo di cibi o bevande pigmentate e il mantenimento di una corretta igiene orale.

Sbiancamento dentale con il laser o LED: quale scegliere?

Entrambe le tecniche sono efficaci, ma il laser tende ad essere più rapido, mentre il LED può risultare più delicato per denti sensibili.

Quali Sono i Migliori Metodi e Prodotti per lo Sbiancamento Domiciliare? 

Lo sbiancamento dentale domiciliare rappresenta un’alternativa economica e pratica al trattamento professionale. Tuttavia, per ottenere risultati soddisfacenti, è fondamentale scegliere prodotti sicuri e seguire le istruzioni con attenzione.

Come Sbiancare i Denti a Casa in Modo Sicuro?

Ecco alcune opzioni per lo sbiancamento fai-da-te:

  • Kit sbiancamento denti
    I kit includono gel a base di perossido di carbammide o idrogeno e una mascherina dentale. Questi prodotti sono semplici da usare e offrono risultati graduali in 2-4 settimane.

    • Prezzo medio: €50-€100 per un kit di qualità.
    • Durata dell’effetto: fino a 6 mesi.
  • Strisce sbiancanti
    Le strisce sono impregnate di gel sbiancante e si applicano direttamente sui denti per circa 30 minuti al giorno.

    • Risultati visibili in 10-14 giorni.
    • Costo: €20-€50.
  • Penna sbiancante per denti
    Questo prodotto è ideale per ritocchi rapidi o aree specifiche. Basta applicare il gel sulla superficie dentale e lasciarlo agire per pochi minuti.

Quali Sono i Vantaggi e i Limiti dei Prodotti Sbiancanti? 

  • Vantaggi:
    • Costo contenuto rispetto ai trattamenti professionali.
    • Possibilità di sbiancare i denti comodamente a casa.
  • Limiti:
    • Risultati meno duraturi rispetto allo sbiancamento professionale.
    • Rischio di irritazione gengivale o danni allo smalto se i prodotti non sono utilizzati correttamente.

Come Evitare Errori Durante Lo Sbiancamento Domiciliare? 

  • Non utilizzare prodotti non certificati acquistati online.
  • Seguire sempre le istruzioni del produttore.
  • Consultare il dentista prima di iniziare il trattamento, specialmente in caso di denti sensibili.

Quanto Dura e Quali Sono Gli Effetti Collaterali dello Sbiancamento Dentale? 

La durata e gli effetti collaterali dello sbiancamento dentale dipendono dal metodo scelto e dalle condizioni dentali individuali. Comprendere questi aspetti aiuta a gestire aspettative e precauzioni.

Quanto Dura lo Sbiancamento Dentale? 

  • Trattamento Professionale:
    • Durata media: 1-2 anni.
    • Dipende dalle abitudini personali come il consumo di tè, caffè o sigarette.
  • Sbiancamento Domiciliare:
    • Durata media: 3-6 mesi.
    • Richiede un programma di mantenimento per prolungare i risultati.

Quali Sono Gli Effetti Collaterali Più Comuni? 

Lo sbiancamento dentale è generalmente sicuro, ma possono verificarsi effetti collaterali temporanei:

  • Sensibilità dentale:
    • Spesso causata dall’esposizione del nervo dentale agli agenti sbiancanti.
    • Può essere mitigata con dentifrici desensibilizzanti o gel al fluoro.
  • Irritazione gengivale:
    • Dovuta al contatto del gel sbiancante con i tessuti molli.
    • Solitamente scompare entro 48 ore.
  • Disidratazione dello smalto:
    • Può dare ai denti un aspetto “gessoso”.
    • L’effetto è temporaneo e si risolve con l’uso di prodotti remineralizzanti.

Come Gestire e Prevenire Gli Effetti Collaterali? 

  • Usare gel sbiancanti con concentrazioni moderate di perossido di idrogeno o carbammide.
  • Limitare l’uso di prodotti abrasivi o aggressivi.
  • Consultare il dentista per scegliere il trattamento più adatto.

Quanto Dura il Dolore Dopo Lo Sbiancamento dei Denti? 

  • La sensibilità post-trattamento di solito dura 24-72 ore.
  • Nei casi più rari, potrebbe prolungarsi per una settimana, ma può essere gestita con prodotti specifici consigliati dal dentista.

Rischi e Controindicazioni dello Sbiancamento Dentale 

Nonostante i benefici estetici, lo sbiancamento dentale non è privo di rischi e controindicazioni. È importante conoscere i potenziali effetti negativi e le situazioni in cui il trattamento non è consigliato.

Lo Sbiancamento Dentale Danneggia Lo Smalto? 

  • Sicurezza dei trattamenti professionali:
    • Lo sbiancamento professionale non danneggia lo smalto, se eseguito correttamente.
    • I prodotti utilizzati sono testati e approvati per un uso sicuro.
  • Rischi dei prodotti fai-da-te:
    • Possono contenere agenti abrasivi o sostanze non regolamentate.
    • Un uso scorretto può portare a erosione dello smalto e sensibilità prolungata.

Quando Evitare Lo Sbiancamento Dentale? 

Lo sbiancamento dentale non è adatto in alcune situazioni specifiche:

  • Gravidanza e allattamento:
    • Per precauzione, si sconsiglia il trattamento in queste fasi.
  • Presenza di carie o gengive infiammate:
    • Il trattamento potrebbe aggravare queste condizioni.
  • Età inferiore ai 18 anni:
    • Lo smalto non è completamente formato e potrebbe subire danni.
  • Allergie o intolleranze:
    • Ai componenti chimici presenti nei gel sbiancanti.

Lo Sbiancamento Funziona Sempre? 

  • Macchie difficili:
    • Non tutte le discromie rispondono bene al trattamento.
    • Le macchie da tetraciclina o fluorosi sono particolarmente resistenti.
  • Materiali non naturali:
    • Corone, otturazioni e faccette non subiscono variazioni di colore.

Lo Sbiancamento È Definitivo? 

  • Risultati temporanei:
    • I pigmenti possono riaggregarsi nel tempo, richiedendo trattamenti periodici.
    • Una corretta igiene orale e l’adozione di abitudini sane possono prolungare l’effetto.

Differenze Tra Metodi e Tecnologie di Sbiancamento Dentale 

Esistono diverse tecnologie per lo sbiancamento dentale, ognuna con caratteristiche specifiche che la rendono più o meno adatta a esigenze diverse. Confrontiamo le tecnologie più comuni, come il LED e il laser, e scopriamo come scegliere il metodo migliore.

Quali Sono Le Differenze Tra LED e Laser? 

  • Sbiancamento LED:
    • Utilizza una luce fredda per attivare il gel sbiancante.
    • È una procedura delicata che riduce il rischio di sensibilità dentale.
    • Ideale per chi desidera un trattamento rapido e ripetibile.
  • Sbiancamento Laser:
    • Impiega un raggio laser per accelerare l’azione del perossido di idrogeno.
    • Offre risultati più rapidi, ma può comportare un maggiore rischio di sensibilità.
    • Adatto per trattamenti mirati su discromie più profonde.

Come Scegliere Il Miglior Kit di Sbiancamento Dentale? 

  • Caratteristiche da considerare:
    • Concentrazione del perossido di idrogeno: maggiore per risultati professionali, minore per uso domiciliare sicuro.
    • Tecnologia inclusa: i kit con LED offrono risultati più uniformi.
    • Reputazione del prodotto: scegliere marchi certificati per la sicurezza.
  • Consigli pratici:
    • Consultare il dentista prima di acquistare un kit fai-da-te.
    • Verificare la presenza di istruzioni dettagliate e protezioni per gengive.

Lo Sbiancamento Dentale Con Laser: Pro e Contro 

  • Vantaggi:
    • Risultati visibili già dalla prima seduta.
    • Ideale per chi ha poco tempo a disposizione.
  • Svantaggi:
    • Costi più elevati rispetto ad altri metodi.
    • Maggiore probabilità di sensibilità temporanea.

Tecniche Specifiche di Sbiancamento Dentale 

Il sbiancamento dentale può essere realizzato attraverso diverse tecniche, ognuna pensata per affrontare specifiche esigenze estetiche e condizioni dentali. Vediamo nel dettaglio come funzionano.

Come Funziona Lo Sbiancamento Dei Denti Non Vitali? 

  • Caratteristiche principali:
    • Utilizzato per denti devitalizzati che hanno perso il loro colore naturale.
    • Il gel sbiancante viene applicato direttamente all’interno del dente dopo aver riaperto la camera pulpare.
  • Procedura:
    • Il dentista inserisce il gel sbiancante nella cavità dentale e lo lascia agire per un periodo determinato.
    • Il trattamento viene ripetuto in più sedute fino a raggiungere il risultato desiderato.
  • Risultati:
    • Sbiancamento mirato e uniforme, riportando il dente devitalizzato al colore naturale.

Quante Sedute Servono Per Sbiancare I Denti? 

  • Durata del trattamento:
    • In media, sono necessarie 1-3 sedute per uno sbiancamento professionale in studio.
    • Il numero varia in base alla severità delle discromie e al metodo utilizzato (LED o laser).
  • Intervalli tra le sedute:
    • Le sedute possono essere distanziate di 1-2 settimane per consentire ai denti di recuperare e minimizzare la sensibilità.

Lo Sbiancamento Dentale Fa Male? 

  • Esperienza durante il trattamento:
    • Generalmente indolore, grazie all’uso di gel desensibilizzanti.
    • Alcuni pazienti possono avvertire un leggero fastidio termico che scompare entro poche ore.
  • Cura post-trattamento:
    • Utilizzo di dentifrici specifici per la sensibilità.
    • Evitare alimenti acidi o troppo caldi/freddi nei giorni successivi.

Come Viene Eseguito Lo Sbiancamento Dentale In Studio? 

  • Fasi principali:
    • Pulizia dentale preliminare per rimuovere placca e tartaro.
    • Applicazione del gel sbiancante a base di perossido di idrogeno o carbammide.
    • Attivazione del gel tramite luce LED o laser.
  • Vantaggi dello studio professionale:
    • Maggiore controllo e sicurezza durante il trattamento.
    • Risultati uniformi e personalizzati.

Alimentazione, Manutenzione e Consigli Post-Trattamento 

Dopo uno sbiancamento dentale, è fondamentale seguire alcune raccomandazioni per mantenere i risultati ottenuti e prevenire danni allo smalto. Una dieta adeguata e una corretta manutenzione del cavo orale sono essenziali per prolungare l’effetto del trattamento.

Cosa Evitare Di Fare Dopo Lo Sbiancamento Denti? 

  • Alimenti da evitare:
    • Bevande come caffè, tè, vino rosso e bibite colorate.
    • Cibi pigmentati come curry, pomodoro, barbabietola e frutti di bosco.
  • Abitudini da sospendere:
    • Fumo di sigarette o utilizzo di tabacco.
    • Uso di collutori contenenti clorexidina, che possono causare macchie.
  • Igiene orale:
    • Non lavare i denti immediatamente dopo aver consumato alimenti acidi, poiché lo smalto potrebbe essere temporaneamente ammorbidito.

Quali Cibi Macchiano I Denti? 

  • Elenco dei principali alimenti:
    • Bevande: caffè, tè nero, succhi di frutta scuri, vino rosso.
    • Cibi: salsa di soia, curry, pomodoro, liquirizia.
    • Dolci: caramelle colorate e cioccolato.
  • Consigli per limitarne l’effetto:
    • Bere attraverso una cannuccia per ridurre il contatto con i denti.
    • Risciacquare la bocca con acqua dopo aver consumato alimenti pigmentati.

Sbiancamento Dentale: Come Funziona E Quali Cibi Evitare? 

  • Fasi del trattamento:
    • Lo sbiancamento dentale apre i pori dello smalto, rendendolo temporaneamente più suscettibile alle macchie.
    • È essenziale evitare alimenti pigmentati per almeno 48 ore dopo il trattamento.
  • Cibi consigliati:
    • Alimenti “neutri” come pollo, riso, patate, cavolfiore, mele e pere.
    • Bevande come latte e acqua naturale.

È Necessario Seguire Una Dieta Speciale Dopo Il Trattamento? 

  • La dieta bianca:
    • Consiste nel consumare esclusivamente alimenti chiari e delicati per 48-72 ore.
    • Aiuta a mantenere il bianco raggiunto e a proteggere lo smalto dai pigmenti.
  • Durata della dieta:
    • Generalmente consigliata per i primi 2-3 giorni, ma può essere prolungata per ottimizzare i risultati.

Cosa Non Fare Dopo L’Utilizzo Di Strisce Sbiancanti? 

  • Errori comuni:
    • Non rispettare i tempi di posa indicati dal produttore.
    • Consumare cibi o bevande acide subito dopo l’applicazione.
  • Consigli:
    • Evitare di spazzolare i denti con forza.
    • Utilizzare un collutorio senza alcol per lenire eventuali irritazioni gengivali.

Confronto Tra Prodotti e Metodi Sbiancanti 

Esistono numerosi prodotti e tecniche per lo sbiancamento dentale, ciascuno con vantaggi e limitazioni. Scegliere il metodo più adatto dipende dalle esigenze individuali, dalla condizione dentale e dai risultati desiderati.

Qual È Il Metodo Migliore Per Sbiancare I Denti?

  • Confronto tra metodi professionali e fai-da-te:
    • I trattamenti professionali offrono risultati immediati e duraturi grazie a prodotti ad alta concentrazione e tecnologie avanzate.
    • I kit domiciliari sono più economici ma richiedono più tempo e dedizione per ottenere risultati visibili.
  • Fattori da considerare:
    • Intensità delle macchie.
    • Sensibilità dentale.
    • Budget a disposizione.

Cosa Funziona Davvero Per Sbiancare I Denti? 

  • Trattamenti efficaci:
    • Perossido di idrogeno e perossido di carbammide sono gli ingredienti più utilizzati nei trattamenti professionali e domestici.
    • I dentifrici sbiancanti possono rimuovere le macchie superficiali ma non agiscono sulle pigmentazioni interne.
  • Tecnologie di supporto:
    • L’utilizzo di lampade LED o laser nei trattamenti professionali aumenta l’efficacia del perossido di idrogeno.

Qual È Il Miglior Sbiancante Per I Denti? 

  • Prodotti professionali:
    • Gel a base di perossido di idrogeno con concentrazioni fino al 40%.
    • Mascherine personalizzate fornite dal dentista.
  • Prodotti domiciliari:
    • Kit con mascherine preformate e strisce sbiancanti.
    • Penne sbiancanti per piccoli ritocchi.

Qual È Il Dentifricio Sbiancante Migliore? 

  • Caratteristiche da cercare:
    • Microgranuli abrasivi per rimuovere le macchie superficiali.
    • Contenuto di fluoro per proteggere lo smalto.
  • Limitazioni:
    • Uso eccessivo può causare abrasioni e aumentare la sensibilità dentale.

Che Usano I Dentisti Per Sbiancare I Denti? 

  • Strumenti e prodotti professionali:
    • Gel sbiancanti ad alta concentrazione attivati da luce LED o laser.
    • Dispositivi di protezione per gengive e tessuti molli.
  • Protocollo del trattamento:
    • Pulizia dentale iniziale per rimuovere placca e tartaro.
    • Applicazione del gel sbiancante e attivazione con luce per risultati ottimali.

Come Sbiancare I Denti Senza Rovinarli? 

  • Consigli per uno sbiancamento sicuro:
    • Evitare prodotti abrasivi o fai-da-te con ingredienti acidi come bicarbonato o succo di limone.
    • Consultare un dentista per valutare lo stato dello smalto e delle gengive.
  • Prodotti delicati:
    • Utilizzare dentifrici o gel con formulazioni specifiche per denti sensibili.

Prodotti Utili Per Lo Sbiancamento Denti 

  • Gel sbiancante per denti:
    • Disponibili in diverse concentrazioni per uso professionale o domiciliare.
  • Smacchiatori per denti:
    • Agiscono sulle macchie superficiali per migliorare l’aspetto del sorriso.
  • Strisce e mascherine preformate:
    • Soluzioni pratiche per uno sbiancamento fai-da-te.

Costi Di Trattamenti Correlati

 

Quando si considera lo sbiancamento dentale, è importante anche valutare i costi di trattamenti correlati come faccette dentali o pulizie professionali, che possono influire sull’aspetto estetico del sorriso.

Quanto Costano 4 Faccette Per I Denti? 

  • Fattori che influenzano il costo:
    • Materiali utilizzati (resina composita o ceramica).
    • Competenza e reputazione del dentista.
    • Numero di faccette richieste.
  • Costo medio:
    • Resina composita: da 250 a 500 euro per faccetta.
    • Ceramica: da 600 a 1.200 euro per faccetta.

Quanto Costano Le Faccette Dentali Da DentalPro? 

  • Prezzi specifici:
    • Presso DentalPro, il costo delle faccette varia in base alla tecnologia utilizzata e ai materiali scelti.
    • Consigliabile richiedere un preventivo personalizzato per avere una stima accurata.

Quanto Costa Fare Le Faccette Dentali? 

  • Variazioni regionali:
    • I prezzi possono cambiare a seconda della città o della regione in cui si trova lo studio dentistico.
    • Gli studi dentistici di alto livello tendono a offrire trattamenti più costosi ma con garanzie di maggiore durata ed estetica.
  • Promozioni disponibili:
    • Molti studi offrono sconti per trattamenti multipli, come l’applicazione di più faccette contemporaneamente.

Quanto Costa Farsi Le Faccette Ai Denti? 

  • Fattori aggiuntivi:
    • Eventuali trattamenti preliminari, come la rimozione di macchie o la preparazione dei denti, possono influire sul costo totale.
    • La qualità delle faccette influisce non solo sull’estetica ma anche sulla durata del trattamento.

Importanza Delle Faccette Nella Cosmetica Dentale

Le faccette dentali sono una soluzione eccellente per migliorare l’aspetto di denti gravemente macchiati, scheggiati o non uniformi. Sebbene il loro costo possa essere elevato, rappresentano un investimento a lungo termine per un sorriso perfetto.

Pulizia E Igiene Dentale 

Mantenere una corretta igiene orale è fondamentale non solo per la salute dei denti, ma anche per preservare i risultati di uno sbiancamento dentale. La pulizia dentale regolare riduce il rischio di formazione di macchie e scolorimenti.

Lo Sbiancamento Dei Denti Non Sostituisce Una Pulizia Dentale

  • Differenza tra i due trattamenti:
    • La pulizia dentale rimuove placca e tartaro, migliorando la salute orale generale.
    • Lo sbiancamento dentale è un trattamento estetico per migliorare il colore dei denti.
  • Raccomandazioni:
    • Effettuare una pulizia dentale professionale prima di sottoporsi a uno sbiancamento per ottimizzarne i risultati.
    • Ripetere la pulizia ogni sei mesi per mantenere denti e gengive in salute.

Come Eliminare Le Macchie Marroni Dai Denti? 

  • Cause comuni:
    • Consumo frequente di tè, caffè o vino rosso.
    • Fumo di sigaretta.
    • Uso prolungato di collutori con clorexidina.
  • Rimedi professionali:
    • Air-polishing, una tecnica che utilizza bicarbonato di sodio per rimuovere le macchie superficiali.
    • Trattamenti di smacchiamento in studio dentistico.

Quanto Costa La Pulizia Dei Denti Dal Dentista?

  • Costo medio:
    • In Italia, una pulizia dentale professionale costa dai 50 ai 100 euro a seconda della clinica e della tecnologia utilizzata.
  • Fattori che influenzano il costo:
    • Posizione geografica.
    • Necessità di trattamenti aggiuntivi, come la rimozione di macchie persistenti.

Quanto Costa La Pulizia Dei Denti Con Il Laser? 

  • Dettagli della procedura:
    • Il laser viene utilizzato per rimuovere placca e tartaro in modo preciso e non invasivo.
    • Ideale per pazienti con gengive sensibili o con elevata presenza di tartaro.
  • Costo indicativo:
    • Varia tra i 100 e i 200 euro per seduta.

Importanza Di Una Buona Igiene Orale

Una buona routine di igiene dentale è il primo passo per un sorriso sano e brillante. Lavarsi i denti due volte al giorno, usare il filo interdentale e sottoporsi a controlli regolari sono abitudini essenziali per prevenire problemi dentali e mantenere i benefici dello sbiancamento.

Cause E Prevenzione Dello Scolorimento Dentale 

Lo scolorimento dei denti è un problema comune causato da diversi fattori, sia interni che esterni. Identificare e prevenire queste cause può aiutare a mantenere un sorriso luminoso e sano.

Come Togliere Il Giallo Dai Denti? 

  • Cause del giallo sui denti:
    • Accumulo di placca e tartaro.
    • Consumo frequente di cibi e bevande pigmentate, come tè, caffè e vino rosso.
    • Fumo di sigaretta.
    • Naturale invecchiamento dello smalto.
  • Rimedi professionali:
    • Sbiancamento dentale professionale per risultati immediati.
    • Pulizia dentale regolare per rimuovere macchie superficiali.
  • Rimedi casalinghi da evitare:
    • Uso eccessivo di bicarbonato o succo di limone, che possono danneggiare lo smalto.

Come Togliere Il Giallo Dai Denti In Modo Naturale? 

  • Alternative sicure:
    • Sfregare delicatamente foglie di salvia sui denti per un effetto lucidante naturale.
    • Consumare cibi croccanti come mele e carote, che aiutano a pulire meccanicamente i denti.
  • Limitazioni:
    • Questi metodi offrono risultati minimi e non sostituiscono trattamenti professionali.

Da Cosa Dipende L’Efficacia Di Un Gel Sbiancante Denti?

  • Fattori chiave:
    • Concentrazione del principio attivo: Maggiore è la concentrazione di perossido, più rapido sarà l’effetto.
    • Tempo di applicazione: Gel lasciati in posa per il tempo consigliato garantiscono migliori risultati.
    • Qualità del prodotto: L’efficacia varia a seconda della marca e della formulazione.

Perché I Denti Si Scoloriscono? 

  • Scolorimenti esterni:
    • Dovuti a depositi sulla superficie dello smalto causati da alimenti pigmentati o cattiva igiene orale.
  • Scolorimenti interni:
    • Possono derivare da traumi dentali, farmaci come le tetracicline o il naturale processo di invecchiamento.

Come Far Tornare I Denti Bianchissimi?

  • Consigli pratici:
    • Combinare una pulizia dentale professionale con trattamenti di sbiancamento.
    • Ridurre l’assunzione di alimenti e bevande pigmentate.
    • Seguire una corretta igiene orale quotidiana.

Come Sbiancare I Denti A 50 Anni? 

  • Fattori da considerare:
    • Lo smalto dentale può essere più sottile, aumentando la sensibilità.
    • Optare per trattamenti meno invasivi, come lo sbiancamento con basse concentrazioni di gel o con il laser.
  • Raccomandazioni:
    • Consultare il dentista per valutare lo stato dello smalto prima di intraprendere un trattamento sbiancante.

Prevenzione Come Strategia Essenziale

Mantenere denti bianchi e sani richiede impegno e costanza. Una dieta equilibrata, abitudini di igiene orale adeguate e controlli regolari dal dentista sono fondamentali per prevenire lo scolorimento e preservare il sorriso.

Regolamentazioni E Normative Sullo Sbiancamento Dentale 

Le normative e regolamentazioni legate allo sbiancamento dentale mirano a garantire la sicurezza dei pazienti e a limitare l’uso improprio di prodotti sbiancanti.

La Direttiva Europea Che Regola L’Uso Degli Sbiancamenti Dentali 

  • Cos’è la Direttiva Europea 2011/84/UE:
    • Regola l’uso di prodotti contenenti perossido di idrogeno (H2O2).
    • Limita la concentrazione di H2O2 nei prodotti venduti al pubblico al massimo allo 0,1%.
    • Prodotti con concentrazioni superiori fino al 6% possono essere utilizzati solo da dentisti o forniti sotto loro supervisione.
  • Obiettivo della normativa:
    • Proteggere i consumatori da rischi derivanti dall’uso non professionale di agenti sbiancanti.
    • Ridurre gli effetti collaterali, come danni allo smalto o sensibilità dentale.
  • Requisiti per l’utilizzo professionale:
    • Solo dentisti e igienisti qualificati possono applicare o fornire trattamenti con concentrazioni elevate di perossido di idrogeno.
    • L’uso è vietato per pazienti di età inferiore ai 18 anni.

Sbiancamento Dentale: Falsi Miti

  • Mito: Lo sbiancamento rovina lo smalto dei denti.
    • Verità: Se effettuato sotto supervisione professionale, lo smalto rimane intatto.
  • Mito: I prodotti naturali sono migliori per sbiancare i denti.
    • Verità: Sostanze naturali come bicarbonato o succo di limone possono causare abrasioni e danni irreversibili allo smalto.
  • Mito: Lo sbiancamento dentale è permanente.
    • Verità: I risultati sono temporanei e richiedono mantenimento nel tempo.
  • Mito: È possibile ottenere gli stessi risultati con prodotti fai-da-te.
    • Verità: I prodotti da banco hanno basse concentrazioni di agenti sbiancanti e spesso non offrono risultati paragonabili a quelli professionali.

La Sicurezza Prima Di Tutto

È fondamentale scegliere prodotti e trattamenti conformi alle normative europee per garantire la sicurezza dei denti e dei tessuti orali. Affidarsi a professionisti qualificati permette di ottenere risultati ottimali minimizzando i rischi associati allo sbiancamento.

Quanto Costa Lo Sbiancamento Dei Denti Dal Dentista? 

Il costo dello sbiancamento dentale dal dentista può variare in base a diversi fattori, tra cui il tipo di trattamento scelto, la complessità del caso e la posizione geografica dello studio dentistico. Generalmente, i prezzi si collocano in una fascia compresa tra 200€ e 600€ per sessione.

Fattori che influenzano il costo:

  • Tecnologia utilizzata: trattamenti avanzati come il laser tendono a essere più costosi rispetto al LED o ai metodi tradizionali.
  • Durata e numero delle sessioni: uno sbiancamento professionale completo può richiedere da 1 a 3 sedute.
  • Personalizzazione del trattamento: se il dentista realizza mascherine su misura per lo sbiancamento domiciliare, ciò può aumentare il prezzo.
  • Località: i costi possono essere più alti in città grandi o aree più prestigiose rispetto a centri più piccoli.

Opzioni più economiche:

Se desideri una soluzione più accessibile, alcuni studi offrono trattamenti combinati, come lo sbiancamento post-igiene dentale, con un costo che parte da 50-100€, ma con effetti meno duraturi rispetto a quelli completi.

Valore aggiunto del trattamento professionale:

  • Risultati immediati e duraturi: lo sbiancamento professionale offre un livello di candore superiore rispetto alle soluzioni fai-da-te.
  • Sicurezza: i dentisti utilizzano prodotti certificati e proteggono le gengive da eventuali irritazioni.
  • Assistenza personalizzata: il dentista valuta la tua situazione e offre un trattamento adatto al tuo caso specifico.

Lo Sbiancamento Dentale È Dannoso Per I Denti? 

Una delle domande più frequenti riguardo allo sbiancamento dentale è se questa procedura possa essere dannosa per i denti. La risposta, nella maggior parte dei casi, è no, lo sbiancamento dentale professionale non è dannoso, a patto che venga eseguito da un dentista qualificato utilizzando prodotti certificati.

Perché lo sbiancamento dentale è sicuro?

  • Utilizzo di prodotti controllati: I trattamenti professionali utilizzano perossido di idrogeno o di carbammide in concentrazioni sicure e regolamentate.
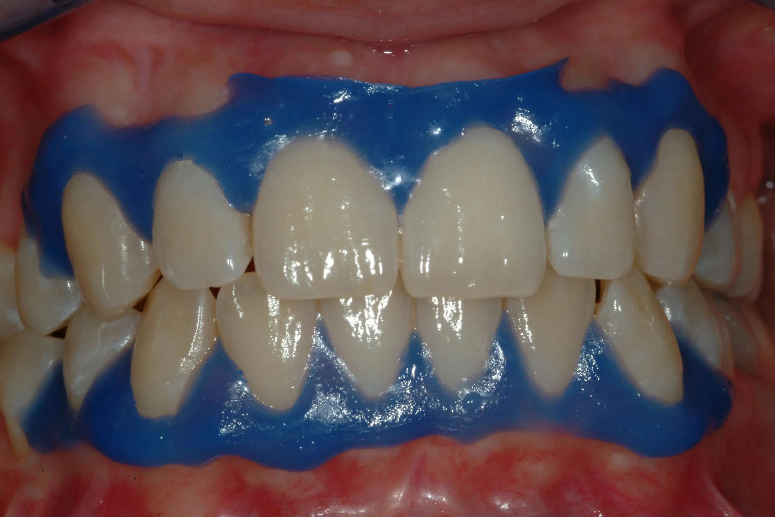
  • Protezione delle gengive: Durante la procedura, il dentista applica una barriera protettiva per evitare irritazioni alle gengive e ai tessuti molli.
  • Valutazione preliminare: Prima del trattamento, il dentista esegue un’accurata diagnosi per escludere patologie dentali o gengivali che potrebbero causare complicazioni.

Possibili effetti collaterali temporanei

Sebbene lo sbiancamento non rovini lo smalto dei denti, alcuni effetti collaterali temporanei possono verificarsi:

  • Sensibilità dentinale: È comune avvertire una maggiore sensibilità ai cibi o bevande calde e fredde subito dopo il trattamento. Questo effetto è generalmente transitorio e scompare entro 48-72 ore.
  • Irritazione gengivale: Un contatto accidentale del gel sbiancante con le gengive può causare un leggero arrossamento o bruciore, che si risolve spontaneamente.

Precauzioni per evitare rischi

  • Rivolgiti sempre a un professionista qualificato: evita trattamenti fai-da-te non controllati o acquistati online, poiché possono contenere sostanze abrasive o non conformi alle normative europee.
  • Segui le indicazioni del dentista: Rispetta i tempi e le modalità del trattamento per evitare irritazioni o sensibilità eccessiva.

Mantieni una buona igiene orale: Una corretta pulizia dei denti aiuta a prolungare i risultati senza necessità di ripetere spesso il trattamento.