
Table of Contents
ToggleKey Takeaways
- Minimally Invasive: Composite resin bonding is a cosmetic dental procedure that typically requires little to no removal of natural tooth enamel, preserving tooth structure.
- Versatile Solutions: It’s effectively used to repair chips, close gaps, mask discoloration, and improve the overall shape and appearance of teeth.
- Single-Visit Transformation: Often, the entire procedure can be completed in just one dental appointment, offering immediate aesthetic results.
- Affordability: Generally, composite bonding is a more budget-friendly option compared to alternatives like porcelain veneers.
- Aftercare is Crucial: While aesthetically pleasing, bonded teeth can stain and have a lifespan of 3-10 years, requiring diligent oral hygiene and mindful eating habits.
- Skill-Dependent Results: The final look heavily relies on the dentist’s artistic skill and experience; choosing a qualified practitioner is key for natural-looking outcomes.
- Often Reversible: Due to its conservative nature, the procedure is often reversible, meaning you can potentially return to your natural teeth.
Composite Resin Bonding Teeth: Your Complete Guide to a Brighter Smile?
In the ever-evolving landscape of cosmetic dentistry, where achieving a “perfect” smile often seems to involve a hefty price tag and an equally hefty commitment, composite resin bonding emerges as a refreshingly accessible and impressively versatile contender. It’s the quiet achiever, the understated artist of the dental world, capable of sculpting, mending, and brightening smiles with a finesse that can be truly remarkable. But like any treatment that promises transformation, it’s crucial to look beyond the glossy before-and-afters. What exactly is this procedure? Who is it for? What are the genuine, unvarnished pros and cons? And, perhaps most importantly, could it be the key to unlocking your most confident smile? This guide aims to be your comprehensive Baedeker, navigating the nuances of composite resin bonding, stripping away the jargon, and arming you with the knowledge to decide if this popular treatment aligns with your aesthetic aspirations and dental health needs. We’ll explore everything from the nitty-gritty of the procedure itself to the long-term realities of maintenance and cost, ensuring you’re well-equipped to have an informed conversation with your dental professional. So, prepare to have your questions answered and your curiosity piqued as we delve into whether composite resin bonding truly holds the secret to a brighter, more radiant you.
What is Composite Resin Bonding Teeth All About: An In-Depth Look?
Before you even consider letting a dentist near your precious chompers with any newfangled technique, it’s paramount to understand exactly what’s on offer. Composite resin bonding teeth isn’t some fleeting trend; it’s a well-established, respected procedure in the cosmetic and restorative dental toolkit, celebrated for its conservative approach and aesthetic prowess. Think of it as dental artistry in miniature, a way for skilled practitioners to subtly or significantly enhance the appearance of teeth without resorting to more invasive measures. The core of the procedure lies in the application of a highly specialized, tooth-colored resin – a putty-like material that can be meticulously sculpted, shaped, and polished to seamlessly blend with your natural teeth. Its applications are wonderfully diverse, ranging from masking stubborn discoloration that whitening treatments can’t touch, to artfully repairing chips and cracks that mar an otherwise perfect smile. It can close those little gaps that might make you self-conscious, or even reshape slightly misshapen teeth to create a more harmonious and symmetrical appearance. The true beauty of composite bonding lies in its direct application process; the resin is applied directly to the tooth and cured (hardened) in place, meaning the transformation often happens within a single visit. This immediate gratification, coupled with its ability to address both aesthetic desires and minor functional restorations, makes it a compelling option for many seeking a smile upgrade. It’s a delicate dance of science and art, where material science meets a dentist’s skilled hand to create results that can be both beautiful and durable.
What is Composite Bonding? A Basic Definition
So, let’s strip it down to its essence: what is composite bonding? At its heart, composite bonding is a cosmetic dental procedure where a tooth-colored composite resin material – a sophisticated blend of plastic and fine glass particles – is skillfully applied and adhered to the surface of a tooth. The term ‘bonding’ itself refers to the micromechanical and chemical process by which this resin securely attaches to the natural tooth structure, creating a durable and aesthetically pleasing restoration. Imagine a sculptor working with a pliable medium, meticulously adding, shaping, and smoothing until the desired form is achieved; that’s akin to what a dentist does with composite resin. It’s a direct technique, meaning the entire artistry happens chairside, often in a single appointment, which is a significant departure from treatments like porcelain veneers.
Speaking of which, it’s crucial to differentiate composite bonding from its more illustrious, and often more invasive, cousins. Porcelain veneers, for instance, are custom-made shells of ceramic that are fabricated in a dental laboratory and then bonded to the front surface of teeth. This process typically requires some removal of natural tooth enamel and multiple visits. Dental crowns, on the other hand, are caps that cover the entire tooth, usually reserved for teeth with significant damage or after root canal treatment, and also involve substantial tooth preparation. Composite bonding, in stark contrast, is celebrated for its less invasive nature. In many cases, little to no natural tooth enamel needs to be removed, preserving the integrity of your original tooth structure. This conservative approach is a massive draw for patients hesitant about irreversible alterations. You’ll hear various terms bandied about – “dental bonding,” “tooth bonding,” or “bonding on teeth” – and rest assured, they all essentially refer to this same versatile and tooth-friendly procedure. Understanding this basic definition is the first step in appreciating its potential to discreetly, yet effectively, refine your smile. It’s about achieving noticeable improvements with minimal biological cost, a philosophy that resonates deeply in modern, patient-focused dentistry.
What is Composite Bonding for Teeth Specifically?
When we narrow our focus to what is composite bonding for teeth specifically?, we’re talking about the direct, artistic application of this remarkable resin material onto the individual canvas of each tooth requiring enhancement or repair. It’s not a one-size-fits-all solution but a highly customizable procedure tailored to address specific dental imperfections and aesthetic goals. The composite resin, which starts as a soft, pliable substance, is meticulously applied by the dentist, often in layers, directly onto the prepared tooth surface. This “direct application” is key; it means the dentist is essentially sculpting your new smile in real-time, right there in the dental chair, unlike indirect restorations like porcelain veneers or crowns that are crafted in a dental lab based on impressions and then later fitted. This hands-on, chairside approach allows for a high degree of precision and artistic control, enabling the dentist to match the color, translucency, and texture of your natural teeth with remarkable accuracy.
The true genius of composite bonding lies in its dual function. On one hand, it’s a powerful tool for aesthetic enhancement. Dreaming of closing that small, pesky gap between your front teeth? Bonding can do that. Wish to conceal a tooth that’s stubbornly discolored or slightly misshapen? Bonding is a fantastic option. It can lengthen short teeth, repair unsightly chips, and generally create a more uniform, harmonious, and visually appealing smile. On the other hand, it serves a vital restorative role for minor dental issues. If a small piece of a tooth has chipped off due to an accident, composite bonding can seamlessly restore its original shape and function. It can be used to protect exposed root surfaces due to gum recession, reducing sensitivity. Essentially, it’s a versatile technique used for “bonding teeth” or “bonding to teeth” to achieve a wide array of desired outcomes, from subtle tweaks that make a world of difference to more comprehensive smile makeovers, all while prioritizing the preservation of your natural tooth structure. This blend of cosmetic artistry and practical restoration is what makes composite bonding such a valuable and popular choice in modern dentistry.
What are the Benefits of Composite Dental Bonding for Your Smile?
When considering any cosmetic dental procedure, the million-dollar question (though hopefully not literally!) is always: “What’s in it for me?” With composite dental bonding, the answer is, quite refreshingly, “Quite a lot, actually.” This procedure isn’t just a flash in the pan; its enduring popularity stems from a compelling list of advantages that resonate with patients seeking tangible smile improvements without the daunting commitment or expense of more complex treatments. From its conservative approach to its aesthetic versatility, the benefits of composite bonding contribute significantly to its reputation as a go-to solution for a wide array of dental imperfections. It offers a pathway to a more confident smile that is often quicker, less invasive, and more budget-friendly than many alternatives. The transformative power of bonding can be profound, turning subtle insecurities into sources of pride. Whether it’s correcting minor flaws that have bothered you for years or making a more noticeable aesthetic upgrade, composite bonding provides a spectrum of positive outcomes that cater to diverse patient needs and desires. It’s about achieving that sought-after radiant smile in a way that respects your natural tooth structure and your lifestyle, making it a truly patient-centric option in the realm of cosmetic dentistry. The allure of immediate results combined with a gentle touch makes it an attractive proposition for anyone looking to enhance their smile with minimal fuss and maximum impact.
Is Composite Bonding Good for Your Teeth? Evaluating the Positives
The question, “Is composite bonding good for your teeth?” is a pertinent one, and the answer, reassuringly, leans heavily towards a “yes,” particularly when considering its conservative nature and restorative capabilities. One of the most significant positives of composite bonding is its impact on both the health and appearance of your teeth, often simultaneously. Think about those minor chips or small cracks; left unattended, they can be weak points, potentially leading to further damage, sensitivity, or even decay. Composite bonding acts as a protective seal, effectively patching up these vulnerabilities, restoring the tooth’s integrity, and preventing minor issues from escalating into major problems. This restorative aspect is a key benefit, often overlooked amidst the cosmetic allure.
Furthermore, composite bonding is generally a conservative treatment. This is a cornerstone of its “goodness” for teeth. Unlike procedures like traditional porcelain veneers or crowns, which typically require the removal of a significant amount of natural tooth enamel to accommodate the restoration, composite bonding often necessitates minimal, if any, alteration to the existing tooth structure. The process usually involves a gentle etching of the tooth surface to create microscopic roughness, which allows the bonding agent and resin to adhere securely. This preservation of natural enamel is paramount for the long-term health of the tooth. The less a tooth is drilled or reduced, the stronger and more vital it generally remains. Therefore, when directly addressing the question, “Is bonding good for your teeth?“, the consensus among dental professionals is that, for appropriate cases, it’s an excellent, tooth-friendly option. It enhances aesthetics while respecting and preserving the natural biology of your smile, offering a solution that strengthens and beautifies without unnecessary sacrifice of healthy tooth tissue. This commitment to minimal intervention makes it a standout choice for those seeking effective yet gentle dental enhancements.
How Can Composite Bonding Transform Your Smile?
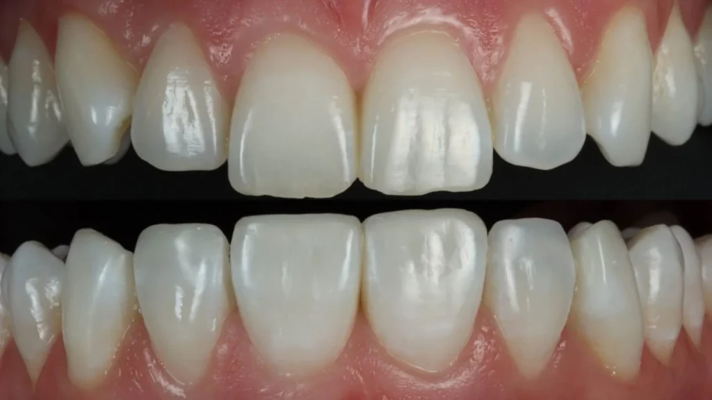
The transformative power of composite bonding on a smile can be truly remarkable, often exceeding patients’ expectations with its ability to address a multitude of aesthetic concerns subtly yet effectively. Imagine looking in the mirror and seeing a smile that feels authentically yours, only better – that’s the potential composite bonding offers. One of its most celebrated capabilities is effectively closing gaps, or diastemas, particularly those between the front teeth that can be a source of self-consciousness for many. Instead of lengthy orthodontic treatments for minor spacing, bonding can provide an immediate, aesthetically pleasing solution by skillfully adding resin to widen the teeth and bridge the gap. Similarly, it’s a champion at repairing chipped or broken teeth. Whether it’s a minor incisal edge chip from an accidental knock or a more noticeable fracture, composite resin can be sculpted to seamlessly restore the tooth’s original shape, contour, and color, making the repair virtually invisible.
Beyond repairs and gap-closing, composite bonding excels at enhancing tooth shape and color. Teeth that are slightly misshapen, too small, too short, or have an uneven appearance can be artistically re-contoured with composite resin to create a more harmonious and balanced smile line. Stubborn discoloration or intrinsic stains that don’t respond to traditional whitening methods can also be effectively masked. The result of these meticulous adjustments isn’t just a prettier smile; it’s often a significant boost in self-esteem and confidence. When you feel good about your smile, it shows in your interactions, your willingness to laugh openly, and your overall demeanor. Phrases like “achieve a beautiful smile” aren’t mere marketing speak when it comes to well-executed composite bonding; they reflect the genuine emotional and psychological uplift that patients experience. The artistry involved allows for a customized outcome that complements your facial features, ensuring the transformation looks natural, not artificial. It’s about refining and perfecting, leading to a smile that radiates health, youthfulness, and confidence.
What are the Key Advantages of Composite Bonding?
When weighing up your dental treatment options, understanding the specific, tangible benefits is crucial. Composite bonding shines brightly in this regard, offering a suite of key advantages that make it a highly attractive proposition for a wide range of patients seeking smile enhancements. Let’s break down these distinct plus points.
First and foremost is cost-effectiveness. In the realm of cosmetic dentistry, where procedures can often run into significant figures, composite bonding stands out as a generally more affordable alternative, particularly when compared to options like porcelain veneers. This accessibility means that achieving a dream smile is within reach for a broader demographic, without necessarily requiring a monumental financial outlay.
Secondly, its minimally invasive nature is a huge draw. As we’ve touched upon, composite bonding typically requires little to no removal of healthy tooth enamel. This conservative approach is not only better for the long-term health and integrity of your natural teeth but also means the procedure is often reversible, should you ever wish or need to explore other options in the future. Preserving your natural tooth structure is always a primary goal in modern dentistry, and bonding aligns perfectly with this philosophy.
Another significant advantage is the potential for a single-visit procedure. Unlike treatments that require multiple appointments for impressions, lab fabrication, and final fitting, composite bonding is often completed in just one trip to the dentist. The resin is applied, sculpted, cured, and polished chairside, meaning you can walk in with dental imperfections and walk out with a transformed smile on the same day. This convenience is a major plus for busy individuals.
Furthermore, repairability is a practical benefit worth noting. While composite resin is durable, it’s not indestructible. If your bonded tooth chips or sustains minor damage, the good news is that it can usually be easily and relatively inexpensively repaired by simply adding more composite material. This is often not the case with porcelain restorations, which might require complete replacement if damaged.
Finally, when performed by a skilled and artistic dentist, composite bonding achieves beautiful, natural-looking aesthetics. The resin material comes in a wide array of shades and translucencies, allowing for a precise match to your surrounding teeth. The dentist’s ability to sculpt and polish the material means the final result can blend seamlessly, looking and feeling just like your own teeth. These combined advantages make composite bonding a compelling and sensible choice for many cosmetic dental needs.
What are the Disadvantages and Risks of Composite Bonding You Should Know?
While composite resin bonding presents a compelling array of benefits, it’s crucial to approach any dental procedure with a balanced perspective. No treatment is entirely without its potential downsides or limitations, and being fully informed means understanding not just the glossy highlights but also the possible drawbacks. Acknowledging the disadvantages and risks associated with composite bonding empowers you to make a truly educated decision, ensuring your expectations are realistic and aligned with what the procedure can deliver over its lifespan. This isn’t about dissuading you, but rather about providing a complete picture, because a well-informed patient is invariably a happier patient. We need to delve into aspects like the material’s inherent limitations compared to other restorative options, its susceptibility to certain lifestyle factors, and the potential for complications or less-than-ideal outcomes if not performed with meticulous care. Understanding these facets will allow you to weigh them against the considerable advantages and determine if composite bonding is indeed the optimal path for your unique smile journey. This transparency is key to navigating your cosmetic dental options confidently and achieving long-term satisfaction with your chosen treatment. It’s about entering the process with your eyes wide open, aware of both the sunshine and the potential shadows.
What is the “Dark Side” or Ugly Side of Composite Bonding?
When we talk about the “dark side” or “ugly side of composite bonding,” we’re not referring to some hidden horror, but rather to the less glamorous realities and potential pitfalls that aren’t always front and center in the marketing brochures. It’s about peeling back the layers of perfectly curated smiles to understand the ongoing commitment and potential for disappointment if expectations aren’t managed. One of the primary considerations is the importance of realistic expectations regarding longevity and maintenance. While composite bonding can look fantastic initially, it’s not a “fit and forget” solution. The resin, while durable, is not as robust or stain-resistant as natural enamel or porcelain. This means that over time, you might experience issues like chipping, wear, or staining, especially if you’re not diligent with your oral hygiene or if you indulge in habits like smoking or frequent consumption of staining foods and drinks.
Another aspect of this “dark side” can be the outcome if the procedure is performed by a practitioner with insufficient experience or artistic skill. Poor application can lead to unsatisfactory results. This could manifest as a bonding that looks bulky or opaque, doesn’t match the color of adjacent teeth, has rough edges that irritate the tongue or trap plaque, or even debonds (comes off) prematurely. The skill of the dentist in shade matching, sculpting the resin, and achieving a seamless, natural-looking blend is paramount. If this artistry is lacking, the result can look “fake” or obviously “done,” which is precisely what most patients wish to avoid. Furthermore, while generally repairable, frequent chipping or staining can become frustrating and lead to repeated dental visits and additional costs over time, diminishing the initial cost-effectiveness. The “ugly side” also encompasses the need for meticulous aftercare; failing to follow dietary advice or maintain excellent oral hygiene can significantly shorten the lifespan and mar the appearance of your bonded teeth. It’s a commitment, not just a one-off fix.
What are the Main Disadvantages of Composite Bonding?
Beyond the more nuanced “dark side,” there are several specific, widely acknowledged disadvantages of composite bonding that patients should carefully consider. These relate primarily to the inherent properties of the composite resin material itself when compared to alternatives like porcelain.
First, let’s talk about durability. While modern composite resins are impressively strong, they are generally less durable and robust than porcelain restorations or even natural tooth enamel. This means they are more prone to chipping, fracturing, or wearing down over time, especially if placed on biting surfaces or in individuals who grind their teeth (bruxism) or have heavy biting forces. This reduced durability might mean more frequent repairs or replacements compared to, say, porcelain veneers.
Secondly, staining is a significant consideration. Composite resin is a porous material, which makes it more susceptible to absorbing stains from richly colored foods and beverages like coffee, tea, red wine, curry, and berries, as well as from smoking. While good oral hygiene and regular professional cleanings can help mitigate this, bonded teeth may discolor at a different rate than your natural teeth, potentially leading to a color mismatch over time. Porcelain, by contrast, is highly resistant to staining.
The lifespan of composite bonding is another factor. Typically, composite bonding lasts between 3 to 10 years, depending on various factors including the location of the bonding, your oral habits, and how well you care for it. This is generally shorter than the lifespan of porcelain veneers, which can last 10 to 15 years or even longer with proper care. This means you might need to anticipate touch-ups or complete replacements of the bonding more frequently.
Finally, the polish and luster of composite bonding can diminish over time. While it can be polished to a beautiful, natural-looking sheen initially, this high gloss may fade, and the surface can become duller or rougher with wear and tear. Maintaining that initial vibrancy often requires diligent care and potentially periodic re-polishing by your dentist. These disadvantages don’t necessarily make composite bonding a poor choice, but they are crucial realities to weigh against its many benefits when making an informed decision about your dental care.
What is the Problem with Composite Resin Material Itself?
Delving into the specifics of what is the problem with composite resin material itself reveals the inherent limitations that contribute to some of the disadvantages we’ve discussed. Composite resin, for all its versatility and aesthetic qualities, is fundamentally a type of plastic (albeit a highly sophisticated one, often filled with glass or ceramic particles to enhance its strength and appearance). This composition dictates its physical and chemical properties, which differ significantly from natural tooth enamel or dental ceramics like porcelain.
One key aspect is its wear rate. Composite resin tends to wear down more quickly than natural enamel or porcelain, especially under the forces of chewing and grinding. This wear can lead to a loss of anatomical form over time, particularly for restorations on the biting surfaces of posterior teeth, potentially affecting your bite or the longevity of the restoration. While manufacturers are constantly improving wear resistance, it remains a factor.
Another inherent characteristic is the potential for microscopic shrinkage. When composite resin is cured (hardened) with a special light, it undergoes a slight degree of polymerization shrinkage. While modern materials and meticulous application techniques aim to minimize this, even tiny shrinkage can, over time, potentially lead to micro-gaps forming at the margin between the resin and the tooth. These gaps could become sites for bacterial ingress, potentially leading to recurrent decay or staining at the edges of the restoration.
Furthermore, its physical properties in terms of fracture toughness and flexural strength are generally lower than those of porcelain or metal alloys used in dentistry. This makes it more susceptible to chipping or fracturing under stress, which is why it’s often preferred for smaller restorations or areas not subject to extreme biting forces. While perfectly adequate for many cosmetic applications like fixing chips or closing small gaps on front teeth, its limitations become more apparent when larger restorations or higher stress-bearing areas are involved. The material’s coefficient of thermal expansion, while designed to be close to that of natural tooth structure, can still differ slightly, which, over many cycles of hot and cold, could theoretically stress the bond interface. These aren’t necessarily “problems” that make the material unusable – far from it, as it’s incredibly successful – but they are inherent material science limitations that dentists work to manage and that patients should be aware of.
What are the Risks of Composite Bonding and How Can They Be Mitigated?
While generally considered a safe and conservative procedure, like any dental treatment, composite bonding does carry some potential risks of composite bonding, though they are typically minor and manageable. Understanding these risks and, crucially, how they can be mitigated is key to a successful outcome.
One common risk is debonding, where the composite resin material partially or completely comes away from the tooth. This can occur if the tooth surface wasn’t properly prepared (etched and conditioned) to achieve a strong bond, if there was moisture contamination during the procedure, or if excessive force is applied to the bonded tooth. To mitigate this, your dentist will meticulously follow bonding protocols, ensuring a clean, dry field and proper application of bonding agents. Patients can help by avoiding biting directly into very hard or sticky foods with bonded front teeth.
Chipping or fracturing of the resin is another possibility, given that composite is not as strong as natural enamel or porcelain. This is more likely if you bite your nails, chew on pens, open packages with your teeth, or eat very hard items. Mitigation involves being mindful of these habits and protecting your bonded teeth. For individuals who grind their teeth (bruxism), a nightguard is often recommended to protect the bonding (and natural teeth) from excessive forces.
Color instability or mismatch over time can also be a concern. The composite resin can stain, as discussed, and your natural teeth might also change color at a different rate, leading to a noticeable difference. To mitigate this, impeccable oral hygiene is essential, including regular brushing, flossing, and professional cleanings. Avoiding or minimizing consumption of highly staining substances helps. If you’re considering teeth whitening, it should be done *before* bonding so the resin can be matched to your newly whitened shade, as the resin itself won’t whiten.
Though rare, allergic reactions to the composite material or bonding agents can occur in susceptible individuals. If you have known allergies to dental materials, inform your dentist beforehand. They can then choose alternative materials if necessary. Post-procedure sensitivity can sometimes occur, usually temporary, but if it persists, contact your dentist.
The most effective way to mitigate almost all these risks is to choose an experienced cosmetic dentist who has a proven track record with composite bonding. Their skill in material selection, application technique, and finishing is paramount. Combine this with maintaining excellent oral hygiene and attending regular dental check-ups, and you significantly increase the chances of a long-lasting, beautiful, and trouble-free result.
Who is a Suitable Candidate for Composite Bonding, and Who Might Not Be?
Composite bonding, with its appealing blend of aesthetic enhancement and minimal invasiveness, is a fantastic solution for many, but it’s not a universal panacea for every dental concern or every individual. Determining suitability is a critical step that involves a thorough assessment by a dental professional, considering not just the specific dental issue but also the patient’s overall oral health, lifestyle, and expectations. While its versatility allows it to address a wide spectrum of minor imperfections – from chips and gaps to discoloration and slight misalignments – there are certain scenarios where composite bonding might not be the most appropriate or effective choice. Understanding these distinctions is key to avoiding disappointment and ensuring that the chosen treatment path leads to a successful and sustainable outcome. The ideal candidate typically presents with good underlying oral health and seeks to correct relatively minor cosmetic flaws. Conversely, individuals with extensive dental problems, certain parafunctional habits, or unrealistic expectations might find that alternative treatments are better suited to their needs. Ultimately, a candid discussion with your dentist, weighing the pros and cons in the context of your unique situation, will illuminate whether you’re a prime candidate for this transformative procedure or if another avenue might be more beneficial. This personalized approach ensures that the treatment aligns perfectly with both your dental needs and your aesthetic aspirations.
How Do I Know if Composite Bonding is Right for Me?
Figuring out “How do I know if composite bonding is right for me?” involves a combination of self-assessment and, crucially, a professional consultation with your dentist. However, you can start by considering certain scenarios where bonding often emerges as an excellent choice. If you’re looking to correct minor cosmetic imperfections on otherwise healthy teeth, you might be a good candidate. Think about small chips on the edges of your front teeth, slight wear that has shortened a tooth, or minor, visible cracks (craze lines) that haven’t compromised the tooth’s structure but affect its appearance. If you have small gaps (diastemas) between your teeth, particularly your front teeth, and you’re seeking a quicker, less invasive alternative to orthodontic treatment, bonding can be an ideal solution to close these spaces artfully.
Another strong indication is if you have slight discoloration on one or more teeth that doesn’t respond well to traditional teeth whitening methods, or if you have a single tooth that is noticeably darker than its neighbors. Composite bonding can effectively mask these discolorations, matching the shade to your surrounding teeth for a uniform look. If your teeth are generally healthy but you’re unhappy with their shape – perhaps they are slightly peg-shaped, too short, or have uneven edges – bonding can be used to re-contour and reshape them for a more aesthetically pleasing smile. Essentially, if your concerns are largely cosmetic and don’t involve extensive decay, severe misalignment, or major structural damage, composite bonding could be a fantastic fit.
However, the most definitive way to know is through a professional assessment by a dentist. They will evaluate your overall oral health, the specific issues you want to address, your bite, and your lifestyle habits (like diet and smoking) to determine if bonding is the most suitable and sustainable option. They can also discuss alternatives and help you weigh the pros and cons in your specific case. For further reading, you might come across resources from reputable dental organizations or brands, such as an article titled something like “Is Composite Resin Bonding Right For You? | Colgate®” (though always verify information with your own dental professional), which can provide additional general insights. But remember, generic advice is no substitute for personalized professional guidance tailored to your unique dental landscape.
Who Cannot Have Composite Bonding? Understanding Limitations
While composite bonding is wonderfully versatile, there are certain individuals for whom it might not be the ideal, or even a feasible, treatment option. Understanding “Who cannot have composite bonding?” is crucial for managing expectations and guiding patients towards the most appropriate care.
Firstly, individuals with severe tooth decay or active gum disease (periodontitis) are generally not immediate candidates. These underlying dental health issues must be comprehensively treated and stabilized *before* any cosmetic procedures like bonding can be considered. Attempting to bond over active decay or inflamed gums would be counterproductive and could trap infection or lead to premature failure of the bonding. Your dentist will prioritize restoring your oral health first.
Patients with extensive tooth damage or those needing large restorations may also find bonding insufficient. If a tooth has a very large chip, a significant fracture, or extensive wear, composite resin might not provide the necessary strength or durability for a long-lasting restoration. In such cases, more robust options like dental crowns or porcelain onlays/inlays might be recommended to ensure the tooth’s structural integrity and longevity.
Certain parafunctional habits, most notably severe teeth grinding or clenching (bruxism), can pose a significant challenge for composite bonding. The immense forces generated during bruxism can easily chip, fracture, or wear down composite resin much faster than normal. While a nightguard can offer protection, if the habit is very pronounced, a more durable restorative material might be advised, or the underlying bruxism may need to be addressed first.
Individuals with very poor oral hygiene are also not ideal candidates. Composite bonding requires diligent care to prevent staining, plaque buildup around the margins (which can lead to decay or gum irritation), and premature failure. If a patient is unable or unwilling to commit to meticulous brushing, flossing, and regular dental check-ups, the longevity and aesthetic success of the bonding will be compromised.
Finally, those with unrealistic expectations might not be suitable. Composite bonding is excellent for many improvements, but it has its limitations in terms of durability and stain resistance compared to porcelain. If a patient expects a “Hollywood perfect,” ultra-bright, and indestructible smile that lasts indefinitely with minimal care, they might be better served by a frank discussion about what bonding can realistically achieve versus other, perhaps more involved, treatments. A thorough consultation will clarify these limitations.
Can You Have Composite Bonding on Rotten Teeth?
This is a very common and understandable question: “Can you have composite bonding on rotten teeth?” The short and direct answer is no, not directly onto active decay. It’s fundamentally important to understand that composite bonding is primarily a cosmetic or minor restorative procedure designed for teeth that are otherwise structurally sound or have had existing issues fully resolved. Attempting to place composite resin over an area of active tooth decay – what patients often refer to as “rotten teeth” – would be like papering over a crumbling wall. It wouldn’t address the underlying problem and would, in fact, likely exacerbate it.
Here’s why: tooth decay is a bacterial infection that progressively destroys tooth structure. If composite resin were placed over this active infection, the decay process would continue underneath the bonding. This could lead to the decay spreading further, potentially reaching the tooth’s nerve (pulp), causing pain, infection, and ultimately requiring more extensive treatment like root canal therapy or even extraction. The bonding itself would also likely fail prematurely as the underlying tooth structure weakens and crumbles.
Therefore, the correct protocol is always to completely remove all active tooth decay and restore the tooth to a state of health *before* any cosmetic procedures, including composite bonding, are considered. Once the decay is meticulously excavated by the dentist, the resulting cavity will be filled. Interestingly, composite resin is very often the material of choice for these fillings (tooth-colored fillings) due to its aesthetic qualities and ability to bond directly to the tooth. So, in a sense, composite resin *can* be used to restore a tooth *after* decay has been treated. If, after the decay is removed and the tooth is filled, there are still aesthetic concerns that bonding can address (like improving the shape or color of the restored tooth or adjacent teeth), then composite bonding can certainly be performed on that now-healthy tooth structure. The key distinction is that the “rotten” part must be gone, and the tooth must be biologically sound before cosmetic bonding is applied for aesthetic enhancements. Your dentist’s priority will always be to establish a healthy foundation.
What Does the Composite Bonding Procedure Involve?
Stepping into the unknown can be daunting, especially when it involves your smile. So, let’s demystify the composite bonding procedure itself. Far from being an arduous or complex ordeal, it’s typically a straightforward, chairside process that showcases the dentist’s skill and artistry. Understanding the sequence of events can alleviate anxiety and help you appreciate the meticulous care that goes into transforming your teeth. The procedure is generally conservative, often requiring no anesthesia, and can usually be completed in a single visit, depending on the number of teeth being treated and the complexity of the case. It’s a direct application technique, meaning the magic happens right there in the dental office, with the composite resin being applied, sculpted, and hardened onto your tooth in real-time. From the initial, gentle preparation of the tooth surface to the final polish that brings out the resin’s natural luster, each step is carefully executed to achieve a seamless and aesthetically pleasing result. Knowing what to expect can make the experience more comfortable and allow you to fully appreciate the journey to your enhanced smile. It’s a fascinating blend of science – ensuring a strong, durable bond – and art, crafting a restoration that looks entirely natural.
What Should I Expect During a Composite Resin Bonding Treatment?
If you’re slated for a “composite resin bonding procedure,” knowing the step-by-step process can make you feel much more at ease. It’s a remarkably precise yet artistic endeavor, typically unfolding as follows:
First up is preparation. This is often minimal, which is one of bonding’s key attractions. Your dentist will start by selecting the perfect shade of composite resin to match your natural teeth, often using a shade guide. Then, the tooth (or teeth) to be bonded will be gently prepared. This usually involves cleaning the surface thoroughly. In most cosmetic bonding cases where there’s no decay, little to no drilling or removal of tooth enamel is needed. The primary preparation step is “etching” the tooth surface. A mild acidic gel (usually phosphoric acid) is applied for a short period (around 15-30 seconds) and then rinsed off. This creates microscopic roughness on the enamel, almost like frosting glass, which provides a much larger surface area for the bonding agent to adhere to, ensuring a strong mechanical bond.
Next is the application of the bonding agent. After the tooth is etched and dried, a liquid conditioning agent, known as a bonding agent or adhesive, is carefully brushed onto the prepared tooth surface. This agent seeps into the microscopic pores created by the etching process and acts as an intermediary, like a primer, to help the composite resin stick securely to the tooth.
Then comes the star of the show: resin application & sculpting. The tooth-colored composite resin, which has a putty-like or clay-like consistency at this stage, is applied to the tooth, often in small increments or layers. This is where the dentist’s artistry truly shines. They will meticulously sculpt and shape the pliable resin with special dental instruments to achieve the desired contour, length, and overall appearance, whether it’s filling a chip, closing a gap, or reshaping a tooth.
Following the sculpting, each layer of resin needs to be hardened, a process called curing. A special high-intensity curing light, usually emitting a blue wavelength, is shone onto the resin for about 20-60 seconds per layer. This light activates a catalyst within the resin, causing it to polymerize and harden rapidly.
Finally, once all layers are applied and hardened, the bonding undergoes finishing & polishing. The dentist will use fine burs and polishing discs, cups, or points to further shape, trim, and refine the hardened resin. They will smooth any rough edges, adjust the bite if necessary, and polish the restoration to a high gloss, ensuring it matches the sheen and texture of your natural teeth and blends seamlessly into your smile. This final step is crucial for achieving a natural, aesthetically pleasing, and comfortable result.
Do They Shave Your Teeth for Composite Bonding?
This is one of the most frequent and understandable concerns patients have: “Do they shave your teeth for composite bonding?” The anxiety often stems from experiences or knowledge of more invasive procedures like traditional porcelain veneers or crowns, where significant tooth reduction is indeed a standard part of the process. However, one of the standout advantages of composite bonding is that, in the vast majority of cases, it requires minimal to no removal (shaving) of the natural tooth enamel. This conservative approach is a cornerstone of its appeal and what makes it such a tooth-friendly option.
For many common applications of composite bonding – such as repairing small chips, closing minor gaps, or making slight alterations to tooth shape or color – the existing tooth structure can often be left entirely intact. The primary preparation involves a gentle cleaning of the tooth surface followed by the application of an etching gel. This gel microscopically roughens the enamel, creating a more receptive surface for the bonding agent and resin to adhere to, but it doesn’t involve “shaving” or grinding down the tooth in the way one might envision. Think of it more like lightly sanding a surface before painting to ensure better adhesion, rather than significantly altering its shape or size.
There might be very specific, limited circumstances where a tiny amount of enamel recontouring or smoothing of a sharp edge is done *before* bonding, perhaps to create a more ideal foundation for the resin or to remove a very superficial irregularity. However, this is typically extremely conservative and not comparable to the enamel reduction required for veneers or crowns. When dentists contrast this with procedures like traditional veneers or crowns, the difference is stark. Veneers often require a layer of enamel, sometimes up to half a millimeter or more, to be removed from the front surface of the tooth to make space for the porcelain shell and prevent a bulky appearance. Crowns necessitate even more significant tooth reduction on all surfaces to accommodate the full-coverage restoration. Composite bonding, by preserving your natural tooth structure, maintains the tooth’s inherent strength and vitality, and often makes the procedure reversible if desired in the future. This commitment to minimal intervention is a key reason why many patients and dentists opt for composite bonding.
How Long Does a Composite Bonding Appointment Take?
When planning for any dental treatment, knowing the time commitment involved is always helpful. So, how long does a composite bonding appointment take? One of the appealing aspects of composite bonding is its efficiency. Generally, the procedure can be completed in a relatively short timeframe, often within a single visit to the dental office. For a straightforward case involving a single tooth, such as repairing a small chip or closing a tiny gap, the appointment might take approximately 30 to 60 minutes per tooth. This includes all the steps: shade selection, tooth preparation (etching), application of the bonding agent, meticulous sculpting of the composite resin, curing with the light, and the final shaping and polishing.
Of course, the total appointment time will vary depending on several factors. The primary factor is the number of teeth being treated. If you’re having bonding done on multiple teeth – for example, to close several gaps or to enhance the appearance of your front six or eight teeth for a smile makeover – the appointment will naturally be longer. Your dentist might treat a few teeth at a time, or if it’s a more extensive case, they might even suggest breaking it down into two shorter appointments for your comfort, though often the goal is single-visit completion.
The complexity of the case also plays a significant role. A simple chip repair is quicker than, say, intricately reshaping a malformed tooth or layering multiple shades of composite to achieve a highly natural, translucent effect for a front tooth. The dentist’s meticulousness and artistic approach, which are crucial for a beautiful outcome, also factor into the time. They won’t rush the sculpting and polishing phases, as these are critical for achieving a seamless blend and natural luster.
It’s always best to ask your dentist for an estimated time for your specific procedure during your consultation. They can assess your individual needs and give you a more accurate idea of how long you should expect to be in the dental chair. However, for many common applications, the ability to walk in with a dental concern and walk out with a transformed smile in just an an hour or two is a significant advantage of composite bonding, making it a convenient option for those with busy schedules.
How Long Does Composite Bonding Last and What Affects Its Durability?
Investing in your smile is an investment in your confidence, so naturally, you’ll want to know about the staying power of any cosmetic dental procedure. When it comes to composite bonding, understanding its lifespan and the myriad factors that influence its durability is crucial for setting realistic expectations and ensuring you can enjoy your enhanced smile for as long as possible. While not as robust as porcelain or natural enamel, modern composite resins are impressively resilient, but they are not impervious to the daily rigors of life. The longevity of your bonding isn’t solely determined by the material itself; it’s a dynamic interplay between the quality of the initial work, your unique oral environment, your dietary and lifestyle habits, and your commitment to ongoing care. Knowing what can shorten or extend the life of your composite restorations empowers you to take proactive steps in their maintenance. From the forces exerted during chewing to the staining potential of your favorite foods and drinks, many elements can impact how long your bonding remains pristine. We’ll explore the typical lifespan you can anticipate and, more importantly, dissect the various elements that hold sway over its endurance, helping you to become an informed guardian of your newly perfected smile.
How Long Do Composite Resin Teeth Restorations Usually Last?
When considering composite bonding, a key question is, “How long do composite resin teeth restorations usually last?” It’s important to understand that there isn’t a single, definitive answer that applies to everyone, as individual experiences can vary. However, on average, you can typically expect composite bonding to last anywhere from 3 to 10 years. This is a general estimate, and some patients may find their bonding lasts even longer, while others might require touch-ups or replacement sooner.
Several factors significantly influence this longevity. One of the most critical is your oral hygiene. Meticulous brushing (at least twice a day with a non-abrasive toothpaste) and daily flossing are paramount. Good hygiene prevents plaque buildup around the margins of the bonding, which can lead to staining, decay, or gum irritation, all of which can compromise the restoration. Regular dental check-ups and professional cleanings (e.g., every 6 months) are also essential for maintaining the health of both your natural teeth and your bonded restorations.
Your diet plays a substantial role. Frequent consumption of very hard foods (like ice, hard candies, or nuts) can put excessive stress on the bonding, increasing the risk of chipping or fracturing. Similarly, highly acidic foods and drinks can, over time, slightly erode the resin surface. Staining foods and beverages (coffee, tea, red wine, dark berries, curry) can also affect the aesthetic lifespan, causing discoloration.
Biting habits are another major determinant. Using your bonded teeth as tools – for example, to open packages, bite your nails, or chew on pens – is a surefire way to shorten their lifespan. If you suffer from bruxism (teeth grinding or clenching), especially at night, the forces exerted can be particularly damaging to composite resin. In such cases, your dentist will likely recommend a custom-fitted nightguard to protect your bonding and natural teeth.
Finally, the location of the bonding matters. Bonding on the biting edges of front teeth, for instance, might experience more wear and tear from everyday functions like incising food compared to bonding on the smooth facial surface of a tooth that is primarily for aesthetic improvement of color or shape. The skill of the dentist in placing and finishing the bonding also contributes to its durability. A well-contoured, smoothly polished restoration with good marginal adaptation will generally last longer.
How Long Does Resin Last on Front Teeth Specifically?
The question of “How long does resin last on front teeth specifically?” is a common one, as front teeth are not only highly visible but also play a crucial role in biting and speaking. Generally, the lifespan of composite resin on anterior (front) teeth falls within the same average range as bonding on other teeth – typically 3 to 10 years. However, there are some specific considerations for restorations in this prominent area of your smile.
Front teeth are, by their very nature, at the vanguard of your mouth. They are the first to encounter food when you bite into an apple or a sandwich, meaning they are subject to direct biting forces (incisal forces). While composite resin is quite strong, it’s not as fracture-resistant as natural enamel or porcelain. Therefore, habits like biting directly into very hard or tough foods with bonded front teeth can increase the risk of chipping or dislodging the resin. Being mindful of *how* you bite and chew can help preserve these restorations.
Aesthetically, front teeth are under constant scrutiny. Even minor wear, chipping, or staining on a front tooth is often more noticeable and can be more bothersome to a patient than similar issues on a less visible back tooth. This heightened aesthetic concern might lead some individuals to seek touch-ups or replacement of bonding on their front teeth sooner than they might for posterior restorations, even if the bonding is still functionally sound. The desire to maintain a pristine appearance in such a visible area often drives earlier intervention.
Maintenance is absolutely crucial for front tooth bonding. Because they are so visible, any staining from coffee, tea, red wine, or smoking will be immediately apparent. Diligent oral hygiene, including careful brushing and flossing, and regular professional cleanings are essential to keep the resin looking its best and to prevent discoloration at the margins where the resin meets the tooth.
Despite these considerations, composite resin remains an excellent and popular choice for front teeth due to its superb aesthetic qualities and conservative nature. A skilled cosmetic dentist can achieve incredibly natural-looking results, seamlessly blending the resin with the existing tooth structure. While the longevity is similar to bonding elsewhere, the visibility and functional demands on front teeth underscore the importance of careful oral habits and meticulous maintenance to maximize the lifespan of these aesthetically critical restorations.
What Happens After 5 Years of Composite Bonding?
Peering into the future, patients often wonder, “What happens after 5 years of composite bonding?” Five years is a significant milestone and often falls squarely within the typical lifespan expectation for this type of restoration. The condition of your composite bonding at the five-year mark can vary quite a bit depending on the factors we’ve previously discussed – your oral hygiene, diet, habits, the initial quality of the work, and the location of the bonding.
For some individuals, especially those who have been meticulous with their care and have favorable oral conditions, their composite bonding might still be in excellent condition after five years. It could retain much of its original color, luster, and integrity, with minimal signs of wear or staining. These patients might not require any intervention at this point beyond their routine dental check-ups and cleanings.
However, for many, after five years, some degree of wear and tear is common and to be expected. You might start to notice some minor chipping, particularly on the edges of bonded teeth, especially if they are front teeth used for biting. The initial high polish and luster may have diminished somewhat, making the bonding appear slightly duller than when it was first placed. Staining could also become more apparent, especially if you’re a regular consumer of staining foods and drinks or if you smoke. The resin might have absorbed some pigments over time, leading to a yellowish or darker hue compared to your natural teeth, or the margins where the bonding meets the tooth might show some discoloration.
At this stage, some patients may feel that the aesthetic quality of their bonding is no longer optimal and may choose to have touch-ups or replacement. A touch-up might involve smoothing a small chip, re-polishing the surface to restore some shine, or even adding a thin new layer of resin to freshen up the appearance. In other cases, if the wear, staining, or chipping is more significant, or if the bond has started to fail, complete replacement of the bonding on one or more teeth might be recommended by your dentist. A dental check-up around this time will involve a thorough assessment of the bonding’s integrity, marginal seal, and aesthetic appearance. Your dentist will discuss their findings with you and recommend the best course of action, whether it’s continued monitoring, minor repairs, or full replacement, to ensure your smile remains healthy and beautiful.
What Happens When Composite Bonding Wears Off or Needs Replacement?
Understanding what happens when composite bonding wears off or needs replacement can help you recognize the signs and know what to expect from the renewal process. Composite bonding isn’t designed to last forever, so eventual wear and the need for replacement are normal aspects of its lifecycle. There are several tell-tale signs that indicate your bonding is wearing off or has reached the end of its functional or aesthetic lifespan.
You might notice noticeable chipping or fracturing of the resin. Small chips can sometimes be repaired, but if the bonding is breaking down more extensively or repeatedly, it’s often a sign that replacement is due. Significant staining or discoloration that can no longer be effectively polished away is another common reason for replacement, especially if there’s a stark contrast between the bonded teeth and your natural teeth. The surface of the bonding might feel rough to your tongue, or you might see rough edges, which can also trap plaque and irritate your soft tissues. In some cases, the bonding might become partially or fully detached from the tooth, though this is less common if it was well-applied initially. If the margin where the bonding meets the tooth starts to leak or show signs of decay underneath, replacement is imperative.
When it’s determined that your composite bonding needs to be replaced, the process for replacement is generally quite similar to the initial application, and thankfully, it’s usually straightforward. Your dentist will first carefully remove the old composite resin material. This is typically done using fine dental burs, taking care to preserve as much of the underlying natural tooth structure as possible. Once the old material is removed and the tooth surface is cleaned, the tooth will be re-prepared (etched and conditioned) just as it was during the initial procedure. New composite resin of the chosen shade will then be applied in layers, sculpted to the desired shape, cured with the light, and finally, meticulously finished and polished to achieve a fresh, natural-looking result.
The good news is that composite bonding can generally be easily repaired or replaced without further compromising the underlying tooth, especially because the initial procedure is so conservative. Each replacement essentially gives you a fresh start, restoring the beauty and function of your smile. Regular dental check-ups are key, as your dentist can monitor the condition of your bonding and advise you when replacement is becoming necessary, often before you notice significant issues yourself.
How Much Does Composite Bonding Cost? Understanding the Financial Aspects
Navigating the financial landscape of dental treatments is a crucial step in the decision-making process. When it comes to composite bonding, understanding the potential costs involved allows you to plan accordingly and weigh the investment against the aesthetic and functional benefits it offers. Unlike some more extensive cosmetic procedures that can carry a hefty price tag, composite bonding is often lauded for its relative affordability. However, the “cost of composite bonding” isn’t a fixed figure; it’s influenced by a confluence of factors that can cause prices to vary, sometimes significantly. These can include the geographic location of the dental practice, the experience and reputation of the dentist, the number of teeth being treated, and the complexity of your specific case. Whether you’re looking to repair a single chipped tooth or seeking a more comprehensive smile enhancement involving multiple teeth, getting a clear picture of the potential financial commitment is essential. This section aims to shed light on the typical pricing structures, explore regional variations, and help you understand what contributes to the overall cost, ensuring you can approach your cosmetic dental journey with financial clarity and confidence. Being informed about these financial aspects will help you engage in productive conversations with your dental provider and make choices that align with both your smile goals and your budget.
What is the Price of Composite Bonding Generally?
When patients ask, “What is the price of composite bonding generally?” they’re seeking a ballpark figure to help them budget for their desired smile enhancements. It’s important to reiterate that prices can fluctuate significantly based on various factors, but we can discuss general ranges. In many Western countries, like the United States, Canada, or parts of Western Europe, you might expect the cost of composite bonding to range from approximately $200 to $600 USD per tooth (or the local currency equivalent). Some more complex cases or those performed by highly sought-after cosmetic dentists in major metropolitan areas could potentially exceed this range, perhaps reaching up to $800-$1000 per tooth in exceptional circumstances for very artistic, multi-layered bonding.
One of the most commonly cited advantages of composite bonding is that it is generally more affordable than porcelain veneers. Porcelain veneers are indirect restorations fabricated in a dental laboratory, a process which incurs additional lab fees. They also often require more chair time spread over multiple appointments. Consequently, porcelain veneers typically cost significantly more, often ranging from $900 to $2,500 USD per tooth, or even higher. This price difference makes composite bonding an attractive option for individuals seeking noticeable cosmetic improvements without the higher financial commitment associated with porcelain.
It’s also worth noting that the “price” often reflects not just the materials used but also the dentist’s skill, time, and artistry. Creating a natural-looking, seamlessly blended composite bonding restoration, especially on a front tooth, requires considerable talent and attention to detail. Therefore, while you might find a wide range of quotes, opting for the absolute cheapest option may not always yield the best aesthetic or longest-lasting result. Always ensure you are comparing like-for-like services and understand what is included in the quoted fee (e.g., initial consultation, the procedure itself, any necessary follow-up adjustments). Most dental practices will provide a detailed treatment plan with a clear breakdown of costs after an initial consultation and examination.
How Much is Composite Resin for One Tooth?
To get more specific, prospective patients often inquire, “How much is composite resin for one tooth?” This is a practical way to understand the investment, as dentists commonly quote the “cost of composite bonding” on a per-tooth basis. As mentioned previously, in regions like the US, UK, Canada, and Australia, the fee for bonding a single tooth typically falls within a range of approximately $200 to $600 (USD or local equivalent). For instance, a simple repair of a small chip on the edge of a tooth might be at the lower end of this spectrum. Conversely, a more complex procedure on a single tooth, such as completely reshaping it, masking significant discoloration with multiple layers of resin, or closing a larger gap next to it, would likely be at the higher end of this range, or potentially a bit more.
The complexity of the individual tooth’s needs is a primary driver of the cost. If the tooth requires minimal preparation and a straightforward application of resin, the time and materials involved are less, hence a lower fee. However, if the dentist needs to employ advanced techniques, use multiple shades of composite to achieve a highly natural, polychromatic effect (mimicking the subtle variations in color and translucency of a natural tooth), or spend considerable time meticulously sculpting and polishing the resin to perfection, the cost will understandably be higher.
The dentist’s experience and artistic skill also significantly affect the price for bonding one tooth. A general dentist who performs bonding occasionally might charge less than a highly experienced cosmetic dentist who specializes in aesthetic procedures and has a portfolio showcasing exceptional results with composite bonding. You are, in part, paying for their expertise, artistic eye, and the predictability of their outcomes. The geographic location of the practice and its overhead costs also play a role; practices in major cities with higher operational expenses may charge more than those in smaller towns. When getting a quote for bonding on one tooth, ensure you understand what that fee encompasses. Does it include the initial consultation, any necessary X-rays, the bonding procedure itself, and any minor adjustments that might be needed shortly after? Clear communication is key.
What Does Composite Bonding Teeth Cost in the UK, and How Does it Compare to Turkey?
For those considering treatment in specific regions, questions like “What does composite bonding teeth cost in the UK, and how does it compare to Turkey?” are highly relevant.
In the United Kingdom, the “composite bonding UK price” per tooth typically ranges from approximately £200 to £500 per tooth. This can vary based on the location (e.g., London practices may charge more than those in other parts of the country), the reputation and experience of the cosmetic dentist, and the complexity of the treatment required. For more straightforward cases, you might find prices closer to the lower end, while intricate work involving multiple layers or significant reshaping will command higher fees. It’s always advisable to get quotes from a few reputable clinics and look at their before-and-after portfolios. Some UK dental insurance plans might cover a portion of the cost if the bonding is deemed medically necessary (e.g., to repair a fractured tooth that’s causing sensitivity), but purely cosmetic bonding is usually paid for privately.
The phenomenon of “dental tourism” has led many to explore options abroad, and Turkey has emerged as a popular destination for cosmetic dental procedures, including composite bonding. The advertised “composite bonding per tooth in Turkey” is often significantly cheaper than in the UK, sometimes quoted as low as £100 to £250 per tooth, or even less in some package deals. This apparent cost saving is a major draw.
However, when considering dental treatment in Turkey (or any foreign country), it’s crucial to factor in additional considerations beyond the headline price. These include:
-
- Travel and accommodation costs: Flights, hotels, and local transport add to the overall expense.
-
- Follow-up care and adjustments: If complications arise or adjustments are needed after you return home, accessing follow-up care from the original treating dentist can be difficult and costly. Your local UK dentist may be hesitant to intervene with work done elsewhere, or may charge significant fees to do so.
-
- Regulation and standards: While many excellent clinics exist in Turkey, regulatory standards, redress mechanisms, and infection control protocols may differ from those in the UK. Thorough research into the clinic’s credentials, dentist qualifications, and patient reviews is absolutely essential.
-
- Communication: Ensure clear communication with the dental team, especially regarding your expectations and any potential risks. Language barriers can sometimes be an issue.
-
- Time pressure: Sometimes, treatments abroad are condensed into a short timeframe, which might not always be ideal for complex cases or for allowing adequate healing or adjustment periods.
While the initial cost in Turkey can be lower, a comprehensive assessment of all factors, including potential risks and the total cost of the trip and any future remedial work, is vital before making a decision.
How Much Does a Full Set of Composite Veneers Cost UK?
When patients inquire about “How much does a full set of composite veneers cost UK?” they’re typically envisioning a comprehensive smile makeover, often involving the front six, eight, or even ten teeth that are most visible when they smile. It’s important to clarify that “composite veneers” in this context usually refers to composite bonding applied to the full front surface of multiple teeth to change their shape, size, color, and alignment, similar to what porcelain veneers achieve, but using composite resin instead.
The cost for such extensive treatment in the UK will naturally be a multiple of the per-tooth cost. If we take an average range of £200 to £500 per tooth, a “full set” involving, for example, eight upper teeth (a common number for a smile makeover) could range from approximately £1,600 (8 x £200) to £4,000 (8 x £500). If both upper and lower front teeth are being treated, the cost would increase accordingly. For example, bonding 8 upper and 8 lower teeth (16 teeth total) could potentially range from £3,200 to £8,000, or even more depending on the complexity and the clinic’s fee structure.
Several factors influence the final cost of a full set:
-
- Number of teeth: The more teeth included in the “full set,” the higher the total cost.
-
- Complexity of the case: If significant changes in shape, size, or alignment are required, or if intricate color matching and layering techniques are needed for a highly natural aesthetic, the time and skill involved will be greater, thus increasing the cost. Correcting minor rotations or closing multiple gaps across several teeth is more involved than simple surface enhancements.
-
- Dentist’s expertise: A cosmetic dentist renowned for their skill in full smile makeovers using composite resin will likely charge more than a general practitioner. Their experience in aesthetic design and advanced bonding techniques commands a premium.
-
- Clinic location and reputation: High-end clinics in major cities like London may have higher fees.
-
- Materials used: While most quality composite resins are comparable in raw material cost, the dentist’s choice of specific brands known for superior aesthetics or durability might subtly influence pricing.
Many UK dental practices offer financing plans for more extensive cosmetic treatments like a full set of composite bonding, allowing patients to spread the cost over time. It’s crucial to have a detailed consultation where the dentist assesses your smile, discusses your goals, and provides a comprehensive treatment plan with a clear breakdown of the costs for the full set before you commit.
How Much Does Composite Resin Tooth Repair Cost?
When a tooth or an existing dental restoration suffers minor damage, patients understandably want to know, “How much does composite resin tooth repair cost?” Composite resin is an excellent and commonly used material for such repairs, whether it’s fixing a chip on a natural tooth, repairing a fractured corner, or even mending a small chip in an existing composite filling or bonding.
The cost associated with repairing existing bonding or using composite resin to repair a damaged natural tooth can vary, but it is often, though not always, less than the cost of an initial full application of bonding to that tooth for a purely cosmetic enhancement from scratch. If it’s a very small, straightforward repair – for example, smoothing a tiny chip on an existing composite restoration or adding a small amount of resin to a minimally chipped natural tooth – the fee might be at the lower end of the per-tooth bonding scale, perhaps in the range of £100 to £300 in the UK, or $100 to $400 USD in the US. This is because the time and materials involved might be less than creating a full new bonded surface.
However, the extent of the repair is the primary determinant of the cost. If the damage is more significant, requiring more extensive removal of old material, more intricate reshaping, or the use of multiple shades of resin to achieve a good aesthetic blend, the cost will be higher and could approach the fee for a new bonding procedure on that tooth. For example, if a large corner of a front tooth has broken off and needs to be entirely rebuilt with composite resin, this is a more complex and time-consuming repair, and the cost would reflect that, potentially falling within the standard per-tooth bonding range of £200-£500 / $200-$600.
Other factors influencing the repair cost include:
-
- The age and condition of any existing restoration: If an old composite filling or bonding is failing or has recurrent decay around it, more work might be needed than just a simple patch.
-
- The location of the tooth: Repairs on highly visible front teeth may require more artistic attention to detail for shade matching and shaping, potentially affecting the cost.
-
- The dentist’s fees: As always, individual practice fee structures vary.
If you have a chipped tooth or damaged bonding, the best approach is to have it assessed by your dentist. They can determine the extent of the damage, discuss the repair options, and provide you with an accurate cost estimate. Prompt repair of minor damage can often prevent more extensive and costly problems down the line.
What Aftercare is Needed for Composite Bonding and How Do I Maintain It?
Investing in composite bonding is an investment in your smile’s brilliance, but like any valuable asset, it requires diligent care to maintain its beauty and longevity. The journey doesn’t end when you leave the dental chair; in fact, a new phase of meticulous aftercare and maintenance begins. Understanding how to properly care for your newly bonded teeth is paramount to maximizing their lifespan and keeping them looking as stunning as the day they were placed. This isn’t about restrictive or overly complex routines, but rather about adopting sensible oral hygiene practices and being mindful of certain dietary and lifestyle choices that can impact the resin material. From the types of foods and drinks to be cautious with, especially in the initial period, to the best brushing techniques and the importance of regular dental check-ups, every aspect of your aftercare contributes to the sustained success of your bonding. This section will provide you with practical, actionable advice on how to protect your investment, minimize staining, prevent chipping, and ensure your enhanced smile continues to radiate confidence for years to come. Think of it as your user manual for a long-lasting, luminous smile.
How Can I Care for My Composite Bonding to Ensure Longevity?
Ensuring the longevity of your composite bonding largely comes down to consistent and mindful care. If you’re wondering, “How can I care for my composite bonding to ensure longevity?“, the good news is that it mostly involves reinforcing good oral hygiene habits you should already be practicing, with a few specific considerations for the resin material. Here are some practical “composite bonding aftercare” tips:
First and foremost, maintain excellent oral hygiene. This is non-negotiable. You should brush your teeth at least twice a day, preferably after meals, using a soft-bristled toothbrush and a non-abrasive toothpaste. Abrasive toothpastes (often marketed as “whitening” toothpastes with gritty particles) can scratch and dull the polished surface of the composite resin over time, making it more prone to staining and losing its luster. Look for toothpastes with the RDA (Relative Dentin Abrasivity) value clearly stated and opt for lower values. Flossing daily is also crucial. Floss carefully around the bonded teeth to remove plaque and food debris from between the teeth and along the gumline, paying particular attention to the margins where the bonding meets the natural tooth.
Attend regular dental check-ups and professional cleanings, typically every six months, or as recommended by your dentist. During these visits, your dentist will examine the condition of your bonding, check for any signs of wear, chipping, or marginal leakage. Your hygienist will perform a professional cleaning, using special polishing pastes and techniques that are safe for composite resin, to remove surface stains and plaque, helping to keep your bonding looking its best.
Be mindful of what you bite into. Avoid biting directly into very hard foods like ice, hard candies, nut shells, or even very crusty bread with your bonded front teeth. Cut up harder foods like apples or carrots into smaller pieces and chew them with your back teeth. Similarly, avoid using your teeth as tools – don’t use them to open packages, bite your nails, or hold objects like pens or pins. These habits can easily chip or fracture the composite resin.
If you grind or clench your teeth, especially at night (a condition known as bruxism), it’s highly advisable to consider a custom-fitted mouthguard (nightguard). Your dentist can fabricate one for you. This will protect your bonding (and your natural teeth) from the excessive forces generated during grinding, which can be very damaging to composite resin. By diligently following these aftercare tips, you can significantly extend the life and maintain the beauty of your composite bonding.
What Can’t You Eat with Composite Bonding? Dietary Restrictions
A common question after getting composite bonding is, “What can’t you eat with composite bonding?” While you don’t need to adopt an entirely new diet, there are certain foods and beverages you should consume with caution, or perhaps avoid, especially in the first 48 hours after the procedure when the bonding is most susceptible to staining as the surface fully matures and any residual microporosities seal.
Immediately after your bonding is placed, and for the following two days, it’s wise to be particularly vigilant about dark-colored liquids and staining foods. This includes:
-
- Coffee and tea (especially black tea): These are notorious for staining.
-
- Red wine: Its strong pigments can easily discolor fresh bonding.
-
- Cola and other dark sodas: Similar to coffee and tea in their staining potential.
-
- Berries: Blueberries, blackberries, raspberries, and other deeply colored berries.
-
- Curry and turmeric-based sauces: These vibrant spices can leave their mark.
-
- Soy sauce, balsamic vinegar, and tomato-based sauces (like ketchup or pasta sauce): These can also contribute to staining.
-
- Beetroot: Known for its potent staining power.
Beyond the initial 48-hour period, while you can reintroduce these items, it’s still advisable to consume them in moderation if you want to prolong the bright appearance of your bonding. When you do consume them, rinsing your mouth with water immediately afterward can help minimize contact time and reduce the risk of staining. Drinking staining beverages through a straw can also help bypass direct contact with your front bonded teeth.
Regarding texture, you should be cautious with very hard or sticky foods on an ongoing basis:
-
- Hard candies, toffees, caramels: These can put excessive stress on the bonding or even pull it off if it’s not perfectly adhered or if the bond has weakened over time.
-
- Ice cubes: Chewing ice is a definite no-no as it can easily chip or fracture composite resin (and natural teeth, for that matter).
-
- Nuts with hard shells (if you crack them with your teeth), popcorn kernels (unpopped), very crusty bread or tough meats (especially when biting with front bonded teeth): Exercise caution and try to use your back teeth for heavy chewing.
It’s not about a long list of forbidden foods, but rather about being mindful and making sensible choices to protect your investment and keep your bonded smile looking its best for as long as possible.
Does Tea Stain Composite Bonding? Understanding Staining Risks
The question “Does tea stain composite bonding?” is a very specific and common concern, and the straightforward answer is, unfortunately, yes, tea (especially black tea) can and often does stain composite bonding over time. Understanding the staining risks associated with tea and similar beverages is crucial for maintaining the aesthetic appeal of your bonded teeth.
Composite resin, while polished to a smooth surface, is inherently more porous than natural tooth enamel or dental porcelain. This porosity means it has microscopic nooks and crannies where pigments from foods and drinks can gradually accumulate, leading to discoloration. Tea, particularly black tea, is rich in tannins and chromogens – compounds that have a strong propensity to adhere to surfaces and cause staining. The longer the tea is in contact with the bonding, and the more frequently you consume it, the higher the risk of noticeable staining. Other types of tea, like green tea, can also cause some staining, though perhaps less intensely than black tea. Herbal teas vary, but deeply colored ones could also pose a risk.
Coffee and red wine are other common culprits that act in a similar way to tea, contributing to the gradual yellowing or darkening of composite resin restorations. The extent and speed of staining can depend on several factors, including the specific type and quality of the composite resin used (newer, more advanced resins may have better stain resistance), how well it was polished initially (a smoother surface is less prone to staining), your individual oral hygiene practices, and the frequency and volume of tea consumption.
So, what can you do to minimize staining if you’re a tea lover?
- Moderation: Reducing your intake is the most obvious step.
- Rinse Promptly: After drinking tea, rinse your mouth thoroughly with plain water as soon as possible. This helps to wash away the staining pigments before they have too much time to settle.
- Drink Through a Straw: While perhaps not conventional for hot tea, using a straw for iced tea or even for hot beverages (carefully!) can help bypass direct contact with your front bonded teeth.
- Good Oral Hygiene: Brush your teeth regularly (at least twice a day) with a non-abrasive toothpaste and floss daily.
- Regular Professional Cleanings: Your dental hygienist can often remove some superficial surface stains during routine cleanings, helping to keep your bonding looking brighter.
While you might not need to give up tea entirely, being aware of its staining potential and taking these preventative measures can help preserve the color and vibrancy of your composite bonding for longer.
Can I Vape with Composite Bonding? Lifestyle Considerations
With the rise in popularity of vaping, a pertinent question for many is, “Can I vape with composite bonding?” This is an important lifestyle consideration, as vaping, much like traditional smoking, can have an impact on both your oral health and the appearance of dental restorations, including composite bonding.
While vaping doesn’t involve the combustion of tobacco and thus doesn’t produce the same tar and smoke as cigarettes, the aerosol produced by e-cigarettes still contains various chemicals, including nicotine (in most cases), flavorings, and other substances that can potentially affect your oral cavity and your dental work.
The primary concern with vaping and composite bonding is discoloration and staining. Nicotine, even when vaporized, can cause a yellowish or brownish tinge on tooth surfaces and dental restorations over time. While the staining might not be as rapid or severe as with traditional smoking, it can still occur and mar the aesthetic appearance of your composite bonding, making it look dull or mismatched with your natural teeth. The various colorants and additives in e-liquids can also contribute to surface staining of the resin material.
Beyond aesthetics, there are broader oral health considerations associated with vaping that can indirectly affect the longevity of any dental work. Some studies suggest that vaping can lead to:
-
- Dry mouth (xerostomia): Reduced saliva flow can increase the risk of tooth decay and gum disease, as saliva plays a crucial role in neutralizing acids and washing away food particles.
-
- Gum inflammation and irritation: Certain components in e-liquids may irritate gum tissues. Healthy gums are essential for the long-term success of bonding, especially if the margins are near the gumline.
-
- Changes in the oral microbiome: Vaping may alter the balance of bacteria in the mouth, potentially favoring the growth of harmful bacteria.
Therefore, while you *can* vape with composite bonding in the sense that it won’t immediately cause the bonding to fall off, it’s advisable to be aware of the potential for staining and the broader oral health implications. If you choose to vape, maintaining meticulous oral hygiene, staying well-hydrated to combat dry mouth, and attending regular dental check-ups are even more critical. Reducing or quitting vaping would, of course, be the best approach for both your overall health and the appearance and longevity of your composite bonding. If you are concerned about staining, discuss this with your dentist; they may have further advice on managing this risk.
Can Composite Bonding Be Whitened, and Should I Whiten My Teeth Before or After?
This is a critical set of questions for anyone considering composite bonding alongside teeth whitening: “Can composite bonding be whitened?” and the related, strategically important question, “Should I whiten my teeth before or after composite bonding?”
Let’s address the first part directly: existing composite bonding material does NOT lighten in response to teeth whitening treatments (whether professional in-office whitening, take-home custom tray whitening, or over-the-counter whitening products). The bleaching agents used in teeth whitening are formulated to work on natural tooth enamel by breaking down stain molecules within the tooth structure. They do not have the same effect on the synthetic materials used in dental restorations like composite resin, porcelain, or dental crowns. If you attempt to whiten your teeth after you already have composite bonding, your natural teeth may lighten, but the bonded areas will remain their original shade. This can result in a noticeable and often undesirable color mismatch, making the bonding look darker or more yellow in comparison to your newly whitened natural teeth.
This brings us to the crucial second question: if a patient desires whiter teeth overall, they should unequivocally undergo teeth whitening *BEFORE* having composite bonding done. This is the standard and highly recommended protocol. By whitening your natural teeth first to achieve your desired level of brightness, you establish a stable baseline shade. Then, your dentist can meticulously select and match the shade of the composite resin to your newly whitened natural teeth. This ensures a harmonious, seamless blend where the bonding integrates perfectly with the surrounding tooth color, resulting in a uniformly bright and natural-looking smile. Addressing both “Can composite bonding be whitened?” and “Can I whiten composite bonding?” with this clear explanation is vital. Trying to whiten existing bonding is futile and can lead to aesthetic disappointment. Planning the sequence correctly – whiten first, then bond – is the key to achieving the best possible, aesthetically cohesive outcome when both treatments are part of your smile enhancement plan. Always discuss your whitening goals with your dentist during the consultation phase for composite bonding.
Is Composite Bonding Reversible and Does It Damage Natural Teeth?
When considering any alteration to your smile, even a seemingly minor one, questions about permanence and potential impact on your natural teeth are paramount. “Is composite bonding reversible?” and “Does it damage natural teeth?” are two of the most significant concerns prospective patients voice, and for good reason. The answers to these questions often tip the scales for individuals weighing composite bonding against other cosmetic dental options. Fortunately, one of the hallmark advantages of composite bonding lies in its typically conservative and tooth-friendly nature. Unlike more invasive procedures that require irreversible alteration of the tooth structure, composite bonding often offers a gentler approach. This section will delve into the specifics of its reversibility, explore what happens to the underlying tooth structure, and address anxieties about potential damage. Understanding these aspects will provide reassurance and clarity, allowing you to appreciate why composite bonding is often celebrated for its ability to enhance your smile while respecting the integrity of your natural dentition. It’s about achieving aesthetic goals without compromising long-term dental health, a balance that modern dentistry strives for.
Can You Go Back to Natural Teeth After Composite Bonding?
The question “Can you go back to natural teeth after composite bonding?” touches upon the concept of reversibility, a significant factor for many patients hesitant about permanent cosmetic changes. The good news is that, in many, if not most, cases, composite bonding is considered largely reversible. This is primarily because the procedure typically involves minimal or no removal of the original tooth enamel. As we’ve discussed, the tooth surface is usually just lightly etched to create microscopic roughness for adhesion, rather than being significantly ground down or “shaved.”
Because the underlying tooth structure remains largely intact, the composite resin material can be professionally removed by a dentist if desired, and your tooth can be returned to a state very close to its pre-bonding condition. This directly addresses the query, “Can your teeth go back to normal after composite bonding?“. While “normal” is subjective, the tooth structure itself is generally not permanently altered in a damaging way. After the resin is carefully removed using specialized dental instruments, your dentist will typically polish the natural tooth surface to ensure it’s smooth. The tooth will essentially look and feel as it did before the bonding was placed, although the surface that was etched might initially feel slightly different until it naturally remineralizes or is polished.
This reversibility is a key differentiator between composite bonding and more invasive procedures like traditional porcelain veneers, which often require permanent removal of enamel, making them an irreversible commitment. Knowing that you’re not necessarily locked into composite bonding for life can provide peace of mind. Should your aesthetic preferences change, or if you decide to pursue a different type of dental treatment in the future (like orthodontics or porcelain veneers), the option to remove the bonding without having compromised the underlying tooth is a significant advantage. However, it’s important to have this conversation with your specific dentist, as the degree of tooth preparation can vary slightly depending on the case (e.g., if bonding was also used to fill a small cavity, that part involved decay removal). But for purely additive cosmetic bonding, reversibility is a hallmark feature.
Does Resin Bonding Damage Teeth or What Happens to Teeth Underneath?
A primary concern for anyone considering dental work is naturally, “Does composite bonding damage your teeth?” or its close cousin, “Does resin bonding damage teeth?” Reassuringly, when performed correctly by a qualified and experienced dentist, composite bonding itself does not damage the natural teeth. In fact, it’s considered one of the most conservative and tooth-sparing cosmetic dental procedures available. The etching process, which involves applying a mild acidic gel to the tooth surface for a very short period, is microscopic. It creates tiny pores on the enamel surface to enhance the mechanical grip of the bonding agent and resin, but it doesn’t weaken the tooth or remove significant structure. This preparation is superficial and essential for a strong, durable bond.
So, what happens to your teeth underneath composite bonding? Provided the bonding is well-sealed at the margins and the patient maintains good oral hygiene, the health of the underlying tooth structure is preserved and protected. The resin acts as a barrier, and if it was used to cover a small chip or crack, it can even prevent further damage or sensitivity in that area. The key is ensuring a good seal; if the bonding’s edges are not perfectly adapted to the tooth or if they start to leak over time (due to wear or poor hygiene), bacteria and plaque can seep underneath, potentially leading to decay. This isn’t damage *from* the bonding material itself, but rather a consequence of a failing restoration or inadequate oral care, which can happen with any type of dental work.
To further ensure the health of the tooth underneath, dentists use biocompatible materials and follow meticulous protocols to prevent contamination during placement. Regular dental check-ups are crucial, as your dentist will examine the integrity of your bonding, checking for any signs of leakage, chipping, or wear that could compromise the underlying tooth. As long as the bonding remains intact and well-maintained, the natural tooth structure beneath it stays healthy and unaffected by the resin material itself. The conservative nature of the procedure is specifically designed to enhance your smile while safeguarding the precious natural tooth enamel, which is always a top priority in modern dental practice.
What Do Teeth Look Like After Bonding is Removed?
If you’re contemplating the reversibility of composite bonding, you’ll naturally wonder, “What do teeth look like after bonding is removed?” When composite bonding material is professionally removed by a dentist, the goal is to return the tooth to its pre-bonding state as closely as possible, assuming the bonding was primarily an additive procedure (meaning material was added to the tooth rather than tooth structure being removed).
Typically, after the dentist has carefully and skillfully removed all traces of the composite resin and any remaining bonding agent, your tooth will largely look as it did before the bonding procedure was performed. The original color, shape, and contours of your natural tooth should be preserved. This is a direct result of the conservative nature of composite bonding, which usually doesn’t involve significant alteration of the underlying enamel.
There might be a very subtle difference in the surface texture immediately after removal. The surface that was etched to allow the resin to adhere might feel slightly rougher to your tongue initially compared to unetched enamel. However, your dentist will usually polish the natural tooth surface thoroughly after removing the bonding. This polishing helps to smooth out any residual microscopic roughness and restore the natural luster of your enamel. Over a short period, the enamel surface will also continue to naturally remineralize with exposure to saliva, further contributing to its normal feel and appearance.
It’s important to remember that if the bonding was placed to correct an issue like a chip or a gap, removing the bonding will, of course, reveal that original chip or gap again. The tooth won’t be damaged by the removal process itself if done correctly, but the pre-existing aesthetic concern will return. If the bonding was placed many years ago, your natural teeth might have undergone some color changes due to aging or lifestyle factors, so the underlying tooth might look slightly different in shade than you remember, but this would be due to natural changes, not the bonding material or its removal. Overall, patients can generally expect their teeth to be returned to their healthy, natural state, ready for a new course of treatment or simply to be left as they are.
Is Bonding on Teeth Permanent?
The question “Is bonding on teeth permanent?” requires a nuanced answer because it touches upon two different aspects: the longevity of the material itself and the permanence of the changes made to the tooth.
Let’s first address the composite resin material itself: it is not permanent. As we’ve discussed, composite bonding typically lasts between 3 to 10 years, though this can vary. Over time, the resin material will wear down, may chip or fracture, and can stain or discolor. Eventually, it will require repair, touch-ups, or complete replacement to maintain its aesthetic appearance and functional integrity. So, in the sense of the material enduring indefinitely without change, composite bonding is certainly not permanent. It’s more akin to a semi-permanent restoration that needs periodic maintenance and eventual renewal.
However, when considering the procedure’s impact on the tooth structure and its reversibility, the picture is different. Because composite bonding typically involves minimal to no removal of healthy tooth enamel, the decision to have bonding is not irreversible in the sense that it permanently alters the tooth structure significantly (unlike traditional porcelain veneers or crowns, which often do). As mentioned earlier, if the bonding is removed, the underlying natural tooth is usually left largely in its original state. In this context, while the *material* isn’t permanent, the *commitment* to having altered teeth isn’t necessarily permanent either, because you can often go back to your natural teeth.
So, to summarize:
-
- The composite resin material placed on your teeth has a limited lifespan and will eventually need to be replaced. It is not a permanent fixture in that sense.
-
- The procedure itself is often considered reversible because it typically doesn’t permanently damage or significantly reduce your natural tooth structure. You’re not usually making an irrevocable change to your teeth that prevents you from returning them to their pre-bonding state.
This distinction is important. You will need to plan for the ongoing maintenance and eventual replacement of the composite material, but you often retain the option to remove it entirely without having compromised the health or integrity of your natural teeth. This makes it a less daunting commitment for many patients compared to more invasive cosmetic dental procedures.
What Aesthetic Outcomes Can I Expect from Composite Bonding?
When you invest in a cosmetic dental procedure like composite bonding, the ultimate goal is, of course, a more beautiful and confident smile. Understanding the aesthetic outcomes you can realistically expect is crucial for ensuring your satisfaction with the results. Composite bonding is renowned for its ability to create remarkably natural-looking enhancements, subtly or significantly transforming your smile depending on your individual needs and desires. The artistry of the dentist plays a pivotal role here, as they meticulously sculpt and polish the resin to achieve a seamless integration with your natural teeth. From repairing minor imperfections to creating a more harmonious and symmetrical appearance, the potential for aesthetic improvement is vast. However, it’s also important to have realistic expectations; composite bonding has its own unique characteristics and limitations compared to other materials like porcelain. This section will explore the visual results you can anticipate, address common concerns about artificiality, and highlight how skilled application can lead to a smile that is not just enhanced, but authentically *you*. We’ll look at how it tackles common aesthetic complaints and what contributes to achieving those coveted, natural-looking “composite bonding results.”
Do Bonded Teeth Look Fake? Achieving Natural Results
A primary anxiety for many considering cosmetic dental work is the fear of an unnatural, artificial outcome – the dreaded question, “Do bonded teeth look fake?” It’s a valid concern, as no one wants a smile that screams “I’ve had work done!” The wonderful news is that when composite bonding is performed by a skilled and experienced cosmetic dentist with an artistic eye, the results can be incredibly natural-looking and virtually indistinguishable from your own teeth. Achieving these natural results is an art form that relies on several key factors.
Firstly, modern composite resins are highly sophisticated materials. They come in a wide variety of shades, opacities, and translucencies. This extensive palette allows the dentist to meticulously select a resin (or combination of resins, using layering techniques) that precisely matches the color and characteristics of your adjacent natural teeth. They can mimic the subtle variations in shade from the gumline to the incisal edge, and even replicate the slight translucency often seen at the tips of front teeth, which is a hallmark of a natural smile.
Secondly, the dentist’s artistic skill in shaping and polishing the resin is absolutely crucial for achieving those coveted, natural-looking “composite bonding results.” It’s not just about slapping on some material; it’s about understanding tooth anatomy, light reflection, surface texture, and individual facial aesthetics. A skilled practitioner will meticulously sculpt the pliable resin to recreate natural contours, smooth transitions, and appropriate tooth proportions. The final polishing stage is equally important; it’s what gives the bonding a lifelike luster and smoothness that mimics natural enamel. If the bonding is too opaque, too monochromatic, poorly shaped, or insufficiently polished, it *can* look fake. However, in expert hands, the goal is always seamless integration.
To further ensure a natural outcome, your dentist will consider your overall smile, your lip line, and your facial features when planning the bonding. They may even take photographs and discuss your specific aesthetic preferences. Don’t hesitate to ask to see a portfolio of their previous composite bonding work; this will give you a good indication of their skill level and the kind of results they typically achieve. With the right materials and, most importantly, the right clinician, bonded teeth should enhance your smile beautifully and discreetly, looking entirely authentic.
What are Typical Composite Bonding Results?
When envisioning the outcome of composite bonding, it’s helpful to understand the typical composite bonding results that patients can expect when the procedure is skillfully executed. The versatility of this treatment allows for a wide range of aesthetic improvements, tailored to individual needs.
One of the most common and celebrated results is the seamless repair of chips and cracks. Whether it’s a small, annoying chip on the biting edge of a front tooth or a more noticeable fracture, composite resin can be meticulously sculpted and color-matched to restore the tooth’s original shape and integrity, making the damage virtually disappear. The repaired area should blend flawlessly with the natural tooth structure.
Another highly sought-after outcome is the closing or minimizing of gaps (diastemas) between teeth, particularly the front teeth. Composite bonding can be artfully added to the sides of the adjacent teeth to gently widen them and bridge the space, creating a more continuous and aesthetically pleasing smile line without the need for orthodontics in many minor spacing cases.
Patients can also expect improved tooth shape, size, or length for a more harmonious smile. Teeth that are naturally misshapen (e.g., peg laterals), too small, too short due to wear, or uneven in length can be re-contoured and built up with composite resin. This allows the dentist to create better proportions and symmetry within the smile, significantly enhancing its overall attractiveness.
Masking discoloration or stains is another typical result. For teeth that are intrinsically stained (where the discoloration is within the tooth structure) and don’t respond well to traditional whitening, or for individual teeth that are darker than their neighbors, composite bonding can provide an opaque or semi-translucent layer to cover the discoloration and match the shade of the surrounding teeth. This results in a more uniformly bright and even-toned smile.
Overall, the typical result is a more confident, aesthetically pleasing smile where specific imperfections have been addressed in a natural-looking way. The bonded teeth should feel smooth and comfortable, and integrate seamlessly with your existing dentition. To get a tangible idea of the potential, it’s always highly recommended that prospective patients ask to see before-and-after photos of the dentist’s previous composite bonding work. This visual evidence provides the best insight into the quality and type of results that particular practitioner can achieve.
What are Specific Applications and Use Cases for Composite Bonding?
Composite bonding isn’t just a one-trick pony; its true strength lies in its remarkable versatility and adaptability to a wide array of dental scenarios. Understanding the specific applications and use cases for composite bonding can help you identify if it’s the right solution for your particular dental concerns. From the highly visible front teeth to the less noticeable but equally important lower teeth, and from correcting minor alignment issues to closing unsightly gaps, composite bonding offers a conservative yet effective approach. It’s a go-to procedure for dentists looking to make precise aesthetic enhancements or minor restorations with minimal intervention. This section will showcase its multifaceted capabilities, detailing how it can be employed to address different imperfections in various parts of the mouth. Whether you’re looking to refine the appearance of a single tooth or embark on a more comprehensive smile makeover involving multiple teeth, exploring these specific applications will illuminate the breadth of possibilities that composite bonding offers for achieving a more beautiful and confident smile. It’s about harnessing the material’s chameleon-like qualities to solve a diverse range of dental puzzles, always with an eye towards natural aesthetics and tooth preservation.
Can Front Teeth Be Bonded, and What About Lower Teeth?
A very common question is, “Can front teeth be bonded, and what about lower teeth?” The answer to both is a resounding yes! Composite bonding is very commonly and successfully used on “front teeth” (both upper and lower), and this is, in fact, one of its primary applications. The aesthetic qualities of composite resin – its ability to be perfectly shade-matched, sculpted, and polished to a natural luster – make it an ideal choice for enhancing the teeth that are most visible when you smile and speak. Whether it’s repairing a chip, closing a gap, masking discoloration, or reshaping an incisor, bonding on front teeth can deliver dramatic cosmetic improvements with a minimally invasive approach. Dentists are particularly meticulous when working on front teeth, often using advanced layering techniques with different opacities and translucencies of resin to mimic the natural beauty of enamel.
When it comes to “composite bonding for bottom teeth” (lower anterior teeth), the procedure is equally viable and often performed. Lower front teeth are also visible, especially during speech, and imperfections here can be just as bothersome as those on upper teeth. Chips, wear, minor crowding, or small gaps on lower incisors can all be effectively addressed with composite bonding.
There are, however, some specific considerations for bonding on lower teeth, and indeed for any teeth involved in the bite.
-
- Biting Forces: Lower front teeth often occlude (meet) against the back surfaces of the upper front teeth. The dentist must carefully check the bite (occlusion) after placing bonding on lower teeth to ensure there are no high spots or interferences that could cause the bonding to chip prematurely or put undue stress on the teeth.
-
- Visibility and Access: While visible, lower front teeth can sometimes be smaller and access for the dentist might be slightly more challenging than for upper teeth, requiring careful isolation and technique.
-
- Wear Patterns: Lower incisal edges can be prone to wear, especially in certain bite patterns or if the patient has habits like grinding. The durability of the bonding in these high-wear areas will be a consideration.
Despite these points, composite bonding remains an excellent, conservative option for improving the aesthetics of both upper and lower front teeth, contributing significantly to an overall enhanced smile. The skill of the dentist in managing the bite and ensuring a durable, aesthetic outcome is key.
Can Composite Bonding Close Gaps In My Front Teeth?
One of the most celebrated applications of composite bonding is its ability to address the question: “Can Composite Bonding Close Gaps In My Front Teeth?” The answer is a definitive yes, and it’s one of the primary reasons patients seek out this procedure. Diastemas, the clinical term for gaps between teeth, particularly those noticeable between the upper front incisors, can be a significant aesthetic concern for many individuals. Composite bonding offers a wonderfully effective, minimally invasive, and often immediate solution for closing these spaces.
The process involves the dentist skillfully applying tooth-colored composite resin to the sides of the teeth adjacent to the gap. By gradually widening these teeth with the resin material, the space between them is effectively reduced or completely closed. The dentist meticulously sculpts the resin to ensure that the newly shaped teeth look natural in proportion, contour, and blend seamlessly with the existing smile. This technique is particularly popular because it’s a conservative option compared to orthodontic treatment (like braces or clear aligners), which would be another way to close gaps but involves a much longer treatment time and is designed to physically move the teeth. For small to moderate gaps where the overall bite is good, bonding can provide an instant cosmetic fix.
However, there are some limitations to consider. Composite bonding is most suitable for closing relatively small or moderate gaps. If the gaps are very large, attempting to close them solely with bonding might result in teeth that look unnaturally wide or out of proportion. In such cases, orthodontics might be a more appropriate primary solution, perhaps followed by bonding for minor refinements if needed. The dentist will also assess the overall bite and the health of the gums and surrounding teeth before recommending bonding for gap closure. The goal is to achieve an aesthetic improvement that is also stable and healthy in the long term. For many individuals with minor spacing, composite bonding provides a quick, cost-effective, and transformative way to achieve a more continuous and confident smile, making it a very popular choice for this specific aesthetic concern.
Can Composite Bonding Be Used for Crooked or Overlapping Teeth?
Patients often inquire, “Can Composite Bonding Be Used for Crooked or Overlapping Teeth?” This is a nuanced question because while composite bonding can offer cosmetic improvements for minor misalignalignments, it’s crucial to understand its capabilities and limitations in this context. Yes, “composite bonding for crooked teeth” or “composite bonding on overlapping teeth” can be used, but primarily as an aesthetic camouflage for slight irregularities, rather than a true correction of the underlying positional issues.
Here’s how it works: if teeth are only mildly crooked or have a slight overlap, a skilled dentist can artfully apply composite resin to certain surfaces of the teeth to create the *illusion* of a straighter smile. For instance, resin might be added to the side of a slightly rotated tooth to make its front surface appear more aligned with its neighbors, or a small amount of resin might be used to fill in a concavity or smooth out a minor protrusion. By strategically adding to and re-contouring the visible surfaces, the teeth can be made to *appear* straighter and more harmonious within the smile line. This can be a very effective solution for patients who have minor imperfections and are looking for a quick, conservative cosmetic improvement without undergoing orthodontic treatment.
However, it’s vital to recognize that composite bonding does not physically move the teeth or correct the bite like orthodontics (braces or clear aligners) do. It is purely an additive procedure that changes the perceived shape and alignment. If the teeth are significantly crooked, crowded, or overlapping, or if there are underlying bite problems, bonding is generally not the appropriate primary solution. Attempting to mask severe misalignalignments with bonding could result in teeth that look overly bulky, are difficult to clean (increasing the risk of plaque buildup, decay, and gum disease), or that don’t address functional issues with the bite.
In summary, for very minor crookedness or slight overlaps where the main concern is aesthetic and the bite is healthy, composite bonding can be a fantastic, minimally invasive option to enhance the smile’s appearance. For more significant alignment issues, orthodontic treatment is usually the recommended course of action, potentially followed by bonding for final refinements if desired. A thorough consultation with your dentist will determine if your specific case of “crooked” or “overlapping” teeth is suitable for improvement with composite bonding.
What About Composite Bonding on 8 Upper Teeth to Create Even Lengths and Close Gaps?
The scenario of using “composite bonding on 8 upper teeth to create even lengths and close gaps” represents a more comprehensive application of this versatile treatment, often akin to a “smile makeover” using composite resin. This is a common request from patients looking for a significant yet conservative enhancement of their most visible teeth – typically the incisors, canines, and sometimes the first premolars on the upper arch. Yes, composite bonding is very well-suited for such an undertaking, allowing for a harmonious and transformative result.
Here’s how it can address the specific goals of evening out lengths and closing gaps across multiple teeth:
-
- Creating Even Lengths: Teeth can become uneven in length due to natural variation, wear and tear over time (attrition), or minor chipping. A dentist can skillfully apply composite resin to the incisal edges of shorter teeth, lengthening them to match their neighbors or to create a more aesthetically pleasing and youthful smile line. When working on multiple teeth, like eight upper teeth, the dentist can establish a consistent and symmetrical incisal edge display, ensuring that the lengths are harmonious and follow the natural curve of the lower lip (the smile arc).
-
- Closing Multiple Gaps: If there are small to moderate gaps interspersed between several of the front eight teeth, composite bonding can be used to widen each tooth slightly, thereby closing these spaces simultaneously. This requires careful planning to ensure that the final proportions of each tooth look natural and that the overall width of the smile remains balanced with the patient’s facial features.
-
- Improving Overall Harmony: Beyond just length and gaps, bonding on multiple teeth allows the dentist to address other subtle inconsistencies in shape, contour, or even color across the visible smile. The aim is to create a cohesive, symmetrical, and aesthetically pleasing result where all the treated teeth look like they belong together.
When performing composite bonding on a larger number of teeth like this, the dentist’s artistic skill and understanding of smile design principles are paramount. It’s not just about treating each tooth in isolation, but about creating an overall effect that enhances the entire smile. The procedure will take longer than bonding a single tooth, but it can often still be completed in one extended appointment or perhaps two, depending on the complexity. This approach offers a less invasive and often more cost-effective alternative to porcelain veneers for achieving a significant smile enhancement across multiple teeth.
How Does Composite Bonding Compare to Alternative Dental Treatments?
When considering any dental procedure, it’s wise to survey the landscape of available options. Composite bonding, while a stellar choice for many, exists within a spectrum of treatments, each with its own set of strengths, weaknesses, costs, and ideal applications. Understanding how composite bonding compares to alternative dental treatments is crucial for making an informed decision that aligns with your specific needs, budget, and long-term dental health goals. Whether you’re weighing it against the more robust and often more costly porcelain veneers, considering orthodontic solutions for alignment issues, or simply curious about how it stacks up against other restorative techniques, a comparative analysis can provide invaluable clarity. This section aims to juxtapose composite bonding with some of its common alternatives, highlighting the key differences in material, invasiveness, longevity, cost, and aesthetic outcomes. By exploring these comparisons, you’ll gain a better perspective on where composite bonding truly shines and when another path might be more appropriate, empowering you to engage in a more knowledgeable discussion with your dental professional about the best route to your ideal smile.
Which is Better: Resin or Composite Veneers vs. Traditional Porcelain Veneers?
The question “Which is better: resin or composite veneers vs. traditional porcelain veneers?” is one of the most frequent comparisons patients make when exploring cosmetic smile enhancements. It’s important to note that “resin veneers” or “composite veneers” are essentially terms for composite bonding applied to the entire front surface of a tooth to change its appearance, similar to how a porcelain veneer functions. There isn’t a definitive “better” option; rather, each has distinct advantages and disadvantages, making one more suitable than the other depending on individual circumstances and priorities. Let’s clearly address “Composite bonding vs veneers” (porcelain veneers, specifically).
Material:
-
- Composite Bonding/Veneers: Made from a tooth-colored resin material (a sophisticated plastic with glass/ceramic fillers) that is applied directly and sculpted by the dentist in the chair.
-
- Porcelain Veneers: Thin, custom-made shells of high-strength dental ceramic, fabricated in a dental laboratory based on impressions of your teeth, and then bonded to your teeth by the dentist.
Durability & Lifespan:
-
- Composite: Generally less durable than porcelain. Prone to chipping, wear, and fracture under stress. Typically lasts 3-10 years.
-
- Porcelain: Significantly stronger, more fracture-resistant, and more durable. Can last 10-15 years or even longer with proper care.
Stain Resistance:
-
- Composite: More porous and thus more susceptible to staining from coffee, tea, red wine, smoking, etc., over time.
-
- Porcelain: Highly resistant to staining due to its smooth, glass-like, non-porous surface. Maintains its color exceptionally well.
Cost:
-
- Composite: Generally more affordable upfront. The per-tooth cost is typically lower than porcelain.
-
- Porcelain: Significantly more expensive per tooth due to lab fabrication costs and the nature of the material.
Invasiveness (Tooth Preparation):
-
- Composite: Usually requires minimal to no removal of natural tooth enamel. It’s an additive procedure, making it more conservative and often reversible.
-
- Porcelain: Typically requires some removal of healthy tooth enamel from the front surface of the tooth to create space for the veneer and ensure a non-bulky fit. This is an irreversible procedure.
Repairability:
-
- Composite: If chipped or damaged, composite bonding can usually be easily and relatively inexpensively repaired by adding more composite material.
-
- Porcelain: If a porcelain veneer chips or fractures significantly, it usually needs to be completely replaced, which can be costly. Minor chips can sometimes be smoothed or polished.
Aesthetics:
-
- Composite: Can achieve excellent, natural-looking results, especially in skilled hands. Modern composites offer a good range of shades and translucencies.
-
- Porcelain: Often considered the gold standard for aesthetics, offering superior translucency, vitality, and light-reflecting properties that closely mimic natural enamel, especially for complex cases or achieving a “Hollywood smile” look.
Treatment Time:
-
- Composite: Often completed in a single dental visit.
-
- Porcelain: Typically requires at least two visits (one for preparation and impressions, one for fitting the lab-fabricated veneers).
Conclusion: If budget, minimal invasiveness, and single-visit convenience are top priorities, and the cosmetic concerns are relatively minor, composite bonding/veneers can be an excellent choice. If ultimate durability, stain resistance, and the most lifelike aesthetics for more significant transformations are paramount, and cost/invasiveness are lesser concerns, porcelain veneers might be preferred.
What are the Distinctions Between Composite Bonding vs. Edge Bonding?
When exploring cosmetic dental options, you might encounter terms like “composite bonding” and “edge bonding,” leading to the question, “What are the distinctions between Composite Bonding vs. Edge Bonding?” The key distinction is that “edge bonding” is actually a specific application or type of composite bonding, rather than a completely different procedure. It’s a more focused and often more conservative use of the same composite resin material and bonding techniques.
Composite Bonding (General Term): This is the broader term referring to any procedure where tooth-colored composite resin is bonded to a tooth to improve its appearance or function. This can involve covering the entire front surface of a tooth (like a composite veneer), filling a cavity (a composite filling), closing a gap between teeth, significantly reshaping a tooth, or masking discoloration. It can be applied to various surfaces of the tooth and can address a wide range of aesthetic and minor restorative issues.
Edge Bonding (Specific Application): This term specifically refers to the application of composite resin only to the incisal edges (the biting edges) of teeth. The primary purpose of edge bonding is usually:
-
- Repairing small chips or fractures located on the biting edge.
-
- Restoring minor wear on the incisal edges, perhaps to add slight length that has been lost over time.
-
- Subtly recontouring or smoothing uneven or slightly irregular incisal edges to create a more uniform and aesthetically pleasing smile line.
-
- Sometimes referred to when creating a more “youthful” appearance by restoring slight “mamelons” (the subtle bumps on the edges of newly erupted incisors) or a more defined edge.
Essentially, edge bonding is generally a more conservative and localized form of composite bonding. It focuses solely on the very tip or edge of the tooth, often requiring even less material and chair time than more extensive composite bonding applications. Because it’s so targeted, it can be an incredibly subtle yet effective way to make a noticeable improvement to the smile, particularly for those minor imperfections that catch the eye. It’s an excellent option for patients who are largely happy with their teeth but have small, specific flaws on the edges they’d like to address conservatively. The same principles of adhesion, material selection, sculpting, and polishing apply as with any other composite bonding procedure. Think of composite bonding as the overarching category, and edge bonding as a specialized sub-category within it, focused on the incisal frontier of your smile.
What are the Alternatives to Composite Bonding?
When considering cosmetic or minor restorative dental work, it’s valuable to know, “What are the alternatives to composite bonding?” Composite bonding is an excellent choice for many situations, but depending on your specific needs, goals, budget, and the condition of your teeth, other treatments might be more suitable or offer different advantages. Here’s a brief list of common alternatives:
-
- Porcelain Veneers: As discussed extensively, porcelain veneers are thin, custom-made shells of ceramic bonded to the front of teeth. They are a primary alternative for comprehensive aesthetic makeovers, offering superior durability, stain resistance, and often more advanced aesthetics than composite bonding, especially for multiple teeth or more significant transformations. However, they are more expensive and typically require irreversible enamel removal.
-
- Dental Crowns (Caps): If a tooth has extensive damage, decay, a large existing filling, or has undergone root canal treatment, a dental crown might be necessary. Crowns cover the entire visible portion of the tooth, providing greater strength and protection than bonding or veneers. They are more invasive than bonding, requiring significant tooth reduction.
-
- Orthodontics (Braces or Clear Aligners): If the primary concern is misaligned teeth, crowding, significant gaps, or bite issues, orthodontic treatment is often the most appropriate solution. Braces or clear aligners physically move the teeth into their correct positions, addressing the root cause of the malalignment rather than just camouflaging it like bonding sometimes does for minor crookedness. Orthodontics can be followed by bonding for minor shape refinements if needed.
-
- Teeth Whitening (Bleaching): If your main concern is generalized tooth discoloration or staining, professional teeth whitening can be a very effective and less invasive alternative to bonding for purely color improvement. As mentioned, whitening should be done *before* bonding if both are planned, as bonding material doesn’t whiten.
-
- Enameloplasty (Tooth Reshaping/Contouring): For very minor imperfections like a tiny chip, a slightly uneven edge, or a tooth that’s a fraction too long, enameloplasty might be an option. This involves the dentist carefully removing or re-contouring a very small amount of tooth enamel to improve the tooth’s shape. It’s highly conservative but limited in what it can achieve.
-
- No Treatment/Monitoring: For very minor aesthetic flaws that don’t impact oral health, choosing no treatment and simply monitoring the situation is always a valid option.
The best alternative for you will depend on a thorough examination and discussion with your dentist. They can assess your specific condition, discuss your aesthetic goals, and help you weigh the pros and cons of each suitable treatment modality to arrive at the optimal choice for your smile.
Is the Composite Bonding Procedure Painful?
One of the most immediate and pressing questions for anyone contemplating a dental procedure is, inevitably, about comfort: “Is the composite bonding procedure painful?” The thought of dental drills and discomfort can be a significant barrier for many, so addressing this concern head-on is crucial. Fortunately, when it comes to composite bonding, the experience is generally quite different from what many might fear. This procedure is widely recognized for its minimally invasive nature, which directly translates to a more comfortable experience for the patient. In most standard cosmetic bonding cases, the steps involved are gentle and don’t venture into the sensitive inner parts of the tooth. This section aims to provide clear and reassuring information about what you can typically expect in terms of sensation during composite bonding, helping to alleviate anxieties and paint a realistic picture of the treatment process. Understanding that pain is not a typical feature of this procedure can make the decision to enhance your smile a much more approachable and positive one. We’ll explain why it’s generally well-tolerated and when, if ever, local anesthesia might be considered.
Does It Hurt?
The direct question, “Does It Hurt?” is top of mind for many considering composite bonding, and the reassuring answer for most typical cases is: no, composite bonding is generally a painless procedure. This is one of its significant advantages and contributes to its popularity.
The primary reason for its comfort lies in its minimally invasive nature. In most cosmetic bonding applications – such as repairing small chips, closing gaps, or making minor shape alterations – the procedure usually doesn’t involve drilling deep into the tooth or affecting the tooth’s nerve (pulp), which is where pain sensations originate. The preparation typically involves cleaning the tooth surface and then applying a mild etching gel. The etching process might cause a slightly unusual, chalky sensation for a few seconds, but it’s not painful. The application of the bonding agent and the composite resin itself, along with the sculpting and curing with the light, are all done on the tooth’s surface and do not cause discomfort.
Because of this, anesthesia (numbing with local anesthetic injections) is typically not required for most composite bonding procedures. This is a huge plus for patients who are anxious about needles or the feeling of numbness. You can often have the procedure done and then immediately go about your day without any lingering numbness or discomfort.
There are, however, a couple of exceptions or scenarios where some sensation or the need for anesthesia might arise:
-
- If bonding is used to fill a cavity (which involves decay removal): If the composite resin is being used as a filling material after tooth decay has been drilled out, then local anesthesia would almost certainly have been used for the decay removal part of the process. The actual placement of the composite filling material itself after the cavity is prepared is painless.
-
- If the tooth is already very sensitive: In rare cases, if a tooth is exceptionally sensitive due to gum recession exposing the root, or a deep crack, the dentist might opt to use local anesthesia for the patient’s comfort even for bonding, though this is not the norm.
-
- Minor gum sensitivity: Sometimes, if the bonding extends close to or slightly under the gumline, the gums might feel a little tender or irritated for a day or so afterwards, but this is usually very mild and transient.
Overall, for standard aesthetic composite bonding, patients can expect a comfortable, pain-free experience. If you have any specific concerns about pain or sensitivity, always discuss them with your dentist beforehand; they can reassure you and explain exactly what to expect for your particular case.
How Can I Find Providers for Composite Bonding?
Once you’ve decided that composite bonding might be the right path to your dream smile, the next crucial step is finding a qualified and skilled dental professional to perform the procedure. The question then becomes, “How can I find providers for composite bonding?” While many dentists offer this service, the quality of the aesthetic outcome can vary significantly based on the clinician’s experience, artistic skill, and attention to detail, especially for more complex cosmetic cases. Therefore, choosing the right provider is paramount to achieving the beautiful, natural-looking results you desire. This isn’t just about finding any dentist; it’s about finding a dentist whose expertise aligns with your aesthetic goals. This section will offer guidance on how to locate suitable practitioners, what questions to ask, and how to assess their suitability. We’ll address common queries about accessibility, such as whether all dentists perform bonding and if it’s available through public healthcare systems like the NHS, helping you navigate the search process with more confidence and ultimately connect with a provider who can bring your smile aspirations to life.
Can All Dentists Do Composite Bonding?
The question “Can all dentists do composite bonding?” is a common one when patients begin their search for a provider. Technically, the principles and basic application of composite resin for restorations (like simple fillings) are indeed taught in dental school, and as such, many general dentists are qualified to perform composite bonding procedures. They will have the foundational knowledge and skills to use composite materials for repairing chips, filling small cavities, or even some minor cosmetic enhancements.
However, there’s a crucial distinction to be made between being *able* to perform a procedure and *excelling* at it, particularly when it comes to the highly aesthetic and artistic demands of cosmetic composite bonding on front teeth. The aesthetic outcome of composite bonding can vary significantly based on the dentist’s specific skill set, experience, and artistic inclination. Creating truly natural-looking, seamlessly integrated bonding that mimics the subtle nuances of natural tooth shade, translucency, and anatomy requires a higher level of artistry and meticulous attention to detail that goes beyond basic restorative dentistry.
Therefore, while many general dentists can and do offer composite bonding, patients seeking more complex or highly aesthetic results, especially for their front teeth, may want to seek a dentist with a special interest or further training in cosmetic dentistry. These dentists often dedicate a significant portion of their practice to aesthetic procedures, have pursued post-graduate courses in cosmetic techniques (including advanced composite bonding masterclasses), and have honed their artistic eye through experience. They are more likely to be familiar with the latest materials, advanced layering techniques, and smile design principles that contribute to superior aesthetic outcomes.
When searching for a provider, don’t hesitate to ask about their experience specifically with cosmetic composite bonding. Encourage looking at a dentist’s portfolio of bonding work. Reputable cosmetic dentists will typically have a collection of before-and-after photos showcasing their results with composite bonding. This is often the best way to gauge their skill and the quality of their aesthetic work. While “all” dentists may have the license to perform it, not all will have the same level of passion, experience, or artistic talent for delivering exceptional cosmetic results with this versatile material.
Is Composite Resin Bonding Available on the NHS?
For patients in the UK, a key consideration is often, “Is Composite Resin Bonding Available on the NHS?” The answer is nuanced and depends on the primary purpose of the bonding.
The National Health Service (NHS) provides dental treatments that are deemed clinically necessary to maintain oral health. Composite resin is routinely used by NHS dentists for fillings, especially on front teeth where aesthetics are a concern, and increasingly on back teeth as an alternative to amalgam (silver) fillings, depending on the clinical situation and current NHS guidelines. If you have a cavity or a fractured tooth that requires a filling to restore its function and health, and composite resin is the appropriate material, this would typically be covered under the standard NHS dental charges (Band 2 treatment in England, for example, which covers fillings).
However, when it comes to purely cosmetic composite bonding – that is, bonding performed solely to improve the appearance of teeth (e.g., closing minor gaps between healthy teeth, significantly reshaping teeth for aesthetic reasons, or masking discoloration on otherwise sound teeth) – this is often not covered by the NHS or may have very strict eligibility criteria. The NHS primarily focuses on treatments essential for dental health rather than elective cosmetic enhancements.
There might be some grey areas. For example, if a front tooth is chipped and the chip is causing sensitivity or has a sharp edge, repairing it with composite bonding could be considered clinically necessary and thus potentially available on the NHS. However, if the chip is very minor and the request to bond it is purely for aesthetic improvement, it might fall outside NHS provision.
Advice for patients:
-
- Consult with an NHS dentist: The best approach is to discuss your specific needs with your NHS dentist. They can assess your teeth and advise whether the bonding you require would be considered clinically necessary and therefore available under NHS treatment bands.
-
- Check current NHS guidelines: NHS dental provision and what’s covered can sometimes change, so it’s always good to be aware of the current regulations.
-
- Consider private options: If the composite bonding you desire is purely cosmetic and not available on the NHS, your dentist can discuss private treatment options with you. Many dentists offer both NHS and private treatments, and they can provide a quote for cosmetic bonding on a private basis.
In summary, while composite resin *material* is used extensively within NHS dentistry for fillings, composite *bonding for purely aesthetic purposes* is generally considered a private treatment.
How Can I Find “Composite Bonding Near Me” or Specific Clinics (e.g., Harley Street, Cherry Trees Dental)?
Finding the right provider often starts with a search query like “Composite Bonding Near Me” or looking for clinics in specific, reputable areas like “Composite Bonding on Harley Street” (known for its concentration of private medical and dental specialists in London) or even specific clinic names you might have heard of, such as “Composite Bonding | Cherry Trees Dental” (as a hypothetical example of how users might search for a local practice). Here are some practical tips for locating and vetting potential providers:
-
- Use Online Search Engines: This is often the first port of call. Use specific keywords like “cosmetic dentist [your city/area],” “composite bonding specialist [your city/area],” or the phrases mentioned above. Look beyond the first few results; explore websites thoroughly.
-
- Check Dentist Directories or Professional Association Websites: Many national dental associations (e.g., the British Academy of Cosmetic Dentistry – BACD in the UK, or the American Academy of Cosmetic Dentistry – AACD in the US) have online directories where you can search for accredited or member dentists in your area who have a focus on cosmetic dentistry. These dentists often have demonstrated a higher level of commitment to aesthetic dental care.
-
- Ask for Referrals: Word-of-mouth referrals can be invaluable. Ask friends, family members, or colleagues if they have had a good experience with a local dentist for cosmetic work. Your general dentist can also often provide referrals to colleagues who specialize in or have a particular talent for cosmetic bonding.
-
- Examine Clinic Websites Thoroughly: Once you have a shortlist, scrutinize their websites. Look for:
-
- Before-and-After Galleries: This is crucial. Do they have extensive examples of their composite bonding work? Do the results look natural and align with the aesthetic you’re seeking?
-
- Dentist Biographies and Qualifications: Look for information about the dentists’ training, experience, and any special interests or accreditations in cosmetic dentistry.
-
- Patient Testimonials and Reviews: While these can be curated, they can still offer insights into patient experiences. Also, check independent review sites (e.g., Google Reviews, Trustpilot, local review platforms).
-
- Information about Composite Bonding: Does the website provide clear, detailed information about the procedure, indicating their familiarity and expertise?
-
- Examine Clinic Websites Thoroughly: Once you have a shortlist, scrutinize their websites. Look for:
-
- Schedule Consultations: Most reputable cosmetic dentists offer initial consultations. This is your opportunity to meet the dentist, discuss your goals, ask questions, see more examples of their work, and get a feel for the practice. Don’t be afraid to consult with more than one dentist before making a decision.
-
- Research Specific Clinics (like those on Harley Street or local practices): When you see mentions of specific clinics, like “Pro Dental Clinic” or “Cherry Trees Dental” (using the examples from the keywords), it reflects how users often search based on reputation or location. If you are considering such a clinic, apply all the same due diligence: research their credentials, look for independent reviews, and carefully examine their portfolio. The name or location alone isn’t a guarantee of suitability for *your* specific needs, but it can be a starting point for finding highly experienced practitioners.
The key is to do your homework. Finding a dentist you trust, who listens to your goals, and who has a proven track record of excellent cosmetic bonding work is essential for a successful outcome.
What if I Am Unhappy with My Composite Bonding?
While the goal of composite bonding is always a beautiful, enhanced smile, and most patients are delighted with their results, there can occasionally be instances where expectations aren’t met, or issues arise. The question, “What if I am unhappy with my composite bonding?” is a valid concern, and knowing how to approach such a situation constructively is important. Dissatisfaction can stem from various factors, such as the final color, shape, or texture of the bonding, or perhaps issues with comfort or durability. The good news is that composite bonding, due to its additive nature and repairability, often allows for adjustments or revisions more readily than some other cosmetic dental procedures. The first and most crucial step is open and honest communication with the treating dentist. They are invested in your satisfaction and will usually be keen to address any concerns. This section will explore the potential avenues for resolving unhappiness, from minor tweaks to more significant revisions, and emphasize the importance of a collaborative approach to finding a satisfactory solution, ensuring your journey to a confident smile ultimately reaches a happy destination.
Discuss Potential Solutions
If you find yourself unhappy with the outcome of your composite bonding, it’s essential not to despair. There are usually several potential solutions available, and the first step is always to schedule a follow-up appointment with the treating dentist to calmly and clearly discuss your concerns. They will want to understand what aspects you’re dissatisfied with – is it the color, the shape, the length, the texture, or something else?
Based on your feedback, here are some common solutions that might be considered:
-
- Adjustments (Minor Shaping or Polishing): Often, minor imperfections can be easily rectified.
-
- Shape/Contour Adjustments: If a bonded tooth feels slightly too bulky, too long, or has an edge that feels sharp or uneven, the dentist can often make subtle adjustments by carefully reshaping the existing resin with fine polishing burs and discs. This can refine the contours and improve comfort and aesthetics.
-
- Polishing: If the surface feels rough or has lost some of its initial luster, a thorough re-polishing can often restore its smoothness and shine. Sometimes, what appears to be a color issue might just be surface staining that can be polished away.
-
- Adjustments (Minor Shaping or Polishing): Often, minor imperfections can be easily rectified.
-
- Repair or Redo (Partial or Complete):
-
- Repair: If there’s a small chip or a localized imperfection, the dentist can often repair it by adding a small amount of new composite resin to the affected area, blending it seamlessly with the existing bonding.
-
- Redo (Partial): In some cases, if only one aspect of a single bonded tooth is problematic (e.g., the incisal edge color isn’t quite right), the dentist might be able to remove and replace just that portion of the resin.
-
- Redo (Complete): If the dissatisfaction is more significant – perhaps the overall color match is poor, the shape is substantially different from what was desired, or the bonding is failing – the dentist may recommend completely removing the existing bonding on the affected tooth (or teeth) and redoing the procedure from scratch. While this is more involved, it offers a fresh start to achieve the desired outcome. Because bonding is generally conservative, redoing it doesn’t typically further compromise the underlying tooth.
-
- Repair or Redo (Partial or Complete):
-
- Seeking a Second Opinion: If, after discussing your concerns with your treating dentist, you feel that your issues are not being adequately addressed or that a satisfactory solution cannot be reached, you always have the option to seek a second opinion from another qualified cosmetic dentist. They can provide an independent assessment of the existing bonding and offer their perspective on potential solutions. This should generally be a later step if direct communication with your original dentist doesn’t resolve the matter.
Most dentists are committed to their patients’ satisfaction and will work diligently to address any legitimate concerns. Open communication, realistic expectations, and a collaborative approach are key to resolving any unhappiness and achieving a smile you can be proud of. Many practices will also have a policy on adjustments or revisions within a certain timeframe after the initial procedure, so it’s worth understanding this beforehand.
What are Some General Facts and Trends About Composite Bonding?
Beyond the specifics of procedure and personal suitability, it’s interesting to explore the broader context of composite bonding within the dental world. Understanding some general facts and emerging trends can provide a fuller appreciation of why this treatment has gained such traction and where it might be headed. Composite bonding isn’t just a static technique; it’s influenced by advancements in material science, evolving aesthetic preferences, and the increasing demand for conservative yet effective cosmetic solutions. From its popularity among those in the public eye seeking discreet smile enhancements to its role in everyday dental practices for routine repairs, its impact is widespread. This section will touch upon some miscellaneous yet pertinent points, including its prevalence, notable characteristics highlighted by dental professionals, and a glimpse into potential future developments. This broader view helps to position composite bonding not just as a dental procedure, but as a dynamic and continually refining option in the pursuit of healthier, more beautiful smiles. It’s about appreciating its current standing and anticipating its future trajectory in the ever-advancing field of cosmetic dentistry.
What Celebs Have Composite Bonding? Is it Popular?
The question “What celebs have composite bonding?” often arises as people look to emulate the seemingly perfect smiles they see in the media. While it’s difficult to definitively state which specific celebrities have undergone composite bonding without their direct disclosure (as medical and dental treatments are private), it’s widely acknowledged in cosmetic dentistry circles that composite bonding is indeed a popular choice for smile enhancements among public figures, precisely because of its ability to deliver subtle, natural-looking results with minimal invasiveness.
Why is it popular in these circles?
-
- Subtlety and Natural Appearance: Celebrities often prefer enhancements that don’t look overtly “done.” Skillfully applied composite bonding can correct imperfections like chips, small gaps, or slight discoloration in a way that blends seamlessly with natural teeth, avoiding the sometimes overly uniform or opaque look that can occur with other treatments if not perfectly executed.
-
- Conservatism: Many individuals, including those in the public eye, are keen to preserve their natural tooth structure. Composite bonding’s additive nature, often requiring no tooth reduction, aligns with this desire for conservative treatment.
-
- Speed and Convenience: The ability to achieve significant aesthetic improvements, often in a single visit, is highly advantageous for busy individuals with demanding schedules.
-
- Versatility for Minor Tweaks: Composite bonding is perfect for those “minor tweaks” that can make a big difference to a smile’s overall appearance without a complete overhaul.
While specific names are speculative, it’s reasonable to assume that many of the beautifully natural yet improved smiles you see have benefited from cosmetic dental techniques, and composite bonding is a prime candidate for achieving such results, especially for refining smiles that are already generally good but could use some perfection. Its popularity extends far beyond celebrities; it’s a mainstream cosmetic dental procedure chosen by many people from all walks of life who want to improve their smile confidently and conservatively. The increasing awareness of its benefits, coupled with advancements in materials and techniques, has cemented its place as a highly sought-after treatment for anyone looking to enhance their smile’s aesthetics. The focus on natural-looking results in modern cosmetic dentistry makes composite bonding an increasingly favored option.
What are 7 Things You Need to Know About Composite Bonding?
Drawing inspiration from informative articles like “7 Things You Need to Know About Composite Bonding – Dental Beauty Harrow” (a hypothetical example of a specific resource a user might encounter), it’s useful to distill the essence of this procedure into a concise list of crucial takeaways. Here are seven key things everyone should know about composite bonding, summarizing many of the points we’ve discussed:
-
- It’s a Minimally Invasive Cosmetic Procedure: This is perhaps its most lauded characteristic. In most cases, composite bonding requires little to no removal of your natural tooth enamel. The resin is added to your existing tooth structure, making it a conservative option that preserves the integrity of your teeth. This also often means the procedure is reversible.
-
- It’s Often Completed in a Single Visit: Unlike treatments like porcelain veneers that require lab work and multiple appointments, composite bonding is typically performed chairside in one session. You can walk in with imperfections and walk out with an enhanced smile on the same day, making it a convenient choice for busy individuals.
-
- It’s Generally More Affordable Than Porcelain Veneers: While not inexpensive, composite bonding is usually a more budget-friendly option compared to porcelain veneers, making cosmetic smile improvements accessible to a wider range of people.
-
- It Can Stain and Requires Good Aftercare: Composite resin is more porous than natural enamel or porcelain and can absorb stains from food, drinks (like coffee, tea, red wine), and smoking over time. Meticulous oral hygiene, regular dental cleanings, and some dietary awareness are essential to maintain its appearance and longevity.
-
- The Skill of the Dentist Greatly Influences the Outcome: The aesthetic success of composite bonding heavily relies on the dentist’s artistic skill, experience, and attention to detail in shade matching, sculpting, and polishing the resin. Choosing a dentist with a good portfolio of bonding work is crucial for natural-looking results.
-
- It’s Repairable But Not as Durable as Porcelain: While strong, composite resin is not as robust as porcelain and can chip or wear down over time, especially under heavy biting forces or if you have habits like teeth grinding. However, a significant advantage is that if it does chip, it can usually be easily and seamlessly repaired. Its typical lifespan is 3-10 years.
-
- It’s Suitable for a Variety of Minor Cosmetic Dental Issues: Composite bonding is incredibly versatile. It can be used to fix chips, close small gaps, mask discoloration, improve tooth shape, and make teeth appear straighter, offering solutions for a wide array of common aesthetic dental concerns.
Understanding these seven points provides a solid foundation for anyone considering composite bonding as a way to enhance their smile.
What Might Composite Bonding Look Like in 2025? Future Trends
Peering into the near future, what might “Composite Bonding In 2025” look like? The field of dental materials and techniques is constantly evolving, and composite resin technology is an area of active research and development. We can speculate on several exciting future trends that could further enhance this already popular procedure.
-
- Improvements in Composite Resin Materials: This is perhaps the most significant area for advancement. By 2025, we can expect to see:
-
- Greater Strength and Durability: Manufacturers are continually working to develop composite resins with improved wear resistance, fracture toughness, and overall longevity, potentially narrowing the durability gap with porcelain for certain applications.
-
- Enhanced Stain Resistance: New formulations may incorporate nanoparticles or surface technologies that make the resin less porous and more resistant to staining from common culprits like coffee, tea, and red wine, helping to maintain aesthetic results for longer.
-
- Superior Aesthetics and Chameleon Effects: Expect even more sophisticated shade systems, increased translucency options, and improved “chameleon effects” where the resin better mimics the optical properties of natural tooth enamel, blending even more seamlessly with the surrounding dentition. Bio-active composites that release fluoride or have anti-bacterial properties might also become more prevalent.
-
- Improvements in Composite Resin Materials: This is perhaps the most significant area for advancement. By 2025, we can expect to see:
-
- Advancements in Application Techniques:
-
- Digital Integration in Smile Design for Bonding: While already used for veneers, more sophisticated digital smile design (DSD) software could become more integrated into planning composite bonding cases. This might involve 3D simulations shown to patients, or even digitally guided templates for more predictable shaping, especially for complex multi-tooth cases.
-
- Improved Curing Technologies: Faster or more efficient curing lights could reduce chair time, while advancements in bulk-fill composites (resins that can be placed in thicker layers without compromising curing or shrinkage) might streamline certain restorative bonding procedures.
-
- Advancements in Application Techniques:
-
- Increased Use of CAD/CAM for Indirect Composite Restorations: While traditional bonding is direct, there’s a growing trend for lab-fabricated composite onlays, inlays, and even veneers using CAD/CAM technology. These indirect composite restorations can offer enhanced strength and fit due to lab processing, potentially becoming a more common alternative to direct bonding for certain cases by 2025, blending the benefits of composite with some advantages of lab fabrication.
-
- Greater Emphasis on Minimally Invasive and Biomimetic Dentistry: The overarching trend in dentistry is towards preserving natural tooth structure. Composite bonding is already a cornerstone of this philosophy, and its role is likely to expand as materials and techniques further align with biomimetic principles (mimicking natural tooth properties and function).
By 2025, composite bonding will likely be an even more refined, durable, and aesthetically versatile tool in the cosmetic dentist’s arsenal, offering patients increasingly impressive and long-lasting results with minimal intervention.
What are the Overall Pros And Cons Of Composite Bonding? A Summary
After delving into the myriad facets of composite bonding, from its intricate procedural steps to its long-term maintenance, it’s beneficial to distill this information into a clear, concise summary of its overall advantages and disadvantages. Understanding the pros and cons of composite bonding at a glance can serve as a quick-reference guide, helping you weigh the key considerations as you contemplate this popular cosmetic dental treatment. No procedure is universally perfect, and composite bonding is no exception; its suitability hinges on a careful balance of its positive attributes against its inherent limitations, all viewed through the lens of your individual needs and expectations. This balanced overview will encapsulate the primary reasons why so many patients and dentists favor composite bonding, alongside the realistic caveats that must be acknowledged for an informed decision. Referencing frameworks like those found in articles such as “Pros And Cons Of Composite Bonding | Smile Stories” (a hypothetical example of a comprehensive resource) helps ensure we cover the most critical points, providing you with a well-rounded perspective. This summary aims to empower you to make a choice that feels right for your smile, your lifestyle, and your long-term dental health.
List Key Pros and Cons
To provide a balanced and easily digestible overview, here’s a summary of the main advantages (Pros) and disadvantages (Cons) of composite bonding, drawing together the critical points discussed throughout this guide. This allows for a quick yet comprehensive understanding, similar to what one might find in dedicated resources exploring “What Are The Advantages and Disadvantages Of Composite Bonding?”
Pros of Composite Bonding:
-
- Minimally Invasive & Conservative: Typically requires little to no removal of natural tooth enamel, preserving tooth structure and often making the procedure reversible. This is a significant advantage for long-term dental health.
-
- Cost-Effective: Generally more affordable upfront compared to alternatives like porcelain veneers, making cosmetic enhancements more accessible.
-
- Single-Visit Procedure: Often completed in just one dental appointment, offering immediate results and convenience for busy schedules. The entire process from preparation to final polish happens chairside.
-
- Good Aesthetics & Natural Appearance: When performed by a skilled dentist, composite bonding can achieve beautiful, natural-looking results that blend seamlessly with existing teeth. Modern resins offer excellent shade matching capabilities.
-
- Repairability: If the bonding chips or sustains minor damage, it can usually be easily and relatively inexpensively repaired by adding more composite material, often without needing to replace the entire restoration.
-
- Versatility: Effective for a wide range of cosmetic issues, including repairing chips and cracks, closing small gaps, masking discoloration, and improving tooth shape and size.
-
- Painless Procedure: In most cases, composite bonding is a painless procedure that does not require local anesthesia, enhancing patient comfort.
Cons of Composite Bonding:
-
- Can Stain Over Time: Composite resin is more porous than natural enamel or porcelain, making it susceptible to staining from foods, drinks (coffee, tea, red wine), and smoking.
-
- Less Durable Than Porcelain: While strong, composite resin is not as robust as porcelain and can be more prone to chipping, fracturing, or wearing down, especially under significant biting forces or with certain habits.
-
- Shorter Lifespan Than Some Alternatives: Typically lasts 3-10 years, which is generally less than the lifespan of porcelain veneers (10-15+ years). It may require more frequent touch-ups or replacement.
-
- Skill-Dependent Results: The aesthetic outcome is highly dependent on the dentist’s artistic skill and experience. A less experienced practitioner might produce less natural-looking results.
-
- Polish Can Dull: The initial high gloss and luster of composite bonding may diminish over time with wear and cleaning, potentially requiring re-polishing to maintain its vibrancy.
-
- Not Suitable for All Cases: Not ideal for very large restorations, extensive damage, severe misalignment, or for patients with very heavy biting forces or poor oral hygiene.
This summary should help you weigh the key factors. For more in-depth information on any of these points, referring back to the detailed sections in this guide or discussing them with your dental professional is recommended.
Where Can I Find Comprehensive Guides on Composite Resin Bonding: Benefits, Procedure & Aftercare?
In the quest for knowledge about any dental procedure, seeking out reliable, all-encompassing resources is a natural step. When it comes to composite bonding, you might wonder, “Where can I find comprehensive guides on Composite Resin Bonding: Benefits, Procedure & Aftercare?” While this article aims to be thorough, you may wish to explore further or corroborate information. The internet is awash with dental information, but the quality and accuracy can vary wildly. Identifying high-quality, trustworthy guides is key to becoming a well-informed patient. Often, these comprehensive resources are curated by reputable dental organizations, educational institutions, or well-established dental care brands that have a commitment to patient education. Such guides typically consolidate all the essential aspects of the treatment – from the initial consultation and candidacy assessment to the detailed procedural steps, expected outcomes, potential risks, crucial aftercare instructions, and realistic longevity and cost considerations. Understanding what to look for in such a resource can help you filter out a noise and focus on genuinely valuable information, ensuring you build a solid foundation of knowledge before making any decisions about your smile.
What to Look For in a High-Quality Guide
When you come across a resource, perhaps titled something like “Composite Resin Bonding: Benefits, procedure & aftercare | Oral-B UK” (using the keyword example, which suggests a brand-affiliated but potentially informative guide), or any other comprehensive article, it’s important to know what hallmarks of quality to look for. A truly high-quality, comprehensive guide on composite bonding should exhibit several key characteristics:
-
- Information Sourced from Dental Professionals or Reputable Dental Organizations: Check the “About Us” section or author credentials. Is the information written or reviewed by qualified dentists, dental hygienists, or recognized dental health bodies? Reputable sources lend credibility. Be wary of purely anecdotal accounts or overly commercialized content without professional backing.
-
- Balanced Information, Including Both Pros and Cons: A trustworthy guide won’t just highlight the benefits. It will also openly discuss the potential downsides, risks, limitations, and what can go wrong. This balanced perspective is crucial for informed consent and realistic expectations.
-
- Comprehensive Coverage of All Key Aspects: The guide should ideally cover:
-
- What it is: A clear definition of composite bonding.
-
- Who it’s for (Candidacy): Suitable candidates and contraindications.
-
- Benefits: The advantages of choosing composite bonding.
-
- Risks and Disadvantages: Potential complications and limitations.
-
- The Procedure: A step-by-step explanation of what happens during treatment.
-
- Aftercare and Maintenance: Detailed instructions on how to care for bonded teeth.
-
- Cost: General information on pricing and factors affecting cost.
-
- Longevity: Realistic expectations for how long bonding lasts and factors influencing it.
-
- Alternatives: A brief comparison with other treatment options.
-
- Comprehensive Coverage of All Key Aspects: The guide should ideally cover:
-
- Clarity and Understandable Language: While dental topics can be technical, a good guide will explain complex terms in plain language, making the information accessible to a layperson without oversimplifying to the point of inaccuracy.
-
- Evidence-Based Information (Where Applicable): While much of cosmetic dentistry is technique-based, references to current dental understanding or guidelines can add weight.
-
- Realistic Before-and-After Photos (If Included): If visual examples are provided, they should look natural and represent achievable results, not just extreme makeovers that might not be typical.
-
- A Call to Consult a Professional: Ultimately, any good guide should emphasize that the information provided is for general knowledge and that personalized advice must come from a consultation with a qualified dental professional.
As a final recommendation, beyond online guides, checking websites of national dental associations (like the American Dental Association, British Dental Association, etc.) can provide patient-focused, reliable information. And, of course, asking your own dentist for trusted informational resources or to clarify any points is always an excellent strategy. They can direct you to materials they trust and that are relevant to your specific situation.
Frequently Asked Questions About Composite Resin Bonding Teeth
To round off our comprehensive exploration of composite resin bonding, it’s helpful to revisit some of the most fundamental questions that prospective patients typically ask. This Frequently Asked Questions (FAQ) section serves as a quick recap of the core concepts we’ve discussed, providing concise answers to the key inquiries that often arise when considering this versatile dental treatment. Whether you’re just beginning your research or looking to solidify your understanding, these common questions touch upon the essential aspects of what composite bonding entails, its benefits, potential drawbacks, longevity, and cost. Think of this as your go-to summary for the pivotal points, ensuring you have the main takeaways at your fingertips as you continue your journey towards a more confident and radiant smile. Each question here echoes the detailed discussions from earlier sections, offering a streamlined way to refresh your memory on the most critical information regarding composite resin bonding for teeth.
What is Composite Resin Bonding Teeth All About: An In-Depth Look?
At its core, composite resin bonding for teeth is a highly versatile cosmetic and restorative dental procedure designed to improve the appearance of teeth and repair minor imperfections. It involves the skillful application of a tooth-colored resin material – a sophisticated blend of plastic and fine glass or ceramic particles – directly onto the tooth surface. This material starts as a pliable, putty-like substance that the dentist meticulously sculpts, shapes, and contours to achieve the desired aesthetic or functional outcome. The term “bonding” refers to the process by which this resin is securely adhered (micromechanically and chemically) to the natural tooth structure, often after the tooth surface has been gently etched to enhance adhesion.
Its primary purposes are wonderfully diverse. Cosmetically, it’s used to fix issues like chips, cracks, discoloration (stains that don’t respond to whitening), and gaps between teeth. It can also be used to change the shape or size of teeth, making them appear more uniform, longer, or less misshapen. Restoratively, it can serve as a tooth-colored filling for small cavities or protect exposed root surfaces.
The procedure is celebrated for being minimally invasive, often requiring little to no removal of healthy tooth enamel, which preserves the natural integrity of the tooth. This also means it’s frequently completed in a single dental visit, offering immediate results. The dentist’s artistic skill is paramount in achieving a natural-looking outcome, as they must expertly match the shade of the resin to your existing teeth and sculpt it to blend seamlessly. Interchangeable terms you might hear include “dental bonding,” “tooth bonding,” or simply “bonding.” It’s a popular choice due to its relative affordability compared to options like porcelain veneers, its conservative nature, and its ability to deliver significant aesthetic improvements quickly and effectively. It’s a delicate balance of dental science, ensuring a strong bond and durable material, and dental artistry, crafting a beautiful, natural-looking smile.
What are the Benefits of Composite Dental Bonding for Your Smile?
Composite dental bonding offers a wealth of benefits for your smile, making it a highly attractive option for many individuals seeking aesthetic enhancements or minor repairs. One of the foremost advantages is its conservative, tooth-friendly nature. Unlike procedures like porcelain veneers or crowns that often require significant removal of healthy tooth enamel, composite bonding typically necessitates minimal, if any, alteration to the natural tooth structure. This preservation of enamel is crucial for the long-term health and strength of the tooth and often means the procedure is reversible.
Aesthetically, composite bonding can truly transform your smile. It’s incredibly effective at correcting a range of imperfections:
-
- Repairing chips and cracks: Seamlessly restoring the tooth’s original form.
-
- Closing gaps (diastemas): Creating a more even and continuous smile line.
-
- Masking discoloration: Covering stubborn stains that whitening can’t fix.
-
- Improving tooth shape and size: Correcting minor misalignments, making teeth appear longer, or reshaping peg laterals for a more harmonious look.
The result is often a significant boost in self-confidence.
Other key advantages include its cost-effectiveness. Composite bonding is generally more affordable per tooth than porcelain veneers, making smile makeovers more accessible. The single-visit procedure aspect is also a major plus; you can often walk in with a dental concern and walk out with a transformed smile on the same day, saving time and multiple appointments. Furthermore, composite bonding is repairable. If a bonded tooth chips or gets damaged, it can usually be easily and relatively inexpensively touched up by adding more composite material, unlike porcelain veneers which often require complete replacement if damaged. When performed by a skilled dentist with an artistic eye, the results are remarkably natural-looking, blending imperceptibly with your surrounding teeth. Addressing the question “Is bonding good for your teeth?” – yes, for appropriate cases, it’s an excellent, minimally invasive option that respects tooth biology while delivering beautiful aesthetic outcomes.
What are the Disadvantages and Risks of Composite Bonding You Should Know?
While composite bonding offers numerous benefits, it’s essential to be aware of its disadvantages and potential risks for a fully informed decision. Understanding these limitations helps set realistic expectations for the longevity and maintenance of your bonded teeth.
One of the primary disadvantages is its durability and lifespan compared to other materials like porcelain. Composite resin is generally less strong and more prone to chipping, fracturing, or wearing down over time, especially if subjected to heavy biting forces or habits like teeth grinding. Its typical lifespan ranges from 3 to 10 years, which is often shorter than that of porcelain veneers.
Another significant consideration is its susceptibility to staining. Composite resin is more porous than natural enamel or porcelain, meaning it can absorb pigments from foods (berries, curry), drinks (coffee, tea, red wine), and smoking. This can lead to discoloration over time, potentially causing a mismatch with adjacent natural teeth if they don’t stain at the same rate. The initial high polish and luster may also dull over the years.
The “dark side” or “ugly side” can emerge if realistic expectations aren’t met regarding maintenance, or if the application is suboptimal. Poorly applied bonding can look unnatural, bulky, or fail prematurely. The skill of the dentist is paramount.
Specific risks include:
-
- Debonding: The bonding material coming off the tooth, though rare with proper technique.
-
- Chipping or Fracturing: As mentioned, due to material limitations or excessive force.
-
- Color Instability: The resin may change color over time differently from natural teeth.
-
- Allergic Reactions (Rare): Sensitivity to the materials used.
-
- Marginal Leakage: If the bond isn’t perfectly sealed, bacteria can seep underneath, potentially causing decay. This is mitigated by good technique and hygiene.
The “problem with composite resin material itself” lies in its inherent properties: it has a higher wear rate than enamel, can undergo microscopic shrinkage upon curing, and has lower fracture toughness than ceramics. These are limitations dentists work to manage. Mitigation strategies for these risks include choosing an experienced cosmetic dentist, maintaining excellent oral hygiene, avoiding biting hard objects, attending regular check-ups, and potentially using a nightguard if you grind your teeth.
How Long Does Composite Bonding Last and What Affects Its Durability?
The longevity of composite bonding, or how long it lasts, is a crucial factor for patients, typically ranging from 3 to 10 years. This is an average, and individual experiences can vary significantly based on a confluence of factors that affect its durability. It’s not a “permanent” fix in the sense of lasting indefinitely without maintenance.
Key factors influencing durability include:
-
- Oral Hygiene: Meticulous brushing (twice daily with non-abrasive toothpaste) and daily flossing are paramount. Poor hygiene can lead to plaque buildup, staining, and decay at the margins, compromising the bonding.
-
- Dietary Habits: Frequent consumption of hard, sticky, or highly staining foods and drinks can shorten its lifespan. Biting into ice or hard candies can cause chips, while coffee, tea, and red wine can lead to discoloration.
-
- Parafunctional Habits: Habits like nail-biting, pen-chewing, or using teeth as tools can easily damage composite resin. Teeth grinding or clenching (bruxism) exerts significant force and can cause accelerated wear or fractures; a nightguard is often recommended.
-
- Location of the Bonding: Bonding on the biting edges of front teeth may experience more wear than bonding on facial surfaces less involved in direct biting.
-
- Quality of Initial Placement: The skill of the dentist in preparing the tooth, applying the resin, ensuring a proper bond, and meticulously polishing the restoration significantly impacts its longevity.
-
- Material Used: While most modern composites are high quality, subtle differences in brands and formulations can exist.
-
- Regular Dental Check-ups: Professional cleanings help remove surface stains and allow the dentist to monitor the bonding for early signs of wear or failure.
What happens after 5 years? Some bonding may still be in excellent condition, while other cases might show minor wear, chipping, staining, or dulling of the polish, potentially requiring touch-ups or consideration for replacement. When composite bonding wears off or needs replacement, signs include noticeable chipping, significant staining, rough edges, or detachment. The replacement process is similar to the initial application: the old material is removed, and new resin is applied. Thankfully, because the procedure is conservative, replacement doesn’t usually further compromise the underlying tooth. Understanding these factors empowers patients to take proactive steps to maximize the life of their bonded restorations.
How Much Does Composite Bonding Cost? Understanding the Financial Aspects
Understanding the financial aspects of composite bonding is crucial for planning your smile enhancement. The cost of composite bonding can vary widely, but it’s generally considered more affordable than alternatives like porcelain veneers. The price is typically quoted on a per-tooth basis.
In regions like the USA, UK, Canada, or Australia, you might expect the cost to range from approximately $200 to $600 USD per tooth (or the local equivalent, e.g., £200 to £500 per tooth in the UK). This is a general estimate, and several factors influence the final price:
-
- Geographic Location: Dentists in major metropolitan areas with higher overheads may charge more than those in smaller towns.
-
- Dentist’s Experience and Reputation: Highly experienced cosmetic dentists with specialized training and a strong portfolio may command higher fees due to their expertise and artistic skill.
-
- Complexity of the Case: A simple chip repair on one tooth will cost less than more intricate work like significantly reshaping multiple teeth, closing larger gaps, or using multi-layered techniques for superior aesthetics. The time and materials involved will differ.
-
- Number of Teeth Treated: If you’re having a “full set” of composite veneers (e.g., bonding on 6-10 front teeth for a smile makeover), the total cost will be the per-tooth fee multiplied by the number of teeth. For example, a full set of composite veneers (8 upper teeth) in the UK could range from £1,600 to £4,000 or more.
-
- Specific Clinic Fees: Each dental practice sets its own fee structure.
When considering dental tourism, for example, to Turkey, the advertised “composite bonding per tooth in Turkey” might be significantly lower (e.g., £100-£250). However, one must factor in travel, accommodation, potential difficulties with follow-up care, and varying regulatory standards.
The cost to repair existing composite resin or a damaged tooth with composite also depends on the extent of the repair. A minor touch-up might be less than an initial full bonding, but a significant rebuild could cost similarly.
It’s always best to schedule a consultation for a personalized quote. Many practices offer financing options for more extensive treatments. Ensure the quote clearly outlines what’s included (consultation, procedure, follow-ups). While cost is a factor, the skill and experience of the dentist are paramount for achieving beautiful, long-lasting results.