Skip to content
  • Perché Dentale Albania
  • Servizi
    Impianto Dentali

    Implantologia è una sostituzione sicura dei denti mancanti.

    • Impianto Singolo Dente
    • All on 4
    • All on 6
    • All on 8
    • Impianto dentale a carico immediato
    • Implantologia a carico immediato o differito
    • Impianti zigomatici
    • Impianti pterigoidei
    • Impianti nasali
    • Protesi Dentarie su impianti
    • Innesto osseo per impianto dentale
    • Rialzo del seno mascellare
    • Aumento cresta ossea
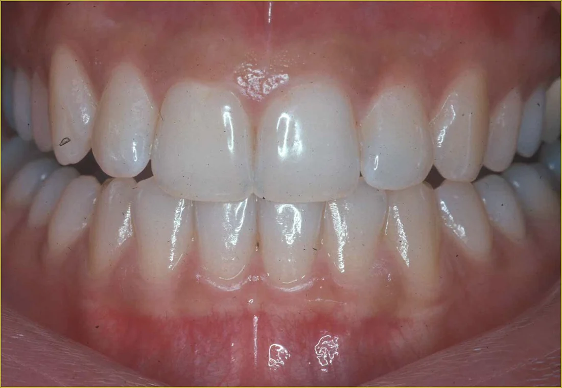
    Odontoiatria Estetica

    Migliorare l’aspetto del tuo sorriso.

    • Faccette dentali
    • Faccette in composito
    • Faccette in porcellana
    • Faccette Emax
    • Sbiancamento dei denti
    • Sorrisi rifatti
    • Bonding Dentale
    • Recessione gengivale
    • Limare i denti
    • Botox
    • Invisalign
    General Dentistry
    Odontoiatria Generale

    L’odontoiatria generale include diagnosi, prevenzione e trattamento della salute orale.

    • Esami Odontoiatria
    • Pulizia dentale
    • Otturazione dente​
    • Terapia canalare
    • Odontoiatria preventiva
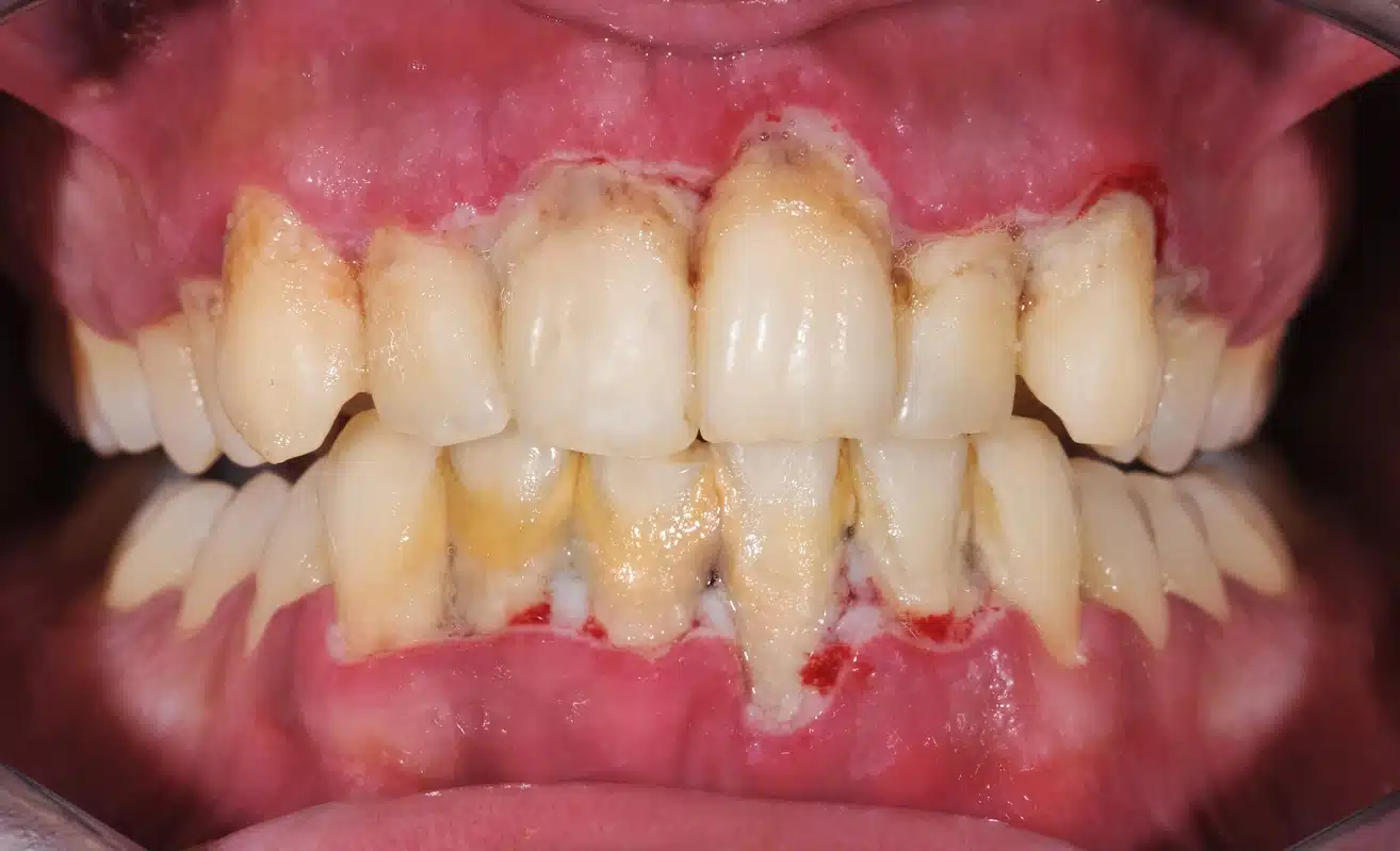
    • Malattie gengivali
    • Carie dentale
    • Intarsio Dentale
    • Sigillanti dentali
    • Visita odontoiatrica
    Chirurgia Orale

    Ogni intervento eseguito all'interno della tua bocca.

    • Denti del Giudizio
    • Estrazione del Dente
    • Innesto osseo dentale
    • Trauma dentale
    • TAC Cone Beam
    • Trattamento PRP
    • Sedazione cosciente dentista
    Orthodontics
    Ortodonzia

    Specialità dentale focalizzata sull’allineamento del morso.

    • Allineatori invisibili
    • Apparecchio fisso
    • Contenzione Denti
    • Ortodonzia pediatrica
    Restorative Dentistry
    Prostodonzia

    Riparare denti danneggiati o sostituire quelli mancanti.

    • Corona dentale
    • Protesi dentaria
    • Riabilitazione orale
    • Ponte dentale​
    • Dentiere
  • Testimonianze e Risultati
  • Listino Prezzi
  • Blog
  • Contattaci
Preventivo Gratuito

General Dentistry Care

Our General Dentistry Care category covers all the essentials for maintaining a healthy smile at every stage of life. From routine check-ups, dental cleanings, and cavity prevention to fillings, extractions, and gum care, our guides explain the treatments and practices that keep your teeth strong and your gums healthy. You’ll also find expert tips on daily oral hygiene, nutrition for dental health, and how preventive care can help avoid more complex treatments in the future.

Dentale Albania Blog - Ultimi Consigli della Dr.ssa Greta Toska

Sbiancamento Dentale Con Mascherine: Una Soluzione Personalizzata Per Un Sorriso Più Bianco

Che Cos’è Lo Sbiancamento Dentale Con Mascherine?  Lo sbiancamento dentale con mascherine è un trattamento innovativo che combina mascherine personalizzate

Lavare i Denti con Bicarbonato: Tutto Quello che Devi Sapere per uno Sbiancamento Sicuro e Naturale

Lavare i Denti con Bicarbonato: Vantaggi e Consigli per un Uso Sicuro  Perché si usa il bicarbonato per sbiancare i

Denti Bianchi (Tecniche Efficaci e Consigli per Sorrisi Perfetti)

Come Avere Denti Bianchi: I Metodi Più Efficaci  Come Fare Denti Bianchi?  Avere denti bianchi è un obiettivo estetico che

Come Sbiancare i Denti a Casa

Avere denti bianchi e lucenti è il sogno di molti, ma spesso il costo e il tempo necessario per un

Metodo Naturale Per Sbiancare I Denti: Rimedi Efficaci e Sicuri

Come Sbiancare I Denti In Modo Naturale: Trucchi e Consigli  Cos’è il Metodo Naturale per Sbiancare i Denti?  Il metodo

Corona in Ceramica su Zirconioi: Cosa Sono e Quali Vantaggi Offrono?

Cos’è una corona in ceramica su zirconioi e perché è così richiesta?  Le corone in ceramica su zirconioi sono protesi

Bicarbonato e Limone Denti: Vantaggi, Rischi e Metodi Correttamente Sicuri per Sbiancare i Denti

Che Effetto Ha il Bicarbonato e Limone sui Denti?  Cosa Succede se Lavo i Denti con Bicarbonato e Limone?  Quando

Sbiancamento Denti Quanto Dura? (Durata e Risultati a Lungo Periodo)

Quanto dura lo sbiancamento denti?  Lo sbiancamento dentale è uno dei trattamenti estetici più richiesti per migliorare l’aspetto del sorriso.

Veneers price UK

Veneers price UK: Understanding the cost of veneers in the UK

If you are researching veneers price UK, you are not alone. Thousands of people across the United Kingdom are considering

Bicarbonato Denti: Tutto Quello Che Devi Sapere Per Un Sorriso Perfetto

Quali Sono Gli Usi Del Bicarbonato Per I Denti?  Il bicarbonato di sodio, comunemente noto come bicarbonato, è ampiamente utilizzato

Sbiancante Denti Efficace: Metodi e Consigli per un Sorriso Radioso

Qual è il Migliore Sbiancante Denti Efficace?  Metodi principali per uno sbiancamento sicuro: Esplora i diversi approcci disponibili per ottenere

Denti Estetici: Come Migliorare il Tuo Sorriso

Cosa Sono i Denti Estetici e Come Possono Trasformare il Tuo Sorriso?  Cos’è l’Estetica Dentale?  L’estetica dentale è una branca

Denti in composito o ceramica: Quale scegliere per il tuo sorriso?

Denti in composito o ceramica: quale soluzione è migliore per te?  Quando si tratta di restaurare il proprio sorriso, scegliere

Ricostruzione Dente in Composito Durata: Quanto Dura e Come Influenza la Longevità dei Tuo Denti

La ricostruzione dei denti in composito è una delle soluzioni più utilizzate per ripristinare la funzione e l’estetica dei denti

Dental Tourism Albania

Denti in Resina Composita: Cosa Sono e Perché Sceglierli

I denti in resina composita sono una soluzione innovativa e versatile per chi desidera migliorare l’aspetto estetico del proprio sorriso,

Ricostruire un Dente Prezzo (Costo della Ricostruzione Dentale)

La ricostruzione di un dente può sembrare una procedura semplice, ma il prezzo può variare significativamente a seconda di diversi

Quanto Costa il Bonding Dentale?

Il bonding dentale è una soluzione estetica sempre più richiesta per correggere imperfezioni dentali in modo rapido e poco invasivo.

Ricostruzione in Composito: Cos’è e Come Può Trasformare Il Tuo Sorriso?

La ricostruzione in composito rappresenta una tecnica all’avanguardia nell’ambito dell’odontoiatria estetica conservativa, studiata per ripristinare la funzionalità e l’aspetto naturale

Costi Ricostruzione Dente: Prezzi, Materiali e Procedure

Quali sono i costi ricostruzione dente e cosa influisce sul prezzo?  Quando si parla di costi ricostruzione dente, è fondamentale

Resina Composita Denti: Costi, Durata e Vantaggi Estetici

Cosa Sono Le Resine Composite E Qual È La Differenza Con La Resina?  Le resine composite sono materiali utilizzati in

Denti Sbiancati: Come Ottenerli e Mantenere un Sorriso Perfetto

Cosa Sono i Denti Sbiancati e Come Funzionano i Trattamenti? I denti sbiancati sono un risultato sempre più ambito, ottenibile

Carica Altro Articoli

Le Esperienze dei Nostri Pazienti

Nonostante la sua accessibilità, l’Albania non scende a compromessi sulla qualità. Le principali cliniche dentali del paese seguono rigorosi standard europei di igiene e sicurezza, offrendo opzioni di trattamento di livello mondiale.

Richiedi un Preventivo Gratuito

Compila il modulo qui sotto e ti risponderemo il prima possibile con una stima personalizzata.
📩 È semplice, veloce e senza impegno!

Ottieni subito il tuo sconto!
Risparmia fino al 70% contattandoci oggi stesso!

Clinica Dentale Albania è la destinazione ideale per una trasformazione dentale in Albania.

Pagine
  • Perché Dentale Albania
  • Testimonianze e risultati
  • Listino prezzi
  • Ultimi consigli
Servizi
  • Impianto Dentali
  • Odontoiatria estetica
  • Odontoiatria Generale
  • Chirurgia Orale
  • Ortodonzia
  • Prostodonzia
Contattaci
  • info@dentalealbania.com
  • +39 350 936 5488
Social Media
  • Whatsapp
  • Facebook
  • Instagram
  • Youtube
Legale
  • Termini e Condizioni
  • Privacy dei Dati
  • Avviso Legale
  • Sitemap
Impianto Dentali

Implantologia è una sostituzione sicura dei denti mancanti.

  • Impianto Singolo Dente
  • All on 4
  • All on 6
  • All on 8
  • Impianto dentale a carico immediato
  • Implantologia a carico immediato o differito
  • Impianti zigomatici
  • Impianti pterigoidei
  • Impianti nasali
  • Protesi Dentarie su impianti
  • Innesto osseo per impianto dentale
  • Rialzo del seno mascellare
  • Aumento cresta ossea
Richiedi un Preventivo Personalizzato
Odontoiatria Estetica

Migliorare l’aspetto del tuo sorriso.

  • Faccette dentali
  • Faccette in composito
  • Faccette in porcellana
  • Faccette Emax
  • Sbiancamento dei denti
  • Sorrisi rifatti
  • Bonding Dentale
  • Recessione gengivale
  • Limare i denti
  • Botox
  • Invisalign
Richiedi un Preventivo Personalizzato
General Dentistry
Odontoiatria Generale

L’odontoiatria generale include diagnosi, prevenzione e trattamento della salute orale.

  • Esami Odontoiatria
  • Pulizia dentale
  • Otturazione dente​
  • Terapia canalare
  • Odontoiatria preventiva
  • Malattie gengivali
  • Carie dentale
  • Intarsio Dentale
  • Sigillanti dentali
  • Visita odontoiatrica
Richiedi un Preventivo Personalizzato
Chirurgia Orale

Ogni intervento eseguito all'interno della tua bocca.

  • Denti del Giudizio
  • Estrazione del Dente
  • Innesto osseo dentale
  • Trauma dentale
  • TAC Cone Beam
  • Trattamento PRP
  • Sedazione cosciente dentista
Richiedi un Preventivo Personalizzato
Orthodontics
Ortodonzia

Specialità dentale focalizzata sull’allineamento del morso.

  • Allineatori invisibili
  • Apparecchio fisso
  • Contenzione denti
  • Ortodonzia pediatrica
Richiedi un Preventivo Personalizzato
Restorative Dentistry
Prostodonzia

Riparare denti danneggiati o sostituire quelli mancanti.

  • Corona dentale
  • Protesi dentaria
  • Riabilitazione orale
  • Ponte dentale​
  • Dentiere
Richiedi un Preventivo Personalizzato
Seguici
Facebook-f Instagram Youtube

Copyright Clinica Dentale Albania © 2026