I denti in resina composita sono una soluzione innovativa e versatile per chi desidera migliorare l’aspetto estetico del proprio sorriso, correggere piccoli difetti o ripristinare denti danneggiati. Grazie alla loro capacità di adattarsi perfettamente al colore naturale dei denti, la resina composita è una scelta popolare tra i pazienti e i dentisti. In questo articolo, esploreremo cosa sono i denti in resina composita, le differenze rispetto ad altri materiali come la ceramica, quanto durano, e molto altro. Se stai pensando a un trattamento odontoiatrico estetico, continua a leggere per scoprire tutto ciò che c’è da sapere sui denti in resina.
Table of Contents
ToggleCosa Sono i Denti in Resina Composita?

I denti in resina composita sono una forma di restauro dentale che utilizza una resina plastica per ripristinare la forma, la funzione e l’estetica dei denti danneggiati. Questa resina è composta principalmente da un materiale plastico (polimero) e un riempitivo minerale che conferisce resistenza e durezza. La resina composita viene applicata direttamente sulla superficie del dente e modellata per ottenere un risultato naturale, sia che si tratti di una riparazione di un dente scheggiato, della correzione di una cavità o di un miglioramento estetico di un dente scolorito.
Cos’è il Composito per i Denti?
Il composito per i denti è una resina composta da materiali plastici e riempitivi che possono essere adattati per ottenere un aspetto simile a quello del dente naturale. A differenza di altri materiali, il composito è particolarmente versatile e può essere facilmente modellato per riparare denti scheggiati, rotti o usurati. La sua applicazione diretta sui denti lo rende ideale per trattamenti rapidi ed efficaci.
Cos’è il Bonding Dentale?
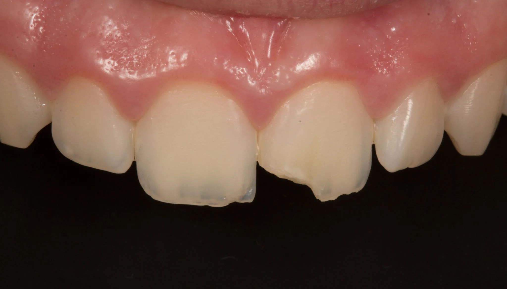
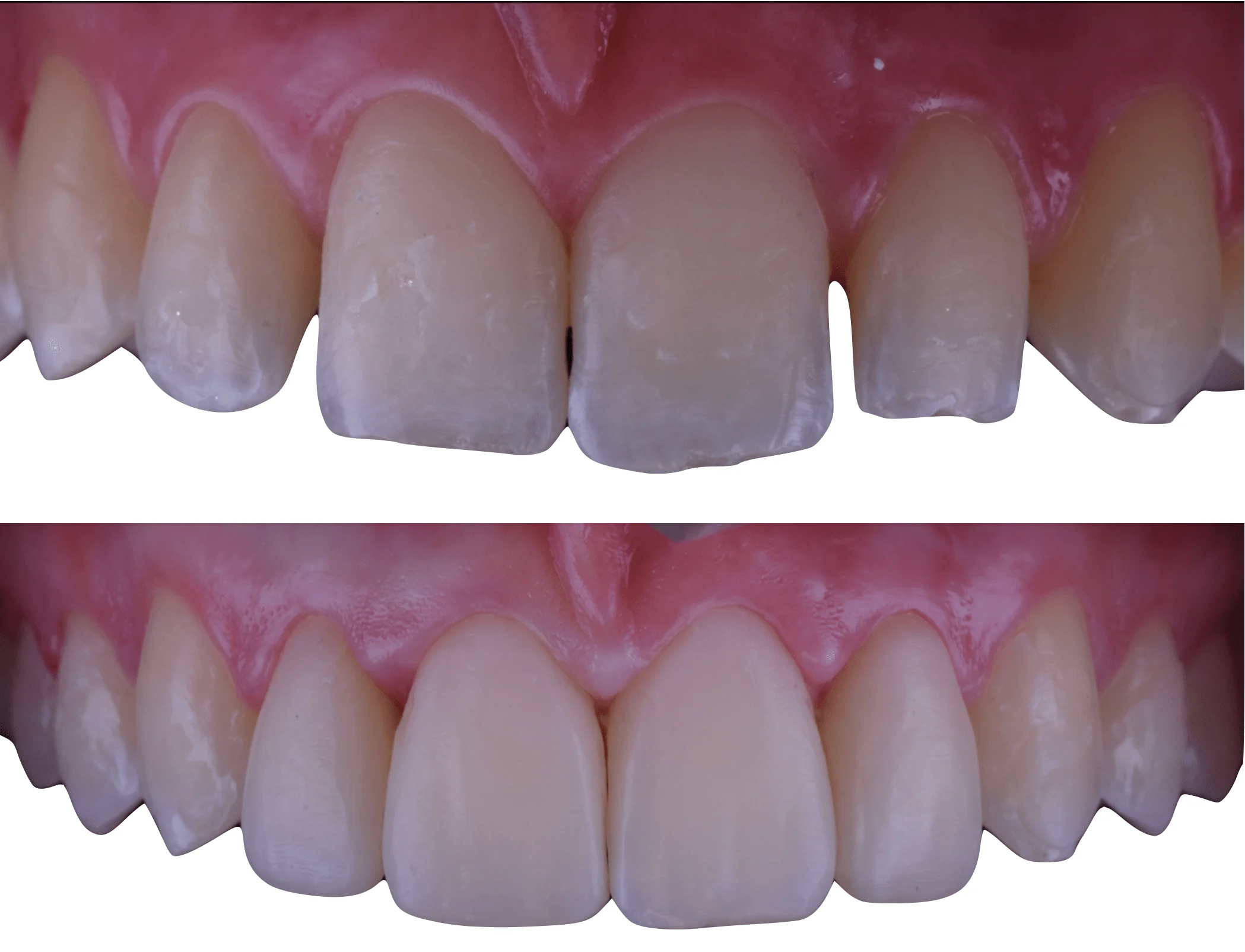
Il bonding dentale è un processo in cui il dentista applica una resina composita direttamente sulla superficie del dente, modellandola per migliorare l’aspetto o riparare danni. Questo trattamento è utilizzato per correggere piccole imperfezioni come macchie, fratture, e spazi tra i denti. Il bonding è meno invasivo rispetto ad altri trattamenti e viene spesso scelto per il miglioramento estetico rapido, in quanto può essere completato in una singola seduta.
Che Differenza C’è Tra Resina e Composito?
Molti si chiedono se ci sia una differenza tra resina e composito, ma in realtà questi due termini si riferiscono a concetti molto simili, sebbene con alcune distinzioni importanti. La resina è il materiale di base utilizzato in molte applicazioni dentali, mentre il composito è una resina arricchita con filler minerali per aumentare la sua resistenza e durabilità. In odontoiatria, il termine “resina composita” si riferisce proprio alla resina che viene utilizzata per i restauri dentali e che, grazie ai filler, è più resistente e durevole rispetto alla semplice resina plastica.
Cosa Si Intende Per Materiale Composito?
Il materiale composito in odontoiatria è una combinazione di resine plastiche e particelle di materiali inorganici, come silice o quarzo. Questi materiali conferiscono alla resina composita una maggiore durezza, resistenza all’usura e una migliore adesione ai denti. Questo rende il composito ideale per i restauri dentali, che devono sopportare le forze masticatorie quotidiane.
Cos’è la Ricostruzione dei Denti con Composito?
La ricostruzione dei denti con composito è un trattamento che prevede l’applicazione di una resina composita sui denti danneggiati o compromessi. Il composito viene modellato per ripristinare la forma e la funzione del dente, spesso dopo la rimozione di una carie o in seguito a una scheggiatura. Questo trattamento è molto popolare grazie alla sua capacità di ottenere risultati estetici naturali e di lunga durata.
Vantaggi dei Denti in Resina Composita
I denti in resina composita offrono numerosi vantaggi, sia estetici che funzionali. Ecco alcuni dei principali benefici:
- Estetica naturale: Il composito si adatta perfettamente al colore naturale dei denti, offrendo un aspetto invisibile.
- Versatilità: Può essere utilizzato per una vasta gamma di applicazioni, come la riparazione di denti danneggiati, il trattamento delle cavità e la correzione di difetti estetici.
- Procedura non invasiva: A differenza di altri trattamenti, come le corone o le faccette, la ricostruzione in composito non richiede la rimozione significativa della struttura dentale.
- Costo contenuto: Rispetto a materiali come la ceramica o lo zirconio, la resina composita è una delle soluzioni più economiche per il restauro dei denti.
Quanto Durano i Denti in Resina Composita?
La durata dei denti in resina composita dipende da vari fattori, come l’uso, la manutenzione e la posizione del dente trattato. In generale, i restauri in composito possono durare dai 5 ai 10 anni, se mantenuti correttamente. I denti posteriori, che sono sottoposti a maggiori sollecitazioni masticatorie, potrebbero necessitare di una sostituzione più frequente rispetto a quelli anteriori.
Quanto Dura il Bonding Dentale?
Il bonding dentale può durare dai 3 ai 10 anni, a seconda dell’area trattata e delle abitudini del paziente, come la dieta e la cura orale. Il trattamento potrebbe necessitare di ritocchi periodici per mantenere i risultati estetici.
Costo della Ricostruzione in Composito
Uno degli aspetti più importanti da considerare prima di sottoporsi a un trattamento in composito dentale è il costo. La ricostruzione in composito è un’opzione molto più economica rispetto ad altri trattamenti estetici come le faccette in ceramica o le corone dentali. Il costo può variare in base alla gravità del danno, alla posizione del dente e alla complessità del trattamento.
Quanto Costa un’Otturazione in Composito?
Il costo di un’otturazione in composito può variare tra i 50 e i 250 euro, a seconda della zona del dente e della professionalità del dentista. Le otturazioni in composito sono una delle opzioni più economiche per il trattamento delle carie.
Quanto Costa la Resina per i Denti?
Il costo della resina per i denti dipende dalla quantità di materiale necessario, dalla zona trattata e dal tipo di composito utilizzato. In generale, la resina composita è una delle opzioni più accessibili sul mercato, con un prezzo medio che varia tra 100 e 300 euro per trattamento.
Differenza Tra Denti in Resina e Denti in Ceramica

Molti si chiedono quale sia la differenza tra denti in resina e denti in ceramica. Mentre entrambi offrono vantaggi estetici simili, la ceramica è generalmente più durevole e resistente alle macchie rispetto alla resina composita. Tuttavia, i denti in resina sono più economici e richiedono meno preparazione del dente, rendendoli una scelta più conveniente per chi cerca un restauro estetico rapido.
Confronto tra Denti in Resina e Denti in Ceramica: Qual è la Scelta Migliore?
La scelta tra denti in resina e denti in ceramica dipende dalle esigenze estetiche, dalla durata desiderata e dal budget del paziente. Mentre la ceramica è preferita per i restauri più duraturi, la resina composita è un’opzione ideale per trattamenti più economici e meno invasivi.
Tecniche di Applicazione e Procedura per Denti in Resina Composita
Quando si tratta di denti in resina composita, la tecnica di applicazione è fondamentale per garantire un risultato estetico e funzionale di qualità. Il processo di applicazione del composito dentale è relativamente semplice, ma richiede precisione e competenza da parte del dentista per ottenere un restauro naturale e duraturo. Di seguito esploreremo come avviene la ricostruzione con resina composita, le fasi principali e gli strumenti utilizzati per una corretta applicazione.
Come si Applica il Composito Dentale?
L’applicazione del composito dentale inizia con una valutazione del dente da trattare, seguito da una preparazione superficiale. Durante questa fase, il dentista può rimuovere eventuali carie o danni al dente, rendendo la superficie ruvida per favorire l’adesione del materiale composito. Il passo successivo è l’applicazione di un adesivo dentale che consente al composito di aderire saldamente alla superficie del dente.
- Il dentista selezionerà una resina composita del colore più simile possibile al dente naturale.
- Successivamente, il composito viene modellato direttamente sulla superficie del dente, e una luce a led viene utilizzata per indurirlo.
- Una volta indurito, il materiale viene levigato e lucidato per ottenere una superficie liscia, naturale e brillante.
Cos’è il Bonding Dentale per Denti Affollati?
Il bonding dentale è una tecnica particolarmente utile per i pazienti che presentano denti affollati o disallineati. In questo caso, il composito viene applicato in modo mirato per riempire gli spazi tra i denti o correggere i contorni dei denti che risultano malformati a causa di uno spazio eccessivo.
- Il composito viene modellato in modo da migliorare l’allineamento dei denti.
- Non richiede l’uso di apparecchi ortodontici e può essere eseguito in una singola seduta.
- Questa tecnica è ideale per correggere piccole imperfezioni nei denti anteriori, migliorando l’aspetto generale del sorriso.
Vantaggi e Svantaggi del Composito Dentale
Il composito dentale offre numerosi vantaggi, ma come ogni trattamento, presenta anche alcuni svantaggi. È importante essere consapevoli di entrambi prima di prendere una decisione.
Quali Sono i Vantaggi del Composito per i Denti?
I vantaggi del composito dentale sono molteplici e lo rendono una delle scelte preferite per chi desidera migliorare l’aspetto del proprio sorriso. Ecco i principali benefici:
- Estetica naturale: Il composito può essere facilmente adattato al colore naturale dei denti, rendendo il restauro invisibile.
- Procedura rapida e poco invasiva: La ricostruzione può essere completata in una sola seduta, senza necessità di interventi chirurgici invasivi.
- Costo contenuto: Rispetto a soluzioni come le faccette in ceramica o le corone, il composito è decisamente più economico.
- Durabilità: Sebbene non sia resistente come la ceramica, il composito è abbastanza resistente e durevole per trattamenti a breve e medio termine.
Quali Sono gli Svantaggi del Composito per i Denti?
Nonostante i numerosi vantaggi, il composito dentale ha anche alcuni svantaggi che potrebbero influenzare la sua scelta, come:
- Maggiore suscettibilità alle macchie: La resina composita può macchiarsi più facilmente rispetto alla ceramica, specialmente se il paziente consuma cibi e bevande come caffè o vino.
- Minore durata rispetto ad altri materiali: Sebbene durevole, il composito non ha la stessa longevità delle facette in ceramica o delle corone dentali in metallo-ceramica.
- Usura: Può consumarsi più rapidamente rispetto ad altri materiali, soprattutto se usato sui denti posteriori che sono sottoposti a forti pressioni masticatorie.
Tipi di Faccette Dentali in Resina Composita e Altri Materiali
Le faccette dentali sono sottili placchette applicate sulla superficie dei denti per migliorarne l’aspetto estetico. Sono un’opzione molto popolare per chi desidera correggere imperfezioni estetiche come la spaziatura eccessiva, i denti rovinati o i difetti di forma. Le faccette in resina composita sono una delle scelte più comuni, ma esistono anche altre varianti in ceramica o porcellana.
Faccette Dentali in Resina Composita: Cosa Sono e Come Funzionano?
Le faccette dentali in resina composita vengono costruite direttamente sulla superficie del dente dal dentista, modellando il materiale per ottenere un aspetto naturale e armonioso. Questo tipo di faccetta è ideale per piccole correzioni estetiche, come migliorare la forma dei denti anteriori o chiudere i piccoli spazi tra i denti.
- Vantaggi: Sono facili da applicare e meno costose rispetto alle faccette in ceramica.
- Svantaggi: Possono essere meno resistenti e più suscettibili alle macchie rispetto alle faccette in porcellana.
Faccette Dentali in Porcellana e Altri Materiali
Oltre alle faccette in resina composita, esistono anche faccette in porcellana e ceramica. Questi materiali sono più resistenti e duraturi, ma generalmente più costosi. Le faccette in ceramica offrono una traslucenza che le rende particolarmente simili ai denti naturali.
- Vantaggi: Maggiore durabilità e resistenza alle macchie rispetto alle faccette in resina.
- Svantaggi: Sono più costose e richiedono più tempo per essere applicate, dato che devono essere realizzate su misura in laboratorio.
La Manutenzione dei Denti in Resina Composita
Per garantire la lunga durata dei denti in resina composita, è essenziale adottare una corretta routine di cura e manutenzione. Mantenere i denti sani e puliti aiuta a preservare l’aspetto estetico dei restauri in composito e a prevenire eventuali danni.
Come Pulire i Denti in Resina?
La pulizia dei denti in resina non differisce molto da quella dei denti naturali. Ecco alcuni suggerimenti per mantenere il tuo sorriso brillante:
- Spazzola i denti almeno due volte al giorno con un dentifricio non abrasivo.
- Utilizza il filo interdentale per rimuovere la placca tra i denti.
- Evita l’uso di spazzolini troppo duri, che potrebbero danneggiare la superficie del composito.
Come si Toglie la Resina dai Denti?
Se la resina composita si danneggia o si usura nel tempo, potrebbe essere necessario rimuoverla e sostituirla. Il dentista può rimuovere la resina dai denti utilizzando strumenti professionali che non danneggiano la superficie dentale sottostante. Questo processo è indolore e può essere completato in una singola visita.
Confronto tra Denti in Resina Composita e Denti in Ceramica
Quando si tratta di scegliere il materiale giusto per i propri denti, sia per la ricostruzione che per l’estetica, è fondamentale capire le differenze tra denti in resina composita e denti in ceramica. Entrambe le soluzioni hanno i loro vantaggi, ma quale è la migliore per il tuo sorriso? Esploriamo insieme le differenze principali tra questi due materiali e quali sono i fattori da considerare nella scelta.
Che Differenza C’è Tra Denti in Resina e Denti in Ceramica?
La principale differenza tra denti in resina e denti in ceramica risiede nei materiali stessi e nelle loro proprietà ottiche e meccaniche. Mentre la resina composita è più economica e facilmente modellabile, la ceramica offre una maggiore resistenza e un aspetto più naturale.
- Resina composita: più economica, meno resistente e più suscettibile alle macchie nel tempo. È adatta per piccole ricostruzioni estetiche e per denti con poca usura.
- Ceramica: più costosa, ma estremamente resistente alle macchie e con un aspetto più simile al dente naturale. È ideale per faccette e corone dentali, particolarmente nelle aree visibili.
Che Differenza C’è Tra Composito e Ceramica?
La differenza principale tra composito e ceramica riguarda la composizione e l’uso in odontoiatria. Il composito è una resina sintetica che viene applicata e modellata direttamente sui denti, mentre la ceramica è un materiale più duro che viene fabbricato in laboratorio e applicato successivamente al dente.
- Composito: è più economico, ma meno resistente a lungo termine rispetto alla ceramica.
- Ceramica: è preferita per la sua durata, resistenza e aspetto esteticamente più naturale.
Durata delle Ricostruzioni in Resina Composita
Uno degli aspetti più rilevanti nella scelta del materiale per i restauri dentali è la durata. Quanto durano effettivamente i denti in resina composita rispetto ad altre soluzioni come le faccette in ceramica? Analizziamo la durata media dei denti in composito e cosa influenza la loro longevità.
Quanto Durano i Denti in Resina?
I denti in resina hanno una durata media che può variare dai 5 ai 10 anni, a seconda di vari fattori come la cura orale e le abitudini del paziente. Le otturazioni in composito tendono a durare meno rispetto alle soluzioni in ceramica, ma sono comunque un’opzione valida per correzioni estetiche a breve e medio termine.
- Durata media: tra i 5 e i 10 anni.
- Fattori che influenzano la durata: igiene orale, abitudini alimentari e abitudini di vita come il fumo.
Quanto Durano le Otturazioni in Composito?
Le otturazioni in composito sono una soluzione popolare per trattare le carie nei denti posteriori e anteriori. La loro durata dipende da vari fattori, ma in genere possono durare da 5 a 7 anni. Dopo questo periodo, potrebbe essere necessario sostituirle a causa di usura, macchie o danni.
- Durata media: da 5 a 7 anni.
- Fattori di usura: consumo di alimenti e bevande acide, fumo, e abrasione durante la masticazione.
Quanto Durano i Denti in Composito?
I denti in composito applicati per riparare i danni estetici o strutturali hanno una durata variabile. Come le otturazioni, la durata dipende dalla qualità del trattamento e dalla cura post-operatoria. Tuttavia, con un’adeguata manutenzione, i restauri in composito possono durare oltre 7 anni.
- Durata stimata: 7-10 anni con buona manutenzione.
- Manutenzione: spazzolare regolarmente i denti, evitare alimenti e bevande che macchiano e fare controlli periodici.
Costo della Ricostruzione dei Denti con Composito
Uno degli aspetti che spesso influisce sulla decisione di scegliere i denti in resina composita rispetto ad altri materiali è il costo. Quanto costa ricostruire un dente con composito? Vediamo i fattori che determinano il costo di questa procedura e cosa aspettarsi.
Quanto Costa Ricostruire un Dente con Composito?
Il costo per ricostruire un dente con composito può variare a seconda della gravità del danno e della posizione del dente. In media, il trattamento per un singolo dente può costare tra i 100 e i 250 euro. Questo lo rende un’opzione economica rispetto a trattamenti più invasivi come le faccette in ceramica o le corone.
- Costo medio: 100-250 euro per dente.
- Fattori che influenzano il costo: estensione della riparazione, posizione del dente, e esperienza del dentista.
Quanto Costa un’Otturazione in Composito?
Le otturazioni in composito sono meno costose rispetto ad altre soluzioni come le corone in metallo o ceramica. Il costo per un’otturazione in composito varia tra i 60 e i 150 euro, a seconda delle dimensioni e della posizione del danno. Questo tipo di trattamento è particolarmente vantaggioso per i denti anteriori, dove l’estetica è fondamentale.
- Costo medio: 60-150 euro.
- Adatto per: carie nei denti anteriori o in aree meno esposte della bocca.
Come Si Applica il Composito Dentale?

La procedura di applicazione del composito dentale è relativamente semplice e non invasiva. Questo trattamento permette di ripristinare i denti danneggiati senza la necessità di interventi complessi. Vediamo insieme i passaggi principali di come viene applicato il composito dentale.
Qual è il Processo di Applicazione del Composito Dentale?
L’applicazione del composito dentale è un processo che può essere eseguito in una sola visita dal dentista. Ecco i passaggi principali:
- Preparazione del dente: il dentista inizia preparando la superficie del dente danneggiato, rendendola ruvida per favorire l’adesione del composito.
- Applicazione dell’adesivo: un primer viene applicato al dente per assicurarsi che la resina aderisca correttamente.
- Stesura del composito: una volta preparato il dente, il composito viene modellato direttamente sulla superficie dentale, adattandolo alla forma desiderata.
- Indurimento con luce UV: per indurire il materiale e garantirne la resistenza, viene utilizzata una luce UV o LED.
- Rifinitura e lucidatura: una volta che il composito è indurito, il dentista rifinisce e lucida il restauro per ottenere un aspetto naturale e levigato.
Cos’è il Bonding Dentale e Come Si Esegue?
Il bonding dentale è una tecnica che utilizza la resina composita per riparare e migliorare l’aspetto dei denti. Viene spesso usato per risolvere problemi estetici come denti scheggiati, macchiati o con spazi tra di loro. Ecco come si esegue:
- Applicazione della resina: il dentista applica una resina che si fonde con il dente naturale, migliorando la forma e il colore.
- Indurimento e modellatura: il materiale viene indurito con una luce speciale e modellato per perfezionare il dente.
- Rifinitura e lucidatura: infine, il restauro viene rifinito e lucidato per un risultato finale impeccabile.
Cos’è la Ricostruzione dei Denti con Composito?
La ricostruzione dei denti con composito è un processo che prevede l’uso di resina composita per ripristinare la forma e la funzione di un dente danneggiato. È una soluzione ideale per risolvere danni estetici o strutturali di piccola o media entità. La procedura include l’applicazione e la modellatura della resina, che viene successivamente indurita per garantire resistenza e longevità.
- Ripristino della forma: il composito viene modellato per assomigliare alla forma naturale del dente.
- Estetica migliorata: la resina composita si abbina perfettamente al colore naturale dei denti, garantendo un risultato estetico ottimale.
Differenze tra Denti in Resina e Denti in Ceramica
Le faccette dentali e i restauri in composito dentale sono spesso confrontati con quelli in ceramica. Sebbene entrambi possiedano vantaggi estetici, le differenze tra questi materiali possono influenzare la scelta del trattamento da parte del paziente. Esploriamo queste differenze.
Che Differenza C’è tra Denti in Resina e Denti in Ceramica?
La differenza principale tra i denti in resina e quelli in ceramica riguarda la composizione e la durabilità. La ceramica è un materiale più resistente e durevole, ma tende a costare di più rispetto alla resina.
- Resina: meno costosa, ma può subire più danni nel tempo rispetto alla ceramica. È ideale per piccoli interventi o denti che non subiscono stress elevato.
- Ceramica: più resistente, duratura e con un aspetto più naturale, ma più costosa. È la scelta preferita per i denti visibili e per trattamenti a lungo termine.
Che Differenza C’è Tra Composito e Ceramica?
Il composito dentale e la ceramica si differenziano anche per la tecnica di applicazione e il tipo di risultato che offrono:
- Composito: applicato direttamente sui denti dal dentista, richiede meno tempo per la procedura e una preparazione meno invasiva.
- Ceramica: viene realizzata in laboratorio, richiedendo più tempo e, spesso, una seconda visita. Tuttavia, la ceramica offre risultati più resistenti e naturali.
Quando Scegliere i Denti in Resina?
I denti in resina composita sono ideali per chi cerca una soluzione economica e rapida per correggere danni estetici o funzionali ai denti. Sono particolarmente indicati per trattamenti su denti che non sono esposti a forti sollecitazioni, come quelli anteriori.
- Vantaggi: rapido, economico, adatto per piccole riparazioni.
- Svantaggi: meno duraturo rispetto alla ceramica e più suscettibile alle macchie.
Quando Scegliere i Denti in Ceramica?
I denti in ceramica sono la scelta migliore per chi desidera una soluzione a lungo termine, soprattutto per i denti posteriori o quelli molto visibili. Offrono un aspetto più naturale e sono più resistenti alle macchie.
- Vantaggi: elevata durata, aspetto naturale, resistenza alle macchie.
- Svantaggi: costo più elevato, necessità di una preparazione più invasiva.
Manutenzione e Cura dei Denti in Resina Composita
Come ogni altro trattamento odontoiatrico, i denti in resina composita richiedono una corretta manutenzione per garantire una lunga durata. Ecco alcuni consigli su come prendersi cura dei propri denti in resina e mantenere il sorriso sano.
Come Pulire i Denti in Resina?
La pulizia dei denti in resina è fondamentale per mantenerli in buone condizioni nel tempo. Ecco alcuni suggerimenti:
- Spazzolamento regolare: utilizzare uno spazzolino morbido per evitare danni al materiale composito.
- Dentifricio non abrasivo: scegliere un dentifricio delicato per evitare di danneggiare la superficie del composito.
- Visite regolari dal dentista: controlli periodici per rimuovere eventuale placca e tartaro.
Come Si Togliere la Resina dai Denti?
Rimuovere la resina dai denti è un’operazione che deve essere effettuata dal dentista. La resina composita può essere rimossa in modo sicuro tramite strumenti odontoiatrici, evitando danni ai denti naturali.
- Rimozione professionale: solo un dentista può rimuovere la resina senza danneggiare il dente sottostante.
Perché Si Fanno i Denti di Resina?
I denti di resina sono scelti per riparare danni estetici, correggere la forma e migliorare l’aspetto dei denti. Sono una soluzione rapida e poco invasiva per restauri dentali che non richiedono trattamenti complessi.
- Vantaggi estetici: ottimi per piccole correzioni estetiche.
- Velocità e costo: rapidi da applicare e relativamente economici.
Costo dei Denti in Resina Composita
Quando si parla di denti in resina composita, è essenziale considerare il costo del trattamento. Sebbene la resina composita rappresenti una soluzione economica rispetto ad altri trattamenti dentali, il prezzo può variare in base a diversi fattori. Analizziamo i costi legati alla ricostruzione dentale con composito e ad altre applicazioni di resina.
Quanto Costa Ricostruire un Dente con Composito?
Il costo di una ricostruzione dentale in composito dipende da vari fattori, tra cui:
- La posizione del dente: i denti posteriori, che sono sottoposti a maggiore pressione, possono richiedere una resina di maggiore qualità e, quindi, un costo superiore.
- La complessità del trattamento: se la ricostruzione richiede più interventi o una modellatura più complessa, il prezzo sarà più alto.
- L’esperienza del dentista: un dentista esperto nel trattamento con composito dentale potrebbe far lievitare il costo del trattamento.
In generale, il costo per la ricostruzione di un dente in resina composita può variare tra 100 e 250 euro per dente, a seconda dei fattori sopra menzionati.
Quanto Costa un’Otturazione in Composito?
Le otturazioni in composito sono una soluzione comune per riparare i denti danneggiati da carie. Questo trattamento è spesso più economico rispetto alle otturazioni in amalgama o in ceramica. Tuttavia, anche in questo caso, il costo dipende da diversi fattori, come la dimensione della cavità e la posizione del dente.
- Costo medio: una otturazione in composito può costare tra 70 e 200 euro, in base alla zona trattata e alla complessità dell’intervento.
Quanto Costa Mettere la Resina sui Denti?
La resina composita viene utilizzata anche per migliorare l’aspetto dei denti, specialmente in caso di difetti estetici. Applicare la resina sui denti per correggere macchie, scheggiature o forme irregolari può costare tra 150 e 500 euro, a seconda della quantità di materiale utilizzato e del numero di denti trattati.
- Variazioni di costo: se la resina viene utilizzata per trattamenti su più denti, il costo totale può aumentare significativamente.
Quanto Costa il Bonding Dentale?
Il bonding dentale è un altro trattamento che utilizza resina composita per migliorare l’estetica dei denti, correggendo imperfezioni come macchie, fessure o denti rotti. In genere, il bonding dentale è un trattamento meno costoso rispetto alle faccette dentali o alle corone dentali.
- Costo medio del bonding dentale: tra 100 e 400 euro per dente, a seconda della zona trattata e della quantità di lavoro necessario.
Cosa Influisce sul Prezzo dei Denti in Resina?
Alcuni fattori che possono influenzare il prezzo dei denti in resina includono:
- Materiale utilizzato: la qualità della resina composita influisce sul costo. I compositi più resistenti e con migliori proprietà estetiche tendono a costare di più.
- Area geografica: i costi possono variare in base alla località e alla zona in cui il trattamento viene effettuato.
- Tipo di trattamento: trattamenti complessi, come la ricostruzione di denti posteriori o la correzione di problemi estetici gravi, possono aumentare il prezzo.
Manutenzione e Cura dei Denti in Resina Composita
Una delle domande più comuni riguardo ai denti in resina composita riguarda la manutenzione necessaria per garantire che il trattamento duri nel tempo. È fondamentale prendersi cura dei denti in resina per mantenere la loro estetica e funzionalità nel tempo.
Come Pulire i Denti in Resina?
La pulizia dei denti in resina non è complicata, ma è essenziale seguire alcune semplici linee guida per preservare l’integrità della resina composita.
- Spazzolatura quotidiana: utilizzare uno spazzolino con setole morbide per evitare di danneggiare la superficie della resina.
- Dentifricio non abrasivo: scegliere dentifrici delicati che non contengano ingredienti abrasivi.
- Visite regolari dal dentista: fare controlli periodici per rimuovere placca e tartaro che potrebbero compromettere l’adesione e l’estetica della resina.
Come Si Togliere la Resina Dai Denti?
Rimuovere la resina composita dai denti non è un processo che può essere fatto autonomamente. Questo intervento deve essere eseguito dal dentista, che utilizza strumenti specifici per evitare di danneggiare il dente sottostante. È importante evitare tentativi fai-da-te, poiché potrebbero compromettere il dente e il trattamento.
- Rimozione professionale: solo un dentista può rimuovere la resina in modo sicuro senza danneggiare il dente naturale.
Perché Si Fanno i Denti di Resina?
I denti in resina vengono scelti per una varietà di motivi, principalmente estetici e funzionali. La resina composita è un materiale versatile che può essere utilizzato per riparare, modellare e migliorare i denti, correggendo difetti estetici come macchie, fessure e denti irregolari.
- Vantaggi estetici: i denti in resina si adattano facilmente al colore naturale dei denti, offrendo un risultato naturale e armonioso.
- Vantaggi funzionali: la resina può essere utilizzata per ripristinare la forma e la funzione di denti danneggiati o scheggiati, ripristinando la capacità masticatoria.
Faccette Dentali in Resina Composita e Altri Materiali
Le faccette dentali sono una soluzione molto popolare per migliorare l’aspetto del sorriso. Oggi, molte persone scelgono le faccette in resina composita per correggere piccoli difetti estetici, ma ci sono anche altre opzioni, come quelle in porcellana e in ceramica. Scopriamo insieme le differenze tra i vari tipi di faccette e quali sono i pro e i contro di ognuna.
Cosa Sono le Faccette Dentali in Resina Composita?
Le faccette dentali in resina composita sono sottili strati di materiale che vengono applicati sulla superficie dei denti per migliorarne l’aspetto estetico. Questo trattamento è ideale per correggere difetti come:
- Denti macchiati o scoloriti.
- Denti scheggiati o con fessure.
- Denti con forme irregolari o con spazi eccessivi.
Le faccette in resina composita offrono un’alternativa economica rispetto alle faccette in porcellana o ceramica, ma tendono ad avere una durata inferiore.
Vantaggi e Svantaggi delle Faccette in Resina Composita
Vantaggi delle Faccette in Resina Composita
- Costo inferiore rispetto a ceramica o porcellana.
- Procedura veloce: la maggior parte delle faccette in resina composita può essere applicata in una sola seduta.
- Minore invasività: spesso non è necessario limare eccessivamente il dente.
- Estetica naturale: la resina si adatta bene al colore naturale dei denti.
Svantaggi delle Faccette in Resina Composita
- Durata più breve: rispetto alla porcellana o ceramica, le faccette in resina tendono a durare meno, con una durata media di circa 5-7 anni.
- Più soggette a macchie: la resina composita può assorbire più facilmente pigmenti da cibi e bevande rispetto ad altri materiali.
- Minor resistenza agli urti: le faccette in resina sono meno resistenti a danni rispetto alle faccette in ceramica.
Differenza tra Faccette in Resina Composita e in Porcellana
Le faccette in porcellana sono realizzate in un materiale più resistente e durevole rispetto alla resina composita. Mentre entrambe le soluzioni sono esteticamente valide, le faccette in porcellana offrono alcuni vantaggi significativi:
- Durabilità superiore: le faccette in porcellana possono durare fino a 10-15 anni.
- Resistenza alle macchie: la porcellana non assorbe i pigmenti come la resina.
- Maggiore resistenza agli urti e ai graffi.
Tuttavia, le faccette in resina hanno il vantaggio di essere più economiche e meno invasive, come abbiamo visto in precedenza.
Faccette Dentali in Resina Microibride e Ibride
Oltre alla resina composita standard, ci sono anche varianti come le faccette in resina microibride e le faccette ibride. Questi materiali combinano resina con particelle di ceramica per ottenere una maggiore resistenza e estetica.
- Faccette in resina microibride: queste offrono una maggiore resistenza agli urti e una migliore estetica rispetto alla resina composita standard, ma sono meno durevoli rispetto alle faccette in ceramica.
- Faccette dentali ibride: combinano le proprietà della ceramica e della resina, offrendo una durata e un’estetica superiori rispetto alle faccette in resina pura.
Quanto Durano le Faccette in Resina?
Le faccette dentali in resina hanno una durata media di circa 5-7 anni, ma la durata può variare in base a diversi fattori:
- Abitudini alimentari: evitare cibi e bevande che macchiano i denti può prolungare la vita delle faccette.
- Cura dentale: una buona igiene orale può prevenire danni alle faccette e prolungarne la durata.
- Fattori individuali: la durata può variare in base all’usura e alle abitudini quotidiane, come il bruxismo.
Come si Applicano le Faccette in Resina?
L’applicazione delle faccette dentali in resina è un processo relativamente semplice:
- Preparazione del dente: viene eseguita una leggera abrasione per migliorare l’adesione.
- Scelta del colore: il dentista sceglie il colore della resina che si adatta meglio ai denti naturali.
- Applicazione della resina: la resina composita viene applicata e modellata direttamente sui denti.
- Indurimento: viene utilizzata una luce speciale per indurire la resina.
- Finitura: infine, la faccetta viene levigata e lucidata per ottenere un aspetto naturale.
Tecniche e Procedura di Applicazione delle Resine Composite

Le resine composite sono un materiale fondamentale nelle ricostruzioni dentali, soprattutto per le ricostruzioni dentali anteriori. Queste tecniche sono apprezzate per la loro velocità, efficacia e il risultato estetico naturale. Scopriamo come si applicano e quali sono le tecniche più comuni utilizzate in odontoiatria per ottenere un sorriso perfetto con le resine composite.
Come si Applica il Composito Dentale?
L’applicazione del composito dentale avviene in diverse fasi, che permettono di ottenere un risultato esteticamente simile ai denti naturali. La procedura si articola nei seguenti passaggi:
- Preparazione del dente: Il dentista rimuove qualsiasi parte danneggiata del dente, come la carie. A volte può essere necessaria una leggera limatura della superficie per migliorare l’adesione della resina.
- Applicazione di un primer: Viene applicato un primer che permette alla resina composita di aderire correttamente al dente.
- Stratificazione della resina: La resina viene applicata in strati sottili che vengono modellati per ricostruire la forma del dente.
- Indurimento con luce LED: Ogni strato di resina viene indurito con una luce speciale a LED, che rende la resina durevole e resistente.
- Finitura e lucidatura: Una volta che la resina è indurita, il dentista esegue la lucidatura per ottenere una superficie liscia e brillante, simile a quella naturale dei denti.
Questa tecnica è molto apprezzata poiché consente di completare l’intervento in una sola seduta, con un tempo di applicazione che varia dai 30 ai 60 minuti per dente.
Cos’è il Bonding Dentale?
Il bonding dentale è una tecnica utilizzata per applicare resina composita su denti danneggiati o per migliorare l’aspetto estetico del sorriso. È una soluzione rapida e minimamente invasiva, molto adatta per riparazioni di piccole dimensioni o per correggere difetti come:
- Fessure nei denti anteriori.
- Macchie sui denti.
- Denti scheggiati.
La resina applicata viene indurita tramite una luce speciale, dopodiché il dentista modellerà il materiale per adattarlo alla forma del dente. È una tecnica molto versatile e può essere utilizzata anche per chiudere gli spazi tra i denti.
Bonding Dentale per la Riparazione dello Smalto dei Denti
Il bonding dentale è anche molto efficace per riparare lo smalto dei denti che è stato danneggiato a causa di traumi o dell’usura naturale. La resina composita viene applicata direttamente sulla superficie del dente per ripristinare lo smalto e migliorare l’estetica del sorriso. Questo processo è utile per:
- Ripristinare l’aspetto naturale dei denti.
- Rafforzare lo smalto senza necessità di utilizzare corone o faccette.
- Migliorare la funzionalità dei denti danneggiati.
Il risultato finale è un sorriso perfetto, senza la necessità di trattamenti invasivi o costosi.
La Stratificazione delle Resine Composite nelle Ricostruzioni Anteriori
La stratificazione delle resine composite è una tecnica fondamentale nelle ricostruzioni dentali anteriori, dove è essenziale ottenere un aspetto naturale. Durante la stratificazione, i dentisti applicano più strati di resina per replicare le caratteristiche naturali del dente, come:
- Translucenza: La luce deve attraversare il dente per creare un aspetto naturale.
- Saturazione del colore: Ogni strato di resina ha una tonalità diversa che si adatta alla dentina sottostante e allo smalto.
- Luminosità: La stratificazione aiuta a mantenere la brillantezza naturale del dente, evitando che il restauro appaia troppo opaco.
Questo approccio assicura che il restauro si integri perfettamente con il dente naturale, senza comprometterne l’aspetto estetico.