
Table of Contents
ToggleKey Takeaways
-
- Healthy gums are essential for a strong smile and linked to overall body health.
-
- Signs of healthy gums include a pink color, firm texture, and no bleeding during brushing or flossing.
-
- Poor gum health is associated with conditions like heart disease and diabetes.
-
- Preventing gum disease is largely possible with consistent daily oral hygiene (brushing and flossing).
-
- Regular dental check-ups are crucial for early detection and professional cleaning.
-
- Even if gums aren’t healthy currently, early issues like gingivitis are often reversible with proper care and professional help.
- A balanced diet and managing overall health (like exercise) can support gum health.
What Are Healthy Gums and How Can You Tell?
Okay, let’s talk gums. They’re more than just the pink backdrop for your pearly whites; they’re the vital foundation, the unsung heroes holding everything together. But what are healthy gums, really? And perhaps more importantly for you, how do you know if yours are in tip-top shape? At its core, a healthy gum is a resilient, well-nourished tissue that forms a snug, protective seal around your teeth. Think of them as the guardians of your tooth roots, defending against invaders like bacteria. Their appearance, their texture, their overall condition – these aren’t just minor details; they are crucial indicators, a frontline report on your oral health. Learning to recognize these signs is absolutely the essential first step on your journey to maintaining not just a bright smile, but robust oral health for the long haul. This isn’t rocket science, but it is fundamental self-care. So, let’s peel back the curtain and look at what ‘healthy’ actually looks like and feels like in your mouth. It’s surprisingly simple once you know what you’re observing, turning a quick glance in the mirror into a proactive health check. Understanding these basics empowers you, shifting from passive hope to active management of your mouth’s well-being.
How to Tell if Your Gums are Healthy?
So, you want to give your gums a quick health check? It’s straightforward, honestly. The easiest and most actionable guide involves a good look in the mirror, maybe with a small light. Start by simply looking. Are they a consistent color? Do they look swollen or puffy anywhere? Then, gently feel them with a clean finger. Do they feel firm, or are they soft and spongy? When you brush or floss, do they bleed easily? Healthy gums typically don’t bleed when you brush or floss correctly. Another method to assess gum health at home is simply paying attention during your daily routine. Notice any persistent bad taste or odour that isn’t explained by what you’ve just eaten? Are any teeth feeling a little loose? These are all potential indicators. Checking for recession – where the gum seems to be pulling away from the tooth, making the tooth look longer – is also key. A simple self-examination involves checking the color, texture, and whether they bleed. It’s your personal, early warning system, incredibly valuable in catching potential issues before they escalate into bigger problems.
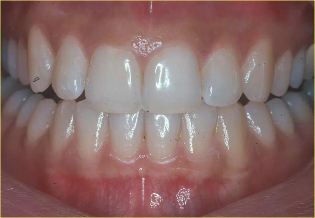
What is the Color of Healthy Gums?
Ah, the color! This is one of the most telling signs. The typical color range for healthy gum tissue is usually a lovely shade of pink. This can vary slightly from a pale pink to a slightly deeper pink, depending on an individual’s natural pigmentation, much like skin tone varies. Crucially, this uniform pinkness indicates good blood flow and, critically, a lack of inflammation. When gums are inflamed, they often turn red, sometimes a bright, angry red, due to increased blood flow rushing to fight off irritation or infection. Other colors can signal different issues: paleness might suggest anaemia, while a purplish hue could indicate poor circulation or more advanced gum disease. So, while “pink” is the general answer, it’s about a consistent, non-inflamed pink that hugs your teeth without redness or discoloration around the edges. Keep an eye on that color; it’s your gums’ way of talking to you, loudly and clearly.
Are Healthy Gums Soft or Firm?
Beyond color, texture tells a story. Healthy gum tissue should feel firm and resilient to the touch. Think of a healthy apple – firm, not mushy. They should fit snugly around each tooth, like a well-tailored collar, without gaps or looseness. This firmness and tight fit are vital barriers against bacteria trying to sneak down to the tooth roots. When gums are soft, swollen, or puffy, it’s usually a red flag waving frantically. Soft, swollen gums often indicate inflammation, a common symptom of gingivitis, the early stage of gum disease. They might feel tender and can be prone to bleeding. So, when you’re doing your visual check, a gentle press can give you valuable information. Firm is your friend; soft and puffy means it’s time to pay closer attention. These simple checks – colour and texture – are powerful tools in your oral health arsenal.
Why Do Healthy Gums Matter So Much for Overall Health?
Prepare for a revelation: the health of your gums isn’t confined to your mouth; it’s astonishingly, deeply linked to your entire body’s well-being. This concept, often referred to as the “healthy gums and healthy body” connection, is gaining significant traction in the medical and dental communities, and for good reason. Your mouth is not an isolated island; it’s a gateway, a vital part of a complex system. When your gums are unhealthy, particularly if you have gum disease (periodontal disease), it’s not just a local infection. The inflammation and bacteria in your mouth can enter your bloodstream and travel throughout your body, potentially affecting distant organs and systems. This isn’t just theoretical; research has established known or strongly suspected links between poor gum health and a surprising array of systemic conditions.
Consider the heart. Chronic inflammation from gum disease has been associated with an increased risk of heart disease, including atherosclerosis (hardening of the arteries), strokes, and bacterial endocarditis. It’s thought that the inflammation itself, or bacteria from the mouth, can contribute to plaque buildup in arteries. Diabetes is another condition with a strong two-way relationship with gum disease. People with diabetes are more susceptible to gum disease, and severe gum disease can make it harder to control blood sugar levels. It’s a challenging cycle. Respiratory diseases like pneumonia can also be linked; inhaling bacteria from infected gums into the lungs is a potential pathway. For expectant mothers, severe gum disease has been associated with premature birth and low birth weight. Other conditions potentially influenced include rheumatoid arthritis, kidney disease, and even cognitive decline.
Emphasizing that addressing gum issues can significantly contribute to overall well-being is not an exaggeration; it’s a crucial health message. Maintaining healthy gums reduces the chronic inflammatory burden on your body and lessens the risk of oral bacteria entering your circulation. It’s a proactive step towards protecting your cardiovascular health, managing chronic conditions, and supporting a healthier pregnancy. Thinking about your gum health not just for your smile, but as an integral piece of your total health puzzle, fundamentally shifts your perspective and highlights just how important that daily brushing and flossing truly are. It’s compelling proof that small, consistent actions in one part of your body can have profound positive ripple effects throughout your entire system. Your gums are silent sentinels, and keeping them healthy is an investment in your health, head to toe.
How Can You Keep Your Gums Healthy and Prevent Gum Disease?
Alright, you’ve seen why keeping your gums healthy is non-negotiable – for your smile and your body. Now, let’s get down to the actionable part: prevention and maintenance. The good news? Avoiding issues like gingivitis and the more serious periodontal disease is largely within your control. Think of this section as your essential guide to proactive gum care. The secret sauce? Consistency and diligence. Proper oral care isn’t a sometimes thing; it’s an every single day thing. It’s the absolute crucial role of proper oral care that forms the bedrock of preventing gum issues from taking root in the first place. We’re talking simple, proven habits that stack the odds heavily in your favour, keeping those gum guardians strong and effective in their protective duties.
What Are the Best Tips for Maintaining Optimum Gum Health?
Let’s distill it down to the essentials, drawing from the collective wisdom of countless dental professionals. The absolute best tips for maintaining optimum gum health start with the fundamentals. Firstly, brush your teeth twice a day for two minutes each time. Use a soft-bristled brush and gentle, circular motions, paying attention to the gum line. Don’t scrub aggressively; that can actually harm your gums. Secondly, and this is non-negotiable, floss daily. Flossing removes food particles and plaque from between teeth and under the gum line where your toothbrush can’t reach – precisely where gum disease often starts. Think of it as cleaning the 35% of your tooth surfaces that brushing misses. Regular dental check-ups and professional cleanings are also paramount. Your dentist or hygienist can spot early signs of trouble you might miss and remove hardened plaque (calculus) that regular brushing can’t budge. Beyond the daily routine, habits matter. Staying hydrated by drinking plenty of water helps wash away food particles and bacteria. And this is a big one: avoid smoking or using other tobacco products. Smoking is a major risk factor for severe gum disease and hinders healing. Eating a balanced diet low in sugar also helps starve the bacteria that cause plaque.
Can You Prevent Periodontal Disease?
Direct answer: Yes, preventing periodontal disease is largely possible with proper care. Periodontal disease usually starts as gingivitis, which is the early, milder stage characterized by inflamed, bleeding gums. The fantastic news here is that gingivitis is often reversible with improved oral hygiene – brushing, flossing, and professional cleaning. If left unchecked, gingivitis can progress to periodontitis, where the gums pull away from the teeth, forming infected pockets, and bone and tissue supporting the teeth are destroyed. This stage is often not reversible, but its progression can frequently be stopped or managed with professional treatment and rigorous home care. So, by diligently following the tips above – consistent brushing, daily flossing, and regular dental visits – you dramatically reduce your risk of developing gingivitis and can often prevent it from ever progressing to the more damaging periodontal disease. It’s about being proactive and consistent.
Can Exercise Help Prevent Gum Disease?
You might wonder, what does hitting the gym have to do with your mouth? More than you might think! While exercise doesn’t directly clean your teeth, there’s a fascinating potential link between general physical health, including regular exercise, and gum health. How? Exercise is a powerful tool for reducing inflammation throughout the entire body. Since gum disease is fundamentally an inflammatory condition, reducing systemic inflammation through physical activity may indeed benefit gum tissue and make it less susceptible to disease or help it heal better. Furthermore, maintaining a healthy weight through exercise can reduce risk factors associated with severe gum disease. Conditions like obesity and metabolic syndrome are linked to higher rates and severity of periodontitis, and exercise helps manage these. So, adding regular physical activity to your routine is another excellent way to support your overall health, and that includes giving your gums an indirect, but valuable, boost. Your whole body benefits from movement, and your gums are part of that package.
How to Make Your Gums Healthy If They Aren’t Already?
Okay, let’s say you’re looking in the mirror, and maybe the color isn’t that perfect pink, or they feel a bit soft. Don’t despair! The great news is that in many cases, early gum problems, particularly gingivitis, are reversible. It’s not a lost cause. The goal now shifts slightly from pure prevention to restoration, but the principles remain fundamentally similar – it’s about removing the irritants causing the problem and creating an environment where your gums can heal and thrive. So, if you’re asking, “How can I make my gums healthy?” – know that it’s often possible, and the approach involves stepping up your oral care game and potentially seeking professional guidance.
How to Make Gums Stronger?
Making your gums stronger is really about making them healthier and more resilient to irritation and infection. It’s less about building ‘muscle’ and more about promoting circulation and keeping them free from plaque and bacteria. The absolute best way to build resilience in gum tissue is through consistent, proper brushing and flossing. This daily routine not only removes harmful plaque but the act itself, when done gently, stimulates the gum tissue, which can help improve circulation. Think of it as a gentle workout for your gums. Nutritional support also plays a role; a diet rich in vitamins, especially Vitamin C (crucial for tissue repair) and Vitamin D (important for bone health, which supports teeth and gums), can help your gums stay robust. Avoiding habits that can weaken gums, like smoking or excessive sugar intake, is also key. It’s a holistic approach focusing on cleanliness, circulation, and nutrition.
How to Increase Blood Flow to Gums?
Good circulation is vital for healthy gum tissue, delivering oxygen and nutrients and carrying away waste products. One gentle technique to increase blood flow to gums is careful gum massage. You can use a soft toothbrush or even your finger to gently massage the gum line in small, circular motions. Consistent brushing and flossing themselves also significantly boost circulation by removing plaque and stimulating the tissues. Some people find that rinsing with specific types of mouthwashes designed for gum health, perhaps containing ingredients that promote circulation or have antibacterial properties (like those mentioned under the “Active Gum Health” umbrella), can also contribute, though mouthwash should never replace brushing and flossing. Keeping your body generally healthy and active, as we discussed with exercise, also contributes to better overall circulation, benefiting your gums along with everything else.
What Foods and Drinks Are Good for Gum Health?
Your diet is a surprisingly powerful ally in the fight for healthy gums. Introduce the concept of a “gum-friendly diet” – it’s less about strict rules and more about making smart choices. Crunchy fruits and vegetables like apples, carrots, and celery are fantastic; they act like natural toothbrushes, helping to clean teeth and stimulate gums as you chew. Leafy greens like spinach and kale are packed with vitamins and minerals, including Vitamin C and calcium, both essential for gum and bone health. Foods rich in Vitamin C (citrus fruits, strawberries, bell peppers) are crucial for repairing connective tissue, including gum tissue. Calcium-rich foods (dairy, fortified plant milks, almonds, leafy greens) are vital for jawbone density, which supports your teeth and gums. As for specific questions: “Is milk good for gums?” Yes, milk is good primarily because it’s an excellent source of calcium, vital for strong bones supporting your teeth. “Is tea good for gums?” Many teas, especially green tea, contain antioxidants called catechins, which can help fight inflammation and the bacteria that cause gum disease. Some teas also contain fluoride, which strengthens tooth enamel. So, think colourful, crunchy, calcium-rich, and antioxidant-packed – a delicious way to support your gum health!
Caring For Your Teeth and Gums: The Daily Routine
Let’s get practical. Since your teeth and gums live side-by-side, intimately connected and mutually dependent, their care should be a combined effort – a seamless daily routine. This section outlines the fundamental, non-negotiable steps that form the backbone of effective oral hygiene. Consistency and thoroughness are the watchwords here. Skipping steps or rushing through them is like leaving the back door open for trouble to walk right in. A comprehensive daily oral hygiene routine isn’t a chore; it’s a vital investment of a few minutes each day that pays dividends in preventing decay, gum disease, bad breath, and ultimately, costly dental problems down the line. It’s about establishing habits that protect your smile and your health for years to come.
So, what does this routine look like? It starts, as you know, with brushing. Aim for twice a day, morning and night, for a full two minutes each time. Use a fluoride toothpaste – fluoride is your tooth’s best friend in fighting decay. When brushing, angle the brush bristles at about 45 degrees towards the gum line. Use gentle, short strokes, cleaning the outer surfaces, the inner surfaces, and the chewing surfaces of your teeth. Don’t forget to gently brush your tongue or use a tongue scraper to remove bacteria that cause bad breath. Then comes flossing. This should be done at least once a day, ideally before bedtime. Take about 18 inches of floss, wrap most of it around your middle fingers, leaving an inch or two to work with. Gently slide the floss between your teeth using a sawing motion. Curve the floss into a ‘C’ shape against one tooth and gently slide it below the gum line. Move it up and down a few times to scrape away plaque. Repeat on the adjacent tooth. Use a clean section of floss for each tooth. Yes, it takes a little practice, but it’s indispensable. Including tips for choosing appropriate tools is also helpful; opt for a toothbrush with soft bristles – these are effective at cleaning without damaging gums or enamel. The size should allow you to easily maneuver around your mouth, reaching all tooth surfaces and the gum line comfortably. Whether it’s a manual or electric brush, ensure the bristles are soft and you replace it every 3-4 months, or sooner if the bristles are frayed. The key is technique and consistency. An electric toothbrush can be particularly helpful for some in maintaining a consistent pressure and ensuring you brush for the full two minutes. This combined focus on teeth and gums, executed daily with diligence, is the most powerful tool you have in your oral health arsenal.
What Products and Methods Can Help With Gum Care?
Beyond the fundamental brush-and-floss routine, a range of tools and products are available to support gum health. Think of them as valuable reinforcements, designed to tackle specific challenges or offer extra protection. While they don’t replace the basics, they can definitely enhance your efforts. This section explores some of these aids and methods, helping you navigate the options available to supplement your daily care and keep those gums in prime condition. From selecting the right paste to understanding the role of rinses, there are products specifically designed with your gum health in mind.
Choosing the Right Toothpaste and Toothbrush for Gum Health?
Selecting the right tools is crucial. When it comes to toothpaste, look for those specifically formulated for gum health. Many contain ingredients designed to reduce plaque and inflammation along the gum line. Fluoride is non-negotiable for protecting against cavities, which can indirectly affect gums if decay spreads. Some gum health toothpastes might include antibacterial agents like stannous fluoride or other compounds aimed at targeting the bacteria responsible for gingivitis. As for the toothbrush, we’ve touched on it, but it bears repeating: soft bristles are paramount. Medium or hard bristles can actually erode enamel and damage delicate gum tissue, leading to recession over time. Look for a toothbrush head size that allows you to easily maneuver around your mouth, reaching all tooth surfaces and the gum line comfortably. Whether it’s a manual or electric brush, ensure the bristles are soft and you replace it every 3-4 months, or sooner if the bristles are frayed. The right tools make the job easier and more effective.
Should You Use Mouthwash for Gum Health?
Mouthwash can be a helpful addition to your routine, but it’s essential to understand its role: it’s a supplement, not a substitute, for brushing and flossing. Think of it as a rinse that can reach areas brushing and flossing might miss, reduce bacteria, or provide therapeutic benefits. For gum health, specific mouthwashes are available. Some, like those mentioned under the banner of “Active Gum Health,” might contain antiseptic ingredients that kill bacteria contributing to plaque and gingivitis. Others might contain fluoride for extra cavity protection or simply help wash away food particles. If you have persistent bad breath linked to bacteria, a mouthwash can also help freshen things up. However, mouthwash doesn’t physically remove the sticky plaque film the way brushing and flossing do. So, use it after you’ve mechanically cleaned your teeth and gums. Your dentist might recommend a specific type of mouthwash depending on your individual needs or if you’re dealing with gingivitis. Always follow the instructions on the bottle and consider discussing your choice with your dental professional.
When Should You Consult Experts in Gum Care?
While home care is foundational, regular check-ups with your dentist and dental hygienist are non-negotiable. They are your primary “Experts in Gum Care.” They can perform thorough cleanings, spot problems you can’t see (like bone loss on X-rays), and provide personalized advice. But when should you consult them sooner than your scheduled check-up? A list of signs or symptoms that indicate a need to see a dentist includes: gums that bleed easily when brushing or flossing, red, swollen, or tender gums, gums that are pulling away from your teeth (receding), persistent bad breath or a bad taste in your mouth, changes in the way your teeth fit together when you bite, or dentures/partial dentures that no longer fit properly. If you experience any of these, don’t wait. Early intervention is key to preventing more severe, irreversible damage. Dentists and hygienists have the training, tools, and expertise to diagnose gum issues accurately and recommend the appropriate treatment plan, whether it’s a deep cleaning (scaling and root planing) or referral to a periodontist (a gum specialist). Don’t play guessing games with your gum health; rely on the professionals.
Frequently Asked Questions About Healthy Gums
It’s natural to have questions when you’re trying to understand and improve your health, and gum health is no exception. People often seek quick answers to common queries, and consolidating those here provides easy access to the core information we’ve covered. These aren’t just random questions; they represent the key concerns and uncertainties many individuals have about the state of their gums and how to care for them effectively. Think of this section as a rapid-fire recap of the most important takeaways, pointing you back to the detailed explanations provided earlier in this guide. Getting clarity on these points is a fantastic step towards feeling confident and empowered in managing your oral well-being. Let’s revisit those crucial questions that often pop up when we start thinking seriously about the health of our gums and the foundational role they play in our overall vitality.
How to Tell if Your Gums are Healthy?
This is perhaps the most fundamental question. Healthy gums typically look a uniform pink color, feel firm to the touch, don’t bleed during brushing or flossing, and fit snugly around your teeth. You can visually inspect them for redness or swelling and feel their texture gently. Pay attention to any persistent bad taste or odor. For a more detailed explanation, revisit the “What Are Healthy Gums and How Can You Tell?” section above, specifically the “How to Tell if Your Gums are Healthy?” sub-section.
What is the Color of Healthy Gums?
As we discussed, the typical color of healthy gum tissue is various shades of pink, depending on individual pigmentation. This color indicates good blood flow and the absence of inflammation. Red, swollen, or purplish gums can indicate underlying issues like gingivitis. For a deeper dive into the significance of gum color, refer back to the “What is the Color of Healthy Gums?” sub-section.
How Can You Keep Your Gums Healthy and Prevent Gum Disease?
Prevention is key! The most effective ways involve a consistent daily routine: brushing twice a day for two minutes with fluoride toothpaste, flossing daily, and attending regular dental check-ups and professional cleanings. Lifestyle factors like avoiding smoking and maintaining a healthy diet also play significant roles. Explore the “How Can You Keep Your Gums Healthy and Prevent Gum Disease?” section and its sub-sections for comprehensive tips and insights.
How to Make Your Gums Healthy If They Aren’t Already?
If your gums show early signs of gingivitis, it’s often reversible. The process involves diligent home care (brushing and flossing to remove plaque and bacteria) and professional cleaning to remove hardened deposits. Focusing on improving circulation through gentle massage and supporting tissue health through nutrition also helps. Learn more about restoring gum health in the “How to Make Your Gums Healthy If They Aren’t Already?” section.
Why Do Healthy Gums Matter So Much for Overall Health?
Your gum health is intrinsically linked to your systemic health. Inflammation and bacteria from gum disease can enter the bloodstream and affect other parts of the body. Poor gum health is associated with increased risk or complications for conditions like heart disease, diabetes, and respiratory issues. Maintaining healthy gums contributes to overall well-being. Revisit the “Why Do Healthy Gums Matter So Much for Overall Health?” section for a detailed explanation of this vital connection.