
Table of Contents
ToggleKey Takeaways
- L’ortodonzia corregge malposizioni dentali e disarmonie scheletriche.
- Gli obiettivi sono ripristinare equilibrio funzionale ed estetico.
- Un morso corretto migliora masticazione, igiene orale e previene problemi a lungo termine.
- L’ortodontista è lo specialista qualificato per la diagnosi e il trattamento ortodontico.
- Esistono vari tipi di apparecchi: **fissi**, **mobili** e **invisibili** (allineatori trasparenti, linguali).
- La durata e il costo del trattamento sono altamente variabili e dipendono dalla complessità del caso.
- L’igiene orale scrupolosa è vitale durante il trattamento.
- La **fase di contenzione** è cruciale per mantenere i risultati nel tempo.
- I benefici vanno dall’estetica migliorata alla prevenzione di problemi di salute orale.
Cosa si intende per trattamento ortodontico? Significato e Obiettivi
Parlare di trattamento ortodontico significa addentrarsi nel cuore di una disciplina medica e chirurgica complessa, l’ortodonzia per l’appunto, che ha come fine ultimo la correzione delle anomalie della posizione dei denti (malposizioni dentali) e della crescita delle ossa mascellari (dismorfosi scheletriche). Non si tratta semplicemente di spostare qualche dente qui e lì; è un intervento mirato a ripristinare un equilibrio funzionale ed estetico dell’intero apparato stomatognatico, che include denti, mascelle, muscoli masticatori e articolazioni temporo-mandibolari. Il termine “ortodontico” deriva dal greco antico “orthós” (diritto) e “odón” (dente), indicando chiaramente l’obiettivo principale: raddrizzare i denti. Tuttavia, la portata va ben oltre il mero allineamento. Gli obiettivi sono molteplici e interconnessi. In primo luogo, si mira all’allineamento dentale corretto, posizionando ogni dente nella sua sede ideale all’interno dell’arcata dentaria. Parallelamente, un focus cruciale è la correzione della malocclusione, ovvero un rapporto scorretto tra i denti dell’arcata superiore e quelli dell’arcata inferiore quando le mascelle sono chiuse. Una malocclusione può manifestarsi in vari modi, come un morso aperto (i denti anteriori non si toccano), un morso profondo (i denti superiori coprono eccessivamente quelli inferiori), un crossbite (uno o più denti superiori mordono all’interno dei denti inferiori), o classi scheletriche complesse (come la Classe II o III, che indicano un disaccordo nella posizione reciproca di mascella e mandibola).
Il trattamento ortodontico si propone di risolvere questi squilibri per una serie di ragioni fondamentali. Primo fra tutti, migliorare la funzione masticatoria: un morso corretto consente una distribuzione uniforme delle forze durante la masticazione, proteggendo i denti da usura anomala e riducendo lo stress sulle articolazioni temporo-mandibolari (ATM). Secondo, facilitare l’igiene orale: denti ben allineati sono più facili da spazzolare e pulire con il filo interdentale, riducendo significativamente il rischio di carie, malattie gengivali e parodontite. Terzo, prevenire problemi a lungo termine: una malocclusione non trattata può portare a una serie di complicazioni nel tempo, inclusi dolori facciali, mal di testa, problemi all’ATM e persino difficoltà nel parlare. Ultimo, ma non meno importante, l’aspetto estetico: un sorriso armonioso ha un impatto profondamente positivo sull’autostima e sulle interazioni sociali dell’individuo. Chiudere la discussione sull’importanza di un sorriso sano e funzionale significa riconoscere che l’ortodonzia non è un lusso, ma spesso una necessità medica che contribuisce al benessere generale della persona, migliorando sia la qualità della vita dal punto di vista fisico che psicologico. Investire in un trattamento ortodontico, quando necessario, significa prendersi cura di una parte fondamentale del proprio corpo con benefici che si protraggono per tutta la vita.
Chi è l’ortodontista e cosa fa per la salute dei tuoi denti?
Quando si parla di raddrizzare i denti o correggere il morso, la figura professionale di riferimento è l’ortodontista. Ma chi è esattamente e in cosa si differenzia dal dentista “generico”? L’ortodontista è un medico odontoiatra che, dopo aver completato il percorso universitario in odontoiatria, ha intrapreso un ulteriore, rigoroso percorso di specializzazione post-laurea focalizzato esclusivamente sull’ortodonzia. Questa specializzazione è cruciale perché conferisce le competenze approfondite necessarie per diagnosticare, prevenire e trattare le malposizioni dentali e le disarmonie scheletriche del viso e delle mascelle. Le sue competenze specifiche non si limitano quindi allo spostamento dei denti, ma abbracciano la comprensione della crescita e dello sviluppo cranio-facciale, la biomeccanica del movimento dentale, l’utilizzo di un’ampia gamma di apparecchi ortodontici e ortopedici e la gestione delle tempistiche del trattamento, specialmente nei pazienti in crescita.
Il ruolo dell’ortodontista è centrale fin dalle prime fasi. Inizia con una valutazione diagnostica completa, che va oltre la semplice ispezione visiva. Include l’analisi di radiografie specialistiche (come ortopantomografia, teleradiografia laterale e, in alcuni casi, TC cone beam), lo studio di modelli delle arcate dentarie (ottenuti tramite impronte tradizionali o scanner digitali) e l’esame fotografico del viso e del sorriso. Basandosi su questa analisi approfondita, l’ortodontista è in grado di formulare una diagnosi precisa e, soprattutto, di elaborare un piano di trattamento personalizzato e mirato per risolvere le problematiche specifiche del paziente. Questo piano non riguarda solo “mettere l’apparecchio”, ma stabilisce gli obiettivi terapeutici, i mezzi ortodontici più appropriati, la durata prevista e le fasi del trattamento. L’ortodontista segue poi il paziente durante tutto il percorso, effettuando controlli periodici per monitorare i progressi, apportare gli aggiustamenti necessari all’apparecchio e gestire eventuali complicazioni.
Che differenza c’è tra dentista e ortodontista?
È una domanda molto comune: qual è la distinzione fondamentale tra un odontoiatra (dentista generico) e uno specialista in ortodonzia (ortodontista)? La differenza risiede nel livello e nell’ambito della formazione. L’odontoiatra generico è un professionista sanitario laureato in Odontoiatria e Protesi Dentaria, abilitato a diagnosticare e trattare una vasta gamma di patologie del cavo orale. Le sue competenze includono igiene orale, otturazioni, estrazioni, protesi dentarie, endodonzia e piccola chirurgia orale. È il professionista a cui ci si rivolge per le visite di controllo routinarie, la pulizia dei denti o la cura di una carie. L’ortodontista, invece, è un odontoiatra che ha scelto di specializzarsi ulteriormente. Dopo la laurea, ha completato una scuola di specializzazione post-universitaria in Ortodonzia, della durata variabile (tipicamente 3-4 anni a tempo pieno), che gli ha conferito un’expertise specifica e approfondita nella diagnosi e nel trattamento delle malocclusioni e delle problematiche di sviluppo cranio-facciale. In pratica, mentre un dentista generico si occupa della salute orale nel suo complesso, l’ortodontista è il super-specialista dei problemi di allineamento dentale e di occlusione. Ci si rivolge specificamente a un ortodontista quando si sospettano o si manifestano denti storti, un morso scorretto, problemi nella crescita delle mascelle o quando il dentista curante suggerisce una valutazione specialistica. È l’unico professionista che ha la formazione e l’esperienza per pianificare e gestire trattamenti ortodontici complessi.
Quanti anni di studio ci vogliono per diventare ortodontista?
Il percorso per diventare ortodontista in Italia è lungo e impegnativo, a testimonianza dell’alta specializzazione richiesta da questa professione. Innanzitutto, è necessario completare il ciclo di studi universitari per ottenere la laurea in Odontoiatria e Protesi Dentaria, che ha una durata standard di 6 anni. Durante questi anni, si acquisiscono le conoscenze e le competenze fondamentali dell’odontoiatria generale. Dopo la laurea e l’abilitazione alla professione, chi desidera specializzarsi in ortodonzia deve affrontare un ulteriore percorso formativo post-universitario. Questo consiste in una Scuola di Specializzazione in Ortognatodonzia (il termine ufficiale, che include l’ortodonzia e l’ortopedia facciale), che ha una durata tipica di 3 anni a tempo pieno. L’accesso a queste scuole di specializzazione è solitamente molto competitivo e richiede il superamento di un esame di ammissione nazionale. Durante i 3 anni di specializzazione, i futuri ortodontisti acquisiscono una preparazione teorica avanzata e, soprattutto, una vasta esperienza pratica nella gestione di casi ortodontici di diversa complessità sotto la supervisione di docenti esperti. Al termine della specializzazione si ottiene il titolo di Specialista in Ortognatodonzia. Dunque, per diventare un ortodontista pienamente qualificato in Italia, sono necessari un totale di almeno 9 anni di studio (6 di laurea + 3 di specializzazione), seguiti da un impegno costante nell’aggiornamento professionale e nella formazione continua, che è fondamentale in un campo in rapida evoluzione come l’ortodonzia, con l’introduzione continua di nuove tecniche e materiali.
Perché preoccuparsi dei denti storti e quando rivolgersi all’ortodontista?
Spesso i denti storti vengono considerati un mero problema estetico, qualcosa di cui preoccuparsi solo se non piace il proprio sorriso. Tuttavia, la realtà è ben più complessa e, in molti casi, le implicazioni di un disallineamento dentale o di una malocclusione vanno ben oltre l’aspetto visivo. Denti non correttamente allineati o un morso scorretto possono avere conseguenze significative sulla salute orale e generale, spesso silenziose all’inizio ma potenzialmente problematiche nel tempo. Dal punto di vista funzionale, una malocclusione può compromettere l’efficacia della masticazione, portando a un carico eccessivo su alcuni denti o aree della bocca e a uno insufficiente su altre. Questo può causare un’usura anomala dei denti, dolore o problemi all’articolazione temporo-mandibolare (ATM), che si manifestano con click, blocchi o dolore durante l’apertura e chiusura della bocca, mal di testa, e persino problemi posturali correlati. Denti affollati o sovrapposti, inoltre, creano nicchie difficili da pulire con lo spazzolino e il filo interdentale, favorendo l’accumulo di placca batterica e tartaro, aumentando di conseguenza il rischio di carie e, in modo critico, di malattie gengivali e parodontite, che possono portare alla perdita dei denti se non trattate.
Oltre agli aspetti funzionali e sanitari, l’impatto estetico e psicologico di un sorriso disallineato non va sottovalutato. Soprattutto durante l’adolescenza, ma anche in età adulta, avere denti che non piacciono può minare la fiducia in sé stessi, portare a imbarazzo nel sorridere o parlare in pubblico e influenzare negativamente le relazioni sociali e professionali. Correggere questi disallineamenti può quindi avere un effetto trasformativo non solo sulla salute orale ma anche sul benessere emotivo e sulla qualità della vita. Ma quando è il momento giusto per rivolgersi a un ortodontista? Non esiste un’età unica e definita, anche se una prima valutazione ortodontica è consigliata per i bambini intorno ai 6-7 anni. Questa visita precoce, spesso definita “ortodonzia intercettiva”, permette di identificare precocemente problemi di sviluppo scheletrico o abitudini viziate che, se corrette in fase di crescita, possono evitare trattamenti più complessi in futuro o renderli significativamente più brevi. Tuttavia, l’ortodonzia non ha limiti di età: un numero crescente di adulti intraprende trattamenti ortodontici con eccellenti risultati, dimostrando che non è mai troppo tardi per migliorare il proprio sorriso e la propria salute orale. Segnali che suggeriscono la necessità di una valutazione ortodontica includono: denti visibilmente storti o affollati, difficoltà nel chiudere completamente la bocca, un morso che appare “sbagliato” (ad esempio, i denti superiori non si allineano con quelli inferiori), usura eccessiva di alcuni denti, scrocchi o dolore all’ATM, o semplicemente il desiderio di migliorare l’estetica del proprio sorriso. In presenza di uno o più di questi segnali, una visita specialistica è sempre consigliata.
Cosa cura l’ortodontista e quali problemi ortodontici esistono?
L’ortodontista è il professionista dedicato alla diagnosi, prevenzione e trattamento di un’ampia gamma di “malocclusioni” e “dismorfosi dento-scheletriche”. Il termine malocclusione si riferisce a qualsiasi deviazione dalla normale relazione tra i denti delle arcate superiore e inferiore quando sono chiusi. Esistono diverse tipologie di problemi ortodontici, che possono riguardare la posizione dei singoli denti (problemi dentali), la relazione tra le arcate (problemi di occlusione) o la relazione tra le basi ossee (problemi scheletrici). Le principali malocclusioni che l’ortodontista si trova ad affrontare includono:
- **Malocclusioni di Classe II:** Caratterizzate da un’arcata superiore o una mascella eccessivamente protrusa rispetto all’arcata inferiore o alla mandibola (morso profondo).
- **Malocclusioni di Classe III:** L’opposto della Classe II, con l’arcata inferiore o la mandibola che sporge rispetto all’arcata superiore o alla mascella (morso inverso anteriore o prognatismo).
- **Morso aperto:** I denti anteriori (o, più raramente, posteriori) non si toccano quando la bocca è chiusa.
- **Morso profondo (o coperto):** I denti superiori coprono eccessivamente i denti inferiori, a volte fino a nasconderli completamente.
- **Crossbite (o morso incrociato):** Uno o più denti superiori mordono all’interno dei denti inferiori. Può essere anteriore o posteriore, monolaterale o bilaterale.
- **Affollamento dentale:** Mancanza di spazio sufficiente nell’arcata per alloggiare tutti i denti in modo corretto, portando a sovrapposizioni e rotazioni.
- **Diastemi:** Presenza di spazi eccessivi tra i denti.
L’ortodontista cura questi problemi utilizzando vari apparecchi per spostare gradualmente i denti nella posizione desiderata e, nei pazienti in crescita, per guidare lo sviluppo delle ossa mascellari. È importante differenziare queste cure ortodontiche dalle cure odontoiatriche generali. Mentre l’odontoiatra generico si occupa di patologie come carie, gengivite, estrazioni, devitalizzazioni e protesi, l’ortodontista si concentra specificamente sui problemi di allineamento e occlusione. Le prestazioni ortodontiche rientrano quindi in un ambito specialistico dedicato al ripristino dell’armonia dento-facciale. L’ortodonzia si rivolge sia ai bambini, sfruttando la loro fase di crescita per correggere problemi scheletrici (ortopedia dento-facciale), sia agli adulti, concentrandosi prevalentemente sul riallineamento dentale. Comprendere la specificità del ruolo dell’ortodontista è fondamentale per rivolgersi al professionista giusto in base al tipo di problema che si manifesta.
Come funziona un trattamento ortodontico efficace: diagnosi e fasi
Intraprendere un trattamento ortodontico non è un processo standardizzato uguale per tutti; al contrario, è un percorso altamente personalizzato che inizia con una fase diagnostica meticolosa, la vera pietra angolare di un trattamento efficace. Questa fase iniziale è fondamentale per comprendere appieno le specificità del caso del paziente, le sue problematiche uniche e le cause sottostanti dei disallineamenti o delle malocclusioni. Il processo diagnostico iniziale tipicamente include una visita clinica approfondita, durante la quale l’ortodontista esamina i denti, le gengive, la muscolatura facciale e le articolazioni temporo-mandibolari, valutando l’occlusione e l’estetica del sorriso e del viso. A questa si associano una serie di esami strumentali: radiografie specialistiche (come l’ortopantomografia, che offre una vista panoramica delle arcate dentarie e delle ossa mascellari, e la teleradiografia laterale del cranio, indispensabile per analizzare le relazioni scheletriche e dentali e per effettuare misurazioni cefalometriche cruciali per la pianificazione), fotografie del viso e dei denti da diverse angolazioni, e la raccolta di modelli delle arcate dentarie. Questi modelli possono essere ottenuti tramite le classiche impronte in alginato o silicone, oppure, sempre più diffusamente, tramite uno scanner intraorale digitale, che crea un modello 3D accurato dei denti e delle gengive.
L’importanza di uno studio approfondito del caso non può essere sottolineata abbastanza. I dati raccolti vengono analizzati minuziosamente dall’ortodontista per formulare la diagnosi ortodontica, identificando non solo i problemi evidenti, ma anche le loro cause e l’interazione tra i componenti dentali, scheletrici e funzionali. Questa analisi diagnostica costituisce la base per l’elaborazione del piano di trattamento personalizzato. Non si tratta di un approccio “taglia e cuci”, ma di una strategia terapeutica su misura, che tiene conto dell’età del paziente, della gravità della malocclusione, delle sue esigenze e aspettative, e delle specifiche caratteristiche biologiche individuali. Il piano di trattamento delinea gli obiettivi precisi da raggiungere, la sequenza delle azioni terapeutiche, il tipo di apparecchio o apparecchi da utilizzare, la durata prevista del trattamento e le modalità di gestione (come la frequenza dei controlli). Una discussione approfondita del piano con il paziente (o i suoi genitori, nel caso di minori) è essenziale per garantire piena comprensione, collaborazione e consenso informato prima di iniziare la terapia attiva.
Una volta definito e accettato il piano, si procede con le grandi fasi che compongono un tipico trattamento ortodontico attivo. Queste fasi sono sequenziali, anche se la loro durata e specificità variano enormemente da caso a caso e in base al tipo di apparecchio utilizzato. Generalmente, si possono identificare diverse tappe fondamentali:
Cos’è il Piano di trattamento ortodontico e la diagnosi ortodontica?
La diagnosi ortodontica non è un semplice etichettamento di un problema (ad esempio, “hai un morso profondo”), ma è un processo analitico completo che rappresenta il punto di partenza irrinunciabile per qualsiasi terapia ortodontica efficace. Si basa sulla raccolta e sull’interpretazione di tutti i dati clinici e strumentali di cui abbiamo parlato (visita, radiografie, foto, modelli). L’ortodontista analizza le relazioni tra i denti, le arcate e le strutture scheletriche del viso in tre dimensioni, valutando la crescita residua nel caso di pazienti giovani e l’equilibrio estetico. Questa analisi multidimensionale permette di identificare le cause profonde della malocclusione, non solo i suoi effetti visibili. Sulla base di questa diagnosi dettagliata viene elaborato il Piano di Trattamento Ortodontico. Questo documento o progetto terapeutico è una roadmap personalizzata che stabilisce gli obiettivi specifici da raggiungere (ad esempio, correggere la Classe II, chiudere gli spazi, allineare i denti), la sequenza temporale delle diverse fasi del trattamento, il tipo di apparecchiature che verranno utilizzate (fisse, mobili, invisibili, ortopediche) e le forze che verranno applicate. Il piano include anche la stima della durata totale del trattamento e la pianificazione della cruciale fase di contenzione. È fondamentale che il piano venga discusso in modo trasparente con il paziente, spiegando le problematiche riscontrate (la diagnosi), come si intende risolverle (il piano), i tempi previsti, i costi e cosa ci si aspetta dalla collaborazione del paziente (ad esempio, indossare elastici o apparecchi mobili per il tempo prescritto). Questo dialogo è indispensabile per stabilire un rapporto di fiducia e assicurare il successo terapeutico.
Quali sono le tappe fondamentali del trattamento ortodontico?
Sebbene ogni piano di trattamento sia unico, la maggior parte dei trattamenti ortodontici attivi segue una sequenza logica di tappe volte a raggiungere gradualmente gli obiettivi prefissati. La prima fase è spesso definita **allineamento e livellamento iniziali**. Durante questa tappa, l’obiettivo è raddrizzare i denti ruotati, inclinati o affollati e portare i margini incisali dei denti anteriori e le superfici occlusali dei denti posteriori su un piano orizzontale uniforme. Vengono tipicamente utilizzati fili ortodontici sottili e flessibili che vengono progressivamente sostituiti con fili più spessi e rigidi. Una volta che i denti sono allineati, si passa alla fase di **correzione del morso e chiusura degli spazi**. Questa è spesso la fase più complessa, dove vengono utilizzati fili più rigidi, molle, elastici intermascellari o altri dispositivi per correggere le relazioni tra le arcate (malocclusioni di Classe II, III, crossbite) e per chiudere eventuali spazi residui o creati strategicamente (ad esempio, dopo estrazioni). Questa fase richiede spesso una stretta collaborazione del paziente, soprattutto nell’utilizzo degli elastici. La terza fase è la **finitura e rifinitura**, un processo meticoloso volto a perfezionare l’allineamento dentale e l’occlusione, assicurando che i denti si incastrino perfettamente come gli ingranaggi di un meccanismo. Vengono apportati piccoli aggiustamenti alla posizione dei denti o alla forma dei fili per ottenere il miglior risultato estetico e funzionale possibile. L’ultima, e forse più critica, tappa attiva è la **fase di contenzione**. Dopo aver raggiunto l’allineamento e l’occlusione ideali, i denti hanno una naturale tendenza a tornare verso la loro posizione originale (recidiva). La fase di contenzione, che inizia immediatamente dopo la rimozione dell’apparecchio attivo, ha lo scopo di stabilizzare il risultato ottenuto, permettendo ai tessuti di supporto dei denti (osso e legamenti) di rimodellarsi e consolidarsi attorno alla nuova posizione. Vengono utilizzati apparecchi di contenzione, che possono essere fissi (sottili fili metallici incollati sulla superficie interna dei denti) o mobili (mascherine trasparenti o placche in resina da indossare secondo le indicazioni dell’ortodontista, solitamente a tempo pieno inizialmente e poi solo di notte). È fondamentale comprendere che il successo a lungo termine del trattamento dipende in larga parte dall’adesione scrupolosa del paziente a questa fase. Sebbene queste siano le tappe generali, le specifiche azioni e la loro sequenza possono variare significativamente in base al tipo di apparecchio utilizzato (apparecchio fisso tradizionale, allineatori invisibili, ecc.) e alla complessità del caso clinico, rendendo il piano di trattamento ortodontico un percorso veramente su misura.
Tipi di apparecchi ortodontici: fisso, mobile e invisibile
L’ortodonzia moderna offre una sorprendente varietà di strumenti per spostare i denti e correggere le malocclusioni, superando di gran lunga l’immagine del vecchio “apparecchio di ferro”. La scelta dell’apparecchio ortodontico più adatto non è casuale, ma dipende da una serie di fattori che l’ortodontista valuta attentamente sulla base della diagnosi: il tipo e la gravità del problema da trattare, l’età del paziente (alcuni apparecchi ortopedici funzionano solo in fase di crescita), la sua collaborazione (fondamentale per gli apparecchi mobili e gli allineatori) e, entro certi limiti, le preferenze estetiche ed economiche del paziente. Esistono fondamentalmente tre grandi categorie di apparecchi: fissi, mobili (o rimovibili) e le opzioni estetiche o “invisibili”, che rappresentano un’evoluzione importante nel campo. Ogni tipologia ha specifiche indicazioni, vantaggi e svantaggi, e in molti trattamenti si utilizza una combinazione di diversi apparecchi nelle varie fasi per ottimizzare i risultati. Vediamo più in dettaglio le caratteristiche e l’uso degli apparecchi più comuni e innovativi oggi a disposizione dei pazienti.
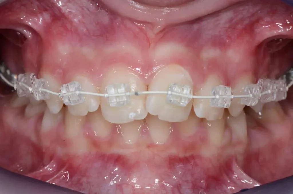
Apparecchio ortodontico fisso: come funziona?
L’apparecchio ortodontico fisso è probabilmente l’immagine più iconica associata all’ortodonzia tradizionale. La sua struttura base è composta da tre elementi principali: gli **attacchi** (brackets), piccole piastrine (in metallo, ceramica o zaffiro) incollate sulla superficie esterna (vestibolare) di ogni dente; le **bande**, anelli metallici cementati attorno ai molari (usati più raramente oggi, sostituiti spesso da attacchi bonati anche sui posteriori); e il **filo ortodontico** (arco), un filo metallico che passa attraverso una fessura orizzontale presente su ogni attacco. Il meccanismo di funzionamento è basato sull’applicazione di forze precise e controllate. Il filo viene inserito negli attacchi e bloccato in posizione tramite legature (elastiche o metalliche) o, nel caso degli attacchi autoliganti, tramite un meccanismo a clip integrato nell’attacco stesso. La forma del filo viene progettata dall’ortodontista per guidare gradualmente lo spostamento dei denti. Inizialmente, si utilizzano fili molto flessibili che tendono a tornare alla loro forma originale, trasmettendo una forza leggera e continua sui denti storti per iniziare il processo di allineamento. Nei successivi controlli, il filo viene sostituito con diametri maggiori e materiali più rigidi (come l’acciaio), per applicare forze maggiori e compiere movimenti più complessi, come la correzione del morso o la chiusura degli spazi. Gli attacchi, essendo fissati saldamente al dente, agiscono come “maniglie” attraverso le quali la forza del filo viene trasmessa per spostare il dente nella direzione desiderata attraverso l’osso alveolare. Questo processo di rimodellamento osseo (riassorbimento da un lato e apposizione dall’altro) consente il movimento graduale del dente. Esistono varianti estetiche degli apparecchi fissi: gli attacchi in ceramica o zaffiro sono trasparenti o del colore del dente e risultano molto meno visibili rispetto a quelli metallici, offrendo un’opzione più discreta. Gli attacchi autoliganti, invece, pur potendo essere metallici o estetici, presentano il vantaggio di ridurre l’attrito tra filo e attacco, potenziando l’efficacia del trattamento in alcune fasi. L’apparecchio fisso è estremamente versatile e permette di affrontare una vasta gamma di malocclusioni, anche le più complesse, offrendo un controllo preciso sul movimento di ciascun dente.
Apparecchio ortodontico mobile e rimovibile: quando si usa?
A differenza dell’apparecchio fisso, l’apparecchio ortodontico mobile (o rimovibile) può essere inserito e rimosso autonomamente dal paziente dalla bocca. Questa caratteristica ne definisce sia i vantaggi che i limiti. Gli apparecchi mobili sono generalmente costituiti da una placca in resina acrilica che si adatta al palato o alla mandibola, integrata con ganci in filo metallico che si ancorano ai denti e, a seconda del tipo di apparecchio, molle o viti per applicare le forze necessarie. Il loro uso è tipico e particolarmente efficace in determinate situazioni. Sono ampiamente utilizzati nei trattamenti ortodontici in fase di crescita nei bambini e pre-adolescenti. In questa fase, possono svolgere una funzione “ortopedica”, cioè intervenire sulla crescita e sullo sviluppo delle basi ossee mascellari per correggerne le discrepanze (ad esempio, espandere un palato stretto con un espansore rapido del palato, che è un apparecchio fisso, o utilizzare apparecchi mobili funzionali per stimolare o guidare la crescita della mandibola in avanti). Possono anche essere impiegati per correggere movimenti dentali limitati o per preparare le arcate alla fase successiva con l’apparecchio fisso.
Negli adulti, l’uso degli apparecchi mobili attivi è meno comune rispetto ai fissi, ma possono essere indicati per movimenti dentali semplici o come parte di un trattamento combinato. La loro efficacia è strettamente legata alla collaborazione del paziente: affinché funzionino, devono essere indossati per un numero di ore giornaliere stabilito dall’ortodontista, solitamente 18-20 ore, o anche a tempo pieno escluse solo i pasti e l’igiene orale. Se l’apparecchio mobile non viene indossato per il tempo prescritto, il trattamento non progredisce o regredisce. Oltre agli apparecchi mobili attivi, la categoria dei “rimovibili” include anche gli apparecchi di contenzione, che, come vedremo, sono fondamentali nella fase post-trattamento. L’apparecchio mobile, in sintesi, è uno strumento versatile, particolarmente prezioso nell’ortodonzia pediatrica per intercettare e correggere problemi di sviluppo scheletrico, ma la sua efficacia dipende dalla costanza e dalla disciplina del paziente nell’indossarlo correttamente.
Ortodonzia invisibile: allineatori e apparecchi linguali
L’ortodonzia invisibile o estetica rappresenta una rivoluzione nel modo di concepire il trattamento ortodontico, offrendo opzioni molto più discrete rispetto agli apparecchi fissi tradizionali. Questa categoria include principalmente due tipologie di dispositivi: gli allineatori trasparenti e gli apparecchi linguali. Gli **allineatori trasparenti**, resi celebri da marchi come Invisalign, consistono in una serie di mascherine in materiale plastico trasparente, sottili e rimovibili, create su misura per i denti del paziente. Ogni mascherina viene indossata per circa 1-2 settimane (secondo le indicazioni del brand e dell’ortodontista) per almeno 20-22 ore al giorno, prima di passare alla mascherina successiva della serie. Ogni mascherina applica piccole forze sui denti per guidarli progressivamente verso la posizione desiderata, come pianificato digitalmente all’inizio del trattamento. Il grande vantaggio degli allineatori è l’estetica: essendo trasparenti, sono quasi invisibili quando indossati. Inoltre, essendo rimovibili, permettono di mangiare, bere e lavare i denti senza particolari restrizioni, facilitando l’igiene orale. Tuttavia, richiedono un’altissima collaborazione da parte del paziente, che deve essere disciplinato nell’indossarli per il tempo necessario, altrimenti il trattamento non avrà successo. Sono adatti per una vasta gamma di malocclusioni, ma la loro efficacia nelle situazioni più complesse può variare rispetto all’apparecchio fisso tradizionale.
Gli **apparecchi linguali**, invece, sono una forma di apparecchio fisso, ma con gli attacchi posizionati sulla superficie interna (linguale) dei denti, quella rivolta verso la lingua. Anche in questo caso, l’obiettivo è la massima discrezione: dall’esterno, l’apparecchio è praticamente invisibile. La tecnica linguale richiede attacchi e fili specificamente progettati per questa posizione e una notevole perizia da parte dell’ortodontista, poiché lavorare sulla superficie interna dei denti è tecnicamente più complesso. Gli apparecchi linguali sono efficaci per correggere un’ampia varietà di malocclusioni e, a differenza degli allineatori, non dipendono dalla collaborazione del paziente nell’indossarli, essendo fissi. Tuttavia, possono causare un iniziale disagio alla lingua e influenzare temporaneamente la fonetica (il modo di parlare). Entrambe le opzioni offrono soluzioni esteticamente superiori, ma la scelta tra allineatori e apparecchi linguali, o l’opzione tradizionale fissa vestibolare, dipende dalla specifica situazione clinica, dalla gravità del problema, dalle abitudini del paziente e dal parere dell’ortodontista specialista.
Apparecchio di contenzione: la fase finale del trattamento
Dopo aver rimosso l’apparecchio ortodontico (fisso o mobile attivo) e aver raggiunto l’allineamento e l’occlusione ideali, il trattamento non è ancora del tutto concluso. Inizia infatti una fase altrettanto cruciale: la **fase di contenzione**. È fondamentale comprendere perché la contenzione è una parte irrinunciabile del percorso ortodontico. I denti sono stati spostati attraverso l’osso e i tessuti di supporto, ma questi tessuti necessitano di tempo per stabilizzarsi e rimodellarsi attorno alla nuova posizione dei denti. Senza un adeguato periodo di contenzione, i denti avrebbero una naturale tendenza a “tornare indietro”, ovvero a recidivare verso la loro posizione originale, vanificando in parte o del tutto gli sforzi e i risultati ottenuti con la fase attiva del trattamento. La contenzione serve proprio a prevenire questa recidiva, mantenendo i denti nella loro nuova posizione stabile mentre le strutture parodontali e ossee si adattano.
Esistono diverse tipologie di apparecchi di contenzione, la cui scelta e la durata del loro utilizzo dipendono dal caso specifico e dalla valutazione dell’ortodontista. Le due categorie principali sono la contenzione fissa e quella mobile. La **contenzione fissa** consiste solitamente in un sottile filo metallico (spesso multistrato per aumentarne la flessibilità) incollato sulla superficie interna dei denti anteriori, sia superiori che inferiori. Essendo incollato, non può essere rimosso dal paziente ed è praticamente invisibile dall’esterno. Richiede un’attenzione particolare all’igiene orale, ma offre un mantenimento costante dell’allineamento. La **contenzione mobile** è rappresentata principalmente dalle placche di Hawley (una placca in resina con un archetto metallico che avvolge i denti anteriori) o dagli allineatori trasparenti (mascherine simili a quelle usate nella fase attiva, ma con uno scopo di mantenimento). Gli apparecchi mobili di contenzione vengono indossati inizialmente a tempo pieno (spesso per i primi mesi), e successivamente solo durante la notte, o secondo le istruzioni specifiche dell’ortodontista. La durata della fase di contenzione può variare notevolmente, da pochi anni a tempo indeterminato (cioè per tutta la vita), specialmente per mantenere l’allineamento dei denti anteriori che hanno una forte tendenza a muoversi anche in età adulta. L’aderenza alle indicazioni dell’ortodontista riguardo all’uso dell’apparecchio di contenzione è l’elemento chiave per assicurare la stabilità a lungo termine del magnifico sorriso ottenuto. Saltare questa fase o non indossare l’apparecchio come prescritto è il modo più sicuro per vedere i denti ritornare gradualmente verso la loro posizione iniziale, rendendo necessario, in alcuni casi, un ritrattamento ortodontico.
Quanto dura un trattamento ortodontico e quando si vedono i risultati?
Una delle domande più frequenti che i pazienti rivolgono all’ortodontista è: “Quanto tempo dovrò portare l’apparecchio?”. La risposta, purtroppo, non è univoca e dipende da una moltitudine di fattori, rendendo impossibile fornire una stima precisa valida per tutti. Tuttavia, si può dare un’indicazione sulla durata media di un trattamento ortodontico attivo, che generalmente si attesta tra i 18 e i 36 mesi, ovvero da uno a tre anni. Questa è solo una media; casi molto semplici potrebbero richiedere anche meno di un anno, mentre situazioni particolarmente complesse, che coinvolgono sia malposizioni dentali severe che disarmonie scheletriche significative, potrebbero protrarsi oltre i tre anni.
Quali sono i fattori che influenzano maggiormente la durata del trattamento? Innanzitutto, la **gravità e la complessità del problema ortodontico** iniziale. Un leggero affollamento o qualche spazio da chiudere richiederanno molto meno tempo rispetto alla correzione di una severa malocclusione di Classe II o III con problematiche scheletriche associate. L’**età del paziente** è un altro fattore cruciale. Nei pazienti in crescita, l’ortodontista può sfruttare il potenziale di sviluppo osseo per correggere le discrepanze scheletriche, il che può rendere alcuni movimenti più efficienti o rendere possibile ciò che in un adulto richiederebbe un intervento chirurgico. Tuttavia, i trattamenti nei bambini possono essere suddivisi in più fasi (intercettiva e poi completa), allungando potenzialmente il periodo totale sotto osservazione o con apparecchio, anche se non necessariamente la fase attiva continua. Negli adulti, mancando la crescita ossea, i movimenti dentali possono essere un po’ più lenti e i limiti scheletrici non correggibili ortopedicamente.
La **collaborazione del paziente** è un fattore determinante, specialmente quando il piano di trattamento prevede l’uso di apparecchi mobili, allineatori trasparenti o elastici intermascellari con l’apparecchio fisso. Non indossare questi dispositivi per il tempo prescritto rallenta o blocca il progresso del trattamento, allungandone inevitabilmente la durata. Anche l’**igiene orale** e la **regolarità degli appuntamenti di controllo** influiscono; problemi come la presenza di carie o gengivite possono richiedere interruzioni del trattamento ortodontico attivo, così come saltare gli appuntamenti rallenta gli aggiustamenti necessari all’apparecchio. Infine, il **tipo di apparecchio scelto** può influenzare i tempi, anche se con le tecniche moderne le differenze si sono ridotte.
Per quanto riguarda i risultati, quando si iniziano a vedere i primi cambiamenti significativi? Spesso i primi risultati, soprattutto l’allineamento iniziale dei denti più storti, diventano visibili entro i primi mesi dall’inizio del trattamento, a volte anche dopo poche settimane, specialmente con l’apparecchio fisso o gli allineatori. Questo può essere molto motivante per il paziente. Tuttavia, è importante ricordare che l’allineamento iniziale è solo la prima tappa; la correzione del morso e la finitura richiedono più tempo e i cambiamenti in queste fasi potrebbero essere meno evidenti a occhio nudo ma sono fondamentali per la stabilità a lungo termine. La stabilità del risultato nel tempo, come già accennato, non dipende dalla fase attiva del trattamento, ma è strettamente legata all’adesione alla fase di contenzione. Un trattamento ortodontico ben condotto e seguito da un’adeguata contenzione offre ottime possibilità di mantenere il risultato per molti anni, se non per tutta la vita, ma la biologia individuale e i cambiamenti fisiologici nel tempo possono comunque comportare piccoli movimenti dentali, che sono normali ma vengono minimizzati con una contenzione scrupolosa.
Quanto costa un trattamento ortodontico? Fattori che influenzano il prezzo
Parlare di costi in campo medico è sempre delicato, poiché i prezzi possono variare enormemente in base a numerosi fattori. Per un trattamento ortodontico, dare una cifra unica e valida per tutti è semplicemente impossibile, poiché ogni caso è unico e il preventivo viene elaborato dall’ortodontista solo dopo un’accurata visita diagnostica e la definizione del piano di trattamento personalizzato. Tuttavia, è possibile identificare i principali elementi che determinano il costo di una cura ortodontica, offrendo così una maggiore trasparenza e comprensione.
Il primo fattore, e spesso il più influente, è la **complessità del caso clinico**. Un trattamento volto a correggere un affollamento leggero o a chiudere pochi spazi avrà un costo significativamente inferiore rispetto alla gestione di una malocclusione scheletrica complessa che richiede movimenti dentali estesi, l’uso di apparecchi combinati o che si protrae per diversi anni. La gravità della malocclusione e la quantità di movimento dentale o scheletrico necessario sono i driver principali del costo, poiché determinano la durata e la complessità del lavoro clinico.
La **durata prevista del trattamento** è strettamente correlata alla complessità. Un trattamento più lungo implica un maggior numero di appuntamenti di controllo, un uso maggiore di materiali (fili, elastici, attacchi, ecc.) e, in generale, un maggiore impegno di tempo e risorse da parte dello studio ortodontico. Pertanto, un trattamento di 3 anni costerà, a parità di altre condizioni, più di un trattamento di 18 mesi.
Il **tipo di apparecchio scelto** incide in modo significativo sul prezzo. Gli apparecchi fissi tradizionali in metallo sono generalmente l’opzione meno costosa. Gli apparecchi fissi estetici (con attacchi in ceramica o zaffiro) hanno un costo superiore a causa del prezzo maggiore dei materiali. Gli apparecchi linguali, data la complessità tecnica e l’utilizzo di apparecchiature altamente personalizzate e spesso realizzate su misura, rappresentano solitamente l’opzione fissa più costosa. Gli allineatori trasparenti hanno costi variabili che dipendono dal numero di mascherine necessarie (e quindi dalla complessità del caso), ma in genere si collocano in una fascia di prezzo paragonabile o superiore agli apparecchi fissi estetici, data la tecnologia avanzata e il processo di produzione digitale coinvolti.
L’**esperienza e la reputazione del professionista** e l’**ubicazione dello studio** possono anch’essi influenzare il costo. Ortodontisti con molti anni di esperienza, specializzazioni aggiuntive o che utilizzano tecniche di punta in studi dotati di tecnologie avanzate (come scanner 3D, radiografie digitali, software di pianificazione avanzata) possono avere tariffe più elevate, giustificate dalla qualità e dalla predicibilità del trattamento offerto. I costi possono variare anche tra diverse aree geografiche.
Per dare un’indicazione generale sui costi, senza che questa possa considerarsi un preventivo, un trattamento ortodontico completo in Italia può variare, a seconda dei fattori sopra citati, da circa 2.000-3.000 € per casi molto semplici e brevi con apparecchio fisso tradizionale, fino a superare i 7.000-10.000 € (e in alcuni casi anche di più per le tecniche più sofisticate come la linguale personalizzata o allineatori per casi estremamente complessi) per trattamenti complessi e prolungati. Il costo di una visita ortodontica iniziale o di un preventivo ortodontico (che include la raccolta dati diagnostici) può variare da 50 € a 300 € o più, a seconda dello studio e degli esami inclusi. Il costo specifico per i trattamenti negli adulti è spesso paragonabile a quello dei trattamenti pediatrici per problematiche simili, anche se l’assenza di crescita può a volte rendere necessari approcci diversi che impattano sul costo. È sempre fondamentale richiedere un preventivo dettagliato e personalizzato dopo la visita specialistica. Non esiste un listino prezzi fisso valido ovunque.
Possibili rischi e limiti del trattamento ortodontico
Sebbene il trattamento ortodontico sia generalmente sicuro e con un’alta percentuale di successo, come qualsiasi procedura medica, non è privo di possibili disagi, rischi o limiti, che è importante conoscere e discutere con l’ortodontista prima di iniziare. La stragrande maggioranza dei pazienti sperimenta disagi iniziali e temporanei. Il più comune è il **dolore o indolenzimento** dei denti e delle gengive dopo l’applicazione dell’apparecchio o dopo gli aggiustamenti periodici (attivazioni) del filo o degli elastici. Questo disagio è una risposta fisiologica alla forza applicata per spostare i denti ed è solitamente gestibile con antidolorifici da banco e tende a diminuire nel giro di pochi giorni. L’apparecchio fisso può anche causare piccole abrasioni o irritazioni temporanee alle mucose interne di labbra e guance, che solitamente si risolvono con l’uso di cere protettive e l’adattamento della bocca.
Esistono potenziali **rischi biologici**, sebbene fortunatamente rari e generalmente di lieve entità. Il più noto è il **riassorbimento radicolare**, ovvero un accorciamento delle radici dei denti. Nella maggior parte dei casi, questo riassorbimento è minimo e non compromette la vitalità o la stabilità a lungo termine del dente. Tuttavia, in rari casi o in individui predisposti, può essere più pronunciato. L’ortodontista monitora attentamente questo aspetto attraverso radiografie di controllo e, se necessario, può modificare o interrompere il trattamento. Un altro rischio potenziale, soprattutto se l’igiene orale non è impeccabile, è la comparsa di carie e infiammazioni gengivali. La presenza dell’apparecchio fisso o la necessità di indossare a lungo apparecchi mobili o allineatori crea maggiori “trappole” per cibo e placca. Se non si spazzola e non si usa il filo interdentale in modo accurato e frequente, il rischio di sviluppare carie intorno agli attacchi o lungo il bordo gengivale aumenta significativamente. Per questo motivo, l’igiene orale diventa assolutamente cruciale durante il trattamento ortodontico.
Il **rischio di recidiva** è elevato se la fase di contenzione non viene rispettata scrupolosamente. Come già detto, i denti hanno una memoria e una tendenza a tornare nella loro posizione originale. La contenzione è l’unica difesa efficace contro questo fenomeno e non seguirne le indicazioni è il rischio maggiore per la stabilità del risultato a lungo termine.
Infine, è importante essere consapevoli dei **limiti del trattamento ortodontico**, soprattutto negli adulti. L’ortodonzia sposta i denti all’interno delle basi ossee esistenti. Negli adulti, dove la crescita è terminata, discrepanze scheletriche significative (come prognatismo o retrusioni mandibolari severe) non possono essere corrette con la sola ortodonzia. In questi casi, per ottenere un’occlusione e un’estetica facciale armoniose, può essere necessario un approccio combinato che preveda la chirurgia maxillo-facciale (chirurgia ortognatica) in aggiunta al trattamento ortodontico. L’ortodontista, in fase diagnostica, è in grado di valutare se il caso rientra nei limiti del trattamento ortodontico esclusivo o se richiede un approccio multidisciplinare. Discutere apertamente con l’ortodontista di questi potenziali rischi e limiti aiuta il paziente ad avere aspettative realistiche e a collaborare al meglio per minimizzare gli inconvenienti e massimizzare i benefici del trattamento.
Igiene orale e manutenzione dell’apparecchio ortodontico
Mantenere un’igiene orale impeccabile è fondamentale per chiunque, ma diventa assolutamente cruciale e richiede un impegno extra quando si indossa un apparecchio ortodontico, specialmente quello fisso. La presenza di attacchi, bande e fili crea un ambiente perfetto per l’intrappolamento di residui di cibo e l’accumulo di placca batterica, aumentando esponenzialmente il rischio di carie, infiammazione gengivale (gengivite) e alitosi. Non prendersi cura adeguatamente dell’igiene orale durante il trattamento ortodontico può portare a problemi seri che non solo danneggiano la salute dei denti e delle gengive, ma possono anche rallentare o addirittura interrompere il trattamento stesso.
Per chi porta l’apparecchio fisso, la tecnica di spazzolamento deve essere adattata. È necessario spazzolare i denti *dopo ogni pasto*, non solo al mattino e alla sera. Si consiglia di utilizzare uno spazzolino a setole morbide. È importante spazzolare accuratamente intorno a ogni attacco e sotto il filo, inclinando lo spazzolino verso l’alto per pulire la superficie del dente sopra il filo e verso il basso per pulire la superficie sotto il filo. Esistono anche spazzolini ortodontici con setole centrali più corte, progettati per pulire meglio intorno agli attacchi. Per raggiungere tutti gli angoli e pulire tra i denti e sotto il filo, l’uso dello **scovolino interdentale** (piccoli spazzolini cilindrici o conici) è indispensabile. Lo scovolino va passato attentamente in tutti gli spazi interdentali e sotto il filo ortodontico.
L’uso del **filo interdentale** con l’apparecchio fisso richiede un po’ più di pazienza e l’utilizzo di strumenti specifici, come il filo interdentale con l’estremità rigida (superfloss) o l’infilafilo, che permette di guidare il filo sotto il filo ortodontico principale per poi pulire gli spazi interdentali come di consueto. In alternativa, o in aggiunta, può essere molto utile l’idropulsore (o doccia orale), uno strumento che usa un getto d’acqua pulsato per rimuovere residui di cibo e placca da aree difficili da raggiungere.
Anche chi utilizza apparecchi mobili o allineatori trasparenti deve prestare la massima attenzione all’igiene. L’apparecchio mobile o l’allineatore devono essere rimossi per mangiare e per lavare i denti. I denti vanno spazzolati accuratamente come di consueto, includendo l’uso del filo interdentale. Ma è altrettanto importante la **pulizia e manutenzione dell’apparecchio stesso**. Gli apparecchi mobili in resina e filo metallico devono essere spazzolati delicatamente con spazzolino e sapone neutro o un detergente specifico per apparecchi mobili, risciacquandoli abbondantemente sotto acqua corrente. Gli allineatori trasparenti vanno sciacquati sotto acqua corrente ogni volta che vengono rimossi e spazzolati delicatamente con lo spazzolino e un po’ di dentifricio non abrasivo o detergenti specifici per evitarne l’opacizzazione e l’accumulo di batteri. È fondamentale non lavare gli apparecchi mobili o gli allineatori con acqua troppo calda, che potrebbe deformarli, o con prodotti chimici aggressivi.
Oltre alla pulizia quotidiana, è importante sottoporsi a **controlli e sedute di igiene orale professionale** regolari, con la frequenza consigliata dall’ortodontista e dall’igienista dentale, per rimuovere eventuali accumuli di placca e tartaro difficili da gestire a casa e monitorare la salute di denti e gengive durante il trattamento. Un investimento di tempo e impegno nell’igiene orale quotidiana è essenziale per proteggere la salute dei propri denti e ottenere il massimo beneficio dal trattamento ortodontico.
Quali sono i benefici di un trattamento ortodontico?
Intraprendere e completare un trattamento ortodontico, con tutte le sfide che può comportare in termini di tempo, impegno ed economicità, porta con sé una vasta gamma di benefici che vanno ben oltre il semplice desiderio di avere denti dritti. I risultati positivi ottenibili sono molteplici e impattano sulla salute orale, sulla funzione masticatoria, sull’estetica del sorriso e, in ultima analisi, sul benessere psicologico della persona. Sintetizzare questi risultati positivi significa riconoscere il valore complessivo dell’ortodonzia come investimento nella propria salute a lungo termine.
Il beneficio più immediatamente visibile è sicuramente il **miglioramento estetico**. Un sorriso armonioso, con denti ben allineati e un’occlusione corretta, ha un impatto trasformativo sull’aspetto del viso e sulla percezione che una persona ha di sé. Questo si traduce in un aumento della **fiducia in sé stessi**, una maggiore propensione a sorridere liberamente e un impatto positivo sulle interazioni sociali e professionali. Per molti, correggere un disallineamento dentale che li ha imbarazzati per anni è un cambiamento radicale nella qualità della vita.
Ma i benefici estetici sono solo una parte della storia. I **benefici funzionali** sono altrettanto, se non più, importanti. Un morso corretto (malocclusione risolta) permette una **masticazione più efficace ed equilibrata**. Quando i denti superiori e inferiori si incontrano nel modo giusto, le forze masticatorie vengono distribuite uniformemente su tutte le arcate, migliorando la capacità di triturare il cibo e favorendo una migliore digestione. Questa distribuzione corretta delle forze riduce anche lo **stress e l’usura anomala sui singoli denti**, prevenendo scheggiature, fratture o l’usura prematura dello smalto. Un’occlusione corretta protegge anche le **articolazioni temporo-mandibolari (ATM)** da stress eccessivi e malfunzionamenti, riducendo il rischio di dolori facciali, mal di testa legati alla masticazione e problemi di apertura o chiusura della bocca. In alcuni casi, l’ortodonzia può anche migliorare la fonazione (il modo di parlare), specialmente in presenza di disallineamenti severi.
Infine, non si possono ignorare i vantaggi per la **salute orale generale**. Denti ben allineati sono molto più facili da pulire. Spazzolare, usare il filo interdentale e gli scovolini diventa meno problematico, permettendo una rimozione più efficace della placca batterica e dei residui di cibo. Ciò si traduce in una significativa **reduzione del rischio di problemi gengivali** (gengivite, parodontite) e **carie**, che sono le principali cause di perdita dei denti in età adulta. Facilitando l’igiene, il trattamento ortodontico crea le condizioni ideali per mantenere una bocca sana a lungo termine. In sintesi, un trattamento ortodontico efficace non è solo una questione estetica, ma un percorso che migliora la funzione masticatoria, riduce i rischi di problemi a lungo termine per denti, gengive e articolazioni, e contribuisce in modo significativo al benessere e alla fiducia in sé stessi del paziente.
Consigli utili per chi intraprende un trattamento ortodontico
Decidere di intraprendere un trattamento ortodontico è un passo importante verso un sorriso più sano e armonioso. Tuttavia, è anche un percorso che richiede impegno, pazienza e una stretta collaborazione con il proprio ortodontista. Per affrontare al meglio questa esperienza e massimizzare le possibilità di successo, ecco alcuni suggerimenti pratici e preziosi consigli utili:
- **Scegli l’ortodontista giusto:** Il successo del trattamento dipende in larga parte dall’esperienza e dalla competenza del professionista. Cerca uno specialista in ortodonzia qualificato e di fiducia. Non aver paura di chiedere informazioni sulla sua formazione, esperienza con casi simili al tuo e di chiedere un secondo parere se necessario.
- **Comprendi appieno il tuo piano di trattamento:** Durante la fase diagnostica, assicurati di capire la tua diagnosi, gli obiettivi specifici del tuo piano di trattamento, il tipo di apparecchio proposto, i tempi previsti e cosa ci si aspetta da te in termini di collaborazione (es. indossare elastici, apparecchi mobili). Fai tutte le domande che ti vengono in mente! Un paziente informato è un paziente più collaborativo e meno ansioso.
- **Sii paziente e costante:** I movimenti dentali sono un processo biologico che richiede tempo. Non scoraggiarti se i risultati non sono immediatamente visibili o se il trattamento sembra procedere lentamente. La costanza nell’indossare apparecchi mobili o elastici, se prescritti, è fondamentale. Ogni giorno conta!
- **Mantieni un’igiene orale scrupolosa:** Questo è forse il consiglio più critico. Investi in buoni strumenti (spazzolino ortodontico, scovolini, filo interdentale superfloss o infilafilo) e dedica il tempo necessario (spesso 10-15 minuti) a pulire accuratamente denti e apparecchio dopo ogni pasto. Questo preverrà carie, gengiviti e renderà il trattamento più confortevole. Porta sempre con te un kit da viaggio per l’igiene orale.
- **Segui scrupolosamente le indicazioni dell’ortodontista:** Usa gli elastici come e quando ti è stato detto, indossa gli apparecchi mobili o gli allineatori per il numero di ore prescritto, evita di mangiare cibi troppo duri, gommosi o appiccicosi che potrebbero danneggiare l’apparecchio fisso. Le indicazioni non sono casuali, sono essenziali per il corretto progresso del trattamento.
- **Non saltare gli appuntamenti di controllo:** Questi appuntamenti sono vitali per permettere all’ortodontista di monitorare i progressi, apportare gli aggiustamenti necessari all’apparecchio e gestire eventuali problemi che potrebbero sorgere. Saltare un appuntamento può rallentare significativamente il trattamento.
- **Comunica con il tuo ortodontista:** Se provi dolore persistente, se una parte dell’apparecchio si rompe o si stacca, se hai dubbi o preoccupazioni, non esitare a contattare il tuo studio ortodontico. È meglio affrontare subito piccoli problemi per evitare complicazioni maggiori.
- **Prepara una “cassetta degli attrezzi” per i disagi minori:** Avere a portata di mano cera ortodontica per irritazioni, antidolorifici da banco e un kit di igiene orale può aiutarti ad affrontare i piccoli disagi che si possono presentare tra un appuntamento e l’altro.
- **Pianifica la fase di contenzione:** Già durante la fase attiva, parla con il tuo ortodontista della fase di contenzione. Comprendi l’importanza di questa fase e sii pronto a impegnarti a indossare l’apparecchio di contenzione come prescritto per mantenere il risultato nel tempo.
Seguendo questi consigli, renderai il tuo percorso ortodontico più agevole, efficace e gratificante, portandoti al sorriso sano e allineato che desideri.
Domande frequenti su ortodontico
Cosa si intende per trattamento ortodontico?
Per trattamento ortodontico si intende l’insieme delle procedure mediche specialistiche volte a diagnosticare, prevenire e correggere le malposizioni dei denti (denti storti, affollati, spaziati) e le disarmonie scheletriche delle mascelle (dismorfosi cranio-facciali). L’obiettivo non è solo estetico, ma mira a ripristinare una corretta funzione masticatoria, facilitare l’igiene orale, prevenire problemi articolari (ATM) e garantire la salute orale a lungo termine. In breve, significa “raddrizzare” i denti e “mettere a posto” il morso per migliorare sia l’aspetto che la funzione. È una branca specialistica dell’odontoiatria.
Cosa fa un ortodontista?
L’ortodontista è un medico odontoiatra che, dopo la laurea in odontoiatria, ha completato una specifica scuola di specializzazione post-universitaria in ortognatodonzia. Il suo ruolo è quello di diagnosticare le malocclusioni e i problemi di sviluppo scheletrico attraverso esami clinici e strumentali (radiografie, modelli, foto), elaborare un piano di trattamento personalizzato basato sulla diagnosi e applicare e gestire apparecchi ortodontici (fissi, mobili, invisibili) o ortopedici per spostare i denti e guidare la crescita ossea, al fine di correggere i difetti riscontrati e raggiungere un’occlusione sana ed estetica. È il professionista qualificato per gestire trattamenti ortodontici complessi sia nei bambini che negli adulti.
Quanto dura un trattamento ortodontico?
La durata di un trattamento ortodontico attivo varia notevolmente a seconda della complessità del caso, dell’età del paziente, del tipo di apparecchio utilizzato e della collaborazione del paziente. In media, un trattamento completo può durare da 18 a 36 mesi (1,5-3 anni). Casi molto semplici potrebbero richiedere meno di un anno, mentre quelli più complessi potrebbero protrarsi oltre i 3 anni. È fondamentale discutere la durata prevista con il proprio ortodontista in fase di pianificazione, ma è importante essere consapevoli che la durata stimata può subire variazioni durante il percorso.
Quanto costa un trattamento ortodontico?
Il costo di un trattamento ortodontico è estremamente variabile e dipende da diversi fattori chiave: la gravità del problema da correggere (complessità del caso), la durata prevista del trattamento, il tipo di apparecchio scelto (fisso metallico, estetico, linguale, allineatori trasparenti), l’esperienza del professionista e l’ubicazione dello studio. Non esiste un listino prezzi fisso. Un trattamento ortodontico completo può variare indicativamente da circa 2.000-3.000 € per i casi più semplici fino a 7.000-10.000 € o più per i trattamenti più complessi e con apparecchiature estetiche o avanzate. È indispensabile richiedere un preventivo dettagliato e personalizzato dopo una visita diagnostica specialistica.
Quali sono i tipi di apparecchi ortodontici?
Esistono diverse categorie principali di apparecchi ortodontici. Gli apparecchi fissi sono incollati ai denti e non possono essere rimossi dal paziente; includono gli apparecchi tradizionali con attacchi metallici, le varianti estetiche (con attacchi in ceramica o zaffiro) e gli apparecchi linguali (attacchi posizionati sulla superficie interna dei denti). Gli **apparecchi mobili (o rimovibili)** possono essere inseriti e rimossi dal paziente e sono spesso utilizzati nei bambini per correzioni ortopediche o movimenti limitati, o come apparecchi di contenzione. L’ortodonzia invisibile include gli allineatori trasparenti (mascherine rimovibili seriali) e rientra nella categoria degli apparecchi rimovibili sebbene con un meccanismo d’azione diverso dagli apparecchi mobili classici. La scelta dell’apparecchio più adatto dipende dalla diagnosi e dagli obiettivi del trattamento.