
Table of Contents
ToggleKey Takeaways
-
- Il ritiro delle gengive (recessione gengivale) è un segnale di problemi di supporto dentale.
-
- I sintomi comuni includono sensibilità, denti che appaiono più lunghi e visibilità della radice.
-
- Le cause sono varie: igiene scorretta o aggressiva, infiammazione (gengivite/parodontite), fumo, bruxismo e fattori anatomici.
-
- La gengiva persa non ricresce spontaneamente.
-
- Le cure mirano a bloccare la progressione (igiene, rimozione cause) e, se necessario, a ricoprire la radice con interventi chirurgici (innesti gengivali).
-
- La prevenzione tramite corretta igiene e controlli regolari è fondamentale.
-
- Le conseguenze del mancato trattamento possono essere sensibilità persistente, carie radicolare, perdita ossea e, nei casi gravi, perdita del dente.
- Spesso, la “malattia del ritiro gengivale” si riferisce alla parodontite.
Ritiro delle gengive: Cos’è, Cause, Sintomi e Come Intervenire
Il ritiro delle gengive, o recessione gengivale, non è una semplice questione estetica. È un campanello d’allarme che il nostro cavo orale ci suona, indicando che qualcosa non va nel sistema di supporto dei nostri denti. Ignorarlo può portare a conseguenze ben più serie della semplice visibilità di una porzione di dente solitamente coperta. Ma andiamo per ordine e facciamo luce su questo fenomeno.
ritiro delle gengive: Cosa Sono e Come Riconoscerle?
Immaginate la gengiva come la “cornice” rosa che abbraccia delicatamente ogni dente. Nella sua posizione ideale, questa cornice arriva fino al “colletto” del dente, proteggendo la radice sottostante. La recessione gengivale si verifica quando questa cornice, per vari motivi, inizia a spostarsi verso il basso (sui denti superiori) o verso l’alto (sui denti inferiori), “ritirandosi” e lasciando scoperta una parte della radice dentale. È un fenomeno che può interessare un singolo dente o manifestarsi in diverse aree della bocca contemporaneamente. Spesso, chi ne è colpito nota che i propri denti sembrano “più lunghi” del normale, oppure avverte una superficie più scura o giallastra (la radice, priva dello smalto protettivo) proprio al di sotto del margine gengivale. Questo ritiro può essere lieve, quasi impercettibile all’inizio, o diventare progressivamente più marcato. Non è raro che le persone utilizzino termini più colloquiali per descrivere questo fenomeno, parlando di “gengive che si ritraggono”, “gengiva consumata” o semplicemente “gengiva si ritira”, tutti modi per indicare lo stesso processo di spostamento del margine gengivale. Riconoscere questi primi segnali visivi è fondamentale per poter intervenire tempestivamente.
Cosa si intende per recessione gengivale?
In termini più tecnici, la recessione gengivale è un processo patologico caratterizzato dalla migrazione apicale del margine gengivale libero rispetto alla giunzione amelo-cementizia (il punto in cui smalto e cemento radicolare si incontrano). Questo spostamento porta all’esposizione della superficie radicolare del dente, che è più vulnerabile all’abrasione, alla carie e alla sensibilità. È importante distinguere tra una minima e lenta recessione fisiologica, che può verificarsi con l’avanzare dell’età a causa del naturale invecchiamento dei tessuti, e la recessione patologica, che è invece la conseguenza di specifiche cause dannose e richiede un’indagine e un intervento professionali. La recessione patologica può progredire rapidamente e compromettere seriamente la salute e la stabilità del dente interessato. Capire questa distinzione aiuta a inquadrare correttamente il problema e a non sottovalutarlo, cercando il parere di un esperto non appena si notano cambiamenti significativi.
Come si presenta la recessione gengivale: i sintomi?
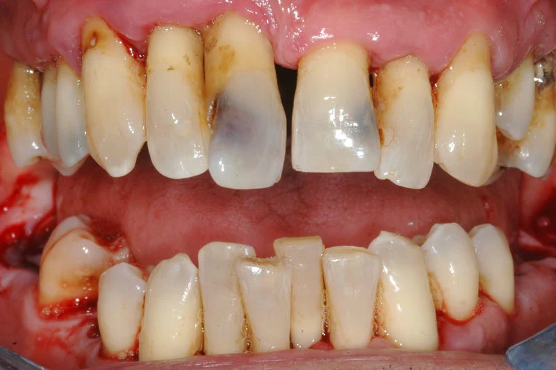
Il ritiro gengivale non sempre si manifesta con dolore immediato, ma ci sono sintomi tipici che ne segnalano la presenza. Il più comune e spesso il primo ad essere notato è l’aumento della sensibilità dentale. Questa sensibilità si acutizza in particolare quando i denti esposti entrano in contatto con stimoli termici (cibi o bevande calde/fredde) o chimici (cibi dolci o acidi). Il dolore o fastidio può variare da un leggero brivido a una fitta intensa. Visivamente, come già accennato, il segno più evidente è che uno o più denti appaiono più lunghi. Si può notare una linea più scura o un colore diverso (il cemento radicolare, che è più poroso e meno bianco dello smalto) vicino al margine gengivale. A volte, si può percepire una “scalino” o una depressione tangibile sulla superficie del dente, vicino alla gengiva. Anche se non è un sintomo diretto del ritiro in sé, il sanguinamento gengivale può essere associato alla recessione, specialmente se la causa sottostante è l’infiammazione (gengivite o parodontite). In questi casi, la gengiva può apparire arrossata e gonfia, oltre che ritirata.
Quando preoccuparsi per il ritiro delle gengive?
Non ogni minima variazione del margine gengivale deve generare panico, ma ci sono segnali che impongono una visita senza indugio dal dentista o dal parodontologo. Innanzitutto, se notate una progressione rapida del ritiro: se la gengiva sembra ritirarsi visibilmente in un breve lasso di tempo. La presenza di dolore persistente o sensibilità intensa che rende difficile mangiare, bere o spazzolare i denti è un altro chiaro indicatore che qualcosa richiede attenzione professionale. Anche una recessione che, seppur non dolorosa, è estesa o profonda e lascia una porzione significativa della radice scoperta non va trascurata, poiché aumenta il rischio di carie radicolare e può compromettere la stabilità del dente a lungo termine. In generale, qualsiasi ritiro gengivale visibile o percepibile al tatto merita una valutazione da parte di un professionista per identificarne la causa e stabilire il piano di trattamento più adeguato prima che la situazione peggiori. Meglio un controllo in più che un problema affrontato troppo tardi.
Perché le gengive si ritirano: Le cause principali?
Il ritiro delle gengive non è un fenomeno casuale, ma è quasi sempre la conseguenza di uno o più fattori scatenanti che agiscono sui delicati tessuti parodontali. È importante capire che raramente c’è una singola causa isolata; più spesso, si tratta di un processo multifattoriale in cui diverse condizioni contribuiscono al problema. Queste cause possono essere raggruppate in varie categorie, tra cui fattori infettivi, traumatici, anatomici e abitudini di vita. Identificare la causa o le cause specifiche è il primo passo fondamentale per poter impostare un trattamento efficace e prevenire un’ulteriore progressione della recessione. Non è sufficiente trattare il sintomo (la radice esposta), ma bisogna agire alla radice del problema. Per questo, una valutazione accurata da parte del dentista è indispensabile per svelare il “perché” dietro il ritiro delle gengive.
Da cosa è provocata la recessione gengivale?
Le cause più frequenti e dirette del ritiro gengivale sono strettamente legate alle nostre abitudini quotidiane e alla presenza di condizioni patologiche nel cavo orale. Al primo posto, troviamo spesso l’igiene orale scorretta, sia per difetto che per eccesso. Un’igiene insufficiente porta all’accumulo di placca batterica e tartaro, che scatenano l’infiammazione cronica delle gengive (gengivite). Se non trattata, la gengivite può evolvere in parodontite, una malattia distruttiva che intacca i tessuti di supporto del dente (gengiva, legamento parodontale, osso alveolare) e provoca, tra le altre cose, proprio il ritiro gengivale e la perdita ossea. D’altro canto, un’igiene orale troppo aggressiva può essere altrettanto dannosa. Uno spazzolamento eccessivamente vigoroso, l’uso di spazzolini con setole troppo dure o una tecnica di spazzolamento scorretta possono causare un trauma meccanico diretto sulla gengiva, “spingendola” via nel tempo. Anche il fumo di sigaretta è un fattore di rischio significativo: riduce l’afflusso di sangue ai tessuti gengivali, compromettendone la salute e la capacità di guarigione, e maschera i sintomi dell’infiammazione, ritardando la diagnosi di parodontite. Fattori anatomici come malposizioni dentali (denti storti, affollati, o troppo sporgenti) possono rendere alcune aree più suscettibili al trauma da spazzolamento o all’accumulo di placca. Infine, piercing labiali o linguali possono causare trauma cronico sulla gengiva vicina, portando al suo ritiro, così come frenuli labiali o linguali particolarmente corti e spessi che “tirano” il margine gengivale. Traumi acuti ai denti possono anch’essi danneggiare il supporto gengivale e causare recessione.
Quali sono le cause della retrazione gengivale legate a specifiche condizioni?
Oltre alle cause più comuni, il ritiro gengivale è spesso il sintomo o la conseguenza di condizioni orali più complesse. La parodontite, come accennato, è una delle principali responsabili delle recessioni gengivali estese e profonde. Non si tratta solo di un ritiro, ma di una vera e propria distruzione progressiva dei tessuti di supporto del dente causata da batteri specifici. La “malattia delle gengive che si ritirano”, in molti contesti, si riferisce proprio alla parodontite in fase avanzata. Un’altra condizione significativa è il bruxismo, ovvero il digrignamento o serramento involontario dei denti, soprattutto durante il sonno. Le forze eccessive e anomale generate dal bruxismo possono causare stress sui denti e sul loro apparato di supporto, contribuendo all’usura dei tessuti duri e, di conseguenza, favorendo o peggiorando il ritiro gengivale, specialmente in presenza di altre concause. Anche l’usura dei denti dovuta all’età, all’erosione da acidi (cibi, bevande, reflusso gastrico) o all’abrasione (spazzolamento eccessivo, uso di dentifrici abrasivi) può indirettamente influenzare il margine gengivale. Quando la superficie del dente vicino alla gengiva si riduce, la gengiva perde in parte il suo supporto e può ritirarsi.
Quali sono le cause specifiche per il ritiro gengivale del molare o colletti scoperti?
Alcune aree della bocca, come i molari o i premolari, possono essere particolarmente predisposte al ritiro gengivale per specifici motivi. Spesso, i molari presentano una radice con anatomia più complessa o sono posizionati in modo tale da rendere l’igiene più difficile, favorendo l’accumulo di placca e tartaro in zone meno accessibili. Inoltre, sono le aree che sopportano le maggiori forze masticatorie, e in caso di bruxismo o malocclusioni, lo stress su queste strutture può essere amplificato, contribuendo al ritiro. Quando si parla di “colletti scoperti”, ci si riferisce in generale all’esposizione della superficie radicolare vicino al colletto del dente, che è appunto il segno visibile della recessione. Le cause specifiche per i colletti scoperti in generale (non solo sui molari) possono includere tutti i fattori già menzionati (spazzolamento traumatico, parodontite, malposizioni), ma talvolta sono accentuate dalla sottigliezza dell’osso o della gengiva in quella specifica area, una condizione anatomica preesistente che rende il sito più vulnerabile. Anche i trattamenti ortodontici, se non gestiti con cura e igiene impeccabile, possono in rari casi favorire recessioni localizzate. Comprendere le specificità anatomiche e funzionali di queste aree aiuta il dentista a formulare una diagnosi precisa e a proporre il trattamento più mirato, che potrebbe differire leggermente da quello per recessioni in altre zone. Non esistono rimedi “specifici” per i colletti scoperti nel senso di prodotti miracolosi che li facciano ricoprire, ma piuttosto trattamenti (spesso chirurgici) per ripristinare il tessuto mancante, una volta eliminate le cause.
Cosa fare se le gengive si ritirano: Le opzioni di cura?
Scoprire che le proprie gengive si stanno ritirando può essere preoccupante, ma è fondamentale sapere che esistono diverse opzioni terapeutiche efficaci. L’approccio migliore è sempre personalizzato e dipende dalla gravità della recessione, dalla sua causa sottostante, dalla salute generale del paziente e da altri fattori specifici. L’obiettivo principale del trattamento è duplice: fermare la progressione ulteriore del ritiro e, quando indicato e possibile, coprire la superficie radicolare esposta per proteggerla, ridurre la sensibilità e migliorare l’estetica. Una diagnosi precoce è cruciale, poiché intervenire nelle fasi iniziali del ritiro permette spesso di adottare soluzioni meno invasive e con migliori probabilità di successo. Non esiste una “cura unica” valida per tutti, ma un percorso che viene definito dal dentista dopo un’attenta valutazione.
Come si cura la recessione gengivale?
La cura della recessione gengivale inizia sempre con l’identificazione e la rimozione della causa o delle cause scatenanti. Se la recessione è dovuta a igiene insufficiente e presenza di placca/tartaro, il primo passo è una pulizia professionale profonda (scaling e root planing) per rimuovere le incrostazioni batteriche sopra e sotto il bordo gengivale. Verranno poi fornite istruzioni dettagliate su come migliorare l’igiene orale domiciliare con tecniche di spazzolamento corrette, l’uso del filo interdentale o degli scovolini. Se la causa è lo spazzolamento traumatico, si insegnerà la tecnica corretta e si consiglierà l’uso di uno spazzolino a setole morbide. In caso di bruxismo, potrebbe essere raccomandato l’uso di un bite notturno. Una volta eliminate le cause irritanti, la gengiva può migliorare la sua salute, ma il tessuto perso non ricresce spontaneamente. Per le recessioni significative, soprattutto quelle che causano ipersensibilità persistente o compromettono l’estetica o la stabilità del dente, può essere necessario ricorrere a trattamenti chirurgici, come gli innesti gengivali. Questi interventi mirano a ripristinare il tessuto gengivale mancante e coprire la radice esposta. Parallelamente o successivamente a questi interventi, possono essere utilizzati trattamenti specifici per ridurre la sensibilità della radice esposta, come l’applicazione di vernici al fluoro o agenti desensibilizzanti. La terapia, quindi, è spesso un percorso combinato di igiene, eliminazione delle cause e, se necessario, chirurgia.
A chi rivolgersi per curare la recessione gengivale?
La figura professionale più indicata a cui rivolgersi in caso di ritiro delle gengive è il dentista generico o, per i casi più complessi e le terapie chirurgiche, uno specialista in parodontologia. Il dentista di fiducia può fare una prima valutazione, identificare le cause più comuni (come una tecnica di spazzolamento errata o la presenza di placca e tartaro) e impostare un piano di trattamento iniziale, che include istruzioni sull’igiene orale e una pulizia professionale. Tuttavia, se la recessione è estesa, profonda, associata a parodontite o se sono necessarie procedure chirurgiche avanzate come gli innesti gengivali, il dentista potrebbe indirizzarvi verso un parodontologo. Il parodontologo è un odontoiatra specializzato nella diagnosi, prevenzione e trattamento delle malattie che colpiscono i tessuti di supporto del dente, inclusa la recessione gengivale. Possiede le competenze e le tecniche chirurgiche più sofisticate per gestire anche i casi più complessi e migliorare la salute e l’estetica delle gengive. Non esitate a chiedere al vostro dentista una consulenza specifica o, se il caso lo richiede, di essere indirizzati a uno specialista. Affidarsi a professionisti qualificati è fondamentale per ottenere risultati efficaci e duraturi.
Qual è la terapia per le recessioni gengivali?
La terapia per le recessioni gengivali si articola principalmente in trattamenti non chirurgici e chirurgici. Le terapie non chirurgiche rappresentano spesso il primo passo e sono fondamentali per controllare le cause infiammatorie. Queste includono la detartrasi (rimozione del tartaro) e lo scaling e root planing (pulizia profonda delle superfici radicolari al di sotto del bordo gengivale) per eliminare placca e batteri. Queste procedure aiutano a ridurre l’infiammazione e possono, in alcuni casi di recessione lieve associata a infiammazione, permettere una minima “riconquista” di spazio da parte della gengiva, sebbene non una ricrescita del tessuto perso. Parallelamente, è essenziale una corretta istruzione all’igiene orale domiciliare. Le terapie chirurgiche diventano necessarie quando la recessione è avanzata, quando c’è la necessità di coprire la radice esposta per motivi di sensibilità, estetica o protezione dalla carie radicolare, o quando la recessione è legata a difetti ossei. Le tecniche chirurgiche più comuni sono gli innesti gengivali, che prevedono il prelievo di tessuto da un’altra area della bocca (spesso il palato) o l’uso di materiali sostitutivi per aumentare il volume e l’altezza della gengiva nella zona interessata. Un’altra tecnica è il riposizionamento del lembo, dove il tessuto gengivale adiacente alla recessione viene spostato per coprire la radice, a volte in combinazione con materiali rigenerativi. Queste procedure mirano a ripristinare un margine gengivale sano e protettivo. A supporto di queste terapie, possono essere raccomandati prodotti specifici come dentifrici desensibilizzanti o gel protettivi. Un follow-up regolare con il dentista o il parodontologo è essenziale dopo il trattamento per monitorare la guarigione, mantenere un’igiene ottimale e prevenire recidive.
Esistono rimedi per le gengive che si ritirano?
Molte persone, di fronte al ritiro delle gengive, cercano soluzioni rapide o “miracolose”, spesso rivolgendosi a rimedi casalinghi o prodotti pubblicizzati come capaci di far “ricrescere” il tessuto. È importante fare chiarezza: mentre l’igiene orale e l’uso di prodotti specifici possono aiutare a mantenere la salute dei tessuti gengivali esistenti e prevenire un ulteriore peggioramento, non esistono rimedi, né naturali né farmacologici non prescritti dal dentista, che possano far ricrescere il tessuto gengivale perso. La gengiva adulta non ha la capacità di rigenerarsi spontaneamente in risposta a stimoli casalinghi. I veri “rimedi” per il ritiro gengivale sono le terapie professionali mirate a bloccare la causa e, se necessario, a ripristinare il tessuto perso tramite procedure chirurgiche. Le aspettative realistiche sono fondamentali per evitare delusioni e, soprattutto, per non perdere tempo prezioso che potrebbe essere utilizzato per un trattamento efficace e tempestivo.
Quali sono i rimedi naturali per il ritiro gengivale?
I cosiddetti “rimedi naturali” o “rimedi della nonna” per le gengive ritirate vengono spesso ricercati, ma è fondamentale approcciarli con cautela e consapevolezza. Preparati come sciacqui con acqua salata, infusi di erbe (es. camomilla, salvia) o l’applicazione di gel a base di aloe vera possono avere proprietà lenitive, antinfiammatorie o antibatteriche che possono aiutare a mantenere le gengive rimanenti in uno stato di salute migliore e a ridurre l’infiammazione associata. Questo, a sua volta, può contribuire a rallentare la progressione del ritiro causato dall’infiammazione o a dare un po’ di sollievo dai sintomi. Tuttavia, è cruciale ribadire con forza che nessuno di questi rimedi “naturali” ha la capacità scientificamente provata di far ricrescere il tessuto gengivale perso. Non possono ricostruire l’osso o la gengiva che si sono ritirati. Utilizzarli come unica forma di trattamento, ignorando la necessità di una diagnosi e di una terapia professionale per rimuovere la causa (che sia placca, trauma o parodontite), significa semplicemente perdere tempo e permettere alla condizione di peggiorare, con il rischio di danni irreversibili o più difficili da trattare in futuro. Possono essere visti al massimo come coadiuvanti per l’igiene e il benessere generale delle gengive, ma mai come sostituti della cura odontoiatrica.
Quali prodotti usare per le gengive ritirate?
L’uso di prodotti specifici può essere un valido supporto nel gestire i sintomi del ritiro gengivale e nel mantenere l’igiene orale, ma sempre sotto consiglio del dentista. Per la sensibilità causata dai colletti scoperti, sono molto utili i dentifrici desensibilizzanti contenenti principi attivi come il nitrato di potassio o il fluoruro stannoso, che aiutano a bloccare i tubuli dentinali esposti, riducendo la trasmissione degli stimoli (caldo, freddo). Collutori delicati, magari a base di clorexidina (usata per periodi limitati sotto controllo medico) o altri agenti antibatterici/antinfiammatori, possono essere raccomandati per tenere sotto controllo l’infiammazione gengivale associata. Esistono anche gel o paste a base di acido ialuronico o altri agenti bioattivi che possono essere applicati localmente per favorire la guarigione dei tessuti dopo procedure professionali o per fornire una barriera protettiva, ma anche questi non inducono la ricrescita del tessuto perso. Il dentifricio ideale per gengive ritirate che sanguinano (spesso sintomo di infiammazione/parodontite) dovrebbe essere specifico per la salute gengivale, formulato per aiutare a rimuovere la placca batterica efficacemente ma con delicatezza, e può contenere agenti antibatterici. Prodotti come parodontax sono spesso raccomandati in questi casi. La scelta del prodotto migliore dipende dalla causa e dalla gravità del ritiro, nonché dalla presenza di altri sintomi come il sanguinamento o la sensibilità. Per questo, è sempre bene chiedere consiglio al proprio dentista o igienista dentale su quale dentifricio, collutorio o gel sia più indicato nel proprio caso specifico.
Le gengive ritirate possono ricrescere o tornare normali?
Questa è forse la domanda più frequente e carica di speranza per chi scopre di avere il ritiro gengivale. Ed è anche una domanda a cui bisogna rispondere con assoluta onestà e chiarezza per gestire le aspettative e orientare verso i percorsi terapeutici corretti. Purtroppo, il tessuto gengivale maturo perso a causa della recessione, come la gengiva che si è ritirata dalla sua posizione originale ed è scomparsa, non ha la capacità innata di rigenerarsi e ricrescere spontaneamente da solo, come fa ad esempio la pelle in caso di ferita. Una volta che quel tessuto è perso, non torna magicamente al suo posto semplicemente migliorando l’igiene o usando un collutorio specifico. Questo è un punto cruciale da capire: la prevenzione è vitale proprio perché la perdita di tessuto è spesso irreversibile senza un intervento esterno.
Come farsi ricrescere le gengive?
Alla luce di quanto detto, la risposta diretta alla domanda “Come farsi ricrescere le gengive?” è che non è possibile farlo autonomamente a casa con rimedi o prodotti non professionali. L’unico modo attualmente disponibile nella pratica clinica per “far ricrescere”, o più precisamente, ricoprire la superficie radicolare esposta e ripristinare un contorno gengivale più vicino a quello originale, è attraverso specifiche procedure chirurgiche parodontali. Queste tecniche, note come chirurgia muco-gengivale o chirurgia plastica parodontale, mirano a ricostruire il tessuto mancante. L’intervento più comune è l’innesto gengivale, che prevede il prelievo di una piccola quantità di tessuto gengivale da un’altra area della bocca del paziente (spesso il palato, chiamato innesto di tessuto connettivo o innesto epiteliale libero) o l’utilizzo di materiali biocompatibili di origine animale o sintetica. Questo tessuto viene poi posizionato e suturato nell’area della recessione per aumentarne lo spessore e coprire la radice esposta. Altre tecniche includono procedure a lembo, dove il tessuto gengivale adiacente viene mobilizzato e riposizionato per coprire la recessione, a volte in combinazione con materiali rigenerativi. L’obiettivo di queste procedure è ripristinare un livello gengivale sano e funzionale, proteggendo la radice, riducendo la sensibilità e migliorando l’estetica del sorriso. È fondamentale che queste procedure siano eseguite da un parodontologo esperto.
Le gengive ritirate ricrescono da sole?
Assolutamente no. Questo è un punto che vale la pena ribadire per evitare false speranze e incoraggiare le persone a cercare l’aiuto professionale appropriato. Il tessuto gengivale perso a causa del ritiro non ha la capacità biologica di riformarsi spontaneamente e ricoprire la radice esposta. Una volta che il margine gengivale si sposta apicalmente, rimane in quella posizione a meno che non venga corretto chirurgicamente. Questo rende la prevenzione e l’intercettazione precoce del problema ancora più importanti. Se notate anche un minimo ritiro gengivale, la strategia migliore non è aspettare sperando che torni normale da solo, ma consultare un dentista per identificare la causa, bloccare la progressione e valutare le opzioni per correggere il difetto, se necessario. L’unica situazione in cui un minimo miglioramento (ma non una ricrescita vera e propria) si può osservare è se la recessione è causata prevalentemente da un’infiammazione molto marcata: una volta risolta l’infiammazione con igiene e pulizia professionale, la gengiva sgonfiandosi potrebbe apparire leggermente più “aderente”, ma questo non significa che il tessuto perso si sia riformato.
Quando è necessario un intervento chirurgico per le gengive ritirate?
L’intervento chirurgico non è sempre la prima opzione o l’unica soluzione per il ritiro gengivale, ma diventa spesso la scelta più efficace e talvolta indispensabile in specifici casi. La decisione di procedere con la chirurgia viene presa dal dentista o dal parodontologo in base a diversi fattori, valutando la gravità della recessione, i sintomi che provoca, la sua causa e l’impatto sulla salute e sull’estetica del paziente. Generalmente, la chirurgia è considerata quando la recessione è significativa e profonda, lasciando una porzione considerevole della radice esposta. Un altro motivo principale per intervenire chirurgicamente è la presenza di ipersensibilità radicolare persistente e severa che non migliora con trattamenti non invasivi come dentifrici desensibilizzanti o applicazioni di vernici al fluoro. Inoltre, la chirurgia è indicata quando la recessione compromette seriamente l’estetica del sorriso, soprattutto sui denti anteriori, o quando mette a rischio la stabilità a lungo termine del dente a causa di una base di supporto gengivale inadeguata o di un aumentato rischio di carie radicolare non trattabile diversamente. Infine, in alcuni casi di recessione associata a parodontite, la chirurgia può essere parte di un piano di trattamento più ampio per rigenerare i tessuti di supporto persi e migliorare la prognosi del dente. La valutazione personalizzata è la chiave per determinare se e quale tipo di intervento chirurgico sia più appropriato.
Che tipo di chirurgia viene utilizzata per trattare la recessione gengivale?
Esistono diverse tecniche chirurgiche per correggere la recessione gengivale, ognuna con specifici obiettivi e indicazioni, scelte in base alla morfologia del difetto, alla sua estensione e alla disponibilità di tessuto nella zona circostante o in altre aree della bocca. Le procedure più comuni rientrano nella chirurgia muco-gengivale e plastica parodontale. L’innesto gengivale di tessuto connettivo è la tecnica più diffusa e prevedibile, soprattutto per coprire le radici esposte. Consiste nel prelevare tessuto connettivo (lo strato più profondo della gengiva) dal palato e posizionarlo sotto un lembo di gengiva nella zona della recessione. L’innesto epiteliale libero, meno frequente per la copertura radicolare ma utile per aumentare la quantità di gengiva spessa, prevede il prelievo di tutto lo spessore del tessuto dal palato e il suo innesto diretto nell’area recessa. Le tecniche di riposizionamento del lembo (coronalmente, lateralmente o spostato diagonalmente) prevedono la mobilizzazione del tessuto gengivale adiacente alla recessione e il suo spostamento per coprire la radice, a volte in combinazione con innesti o materiali rigenerativi. Le tecniche di rigenerazione guidata dei tessuti utilizzano membrane o fattori di crescita per stimolare la ricrescita dell’osso e del legamento parodontale, oltre alla copertura radicolare, e sono spesso impiegate in recessioni associate a difetti ossei. Negli ultimi anni, anche il laser è stato proposto come strumento coadiuvante in parodontologia, talvolta utilizzato per ridurre l’infiammazione e favorire la guarigione, ma il suo ruolo nella ricopertura di recessioni ampie come alternativa unica alle tecniche chirurgiche tradizionali è ancora oggetto di studio e dibattito scientifico, e non sostituisce le procedure di innesto per i difetti significativi. La scelta della tecnica chirurgica dipende dalla valutazione esperta del parodontologo.
Quanto costa un innesto gengivale e quanto dura?
Determinare il costo esatto di un innesto gengivale non è semplice, in quanto varia considerevolmente in base a diversi fattori: la complessità del caso (quantità di tessuto da innestare, numero di denti coinvolti), la tecnica chirurgica utilizzata, la parcella del chirurgo (specialista in parodontologia), la struttura clinica in cui viene eseguito l’intervento e l’area geografica. In Italia, il costo per l’innesto gengivale su un singolo dente può variare orientativamente da poche centinaia di euro fino a oltre mille euro, ma è fondamentale richiedere un preventivo dettagliato dopo una visita specialistica. Quando si parla di “costo della recessione gengivale”, si intende spesso il costo totale per affrontare il problema, che può includere, oltre all’eventuale chirurgia, anche le pulizie profonde preliminari, i controlli post-operatori e i trattamenti di mantenimento. Per quanto riguarda la durata dei risultati di un innesto gengivale, se l’intervento ha successo e le cause che hanno portato alla recessione originale (come igiene scorretta, fumo, trauma) vengono eliminate o controllate efficacemente, l’innesto può durare per molti anni, spesso in modo permanente. Il mantenimento di un’ottima igiene orale domiciliare e controlli professionali regolari (spesso più frequenti del normale) sono cruciali per preservare nel tempo il risultato ottenuto con l’intervento chirurgico. Una recidiva è possibile se non si rimuovono i fattori di rischio.
L’innesto gengivale è doloroso?
È comprensibile avere preoccupazione riguardo al dolore associato a un intervento chirurgico, e l’innesto gengivale non fa eccezione. Tuttavia, è importante sapere che la procedura stessa viene eseguita sotto anestesia locale, quindi durante l’intervento non si avverte dolore. Quello che si può provare è una sensazione di pressione o vibrazione. Il dolore post-operatorio è gestibile. Nelle ore successive all’intervento, quando l’effetto dell’anestesia svanisce, si può avvertire fastidio o dolore nell’area trattata e, se è stato prelevato tessuto dal palato, anche in quella zona donatrice. Questo disagio è solitamente controllabile con i farmaci antidolorifici (analgesici) prescritti dal chirurgo. Il dolore nella sede di prelievo al palato viene spesso descritto come simile a quello di una piccola abrasione o bruciatura e può richiedere alcuni giorni per migliorare. Nell’area ricevente (dove è stato fatto l’innesto), il fastidio è generalmente minore. Il gonfiore e qualche lieve sanguinamento nei primi giorni sono normali. Seguendo attentamente le istruzioni post-operatorie fornite dal parodontologo (terapia farmacologica, indicazioni sull’igiene, alimentazione morbida, evitare sforzi) si può ridurre significativamente il disagio e favorire una guarigione più rapida e confortevole. Quindi, mentre un certo grado di fastidio è previsto, l’innesto gengivale non è tipicamente un’esperienza estremamente dolorosa e il disagio è temporaneo.
Come prevenire il ritiro delle gengive e rinforzarle?
La prevenzione è l’arma più potente che abbiamo contro il ritiro gengivale. Poiché, come abbiamo visto, il tessuto perso difficilmente si rigenera spontaneamente, evitare che la recessione si manifesti o progredisca è di fondamentale importanza per mantenere la salute a lungo termine dei nostri denti e del nostro sorriso. “Rinforzare” le gengive, in questo contesto, non significa renderle più spesse magicamente, ma piuttosto migliorarne la salute generale e la resistenza agli insulti esterni, creando un ambiente orale ottimale che ne preservi l’integrità. Adottare le giuste pratiche di igiene e stile di vita può fare un’enorme differenza nel proteggere i nostri tessuti gengivali.
Cosa fare per prevenire ulteriori danni?
La prevenzione del ritiro gengivale si concentra principalmente sull’eliminazione o il controllo dei fattori di rischio che abbiamo discusso in precedenza. Il punto cardine è un’igiene orale domiciliare corretta e non traumatica. Questo significa imparare e utilizzare la tecnica di spazzolamento più adatta (spesso consigliata è una tecnica delicata con movimenti verticali o circolari leggeri, evitando lo spazzolamento orizzontale vigoroso) e scegliere lo spazzolino giusto: uno a setole morbide è quasi sempre la scelta migliore per proteggere le gengive. Altrettanto cruciale è l’uso quotidiano del filo interdentale o degli scovolini interdentali per rimuovere placca e residui di cibo dagli spazi tra i denti, aree che lo spazzolino non riesce a raggiungere efficacemente e dove l’infiammazione ha origine. Controlli dentali regolari (generalmente ogni 6-12 mesi, o più frequentemente se consigliato dal dentista) e sedute di igiene professionale (detartrasi) sono indispensabili per rimuovere il tartaro che si forma inevitabilmente e che non può essere rimosso con lo spazzolamento domestico, oltre a permettere al dentista di monitorare la salute delle gengive. Se il bruxismo è un problema, l’uso di un bite notturno (un apparecchio in resina trasparente) può proteggere i denti e i tessuti di supporto dalle forze dannose. Smettere di fumare è uno dei passi più importanti per la salute gengivale. Infine, se ci sono malposizioni dentali che predispongono al ritiro, l’ortodonzia (apparecchio) può aiutare a posizionare correttamente i denti.
Come lavare i denti con gengive ritirate?
Chi ha già sviluppato il ritiro gengivale deve prestare particolare attenzione alla tecnica di spazzolamento per evitare di peggiorare la situazione e per non irritare ulteriormente le aree già esposte. La regola d’oro è la delicatezza. Utilizzare sempre uno spazzolino a setole morbide. La tecnica consigliata è quella di spazzolare con movimenti delicati che vanno dalla gengiva verso il dente, come per “spazzare” via la placca. Evitate movimenti orizzontali avanti-indietro energici, che possono causare abrasione del colletto esposto e ulteriore ritiro. Prestate attenzione alla pressione: non è necessario “grattare” forte per pulire efficacemente; spesso è la tecnica corretta e la frequenza (almeno due volte al giorno) a fare la differenza. La pulizia interdentale con filo o scovolini è altrettanto importante, ma va eseguita con attenzione per non traumatizzare la papilla interdentale, soprattutto se è già parzialmente ritirata. Il dentista o l’igienista possono mostrare la tecnica di spazzolamento e pulizia interdentale più adatta alla specifica situazione di ritiro. In presenza di colletti scoperti e sensibilità, usare un dentifricio specifico per denti sensibili può rendere lo spazzolamento più confortevole, incoraggiando un’igiene più efficace.
Come posso rinforzare le gengive che si ritirano?
Come accennato, il concetto di “rinforzare” le gengive ritirate si riferisce più al miglioramento della loro salute generale e della loro resistenza, piuttosto che a una “ricrescita” in senso stretto. Una dieta equilibrata e ricca di vitamine (in particolare vitamina C e K) e minerali è fondamentale per la salute di tutti i tessuti del corpo, incluse le gengive. Mantenere sotto controllo l’infiammazione è cruciale: questo si ottiene principalmente attraverso un’igiene orale impeccabile (rimuovendo placca e tartaro) e i controlli professionali regolari. In alcuni casi, un delicato massaggio gengivale può essere consigliato per migliorare la circolazione sanguigna locale; questo va eseguito con i polpastrelli puliti o con uno spazzolino a setole morbide, con movimenti circolari molto leggeri sulle gengive, evitando l’area di recessione se è sensibile o infiammata. Prodotti specifici, come collutori o gel con agenti antinfiammatori o rigeneranti (come l’acido ialuronico), possono supportare la guarigione e mantenere i tessuti sani, ma non hanno il potere di far ricrescere la gengiva persa. “Come posso fermare la recessione gengivale?” e “Come posso salvare le gengive che si ritirano?” si ricollegano direttamente a queste strategie: bloccare la progressione significa identificare e rimuovere le cause (igiene migliorata, gestione del bruxismo, smettere di fumare, correzione ortodontica, ecc.) e mantenere uno stato di salute orale ottimale. Salvare le gengive rimanenti e il dente significa agire tempestivamente con prevenzione e, se necessario, trattamenti professionali, inclusa la chirurgia per i casi avanzati.
Quali sono le conseguenze del ritiro delle gengive non trattato?
Ignorare il ritiro gengivale, sperando che si risolva da solo o non riconoscendone l’importanza, può portare a una serie di problemi progressivamente più seri che vanno ben oltre il semplice inestetismo. Le conseguenze di una recessione non trattata possono compromettere la salute, la funzionalità e la longevità dei denti interessati e, in alcuni casi, estendersi ad altre aree della bocca. Per questo motivo, è fondamentale non sottovalutare i primi segnali e rivolgersi a un professionista per una valutazione e un piano d’azione. L’inerzia in questi casi può costare caro in termini di salute orale futura.
Che problemi determina la gengiva ritirata?
Una delle conseguenze più immediate e fastidiose del ritiro gengivale è l’ipersensibilità dentale persistente. L’esposizione della superficie radicolare, che è porosa e contiene migliaia di piccoli canali (tubuli dentinali) che conducono direttamente al nervo del dente, rende il dente estremamente sensibile agli stimoli termici (caldo, freddo), chimici (dolce, acido) e meccanici (spazzolamento, contatto). Questo può rendere le normali attività quotidiane come mangiare e bere dolorose. Un rischio molto elevato associato alla radice esposta è la carie radicolare. A differenza della corona del dente, la radice non è protetta dal duro smalto, ma da un tessuto più morbido chiamato cemento, che è molto più suscettibile all’attacco acido dei batteri e quindi alla carie. Le carie radicolari possono progredire rapidamente e sono spesso più difficili da trattare rispetto a quelle sullo smalto. L’igiene orale nelle aree con recessione può diventare complicata, poiché è difficile pulire efficacemente la superficie radicolare irregolare senza irritare la gengiva, aumentando il rischio di accumulo di placca e infiammazione. Se il ritiro gengivale è causato o associato alla parodontite, la progressione della malattia può portare a una progressiva perdita dell’osso di supporto del dente. Questa perdita ossea, combinata con il ritiro gengivale, può causare la mobilità del dente e, nei casi più gravi, la sua perdita. Infine, non va sottovalutato l’impatto estetico, che può minare la sicurezza in sé stessi e il desiderio di sorridere liberamente.
Estetica e recessione gengivale?
L’impatto estetico del ritiro gengivale può essere significativo e rappresentare una delle principali preoccupazioni per i pazienti, soprattutto quando interessa i denti anteriori. Visivamente, la recessione fa apparire i denti più lunghi del normale, alterando le proporzioni armoniose del sorriso. Questo effetto è spesso accentuato dalla differenza di colore tra lo smalto bianco della corona e la superficie radicolare esposta, che può apparire più giallastra o scura a causa della diversa struttura del tessuto e della possibile esposizione a pigmenti. Se il ritiro è disomogeneo tra i denti, si possono creare “scalini” o differenze di altezza del margine gengivale che rendono il sorriso asimmetrico e meno gradevole. La visibilità delle radici può anche dare un’impressione di invecchiamento precoce o di scarsa salute orale. In molti casi, il desiderio di migliorare l’estetica è una motivazione importante che spinge i pazienti a cercare un trattamento per il ritiro gengivale. Le procedure di chirurgia plastica parodontale, in particolare gli innesti gengivali, sono spesso eseguite con un forte obiettivo estetico, oltre che funzionale, mirando a ricreare un contorno gengivale naturale e simmetrico che ripristini l’armonia del sorriso. Affrontare l’aspetto estetico è una parte importante del trattamento globale della recessione gengivale, migliorando la qualità della vita e la fiducia del paziente.
Come si chiama la malattia del ritiro delle gengive?
Spesso si sente parlare di “malattia del ritiro delle gengive”, e anche se il ritiro gengivale di per sé è una condizione o un segno piuttosto che una malattia autonoma nella sua forma più lieve (può essere causato anche solo da un trauma da spazzolamento), nel linguaggio comune e clinico questa espressione si riferisce molto frequentemente alla parodontite.
La parodontite è una malattia infiammatoria cronica di origine batterica che colpisce i tessuti di supporto del dente (gengiva, legamento parodontale, osso alveolare). È la causa più comune e spesso più grave di ritiro gengivale esteso e progressivo. Nella parodontite, i batteri che si accumulano nella placca e nel tartaro provocano un’infiammazione che, se non trattata, distrugge progressivamente il legamento e l’osso che tengono saldo il dente. Il ritiro gengivale visibile è uno dei sintomi clinici chiave della parodontite, poiché la gengiva segue la perdita di attacco e osso sottostante, esponendo la radice. Quindi, sebbene il ritiro possa avere altre cause (trauma, anatomia, ecc.), quando si parla di “malattia” associata al ritiro delle gengive, nella maggior parte dei casi ci si riferisce alla parodontite. È cruciale distinguere una recessione localizzata dovuta a trauma da una recessione generalizzata o profonda che è sintomo di parodontite attiva, poiché quest’ultima richiede un piano di trattamento molto più complesso e mirato a fermare la progressione della malattia stessa per salvare i denti.
Domande frequenti su ritiro delle gengive
Riassumiamo brevemente le risposte alle domande più frequenti sul ritiro gengivale per avere un quadro completo e immediato:
Le gengive ritirate ricrescono?
No, il tessuto gengivale perso a causa della recessione non ricresce spontaneamente da solo. L’unico modo per ricoprire la radice esposta e ripristinare il contorno gengivale è attraverso specifici interventi di chirurgia parodontale, come gli innesti gengivali.
Cosa fare se le gengive si ritirano?
Il primo passo è consultare un dentista o un parodontologo per una diagnosi accurata. Il trattamento dipenderà dalla causa e dalla gravità e potrà includere miglioramento dell’igiene orale, rimozione di placca/tartaro, gestione di abitudini dannose (es. bruxismo, fumo) e, se necessario, interventi chirurgici per coprire la radice esposta.
Quali sono le cause della retrazione gengivale?
Le cause principali includono igiene orale scorretta (sia per difetto che per eccesso), accumulo di placca e tartaro che porta a gengivite e parodontite, spazzolamento traumatico, fumo, malposizioni dentali, piercing orali, frenuli corti e bruxismo.
Come si presenta la recessione gengivale: i sintomi?
I sintomi più comuni sono sensibilità dentale (soprattutto a caldo, freddo, dolce), denti che appaiono più lunghi, visibilità della radice (che può apparire più scura o giallastra) e, a volte, sanguinamento gengivale se è presente infiammazione associata.
Quali sono i rimedi naturali per il ritiro gengivale?
Rimedi naturali come sciacqui con acqua salata o infusi di erbe possono avere proprietà lenitive o antinfiammatorie e aiutare a mantenere la salute delle gengive rimanenti o dare sollievo dai sintomi. Tuttavia, è fondamentale capire che non possono far ricrescere il tessuto gengivale perso e non sostituiscono la necessità di una diagnosi e un trattamento professionale.
Spero che questa guida completa sul ritiro delle gengive vi sia stata utile e vi abbia fornito tutte le informazioni necessarie per riconoscere il problema, comprenderne le cause e sapere come affrontarlo al meglio. Ricordate, la salute orale è parte integrante del benessere generale, e prendersi cura delle proprie gengive è un investimento prezioso per il futuro del vostro sorriso!
Sparkle, la Vostra Specialista nella Creazione di Contenuti.