[rank_math_breadcrumb]

Bicarbonato e Limone Denti: Vantaggi, Rischi e Metodi Correttamente Sicuri per Sbiancare i Denti

Picture of Scritto dalla Dott.ssa Greta Toska
Scritto dalla Dott.ssa Greta Toska

Revisionato scientificamente dal team odontoiatrico

Che Effetto Ha il Bicarbonato e Limone sui Denti? Cosa Succede se Lavo i Denti con Bicarbonato e Limone? Quando si utilizzano bicarbonato e limone per i denti, il primo effetto…

: risparmio del 70–85%

Dentale Albania

Il tuo check-up gratuito è pronto!

Share:

Indice dei Contenuti perBicarbonato e Limone Denti: Vantaggi, Rischi e Metodi Correttamente Sicuri per Sbiancare i Denti

Table of Contents

Che Effetto Ha il Bicarbonato e Limone sui Denti? 

Cosa Succede se Lavo i Denti con Bicarbonato e Limone?

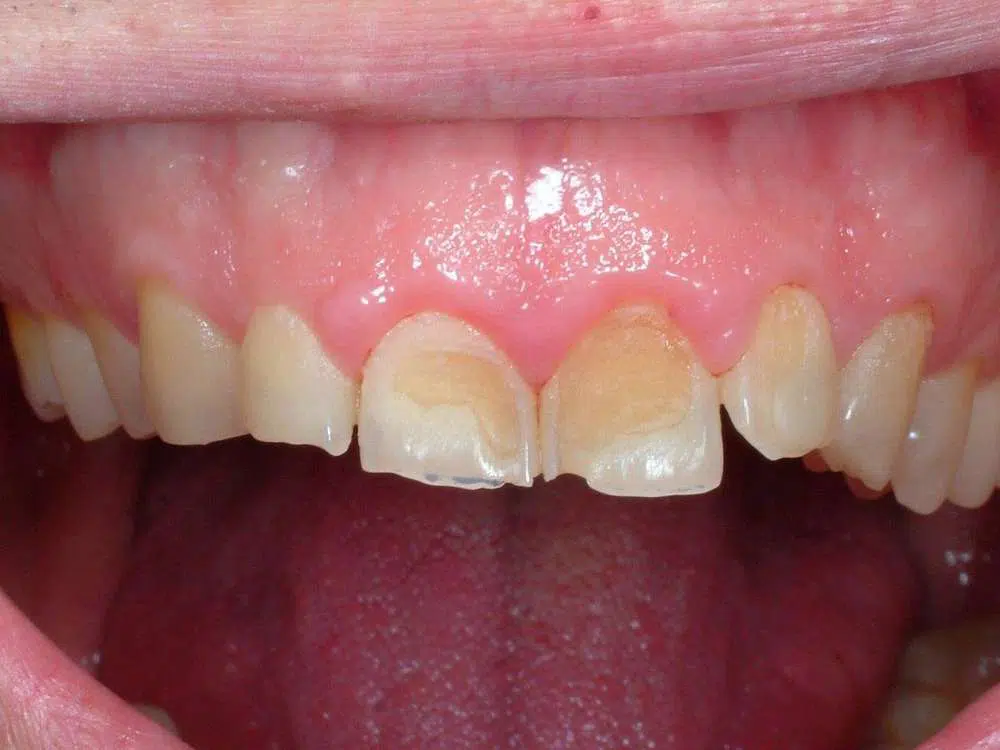
 Quando si utilizzano bicarbonato e limone per i denti, il primo effetto che si nota è una pulizia immediata della superficie dentale. L’acido del limone e l’azione abrasiva del bicarbonato possono rimuovere le macchie superficiali dai denti. Tuttavia, questo processo non è privo di rischi. Il limone, essendo acido, può erodere lo smalto dei denti nel tempo, mentre il bicarbonato, se utilizzato troppo spesso o in grandi quantità, può danneggiare ulteriormente lo smalto dentale, creando microabrasioni che rendono i denti più sensibili.

Cosa Fa il Bicarbonato con il Limone? 

Il bicarbonato di sodio, con la sua struttura cristallina abrasiva, agisce come un detergente per rimuovere le macchie superficiali. Quando combinato con il limone, un acido naturale, può aumentare l’effetto sbiancante, ma al costo di un possibile danno all’integrità dello smalto. Questo mix funziona inizialmente come sbiancante, ma l’uso eccessivo può portare alla demineralizzazione dei denti.

Bicarbonato e Limone Denti: Sicurezza e Rischi da Conoscere 

Quando Non Usare il Bicarbonato e Limone per Sbiancare i Denti? 

L’uso di bicarbonato e limone per sbiancare i denti deve essere limitato e monitorato attentamente. In caso di denti sensibili, gengive ritirate o altre problematiche dentali, è meglio evitare l’uso di questo rimedio fai da te. Il rischio maggiore è che la combinazione di acido e abrasività possa aggravare la sensibilità dentale e danneggiare irreparabilmente lo smalto.

Posso Usare il Limone e il Bicarbonato per Sbiancare i Denti? (Federconsumatori) 

Secondo esperti come Federconsumatori, l’uso di bicarbonato e limone per sbiancare i denti è sconsigliato. Sebbene questi ingredienti abbiano proprietà sbiancanti, il rischio di danni è troppo alto. Il limone, in particolare, può corrodere lo smalto, e l’uso del bicarbonato in modo eccessivo può indebolire ulteriormente i denti.

Come Usare il Bicarbonato per Sbiancare i Denti Senza Danneggiarli 

Come Sbiancare i Denti con Bicarbonato e Limone in Sicurezza? 

Se desideri usare bicarbonato e limone per sbiancare i denti, è fondamentale farlo in modo controllato. Mescola una piccola quantità di bicarbonato con acqua o limone, applicando delicatamente la miscela sui denti. Evita di farlo troppo spesso (non più di una volta alla settimana), per non compromettere la salute del tuo smalto. Inoltre, è importante risciacquare bene la bocca dopo l’applicazione.

Come Sbiancare i Denti con il Bicarbonato e Limone Senza Eccessi? 

Un altro approccio sicuro è quello di diluire il bicarbonato con acqua per ridurre la sua abrasività. Non superare mai le due applicazioni settimanali e, se possibile, alterna l’uso di bicarbonato e limone con altri rimedi più delicati per mantenere i denti sani. Consulta sempre il tuo dentista per un consiglio personalizzato.

Bicarbonato: Come Funziona per Sbiancare i Denti? 

Come Aiuta il Bicarbonato a Sbiancare i Denti? 

Il bicarbonato di sodio è noto per le sue proprietà abrasive, che permettono di rimuovere le macchie superficiali dai denti. Quando usato correttamente, può essere molto efficace nel migliorare l’aspetto dei denti, rendendoli più bianchi e lucenti. Questa sostanza è spesso un ingrediente principale nei dentifrici sbiancanti, in quanto la sua azione abrasiva può “grattare” via i residui di cibo e le macchie causate da caffè, tè e sigarette.

Perché il Bicarbonato È Usato nei Dentifrici Sbiancanti? 

Il bicarbonato di sodio viene utilizzato nei dentifrici sbiancanti per la sua capacità di rimuovere macchie senza danneggiare il smalto dei denti quando dosato correttamente. Questo lo rende una scelta popolare nei prodotti di igiene orale. I dentifrici che contengono bicarbonato sono spesso delicati ma efficaci, utilizzati per mantenere il sorriso brillante senza il rischio di abrasioni eccessive.

Quando Usare il Bicarbonato per Sbiancare i Denti? 

Quante Volte Posso Usare il Bicarbonato per Sbiancare i Denti? 

L’uso del bicarbonato per sbiancare i denti deve essere moderato. La raccomandazione generale è di utilizzarlo non più di una volta alla settimana per evitare danni al smalto. Troppo bicarbonato, infatti, può portare a sensibilità dentale e a usura prematura dello smalto. È sempre consigliabile alternarlo con altri metodi di pulizia dei denti per mantenere un buon equilibrio.

È Sicuro Lavarsi i Denti con il Bicarbonato Tutti i Giorni? 

No, lavarsi i denti con bicarbonato ogni giorno non è sicuro. Anche se il bicarbonato è efficace per rimuovere macchie superficiali, l’uso quotidiano può causare danni a lungo termine ai denti e alle gengive. È meglio utilizzarlo con moderazione e sempre in combinazione con un dentifricio fluorizzato per proteggere lo smalto e prevenire la carie.

Limone per Sbiancare i Denti: È Efficace? 

Come il Limone Sbianca i Denti?

Il succo di limone ha un forte potere sbiancante grazie al suo contenuto di acido citrico. Questo acido può rimuovere le macchie superficiali dai denti, ma deve essere usato con molta attenzione. L’acido, se usato troppo frequentemente o in grandi quantità, può danneggiare lo smalto dentale, portando alla sensibilità dentale. È sempre meglio diluire il succo di limone con acqua e non usarlo quotidianamente.

Perché il Limone è Usato nei Rimedi Naturali per Sbiancare i Denti? 

Il limone è utilizzato nei rimedi naturali per la sua acidità, che aiuta a eliminare le macchie e a schiarire il colore dei denti. Tuttavia, il suo uso deve essere limitato per evitare danni a lungo termine. L’acido citrico agisce sbiancando i denti ma può anche danneggiare la superficie dentale, quindi è importante usarlo con cautela.

Sbiancare i Denti con Limone e Bicarbonato: Perché Evitarlo 

Cosa Succede se Sbianco i Denti con Limone e Bicarbonato? 

La combinazione di limone e bicarbonato per sbiancare i denti può sembrare efficace nel breve periodo, ma a lungo termine può causare danni seri. Il limone, con il suo alto contenuto di acido citrico, può indebolire lo smalto dentale, mentre il bicarbonato, se usato in eccesso, può essere abrasivo e causare microabrasioni. L’uso frequente di questa miscela può portare a sensibilità dentale, danni permanenti allo smalto e a un peggioramento dell’estetica del sorriso.

Perché Evitare la Miscela di Bicarbonato e Limone per i Denti?

Secondo gli esperti, la miscela di bicarbonato e limone non è consigliata per sbiancare i denti. Il limone può corrodere lo smalto dentale, mentre il bicarbonato, pur rimuovendo le macchie superficiali, esercita un’azione abrasiva che indebolisce i denti. Con l’uso ripetuto, i denti rischiano di diventare più sensibili e più vulnerabili alle carie. In particolare, quando i colletti dentali sono esposti, l’acido può provocare danni diretti ai denti.

Sbiancamento Denti con Bicarbonato: Quando è Sicuro?

Come Usare il Bicarbonato per Sbiancare i Denti in Sicurezza?

Per utilizzare il bicarbonato in sicurezza, è fondamentale non esagerare con la quantità e la frequenza. Il bicarbonato può essere usato per rimuovere le macchie dai denti, ma va applicato con cautela. Una piccola quantità di bicarbonato miscelata con acqua o dentifricio è il metodo più sicuro. Inoltre, è importante alternare l’uso di bicarbonato con altri metodi di pulizia e consultare un dentista per suggerimenti personalizzati.

Sbiancamento Professionale con Bicarbonato di Sodio: È Più Sicuro?

Il bicarbonato di sodio viene utilizzato anche nei trattamenti professionali di sbiancamento dentale, ma con apparecchiature specializzate che controllano l’intensità del trattamento. In uno studio dentistico, l’uso del bicarbonato è gestito con attenzione, e i rischi sono minimi grazie alla tecnologia avanzata. Se desideri un risultato duraturo e sicuro, è meglio affidarsi a un professionista.

Alternativa al Fai da Te: Metodi Professionali di Sbiancamento Denti 

Quali Sono i Metodi Professionali di Sbiancamento Denti?

I trattamenti professionali di sbiancamento dentale utilizzano perossido di idrogeno o perossido di carbamide, che sono agenti sbiancanti molto più potenti ed efficaci rispetto al bicarbonato o al limone. Questi trattamenti sono sicuri, non abrasivi e vengono effettuati sotto la supervisione di un dentista, riducendo al minimo i rischi per i denti e le gengive.

Sbiancamento Denti Professionale: Perché è Preferibile Rispetto ai Rimedi Casalinghi?

I rimedi fai da te, come bicarbonato e limone, possono sembrare allettanti, ma non sono efficaci come i trattamenti professionali. Un dentista può personalizzare il trattamento in base alle esigenze individuali, utilizzando prodotti più sicuri e risultati più duraturi. Inoltre, i trattamenti professionali proteggono lo smalto dei denti, riducendo il rischio di danni.

Rischi dell’Uso Fai da Te: Perché Evitare Bicarbonato e Limone per Sbiancare i Denti 

Perché Dovrei Evitare di Usare Bicarbonato e Limone per Sbiancare i Denti?

L’uso di bicarbonato e limone come rimedio fai da te per sbiancare i denti è pericoloso, in quanto può danneggiare lo smalto e portare a danni irreversibili. L’acido citrico del limone può dissolvere lo smalto dentale, mentre l’azione abrasiva del bicarbonato può creare microabrasioni che indeboliscono la superficie dei denti. Questi danni rendono i denti più suscettibili a carie e a sensibilità.

Quali Sono i Rischi dell’Uso Prolungato di Bicarbonato e Limone per i Denti?

L’uso continuativo di bicarbonato e limone non solo può compromettere lo smalto dei denti, ma può anche danneggiare le gengive. Le piccole abrasioni che si formano sui denti possono fungere da terreno fertile per batteri e tartaro, portando a infezioni e infiammazioni gengivali. Inoltre, la sensibilità dentale può aumentare, rendendo difficile mangiare o bere cibi e bevande calde o fredde.

Sbiancare i Denti Senza Danni: Alternative Sicure 

Come Posso Sbiancare i Denti in Modo Sicuro Senza Danno?

La soluzione migliore per ottenere denti bianchi senza rischi è quella di rivolgersi a trattamenti professionali. I dentisti utilizzano perossido di idrogeno o perossido di carbamide in concentrati sicuri e sotto controllo, per sbiancare i denti senza compromettere la salute dentale. Se desideri metodi casalinghi, opta per dentifrici sbiancanti delicati, approvati dai professionisti, che non danneggiano lo smalto.

Quali Altri Rimedi Naturali Posso Usare Per Sbiancare i Denti? 

Oltre al bicarbonato e limone, esistono altri rimedi naturali più sicuri per schiarire i denti. Tra questi, l’olio di cocco e la salvia sono conosciuti per le loro proprietà antibatteriche e smacchianti. Il carbone vegetale è un altro rimedio naturale che può rimuovere le macchie superficiali senza danneggiare il smalto, ma anche in questo caso deve essere usato con moderazione.

Domande Frequenti su Bicarbonato e Limone Denti

È Sicuro Usare Bicarbonato e Limone per Sbiancare i Denti?

No, usare bicarbonato e limone per sbiancare i denti non è sicuro. Sebbene questi ingredienti possiedano proprietà sbiancanti, l’acido del limone può erodere lo smalto dentale, mentre l’azione abrasiva del bicarbonato può causare microabrasioni. L’uso ripetuto di questa combinazione aumenta il rischio di danni permanenti e sensibilità dentale.

Come Posso Usare il Bicarbonato e Limone Senza Danneggiare i Denti?

Per ridurre i rischi, è consigliabile utilizzare bicarbonato e limone solo con moderazione. La miscela dovrebbe essere applicata solo una volta alla settimana e in piccole quantità. È importante diluire il limone con acqua per ridurre la sua acidità e non esagerare con la quantità di bicarbonato. Tuttavia, il miglior consiglio è consultare un dentista prima di tentare qualsiasi rimedio fai da te.

Conclusioni: I Migliori Consigli per Sbiancare i Denti in Sicurezza 

Perché Dovrei Rivolgermi a un Dentista per lo Sbiancamento dei Denti?

La sicurezza e l’efficacia dei trattamenti di sbiancamento dentale sono garantite solo quando eseguiti da un dentista qualificato. I trattamenti professionali, come l’uso di gel a base di perossido di idrogeno o carbamide, sono molto più sicuri ed efficaci rispetto ai rimedi casalinghi. Un dentista può anche monitorare lo stato di salute dei tuoi denti e gengive, assicurandosi che il trattamento non causi danni a lungo termine.

Quali Altri Trattamenti Posso Considerare per Ottenere un Sorriso Più Bianco?

Oltre ai trattamenti professionali, puoi considerare l’uso di dentifrici sbiancanti approvati dai dentisti. Questi dentifrici, che contengono ingredienti delicati come la silice idratata, sono efficaci nel rimuovere macchie superficiali senza danneggiare lo smalto. Inoltre, mantenere una buona igiene orale quotidiana, evitare cibi e bevande che macchiano i denti e sottoporsi a regolari pulizie dentali professionali può fare una grande differenza nel mantenere il sorriso luminoso.

Frequenti Domande su Bicarbonato e Limone Denti 

È Sicuro Usare Bicarbonato e Limone per Sbiancare i Denti?

L’uso di bicarbonato e limone per sbiancare i denti non è sicuro a causa dei danni che può causare allo smalto dentale e alle gengive. L’acido citrico del limone può erodere lo smalto, mentre l’azione abrasiva del bicarbonato può danneggiarlo ulteriormente, creando microabrasioni. Per evitare problemi, è meglio rivolgersi a metodi più sicuri e professionali per il trattamento dei denti.

Come Posso Usare Bicarbonato e Limone Senza Danneggiare i Denti?

Se decidessi di usare bicarbonato e limone, è importante non esagerare con la frequenza. Usa questa miscela solo una volta alla settimana e applicala delicatamente per non danneggiare i denti. Inoltre, diluire il succo di limone con acqua può ridurre l’acidità, rendendo l’applicazione meno dannosa. Consulta sempre un dentista per un consiglio personalizzato e sicuro.

Prenota una Consulenza Live

Pronto a trasformare il tuo sorriso e a scoprire la bellezza dell'Albania? Contattaci oggi stesso per programmare la tua procedura di impianto dentale e inizia il tuo percorso verso un sorriso più sano e sicuro!

Recensioni e Ultime Raccomandazioni perBicarbonato e Limone Denti: Vantaggi, Rischi e Metodi Correttamente Sicuri per Sbiancare i Denti