
Table of Contents
ToggleKey Takeaways
-
- I perni dentali rinforzano le radici di denti devitalizzati con grave perdita di struttura coronale.
-
- Forniscono supporto per ricostruzioni (otturazioni estese) o corone protesiche.
-
- Esistono in vari materiali (fibra, metallo, ceramica) e forme, prefabbricati o fusi su misura.
-
- Sono nettamente distinti dagli impianti dentali, che sostituiscono radici mancanti nell’osso.
-
- La loro applicazione richiede un canale radicolare sano e un trattamento endodontico efficace.
-
- Il costo varia in base al tipo di perno, alla tecnica e all’inclusione della corona, oscillando da centinaia a migliaia di euro per il restauro completo.
-
- Un dente con perno può durare molti anni, ma la longevità dipende da cura, igiene e salute parodontale.
- L’inserimento del perno stesso non è generalmente doloroso in quanto il dente è devitalizzato e anestetizzato.
Cos’è un perno dentale e a cosa serve
Nel vasto e complesso universo dell’odontoiatria, in particolare nell’ambito della conservativa avanzata e della protesi, i “perni per denti” emergono come protagonisti silenziosi ma assolutamente cruciali. Non si tratta di semplici chiodini, né di invenzioni recenti dell’ultimo minuto; piuttosto, rappresentano l’evoluzione di tecniche e materiali volti a risolvere una delle sfide più comuni e critiche: come salvare un dente che, a causa di processi patologici avanzati come carie molto estese o fratture importanti, ha perso una porzione significativa della sua struttura coronale, quella parte visibile al di sopra della gengiva. In questi scenari, una semplice otturazione, anche se realizzata con materiali moderni e tecniche sofisticate, non avrebbe la solidità o l’adesione necessaria per resistere alle notevoli forze generate dalla masticazione quotidiana.
Immaginate di dover ricostruire il tetto di una casa di cui sono rimasti solo pochi mattoni delle pareti: non potete semplicemente incollare nuove tegole, serve una struttura portante interna robusta. Ecco, il perno dentale funge esattamente da questa struttura portante. Il suo scopo primario è duplice e interconnesso: da un lato, rinforzare la radice residua del dente, distribuendo in modo più equilibrato le forze; dall’altro, e forse ancora più visibilmente, fornire una solida base o “moncone” artificiale sopra il quale poter costruire o cementare la ricostruzione definitiva del dente, che sia essa una grande otturazione in composito o, più frequentemente, una corona protesica (“capsula”). Corona Dentale: Cos’è, Quando Serve e Quanto Costa nel 2025 È in questo contesto che si parla di “dente con perno”, indicando un dente che è stato trattato endodonticamente (devitalizzato) e poi rinforzato internamente con questa struttura.
La necessità di un perno nasce tipicamente dopo un trattamento canalare, quando la rimozione del tessuto cariato o la preparazione per l’accesso ai canali ha compromesso una quantità eccessiva di smalto e dentina nella parte coronale del dente. Senza questo supporto interno, la ricostruzione o la corona appoggierebbero su basi troppo fragili, con alto rischio di frattura del dente residuo, spesso in modo irreparabile. La scelta di inserire un perno è quindi una decisione terapeutica strategica, presa dal dentista dopo un’attenta valutazione della quantità di tessuto dentale residuo, della salute della radice e del supporto parodontale, e delle forze occlusali a cui il dente sarà sottoposto. In sintesi, mentre una semplice otturazione riempie una cavità e ripristina la forma e la funzione superficiale di un dente con struttura residua sufficiente, il perno interviene quando questa struttura è gravemente compromessa, fornendo il necessario supporto strutturale interno per garantire la sopravvivenza e la funzionalità a lungo termine del dente trattato. È un passaggio fondamentale per passare dalla semplice riparazione alla vera e propria ricostruzione complessa, trasformando un elemento fragile in una base solida per il futuro restauro.
Perno Moncone: Cos’è e Quando si Fa
Approfondendo il concetto del perno, ci imbattiamo nella figura specifica del “Perno Moncone”. Se il perno dentale in senso lato si riferisce alla struttura che si ancora nella radice, il perno moncone eleva ulteriormente questa funzione, integrando in un’unica soluzione sia l’ancoraggio radicolare che la creazione di una “base” o “moncone” sopra la gengiva su cui la corona protesica verrà cementata. In pratica, il perno moncone è un tipo di perno radicolare progettato non solo per rinforzare la radice e fornire ritenzione, ma anche per sostituire completamente la parte coronale del dente perduta, modellando al di sopra della radice una struttura che ha la forma preparata di un “moncone” protesico. Immaginate una piccola impalcatura interna che, partendo dalla profondità della radice, emerge dalla gengiva già pre-sagomata per accogliere perfettamente una corona.
Questo tipo di perno è particolarmente indicato e utilizzato quando la distruzione della corona dentale è quasi totale, e rimane solo una quantità minima, o addirittura nessuna, di tessuto dentale sopra il livello gengivale o il margine della preparazione. In queste situazioni cliniche, la semplice ricostruzione con composito sul perno radicolare standard potrebbe non essere sufficiente per ottenere un moncone sufficientemente robusto e ritentivo per la corona. Il perno moncone, invece, fornisce un’unica struttura monolitica o comunque molto coesa che lega l’ancoraggio radicolare (il “perno”) alla forma del moncone protesico (il “moncone”).
Quando viene fatto? Viene fatto in maniera quasi esclusiva su denti che sono stati sottoposti a trattamento endodontico (devitalizzazione) e che presentano una gravissima perdita di sostanza dentale coronale. È la soluzione scelta quando il dentista valuta che non c’è abbastanza dente residuo per costruire un moncone affidabile direttamente sul perno o sul dente residuo stesso. Le situazioni tipiche includono denti gravemente cariati, fratturati estensivamente o precedentemente restaurati con ricostruzioni voluminose che sono fallite. La sua applicazione avviene sempre dopo aver completato e verificato l’efficacia del trattamento endodontico. È una fase cruciale della riabilitazione protesica di denti compromessi, preparando il terreno in modo ottimale per l’applicazione della corona protesica che restituirà al dente la sua forma, funzione ed estetica. Molti centri dentistici moderni e studi odontoiatrici attrezzati sono perfettamente in grado di eseguire sia la preparazione per perni moncone prefabbricati che la realizzazione di perni moncone fusi personalizzati, offrendo questa opzione riabilitativa essenziale quando la condizione del dente lo richiede, rappresentando un pilastro nel restauro di elementi dentali fortemente compromessi.
Cosa Significa Perno Endocanalare
Il termine “perno endocanalare” potrebbe suonare leggermente più tecnico, ma in realtà chiarisce una caratteristica fondamentale della maggior parte dei perni dentali: la loro posizione. La parola “endocanalare” deriva dal greco “endon” (dentro) e si riferisce specificamente a qualcosa che si trova o viene posizionato “all’interno del canale”. Nel contesto dentale, questo significa “all’interno del canale radicolare”. Quindi, un perno endocanalare è semplicemente un perno che viene inserito e fissato dentro uno o più canali radicolari di un dente devitalizzato.
Dopo che la polpa è stata rimossa durante la terapia endodontica, i canali radicolari, che sono gli spazi vuoti all’interno della radice del dente, vengono puliti e riempiti con un materiale sigillante (solitamente guttaperca). Per inserire un perno endocanalare, il dentista rimuove una porzione controllata di questo materiale sigillante dalla parte superiore del canale radicolare, creando uno spazio preciso e pulito. Il perno viene poi inserito in questo spazio preparato e cementato saldamente alle pareti interne del canale radicolare. Questo posizionamento profondo all’interno della radice è ciò che conferisce al perno la sua stabilità e la sua capacità di ancoraggio.
È importante sottolineare che sia i perni radicolari “semplici” utilizzati per rinforzare una ricostruzione in composito, sia i perni moncone (che, come abbiamo visto, creano una base più voluminosa per una corona) sono quasi sempre perni endocanalari, poiché il loro punto di forza e di ritenzione risiede proprio nell’ancoraggio all’interno della struttura radicolare del dente. Il significato fondamentale di essere “posizionato nella radice del dente” è che il perno utilizza la radice stessa come supporto strutturale. Invece di appoggiarsi solo sulla fragile struttura coronale residua, si estende profondamente all’interno del pilastro più solido del dente, che è la radice ben ancorata nell’osso alveolare. Questa distribuzione del carico e l’ancoraggio interno sono essenziali per prevenire le fratture e garantire che la ricostruzione o la corona sovrastante abbia una base stabile e duratura.
Comprendere il termine “endocanalare” aiuta a visualizzare l’intima relazione tra il perno e la radice del dente, sottolineando l’importanza della salute e dell’integrità della radice stessa per il successo a lungo termine di un restauro che include un perno. È un termine che, sebbene tecnico, descrive in modo preciso la natura di questo cruciale intervento di rinforzo interno.
Quando si Mette il Perno al Dente?
La decisione di mettere un perno al dente non è casuale né standardizzata per ogni dente devitalizzato; è piuttosto una valutazione clinica ponderata, basata su specifici criteri e condizioni del dente in questione. La situazione più comune e determinante che richiede l’uso di un perno è la **grave perdita di tessuto dentale** nella porzione coronale del dente, quella che sporge dalla gengiva. Quando, a seguito di una carie molto estesa, di un trauma (come una frattura) o anche semplicemente a causa del processo di preparazione per l’accesso ai canali durante la devitalizzazione, rimane solo una quantità insufficiente di struttura dentale sopra la gengiva, un perno diventa indispensabile. Senza un adeguato supporto interno, qualsiasi ricostruzione, per quanto ben fatta, sarebbe destinata a fallire rapidamente sotto le forze della masticazione, portando spesso a una frattura irreparabile della radice residua.
Quindi, il perno viene messo *quando* non c’è abbastanza “dente” su cui attaccare in modo sicuro la ricostruzione o la corona necessaria per ripristinare completamente la forma e la funzione. Un’altra condizione fondamentale è che il dente sia stato *preventivamente* **devitalizzato**, cioè abbia subito un trattamento endodontico di successo. I perni, infatti, vengono inseriti all’interno dei canali radicolari, che sono accessibili solo dopo la rimozione della polpa dentale. Pertanto, il perno si mette *dopo* che la devitalizzazione è stata completata, i canali sono stati puliti, sagomati e sigillati correttamente, e il dentista ha verificato radiograficamente il successo del trattamento endodontico e l’integrità della radice residua. La fase del trattamento in cui viene inserito il perno è successiva all’endodonzia e precedente alla realizzazione della ricostruzione coronale o della corona protesica definitiva. È, in un certo senso, un passaggio intermedio ma fondamentale nella riabilitazione del dente compromesso.
Il processo decisionale del dentista include l’analisi di diversi fattori: la quantità e la qualità della struttura dentale residua (soprattutto pareti coronali residue), la lunghezza e la forma delle radici e dei canali radicolari (che devono essere sufficientemente lunghi e diritti per accogliere il perno), la salute del parodonto (gengive e osso di supporto) attorno al dente, e la posizione del dente nell’arcata e le forze occlusali a cui sarà sottoposto. In base a questa valutazione complessa, il dentista decide se un perno è necessario e, in tal caso, quale tipo di perno (materiale, forma, tecnica di realizzazione) sia il più appropriato per garantire la massima longevità e affidabilità del restauro finale.
I Vantaggi dei Perni Dentali
L’impiego dei perni dentali non è una soluzione di compromesso, bensì una strategia terapeutica che, nelle giuste indicazioni, offre una serie di vantaggi significativi, prolungando la vita utile di denti che altrimenti sarebbero destinati all’estrazione. Elencare questi benefici è fondamentale per comprendere il valore di questa procedura nel panorama della moderna odontoiatria conservativa e protesica.
Il vantaggio primario e forse più evidente è la maggiore stabilità e resistenza alla frattura del dente trattato. Un dente devitalizzato, specialmente se ha perso molta struttura coronale, diventa intrinsecamente più fragile. Inserendo un perno che si ancora saldamente all’interno della radice e distribuisce le forze, si riduce drasticamente il rischio che il dente si fratturi sotto carico masticatorio, un evento che, se si verifica a livello della radice, rende il dente irrecuperabile. Questo rinforzo interno è cruciale.
Un secondo vantaggio è il supporto ottimale per la ricostruzione o la corona. Il perno crea una base solida e ritentiva su cui il dentista può costruire in sicurezza la parte visibile del dente (il moncone) o cementare direttamente la corona protesica. Questo garantisce che il restauro finale sia ben ancorato e non si stacchi facilmente, assicurando al contempo che le forze masticatorie siano trasmesse in modo sicuro alla radice e all’osso di supporto.
Inoltre, i perni contribuiscono alla conservazione del dente residuo. In molti casi, l’alternativa all’uso di un perno su una radice devitalizzata compromessa sarebbe l’estrazione del dente Estrazione dei Denti: Quando è Necessaria, Tipi e Recupero | Guida 2025 e la successiva riabilitazione con un ponte Ponti Dentali: Tipi, Costi, Durata e Quando Sono Necessari (che richiederebbe di limare i denti adiacenti sani) o con un impianto dentale. Impianti Dentali: Tutto Quello Che Devi Sapere Utilizzando un perno, si riesce a preservare la radice naturale del paziente, evitando procedure più invasive e costose come l’implantologia COSTI DI UN IMPIANTO DENTALE (ITALIA ESTERO E DETRAZIONI) e mantenendo intatti i denti vicini.
I perni moderni, in particolare quelli in fibra (fibra di vetro, carbonio), offrono anche il vantaggio di avere un modulo di elasticità simile a quello della dentina, il che li rende più “amici” della radice, riducendo lo stress e il rischio di fratture radicolari rispetto ai perni metallici rigidi. Inoltre, molti perni in fibra sono estetici, essendo traslucidi, il che li rende ideali per i denti anteriori dove l’estetica è cruciale e si vogliono evitare ombre scure che potrebbero trasparire attraverso la corona protesica in ceramica.
Infine, l’utilizzo di perni consente di prolungare significativamente la vita del dente trattato, permettendo al paziente di continuare a usare il proprio dente per anni, spesso decenni, migliorando la qualità della vita e la funzionalità masticatoria complessiva. Sono, in definitiva, un elemento chiave per massimizzare il potenziale di recupero dei denti gravemente compromessi, offrendo una soluzione efficace e duratura.
La Procedura: Come si Inserisce un Perno
Addentriamoci ora nel “come”, il lato pratico e procedurale dell’inserimento e del fissaggio dei perni dentali. Non è un processo banale, ma richiede precisione, conoscenza approfondita dell’anatomia radicolare e l’uso di tecniche e materiali specifici. In generale, il processo inizia sempre dopo che il dente è stato devitalizzato con successo e si è verificato che i canali radicolari sono stati sigillati in modo ottimale.
La prima fase consiste nella preparazione dello spazio per il perno all’interno del canale radicolare. Utilizzando frese calibrate e dedicate, il dentista rimuove una porzione controllata del materiale di riempimento (guttaperca) dalla parte superiore del canale, creando un alloggiamento preciso che corrisponda alla forma e alle dimensioni del perno che si intende utilizzare. È cruciale lasciare una porzione sufficiente di guttaperca nella parte apicale (terminale) del canale per mantenere il sigillo e prevenire la reinfezione. La profondità a cui viene preparato lo spazio per il perno dipende dalla lunghezza della radice, dal tipo di perno, e dalla quantità di struttura coronale residua, ma generalmente si cerca di ottenere una lunghezza del perno pari o superiore a quella della ricostruzione coronale o almeno pari a due terzi della lunghezza radicolare, per garantire un ancoraggio sufficiente.
Una volta preparato lo spazio, il perno viene cementato al suo interno. Questo è un passaggio critico che richiede l’uso di cementi adesivi specifici, spesso a base di resina, che non solo riempiono lo spazio tra il perno e le pareti del canale, ma creano anche un legame chimico e meccanico forte per massimizzare la ritenzione del perno. La tecnica di cementazione varia leggermente a seconda del tipo di perno e del cemento utilizzato, ma l’obiettivo è sempre ottenere un riempimento completo senza bolle d’aria e una polimerizzazione (indurimento) efficace del cemento.
Dopo la cementazione, la parte del perno che sporge dal canale radicolare servirà come base per la ricostruzione successiva. Se si tratta di un perno moncone prefabbricato, la forma del moncone è già definita e pronta per la corona. Se si tratta di un perno radicolare semplice, il dentista costruirà il moncone aggiungendo materiale composito attorno alla porzione emergente del perno. Se invece si tratta di un perno moncone fuso, sarà necessario prendere un’impronta e inviarla al laboratorio per la sua realizzazione, e solo in una seduta successiva il perno moncone fuso verrà cementato. L’intero processo richiede precisione micrometrica e un’attenta gestione dei materiali per garantire il successo a lungo termine del restauro.
Come si Mettono i Perni Dentali e Come Vengono Applicati
Entrando più nello specifico delle tecniche, capire “come si mettono i perni dentali e come vengono applicati” richiede di esplorare i dettagli procedurali che rendono questa fase del restauro così critica. Il processo inizia sempre con la verifica della qualità del trattamento endodontico: è fondamentale che i canali radicolari siano puliti, sigillati correttamente fino all’apice e privi di infezioni persistenti. Una volta confermata la salute della radice, si procede alla preparazione del canale radicolare per ricevere il perno. Questa preparazione non è un semplice allargamento, ma la creazione di un alloggiamento preciso e uniforme.
Vengono utilizzati set di frese calibrate, spesso fornite dai produttori dei perni stessi, che hanno dimensioni e forme specifiche per adattarsi al perno scelto. Il dentista utilizza queste frese, iniziando dalle più piccole e progredendo gradualmente, per rimuovere la guttaperca e modellare le pareti interne del canale radicolare. L’obiettivo è ottenere una profondità adeguata e pareti parallele o leggermente coniche, lisce e pulite, che favoriscano l’inserimento del perno e la massima adesione del cemento. Durante questa fase, è di vitale importanza non indebolire eccessivamente le pareti residue della radice o, peggio ancora, perforarle (una complicanza nota come falsa strada o perforazione).
L’applicazione vera e propria del perno avviene dopo la preparazione del canale e la sua pulizia finale. Il canale viene isolato dall’umidità (solitamente con diga di gomma) e asciugato con attenzione (evitando l’eccessiva disidratazione che potrebbe rendere la dentina fragile). Il cemento adesivo scelto, spesso un cemento resinoso dual-cure (che polimerizza sia con la luce che chimicamente), viene miscelato e inserito nel canale radicolare e anche applicato sulla superficie del perno. Il perno viene quindi delicatamente inserito nel canale preparato fino alla sua posizione finale. L’eccesso di cemento fuoriesce e viene rimosso immediatamente. La polimerizzazione del cemento viene avviata con una lampada fotopolimerizzante per i cementi dual-cure o lasciata completarsi chimicamente. La tecnica di applicazione varia leggermente a seconda del tipo di perno (ad esempio, i perni in fibra richiedono tecniche adesive molto precise) ma l’obiettivo rimane lo stesso: ottenere un inserimento passivo (senza forzare), un completo riempimento con cemento e un legame forte tra il perno, il cemento e la dentina radicolare. La precisione in ogni singolo passaggio, dalla scelta della fresa alla cementazione, è fondamentale per il successo a lungo termine e per prevenire complicanze.
Perno Moncone: Applicazioni Dirette e Indirette
Passando dalla semplice definizione di perno dentale al concetto di “perno moncone”, emerge la necessità di comprendere come questa struttura più complessa venga effettivamente realizzata per fungere da base robusta per una corona protesica. Il perno moncone può essere realizzato in due modi principali: con tecnica diretta o con tecnica indiretta (o fusa).
Nella tecnica diretta, il perno moncone viene costruito direttamente nella bocca del paziente, in studio, in un’unica seduta (dopo l’inserimento di un perno radicolare prefabbricato, solitamente in fibra). Dopo aver preparato il canale radicolare e cementato un perno in fibra (o talvolta in metallo prefabbricato), il dentista utilizza un materiale da ricostruzione (solitamente un composito specifico, spesso “core build-up material”) per costruire, attorno alla porzione emergente del perno e sulla struttura dentale residua, la forma di un moncone protesico preparato. Questo composito viene modellato e polimerizzato (indurito con luce) per creare la forma finale del moncone, che è pronta per essere improntata per la realizzazione della corona protesica. Questa tecnica è più rapida e non richiede un passaggio in laboratorio odontotecnico. È particolarmente adatta quando c’è ancora una discreta quantità di struttura dentale residua e il perno in fibra è sufficiente per il rinforzo e la ritenzione.
Nella tecnica indiretta (o fusa), considerata più “tradizionale” per i perni moncone in metallo, il processo è più laborioso e richiede almeno due sedute e il coinvolgimento di un laboratorio odontotecnico. Dopo aver preparato lo spazio nel canale radicolare, il dentista crea un modello preciso di questo spazio e della porzione coronale da ricostruire. Un tempo si utilizzava una resina acrilica (“pattern resin”) per modellare direttamente nel canale e al di sopra la forma del perno moncone desiderato, che veniva poi inviata al laboratorio. Oggi, più comunemente, si prendono impronte di precisione o si esegue una scansione digitale della preparazione. Il laboratorio odontotecnico utilizza queste informazioni per realizzare il perno moncone in metallo (spesso una lega di metallo prezioso o non prezioso) tramite un processo di fusione. Questo perno moncone fuso è quindi una struttura unica, altamente personalizzata per la forma specifica del canale radicolare del paziente e per la preparazione coronale desiderata. Nella seduta successiva, il dentista cementa questo perno moncone fuso all’interno del canale radicolare. Questa tecnica è indicata soprattutto quando la perdita di tessuto dentale è molto estesa e si necessita di una struttura di supporto in metallo, particolarmente resistente, per la corona protesica. Entrambe le tecniche mirano a creare una base solida e predicibile per la futura corona, ma si differenziano per materiali, passaggi procedurali, tempi e costi, e la scelta tra l’una e l’altra dipende dalla specifica situazione clinica, dalla preferenza del dentista e dalle esigenze del paziente.
Come si Fissa un Dente al Perno Moncone
Dopo che il perno moncone è stato saldamente cementato nella radice del dente, il passaggio successivo, e quello che finalizza la riabilitazione del dente compromesso, è il fissaggio della corona artificiale. Il perno moncone, sia esso realizzato con tecnica diretta (con perno in fibra e ricostruzione in composito) o indiretta (fuso in metallo), agisce essenzialmente come un dente preparato. La sua forma e le sue dimensioni sono state studiate per accogliere in modo preciso e stabile una corona protesica (“capsula”).
“Come si fissa un dente al perno moncone?” La risposta risiede nella cementazione della corona sulla porzione coronale del perno moncone. Una volta che il laboratorio odontotecnico ha fabbricato la corona protesica (che può essere in vari materiali come ceramica integrale, metallo-ceramica, zirconia, ecc.), questa viene provata sulla bocca del paziente per verificare l’adattamento, l’estetica, la forma e l’occlusione con i denti antagonisti. Se tutto è corretto, si procede alla cementazione definitiva. La superficie interna della corona e la superficie esterna del perno moncone vengono preparate secondo le indicazioni del materiale cementante scelto (pulizia, asciugatura, talvolta mordenzatura o applicazione di primer).
Viene quindi preparato il cemento, che può essere un cemento vetroionomerico, un cemento resinoso (spesso adesivo, per creare un legame forte) o un altro tipo appropriato, a seconda del materiale della corona e del perno moncone. Il cemento viene applicato uniformemente all’interno della corona, che viene poi posizionata delicatamente sul perno moncone, facendola scivolare in posizione fino a quando i margini della corona si adattano perfettamente alla preparazione del moncone (che si trova tipicamente a livello o leggermente al di sotto del margine gengivale). L’eccesso di cemento fuoriesce e viene accuratamente rimosso prima che il cemento si indurisca completamente. Se si utilizza un cemento fotopolimerizzabile o dual-cure, si utilizza una lampada per avviare o completare il processo di indurimento.
Il ruolo del perno moncone in questo processo è cruciale: fornisce una superficie di adesione estesa e una forma geometrica (il moncone) che conferiscono alla corona protesica la necessaria ritenzione e stabilità contro le forze di dislocazione (come quelle generate da cibi appiccicosi) e di rotazione, oltre a distribuire in modo appropriato le forze masticatorie alla radice sottostante. È la fondazione solida che permette alla corona di funzionare efficacemente come un dente naturale in termini di resistenza e stabilità a lungo termine. In sintesi, il “dente” (la corona artificiale) non viene fissato direttamente alla radice, ma al perno moncone che, a sua volta, è saldamente ancorato nella radice, creando un’unità funzionale integrata.
Perno Dentale vs Impianto Dentale: Facciamo Chiarezza
È estremamente comune che i pazienti facciano confusione tra perni dentali e impianti dentali. Sebbene entrambi siano soluzioni protesiche utilizzate per ripristinare denti danneggiati o mancanti, sono concettualmente e strutturalmente molto diversi e vengono utilizzati in situazioni cliniche radicalmente differenti. Sottolineare questa distinzione è cruciale per evitare malintesi e comprendere appieno le opzioni terapeutiche disponibili.
La differenza fondamentale risiede nella struttura che viene supportata: un perno dentale (o perno moncone) viene inserito all’interno della radice di un dente esistente, sebbene devitalizzato e danneggiato, con lo scopo di rinforzarlo e fornire una base per la sua ricostruzione o per una corona. L’impianto dentale, al contrario, è una vite, solitamente in titanio o zirconia, che viene inserita direttamente nell’osso mascellare o mandibolare e funge da radice artificiale per sostituire un dente mancante. In altre parole, il perno lavora con una radice naturale residua per salvarla e riabilitarla, mentre l’impianto sostituisce una radice che non c’è più o che non è recuperabile. Questa distinzione è la chiave di volta per comprendere le diverse applicazioni.
Un perno è parte di un restauro conservativo o protesico-conservativo, volto a preservare il dente naturale del paziente per quanto possibile. Un impianto è una soluzione sostitutiva, che interviene quando il dente naturale (e la sua radice) non può più essere salvato. Le procedure chirurgiche e protesiche associate sono anch’esse radicalmente diverse: l’inserimento di un perno è una procedura odontoiatrica eseguita all’interno del canale radicolare, mentre l’inserimento di un impianto è un vero e proprio intervento chirurgico osseo. Anche i materiali e le strutture accessorie differiscono: i perni possono essere in fibra, metallo o ceramica e sono cementati nella radice; gli impianti sono solitamente in titanio biocompatibile che si osteointegra nell’osso, e a essi si connette un pilastro (abutment) su cui viene poi fissata la corona.
Ignorare questa differenza può portare a aspettative errate riguardo al trattamento proposto e ai suoi obiettivi. Questo capitolo si propone di demistificare questa confusione, illustrando chiaramente le specifiche di ciascuna soluzione e il motivo per cui vengono scelte in contesti clinici distinti, guidando il lettore a comprendere che, sebbene entrambi possano culminare nella presenza di una “corona” visibile in bocca, il supporto sottostante e la procedura per arrivarci sono mondi a sé stanti.
Qual è la Differenza tra Perno e Impianto?
Approfondendo ulteriormente la differenza cruciale tra perno e impianto, andiamo a sviscerare le specificità che li rendono soluzioni distinte per problemi diversi. La differenza più marcata, come anticipato, risiede nella loro funzione di base: il perno dentale è un rinforzo endoradicolare, inserito per dare stabilità e ritenzione a un dente che ha ancora la sua radice naturale ma ha perso gran parte della struttura coronale, specialmente dopo una devitalizzazione. Agisce come un’armatura interna che supporta la ricostruzione o la corona protesica. L’impianto dentale, d’altra parte, è una radice artificiale, una vite in titanio o zirconia che viene inserita chirurgicamente direttamente nell’osso alveolare per rimpiazzare un dente mancante. Non c’è una radice naturale da rinforzare; l’impianto diventa il nuovo punto di ancoraggio nell’osso.
Questa distinzione funzionale si traduce in differenze significative nella struttura, nei materiali e nella procedura.
-
- Struttura e Materiali: I perni dentali sono tipicamente strutture sottili, cilindriche o coniche, realizzate in fibra (vetro, carbonio), metallo (titanio, acciaio inossidabile) o ceramica. Vengono cementati passivamente all’interno del canale radicolare preparato. Gli impianti, invece, sono viti con filettature esterne progettate per favorire l’osteointegrazione (la fusione con l’osso), realizzate quasi esclusivamente in titanio puro o leghe di titanio (materiali biocompatibili per eccellenza) o, più raramente, in zirconia. Vengono avvitati nell’osso.
-
- Procedura e Sito di Inserimento: L’inserimento di un perno dentale è una procedura clinica eseguita dal dentista all’interno dello studio, mirata a preparare lo spazio nel canale radicolare e cementare il perno. Non coinvolge l’osso in modo diretto, se non come struttura di supporto per la radice che ospita il perno. L’inserimento di un impianto dentale è un atto chirurgico, eseguito dal dentista o da un chirurgo orale, che prevede la preparazione di un sito nell’osso mascellare o mandibolare e l’inserimento della vite implantare. Richiede tempo per l’osteointegrazione prima di poter essere caricato.
- Situazioni Cliniche: Un perno viene utilizzato su un dente che esiste, ma è gravemente danneggiato coronalmente e devitalizzato. L’obiettivo è salvarlo e riabilitarlo. Un impianto viene utilizzato quando il dente non esiste più (è stato estratto) o la sua radice è irrecuperabile (per frattura, grave infezione, ecc.). L’obiettivo è sostituire completamente il dente perduto.
Le forze masticatorie vengono trasmesse in modo diverso: il perno le trasmette alla radice naturale e da questa all’osso tramite il legamento parodontale residuo (anche se in un dente devitalizzato questo legamento può non ammortizzare le forze come in un dente vitale); l’impianto trasmette le forze direttamente all’osso con cui è integrato. Comprendere queste differenze è vitale per capire quale soluzione sia la più appropriata per una data condizione orale e quali siano i tempi, i costi e i risultati attesi di ciascun trattamento.
Cosa Sono gli Impianti Dentali con Perni?
La domanda “Cosa sono gli impianti dentali con perni?” rivela la comune confusione terminologica e merita un chiarimento preciso per dissipare ogni ambiguità. È importante affermare subito che gli impianti dentali, nel senso stretto e tecnico, non utilizzano “perni” come vengono intesi i perni endoradicolari che rinforzano i denti naturali devitalizzati. La terminologia può essere fuorviante perché in contesti non specialistici, alcune parti dell’impianto o del suo sistema protesico possono essere descritte in modo impreciso utilizzando il termine “perno”. Tuttavia, dal punto di vista tecnico, la struttura che va nell’osso e la parte che emerge per la corona sono denominate diversamente.
La struttura che viene inserita chirurgicamente nell’osso e che funge da radice artificiale è l’impianto dentale vero e proprio, una vite in titanio (o zirconia). Questa vite si integra con l’osso attraverso un processo chiamato osteointegrazione. Sopra l’impianto, una volta avvenuta l’osteointegrazione, viene fissato un componente chiamato pilastro implantare, o abutment. L’abutment è la parte che emerge dalla gengiva e serve da supporto e connessione per la corona protesica artificiale che andrà a sostituire la parte visibile del dente. È l’abutment, in termini funzionali e di posizionamento (emergendo sopra la gengiva), che potrebbe essere vagamente paragonato a un “moncone” su cui cementare una corona, ma non è un perno endoradicolare inserito in una radice naturale. Quindi, quando si sente parlare di “impianti dentali con perni”, si sta quasi certamente facendo riferimento all’impianto stesso (la vite nell’osso) o al pilastro implantare (l’abutment) su cui si fissa la corona. Non si tratta dell’applicazione di un perno all’interno di una radice naturale preservata, come nel caso del restauro di un dente devitalizzato.
La struttura completa di un restauro su impianto comprende quindi tipicamente tre componenti principali: 1) l’impianto (la vite osteointegrata nell’osso), 2) l’abutment (il pilastro che si connette all’impianto ed emerge dalla gengiva) e 3) la corona protesica (la parte visibile del dente che viene fissata all’abutment). Capire questa nomenclatura corretta è fondamentale per una comunicazione chiara con il professionista dentale e per avere aspettative realistiche riguardo al trattamento proposto. Non esistono impianti dentali che utilizzano perni endoradicolari; le due procedure sono alternative e si basano su principi biologici e meccanici differenti.
Perno, Moncone, Corona: i Componenti di un Impianto Dentale
Per comprendere appieno un restauro su impianto dentale e distinguerlo nettamente da un dente naturale riabilitato con un perno moncone, è essenziale conoscere i componenti che lo costituiscono. In un impianto dentale, i termini che potremmo erroneamente confondere con “perni” o “monconi” nel contesto dei denti naturali assumono significati specifici all’interno del sistema implantare. I tre componenti fondamentali di un restauro su impianto sono:
-
- 1) La vite implantare: Questa è la struttura in titanio o zirconia che viene inserita chirurgicamente nell’osso mascellare o mandibolare. Agisce come una radice artificiale. È questa la parte che potrebbe, in un linguaggio molto improprio e non tecnico, essere confusa con un “perno” perché è un elemento “piantato” (ma nell’osso, non in una radice). Il suo ruolo primario è l’osteointegrazione, ovvero fondersi biologicamente con l’osso circostante, creando un ancoraggio estremamente stabile.
-
- 2) L’abutment (o pilastro implantare): Questo componente viene avvitato o cementato alla vite implantare una volta che l’osteointegrazione è avvenuta. L’abutment emerge attraverso la gengiva e funge da interfaccia tra l’impianto nascosto nell’osso e la corona visibile in bocca. È l’abutment che ha la forma di un “moncone” preparato, simile al moncone di un dente naturale preparato per una corona. È su questa struttura che verrà cementata o avvitata la corona protesica. Quindi, l’abutment è l’analogo funzionale del perno moncone, ma è connesso a una radice artificiale (l’impianto) anziché a una radice naturale.
- 3) La corona protesica: Questa è la parte visibile del restauro, che imita la forma, il colore e la funzione di un dente naturale. Può essere realizzata in vari materiali (ceramica, zirconia, metallo-ceramica) e viene fissata all’abutment.
Nel contesto degli impianti, i termini “perni” (intesi come la vite implantare), “monconi” (intesi come gli abutment) e “corone” si riferiscono a parti di un sistema di sostituzione del dente perduto. Non si tratta di rinforzare una radice naturale con un perno endoradicolare o di costruire un perno moncone su una radice esistente. È un sistema completamente diverso, progettato per sostituire la radice mancante con una vite nell’osso e poi costruire il dente sopra questa nuova “radice”. Comprendere questa anatomia del restauro su impianto è fondamentale per cogliere le differenze procedurali e le indicazioni rispetto al restauro di un dente naturale con perno moncone, evitando confusioni dannose per una corretta comprensione del proprio piano di trattamento.
C’è Differenza tra Perno Moncone e Impianto Dentale?
Riprendiamo il punto cruciale della distinzione, focalizzandoci direttamente sulla domanda: “C’è differenza tra Perno Moncone e Impianto Dentale?”. La risposta è un risuonante e inequivocabile SÌ. La differenza non è sottile, ma sostanziale e definisce due approcci completamente diversi alla riabilitazione orale, ciascuno con le proprie precise indicazioni.
Il Perno Moncone è una struttura che viene inserita all’interno della radice naturale residua di un dente che è stato precedentemente devitalizzato e ha subito una grave perdita di tessuto coronale. La sua funzione è quella di rinforzare questa radice esistente e di fornire una base solida (il moncone artificiale) su cui cementare una corona protesica. È, in sostanza, una tecnica per salvare e ricostruire un dente naturale compromesso. L’obiettivo è preservare la radice del paziente, utilizzandola come ancoraggio. La procedura si svolge all’interno del dente, nel canale radicolare.
L’Impianto Dentale, invece, è una radice artificiale (una vite in titanio o zirconia) che viene inserita chirurgicamente direttamente nell’osso della mascella o della mandibola nel sito dove un dente è stato perso o estratto perché non più recuperabile. La sua funzione è quella di sostituire la radice mancante e fungere da ancoraggio per un dente protesico completo (composto da impianto, abutment e corona). È una tecnica per sostituire un dente mancante, non per salvare una radice esistente. La procedura è un intervento chirurgico osseo.
Quando si sceglie uno rispetto all’altro? La scelta dipende fondamentalmente dalla condizione del dente del paziente. Si opta per un perno moncone quando il dente naturale ha ancora una radice sana e ben supportata dall’osso, anche se la corona è quasi completamente distrutta, e il trattamento endodontico sulla radice è stato efficace. L’obiettivo è evitare l’estrazione e preservare la radice naturale. Si opta per un impianto dentale quando il dente naturale è irrecuperabile e deve essere estratto, o quando il dente è già mancante. L’osso nel sito dell’estrazione deve essere sufficiente e sano per poter accogliere l’impianto (a volte sono necessarie procedure preliminari come innesti ossei). In sintesi, il perno moncone è per salvare e riabilitare una radice esistente ma danneggiata coronalmente; l’impianto dentale è per sostituire una radice mancante o non recuperabile. Sono soluzioni distinte per problemi diversi, e la loro confusione può portare a incomprensioni fondamentali riguardo al piano di trattamento proposto dal dentista.
Il Perno dell’Impianto è lo Stesso del Perno Dentale?
Affrontiamo l’ultima, cruciale distinzione in questa sezione dedicata al confronto tra perni e impianti, rispondendo direttamente alla domanda che sottende molta della confusione: “Il perno dell’impianto è lo stesso del perno dentale?”. La risposta è categoricamente: No. È fondamentale ribadire e rafforzare questo concetto, perché la terminologia, se usata in modo non preciso, può generare aspettative errate e incomprensioni tra paziente e dentista.
Come abbiamo ampiamente esplorato, il perno dentale (o perno radicolare, perno endodontico, perno moncone) è una struttura che viene inserita e cementata all’interno del canale radicolare di una radice dentale naturale esistente, che è stata devitalizzata. Il suo scopo è rinforzare questa radice e fornire supporto per una ricostruzione o una corona. Lavora insieme alla radice naturale residua per salvare il dente.
Il “perno dell’impianto”, se con questa espressione ci si riferisce alla vite che viene inserita nell’osso, è in realtà l’impianto dentale stesso. È una radice artificiale in titanio o zirconia che viene posizionata chirurgicamente nell’osso mascellare o mandibolare per sostituire un dente mancante. Non viene inserito in una radice naturale. La sua funzione è l’osteointegrazione, ovvero fondersi con l’osso, non rinforzare una struttura dentale esistente.
Se con “perno dell’impianto” ci si riferisce alla parte che emerge dalla gengiva e su cui si fissa la corona, quella è l’abutment (o pilastro implantare). Anche l’abutment non è un perno dentale nel senso tradizionale; è un componente specifico del sistema implantare che connette la vite implantare (nell’osso) alla corona protesica (visibile in bocca). Non si ancora in una radice naturale, ma sulla vite artificiale.
La confusione nasce perché la parola “perno” può genericamente evocare l’idea di un elemento di fissaggio o supporto che si inserisce in qualcosa. Tuttavia, nel linguaggio odontoiatrico tecnico, “perno dentale” si riferisce quasi sempre alla struttura endoradicolare che rinforza un dente naturale devitalizzato, mentre “impianto” si riferisce alla vite nell’osso che sostituisce una radice, e “abutment” al pilastro su cui va la corona implantare. Sono strutture con funzioni, siti di inserimento e principi biologici radicalmente diversi. Per posizionare correttamente i “perni dentali” rispetto ad altre procedure, si potrebbe pensare a un contesto più ampio di riabilitazione protesica che include “perni, impianti e innesti”. I perni rientrano nelle tecniche di riabilitazione di denti esistenti ma danneggiati. Gli impianti e gli innesti (come gli innesti ossei o gengivali) rientrano nelle tecniche di riabilitazione di tessuti mancanti (denti, osso, gengiva) per creare un supporto adeguato per protesi o impianti. Questa categorizzazione evidenzia ancora una volta la netta distinzione funzionale e procedurale tra perni dentali e impianti.
Materiali e Forme dei Perni Dentali
Avventuriamoci ora nel dettaglio dei materiali e delle forme che caratterizzano i perni dei denti. Non sono tutti uguali; l’evoluzione tecnologica e la ricerca scientifica hanno portato allo sviluppo di diverse tipologie, ciascuna con proprietà specifiche che le rendono più o meno adatte a determinate situazioni cliniche. Comprendere come sono fatti aiuta a capire perché il dentista possa scegliere un tipo di perno piuttosto che un altro.
Storicamente, i perni dentali erano prevalentemente realizzati in metallo, i più comuni erano in acciaio inossidabile o leghe di titanio. Questi perni metallici sono noti per la loro elevata resistenza meccanica e rigidità. Potevano essere prefabbricati (prodotti in serie in varie forme e dimensioni) o fusi su misura (realizzati in laboratorio partendo da un’impronta del canale, spesso in leghe preziose o non preziose). Tuttavia, i perni metallici fusi, essendo molto rigidi e non legandosi chimicamente alla dentina, concentravano lo stress alla base del moncone o lungo la radice, aumentando il rischio di fratture radicolari a lungo termine. Inoltre, potevano creare problemi estetici, trasparando attraverso le corone in ceramica o generando ombre scure.
Negli ultimi decenni, c’è stata una forte tendenza verso l’uso di perni in fibra, in particolare fibra di vetro, ma anche fibra di carbonio o di quarzo. Questi perni in fibra sono annegati in una matrice resinosa e offrono un vantaggio cruciale: hanno un modulo di elasticità molto simile a quello della dentina naturale. Ciò significa che flettono leggermente sotto carico, distribuendo meglio lo stress lungo la radice e riducendo significativamente il rischio di fratture radicolari rispetto ai perni metallici rigidi. Sono anche adesivi, il che permette un legame più intimo e rinforzante con la struttura dentale residua. I perni in fibra di vetro sono anche estetici (traslucidi o bianchi), ideali per i settori anteriori dove si desidera un risultato naturale senza ombre.
Altre opzioni includono perni in ceramica (come la zirconia), che offrono ottima estetica e biocompatibilità, ma possono essere più fragili e richiedono tecniche di cementazione adesiva molto precise. La forma dei perni può variare da cilindrica (con pareti quasi parallele al canale) a conica (rastremata verso l’apice), o combinazioni. I perni conici sono più conservativi in termini di rimozione di dentina, ma potrebbero offrire meno ritenzione meccanica rispetto ai cilindrici o a quelli con micro-ritenzioni superficiali, se non cementati con tecniche adesive moderne. La scelta del materiale e della forma dipende dalla quantità e qualità della struttura dentale residua, dalla forma del canale radicolare, dalle forze occlusali e dalle esigenze estetiche. La ricerca continua a esplorare nuovi materiali e design per ottimizzare le prestazioni e la longevità dei perni dentali.
Tipi di Perni Dentali e Sistemi Esistenti
Il mercato dei perni dentali è vasto e in continua evoluzione, offrendo una notevole varietà di tipi e sistemi, ciascuno con le proprie peculiarità e indicazioni. Questa diversità riflette i tentativi dell’industria e della ricerca di trovare soluzioni sempre più efficaci e “dentina-friendly”. Come accennato, la distinzione principale è tra perni prefabbricati e perni fusi personalizzati.
I perni prefabbricati sono prodotti in serie con dimensioni, forme e materiali standardizzati. Sono disponibili in set con frese calibrate corrispondenti per preparare l’alloggiamento nel canale radicolare in modo preciso. La maggior parte dei perni in fibra (di vetro, carbonio, quarzo) rientra in questa categoria, così come molti perni metallici e ceramici. Sono convenienti, richiedono meno tempo clinico e non necessitano di passaggi di laboratorio (se non si considera la costruzione del moncone con tecnica indiretta per i perni metallici). Sono disponibili in diverse forme, come cilindrici (che offrono massima superficie di adesione se il canale è parallelo), conici (più conservativi per la struttura radicolare, adattandosi a canali conici naturali o preparati con frese coniche), o combinati (una porzione cilindrica apicale e una conica coronale). Esistono anche perni con diverse caratteristiche superficiali per migliorare la ritenzione meccanica oltre all’adesione chimica. I perni fusi personalizzati, invece, sono realizzati individualmente in laboratorio, solitamente in metallo, partendo da un modello del canale radicolare e della porzione coronale. Offrono un adattamento estremamente preciso alla forma irregolare del canale, ma richiedono più tempo, costi e prevedono il rischio (sebbene ridotto con le leghe moderne) di concentrazione dello stress dovuto alla rigidità del metallo. Erano lo standard d’oro in passato, ma l’avvento dei perni in fibra con ottime proprietà biomeccaniche e adesive ne ha ridotto l’uso, anche se rimangono indicati in casi selezionati (ad esempio, canali di forma molto irregolare o ovalare non ben gestibili con perni prefabbricati rotondi).
Per illustrare la varietà, esistono sistemi di perni in fibra traslucida, come i RelyX Fiber Post o i Radix fiber post, che sono popolari per la loro estetica e proprietà meccaniche. Ci sono perni in fibra di carbonio (come gli originali C-Post) che sono molto resistenti ma non estetici. Esistono sistemi con perni conici e cilindrici calibrati (come i Ray glass perni conici e cilindrici). Alcuni sistemi includono anche frese dedicate per la preparazione dello spazio (ad esempio, la Fresa 1 RelyX Fiber Post). Per i perni moncone fusi si possono usare perni calcinabili (come i Perni calcinabili Duralay) che vengono modellati in resina o cera e poi fusi. Ci sono anche perni specifici per situazioni particolari, come gli Attacchi Overdenture Perni & Pivot, che sono utilizzati per stabilizzare protesi rimovibili su radici o impianti. La selezione del perno appropriato è una decisione clinica che richiede la valutazione della condizione del dente, delle caratteristiche del canale radicolare e delle esigenze del restauro finale. Il mercato offre costantemente nuovi prodotti e materiali (come gli Opticore post vetro o i Rebuilda Post) per migliorare le prestazioni e semplificare le procedure per odontoiatri e dentisti.
Quanto Costano i Perni per i Denti
Arriviamo a una delle domande che più frequentemente balza alla mente dei pazienti: il costo. Capire “quanto costano i perni per i denti e le procedure associate” richiede di considerare diversi fattori, poiché non si tratta di un prezzo fisso e universale. Il costo può variare significativamente a seconda di numerosi elementi, tra cui: il tipo di perno utilizzato (materiale, prefabbricato o fuso), la complessità del caso (forma del canale, difficoltà di accesso), la tecnica utilizzata (diretta o indiretta), la regione geografica e lo studio dentistico (esperienza del professionista, costi generali della struttura), e se il costo include solo il perno e la sua cementazione o anche la ricostruzione coronale e la corona protesica finale. È fondamentale distinguere il costo del solo perno (inteso come il materiale e la sua cementazione nel canale radicolare) dal costo dell’intero restauro del dente, che spesso include la devitalizzazione (se non è già stata fatta), l’inserimento del perno, la costruzione del moncone (se necessario) e la realizzazione e cementazione della corona protesica.
Il costo del perno in sé è solo una frazione del costo totale della riabilitazione di un dente gravemente compromesso che necessita di un perno e di una corona. Pertanto, quando si chiede il costo, è essenziale capire a quale parte del trattamento ci si riferisce. I perni prefabbricati in fibra o metallo hanno un costo del materiale relativamente contenuto, ma il costo della procedura di preparazione del canale e cementazione si aggiunge. I perni moncone fusi in metallo, richiedendo il lavoro di laboratorio, hanno un costo intrinseco del perno più elevato. Il costo totale della procedura dipenderà da quanti di questi passaggi sono inclusi nella stima. Le fasce di prezzo che vedremo nelle prossime sezioni sono indicative e servono a dare un’idea generale, ma è sempre necessario richiedere un preventivo dettagliato al proprio dentista dopo una visita e una diagnosi precise, poiché solo il professionista può valutare la complessità specifica del vostro caso e definire il piano di trattamento più appropriato e il relativo costo.
Quanto Costano i Perni per i Denti?
Addentrandoci nella questione economica specifica, “Quanto costano i perni per i denti?” è una domanda legittima, ma la risposta è complessa e dipende da diversi fattori. Per “perni per i denti” si può intendere sia il perno radicolare semplice che il perno moncone. Focalizzandoci sul costo del solo perno e della sua cementazione nel canale radicolare (escludendo per il momento la ricostruzione coronale e la corona protesica), possiamo fornire un range indicativo. Il costo può variare approssimativamente da circa 150€ a 400€ o più per perno.
Questo prezzo include il costo del perno prefabbricato stesso (il cui costo varia a seconda del materiale, ad esempio i perni in fibra di vetro sono generalmente più economici dei perni in zirconia, mentre i perni fusi in leghe preziose sarebbero significativamente più costosi, ma meno comuni oggi) e il costo della procedura clinica di preparazione del canale e cementazione. Tuttavia, è cruciale comprendere che questo è solo un segmento del costo totale del restauro di un dente che necessita di un perno. Questo prezzo non include la devitalizzazione che deve essere eseguita preventivamente (il cui costo può variare ampiamente a seconda del dente e del numero di canali), non include la ricostruzione del moncone sopra il perno (se si utilizza un perno radicolare semplice) e non include il costo della corona protesica che quasi sempre segue l’inserimento del perno per proteggere e riabilitare completamente il dente. Fattori che influenzano questo costo specifico includono la difficoltà tecnica del caso (ad esempio, canali curvi o stretti rendono la preparazione più complessa), il materiale del perno scelto (i perni in fibra tendono ad avere costi procedurali leggermente diversi rispetto ai perni metallici o ceramici), e, come sempre, la tariffa oraria dello studio dentistico.
Pertanto, mentre il costo del perno come componente è relativamente basso, il costo della sua applicazione richiede competenza e tempo clinico che si riflettono nel prezzo finale di questa specifica fase del trattamento. Non fermatevi a questo costo parziale; per avere un’idea chiara della spesa totale, dovete considerare l’intero piano di trattamento proposto dal vostro dentista, che quasi sempre include anche le fasi successive di ricostruzione e protesi.
Quanto Costa Mettere un Perno in Bocca?
Ampliando la prospettiva, la domanda “Quanto costa mettere un perno in bocca?” si riferisce probabilmente al costo totale della procedura che porta ad avere un perno saldamente posizionato nella radice, ma senza considerare ancora la corona protesica finale. Questo costo include tipicamente la devitalizzazione (trattamento endodontico) del dente (se non è già stata eseguita) e la successiva procedura di inserimento e cementazione del perno nel canale radicolare.
Il costo della devitalizzazione varia considerevolmente in base alla complessità del dente: un incisivo (un canale) costa meno di un premolare (spesso due canali) o di un molare (tre o più canali, canali curvi o calcificati aumentano la difficoltà). Il range per una devitalizzazione può andare da circa 200€ per un dente semplice fino a oltre 800€ per un molare complesso. A questo si aggiunge il costo dell’inserimento del perno, come discusso in precedenza, che include il perno stesso e il tempo clinico per la preparazione e cementazione. Quindi, il costo per “mettere un perno in bocca”, intendendo la devitalizzazione più l’inserimento del perno, potrebbe ragionevolmente variare in un range ampio, indicativamente tra 400€ e 1200€ o più, a seconda del tipo di dente (e quindi della difficoltà della devitalizzazione) e del tipo di perno scelto. Questo prezzo copre la riabilitazione interna della radice.
Tuttavia, nella maggior parte dei casi, l’inserimento del perno è funzionale alla ricostruzione della parte coronale del dente e alla successiva protezione con una corona. Pertanto, questo costo non rappresenta l’investimento finale per ripristinare completamente il dente alla sua piena funzione e estetica. È un passo necessario, ma non l’ultimo. Fattori che possono influenzare ulteriormente questo costo includono la necessità di radiografie diagnostiche preliminari e di controllo, l’uso di tecniche endodontiche avanzate (come l’uso del microscopio operatorio) o la necessità di rimuovere restauri preesistenti prima di iniziare il trattamento. È essenziale discutere con il dentista quali specifiche voci di costo sono incluse in un preventivo per questa fase del trattamento.
Quanto Costa un Perno Moncone e Una Corona?
Salendo di livello nella complessità del restauro e, di conseguenza, nel costo, ci focalizziamo sulla combinazione “Quanto costa un perno moncone e una corona?”. Questa domanda si riferisce al costo dell’intero restauro protesico di un dente gravemente compromesso che richiede sia un supporto endoradicolare che un rivestimento completo. In questo scenario, il perno utilizzato è spesso un perno moncone (prefabbricato con ricostruzione diretta in composito o fuso in metallo/zirconia con tecnica indiretta), su cui viene poi cementata una corona protesica. Il costo qui include diverse componenti significative: il costo del perno moncone stesso e la sua cementazione, e il costo della realizzazione (lavoro di laboratorio o tecnologia CAD/CAM in studio) e cementazione della corona.
Il costo del perno moncone può variare a seconda che sia un perno in fibra prefabbricato con ricostruzione in composito (meno costoso in termini di materiale perno, ma con costo del composito e del tempo clinico di modellazione) o un perno moncone fuso in metallo o realizzato in zirconia (generalmente più costosi a causa dei costi di laboratorio e dei materiali). Indicativamente, il costo del perno moncone come entità unica può variare da circa 250€ a 600€ o più. A questo si aggiunge il costo della corona protesica, che è una voce di costo significativa e altamente variabile. Il prezzo di una corona dipende enormemente dal materiale utilizzato (resina provvisoria, metallo-ceramica, ceramica integrale, zirconia, metallo prezioso come l’oro) e dalla tecnologia di fabbricazione (laboratorio tradizionale, CAD/CAM). Una corona in metallo-ceramica può costare, per esempio, da circa 400€ a 800€, mentre una corona estetica in ceramica integrale o zirconia può variare da 600€ a oltre 1200€. Il costo totale per un “perno moncone e una corona” è quindi la somma di questi elementi, oltre al tempo clinico per la preparazione del dente/moncone, le impronte/scansioni e la cementazione.
Si può stimare un range totale indicativo che va da circa 650€ (perno moncone economico + corona semplice) a oltre 1800€ (perno moncone complesso/fuso + corona estetica di alta qualità). A questo, si ricordi, andrebbe aggiunto il costo della devitalizzazione preliminare se non inclusa. È un investimento importante, ma finalizzato a salvare e riabilitare un dente che altrimenti andrebbe perso, con la possibilità di ripristinare completamente funzione ed estetica. La trasparenza con il dentista riguardo alle opzioni di materiali e alle relative implicazioni di costo è fondamentale.
Costo per Fare un Dente con Perno Fisso
Per fornire una stima più completa dell’investimento necessario quando si parla di riabilitare un dente gravemente danneggiato con un perno, è utile considerare il costo complessivo per “fare un dente con perno fisso”. L’espressione “dente fisso” in questo contesto si riferisce alla corona protesica che viene cementata saldamente sulla struttura sottostante (perno moncone o perno + ricostruzione), differenziandosi da protesi rimovibili. Quindi, il costo totale per “fare un dente con perno fisso” include, in genere, tutte le fasi necessarie dalla radice al restauro visibile:
-
- 1) La Devitalizzazione (Trattamento Endodontico), che è quasi sempre un prerequisito. Come visto, il suo costo varia significativamente con la complessità del dente.
-
- 2) L’Inserimento del Perno (radicolare o moncone), che include il costo del perno e la procedura di cementazione nel canale.
-
- 3) La Costruzione del Moncone (se non si usa un perno moncone fuso che già lo include) o la preparazione del perno moncone esistente per l’impronta/scansione.
-
- 4) La Realizzazione della Corona Protesica Fissa in laboratorio o con tecnologia CAD/CAM in studio, che include il costo del materiale (metallo-ceramica, zirconia, ceramica, ecc.) e il lavoro tecnico.
- 5) La Cementazione Finale della Corona sul perno moncone o sul moncone ricostruito.
Sommando realisticamente i costi indicativi per ciascuna di queste fasi (tenendo conto della variabilità), il costo totale per ripristinare completamente un dente con perno fisso può situarsi in un range molto ampio. Per un dente a un solo canale (incisivo o canino) con un perno in fibra e una corona in metallo-ceramica, il costo totale potrebbe partire da circa 700€ – 1000€. Per un molare a più canali con un perno moncone complesso e una corona in zirconia di alta qualità, il costo totale potrebbe facilmente raggiungere o superare i 2000€ – 2500€. È fondamentale sottolineare che questi sono solo range indicativi e il prezzo effettivo dipenderà dalla specifica clinica, dal dentista, dalla regione, dalla complessità del caso e dai materiali scelti. Un preventivo scritto dettagliato è sempre indispensabile per capire esattamente cosa è incluso nel costo totale e quali sono le opzioni disponibili per adattarsi alle proprie esigenze cliniche ed economiche. Questo investimento mira a preservare un dente naturale, un obiettivo che ha un valore clinico e biologico superiore rispetto alla sua estrazione e successiva sostituzione.
Quanto Durano i Perni Dentali e Un Dente con Perno?
Una volta che il perno dentale è stato inserito e il dente è stato riabilitato con una corona, la domanda successiva che sorge spontanea riguarda la sua “speranza di vita”. “Quanto durano i perni dentali e un dente con perno?” La longevità di un restauro con perno non è una scienza esatta e può variare ampiamente; non è come avere una data di scadenza impressa sul dente. Diversi fattori influenzano in modo significativo la durata nel tempo sia del perno stesso come struttura di supporto, sia dell’intero complesso “dente con perno e corona”.
In generale, un perno dentale ben inserito e un restauro coronale correttamente eseguito su un dente con una radice sana hanno il potenziale per durare per molti anni, spesso 10, 15, 20 anni o anche di più. Tuttavia, è fondamentale capire che questa longevità è influenzata da una serie di variabili interdipendenti. Il primo fattore cruciale è la qualità del trattamento endodontico eseguito prima dell’inserimento del perno; se la devitalizzazione non ha sigillato correttamente i canali, si può sviluppare un’infezione all’apice della radice, compromettendo la stabilità della radice stessa.
La quantità e la qualità della struttura dentale residua sono parimenti vitali; più parete dentale naturale rimane sopra la gengiva, minore è lo stress sul perno e sulla radice. La salute del parodonto (gengive e osso attorno alla radice) è indispensabile: un dente con un perno necessita di un supporto osseo saldo come qualsiasi altro dente. Le forze occlusali a cui il dente è sottoposto giocano un ruolo enorme; il bruxismo (digrignamento o serramento notturno) o un’occlusione scorretta possono esercitare carichi eccessivi che, nel tempo, possono portare a fratture (del perno, della radice o del restauro) o al fallimento del cemento. La qualità e la precisione del restauro coronale (la corona o la ricostruzione) sono altrettanto importanti: margini non perfetti possono permettere l’infiltrazione batterica e lo sviluppo di carie sotto la corona, portando al fallimento. Infine, e forse il fattore più controllabile dal paziente, l’igiene orale quotidiana e i controlli dentistici regolari sono essenziali per prevenire nuove carie, malattie gengivali e per permettere al dentista di identificare e risolvere precocemente eventuali problemi. Un perno in sé non si caria, ma la radice e il dente residuo attorno e sotto la corona possono farlo.
In sintesi, mentre il perno è progettato per durare a lungo, la sopravvivenza del dente con perno dipende da una complessa interazione di fattori biologici, meccanici e di mantenimento nel tempo. Non c’è una garanzia a vita, ma con le giuste premesse e un’adeguata cura, possono essere estremamente duraturi.
Quanto Dura Un Perno Moncone?
Concentrandoci specificamente sulla struttura interna, ci si può chiedere “Quanto dura un perno moncone?” distinguendolo dalla durata complessiva del dente con la corona. Il perno moncone, come struttura che si ancora nella radice e crea la base per la corona, è progettato per essere estremamente resistente e, dal punto di vista strutturale, ha il potenziale per durare indefinitamente se le condizioni circostanti rimangono favorevoli. Tuttavia, la sua longevità è intrinsecamente legata alla salute e alla stabilità della radice naturale in cui è inserito e alla durata della corona protesica che lo ricopre.
Un perno moncone in metallo fuso, ad esempio, è un pezzo metallico molto robusto che non si degrada. Un perno in fibra, annegato in un composito, mantiene la sua integrità per anni. Ma la vera domanda non è quanto dura il materiale del perno moncone, ma quanto a lungo il perno moncone rimane funzionale e integrato nel sistema dente-corona. I fattori che possono portare al fallimento di un perno moncone, indipendentemente dal suo materiale intrinseco, sono principalmente legati a problemi che insorgono nella radice o nella corona. La causa più comune di fallimento a lungo termine non è il perno moncone che si rompe da solo (anche se può accadere in rari casi di carichi estremi o difetti), ma è il fallimento della radice che lo sostiene. Questo può verificarsi per frattura radicolare (spesso causata da stress eccessivo, perni troppo rigidi o rimozione eccessiva di dentina durante la preparazione), recidiva di carie (che si sviluppa al di sotto del margine della corona e danneggia la radice o il dente residuo attorno al perno moncone) o fallimento del trattamento endodontico (con conseguente infezione e riassorbimento osseo attorno alla radice). Un’altra causa di “fallimento” del perno moncone è il fallimento del cemento che lo lega alla radice, portando al suo scollamento, anche se questo è meno comune con le moderne tecniche adesive.
La durata della corona sovrastante, sebbene diversa dalla durata del perno moncone, ne influenza pesantemente la necessità di manutenzione o sostituzione. Se la corona si scheggia, si caria marginalmente o si stacca, spesso è necessario rimuoverla, il che può stressare il perno moncone e potenzialmente richiedere la sua revisione o sostituzione. In sintesi, un perno moncone ben realizzato su una radice sana può durare quanto la radice stessa e la corona che lo protegge e vi si adatta perfettamente. La sua “durata” come struttura separata è meno rilevante della sua capacità di mantenere l’integrità dell’intero restauro per il maggior tempo possibile, il che, come detto, dipende da molti fattori biologici e meccanici esterni al perno stesso.
Il Perno al Dente Fa Male?
Una preoccupazione molto comune tra i pazienti quando si parla di trattamenti dentali, specialmente quelli che coinvolgono l’interno del dente o la radice, è il potenziale dolore. La domanda “Il perno al dente fa male?” è quindi assolutamente comprensibile. La risposta, tuttavia, tende a essere rassicurante: l’inserimento del perno dentale, di per sé, generalmente non fa male perché avviene dopo che il dente è stato devitalizzato. La devitalizzazione, o trattamento endodontico, comporta la rimozione della polpa dentale, che contiene i nervi responsabili della sensazione di dolore. Una volta che la polpa è stata rimossa e i canali radicolari sono stati puliti e sigillati correttamente, il dente non ha più sensibilità “interna”.
La procedura di preparazione dello spazio nel canale radicolare per l’inserimento del perno e la successiva cementazione vengono quindi eseguite su un dente che è, per così dire, “addormentato” internamente. Inoltre, per garantire il massimo comfort del paziente e per lavorare in un campo privo di sensibilità nei tessuti circostanti (gengiva, legamento parodontale), il dentista utilizzerà comunque lanestesia locale prima di iniziare la procedura, anche se il dente è devitalizzato. Quindi, durante l’inserimento del perno, non dovreste avvertire alcun dolore.
Dopo la procedura, è possibile avvertire un lieve fastidio o una sensazione di indolenzimento, non tanto nel dente stesso (che rimane insensibile internamente), ma piuttosto nella gengiva circostante o nell’osso di supporto, dovuto alla manipolazione dei tessuti durante la preparazione e l’inserimento del perno e l’eventuale ricostruzione del moncone. Questo fastidio post-operatorio è solitamente di lieve entità e gestibile con normali farmaci antidolorifici da banco, se necessario. Non ci si aspetta un dolore acuto, forte o persistente. Se dovesse manifestarsi un dolore significativo, continuo o in aumento nei giorni successivi, è importante contattare il dentista, poiché potrebbe indicare una complicanza (sebbene rara) come un’infiammazione della zona periapicale o un problema al trattamento endodontico precedente. In sintesi, il perno al dente durante la procedura non fa male grazie alla devitalizzazione e all’anestesia; dopo, il fastidio è generalmente minimo.
Quanto Dura il Dolore Dopo Aver Messo Un Impianto Perno Dente?
Spesso, quando si parla di dolore post-trattamento dentale, le esperienze possono variare a seconda della procedura eseguita. La domanda “Quanto dura il dolore dopo aver messo un impianto perno dente?” contiene, come abbiamo visto in precedenza, una potenziale confusione terminologica tra perno dentale (su radice naturale) e impianto dentale (nell’osso).
Se la domanda si riferisce al dolore dopo l’inserimento di un perno dentale classico su un dente devitalizzato, come abbiamo appena spiegato, il dolore o il fastidio è solitamente minimo e di breve durata, limitato all’indolenzimento gengivale o osseo per uno o due giorni, facilmente gestibile con antidolorifici da banco. Tuttavia, se la domanda si riferisce al dolore post-operatorio dopo l’inserimento di un impianto dentale (la vite che funge da “perno” nell’osso), la situazione è diversa, poiché si tratta di un intervento chirurgico sull’osso. Il dolore dopo l’inserimento di un impianto è un’esperienza più comune e di solito più significativa rispetto al fastidio post-perno su dente naturale, ma comunque ben gestibile con la corretta terapia farmacologica.
In genere, il dolore dopo l’inserimento di un impianto dentale è più intenso nelle prime 24-48 ore post-intervento. Questo dolore può variare in intensità da moderato a discreto, a seconda della complessità dell’intervento (ad esempio, se sono state eseguite anche estrazioni o innesti ossei contestualmente) e dalla reazione individuale del paziente. È spesso accompagnato da gonfiore (che può aumentare nei primi 2-3 giorni) e talvolta lividi nella zona trattata. Il dolore tende a diminuire gradualmente nei giorni successivi, e la maggior parte dei pazienti riferisce un significativo miglioramento entro 3-7 giorni dall’intervento. L’odontoiatra o il chirurgo orale prescriveranno farmaci antidolorifici (spesso antinfiammatori non steroidei) e talvolta antibiotici per prevenire infezioni. Seguire attentamente le istruzioni post-operatorie (uso di ghiaccio, riposo, dieta morbida, igiene orale delicata) è fondamentale per minimizzare il dolore e accelerare il recupero. Quindi, per chiarire: il dolore post-perno su dente naturale è minimo; il dolore post-impianto (che è la vite “perno” nell’osso) è più marcato ma temporaneo e gestibile. Se avete messo un perno su un dente devitalizzato e provate un dolore forte e prolungato, non è normale e dovreste contattare il vostro dentista; se avete messo un impianto e provate dolore per alcuni giorni, questo rientra nella norma del recupero chirurgico.
Cosa Devo Fare se Si Stacca Un Dente con Un Perno?
Nonostante la cura e la precisione con cui vengono eseguiti i trattamenti, in rari casi possono verificarsi delle complicanze. Una delle situazioni che può generare ansia è quando “si stacca un dente con un perno”. Questa espressione può significare che si è staccata la corona protesica dal perno moncone, o che si è staccato il perno moncone stesso dalla radice, portando con sé la corona attaccata, o, nel peggiore dei casi, che la radice stessa si è fratturata o che il dente residuo sotto la corona si è cariato in modo esteso, causando il cedimento dell’intera struttura.
Cosa devo fare se si stacca un dente con un perno? La prima cosa è non farsi prendere dal panico. Mantenete la calma. Seconda cosa, e cruciale, recuperate con cura tutti i pezzi che si sono staccati: la corona protesica, il perno (se si è staccato con la corona) ed eventuali frammenti di dente residuo visibili. Non toccate eccessivamente le superfici interne o le parti che si adattano. Pulite delicatamente i pezzi sciacquandoli sotto l’acqua corrente, ma non strofinateli o cercate di disinfettarli con prodotti aggressivi. Conservate i pezzi in un contenitore pulito e, idealmente, in un ambiente leggermente umido; l’acqua va bene per un breve periodo, ma se non potete recarvi subito dal dentista, una soluzione fisiologica salina o persino del latte possono essere migliori per preservare i tessuti dentali residui eventualmente attaccati al perno/corona.
Terzo passo, e forse il più importante: contattate immediatamente il vostro dentista. Spiegate l’accaduto e fissate un appuntamento il prima possibile. Anche se non provate dolore, è fondamentale una valutazione rapida. Il dentista esaminerà la situazione, valuterà i pezzi che avete recuperato e farà una radiografia per capire perché si è staccato (scollamento del cemento, frattura del perno, frattura della radice, carie estesa sotto la corona). A seconda della causa del cedimento, ci sono diverse possibilità: se si è semplicemente scollata la corona dal perno moncone integro (il caso più fortunato), spesso è possibile pulire entrambe le superfici e ricementare la corona con un nuovo cemento. Se si è scollato il perno moncone dalla radice, potrebbe essere possibile ricementarlo se il perno e la radice sono integri e il canale radicolare non è stato danneggiato, ma la ritenzione potrebbe non essere mai forte come la prima volta. Se la radice si è fratturata verticalmente, sfortunatamente, la prognosi è quasi sempre infausta e l’unica soluzione è l’estrazione del dente. Se c’è una carie estesa sotto la corona che ha distrutto la radice residua, l’estrazione è anch’essa probabile. Pertanto, agire prontamente, recuperare i pezzi e consultare il dentista è essenziale per aumentare le possibilità di poter salvare o riabilitare nuovamente il dente.
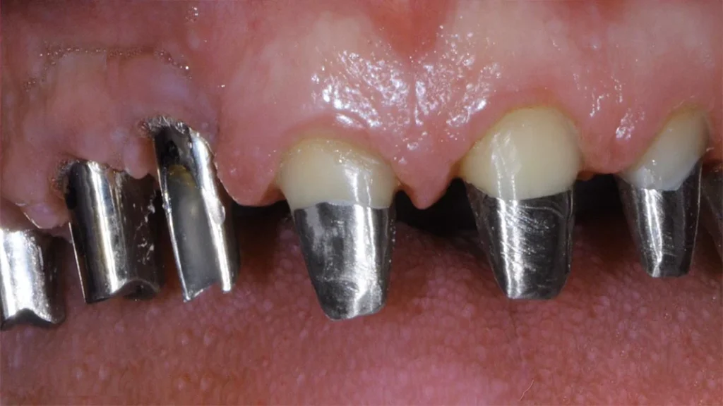
Come si Toglie Un Perno Dentale e Quando È Necessario Farlo?
In alcune circostanze specifiche, può rendersi necessario “togliere un perno dentale”. Questa non è affatto una procedura di routine e viene eseguita solo quando strettamente indispensabile, poiché la rimozione di un perno, specialmente se ben cementato, è un intervento complesso che comporta il rischio di danneggiare la radice residua del dente, potenzialmente portando alla sua frattura. Ma come si toglie un perno dentale e quando è necessario farlo?
La rimozione diventa necessaria principalmente in due scenari: il primo è quando il trattamento endodontico precedente (la devitalizzazione) è fallito e necessita di un ritrattamento endodontico. Se il perno occupa tutto o gran parte dello spazio nel canale radicolare, deve essere rimosso per accedere al canale stesso, pulirlo, disinfettarlo e sigillarlo nuovamente in modo corretto. Il secondo scenario è il fallimento del perno stesso, ad esempio per frattura del perno, carie che si è sviluppata lungo il perno o un problema che richiede l’accesso diretto alla radice attraverso il perno stesso.
La rimozione di un perno richiede tecniche e strumenti specifici e una notevole abilità da parte del dentista. Non si tratta semplicemente di “svitarlo” o “estrarlo con la forza”. I perni sono cementati saldamente, spesso con cementi adesivi molto resistenti. Le tecniche utilizzate mirano a indebolire o rompere il legame del cemento e a rimuovere il perno gradualmente. Possono includere: l’uso di strumenti ultrasonici specifici che, vibrando ad alta frequenza, aiutano a frammentare il cemento attorno al perno; l’uso di frese dedicate (spesso diamantate o in carburo) che ruotano attorno al perno per creare uno spazio o frammentarlo (molto rischioso per la radice); l’uso di sistemi di rimozione per perni che applicano una forza controllata per estrarre il perno una volta che il legame è stato indebolito (come gli estrattori a vite o i sistemi a pinza). La procedura è delicata perché le pareti della radice, già indebolite dalla devitalizzazione, sono sottili e suscettibili alla frattura. Ogni movimento sbagliato o eccessiva pressione può compromettere irrimediabilmente la radice. Il dentista lavorerà con grande cautela, spesso sotto ingrandimento (come un microscopio operatorio), cercando di rimuovere il perno preservando il più possibile la struttura dentale residua e le pareti radicolari. Il tempo necessario per rimuovere un perno può variare da pochi minuti a oltre un’ora, a seconda del tipo di perno, del cemento utilizzato, della forma del canale e dell’abilità del dentista. È una procedura ad alto rischio che viene intrapresa solo quando i benefici potenziali di salvare il dente attraverso il ritrattamento superano il rischio di frattura durante la rimozione.
Come Mettere Un Dente Senza Perno?
Nell’ambito della riabilitazione dentale, non sempre la strada per “mettere un dente” passa obbligatoriamente per l’utilizzo di un perno. Esistono, infatti, alternative valide che vengono considerate quando un perno non è indicato, non è tecnicamente fattibile, o quando la situazione clinica richiede un approccio diverso. Esplorare queste opzioni è importante per avere un quadro completo delle possibilità riabilitative.
Come mettere un dente senza perno? Questo è possibile principalmente in due scenari: 1) Se il dente danneggiato, pur necessitando di un restauro esteso (spesso dopo una carie o una frattura), possiede ancora una quantità sufficiente e sana di struttura dentale residua sopra la gengiva, anche dopo l’eventuale devitalizzazione. In questo caso, non è necessario inserire un perno per rinforzare la radice o creare un moncone. La ricostruzione della corona può essere eseguita direttamente sul dente residuo utilizzando materiali adesivi come il composito. Questa tecnica è chiamata ricostruzione diretta con composito e sfrutta le moderne resine composite che si legano chimicamente e meccanicamente allo smalto e alla dentina residui. Se la quantità di struttura residua è adeguata (spesso si parla della “ferula” o “ferrule effect”, un anello di dente sano al di sopra del margine gengivale), il composito da solo può fornire sufficiente resistenza e supporto sia come restauro finale (per denti non sottoposti a carichi eccessivi) sia come moncone su cui poi cementare una corona protesica, il tutto senza l’ausilio di un perno.
2) Se il dente è irrecuperabile (ad esempio, per una frattura radicolare o una perdita ossea grave) e deve essere estratto, allora non c’è più una radice naturale in cui inserire un perno. In questo caso, le alternative per “mettere un dente” (cioè sostituire il dente mancante) diventano le protesi fisse o rimovibili o gli impianti dentali. Un ponte dentale fisso (senza impianto) sostituisce il dente mancante preparando (limando) i denti adiacenti sani (chiamati pilastri) e realizzando una struttura protesica unica (il ponte) che si cementa su questi pilastri. Il dente mancante (il pontic) è “sospeso” tra di loro. Un impianto dentale, come abbiamo visto, è una radice artificiale in titanio inserita nell’osso, sulla quale viene poi fissata una corona. È la soluzione più simile a un dente naturale in termini di stabilità e funzione, e non richiede di coinvolgere i denti adiacenti. Le protesi rimovibili (dentiere parziali o totali) sono un’altra opzione per sostituire uno o più denti mancanti.
La scelta tra queste alternative (ricostruzione diretta, ponte, impianto, protesi rimovibile) dipende da numerosi fattori, tra cui la quantità di struttura dentale residua, la salute della radice, la presenza e la salute dei denti adiacenti, la condizione dell’osso, le esigenze del paziente, il budget e le preferenze cliniche. La decisione di non usare un perno è spesso legata alla possibilità di ottenere un restauro stabile e duraturo con metodi meno invasivi sulla radice, o alla necessità di sostituire completamente un elemento irrecuperabile.
FAQ – Domande Frequenti sui Perni Dentali
Eccoci giunti alla fine di questo viaggio esplorativo nel mondo dei perni per denti, ma prima di congedarci, dedichiamo uno spazio alle domande più frequenti che spesso emergono quando si affronta questo argomento complesso. È naturale avere interrogativi, specialmente su procedure che riguardano la salute e l’integrità della nostra bocca, e ripercorrere i punti chiave in un formato domanda-risposta può aiutare a consolidare le informazioni e a dissipare gli ultimi dubbi.
Abbiamo coperto molti aspetti, dalla natura stessa di questi piccoli ma cruciali elementi di rinforzo, alle tecniche per inserirli, alle distinzioni fondamentali che li separano da altre soluzioni come gli impianti. Abbiamo toccato i temi più “spinosi” come i costi e la longevità attesa, e persino la percezione del dolore e la gestione di eventuali inconvenienti. Questa sezione FAQ ha lo scopo di offrire risposte rapide e concise (pur mantenendo il vincolo di lunghezza per ogni H3, che ci spinge a essere esaustivi anche nelle sintesi) ai quesiti più pressanti, fungendo da riassunto e punto di riferimento finale. Consideratela una “quick guide” ai concetti essenziali che abbiamo sviscerato, un modo per avere a portata di mano le definizioni chiave e le distinzioni fondamentali che rendono il perno dentale una soluzione così specifica e importante nella moderna odontoiatria restaurativa.
Queste domande rappresentano il nucleo delle curiosità dei pazienti e meritano una risposta chiara e accessibile, anche quando la complessità tecnica richiederebbe pagine di spiegazioni. Cercheremo di distillare l’essenza delle informazioni fornite in precedenza, ripresentandole in un formato che facilita la comprensione e la memorizzazione, aiutandovi a sentirvi più preparati e informati quando discute con il vostro dentista delle opzioni di trattamento per i vostri denti. È la nostra ultima immersione nell’argomento, progettata per lasciare un’impronta chiara e duratura nella vostra comprensione dei perni dentali.
Cos’è un perno dentale e a cosa serve?
Ripercorrendo la definizione fondamentale, “Cos’è un perno dentale e a cosa serve?” possiamo sintetizzare che un perno dentale, noto anche come perno radicolare, è una piccola struttura, solitamente cilindrica o conica, realizzata in vari materiali come fibra di vetro, fibra di carbonio, metallo (titanio) o ceramica, che viene specificamente progettata per essere inserita e saldamente cementata all’interno di un canale radicolare di un dente che è stato precedentemente devitalizzato. La sua ragione d’essere, il suo scopo primario e vitale, è duplice e interconnesso. In primo luogo, serve a rinforzare strutturalmente la radice residua del dente. Dopo la devitalizzazione e la rimozione di tessuto dentale a causa di carie o preparazione, le pareti residue del dente possono diventare fragili e suscettibili a fratture, specialmente sotto le forze della masticazione. Il perno, agendo come un’armatura interna ben ancorata nella radice, aiuta a distribuire meglio questi carichi, riducendo il rischio di una catastrofica frattura radicolare che spesso porta all’estrazione del dente. In secondo luogo, il perno serve a fornire un solido ancoraggio e supporto per la ricostruzione della parte coronale del dente (la parte visibile sopra la gengiva). Quando la distruzione della corona è estesa e non c’è abbastanza struttura dentale residua per sostenere una semplice otturazione o una corona protesica, il perno emerge dalla radice e fornisce una base affidabile – un “moncone” artificiale – su cui il dentista può costruire (con composito) o cementare la ricostruzione o la corona finale. Serve, in pratica, a creare un “ponte” meccanico tra la radice sopravvissuta e la protesi che ripristinerà completamente la forma, l’estetica e, soprattutto, la funzione masticatoria del dente, permettendo al paziente di continuare a utilizzare un dente che altrimenti sarebbe stato perso. È quindi uno strumento fondamentale nell’arsenale dell’odontoiatria conservativa avanzata e protesica, indispensabile quando è necessario salvare e riabilitare denti gravemente compromessi nella loro struttura coronale.
Che Differenza C’è tra Perno Dentale e Impianto Dentale?
Torniamo sulla distinzione cruciale che genera la maggior parte delle confusioni, affrontando la domanda: “Che Differenza C’è tra Perno Dentale e Impianto Dentale?”. È una differenza fondamentale e non un semplice gioco di parole. La distinzione principale si basa su cosa supportano e dove vengono posizionati. Un Perno Dentale (o perno moncone) è una struttura che viene inserita all’interno della radice naturale esistente di un dente del paziente, che è stato devitalizzato. La sua funzione è quella di rinforzare questa radice danneggiata coronalmente e fornire una base (un moncone artificiale) su cui cementare una corona protesica, salvando il dente naturale. Lavora con la struttura biologica residua del paziente. È un intervento che mira a preservare un dente. Un Impianto Dentale, al contrario, è una radice artificiale, solitamente una vite in titanio, che viene inserita chirurgicamente direttamente nell’osso della mascella o della mandibola nel sito dove un dente è stato perso o estratto. La sua funzione è quella di sostituire completamente la radice mancante e fornire un ancoraggio nell’osso per una protesi che rimpiazza l’intero dente (impianto + abutment + corona). Lavora sostituendo una struttura biologica mancante. È un intervento che mira a sostituire un dente. In sintesi estrema: il perno è per salvare un dente con radice che ha perso la corona; l’impianto è per sostituire un dente senza radice (perché mancante o irrecuperabile). Le procedure sono diverse (inserimento nel canale radicolare vs. chirurgia ossea), i materiali sono diversi (fibra, metallo, ceramica per perni vs. titanio, zirconia per impianti), e i costi e i tempi di trattamento sono diversi. Capire questa differenza è essenziale per comprendere correttamente il proprio piano di trattamento odontoiatrico e le opzioni disponibili per riabilitare denti danneggiati o mancanti, scegliendo la soluzione più adatta alla specifica condizione clinica e alle proprie esigenze.
Quanto costano i perni per i denti?
La questione economica è sempre rilevante, ed è giusto domandarsi: “Quanto costano i perni per i denti?”. Come abbiamo visto, il costo può variare notevolmente e dipende da una serie di fattori cruciali. Per fornire una stima realistica, dobbiamo considerare che il costo del perno è solo una parte di un restauro più ampio. Il costo del solo perno e della sua cementazione nel canale radicolare preparato (escludendo la devitalizzazione e la corona) può variare indicativamente da circa 150€ a 400€ o più. Questa cifra include il costo del materiale del perno stesso (i perni in fibra sono generalmente meno costosi dei perni in ceramica o dei perni moncone fusi in metallo prezioso) e il costo del tempo clinico e dei materiali (cementi adesivi) necessari per preparare il canale radicolare e cementare saldamente il perno. I fattori che incidono su questo costo parziale includono la complessità anatomica del dente e del canale (canali curvi o stretti richiedono più tempo e attenzione), la tecnica di cementazione utilizzata (alcune tecniche adesive sono più complesse e richiedono materiali specifici), e, come sempre, la politica tariffaria dello studio dentistico e la sua ubicazione geografica. È fondamentale ricordare che questo costo si riferisce solo al “supporto” interno. Per avere un dente completo e funzionale, sarà quasi sempre necessario affrontare anche il costo della devitalizzazione preventiva (se non ancora eseguita) e, soprattutto, il costo della ricostruzione coronale (la parte visibile del dente, spesso una corona protesica). Il costo totale per riabilitare un dente con un perno e una corona sarà quindi significativamente più alto, potendo variare, come indicato in precedenza, da circa 700€ fino a oltre 2500€ a seconda della complessità del caso e dei materiali scelti per la corona. Pertanto, quando si chiede il costo dei perni, è essenziale chiarire se si intende il costo del solo perno o il costo dell’intero processo di riabilitazione che lo include.
Quanto Durano i Perni Dentali e un Dente con Perno?
Guardando al futuro del restauro, una domanda chiave per molti pazienti è legata alla sua durabilità: “Quanto Durano i Perni Dentali e un Dente con Perno?”. Non esiste una risposta unica con una data di scadenza precisa, ma possiamo dire che un perno dentale, inserito correttamente in una radice sana e supportato da un restauro coronale di qualità, è progettato per offrire una longevità significativa, potenzialmente per molti anni, spesso superando i 10-15 anni, e in molti casi anche i 20 anni o più. La durata potenziale del perno stesso, come struttura, è elevata, specialmente con i materiali moderni. Tuttavia, la vera “durata” che interessa il paziente è quella dell’intero complesso funzionale: il dente naturale residuo + il perno + la ricostruzione coronale + la corona protesica. Questa longevità complessiva è fortemente influenzata da una serie di fattori, molti dei quali legati al paziente e alle condizioni biologiche circostanti, più che al perno in sé. Fattori determinanti includono: la qualità del trattamento endodontico (una devitalizzazione fallita può compromettere la radice); la quantità e la salute della struttura dentale residua al di sopra della gengiva (più dente sano rimane, meglio è); la salute del parodonto (gengive e osso di supporto devono essere sani); le forze masticatorie e la presenza di abitudini come il bruxismo; la qualità e la precisione del restauro coronale (la corona deve adattarsi perfettamente e prevenire infiltrazioni); e, crucialmente, la cura e l’igiene orale quotidiana del paziente e la regolarità dei controlli dentistici professionali. Nuove carie, malattie gengivali progressive o problemi occlusali non intercettati tempestivamente sono tra le cause più comuni di fallimento a lungo termine di un dente con perno. In sostanza, mentre il perno fornisce una base solida, la sopravvivenza del dente riabilitato dipende dalla sua “manutenzione” biologica e meccanica nel tempo. Non aspettatevi una durata “garantita” per un numero fisso di anni, ma sappiate che, con le giuste condizioni iniziali e un’ottima cura nel tempo, questi restauri possono servire fedelmente per un periodo molto lungo.
Il Perno al Dente Fa Male?
Concludiamo con la domanda più legata alla percezione e al benessere durante il trattamento: “Il Perno al Dente Fa Male?”. Affrontiamolo direttamente, con la risposta che il paziente si aspetta e la spiegazione che chiarisce ogni dubbio. La procedura di inserimento del perno dentale, di per sé, generalmente non è dolorosa. Il motivo principale risiede nel fatto che questa procedura viene quasi sempre eseguita su un dente che è già stato devitalizzato. Il trattamento endodontico (la devitalizzazione) comporta la rimozione del fascio nervo-vascolare (la polpa) dall’interno del dente e dai canali radicolari, eliminando così la capacità del dente di percepire sensazioni come il dolore o il freddo/caldo. Quindi, l’interno del dente è privo di sensibilità. Durante la preparazione dello spazio nel canale radicolare per ricevere il perno e la successiva cementazione del perno stesso, il dentista lavora all’interno di un dente che è “morto” dal punto di vista sensoriale interno. Inoltre, per garantire il completo comfort del paziente durante tutta la procedura e per lavorare in un campo privo di sensibilità anche nei tessuti circostanti (gengiva, legamento parodontale, osso), viene sempre eseguita un’efficace anestesia locale. Questo rende la zona completamente insensibile, permettendo al dentista di lavorare con la precisione necessaria senza causare dolore al paziente. Dopo la procedura, una volta che l’effetto dell’anestesia svanisce, è possibile avvertire una sensazione di lieve fastidio, indolenzimento o pressione, più che vero e proprio dolore acuto. Questo disagio è solitamente localizzato nella zona gengivale o nell’osso circostante la radice, a causa della manipolazione dei tessuti molli e duri durante l’intervento e la preparazione del dente. È un fastidio tipicamente di lieve entità e transitorio, che scompare spontaneamente entro uno o due giorni e che, se necessario, può essere facilmente gestito con l’assunzione di comuni farmaci antidolorifici da banco, come il paracetamolo o l’ibuprofene. Non è previsto che un perno dentale inserito correttamente causi dolore persistente o acuto; se ciò dovesse accadere, è sempre un segnale che richiede una valutazione da parte del dentista per escludere rare complicanze. In sintesi: niente dolore durante, minimo fastidio dopo..
“`