[rank_math_breadcrumb]

Protesi Fisse Dentarie Costi: Guida Completa Sui Prezzi e Opzioni

Picture of Scritto dalla Dott.ssa Greta Toska
Scritto dalla Dott.ssa Greta Toska

Revisionato scientificamente dal team odontoiatrico

Quanto Costano Le Protesi Fisse Dentarie? Le protesi fisse dentarie sono una delle soluzioni più comuni per il restauro dei denti danneggiati o mancanti, offrendo una soluzione stabile e durevole. Tuttavia,…

: risparmio del 70–85%

Dentale Albania

Il tuo check-up gratuito è pronto!

Share:

Indice dei Contenuti perProtesi Fisse Dentarie Costi: Guida Completa Sui Prezzi e Opzioni

Quanto Costano Le Protesi Fisse Dentarie?

Le protesi fisse dentarie sono una delle soluzioni più comuni per il restauro dei denti danneggiati o mancanti, offrendo una soluzione stabile e durevole. Tuttavia, i costi per installare una protesi fissa variano in base a diversi fattori. In questa sezione, esploreremo i principali aspetti che determinano il prezzo di una protesi dentale fissa e come i pazienti possono ottenere il trattamento in base alle proprie esigenze e al budget.

Fattori che Influenzano il Costo delle Protesi Fisse Dentarie 

I costi delle protesi fisse dentarie possono variare notevolmente, in parte a causa dei materiali utilizzati. Ad esempio, le protesi in porcellana tendono ad essere più costose rispetto a quelle in metallo, poiché offrono un aspetto estetico migliore e una durata maggiore. Inoltre, i costi possono variare anche in base alla zona geografica e alla clinica scelta, con prezzi generalmente più alti nelle grandi città rispetto a quelle più piccole.

Tipo di Protesi Fissa e Variazioni di Prezzo 

Un altro aspetto che influisce sul prezzo è il tipo di protesi. Esistono diverse opzioni, come le protesi fisse parziali e complete. Le protesi parziali sono generalmente meno costose perché coprono solo una parte dell’arcata dentale, mentre le protesi complete, che sostituiscono l’intera arcata, tendono ad avere costi più elevati. Ogni tipo di trattamento richiede una valutazione specifica del caso da parte del dentista, influenzando quindi il prezzo finale.

Offerte e Copertura della Mutua 

Un ulteriore aspetto importante da considerare è la possibilità di ridurre i costi attraverso la mutua o una assicurazione sanitaria. In alcuni casi, le protesi fisse dentarie possono essere coperte in parte o totalmente dalla mutua, a seconda della tipologia di trattamento necessario e delle condizioni del paziente. È importante verificare in anticipo con la propria assicurazione per capire quali trattamenti sono inclusi nel piano, in modo da evitare sorprese.

In sintesi, i costi delle protesi fisse dentarie dipendono da vari fattori come il tipo di protesi, i materiali, la zona geografica e la possibilità di usufruire di copertura tramite assicurazione. Nella sezione successiva, esploreremo in dettaglio il costo per applicare una protesi fissa completa, per aiutarti a comprendere meglio quanto potrebbe costare il trattamento per il tuo caso specifico.

Quanto Costa Mettere Una Protesi Dentaria Fissa? 

Il costo per applicare una protesi dentaria fissa completa dipende da una serie di fattori, tra cui il tipo di protesi scelta, i materiali utilizzati e la complessità del trattamento. In generale, i prezzi per una protesi fissa completa variano tra i 500 e i 2.500 euro per dente, con un prezzo medio che si aggira intorno ai 1.500 euro. Questo prezzo include generalmente la preparazione del dente, l’inserimento della protesi e le visite di controllo. Tuttavia, alcune variabili possono far lievitare il costo.

Dettaglio dei costi per il trattamento completo 

Una protesi fissa completa può essere necessaria per restaurare un’intera arcata dentale. In questo caso, il costo totale dipenderà dal numero di denti da sostituire, dal tipo di materiale scelto (come porcellana, zirconio, o resina composita), e dalla difficoltà del trattamento. I trattamenti che richiedono l’uso di impianti dentali o la necessità di interventi chirurgici preliminari, come l’inserimento di viti, comportano un incremento dei costi.

Tempi di trattamento e altre considerazioni 

Un altro aspetto importante da considerare è la durata del trattamento. L’inserimento di una protesi dentaria fissa richiede solitamente un periodo di consultazioni preliminari, un intervento chirurgico per posizionare gli impianti (se necessario), e successivamente diverse sedute per il montaggio della protesi definitiva. Il trattamento può durare dalle 6 alle 12 settimane, durante le quali è essenziale seguire tutte le indicazioni del dentista, compresi i follow-up periodici per garantire il successo dell’intervento.

Fattori che influenzano la durata del trattamento 

I tempi di trattamento possono variare a seconda delle condizioni orali del paziente e della complessità del caso. Se il paziente ha una buona salute orale e non sono necessarie operazioni aggiuntive (come l’estrazione di denti danneggiati o il trattamento delle infezioni), il processo sarà più rapido. Tuttavia, in casi più complessi, la durata del trattamento può estendersi, con un incremento dei costi complessivi.

In generale, il costo di una protesi dentaria fissa completa non si limita solo al prezzo della protesi stessa, ma deve anche considerare gli altri fattori legati alla durata del trattamento e alla necessità di possibili interventi aggiuntivi. Per una valutazione più accurata, è consigliabile consultare un dentista esperto che possa fornire un preventivo personalizzato in base alle specifiche esigenze del paziente.

Quanto Costa 2 Arcate Dentali Fisse? 

Il costo per trattare due arcate dentali con protesi fisse può variare significativamente in base a diversi fattori. Se il trattamento riguarda entrambe le arcate superiore e inferiore, i costi sono generalmente più elevati rispetto al trattamento di una sola arcata. In media, il costo per le protesi fisse su due arcate dentali può andare da 5.000 a 10.000 euro o più, a seconda del tipo di materiali utilizzati e della complessità del caso.

  • Fattori che influenzano il costo delle due arcate 

  • Il costo aumenta con il numero di denti da sostituire su entrambe le arcate. Se si richiedono impianti dentali su entrambe le arcate, i costi per i singoli impianti, che variano tra i 1.000 e i 2.500 euro ciascuno, andranno ad aggiungersi al prezzo complessivo. Inoltre, la scelta dei materiali per le protesi fisse avrà un impatto diretto sul costo. Materiali come il zirconio o la porcellana sono solitamente più costosi rispetto a quelli meno pregiati.
  • Trattamenti completi vs. parziali

Se il trattamento interessa due arcate dentali complete, quindi con la sostituzione di tutti i denti presenti, il costo sarà naturalmente maggiore. Tuttavia, se il trattamento è parziale (sostituendo solo una parte dei denti in ciascuna arcata), il costo diminuirà di conseguenza. I trattamenti parziali, che non richiedono impianti su tutti i denti, riducono notevolmente i costi totali.

  • Possibili sconti e copertura assicurativa 

Alcuni pazienti potrebbero riuscire a ottenere delle riduzioni del costo complessivo attraverso la mutua sanitaria o assicurazioni dentistiche. È importante verificare se le assicurazioni coprono parte dei costi, specialmente per i trattamenti complessi come quelli che riguardano due arcate dentali. In alcuni casi, potrebbero essere previste agevolazioni o rimborsi, che potrebbero ridurre significativamente il prezzo finale del trattamento.

  • Tempi di trattamento per due arcate 

Trattare due arcate dentali con protesi fisse richiede generalmente più tempo rispetto al trattamento di una sola arcata. In media, il trattamento completo per entrambe le arcate può durare da 6 mesi a un anno. La durata dipende dalla necessità di impianti dentali, dal tipo di protesi e dai tempi di guarigione individuali. I pazienti devono essere pronti per un percorso che includa più visite di follow-up, per monitorare il processo di guarigione e l’adattamento delle protesi.

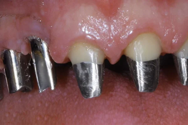
Quanto Costa Un Dente Fisso Con Perno? 

Una protesi dentaria fissa con perno è una soluzione utilizzata per ripristinare un dente danneggiato o perso, che non è in grado di sostenere una protesi tradizionale. Il perno viene inserito nell’osso mascellare o mandibolare, fungendo da ancoraggio per il dente artificiale che verrà successivamente applicato sopra. Questo tipo di trattamento può essere particolarmente utile in casi in cui la radice del dente originale è danneggiata ma la struttura ossea è ancora sana.

  • Costo di un dente fisso con perno 

Il costo per una protesi dentale fissa con perno può variare notevolmente a seconda della complessità del trattamento e dei materiali utilizzati. In media, il costo di un singolo dente fisso con perno può variare tra i 1.500 e i 3.500 euro. Questo costo include sia l’inserimento dell’impianto (perno) che la realizzazione della corona che andrà ad essere fissata sopra.

  • Fattori che influenzano il prezzo 
    Il costo finale dipende principalmente da diversi fattori:

    • Tipo di materiale utilizzato per la corona (ceramica, zirconio, metallo-porcellana, ecc.);
    • Tecnica chirurgica per l’inserimento del perno, che può richiedere più o meno tempo a seconda della condizione della mascella e del tipo di impianto richiesto;
    • Esperienza del dentista, che può influenzare il prezzo in quanto professionisti altamente qualificati possono applicare tariffe più elevate.

Tempi di trattamento 
Il trattamento con dente fisso con perno richiede generalmente due fasi principali: l’inserimento dell’impianto e l’adattamento della corona. La fase chirurgica iniziale richiede circa 1-2 ore, mentre l’inserimento definitivo della corona potrebbe richiedere da 4 a 6 mesi, per permettere all’impianto di integrarsi correttamente nell’osso (osteointegrazione). Durante questo periodo, è necessario seguire una serie di appuntamenti per monitorare il progresso e garantire che l’impianto stia prendendo bene.

Vantaggi e svantaggi 
Il dente fisso con perno offre numerosi vantaggi, come una maggiore durata e una funzionalità migliore rispetto alle protesi mobili. Tuttavia, è una soluzione più invasiva rispetto ad altri trattamenti, come le protesi mobili, e richiede più tempo e denaro. Inoltre, non tutti i pazienti sono candidati ideali per questa procedura, in quanto richiede una quantità sufficiente di osso sano per supportare l’impianto.

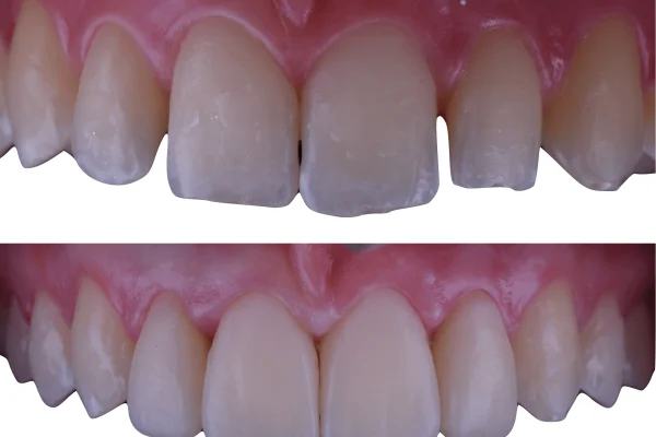
Quanto Costa Una Protesi Dentale Fissa Completa?

Una protesi dentale fissa completa è una soluzione ideale per chi ha perso un intero arco di denti. Questa tipologia di protesi si fissa saldamente all’arcata dentale e non è removibile, a differenza delle dentiere mobili. Le protesi fisse complete sono spesso utilizzate per ripristinare la funzionalità masticatoria e migliorare l’estetica del sorriso, in quanto permettono di avere denti fissi e duraturi, con un aspetto naturale.

  • Costi di una protesi fissa completa 

Il costo di una protesi dentale fissa completa dipende da vari fattori, tra cui il materiale scelto per la realizzazione della protesi, la complessità del trattamento e la zona geografica. In generale, i prezzi per una protesi fissa completa variano tra i 2.500 e i 5.000 euro per ogni arcata. Questo costo comprende la preparazione del paziente, l’applicazione dell’impianto (se necessario) e la creazione della protesi stessa.

  • Materiali per protesi fissa completa 

Le protesi fisse complete possono essere realizzate con diversi materiali, ognuno con caratteristiche specifiche. I materiali più comuni sono:

    • Ceramica: Ottima per il suo aspetto estetico, in quanto simula molto bene il colore e la traslucenza dei denti naturali.
    • Zirconio: È molto resistente e ha un aspetto simile alla ceramica, ma offre una maggiore durabilità, ideale per chi ha un’alta usura dentale.
    • Metallo-porcellana: Offre una buona resistenza e stabilità, ma potrebbe non essere l’ideale per i denti anteriori, poiché meno estetico rispetto ad altri materiali.

Differenze di costo tra protesi fisse parziali e complete 

Le protesi fisse parziali sono una soluzione più economica rispetto alle protesi fisse complete. Una protesi parziale è usata per sostituire uno o più denti mancanti in un’arcata dentale che ha ancora denti naturali. I costi per una protesi fissa parziale si aggirano tra 1.500 e 3.000 euro a seconda dei materiali e della complessità del trattamento. Se, invece, l’intera arcata dentale deve essere sostituita, i costi aumentano significativamente, arrivando a cifre ben più alte.

Tempi di trattamento per una protesi fissa completa 

Il trattamento per una protesi dentale fissa completa richiede solitamente diverse visite e può durare da 3 a 6 mesi. I tempi variano a seconda della necessità di impianti dentali, della guarigione dell’osso, della preparazione della protesi e dell’adattamento finale. Durante questo periodo, è importante seguire le indicazioni del dentista per evitare complicazioni e garantire il successo del trattamento.

Nel prossimo paragrafo, esploreremo i costi per trattamenti che coinvolgono l’applicazione di 10 denti fissi, un’opzione spesso richiesta per migliorare l’estetica del sorriso in caso di denti mancanti.

Quanto Costa Mettere 10 Denti Fissi? 

Quando si parla di applicare 10 denti fissi, il trattamento può riguardare la sostituzione di una parte significativa dell’arcata dentale. Questa opzione è spesso scelta da chi desidera ripristinare il sorriso e la funzionalità masticatoria in modo duraturo, ma senza ricorrere a una protesi fissa completa su tutta l’arcata.

Costi per l’applicazione di 10 denti fissi 

Il costo per applicare 10 denti fissi dipende dal tipo di trattamento scelto e dai materiali utilizzati. In media, il costo per un singolo dente fisso si aggira tra i 400 e i 1.500 euro, a seconda delle caratteristiche specifiche della protesi (ceramica, zirconio, ecc.). Per un trattamento che riguarda 10 denti, il prezzo totale può variare tra 4.000 e 15.000 euro.

Inoltre, il trattamento potrebbe richiedere l’uso di impianti dentali in caso di grave perdita ossea, il che potrebbe aumentare il costo complessivo, portandolo a cifre superiori.

  • Fattori che influenzano i costi per 10 denti fissi 

Diversi fattori influenzano i costi finali per l’applicazione di 10 denti fissi. Ecco alcuni dei principali:

    • Tipo di materiale: I materiali più pregiati, come lo zirconio, tendono ad aumentare il prezzo rispetto a quelli più comuni come la ceramica o la resina composita.
    • Numero di impianti necessari: Se il paziente ha bisogno di impianti dentali (un supporto metallico utilizzato per ancorare i denti artificiali), il costo complessivo sarà maggiore.
    • Esperienza del dentista e clinica: I professionisti altamente qualificati e le cliniche rinomate, soprattutto nelle città più grandi, possono addebitare prezzi più alti per i loro servizi.
  • Considerazioni sul trattamento 

L’applicazione di 10 denti fissi è un trattamento impegnativo che richiede tempi di realizzazione e adattamento. È importante considerare non solo il costo, ma anche la durata del trattamento e i risultati finali. Un trattamento di questo tipo non solo migliora l’estetica del sorriso, ma ripristina anche la funzionalità masticatoria, che può essere compromessa dalla perdita di più denti.

Quanto Costa Una Dentiera Fissa Sopra e Sotto? 

Quando si parla di dentiera fissa completa che include sia l’arcata superiore che quella inferiore, il trattamento diventa una soluzione integrata per chi ha perso tutti i denti naturali di entrambe le arcate. Questo tipo di protesi è progettato per fornire una sostituzione permanente e funzionale per i denti mancanti, offrendo sia estetica che miglioramento delle capacità masticatorie.

  • Costi per una dentiera fissa sopra e sotto 

Il costo di una dentiera fissa completa che coinvolge entrambe le arcate dentali può variare in base a diversi fattori. Generalmente, il prezzo per una dentiera fissa che copre sia l’arcata superiore che quella inferiore si aggira tra 6.000 e 20.000 euro. La variabilità del prezzo dipende da elementi come il tipo di materiale scelto, l’eventuale necessità di impianti dentali e la qualità dei lavori eseguiti dal professionista.

    • Tipo di materiale: La resina acrilica è la scelta più economica, mentre materiali più resistenti e esteticamente naturali come il zirconio o la ceramica aumentano il costo complessivo.
    • Numero di impianti: In alcuni casi, è necessario inserire impianti per garantire la stabilità della dentiera fissa, il che incrementa il costo. Ogni impianto dentale può costare tra i 1.000 e i 2.500 euro.
  • Fattori che influenzano il costo 

Alcuni dei principali fattori che influiscono sul costo di una dentiera fissa completa includono:

    • Tecnologia utilizzata: L’uso di tecnologie avanzate come la progettazione assistita da computer (CAD/CAM) per la creazione della dentiera può aumentare il prezzo, ma garantisce una maggiore precisione e durata.
    • Esperienza e specializzazione del dentista: Dentisti con maggiore esperienza e specializzazione in implantologia o protesi dentarie potrebbero applicare costi superiori rispetto a professionisti meno esperti.
    • Complessità del caso: La complessità del trattamento, come la necessità di interventi chirurgici per il posizionamento di impianti o l’adattamento preciso della dentiera, può influenzare notevolmente i costi.
  • Vantaggi della dentiera fissa sopra e sotto 

La dentiera fissa completa offre numerosi vantaggi rispetto alle opzioni mobili. Essa garantisce una maggiore stabilità e comfort, poiché è ancorata saldamente alla mascella tramite impianti, riducendo al minimo il rischio di slittamento o disagio durante la masticazione o la parola. Inoltre, le protesi fisse non necessitano di essere rimosse per la pulizia, come le protesi mobili, aumentando la comodità quotidiana.

Nel prossimo paragrafo esploreremo se e come i costi delle protesi fisse dentarie possano essere coperti dalla mutua o dalle assicurazioni sanitarie, un aspetto importante da considerare quando si affrontano spese così ingenti.

Prenota una Consulenza Live

Pronto a trasformare il tuo sorriso e a scoprire la bellezza dell'Albania? Contattaci oggi stesso per programmare la tua procedura di impianto dentale e inizia il tuo percorso verso un sorriso più sano e sicuro!

Recensioni e Ultime Raccomandazioni perProtesi Fisse Dentarie Costi: Guida Completa Sui Prezzi e Opzioni