
Table of Contents
ToggleKey Takeaways
-
- La ricostruzione di un dente ripristina forma, funzione ed estetica dopo danni da carie, fratture o usura.
-
- La procedura è generalmente indolore grazie all’anestesia locale.
-
- Il costo varia ampiamente in base all’entità del danno, alla tecnica e al materiale utilizzato (composito, intarsi, corone).
-
- La durata di un dente ricostruito dipende dal tipo di restauro e dalla cura del paziente, oscillando dai 5 ai 20+ anni.
-
- Esistono diverse tecniche (otturazioni, intarsi, corone, faccette) scelte in base al caso specifico.
- Un dente non è ricostruibile se la radice è gravemente danneggiata o manca supporto osseo sufficiente.
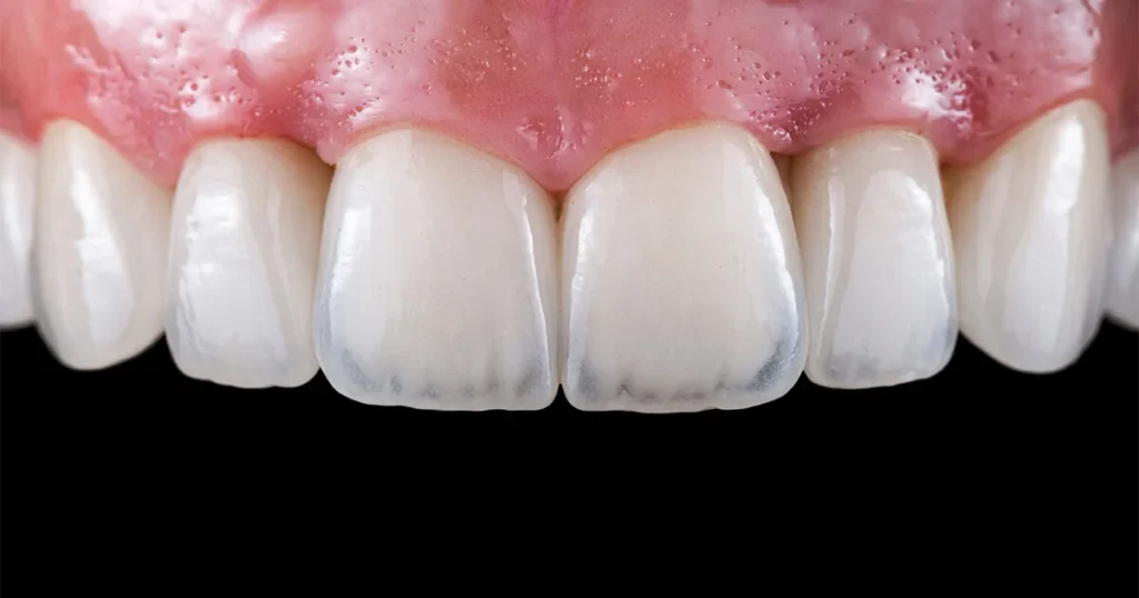
Cos’è la ricostruzione di un dente e come avviene?
Immaginate un dente che ha subito un duro colpo, non necessariamente una tragedia shakespeariana, ma forse una crepa insidiosa causata da quel maledetto nocciolo di oliva, oppure è stato lentamente eroso dall’acidità di certi cibi che amiamo troppo, o ancora, è stato intaccato dall’azione carsica implacabile della carie. La sua forma perfetta, la sua funzione masticatoria efficiente, la sua pura e semplice estetica – elementi fondamentali del nostro benessere quotidiano e della nostra immagine – sono compromessi. Ecco che entra in scena l’arte e la scienza della ricostruzione di un dente, un insieme di procedure odontoiatriche mirate a ripristinare, con materiali moderni e tecniche sofisticate, l’integrità strutturale, la capacità di assolvere al proprio compito biologico e l’aspetto originale (o anche migliorato!) di un elemento dentario danneggiato. Non stiamo parlando di magia, per quanto a volte i risultati possano sembrare tali, ma di interventi precisi e personalizzati che agiscono su diverse scale di danneggiamento. L’obiettivo primario è duplice, anzi triplice: conservare il più possibile il tessuto dentale sano residuo, bloccare l’avanzamento del danno (se si tratta ad esempio di carie) e restituire al dente la sua anatomia ideale, che gli permetta di ingranare perfettamente con l’arcata opposta durante la masticazione e di apparire naturale nel sorriso. Le cause che spingono verso la necessità di una ricostruzione dentale sono molteplici e variegate, toccando tutti i possibili aggressori del tessuto duro: l’onnipresente carie, quel lento disfacimento batterico che parte come un puntino e può erodere un volume considerevole di dente; le fratture traumatiche, spesso causate da urti accidentali o, peggio, da abitudini viziate come digrignare i denti (bruxismo) o usare i denti come strumenti; l’usura, un processo graduale che può dipendere sia da fattori meccanici (come la masticazione troppo energica o il bruxismo) sia chimici (erosione acida). Indipendentemente dalla causa scatenante, il principio è simile: dove manca tessuto sano, lo si sostituisce con materiale biocompatibile e resistente. Il processo, nelle sue linee generali, inizia sempre con una valutazione diagnostica accurata da parte del dentista, che stabilisce l’entità e la natura del danno. Segue la preparazione del dente, che può comportare la rimozione del tessuto danneggiato o cariato e la pulizia profonda della cavità o della superficie interessata. Solo a questo punto si procede con l’applicazione del materiale da ricostruzione del dente, modellandolo attentamente per restituire la forma corretta, e infine, con la sua polimerizzazione o cementazione, a seconda del materiale e della tecnica usata. È un processo meticoloso che richiede precisione e competenza.
Quanto fa male ricostruire un dente?
Eccoci a uno dei quesiti più ricorrenti, spesso sussurrato con un filo di ansia: “Ma la ricostruzione di un dente fa male?”. Rompiamo subito il ghiaccio: nella stragrande maggioranza dei casi, la risposta è un rassicurante no, o meglio, il dolore è attivamente gestito e minimizzato. L’odontoiatria moderna ha fatto passi da gigante, e la gestione del dolore è una priorità assoluta. Le procedure di ricostruzione dentale vengono quasi sempre eseguite sotto anestesia locale. Cosa significa questo in pratica? Significa che l’area intorno al dente interessato viene completamente addormentata per tutta la durata dell’intervento. Sentirete al massimo la puntura iniziale dell’ago, che è un fastidio brevissimo e sopportabile, ma una volta che l’anestetico fa effetto, la sensibilità al dolore scompare del tutto. Potreste avvertire delle sensazioni di pressione o vibrazione mentre il dentista lavora, ma non dolore acuto. L’obiettivo è proprio quello di permettere al professionista di operare con la massima precisione, senza che il paziente debba sopportare alcun patimento, e al paziente di vivere l’esperienza nel modo più sereno possibile. Certo, la percezione del dolore è altamente soggettiva e dipende anche dalla complessità dell’intervento e dallo stato del dente. Una piccola otturazione su una carie superficiale richiederà un’anestesia minima, o a volte nemmeno quella per i pazienti meno sensibili, mentre la ricostruzione dente devitalizzato o la riparazione di una frattura profonda richiederanno necessariamente un’anestesia più estesa e profonda. Una volta che l’effetto dell’anestesia svanisce, a distanza di qualche ora dalla fine della seduta, è normale avvertire un leggero indolenzimento o fastidio nella zona trattata, soprattutto se l’intervento è stato più invasivo (ad esempio, rimozione di carie estesa o preparazione per un intarsio). Questo disagio post-operatorio è solitamente lieve e ben controllabile con i comuni antidolorifici da banco (come paracetamolo o ibuprofene), che il dentista potrebbe consigliarvi di assumere al bisogno. È raro che si presentino dolori intensi e persistenti; in quel caso, è sempre opportuno contattare il proprio dentista. Quindi, se vi state chiedendo quanto fa male ricostruire un dente, potete stare tranquilli: l’esperienza durante la procedura è studiata per essere priva di dolore grazie all’anestesia, e il fastidio successivo, se presente, è generalmente modesto e transitorio, nulla a che vedere con l’idea di un trattamento dentistico “doloroso” che magari appartiene a stereotipi superati o a esperienze passate con tecniche meno avanzate. L’obiettivo è sempre ricostruire un dente senza fastidio significativo.
Quanto costa una ricostruzione di un dente? Scopri cosa influenza il prezzo
Ah, il capitolo dei costi. Una domanda spinosa, ma fondamentale, che si affaccia puntualmente non appena si parla di interventi odontoiatrici: “Quanto costa una ricostruzione di un dente?“. E la risposta, come spesso accade nel campo medico e non solo, è: “Dipende”. Dipende da così tanti fattori che è praticamente impossibile dare un numero secco e universale. Cercare online “quanto costa ricostruire un dente” vi darà delle cifre indicative, ma la realtà è che il prezzo è altamente variabile e personalizzato sulla singola situazione clinica del paziente. Quindi, quanto costa la ricostruzione di un dente? Innanzitutto, l’estensione del danno è il fattore principale. Un piccolo ritocco su una scheggiatura minima è ovviamente meno costoso di una ricostruzione complessa di un molare quasi completamente distrutto dalla carie. Il materiale utilizzato gioca un ruolo cruciale: le resine composite di ultima generazione, pur essendo un’ottima soluzione estetica e funzionale per danni di media entità, hanno costi diversi rispetto agli intarsi in ceramica o alle corone, che richiedono lavorazioni di laboratorio e materiali più pregiati. La tecnica impiegata è strettamente legata al materiale e all’entensione del danno; una semplice ricostruzione in composito diretta in studio costa meno di un intarsio o una corona che necessitano di due sedute e del lavoro dell’odontotecnico. Anche la complessità del caso influisce: un dente con un accesso difficile, la necessità di rimuovere vecchie otturazioni complesse o la presenza di infezioni aggiuntive possono aumentare i tempi e la difficoltà, incidendo sul prezzo. La posizione del dente può fare la differenza, non tanto per il dente in sé, quanto per la complessità dell’accesso e la necessità di una precisione estetica maggiore (come nei denti frontali). Infine, e non meno importante, c’è il tariffario del singolo dentista o della clinica. Come per ogni servizio professionale, i costi variano in base all’esperienza del professionista, alla sua specializzazione, alla localizzazione dello studio e alla tecnologia utilizzata. Dare un range di costo è difficile, ma si può dire che le ricostruzioni più semplici, come un’otturazione estetica o una piccola riparazione in composito, possono partire da poche decine di euro e salire, mentre interventi più complessi come intarsi o corone possono costare diverse centinaia di euro, se non di più, a seconda dei materiali (ceramica vs metallo-ceramica vs zirconio, ecc.). Per avere un’idea precisa e personalizzata di Qual è il costo di una ricostruzione dentale? per il vostro caso specifico, l’unica strada è sottoporsi a una visita di valutazione da parte del dentista, il quale, dopo aver esaminato la situazione e discusso le opzioni terapeutiche, potrà fornirvi un preventivo dettagliato.
Quanto costa una ricostruzione parziale di un dente?
Quando si parla di ricostruzione parziale di un dente, ci si riferisce solitamente a interventi di minore entità, come la riparazione di una piccola scheggiatura, la chiusura di una cavità cariosa non troppo estesa, o il ripristino di una piccola porzione di smalto o dentina persa. In questo ambito rientrano tipicamente le otturazioni estetiche in resina composita. Queste procedure sono meno invasive e richiedono meno materiale e tempo rispetto a ricostruzioni più complesse. Per questo motivo, sono generalmente le opzioni meno costose all’interno del ventaglio della ricostruzione dentale. I costi per una ricostruzione parziale di un dente o un’otturazione variano in base alla dimensione della cavità o del danno e alla posizione del dente, ma si collocano nella fascia di prezzo più bassa degli interventi restaurativi.
Quanto costa rifoderare un dente?
Il termine “rifoderare un dente” non è un termine tecnico standard in odontoiatria, ma nel linguaggio comune viene spesso utilizzato per descrivere interventi di rivestimento o riempimento superficiale o estetico del dente, che possono coincidere con un’otturazione estetica su una superficie ampia o una piccola ricostruzione dente in composito per migliorare la forma o coprire imperfezioni. Se interpretato come una forma di otturazione o un intervento estetico minimamente invasivo con composito sulla superficie esterna, il costo rientra nella categoria delle ricostruzioni parziali o delle otturazioni estetiche. Il prezzo dipenderà dall’estensione della superficie da “rifoderare” e dalla complessità del risultato estetico desiderato.
Quanto costa ricostruire un dente devitalizzato?
La ricostruzione di un dente devitalizzato merita un discorso a parte per quanto riguarda i costi. Un dente sottoposto a terapia canalare (devitalizzazione) spesso ha perso una significativa porzione della sua struttura interna e tende a diventare più fragile rispetto a un dente vitale, perché non riceve più l’apporto nutritizio del flusso sanguigno nella polpa. Inoltre, la cavità creata per accedere ai canali radicolari per la devitalizzazione indebolisce ulteriormente la struttura. Per questi motivi, la ricostruzione dente devitalizzato è quasi sempre più complessa di quella di un dente vitale. Spesso, per fornire un adeguato supporto al materiale da ricostruzione, è necessario inserire un perno moncone all’interno del canale radicolare, su cui poi viene costruita la parte visibile del dente o applicata una corona. La necessità di un perno e, frequentemente, di una corona (o capsula) per proteggere il dente indebolito, rende l’intervento più oneroso. Il costo include sia la fase di ricostruzione del corpo del dente e l’eventuale perno, sia il costo della corona stessa, che è un manufatto di laboratorio. Di conseguenza, quanto costa ricostruire un dente devitalizzato è solitamente superiore al costo di una semplice otturazione o ricostruzione parziale su un dente vitale.
Quando è necessaria la ricostruzione dentale?
La ricostruzione dentale non è una procedura che si esegue per capriccio o per un semplice ritocco superficiale, a meno che non si parli di modifiche estetiche minime come quelle realizzabili con gli additionals. La necessità di ricorrere a questo tipo di intervento emerge prepotentemente ogni volta che l’integrità strutturale, la funzionalità masticatoria o l’estetica del dente sono compromesse in modo significativo e non possono essere ripristinate con le normali pratiche di igiene orale o con interventi minimi. Pensate a un dente che ha subito un danno tale da non poter più sopportare le normali forze masticatorie senza rischiare di rompersi ulteriormente; a una carie che ha scavato una cavità profonda, esponendo la dentina o la polpa; a un’usura severa che ha appiattito le cuspidi dei molari o ha ridotto l’altezza dei denti anteriori, compromettendo l’occlusione e potenzialmente causando problemi all’articolazione temporo-mandibolare; o a una frattura che ha scheggiato via una parte importante del dente, alterandone la forma e rendendolo vulnerabile. In tutti questi scenari, la ricostruzione dentale diventa non solo consigliabile, ma spesso indispensabile per salvare il dente, prevenire complicazioni future – come l’insorgenza di carie secondarie in aree non protette, l’infiammazione o l’infezione della polpa (con conseguente necessità di devitalizzazione) o ulteriori fratture che potrebbero portare alla perdita del dente stesso – e ripristinare la corretta funzione e l’estetica del sorriso. Ignorare un danno significativo, nella speranza che si risolva da solo (cosa impossibile per i tessuti duri del dente), è un errore comune che può portare a problemi molto più seri e costosi nel lungo termine. L’intervento tempestivo, quando il danno è ancora di entità moderata, permette spesso di utilizzare tecniche meno invasive e più conservative, preservando una maggiore quantità di tessuto dentale sano. È il dentista, attraverso una visita approfondita e, se necessario, l’ausilio di esami radiografici, a stabilire quando ricorrere a una ricostruzione dentale, valutando l’estensione del danno, la vitalità del dente e le condizioni generali del cavo orale per proporre la soluzione terapeutica più adeguata.
È possibile ricostruire un dente rotto o spezzato?
Assolutamente sì, la ricostruzione di un dente rotto o spezzato è una delle indicazioni più comuni e riuscite della ricostruzione dentale. Che si tratti di una piccola scheggiatura causata da un trauma minore, di una frattura più estesa dovuta a un incidente o di un dente spezzato a causa di una carie profonda o di un’eccessiva pressione, le tecniche di ricostruzione offrono eccellenti possibilità di recupero. La chiave sta nel valutare l’entità e la direzione della frattura. Se la frattura è limitata allo smalto o alla dentina e non ha coinvolto la polpa (il nervo), si può spesso procedere con una ricostruzione diretta in composito, “incollando” letteralmente la parte mancante con la resina e modellandola per restituire la forma originale. Per fratture più estese che coinvolgono anche la polpa, potrebbe essere necessaria una devitalizzazione prima della ricostruzione, che a quel punto potrebbe richiedere un intarsio o una corona per garantire la dovuta resistenza. Addirittura, in alcuni casi fortunati in cui il frammento di dente rotto è stato recuperato e conservato correttamente, il dentista potrebbe tentare di “riattaccarlo” al dente originale con tecniche adesive, anche se questa opzione dipende da molti fattori e non è sempre praticabile o duratura. Se avete un dente scheggiato? Segui questi 4 passaggi:
-
- mantieni la calma,
-
- se possibile recupera il frammento,
-
- sciacqua la bocca e l’area interessata,
- e chiama immediatamente il tuo dentista per una visita urgente.
Non aspettare, perché anche una piccola scheggiatura può esporre la dentina e causare sensibilità o facilitare l’ingresso dei batteri. Quindi, sì, in molti casi, è possibile la ricostruzione di un dente rotto.
Come ricostruire i denti consumati o cariati?
I denti consumati dall’abrasione (sfregamento meccanico), dall’erosione (azione chimica degli acidi) o dall’abfrazione (stress biomeccanico) presentano una perdita graduale di tessuto duro, spesso visibile come appiattimento delle superfici masticatorie, intaccature vicino al margine gengivale, o riduzione dell’altezza complessiva dei denti. La ricostruzione dentale è un trattamento efficace per ripristinare l’anatomia funzionale e proteggere il dente da ulteriori danni. Le tecniche variano in base all’entità dell’usura: per usure moderate, specialmente nella zona anteriore, si possono utilizzare faccette dentali o additionals in composito o ceramica per ricostruire la forma e la lunghezza. Per l’usura dei denti posteriori, si possono impiegare intarsi (onlay o overlay) o corone, specialmente se la perdita di tessuto è estesa. Prima della ricostruzione, è fondamentale identificare e gestire la causa sottostante dell’usura (ad esempio, un bite notturno per il bruxismo o consigli dietetici per l’erosione acida). Per i denti cariati, il processo inizia sempre con la rimozione completa del tessuto dentale infetto e rammollito dalla carie. Questa fase è cruciale per assicurare che non rimangano batteri che possano causare una recidiva. Una volta pulita e preparata la cavità risultante, si procede con la ricostruzione vera e propria, riempiendo lo spazio vuoto con materiale da restauro. Se la carie è piccola o moderata, si utilizza comunemente la tecnica dell’otturazione estetica con composito. Per cavità più ampie, soprattutto nei denti posteriori, si preferiscono spesso gli intarsi, che offrono maggiore resistenza e precisione. In caso di carie molto estesa che ha compromesso gran parte della struttura del dente, o se il dente necessita di devitalizzazione, la ricostruzione potrebbe richiedere un perno e una corona. Quindi, sia per l’usura che per la carie, la ricostruzione di un dente cariato: come avviene? Dipende dall’estensione e dalla localizzazione del danno, ma il principio è sempre quello di rimuovere il problema e ripristinare l’integrità del dente.
Quali denti si possono ricostruire?
La buona notizia è che, potenzialmente, quasi tutti i denti nella bocca umana possono essere ricostruiti, a patto che la radice sia sana, ben ancorata nell’osso e che una quantità sufficiente di struttura dentale residua sopra il margine gengivale sia presente e stabile. Questo include gli incisivi e i canini (i denti anteriori, cruciali per l’estetica e per tagliare il cibo), i premolari e i molari (i denti posteriori, fondamentali per la masticazione e la triturazione). La possibilità e il tipo di ricostruzione dipendono primariamente dall’entità del danno subito da quel particolare dente. Ad esempio, la ricostruzione denti davanti (incisivi e canini) richiede spesso una particolare attenzione all’estetica, utilizzando materiali e tecniche che si integrino perfettamente con il colore e la traslucenza dei denti naturali adiacenti, come il composito stratificato o le faccette. La ricostruzione molare, d’altro canto, pone maggiore enfasi sulla resistenza alla masticazione e sulla capacità di ristabilire un’occlusione corretta, prediligendo materiali robusti come il composito ad alta densità, gli intarsi in ceramica o le corone. Anche un dente devitalizzato, come abbiamo visto, può e spesso deve essere ricostruito. Le limitazioni alla ricostruzione non sono legate al tipo di dente (incisivo, molare, ecc.), ma piuttosto alla gravità del danno che ha subito o alle condizioni di supporto (osso e gengiva) intorno ad esso.
Quando un dente non si può ricostruire?
Nonostante le incredibili capacità dell’odontoiatria moderna, ci sono purtroppo situazioni in cui la ricostruzione di un dente diventa impossibile o sconsigliabile, perché il danno è troppo esteso o compromette la stabilità a lungo termine del dente. La situazione più critica si presenta quando la radice del dente è gravemente danneggiata o fratturata, in particolare con fratture verticali che scendono lungo la radice. In questi casi, il dente è irrimediabilmente compromesso e non c’è modo di stabilizzare la struttura per una ricostruzione. Un altro limite è la mancanza di supporto osseo sufficiente intorno alla radice, spesso causata da malattie parodontali avanzate o dalla necessità di un innesto osseo dentale. Se il dente non ha un buon ancoraggio nell’osso mascellare o mandibolare, qualsiasi tentativo di ricostruzione sulla sua parte coronale sarebbe futile, in quanto la stabilità complessiva del dente è compromessa. Anche un danno che si estende troppo in profondità sotto il margine gengivale, specialmente in caso di fratture profonde, può rendere la ricostruzione estremamente difficile o impossibile da realizzare in modo efficace e duraturo, perché non si riesce a isolare l’area per lavorare correttamente e il rischio di infiltrazioni batteriche è troppo alto. Se, dopo la rimozione del tessuto cariato o fratturato, rimane una struttura dentale sana residua insufficiente a fornire supporto alla ricostruzione, anche con l’ausilio di un perno, la prognosi a lungo termine è sfavorevole. In queste circostanze, il dentista sarà costretto a indicare alternative terapeutiche. La più comune è l’estrazione del dente compromesso, seguita dalla pianificazione della sostituzione, che può avvenire tramite l’inserimento di un impianto dentale (una vite in titanio che sostituisce la radice e su cui viene poi montata una capsula) o la realizzazione di un ponte dentale, che si appoggia sui denti adiacenti per sostenere un dente artificiale nello spazio vuoto. Quindi, mentre la ricostruzione è una soluzione fantastica per molti problemi, non è una panacea universale; ci sono limiti biologici e meccanici che a volte rendono l’estrazione l’unica opzione sensata per preservare la salute orale generale.
Quali sono le tecniche di ricostruzione dentale?
Il mondo della ricostruzione dentale è ricco e sfaccettato, offrendo una varietà di approcci e materiali che il dentista sceglie in base alla diagnosi specifica, all’estensione del danno, alla posizione del dente e alle esigenze estetiche e funzionali del paziente. Non esiste una tecnica “unica” per ricostruire i denti; piuttosto, esiste un ventaglio di possibilità, ognuna con le sue indicazioni precise e i suoi vantaggi. Questa diversità è un punto di forza, perché permette di personalizzare l’intervento al massimo, ottenendo i migliori risultati possibili in termini di durata, resistenza, funzionalità ed estetica. La scelta della tecnica di ricostruzione dentale è una decisione clinica importante che viene presa dal dentista dopo un’attenta valutazione del caso. Si va dalle tecniche più semplici e dirette, eseguibili in una singola seduta, a quelle più complesse e indirette, che richiedono il coinvolgimento di un laboratorio odontotecnico e più appuntamenti. L’evoluzione dei materiali, in particolare delle resine composite e delle ceramiche, ha ampliato enormemente le possibilità, offrendo soluzioni estetiche e funzionali impensabili in passato. Tra i trattamenti per ricostruire i denti, si possono distinguere principalmente le tecniche che ricostruiscono direttamente in bocca (dirette) e quelle che prevedono la realizzazione di un manufatto protesico in laboratorio per poi cementarlo sul dente (indirette). Capire le differenze tra queste tecniche aiuta il paziente a comprendere meglio il piano di trattamento proposto e le ragioni della scelta effettuata dal dentista. L’obiettivo comune è sempre quello di restituire al dente danneggiato la sua forma, funzione e bellezza, garantendo al contempo la massima longevità possibile per l’intervento.
Ricostruzione in composito e otturazioni estetiche
Questa è probabilmente la tecnica di ricostruzione dentale più comune e versatile per affrontare danni di piccola e media entità, come carie non troppo profonde o estese, piccole scheggiature, o la necessità di sostituire vecchie otturazioni in amalgama per motivi estetici o clinici. La ricostruzione in composito utilizza una resina modellabile, una sorta di pasta che il dentista applica direttamente sulla struttura dentale preparata. Questa resina, che è di colore simile o identico a quello del dente naturale per garantire un risultato altamente estetico (da cui il nome otturazioni estetiche), viene stratificata e modellata con precisione per ripristinare l’anatomia originale del dente. Una volta data la forma desiderata, la resina viene indurita (polimerizzata) tramite una speciale luce blu (lampada fotopolimerizzatrice). Il processo è relativamente rapido e, per danni moderati, può essere completato in una singola seduta. I vantaggi di questa tecnica sono molteplici: è minimamente invasiva, poiché richiede la rimozione del solo tessuto danneggiato; è esteticamente eccellente, potendo replicare colore e traslucenza del dente naturale; ed è relativamente economica rispetto ad altre soluzioni. Tuttavia, il composito, pur essendo migliorato notevolmente negli anni, ha una resistenza all’usura inferiore rispetto a ceramica o oro e potrebbe non essere l’ideale per ricostruzioni molto estese o per denti sottoposti a carichi masticatori eccezionalmente elevati, dove la durata nel tempo potrebbe essere inferiore rispetto a un intarsio o una corona. Nonostante ciò, per la maggior parte delle carie e delle piccole fratture, la ricostruzione dente in composito rappresenta una soluzione efficace, conservativa ed esteticamente piacevole.
Ricostruzione con intarsi in resina e ceramica (Inlay/Onlay/Overlay)
Quando il danno al dente, specialmente nei molari e premolari, è troppo esteso per essere trattato efficacemente con una semplice otturazione diretta in composito – magari perché la cavità è molto ampia o coinvolge le cuspidi – ma non così grave da richiedere una corona completa, la soluzione ideale sono gli intarsi. Gli intarsi sono restauri indiretti, ovvero vengono realizzati in laboratorio dall’odontotecnico sulla base di un’impronta digitale o tradizionale presa dal dentista. Esistono diversi tipi di intarsi: gli inlay riempiono una cavità all’interno delle cuspidi masticatorie, gli onlay coprono una o più cuspidi, mentre gli overlay ricoprono quasi tutta la superficie masticatoria, fungendo da “coperchio” rinforzante. Possono essere realizzati in vari materiali, tra cui resina composita ad alta densità (diversa da quella usata per le otturazioni dirette) o, più frequentemente, in ceramica, materiale quest’ultimo che offre eccellenti proprietà estetiche e una notevole resistenza all’usura e alla frattura. La procedura per la ricostruzione con inlay/onlay/overlay richiede solitamente due sedute: nella prima, il dentista prepara il dente rimuovendo il tessuto danneggiato e prende l’impronta; nella seconda, a distanza di qualche giorno, l’intarsio finito viene provato, adattato e cementato in modo permanente sul dente. I vantaggi degli intarsi risiedono nella loro elevata precisione (essendo realizzati in laboratorio), nella loro maggiore resistenza e durata nel tempo rispetto alle otturazioni dirette in composito per cavità ampie, e nell’ottima estetica (specialmente quelli in ceramica). Tra i trattamenti per ricostruire i denti: gli intarsi in resina e ceramica rappresentano una soluzione intermedia tra la semplice otturazione e la corona, ideale per restauri ampi che richiedono maggiore robustezza e precisione.
Ricostruzione con perno moncone
La ricostruzione con perno moncone è una tecnica utilizzata quasi esclusivamente sui denti che sono stati devitalizzati e che hanno perso una notevole quantità di struttura coronale (la parte visibile sopra la gengiva), tanto da non essere in grado di fornire un adeguato supporto per la successiva ricostruzione definitiva, che sia essa un corpo in composito o, più comunemente, una corona. Dopo la devitalizzazione, i canali radicolari sono vuoti. Il perno moncone è un rinforzo che viene inserito e cementato all’interno di uno o più di questi canali radicolari. La sua funzione è quella di ancorarsi saldamente nella radice per fornire una base solida e resistente (“moncone”) su cui il dentista potrà poi costruire o cementare la struttura che sostituirà la parte mancante del dente. I perni possono essere prefabbricati in fibra di vetro, titanio o acciaio (più rapidi da inserire) o realizzati su misura in laboratorio (getti o fusioni) per adattarsi perfettamente alla forma del canale (più precisi ma richiedono più tempo e costi). La parte del perno che sporge dal canale radicolare forma un piccolo “moncone” su cui si potrà poi procedere alla ricostruzione del corpo del dente in composito o, come detto, all’alloggiamento di una capsula. La ricostruzione con perno moncone è quindi un passaggio intermedio cruciale per salvare e rendere funzionali denti devitalizzati con grave perdita di sostanza, preparando il terreno per la riabilitazione finale, che molto spesso sarà una corona dentale per proteggere il dente indebolito dalla devitalizzazione e garantire la durata della ricostruzione.
Ricostruzione con corona (capsula)
Quando un dente ha subito un danno così esteso – a causa di carie massiva, fratture importanti, usura severa o perché è stato devitalizzato e necessita di protezione e supporto (soprattutto se si è ricorsi a una ricostruzione con perno moncone) – che una semplice otturazione o un intarsio non sono sufficienti a restituirgli robustezza e funzionalità a lungo termine, si ricorre alla ricostruzione con corona, comunemente detta “capsula”. La corona dentale è, in sostanza, un rivestimento protesico che viene posizionato a copertura completa del dente preparato, avvolgendolo su tutti i lati fino al margine gengivale. Funziona come uno scudo protettivo, restituendo al dente la sua forma anatomica originale (o talvolta migliorata), la sua funzione masticatoria e la sua estetica. Le corone sono manufatti indiretti, realizzati su misura in laboratorio odontotecnico dopo che il dentista ha preparato il dente riducendone le dimensioni per creare lo spazio necessario al rivestimento. Possono essere realizzate in diversi materiali: metallo-ceramica (anima metallica rivestita di ceramica, molto resistente), ceramica integrale (estetica eccellente, ideale per i denti anteriori) o zirconio (altissima resistenza ed estetica). La procedura richiede almeno due sedute: la prima per la preparazione del dente e l’impronta, la seconda per la cementazione della corona definitiva. La ricostruzione con corona (capsula) è una soluzione molto resistente e duratura, particolarmente indicata per proteggere i denti devitalizzati, ripristinare l’estetica dei denti anteriori gravemente danneggiati o riabilitare funzionalmente i denti posteriori con perdite di sostanza estese.
Ricostruzione con faccette dentali e additionals
Queste tecniche si concentrano principalmente sul miglioramento estetico e sulla correzione di difetti superficiali o di forma nei denti anteriori, anche se possono essere utilizzate per riparare piccole scheggiature o usure limitate. Le faccette dentali sono sottili lamine in ceramica o composito che vengono cementate sulla superficie esterna (vestibolare) dei denti anteriori. Sono la soluzione ideale per correggere discromie persistenti (denti macchiati che non rispondono allo sbiancamento), alterazioni della forma (denti conoidi, troppo corti), piccole fratture o scheggiature, e per chiudere piccoli spazi tra i denti (diastemi) senza ricorrere all’ortodonzia. Per applicare le faccette in ceramica, è solitamente necessaria una minima preparazione (limatura) dello smalto dentale per creare lo spazio per la faccetta, anche se esistono tecniche “no-prep” o “minimal-prep” in casi selezionati. Le faccette in composito possono richiedere meno preparazione. Gli “additionals“, invece, sono una tecnica additiva che utilizza il composito per modificare la forma dei denti anteriori (allungarli, allargarli, chiudere piccoli spazi) *senza alcuna preparazione* dello smalto. Sono la soluzione più conservativa in assoluto per piccole correzioni estetiche. Sebbene l’obiettivo primario di faccette e additionals sia l’estetica, essi contribuiscono anche a proteggere la superficie dentale trattata e a ripristinare una minima funzionalità in caso di piccole perdite di sostanza. La scelta tra ceramica e composito, e tra faccette e additionals, dipende dalle esigenze estetiche, dall’entità delle modifiche desiderate, dalla durata attesa del restauro e dal budget.
Quanto tempo ci vuole per ricostruire un dente?
La domanda sulla durata, come quella sul costo, è una di quelle che il paziente si pone più frequentemente: “Quanto tempo ci vuole per ricostruire un dente?” La risposta, ancora una volta, è che dipende in modo significativo dalla tecnica di ricostruzione che viene impiegata e dall’estensione e complessità del danno da trattare. Non si può dare un tempo unico valido per ogni situazione, perché una piccola otturazione in composito richiede tempi radicalmente diversi rispetto alla realizzazione di un intarsio o di una corona. In generale, si può distinguere tra interventi che si completano in una singola seduta e quelli che ne richiedono più d’una, a causa della necessità di fasi di laboratorio. Gli interventi di ricostruzione dente più rapidi sono quelli diretti, dove il dentista lavora e completa la ricostruzione direttamente nella bocca del paziente. Questi sono tipicamente le otturazioni estetiche e le piccole ricostruzioni in composito per carie o piccole scheggiature. Una seduta per questo tipo di intervento può variare da circa 30 minuti a poco più di un’ora, a seconda della dimensione della cavità, della sua posizione e della manualità del professionista. Al contrario, le tecniche indirette, come la realizzazione di intarsi o corone, necessitano di almeno due sedute. La prima seduta è dedicata alla preparazione del dente, alla presa delle impronte (o scansione digitale) e, se necessario, alla realizzazione di un restauro provvisorio; questa seduta può durare da un’ora a un’ora e mezza. La seconda seduta, che si svolge dopo qualche giorno o una settimana (il tempo necessario al laboratorio per realizzare il manufatto), è dedicata alla prova, all’eventuale aggiustamento e alla cementazione definitiva del restauro, e dura solitamente tra i 30 e i 60 minuti. Interventi che richiedono la posa di un perno moncone prima della corona possono aggiungere complessità e richiedere una seduta aggiuntiva o allungare i tempi della prima seduta. Pertanto, quanto tempo ci vuole per ricostruire un pezzo di dente o un dente intero dipende dalla strategia terapeutica pianificata, che è sempre personalizzata sul paziente.
Quante sedute ci vogliono per ricostruire un dente?
Per essere ancora più specifici, possiamo dire che il numero di sedute necessario per la ricostruzione di un dente è direttamente legato al tipo di tecnica utilizzata. Le tecniche dirette, come le otturazioni con resina composita o le piccole ricostruzioni di forma, vengono completate in una sola seduta. Il dentista rimuove il tessuto danneggiato, prepara la cavità, applica e modella il composito, lo indurisce e lo rifinisce, tutto nello stesso appuntamento. Questa è la soluzione più rapida. Le tecniche indirette, che includono gli intarsi (inlay, onlay, overlay) e le corone (capsule), richiedono invece almeno due sedute. La prima seduta è per la preparazione del dente e la presa dell’impronta che servirà al laboratorio per creare il restauro su misura. Durante l’attesa del manufatto protesico (che può richiedere alcuni giorni), il dente preparato viene protetto con un restauro provvisorio. La seconda seduta è per la cementazione del restauro definitivo. In alcuni casi complessi, o se è necessario eseguire anche una devitalizzazione o posizionare un perno prima di procedere con l’impronta per la corona, potrebbero essere necessarie anche tre o più sedute per completare l’intero processo di riabilitazione del dente. La ricostruzione dente: in cosa consiste e quali sono le fasi del processo varia, quindi, significativamente a seconda della tecnica scelta, influenzando sia la durata della singola seduta che il numero totale di appuntamenti necessari.
Quanto dura un dente ricostruito?
Veniamo a un altro punto cruciale: la longevità. Dopo aver investito tempo e denaro nella ricostruzione di un dente, è naturale chiedersi: “Quanto dura un dente ricostruito?” Non esiste una risposta univoca e garantita per sempre, perché la durata di un restauro dentale, indipendentemente dalla tecnica utilizzata, è influenzata da una complessa interazione di fattori. Primo fra tutti, il materiale e la tecnica impiegati: materiali più resistenti e tecniche che ripristinano in modo più robusto la struttura del dente tendono ad avere una durata superiore. La quantità di struttura dentale sana residua è fondamentale: più dente sano c’è sotto la ricostruzione, maggiore è la sua stabilità e resistenza nel tempo. Le forze masticatorie a cui il dente è sottoposto giocano un ruolo importante; un restauro su un molare di un paziente con forte bruxismo sarà sottoposto a stress maggiori rispetto a un’otturazione su un incisivo. L’igiene orale del paziente è forse il fattore più critico controllabile: una scrupolosa pulizia quotidiana e controlli professionali regolari sono essenziali per prevenire l’insorgenza di carie secondarie (che si formano ai margini del restauro) o malattie gengivali che possono compromettere il supporto del dente. Anche le abitudini viziate, come mordicchiare penne, mangiarsi le unghie o aprire confezioni con i denti, possono accorciare drasticamente la vita di una ricostruzione. Nonostante queste variabili, si possono fornire delle stime medie basate sull’esperienza clinica e sugli studi a lungo termine. Le otturazioni e le piccole ricostruzioni in composito dirette, sebbene estetiche, hanno una durata media che va dai 5 ai 10 anni, ma possono durare di più con ottima cura. Gli intarsi in ceramica o composito ad alta densità, essendo più precisi e realizzati con materiali più resistenti, hanno una longevità superiore, stimata tra i 10 e i 15 anni, e spesso anche oltre. Le corone, essendo il restauro più invasivo ma anche più protettivo e robusto, sono quelle con la durata media maggiore, potendo durare dai 10 ai 20 anni, o in molti casi anche per tutta la vita del paziente, a patto che il dente sottostante e il tessuto di supporto rimangano sani. La Durata e risultati della ricostruzione dentale dipendono quindi moltissimo dalla collaborazione del paziente e dalla qualità della manutenzione nel tempo.
Quanto è resistente un dente ricostruito?
La resistenza di un dente ricostruito è una caratteristica chiave, ma varia enormemente in base a diversi fattori. Il materiale utilizzato per la ricostruzione è il principale determinante della sua resistenza intrinseca. Materiali come la ceramica (utilizzata per intarsi e corone) e lo zirconio (per corone) sono estremamente duri e resistenti alle forze compressive e all’usura, replicando in molti casi la resistenza dello smalto naturale, se non superandola. Il composito, specialmente quello utilizzato per le otturazioni dirette, è meno resistente rispetto alla ceramica o al metallo, pur essendo sufficientemente robusto per la maggior parte delle piccole e medie ricostruzioni, soprattutto nelle aree meno sottoposte a carico masticatorio diretto. La quantità di struttura dentale residua è un altro fattore cruciale: un dente con molta sostanza sana rimasta sarà intrinsecamente più forte, e la ricostruzione servirà principalmente a “tappare” il buco o ripristinare la forma; al contrario, un dente che ha perso gran parte della sua struttura, magari a causa di una carie estesa o dopo una devitalizzazione, sarà più fragile anche dopo la ricostruzione, e la resistenza dipenderà in larga misura dalla robustezza del restauro (es. una corona) e dall’eventuale presenza di un perno. Le tecniche indirette (intarsi, corone) tendono a offrire una maggiore resistenza complessiva al dente rispetto alle tecniche dirette per danni estesi, proprio perché coprono o rinforzano in modo più completo la struttura residua. È importante discutere con il dentista le precauzioni da prendere per non danneggiare la ricostruzione, come evitare di masticare cibi estremamente duri (ghiaccio, torrone) con il dente ricostruito, e, in caso di bruxismo, considerare l’uso di un bite protettivo notturno.
Quanto dura un dente ricostruito in composito?
Concentrandoci specificamente sulla ricostruzione dente in composito eseguita con tecnica diretta (le comuni otturazioni estetiche), la sua durata media è generalmente inferiore rispetto a restauri più robusti come gli intarsi o le corone, specialmente se la ricostruzione è ampia o si trova su una superficie masticatoria sottoposta a forti sollecitazioni. In linea generale, ci si può aspettare che una ricostruzione in composito duri in media tra i 5 e i 10 anni. Tuttavia, questa è solo una stima e la vita effettiva del restauro può variare notevolmente. Molti fattori influenzano la durata: la dimensione della ricostruzione (più è grande, maggiore è il rischio di frattura o usura), la posizione in bocca (i molari subiscono forze maggiori rispetto agli incisivi), la qualità dell’adesione del composito al dente, la precisione con cui è stata eseguita la stratificazione e la modellazione del materiale, la qualità del materiale composito stesso, e, come già detto, le abitudini di igiene orale e alimentari del paziente. Un paziente con un’ottima igiene orale, che evita abitudini dannose e si sottopone a controlli regolari, può far durare una ricostruzione in composito ben oltre i 10 anni. Al contrario, la presenza di carie secondarie, un’igiene inadeguata o un forte bruxismo possono portare al deterioramento o alla frattura del restauro in tempi molto più brevi. Quindi, quanto dura un dente ricostruito in composito è un dato variabile; sebbene rappresenti un’eccellente soluzione estetica e conservativa per molti problemi, richiede attenzione nella manutenzione e potrebbe necessitare di sostituzione nel tempo.
Cosa non fare dopo aver ricostruito un dente?
Ricevere una ricostruzione dentale è un passo importante verso il ripristino della salute e dell’estetica del proprio sorriso. Ma il lavoro non finisce nel momento in cui si esce dallo studio dentistico. Una corretta gestione del post-trattamento e l’adozione di alcune precauzioni sono fondamentali per garantire la longevità e il successo del restauro. Quindi, cosa non fare dopo aver ricostruito un dente? Immediatamente dopo la seduta, specialmente se è stata utilizzata l’anestesia locale, è saggio evitare di mangiare o bere cibi e bevande molto calde finché l’effetto dell’anestesia non è completamente svanito. Questo non solo per evitare di mordicchiarsi accidentalmente la guancia, il labbro o la lingua a causa della mancanza di sensibilità, ma anche perché il caldo eccessivo potrebbe potenzialmente alterare (seppur in minima parte e solo per alcune ore) la stabilità del materiale da ricostruzione appena indurito. Per le prime ore, soprattutto se la ricostruzione è stata estesa o profonda, potrebbe essere consigliabile evitare di masticare direttamente sul lato del dente appena trattato, dando tempo al materiale di stabilizzarsi completamente e ai tessuti circostanti (gengiva, legamento parodontale) di riprendersi. A lungo termine, la regola d’oro è trattare il dente ricostruito con la stessa, se non maggiore, cura degli altri denti. Ciò significa evitare di utilizzare i denti come strumenti – mai aprire bottiglie, strappare etichette o rompere gusci duri con i denti, e in particolare con quello ricostruito! Masticare oggetti durissimi o ghiaccio è assolutamente sconsigliato, in quanto le forze generate possono fratturare non solo il restauro, ma anche la struttura dentale residua. Fondamentale è mantenere un’ottima igiene orale: spazzolare i denti accuratamente due volte al giorno e usare il filo interdentale quotidianamente sono passaggi non negoziabili per prevenire la formazione di carie ai margini del restauro o l’infiammazione gengivale. Infine, non saltare i controlli dentistici regolari; solo il dentista può monitorare lo stato della ricostruzione nel tempo, identificare precocemente eventuali segni di usura o carie e intervenire prima che il problema diventi grave.
Cosa non mangiare con un dente ricostruito?
Sebbene un dente ben ricostruito sia progettato per resistere alle normali forze della masticazione, ci sono alcuni tipi di alimenti che è prudente consumare con cautela o evitare del tutto per non mettere a rischio il restauro. In generale, cosa non mangiare con un dente ricostruito include tutti quei cibi che richiedono uno sforzo eccessivo o presentano caratteristiche fisiche potenzialmente dannose. Cibi molto duri, come torrone, frutta secca con guscio, cubetti di ghiaccio (sì, masticare ghiaccio è una delle peggiori abitudini per i denti, ricostruiti o meno!), croste di pane molto secche, possono esercitare pressioni eccessive sul restauro, portando a scheggiature o fratture sia del materiale che del dente sottostante. Cibi molto gommosi o appiccicosi, come caramelle gommose, mou o chewing-gum (anche se quest’ultimo, senza zuccheri, può avere effetti positivi sulla produzione di saliva, va usato con cautela se ci sono restauri ampi), possono mettere a dura prova l’adesione della ricostruzione, rischiando di staccarla o danneggiare i margini. Attenzione anche a cibi con parti interne dure non prevedibili, come olive con il nocciolo o certi tipi di pane con semi molto duri, che se morsi accidentalmente con troppa forza possono causare danni improvvisi. Nelle prime ore o giorni dopo la ricostruzione, specialmente se ampia o se il dente era sensibile, è meglio evitare cibi e bevande estremamente calde o fredde, per prevenire sensibilità post-operatoria. A parte questi specifici accorgimenti, la maggior parte dei cibi può essere consumata tranquillamente; l’importante è usare il buon senso e, soprattutto, non usare i denti ricostruiti (e in realtà nessun dente) come strumenti.
Che differenza c’è tra un’otturazione e una ricostruzione di un dente?
È una domanda molto comune e a volte i termini vengono usati in modo interscambiabile, creando un po’ di confusione. In realtà, la differenza tra un’otturazione e una ricostruzione di un dente risiede principalmente nella portata e nell’estensione dell’intervento. Possiamo considerare l’otturazione (spesso definita anche “riempimento”) come un tipo specifico di ricostruzione dentale, ma più limitato. L’otturazione è l’intervento classico per riparare una cavità causata dalla carie dopo che il tessuto cariato è stato rimosso. Tipicamente, si parla di otturazione quando la cavità è relativamente piccola o moderata e si trova all’interno delle superfici del dente, senza coinvolgere le cuspidi o gran parte della struttura esterna. L’obiettivo è semplicemente “otturare”, ovvero riempire lo spazio vuoto con un materiale da restauro (oggi prevalentemente resina composita, ma in passato amalgama) per sigillare la cavità e ripristinare la forma base del dente. Il termine “ricostruzione di un dente“, invece, è un concetto molto più ampio e generale. Include le otturazioni, ma si estende anche a interventi molto più complessi e di maggiore entità, necessari quando il danno al dente è più esteso. Si parla di ricostruzione non solo per le carie ampie, ma anche per fratture, usura severa, o per ridare forma e funzione a denti che hanno perso gran parte della loro struttura (come spesso accade dopo una devitalizzazione). Le tecniche di ricostruzione, come abbiamo visto, vanno ben oltre la semplice otturazione e includono l’uso di intarsi, corone, perni, e anche faccette a scopo estetico. Quindi, mentre ogni otturazione è una forma di ricostruzione, non ogni ricostruzione è una semplice otturazione. La distinzione si basa sull’estensione del danno trattato e, di conseguenza, sulle tecniche e i materiali (e spesso i costi e i tempi) impiegati per ripristinare il dente.
Intervento di sbiancamento e ricostruzione: sono compatibili?
Una domanda estetica che sorge spesso riguarda la possibilità di combinare trattamenti di sbiancamento dentale con la ricostruzione di un dente. La buona notizia è che i due interventi sono compatibili, ma l’ordine in cui vengono eseguiti è cruciale per ottenere un risultato armonioso ed esteticamente soddisfacente. La ragione principale risiede nel fatto che i materiali utilizzati per le ricostruzioni dentali, come le resine composite e le ceramiche, hanno un colore stabile nel tempo e, a differenza dello smalto naturale dei denti, non rispondono ai trattamenti sbiancanti. In altre parole, mentre lo smalto dei denti naturali adiacenti può diventare più bianco dopo una seduta di sbiancamento, il colore di un’otturazione, un intarsio, una corona o una faccetta rimarrà invariato. Se si esegue una ricostruzione su un dente prima di procedere allo sbiancamento di tutta l’arcata, si sceglierà il colore del materiale da restauro in base al colore attuale (più scuro) dei denti naturali. Una volta eseguito lo sbiancamento, i denti naturali diventeranno più chiari, creando un antiestetico contrasto con il restauro, che apparirà più scuro e quindi visibile. Per questo motivo, la prassi corretta e fortemente consigliata dai dentisti è di eseguire sempre lo sbiancamento dentale prima di procedere con la ricostruzione (o la sostituzione di vecchi restauri visibili). In questo modo, una volta raggiunto il nuovo colore definitivo dei denti naturali attraverso lo sbiancamento, il dentista potrà selezionare il colore del materiale da ricostruzione che si integri perfettamente con il nuovo e più luminoso colore dei denti circostanti. Questo assicura un risultato finale omogeneo, naturale e esteticamente gradevole. Quindi, compatibili sì, ma con una sequenza ben precisa: prima lo sbiancamento, poi la ricostruzione.
È possibile ricostruire un dente da soli?
In un’epoca in cui le informazioni sono accessibili a tutti e il “fai da te” sembra una soluzione a portata di mano per molti problemi, potrebbe sorgere la tentazione di cercare un modo per ricostruire un dente da soli. Magari si pensa a kit o prodotti trovati online, o a rimedi casalinghi che promettono miracoli. Ebbene, rispondiamo a questa domanda in modo perentorio e senza alcuna ambiguità: NO, non è possibile né sicuro ricostruire un dente da soli. L’odontoiatria è una branca della medicina che richiede anni di studio, una profonda conoscenza dell’anatomia orale, della fisiologia, della patologia e delle tecniche restaurative, oltre a una manualità estremamente precisa e all’utilizzo di strumentazione e materiali professionali specifici, sterili e biocompatibili. Tentare di riparare un dente danneggiato autonomamente, magari applicando adesivi o materiali non specifici trovati in commercio, è un atto estremamente pericoloso e irresponsabile. I rischi associati a tentativi fai-da-te sono molteplici e potenzialmente devastanti: si va dall’applicazione di materiali non biocompatibili che possono causare reazioni allergiche o tossiche ai tessuti orali, all’impossibilità di rimuovere correttamente la carie o il tessuto infetto (peggiorando l’infezione), al rischio di danneggiare ulteriormente il dente o i tessuti circostanti (gengive, lingua), fino a causare infezioni gravi che possono diffondersi. Inoltre, i risultati estetici e funzionali di un tentativo casalingo sarebbero disastrosi, non garantendo in alcun modo la tenuta meccanica necessaria per la masticazione né una corretta sigillatura contro i batteri. La ricostruzione di un dente è una procedura medica complessa che deve essere eseguita esclusivamente da un dentista professionista e qualificato. Solo un odontoiatra è in grado di diagnosticare correttamente il problema, scegliere la tecnica e il materiale più adatti al caso specifico, preparare il dente in modo sicuro e preciso, e applicare il restauro in modo che sia funzionale, duraturo e integrato esteticamente con il resto della bocca. Quindi, di fronte a un dente danneggiato, mettete da parte qualsiasi idea di “fai da te” e rivolgetevi immediatamente al vostro dentista di fiducia. La vostra salute orale merita la competenza di un esperto.
Domande frequenti su ‘ricostruire un dente’
Ecco una sezione rapida per rinfrescarci la memoria su alcuni dei punti chiave trattati in questa guida completa sulla ricostruzione dentale, riproponendo le domande più frequenti che le persone si pongono sull’argomento. Abbiamo esplorato a fondo ogni aspetto, dalle definizioni ai costi, dalla durata alle tecniche, per fornirvi un quadro il più esaustivo possibile. Queste FAQ riassumono i concetti principali che ogni paziente dovrebbe conoscere quando si trova di fronte alla necessità o al desiderio di ripristinare l’integrità di uno o più elementi dentari.
Cos’è la ricostruzione di un dente e come avviene?
La ricostruzione dentale è un insieme di tecniche e procedure odontoiatriche volte a ripristinare la forma, la funzione e l’estetica di un dente danneggiato da carie, fratture, usura o altri traumi. Avviene rimuovendo il tessuto danneggiato e sostituendolo con materiali da restauro (composito, ceramica, ecc.), modellandoli per replicare l’anatomia originale del dente.
Quanto costa una ricostruzione di un dente?
Il costo è molto variabile e dipende da numerosi fattori, tra cui l’estensione del danno, il materiale e la tecnica utilizzati (otturazione in composito, intarsio, corona), la complessità del caso e il tariffario del dentista. È indispensabile richiedere un preventivo personalizzato dopo una visita di valutazione.
Quanto dura un dente ricostruito?
La durata di un restauro dentale varia in base al tipo di ricostruzione (composito, intarsio, corona), al materiale impiegato, alla quantità di struttura dentale residua, all’igiene orale del paziente, alle sue abitudini masticatorie e alla regolarità dei controlli. Le stime vanno dai 5-10 anni per le ricostruzioni in composito, ai 10-15+ anni per intarsi e corone.
La ricostruzione di un dente fa male?
Durante la procedura, grazie all’anestesia locale, la ricostruzione è generalmente indolore. Si può avvertire qualche lieve fastidio o indolenzimento dopo che l’anestesia svanisce, facilmente gestibile con comuni antidolorifici da banco.
Quando un dente non si può ricostruire?
Un dente non è ricostruibile quando il danno è troppo esteso (es. fratture verticali della radice), la radice è compromessa, o non c’è sufficiente supporto osseo circostante. In questi casi, l’alternativa è solitamente l’estrazione e la successiva sostituzione con un impianto o un ponte.