Table of Contents
ToggleOtturazione dente : cos’è, quando serve e cosa aspettarsi

L’otturazione dentale, nota anche come riempimento dentale, è una delle procedure odontoiatriche più comuni e fondamentali nell’ambito dell’odontoiatria conservativa. Il suo obiettivo principale è quello di riparare un dente danneggiato – solitamente a causa di una carie – e ripristinarne forma, funzione ed estetica. Grazie a questa tecnica, è possibile evitare interventi più invasivi come la devitalizzazione o l’estrazione, prolungando la vita del dente naturale e mantenendo la sua integrità.
L’otturazione serve a “tappare” i buchi che si formano nei denti quando la carie ne consuma lo smalto e la dentina. Si tratta di una soluzione rapida, sicura e accessibile che consente di arrestare il processo cariogeno e impedire che si aggravi ulteriormente.
L’odontoiatria conservativa è la branca che si occupa di queste terapie, mirando a salvare il più possibile il dente originale anziché sostituirlo.
In molti casi, l’otturazione è una procedura indolore grazie all’uso dell’anestesia locale, e viene eseguita in un’unica seduta.
I materiali utilizzati possono variare in base al tipo di dente, alla sua posizione nella bocca, al grado di danneggiamento e alle esigenze estetiche del paziente.
L’intervento si conclude con la modellazione e lucidatura del materiale applicato, così da rendere l’otturazione dentale funzionale ed esteticamente armoniosa rispetto agli altri denti.
Cosa significa avere un dente otturato?
Un dente otturato è un dente che ha subito un trattamento di ricostruzione a seguito di una carie o di una frattura.
L’otturazione può essere visibile, come nel caso dei molari otturati con amalgama, o invisibile se eseguita con resina composita nel colore del dente.
L’otturazione ha lo scopo di restituire al dente la sua funzionalità masticatoria, prevenire ulteriori danni e migliorare l’estetica, soprattutto nei denti frontali.
Quando è necessaria un’otturazione dentale?
L’otturazione dentale è indicata ogni volta che un dente ha subito un danno strutturale a causa della carie, di un trauma o dell’usura. Il trattamento consente di evitare problematiche più gravi e mantenere il dente vitale. Non sempre i sintomi sono evidenti, per questo è fondamentale rivolgersi periodicamente al dentista per diagnosticare precocemente i problemi e intervenire con tempestività.
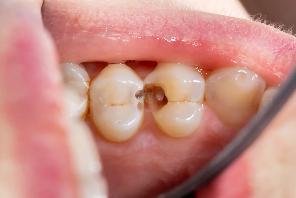
Si ricorre all’otturazione principalmente in caso di carie: i batteri aggrediscono prima lo smalto, poi la dentina, creando una cavità da riempire.
Anche una frattura dentale (dovuta a traumi o masticazione di cibi duri) può rendere necessario un riempimento per ristabilire la morfologia del dente.
Nei casi di usura dentale da bruxismo (digrignamento notturno), l’otturazione aiuta a proteggere la struttura residua del dente.
L’otturazione è indicata quando il danno non ha ancora raggiunto la polpa dentale. In caso contrario, sarà necessaria una devitalizzazione o, nei casi estremi, una estrazione.
Un dente otturato può cariarsi di nuovo?
Sì, è possibile. Anche i denti otturati possono sviluppare nuove carie attorno o sotto l’otturazione, soprattutto se l’igiene orale non è adeguata.
Il rischio di carie secondaria aumenta nel tempo, specialmente con materiali più vecchi come l’amalgama che può infiltrarsi o scheggiarsi.
I controlli periodici dal dentista sono fondamentali per monitorare l’integrità dell’otturazione e intervenire in tempo se necessario.
L’uso di materiali più moderni come i compositi adesivi riduce le infiltrazioni, migliorando la tenuta a lungo termine.
Come viene eseguita un’otturazione dal dentista?
L’otturazione dentale è una procedura di routine che viene eseguita in sicurezza all’interno dello studio odontoiatrico. È un intervento rapido, indolore grazie all’anestesia locale, e fondamentale per salvaguardare la salute del dente e ripristinarne la funzione.
Quali sono le fasi operative di un’otturazione?
Il trattamento si articola in diverse fasi ben definite, pensate per rimuovere il tessuto danneggiato e ripristinare il dente con il miglior materiale possibile:
Anestesia locale: il dentista anestetizza l’area del dente interessato per evitare qualsiasi fastidio durante la procedura. L’effetto si avverte dopo qualche minuto.
Isolamento del dente con la diga di gomma: si tratta di un piccolo foglio in lattice che serve a isolare il dente dalla saliva, garantendo una superficie asciutta e pulita.
Rimozione della carie: attraverso strumenti rotanti come le frese, il dentista elimina completamente il tessuto cariato. È importante rimuovere anche eventuali residui batterici profondi.
Disinfezione della cavità: dopo la pulizia meccanica, si utilizza una soluzione disinfettante per eliminare ogni traccia batterica.
Applicazione dei materiali: viene inserito un gel mordenzante, che prepara la superficie del dente. Poi si procede con la resina composita, modellata secondo la forma naturale del dente.
Fotopolimerizzazione: grazie a una lampada a polimeri di luce blu, la resina si indurisce in pochi secondi, diventando solida e resistente.
Rifinitura e lucidatura: infine, l’otturazione viene rifinita, adattata all’occlusione del paziente e lucidata per rendere la superficie liscia e naturale.
Il risultato finale è una ricostruzione estetica e funzionale, che permette di tornare a masticare normalmente, proteggendo il dente da ulteriori danni.
Questa procedura è rapida e precisa: per un’otturazione semplice bastano generalmente dai 20 ai 40 minuti, a seconda della profondità della cavità e della posizione del dente.
Quali sono i materiali usati per le otturazioni dentali?
La scelta dei materiali per le otturazioni dentali è fondamentale per garantire resistenza, durata e estetica. Ogni materiale ha caratteristiche specifiche, vantaggi e svantaggi che il dentista valuta in base al caso clinico, alla posizione del dente e alle esigenze del paziente.
Differenza tra amalgama, composito, oro e ceramica
Amalgama d’argento: composta da una miscela di mercurio, argento, stagno e rame, è un materiale storico noto per la sua elevata resistenza meccanica. Viene utilizzato soprattutto per i molari, dove la pressione masticatoria è maggiore. Tuttavia, il colore scuro la rende meno estetica, motivo per cui oggi viene impiegata meno frequentemente.
Composito: il materiale più utilizzato in odontoiatria moderna. Si tratta di una resina composita fotopolimerizzabile, capace di imitare perfettamente il colore naturale del dente. Ideale per otturazioni sia anteriori che posteriori, combina estetica e buona resistenza meccanica.
Oro: le otturazioni in oro sono estremamente durevoli e ben tollerate dai tessuti orali. Possono durare anche oltre 20 anni. Tuttavia, il costo elevato e l’impatto estetico meno gradito ne limitano l’uso.
Ceramica: utilizzata soprattutto negli intarsi, offre eccellente estetica e ottima resistenza all’usura. Le otturazioni in ceramica vengono realizzate in laboratorio e sono perfette per chi cerca la massima naturalezza.
Pro e contro di ciascun materiale
- Amalgama
- ✅ Molto resistente
- ❌ Esteticamente poco gradevole
- ❌ Richiede preparazioni più invasive del dente
- Composito
- ✅ Eccellente resa estetica
- ✅ Minimamente invasivo
- ❌ Durata leggermente inferiore rispetto all’amalgama in condizioni di carico masticatorio elevato
- Oro
- ✅ Durata eccezionale
- ✅ Estrema biocompatibilità
- ❌ Costo molto elevato
- ❌ Estetica poco desiderabile
- Ceramica
- ✅ Estetica superiore
- ✅ Resistenza a macchie e abrasione
- ❌ Costo alto
- ❌ Necessita di due sedute (presa impronta e applicazione)
Indicazioni cliniche in base alla posizione del dente
- Denti anteriori: preferibile usare resine composite o ceramiche, per l’importanza estetica.
- Premolari: composito o intarsi in ceramica, a seconda dell’estensione della lesione.
- Molari: amalgama o composito ad alta resistenza, oppure intarsi in oro o ceramica per restauri più estesi.
La scelta del materiale viene sempre concordata tra dentista e paziente, valutando funzionalità, estetica, durata e costo.
Qual è la pasta per otturare i denti?
La cosiddetta pasta per otturare i denti è, in realtà, un termine generico utilizzato per indicare i materiali compositi o cementi adoperati per la ricostruzione delle cavità dentali. Vediamo nel dettaglio quali sono i principali tipi di paste utilizzate oggi nei moderni studi dentistici.
Tipologie di resine composite e loro caratteristiche
- Resine composite fotopolimerizzabili: sono le più diffuse. Questi materiali sono costituiti da una matrice di resina (generalmente Bis-GMA o UDMA) combinata con particelle di riempitivo in vetro, quarzo o ceramica. Vengono indurite grazie a una lampada a polimerizzazione che emette luce blu.
- ✅ Estetica eccellente: le resine possono essere scelte in diverse tonalità per adattarsi perfettamente al colore naturale del dente.
- ✅ Buona resistenza meccanica: adatte sia per denti anteriori che posteriori.
- ✅ Adesione chimica al dente: riduce la necessità di rimuovere tessuto sano durante la preparazione.
- Compomeri: sono materiali ibridi che combinano le proprietà dei compositi e dei cementi vetroionomerici. Sono più facili da applicare e rilasciano fluoro, aiutando nella prevenzione delle carie secondarie.
- ✅ Indicati soprattutto in odontoiatria pediatrica o in situazioni dove è richiesto un rilascio prolungato di fluoro.
- ❌ Meno resistenti dei compositi tradizionali.
- Cementi vetroionomerici: usati più raramente come otturazione definitiva, sono però molto utili per otturazioni provvisorie o in situazioni di carie radicolari.
- ✅ Biocompatibili e rilasciano fluoro.
- ❌ Estetica inferiore e minore resistenza meccanica rispetto ai compositi.
Fattori estetici e tecnici nella scelta della pasta
- Colore del dente: uno dei primi criteri nella scelta della pasta è la capacità di mimetizzarsi perfettamente con il colore naturale dei denti. I compositi moderni offrono una gamma vastissima di tinte.
- Zona del dente da trattare: per i denti anteriori si privilegiano materiali dalla massima resa estetica, mentre per i denti posteriori (molari e premolari) si dà priorità anche alla resistenza alla compressione masticatoria.
- Dimensione della cavità: più la cavità è ampia, maggiore deve essere la resistenza meccanica del materiale scelto. In alcuni casi, si preferisce un intarsio piuttosto che una semplice otturazione.
- Durata desiderata: per otturazioni temporanee o di breve durata si usano materiali differenti rispetto a quelli per restauri definitivi.
In sintesi, la “pasta per otturare i denti” oggi non è una sostanza generica, ma una scelta altamente personalizzata basata su estetica, resistenza e biocompatibilità.
Quanto dura una normale otturazione dentale?
La durata di un’otturazione dentale dipende da molteplici fattori, a partire dal tipo di materiale utilizzato, fino alle abitudini quotidiane del paziente. Sebbene non esista una durata “fissa”, è possibile fornire delle stime indicative basate sui materiali e sulle condizioni di utilizzo.
Durata media delle otturazioni in base al materiale
- Otturazioni in composito: in media durano tra i 5 e i 10 anni. Tuttavia, con una buona igiene orale e controlli periodici dal dentista, possono arrivare anche a 12-15 anni.
- Otturazioni in amalgama: sono più resistenti e possono durare fino a 15-20 anni. Nonostante la lunga durata, oggi il loro utilizzo è diminuito per motivi estetici e precauzioni sanitarie legate al mercurio.
- Otturazioni in oro: sono le più longeve, con una durata che può superare i 20 anni. L’alto costo e il colore poco estetico ne hanno limitato la diffusione.
- Otturazioni in ceramica: hanno una durata di 10-15 anni. Offrono un’ottima resa estetica e sono molto resistenti all’abrasione.
Fattori che influenzano la longevità di un’otturazione
- Igiene orale: spazzolare i denti due volte al giorno, usare il filo interdentale e sottoporsi a regolari sedute di igiene professionale aiuta a prevenire nuove carie che potrebbero compromettere l’otturazione.
- Tipo di dieta: cibi molto zuccherati o acidi aumentano il rischio di carie secondarie, riducendo la durata delle otturazioni.
- Bruxismo: chi stringe o digrigna i denti di notte sottopone le otturazioni a stress meccanici intensi che possono portare a fratture o usura precoce.
- Dimensione dell’otturazione: otturazioni molto estese, che coprono gran parte della superficie masticatoria del dente, tendono ad avere una durata inferiore rispetto a piccole ricostruzioni.
- Posizione del dente: otturazioni sui molari, soggetti a maggior carico masticatorio, si consumano più rapidamente rispetto a quelle su incisivi o canini.
Quando è consigliabile sostituirle
- Presenza di infiltrazioni: quando si formano spazi microscopici tra l’otturazione e il dente, i batteri possono infiltrarsi e causare nuove carie.
- Cambiamenti di colore: un’otturazione che si macchia o cambia colore può indicare che il materiale si sta deteriorando.
- Fratture o scheggiature: segni visibili di danno strutturale richiedono una sostituzione immediata.
- Sensibilità prolungata: se un dente otturato diventa sensibile al caldo, al freddo o alla pressione dopo anni dall’intervento, potrebbe essere necessaria una revisione dell’otturazione.
Controlli periodici dal dentista sono fondamentali per monitorare l’integrità delle otturazioni e intervenire tempestivamente prima che piccoli problemi diventino gravi.
Quante volte si può otturare un dente?
Una domanda molto frequente tra i pazienti è: quante volte si può otturare lo stesso dente? La risposta dipende da diversi fattori, legati sia alla salute strutturale del dente che alla qualità delle otturazioni precedenti.
Possibilità di ritrattamento su uno stesso dente
- In teoria, un dente può essere otturato più volte, ma ogni nuova otturazione comporta una perdita di tessuto dentale naturale. Quando si rimuove un’otturazione per sostituirla, infatti, si deve scavare leggermente di più per eliminare eventuali infiltrazioni cariose e per migliorare l’adesione del nuovo materiale.
- Il limite è rappresentato dalla quantità di tessuto sano: più è stato danneggiato o rimosso, meno sarà possibile ricostruirlo in modo conservativo. Quando la struttura residua non è sufficiente a supportare una nuova otturazione, si dovranno considerare soluzioni alternative come intarsi o corone.
Quando si preferisce passare a intarsio o corona
- Intarsio: se la cavità è estesa ma i margini del dente sono ancora sani, il dentista può proporre un intarsio. Si tratta di un manufatto in ceramica o composito, realizzato su misura in laboratorio odontotecnico, che si incastra perfettamente nella cavità.
- Corona: se il dente è molto danneggiato e fragile, la corona dentale è la soluzione più indicata. Questa copertura completa protegge il dente e ripristina estetica e funzione.
- Il passaggio da otturazione a intarsio o corona non dipende solo dal numero di otturazioni precedenti, ma anche dalla qualità della struttura residua e dalle esigenze funzionali del paziente.
Rischi legati a troppi interventi sullo stesso elemento
- Indebolimento progressivo: ogni nuova otturazione riduce lo spessore e la resistenza del dente naturale, aumentando il rischio di frattura.
- Devitalizzazione: se la cavità raggiunge la polpa dentale, può essere necessaria una devitalizzazione per salvare il dente.
- Frattura verticale: in casi estremi, l’eccessivo stress strutturale può causare fratture irreparabili, rendendo necessaria l’estrazione.
Conclusione: otturare più volte lo stesso dente è possibile, ma con ogni intervento cresce la necessità di una valutazione più attenta da parte del dentista per scegliere la soluzione più sicura e duratura. Una prevenzione accurata e visite regolari sono fondamentali per limitare la necessità di continui ritocchi.
Quali sono i costi per un’otturazione dentale?

Uno degli aspetti che più interessa chi deve affrontare un’otturazione dentale riguarda sicuramente il costo del trattamento. Vediamo insieme tutti i dettagli che possono influenzare il prezzo finale.
Fasce di prezzo per otturazioni semplici e complesse
- Otturazioni semplici: un’otturazione di una piccola carie superficiale, eseguita in una sola seduta e senza complicazioni, può avere un costo che si aggira tra gli 80 e i 150 euro.
- Otturazioni complesse: se la carie è più estesa e coinvolge più superfici del dente, richiedendo più tempo, materiali e precisione, il prezzo può variare dai 150 ai 300 euro o anche oltre.
- Il numero di superfici coinvolte (ad esempio, occlusale, interprossimale, cervicale) incide moltissimo sul preventivo: più superfici devono essere ricostruite, maggiore sarà il costo.
Differenza di costo in base al materiale (composito vs amalgama)
- Amalgama: il costo delle otturazioni in amalgama (oggi molto meno usate) era generalmente più basso rispetto a quelle in composito. Questo materiale era scelto per la sua resistenza e durata, ma oggi viene impiegato raramente per motivi estetici e normativi.
- Composito: le otturazioni in resina composita, più estetiche e moderne, costano mediamente di più rispetto a quelle in amalgama, ma garantiscono un risultato più naturale e sono biocompatibili.
- Oro e ceramica: in casi particolari, si possono usare materiali come oro o ceramica per restauri molto duraturi o esteticamente impeccabili. I costi in questi casi sono nettamente più elevati, arrivando anche a superare i 500-700 euro per un singolo restauro.
Costi aggiuntivi se sono necessari esami diagnostici o devitalizzazione
- Radiografie: se per diagnosticare la carie occorre eseguire una radiografia endorale, è previsto un costo aggiuntivo di circa 20-40 euro a immagine.
- Devitalizzazione: se durante la diagnosi emerge che la carie è molto profonda e ha intaccato la polpa, sarà necessario procedere alla devitalizzazione prima di otturare il dente. In questo caso il prezzo aumenta notevolmente, con costi che variano tra i 250 e i 600 euro per una terapia canalare completa.
- Visita di controllo: spesso la prima visita diagnostica può essere gratuita, ma alcuni studi dentistici possono applicare un piccolo costo iniziale che varia tra i 30 e i 70 euro.
In sintesi: il costo di un’otturazione dipende da tanti fattori, non solo dalla gravità della carie ma anche dal materiale scelto e dalla complessità dell’intervento. Un investimento iniziale in una buona otturazione può però prevenire problemi ben più gravi (e costosi) in futuro.
Quanto costa curare un buco nel dente?
Quando si parla di “curare un buco nel dente”, ci si riferisce quasi sempre al trattamento di una carie, che può richiedere un’otturazione, una devitalizzazione o, nei casi più gravi, l’estrazione e la sostituzione del dente. I costi possono variare sensibilmente in base alla gravità del danno e al tipo di intervento necessario. Vediamo tutti i dettagli.
Spiegazione dei costi da carie iniziale a carie profonda
- Carie iniziale: quando il buco è piccolo e interessa solo lo smalto o una minima parte della dentina, la cura è semplice. Si procede a una semplice otturazione con resina composita. In questi casi il costo varia generalmente tra 80 e 150 euro.
- Carie moderata: se la carie è più estesa ma non ha ancora raggiunto la polpa dentale, sarà necessaria un’otturazione più complessa. In questo caso il prezzo può salire fino a 200-300 euro, anche in base alla posizione del dente e al numero di superfici interessate.
- Carie profonda: se il buco arriva a coinvolgere la polpa, è necessaria una devitalizzazione. Il costo di una devitalizzazione varia tra 250 e 600 euro, a cui va aggiunto il costo della ricostruzione del dente che può essere fatta tramite otturazione o, nei casi più compromessi, con un intarsio o una corona.
- Danno troppo esteso: se il dente è irrecuperabile, si procede all’estrazione e alla successiva sostituzione con un impianto dentale o un ponte. I costi in questo caso aumentano notevolmente: estrazione dai 70 ai 150 euro, impianto da 1000 a 2500 euro circa.
Quanto si risparmia curando precocemente
- Cura tempestiva: curare un buco appena formato significa limitarsi a un’otturazione semplice, evitando interventi più complessi e costosi come la devitalizzazione o l’estrazione.
- Prevenzione: una visita di controllo ogni 6-12 mesi consente di individuare carie nelle fasi iniziali, risparmiando notevolmente sia economicamente sia in termini di tempo e fastidi.
- Esempio concreto: una carie scoperta in fase iniziale può costare circa 100 euro per l’otturazione; la stessa carie trascurata può trasformarsi in una spesa di oltre 800-1000 euro se si rende necessaria una devitalizzazione e la successiva corona.
Conclusione: prendersi cura dei piccoli buchi appena si formano consente di evitare spese molto più elevate in futuro. Una semplice otturazione è sempre più economica rispetto a interventi di maggiore complessità.
L’otturazione fa male?
Molti pazienti, soprattutto se è la loro prima esperienza, si chiedono: “L’otturazione fa male?” È una domanda molto comune e assolutamente legittima. La buona notizia è che, grazie ai moderni protocolli odontoiatrici e all’impiego dell’anestesia locale, l’otturazione dentale è generalmente una procedura indolore. Vediamo in dettaglio cosa aspettarsi.
Sensazioni durante e dopo l’intervento
- Durante l’intervento: l’area interessata viene anestetizzata con una piccola iniezione locale. Questo permette al paziente di non avvertire alcun dolore durante la rimozione della carie e il riempimento del dente. Può tuttavia avvertire leggere vibrazioni causate dagli strumenti rotanti (frese) o una sensazione di pressione quando il dentista modella il materiale di otturazione.
- Subito dopo l’intervento: una volta svanito l’effetto dell’anestesia (generalmente dopo 2-3 ore), è normale percepire una lieve sensibilità al caldo, al freddo o durante la masticazione, specialmente se l’otturazione è profonda o vicina al nervo del dente.
- Dolore anomalo: se il dolore è molto forte, pulsante o non migliora nei giorni successivi, è importante contattare il dentista. Potrebbe essere necessario un piccolo ritocco dell’otturazione o, in rari casi, ulteriori trattamenti (es. devitalizzazione).
Ruolo dell’anestesia locale
- Come funziona: l’anestetico locale agisce bloccando i nervi dell’area trattata, impedendo la trasmissione del dolore al cervello durante tutta la durata della procedura.
- Tipologie di anestesia: esistono vari tipi di anestetici locali; il più usato è la lidocaina, efficace e sicura. In caso di allergie o particolari necessità, il dentista può scegliere alternative specifiche.
- Durata dell’effetto: l’anestesia locale per un’otturazione dura in media tra 1,5 e 3 ore. Durante questo periodo, il paziente potrebbe sentire intorpidimento a labbra, guancia o lingua, ma senza alcun fastidio vero e proprio.
Dolore normale vs dolore anomalo
- Dolore normale: lieve fastidio, sensibilità al caldo/freddo, dolore solo alla pressione, che diminuisce nel giro di 24-72 ore.
- Dolore anomalo: dolore continuo anche a riposo, gonfiore, aumento del fastidio giorno dopo giorno. In questi casi è necessario intervenire rapidamente per evitare complicazioni.
- Soluzioni pratiche: per il dolore lieve si possono utilizzare antidolorifici da banco (es. ibuprofene o paracetamolo) seguendo le indicazioni del dentista.
Conclusione: l’otturazione dentale, nella stragrande maggioranza dei casi, non è un intervento doloroso. Grazie all’anestesia moderna e a tecniche sempre più raffinate, si tratta di un trattamento rapido, sicuro e ben tollerato dalla quasi totalità dei pazienti.
Quanto dura il fastidio dopo un’otturazione?
Dopo aver subito un’otturazione dentale, è piuttosto comune avvertire un certo fastidio o una lieve sensibilità. Ma quanto può durare questo fastidio? È una domanda frequente tra i pazienti, e merita una risposta chiara e dettagliata.
Cause della sensibilità temporanea
- Profondità dell’otturazione: più la carie era profonda e più l’otturazione si avvicina alla polpa del dente, maggiore sarà la probabilità di percepire una sensibilità temporanea.
- Stimoli termici e tattili: caldo, freddo, bevande zuccherate o anche la semplice masticazione possono provocare un leggero fastidio iniziale. Questo succede perché i tessuti dentali interni devono riadattarsi dopo la lavorazione.
- Materiale usato: alcuni materiali da otturazione (come certi compositi) possono causare una sensibilità post-trattamento più marcata rispetto ad altri materiali, soprattutto se il dente non è stato perfettamente isolato durante la procedura.
- Differenze individuali: ogni persona ha una soglia di sensibilità diversa. Alcuni pazienti non avvertono quasi nulla, mentre altri possono sentire un certo fastidio più a lungo.
Rimedi comuni e quando preoccuparsi
- Uso di dentifrici per denti sensibili: utilizzare per alcune settimane un dentifricio specifico per denti sensibili può aiutare a ridurre notevolmente il fastidio.
- Evitare cibi estremi: nei primi giorni è meglio evitare alimenti molto caldi, molto freddi o troppo dolci che potrebbero amplificare la sensibilità.
- Assunzione di antidolorifici: su consiglio del dentista, l’uso temporaneo di antidolorifici da banco può alleviare il disagio.
- Controllo del morso: se la sensibilità è legata a una sensazione di “altezza” anomala dell’otturazione (come se battesse prima degli altri denti durante la chiusura della bocca), potrebbe essere necessario un semplice ritocco da parte del dentista.
Quando invece è necessario preoccuparsi?
- Se il dolore è intenso, costante e non migliora nel giro di 7-10 giorni.
- Se si manifesta gonfiore, arrossamento o pulsazioni.
- Se si sviluppa difficoltà a masticare o una sensibilità aumentata invece che diminuire.
In questi casi è fondamentale contattare tempestivamente il proprio dentista di fiducia per un controllo approfondito.
Alimentazione nei giorni successivi
- Alimenti morbidi: prediligere cibi morbidi come purè, yogurt, zuppe tiepide ed evitare cibi duri che possono stressare l’otturazione fresca.
- Masticazione controllata: nei primi giorni, meglio masticare sul lato opposto rispetto all’otturazione.
- Evitare gomme da masticare: soprattutto quelle zuccherate che potrebbero favorire la formazione di nuova placca o, peggio, danneggiare l’otturazione.
In sintesi, un lieve fastidio dopo un’otturazione dentale è del tutto normale e in genere si risolve spontaneamente entro 2-7 giorni. Se persiste o peggiora, una visita di controllo è sempre la scelta migliore.
Come comportarsi dopo un’otturazione?

Dopo aver eseguito un’otturazione dentale, è essenziale seguire alcune semplici accortezze per favorire una corretta guarigione, proteggere il dente trattato e prevenire eventuali complicazioni future. Vediamo insieme tutto quello che è utile sapere su come comportarsi nei giorni successivi all’intervento.
Cibi da evitare subito dopo
- Cibi duri e croccanti: noci, crocchette, caramelle dure e simili possono stressare eccessivamente il materiale ancora in fase di assestamento, rischiando di provocare fratture o danni all’otturazione fresca.
- Alimenti troppo caldi o troppo freddi: nei primi giorni la sensibilità dentale potrebbe essere accentuata. Evitare zuppe bollenti, gelati o bevande ghiacciate aiuta a prevenire fastidi e irritazioni.
- Cibi appiccicosi: caramelle gommose, toffee e alcuni tipi di dolciumi potrebbero aderire al materiale composito e compromettere l’adesione dell’otturazione.
- Alimenti zuccherati: limitare l’assunzione di zuccheri aiuta a prevenire l’insorgere di nuove carie intorno all’area trattata.
Consiglio utile: preferire alimenti morbidi, tiepidi e facili da masticare, come yogurt, purè, risotti, pesce lessato e frutta morbida (banana, pera cotta).
Quando lavarsi i denti
- Attendere qualche ora: dopo l’otturazione, specialmente se è stato praticato un anestetico locale, è bene aspettare che l’effetto svanisca completamente prima di lavarsi i denti, per evitare di mordersi accidentalmente guancia o lingua.
- Igiene quotidiana: è fondamentale mantenere un’eccellente igiene orale per proteggere l’area trattata da placca e batteri.
- Tecnica delicata: utilizzare uno spazzolino a setole morbide e movimenti leggeri intorno al dente appena otturato per evitare irritazioni.
Suggerimento: se l’area trattata risulta particolarmente sensibile, l’uso di un dentifricio specifico per denti sensibili può ridurre il fastidio.
Uso di filo interdentale e dentifricio specifico
- Filo interdentale: deve essere usato con attenzione fin dal giorno successivo. Evitare di forzare il filo: se trova resistenza, è meglio farlo scorrere delicatamente sui lati del dente senza movimenti bruschi che potrebbero dislocare l’otturazione appena fatta.
- Dentifricio: scegliere un dentifricio remineralizzante o per denti sensibili per rafforzare lo smalto intorno alla zona trattata e limitare fastidi termici.
Altre raccomandazioni importanti
- Controllo del morso: se dopo qualche giorno si percepisce che l’otturazione è “alta” o interferisce con la chiusura naturale della bocca, contattare il dentista per una regolazione.
- Monitorare i sintomi: un leggero fastidio è normale, ma dolore intenso, gonfiore o sensazioni anomale devono essere riferite al medico.
- Visite di controllo: è buona norma programmare una visita di controllo periodica per monitorare lo stato dell’otturazione e l’igiene generale della bocca.
Prendersi cura della propria bocca dopo un’otturazione aiuta non solo a mantenere a lungo il risultato ottenuto, ma anche a preservare la salute del dente e prevenire interventi futuri più invasivi.
Quando posso lavare i denti dopo un’otturazione?
Una delle domande più frequenti dopo aver eseguito un’otturazione dentale riguarda proprio l’igiene orale: quando si può tornare a lavarsi i denti senza rischiare di danneggiare il lavoro appena svolto? Vediamo tutto quello che c’è da sapere per mantenere pulito e protetto il dente otturato.
Tempistiche e modalità consigliate
- Aspettare che passi l’anestesia: è consigliabile non lavarsi i denti finché l’effetto dell’anestesia locale non si sia completamente esaurito. Questo per evitare movimenti involontari che potrebbero causare traumi a guance o lingua ancora intorpidite.
- Prime ore dopo l’intervento: se il materiale utilizzato è composito fotopolimerizzato (indurito con luce UV), la superficie è già stabile al termine della seduta. Quindi, una volta che l’anestesia è svanita (generalmente dopo 2-3 ore), è possibile lavare i denti in sicurezza.
- Se è stata utilizzata una medicazione provvisoria: in questo caso, l’otturazione è più fragile. È meglio attendere indicazioni specifiche dal dentista e lavare i denti con particolare delicatezza.
Suggerimento pratico: meglio lavarsi i denti prima di andare a dormire la sera stessa, seguendo però alcuni accorgimenti che vedremo subito.
Igiene orale nei primi giorni
- Utilizzare uno spazzolino a setole morbide: le setole morbide evitano traumi al dente trattato e sono efficaci nella rimozione della placca senza irritare gengive o area dell’otturazione.
- Evitare spazzolate aggressive: i movimenti devono essere delicati e circolari, senza premere eccessivamente sulla superficie otturata.
- Prestare attenzione alla zona trattata: se il dente risulta particolarmente sensibile nei primi giorni, è bene ridurre leggermente l’intensità della spazzolatura solo su quel dente, senza tralasciare comunque la pulizia.
- Utilizzare dentifricio per denti sensibili: questi prodotti aiutano a diminuire eventuali fastidi causati dagli sbalzi termici (caldo/freddo) che possono insorgere dopo l’otturazione.
Importanza del filo interdentale
- Anche nei primi giorni è fondamentale continuare a utilizzare il filo interdentale, soprattutto per evitare che residui di cibo si accumulino tra i denti e vicino all’otturazione.
- Passare il filo interdentale con movimenti dolci, senza “strappare” contro il dente otturato. Infilare il filo tra i denti, curvarlo a forma di C intorno al dente e scorrere delicatamente verso l’alto e il basso.
Risultato finale atteso
Seguendo queste raccomandazioni, il dente otturato potrà integrarsi perfettamente con il resto della dentatura, mantenendo la sua funzione e garantendo estetica e durata nel tempo. Una corretta igiene orale è il miglior investimento per evitare future carie secondarie e prolungare la vita dell’otturazione.
Cosa succede se si rompe un’otturazione?
La rottura di un’otturazione dentale è un evento che, pur non frequentissimo, può verificarsi e merita attenzione immediata. Vediamo cosa comporta, come riconoscere il problema e quali azioni intraprendere.
Cosa fare subito in caso di rottura
- Non ignorare il problema: anche se il fastidio sembra minimo o assente, un’otturazione rotta espone il dente sottostante a infezioni, sensibilità e carie.
- Evitare di masticare sul dente danneggiato: per prevenire ulteriori traumi o la frattura della struttura residua del dente.
- Contattare il dentista: è importante fissare un appuntamento al più presto per valutare il danno e procedere a una riparazione o sostituzione.
Suggerimento pratico: in attesa della visita dentistica, mantenere l’area il più pulita possibile risciacquando frequentemente la bocca con acqua tiepida o collutorio antibatterico.
Possibili cause: materiale, trauma, usura
- Materiale utilizzato: anche i migliori materiali per otturazione (composito, ceramica, amalgama) non sono eterni. Il tempo, l’usura meccanica dovuta alla masticazione o a fattori come il bruxismo possono causare rotture.
- Traumi improvvisi: masticare cibi particolarmente duri come noci, caramelle dure, oppure incidenti accidentali (come colpi alla bocca) possono danneggiare una vecchia otturazione.
- Infiltrazione cariosa: se si sviluppa una carie sotto o attorno all’otturazione, il materiale può indebolirsi e staccarsi o fratturarsi.
- Otturazione mal eseguita: errori nella tecnica di adesione o nella modellazione del materiale possono portare a una minore resistenza dell’otturazione.
Come viene sistemata una ricostruzione danneggiata
- Controllo clinico e radiografico: il dentista valuterà se la rottura è superficiale o se ha coinvolto anche la struttura residua del dente.
- Sostituzione dell’otturazione: se il danno riguarda solo il materiale di riempimento, si procederà alla rimozione dell’otturazione danneggiata e al suo rifacimento completo con nuovo materiale.
- Trattamenti alternativi: se la rottura ha causato danni più estesi (es. frattura del dente), si può ricorrere a un intarsio o a una corona dentale per restaurare adeguatamente la funzionalità e l’estetica.
- Eventuale terapia endodontica: nei casi peggiori, se il dente ha subito un danno alla polpa, potrebbe essere necessaria una devitalizzazione prima della nuova ricostruzione.
Prevenzione importante: per evitare rotture future è fondamentale seguire controlli regolari, curare l’igiene orale, utilizzare un bite notturno se si soffre di bruxismo e limitare l’assunzione di alimenti troppo duri o appiccicosi.
Come capire se un’otturazione è fatta male?
Non tutte le otturazioni dentali sono eseguite alla perfezione, e riconoscere i segnali di una ricostruzione non ottimale è fondamentale per intervenire tempestivamente ed evitare complicazioni future.
Segni di otturazione mal eseguita: dolore persistente, altezza errata, infiltrazioni
- Dolore persistente dopo l’intervento: un leggero fastidio nei primi giorni dopo un’otturazione è normale, ma se il dolore è intenso, costante o peggiora col passare del tempo, potrebbe essere il sintomo di un’otturazione non corretta o di una carie residua sotto il materiale di riempimento.
- Altezza errata dell’otturazione: se l’otturazione è troppo alta, il paziente avvertirà fastidio durante la masticazione o sentirà il dente “toccare prima” degli altri. Questo può portare a dolori mandibolari o a un’usura anomala del dente otturato e dei denti opposti.
- Infiltrazioni cariose: quando il bordo dell’otturazione non aderisce perfettamente al dente naturale, i batteri possono infiltrarsi, portando alla formazione di nuove carie sotto l’otturazione. Le infiltrazioni non sono sempre visibili a occhio nudo, ma possono manifestarsi con sensibilità, dolore o cambiamenti di colore nella zona otturata.
Quando rivolgersi al dentista per correzioni
- Sensibilità anomala al caldo o al freddo: se persiste oltre 1-2 settimane dopo l’intervento, è necessario un controllo.
- Dolore alla masticazione o durante il morso: può indicare un’otturazione troppo alta o instabile.
- Senso di corpo estraneo: se percepisci l’otturazione come “spessa” o “in rilievo” rispetto al resto del dente, probabilmente va rifinita o sostituita.
- Otturazione mobile o visibilmente danneggiata: qualsiasi movimento dell’otturazione o crepe visibili sono motivi per richiedere una visita urgente.
- Cambio di colore del dente o dell’otturazione: può essere indice di infiltrazione o deterioramento del materiale.
Importante: non aspettare che il fastidio diventi dolore acuto. Più rapidamente si interviene, minori saranno i danni e i costi per correggere il problema.
Rischi di trascurare un’otturazione difettosa
- Sviluppo di carie secondarie: un’otturazione non sigillante favorisce l’infiltrazione batterica.
- Frattura dentale: un carico masticatorio non ben distribuito può portare alla frattura del dente ricostruito.
- Necessità di devitalizzazione: se i batteri raggiungono la polpa dentale, sarà necessario devitalizzare il dente, aumentando complessità e costi del trattamento.
- Perdita del dente: nei casi più gravi, un’otturazione mal riuscita può compromettere irrimediabilmente la struttura dentale.
Per questi motivi è sempre essenziale affidarsi a professionisti esperti e sottoporsi a controlli periodici dopo ogni otturazione.
Cos’è un’otturazione provvisoria e quando si usa?
Non tutte le otturazioni dentali sono definitive: in alcuni casi specifici, il dentista opta per una otturazione provvisoria. Capire cos’è e quando si utilizza aiuta a sapere cosa aspettarsi e a mantenere correttamente il trattamento fino alla sostituzione con l’otturazione definitiva.
Differenze tra otturazione provvisoria e definitiva
- Durata limitata: le otturazioni provvisorie sono progettate per durare poche settimane o pochi mesi, al massimo.
- Materiali diversi: sono realizzate con materiali più morbidi e facilmente rimovibili, come cementi a base di ossido di zinco ed eugenolo, o materiali a presa rapida, meno resistenti rispetto a resine composite o amalgama.
- Funzione temporanea: servono a proteggere il dente e ridurre il rischio di infezioni mentre si attende il trattamento definitivo.
- Facilità di rimozione: il dentista può facilmente rimuoverle senza danneggiare ulteriormente il dente.
Tempi di durata
- Da pochi giorni a qualche mese: normalmente una otturazione provvisoria dura da 2 a 8 settimane, a seconda della situazione clinica.
- Fattori che influenzano la durata: il materiale scelto, l’area del dente trattato, le abitudini masticatorie del paziente e il rispetto delle indicazioni post-operatorie.
- Importanza della sostituzione puntuale: superare i tempi consigliati può portare alla rottura dell’otturazione provvisoria e all’esposizione del dente a nuove infezioni.
Indicazioni nei trattamenti endodontici o nelle urgenze
- Durante una devitalizzazione: spesso, dopo la prima seduta di endodonzia, si applica una otturazione provvisoria per proteggere il dente fino alla chiusura definitiva dei canali radicolari.
- In caso di emergenza odontoiatrica: se il paziente presenta un forte dolore o una carie profonda che richiede tempo per essere trattata completamente, si utilizza un riempimento temporaneo.
- Necessità di osservazione clinica: se il dentista sospetta una possibile complicazione (come una infiammazione pulpare), può scegliere di posizionare un’otturazione provvisoria per monitorare i sintomi prima di completare il trattamento definitivo.
- Protezione del dente danneggiato: nei casi in cui è necessario proteggere una cavità particolarmente estesa o profonda prima di una ricostruzione più complessa o prima della cementazione di una corona.
Cura di un dente con otturazione provvisoria
- Alimentazione cauta: evitare cibi duri, croccanti o appiccicosi che possono dislocare l’otturazione.
- Igiene orale accurata: continuare a spazzolare delicatamente la zona trattata ed evitare l’uso eccessivo del filo interdentale direttamente sull’otturazione provvisoria.
- Contattare subito il dentista: se l’otturazione provvisoria si rompe o cade prima del completamento del trattamento.
Un’otturazione provvisoria è quindi un passaggio fondamentale in molti piani di trattamento, che va rispettato con cura per garantire il successo della futura otturazione definitiva.
Quali sono le otturazioni dentali per i bambini?

Curare correttamente i denti da latte è fondamentale per garantire una crescita sana e una corretta disposizione della dentatura permanente. Anche i denti decidui, infatti, possono essere soggetti a carie e necessitare di interventi di otturazione dentale.
Carie nei denti decidui: perché trattarle
- Preservare lo spazio per i denti permanenti: i denti da latte guidano l’eruzione dei denti permanenti. Una carie non curata può causare la perdita precoce del dente, con conseguente rischio di malocclusioni future.
- Prevenire il dolore e l’infezione: una carie avanzata può provocare forte dolore, infezioni, ascessi e persino problemi sistemici se l’infezione si diffonde.
- Evitare trattamenti più invasivi: intervenire tempestivamente con una semplice otturazione evita di dover ricorrere a devitalizzazioni o estrazioni.
- Favorire buone abitudini di igiene orale: il trattamento delle carie nei bambini insegna l’importanza della cura dei denti e motiva una corretta igiene orale quotidiana.
Materiali usati e durata
- Resine composite pediatriche: come per gli adulti, anche nei bambini si utilizzano resine di colore bianco che si integrano esteticamente con il dente naturale. Sono ottimali per denti anteriori o visibili.
- Amalgama: meno utilizzata oggi nei bambini per motivi estetici e di biocompatibilità, veniva preferita per la sua durata nei molari.
- Cementi vetroionomerici: materiali bioattivi che rilasciano fluoro, molto utili in pazienti piccoli per prevenire la formazione di nuove carie. Sono ideali per denti temporanei che hanno una durata limitata.
- Sigillanti dentali: nei solchi dei molari, come misura preventiva, si possono applicare materiali sigillanti che proteggono le superfici più soggette a carie.
Durata delle otturazioni pediatriche:
- Le otturazioni sui denti da latte durano mediamente meno rispetto agli adulti, dato che i denti decidui saranno fisiologicamente sostituiti.
- Tuttavia, devono resistere fino alla naturale esfoliazione del dente, quindi la scelta del materiale viene calibrata in base all’età e al tempo previsto prima della caduta.
Tecniche specifiche dell’odontoiatria pediatrica
- Sedute brevi e approccio psicologico: i bambini vengono trattati con tecniche comunicative che riducono l’ansia e l’agitazione.
- Tecnologie laser: in alcuni casi si può utilizzare il laser erbio per rimuovere la carie senza trapano, riducendo il disagio.
- Diga di gomma pediatrica: si isola il dente con dighe colorate e profumate, pensate per rendere l’esperienza più positiva.
- Premi e rinforzi positivi: al termine della seduta, spesso si offrono piccoli premi simbolici per incentivare la collaborazione futura.
Un trattamento mirato e attento ai bisogni del piccolo paziente può davvero fare la differenza, garantendo la salute orale e il sorriso dei bambini anche negli anni a venire.
Quali sono i diversi tipi di otturazione in base alla posizione del dente?
Non tutte le otturazioni sono uguali: la posizione del dente interessato dalla carie o dal danno influenza il tipo di trattamento da eseguire. L’odontoiatria utilizza una classificazione molto precisa per definire i tipi di otturazione: la classificazione di Black, che distingue i restauri in base all’area del dente coinvolta.
Classificazione di Black: da I a VI classe
- Otturazione di I Classe: riguarda la superficie occlusale (masticatoria) di molari e premolari, o le fossette nei denti anteriori. È la più semplice, spesso invisibile esternamente.
- Otturazione di II Classe: coinvolge una o più superfici interprossimali (lati) dei molari e premolari. Qui è necessaria una maggiore precisione per ricreare il punto di contatto con il dente adiacente.
- Otturazione di III Classe: interessa la superficie interprossimale di incisivi e canini, senza coinvolgere il margine incisale. Importante l’aspetto estetico.
- Otturazione di IV Classe: simile alla III, ma con coinvolgimento anche del margine incisale (il bordo tagliente). Sono restauri più complessi e visibili.
- Otturazione di V Classe: riguarda la parte cervicale del dente (vicino alla gengiva), su denti anteriori o posteriori. Questa zona è soggetta a sensibilità dentale.
- Otturazione di VI Classe: coinvolge esclusivamente le cuspidi (le punte) di canini, premolari o molari. È la classe meno comune ma particolarmente delicata.
Indicazioni per denti anteriori e posteriori
- Denti anteriori (incisivi e canini):
- Richiedono restauri estetici impeccabili, preferendo materiali in resina composita altamente mimetici.
- Interventi su questi denti devono ripristinare perfettamente forma, colore e traslucenza.
- Denti posteriori (premolari e molari):
- Priorità alla resistenza meccanica per sopportare le forze masticatorie elevate.
- È possibile optare per materiali più resistenti come compositi rinforzati, amalgama (sebbene meno usato) o intarsi.
Quando si preferisce un intarsio o una corona
- Quando la cavità è molto estesa e il tessuto dentale residuo è insufficiente a sostenere un’otturazione tradizionale, si opta per soluzioni più robuste:
- Intarsio: una ricostruzione parziale realizzata su misura in laboratorio, che si cementa sulla parte mancante del dente.
- Corona: copertura totale del dente, indicata quando il danno è particolarmente severo.
Riassumendo:
- Otturazioni semplici per piccole carie localizzate.
- Intarsi e corone per restauri più estesi o su denti molto compromessi.
- Materiali scelti in base a funzionalità, estetica e durata.
Una diagnosi accurata consente di scegliere il tipo di otturazione più adatto per assicurare la massima durata e il miglior risultato estetico.
Domande frequenti su otturazione dentale
In questa sezione rispondiamo alle domande più comuni che i pazienti si pongono riguardo le otturazioni dentali. Sapere cosa aspettarsi aiuta ad affrontare con maggiore serenità l’intervento e a prendersi cura al meglio della propria salute orale.
L’otturazione del dente è dolorosa?
- Durante l’intervento:
- L’otturazione dentale viene eseguita normalmente sotto anestesia locale.
- Grazie all’anestesia, il paziente non prova dolore ma solo una lieve pressione o vibrazione degli strumenti utilizzati (come le frese).
- Dopo l’intervento:
- È comune avvertire un leggero fastidio o sensibilità al caldo, al freddo o durante la masticazione.
- Questa sensibilità tende a diminuire nell’arco di qualche giorno o al massimo in una settimana.
- Quando preoccuparsi:
- Se il dolore è forte o persistente oltre 7-10 giorni, o peggiora anziché migliorare, è consigliabile tornare dal dentista.
- Potrebbe trattarsi di una infiltrazione cariosa residua, di un’otturazione troppo alta o di un’infiammazione più profonda (es. pulpite).
Quanto costa un’otturazione a un dente?
- Costi medi in Italia:
- Una otturazione semplice con resina composita può costare dai 70 ai 150 euro.
- Una otturazione complessa (coinvolgente più superfici del dente) può arrivare anche a 200-250 euro.
- Fattori che influenzano il prezzo:
- Materiale scelto: composito estetico, ceramica o materiali innovativi comportano costi differenti.
- Posizione del dente: restaurare un dente anteriore richiede maggior precisione estetica.
- Gravità del danno: una carie più profonda o un’area estesa richiedono più tempo e competenze.
- Tecniche utilizzate: ad esempio, l’uso della diga di gomma e di tecniche adesive avanzate può incidere leggermente sui costi.
- Costi aggiuntivi:
- Radiografie endorali pre-operatorie: 10-30 euro.
- Eventuali cure canalari (se la carie ha raggiunto la polpa) hanno costi separati.
Importante:
Una buona prevenzione e controlli regolari permettono di intervenire precocemente, risparmiando sia sui costi sia su procedure più invasive.





