Table of Contents
ToggleChe Cosa Sono le Malattie Gengivali?
Le malattie gengivali sono tra i disturbi più comuni del cavo orale e rappresentano una minaccia silenziosa ma significativa per la salute dei denti e dell’intero organismo. Quando si parla di “malattia gengivale” si fa riferimento a un’infezione o un’infiammazione dei tessuti che circondano e sostengono i denti: la gengiva, il legamento parodontale e l’osso alveolare.
Queste condizioni possono variare da forme lievi e reversibili, come la gengivite, fino a forme più gravi e croniche, come la parodontite, che possono portare alla mobilità dentale e persino alla perdita dei denti. In casi estremi, come nelle gengiviti necrotizzanti o nelle parodontiti avanzate, il danno può estendersi oltre il cavo orale, influenzando negativamente anche la salute sistemica.
Infatti, recenti studi clinici hanno evidenziato legami significativi tra le patologie gengivali e numerose malattie sistemiche come diabete, malattie cardiovascolari, problemi respiratori, e complicazioni in gravidanza. Ciò accade perché i batteri presenti nelle tasche gengivali possono entrare nel flusso sanguigno e raggiungere organi distanti, generando infiammazione o infezioni secondarie.
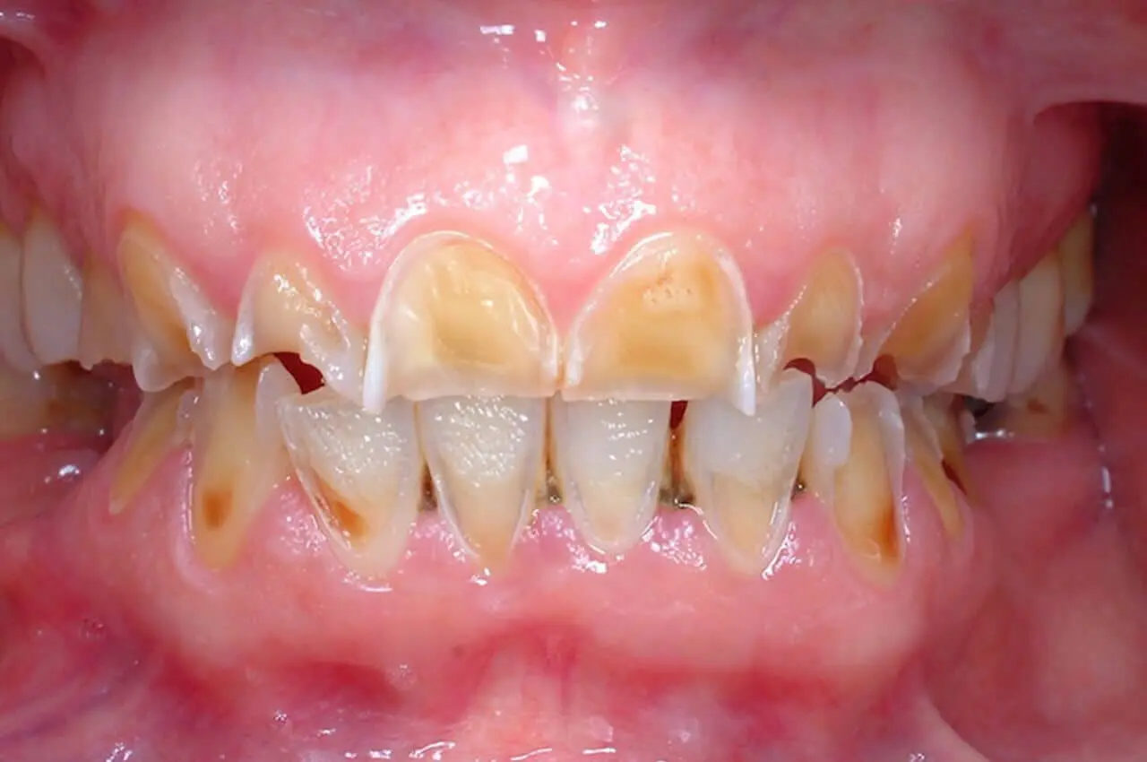
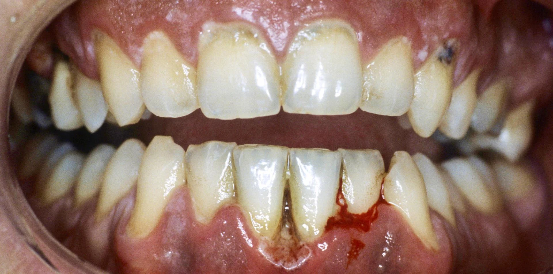
Il primo campanello d’allarme è spesso trascurato: sanguinamento gengivale durante lo spazzolamento o l’uso del filo interdentale. Tuttavia, ignorare questi segnali può portare a un aggravamento progressivo della condizione. Inizialmente, la gengiva può apparire rossa, gonfia e sensibile, ma con il tempo può ritirarsi, formando tasche profonde intorno ai denti dove si accumulano batteri pericolosi.
Le malattie gengivali non sono da considerare un evento isolato ma una condizione progressiva, che può peggiorare senza un intervento tempestivo. La buona notizia è che molte di queste patologie sono prevenibili e trattabili, soprattutto se diagnosticate precocemente da un dentista o un parodontologo.
Nelle prossime sezioni dell’articolo analizzeremo in dettaglio le diverse tipologie di malattia gengivale, i sintomi, le cause e i rimedi più efficaci per trattarle e prevenirle.
Malattie Gengivali: Quali Sono e Come Riconoscerle?

Le malattie gengivali si presentano in diverse forme, ma tutte iniziano con un elemento comune: l’accumulo di placca batterica lungo il margine gengivale. Quando non viene rimossa correttamente, la placca può provocare infiammazione, infezione e danni permanenti ai tessuti parodontali. Riconoscere per tempo i diversi tipi di patologia è fondamentale per un trattamento efficace.
Quali sono le principali malattie gengivali?
- Gengivite: è la forma più lieve di malattia gengivale. Provoca arrossamento, gonfiore e sanguinamento delle gengive. È reversibile se trattata tempestivamente con una corretta igiene orale e pulizia professionale.
- Parodontite: rappresenta l’evoluzione della gengivite non trattata. In questa fase, l’infezione si estende in profondità, danneggiando l’osso e il legamento parodontale. I sintomi includono recessione gengivale, mobilità dentale e formazione di tasche gengivali.
- Gengivite ulcerosa necrotizzante acuta (GUNA): è una forma aggressiva e dolorosa di malattia gengivale, spesso accompagnata da alitosi intensa, necrosi dei tessuti molli e ulcerazioni. Richiede un trattamento urgente.
Perché è importante riconoscerle in tempo?
- Le condizioni gengivali reversibili, come la gengivite, possono essere trattate senza danni permanenti.
- Le malattie irreversibili, come la parodontite avanzata, possono comportare la perdita di uno o più denti.
- La diagnosi precoce da parte di un dentista consente di intervenire prima che l’infezione comprometta la struttura ossea.
Quali Sono i Primi Sintomi della Piorrea?
- Gengive gonfie, rosse e sanguinanti, spesso i primi campanelli d’allarme.
- Alitosi persistente causata dall’accumulo di batteri nelle tasche gengivali.
- Denti mobili o che cambiano posizione.
- Sensibilità dentale e fastidio durante la masticazione.
- La piorrea è lo stadio avanzato della parodontite e comporta riassorbimento osseo.
Come Si Chiama la Malattia Che Si Ritirano le Gengive?
- Si tratta della recessione gengivale, che può essere causata da gengivite, parodontite, spazzolamento aggressivo o bruxismo.
- Le gengive si ritirano lasciando esposta la radice del dente, causando sensibilità e rischio di carie radicolare.
- A differenza della gengivite, la recessione gengivale può essere permanente se non trattata con innesti gengivali o altri interventi specialistici.
Quali Sono le Cause Più Comuni delle Malattie Gengivali?
Le malattie gengivali non nascono mai per caso: sono sempre il risultato di una combinazione di fattori, in primis l’accumulo di placca batterica, ma anche abitudini di vita, predisposizione genetica, alimentazione e condizioni mediche generali. Conoscere queste cause permette di adottare strategie preventive efficaci.
Placca e tartaro: l’origine di tutto
- La placca dentale è una pellicola trasparente e appiccicosa composta da batteri e residui di cibo che si forma costantemente sulla superficie dei denti.
- Se non rimossa quotidianamente, la placca si indurisce in tartaro, che non può più essere rimosso con lo spazzolino ma solo con una pulizia professionale.
- Il tartaro, una volta aderito alla superficie dentale, favorisce l’accumulo di batteri sotto la gengiva, causando gengivite e, in seguito, parodontite.
Quali Sono le Cause delle Infiammazioni Gengivali?
Oltre alla placca e al tartaro, ci sono numerosi fattori aggravanti che possono accelerare l’infiammazione gengivale:
- Igiene orale scarsa o scorretta: lavaggi non frequenti o tecniche errate di spazzolamento favoriscono la proliferazione batterica.
- Fumo: è uno dei principali fattori di rischio. I fumatori hanno una probabilità molto più alta di sviluppare gengiviti e parodontiti, con risposte ridotte alle terapie.
- Cambiamenti ormonali: pubertà, gravidanza, menopausa possono aumentare la sensibilità delle gengive e predisporle all’infiammazione.
- Genetica: alcune persone sono più predisposte a sviluppare malattie gengivali, anche con una buona igiene orale.
- Farmaci: alcuni farmaci (antiepilettici, immunosoppressori, calcio-antagonisti) possono causare iperplasia gengivale, ovvero crescita anomala della gengiva.
- Stress: indebolisce il sistema immunitario, aumentando il rischio di infezioni orali.
- Dieta povera di nutrienti: una carenza di vitamina C, calcio o antiossidanti può compromettere la salute delle gengive.
- Bruxismo: il digrignamento dei denti mette sotto stress le gengive e favorisce il loro deterioramento.
Come Sanguinano le Gengive con la Leucemia?
In alcuni casi, il sanguinamento gengivale può essere un segnale di patologie sistemiche più gravi, come la leucemia:
- Le gengive sanguinano in modo spontaneo e abbondante, anche senza spazzolamento.
- Possono apparire gengive gonfie, doloranti e molli, con presenza di piccole macchie rosse o viola (petecchie).
- È essenziale che il dentista, alla presenza di questi sintomi non spiegabili da problemi orali comuni, invii il paziente a una valutazione ematologica.
Come Si Diagnosticano le Malattie Gengivali?
Riconoscere e diagnosticare precocemente una malattia gengivale è fondamentale per evitare complicazioni gravi come la piorrea e la perdita dei denti. Il processo diagnostico si basa su un’attenta valutazione clinica, strumenti specifici e, quando necessario, esami radiografici. Vediamo in cosa consiste una visita parodontale completa.
Visita parodontale e sonda millimetrata
- Il primo passo è un esame obiettivo del cavo orale da parte del dentista o dell’odontoiatra specializzato in parodontologia.
- Si utilizza la sonda parodontale millimetrata, uno strumento sottile e calibrato che viene inserito delicatamente tra il dente e la gengiva per misurare la profondità del solco gengivale.
- Una gengiva sana presenta un solco di circa 1-3 mm; una profondità superiore a 4 mm indica la presenza di tasche gengivali, segnale di parodontite in atto.
- Viene valutato anche il sanguinamento al sondaggio: se le gengive sanguinano al semplice tocco della sonda, è probabile che ci sia un’infiammazione.
Radiografie e valutazioni cliniche
- Per valutare la perdita di osso attorno ai denti, si ricorre a radiografie endorali o ortopantomografie.
- Le immagini consentono di osservare il grado di riassorbimento osseo e l’estensione dell’infezione in profondità.
- In alcuni casi, il dentista può richiedere radiografie 3D (Cone Beam CT) per pianificare eventuali interventi chirurgici rigenerativi o implantologici.
Cos’è la Parulide Gengivale?
- La parulide gengivale è una tumefazione localizzata e arrossata, simile a un piccolo ascesso, che compare sulla gengiva in presenza di un’infezione dentale o di un granuloma.
- È caratterizzata da gonfiore, dolore alla palpazione e fuoriuscita di pus.
- Il trattamento prevede la rimozione della causa scatenante (es. cura canalare del dente) e può richiedere antibiotici o un’incisione chirurgica per il drenaggio.
Come Capire Se Si Ha un Granuloma?
- Un granuloma dentale è una lesione infiammatoria cronica che si forma all’apice di un dente infetto o devitalizzato male.
- Non sempre provoca sintomi, ma può dare dolore lieve, gonfiore, alitosi o la comparsa di una fistola gengivale.
- La diagnosi avviene tramite radiografia, dove il granuloma appare come un’area scura attorno alla radice. In alcuni casi si rende necessaria l’apicectomia o l’estrazione del dente.
Come Si Curano le Malattie Gengivali?
La cura delle malattie gengivali dipende dalla gravità della condizione e dallo stadio in cui viene diagnosticata. Prima si interviene, più è probabile recuperare la salute delle gengive con trattamenti conservativi. Quando invece la patologia è in fase avanzata, come nella parodontite, potrebbe essere necessario ricorrere a terapie chirurgiche. Di seguito analizziamo le principali opzioni terapeutiche.
Approccio terapeutico in base allo stadio
- Gengivite: nella fase iniziale, la malattia può essere completamente reversibile attraverso una corretta igiene orale domiciliare, una detartrasi professionale e l’uso di collutori antisettici.
- Parodontite iniziale: viene trattata con la levigatura radicolare (scaling e root planing), una pulizia profonda delle tasche gengivali effettuata in anestesia locale.
- Parodontite avanzata: richiede trattamenti più intensi e il coinvolgimento di un parodontologo. Oltre alla levigatura, possono essere necessari trattamenti chirurgici rigenerativi.
Trattamenti Chirurgici per le Malattie Gengivali: Quando Servono?
- La chirurgia si rende necessaria quando la parodontite ha causato tasche profonde o danni irreversibili all’osso alveolare.
- Chirurgia di riduzione delle tasche: prevede il sollevamento chirurgico del lembo gengivale per rimuovere il tartaro e riposizionare la gengiva.
- Innesto gengivale: indicato nei casi di recessione severa, permette di ripristinare la copertura delle radici dentali con tessuto prelevato dal palato.
- Rigenerazione ossea guidata: si esegue quando è necessario recuperare parte dell’osso perduto. Si utilizzano biomateriali e membrane protettive per stimolare la formazione di nuovo tessuto osseo.
Come Disinfiammare le Gengive Velocemente?
- In caso di infiammazione acuta, il dentista può prescrivere collutori a base di clorexidina, da utilizzare per un periodo limitato.
- Si possono associare antibiotici sistemici o topici nei casi più gravi, soprattutto se è presente una fistola o un ascesso.
- A livello domiciliare, è utile utilizzare uno spazzolino morbido, praticare un’igiene accurata e, se indicato, assumere antinfiammatori per alleviare il dolore e il gonfiore.
- Rimedi naturali come sciacqui con acqua e sale, olio essenziale di tea tree o gel di aloe vera possono offrire sollievo temporaneo, ma non sostituiscono le cure professionali.
Quali Sono i Sintomi della Gengivite da Stress?

La connessione tra stress e salute orale è ampiamente documentata, soprattutto per quanto riguarda le malattie gengivali. Tra queste, una delle più comuni è la gengivite da stress, una forma di infiammazione delle gengive che può insorgere o peggiorare durante periodi di forte pressione psicologica.
Il nostro organismo, quando è sotto stress, rilascia cortisolo, un ormone che indebolisce il sistema immunitario e riduce la capacità di contrastare le infezioni. Le gengive, essendo costantemente esposte ai batteri della placca, diventano particolarmente vulnerabili.
Connessione tra stress e infiammazione orale
- Lo stress altera il comportamento quotidiano, spesso portando a cattive abitudini come lo spazzolamento irregolare o trascurato.
- Aumenta il rischio di bruxismo, cioè il digrignamento involontario dei denti, che può infiammare i tessuti gengivali.
- Riduce l’efficacia del sistema immunitario nel combattere i batteri presenti nella bocca.
- Può favorire un’alimentazione scorretta, ricca di zuccheri e povera di nutrienti essenziali, che aggrava la salute orale.
Sintomi principali della gengivite da stress
- Arrossamento e gonfiore delle gengive: le gengive appaiono visibilmente irritate, con una colorazione più intensa rispetto al normale rosa sano.
- Sanguinamento durante la pulizia orale: anche un semplice passaggio di spazzolino o filo interdentale può causare fuoriuscita di sangue.
- Alitosi persistente: il cattivo odore è spesso legato all’accumulo di batteri patogeni.
- Dolore o fastidio gengivale: le gengive possono risultare doloranti, soprattutto durante i pasti.
- Recessione gengivale: in alcuni casi lo stress può contribuire al ritiro del tessuto gengivale.
- Maggiore sensibilità dentale: dovuta alla scopertura della dentina nelle zone colpite.
Prevenzione e gestione
- Praticare tecniche di gestione dello stress come yoga, meditazione, attività fisica.
- Mantenere una routine di igiene orale regolare e scrupolosa, anche nei periodi più impegnativi.
- In caso di peggioramento, rivolgersi tempestivamente all’igienista dentale o al parodontologo per una valutazione e un trattamento mirato.
- Evitare il fumo e l’abuso di caffeina, entrambi fattori aggravanti.
Come Aiutare le Gengive a Rigenerarsi?
Quando le gengive iniziano a ritirarsi o subiscono danni dovuti a malattie gengivali come la parodontite, è fondamentale intervenire non solo per fermare l’infezione, ma anche per promuovere la rigenerazione dei tessuti gengivali. In molti casi, le gengive possono essere recuperate con terapie conservative e rigenerative, a seconda della gravità del problema.
Trattamenti rigenerativi disponibili
- Levigatura radicolare profonda: rimuove placca e tartaro dalle tasche gengivali per facilitare la guarigione e la riadesione della gengiva al dente.
- Laser terapia parodontale: utilizza fasci di luce per eliminare i tessuti infetti e stimolare la rigenerazione gengivale. È una tecnica minimamente invasiva, efficace e con tempi di recupero ridotti.
- Innesto di tessuti molli: nei casi più gravi, si effettua un innesto di tessuto prelevato solitamente dal palato del paziente per coprire le radici esposte e ricostruire le gengive danneggiate.
- Terapie con biomateriali: l’utilizzo di membrane riassorbibili, gel a base di fattori di crescita e sostanze bioattive può stimolare la rigenerazione dei tessuti gengivali e ossei.
Innesti gengivali: quando sono necessari?
- Quando la recessione gengivale è estesa e le radici dentali risultano scoperte e ipersensibili.
- Quando vi è un rischio estetico, soprattutto nella zona anteriore del sorriso.
- Nei casi in cui la gengiva residua sia troppo sottile per proteggere adeguatamente il dente.
Come stimolare la rigenerazione gengivale a casa
- Mantenere un’altissima qualità nell’igiene orale quotidiana, con spazzolino morbido e dentifrici delicati.
- Utilizzare collutori antisettici (su prescrizione) per mantenere bassa la carica batterica.
- Seguire una dieta ricca di antiossidanti, vitamina C e omega 3, che favoriscono la guarigione dei tessuti.
- Evitare il fumo e l’alcol, nemici della rigenerazione tissutale.
Quando consultare il parodontologo?
- Se la gengiva si ritira progressivamente.
- In presenza di dolore persistente, tasche gengivali o mobilità dentale.
- Per valutare trattamenti specialistici mirati a ricostruire il parodonto.
Quando Preoccuparsi per le Gengive Infiammate?
Le gengive infiammate non sono sempre indice di una patologia grave, ma ignorarne i sintomi potrebbe portare a conseguenze serie, come parodontite o perdita dei denti. Riconoscere i segnali di allarme e sapere quando è necessario rivolgersi a un dentista è fondamentale per prevenire complicazioni.
Quali sintomi indicano una condizione gengivale preoccupante?
- Sanguinamento gengivale frequente: se le gengive sanguinano spesso durante lo spazzolamento o spontaneamente, può essere segno di gengivite o di patologie sistemiche.
- Gengive gonfie e arrossate: l’infiammazione persistente può indicare una risposta immunitaria alla presenza di placca batterica o tartaro non rimossi.
- Alitosi cronica: un cattivo odore dell’alito che non migliora con la normale igiene orale può essere un segnale di infezione gengivale profonda.
- Gengive che si ritirano: la recessione gengivale progressiva può esporre le radici dei denti, rendendoli sensibili e più vulnerabili alla carie.
- Mobilità dentale: se i denti si muovono o sembrano meno stabili, potrebbe esserci una perdita di osso causata dalla parodontite.
- Dolore o fastidio gengivale persistente: se la sensibilità o il dolore non si risolvono in pochi giorni, è importante effettuare una visita odontoiatrica.
Quando è necessario prenotare una visita?
- Quando i sintomi sopra elencati durano più di una settimana.
- Se si è a rischio (fumo, diabete, stress elevato, predisposizione genetica).
- In caso di recidive, cioè episodi ripetuti di infiammazione gengivale.
- Durante la gravidanza o in presenza di altre patologie sistemiche, poiché le malattie gengivali possono avere impatti anche su altre funzioni dell’organismo.
Conseguenze del ritardo nella diagnosi
- Evoluzione della gengivite in parodontite cronica.
- Distruzione dell’osso alveolare che sostiene i denti.
- Necessità di trattamenti invasivi come chirurgia gengivale o impianti dentali.
- Peggioramento di condizioni sistemiche come diabete, malattie cardiovascolari e parto pretermine.
Intervenire precocemente significa preservare non solo la salute delle gengive, ma anche quella dell’intero organismo. La prevenzione parte dall’ascolto del proprio corpo e dal non sottovalutare i segnali che esso invia.
Quali Sono i Sintomi del Cancro alle Gengive?

Il cancro alle gengive è una forma di carcinoma orale che può colpire i tessuti molli del cavo orale, inclusa la mucosa gengivale. Si tratta di una condizione rara ma grave, spesso sottovalutata nelle sue fasi iniziali, poiché i sintomi possono essere confusi con quelli di una comune gengivite o parodontite. Riconoscere precocemente i sintomi del cancro gengivale può fare la differenza nella prognosi e nelle possibilità di trattamento.
Lesioni persistenti o che non guariscono
- Una delle manifestazioni più comuni del carcinoma gengivale è la presenza di ulcere o lesioni che non guariscono da più di due settimane.
- Queste lesioni possono apparire come chiazze bianche (leucoplachia) o rosse (eritroplachia), oppure come una ferita aperta sulla gengiva.
- Possono essere indolori all’inizio, ma con il tempo possono causare dolore durante la masticazione o la deglutizione.
Sanguinamento anomalo
- A differenza della gengivite, dove il sanguinamento è tipicamente legato allo spazzolamento, nel cancro gengivale può verificarsi sanguinamento spontaneo e ricorrente, anche senza contatto diretto.
Dolore e fastidio prolungato
- Dolore cronico alle gengive, che può irradiarsi verso la mandibola, l’orecchio o il collo, può essere un campanello d’allarme.
- Nei casi più avanzati, può esserci intorpidimento o perdita di sensibilità in alcune aree del viso.
Mobilità dei denti senza causa apparente
- Se un dente si allenta senza che vi sia presenza di parodontite, può essere il segno che il tumore sta infiltrando l’osso mascellare o mandibolare.
- In questi casi si osserva spesso anche la distruzione del supporto osseo visibile tramite radiografie.
Cambiamenti nell’aspetto delle gengive
- Le gengive possono presentare ispessimenti o gonfiori localizzati che non regrediscono.
- Anche la variazione di colore (più scuro o molto pallido) o la comparsa di noduli sono da considerare sospetti.
Diagnosi e cosa fare
- È fondamentale prenotare una visita odontoiatrica o parodontale urgente se si presentano questi sintomi.
- Il dentista può decidere di eseguire una biopsia per analizzare la natura del tessuto sospetto.
- Una diagnosi precoce permette di avviare trattamenti efficaci, come la chirurgia oncologica, la radioterapia o la chemioterapia.
Il carcinoma gengivale, se individuato nei primi stadi, ha un tasso di sopravvivenza significativamente più alto. La prevenzione, l’autocontrollo e la visita regolare dal dentista rappresentano la prima linea di difesa.
Come Si Chiama il Tumore delle Gengive?
Il tumore delle gengive viene comunemente identificato come carcinoma orale o più precisamente carcinoma a cellule squamose del cavo orale, che è la forma più frequente di cancro orale e può colpire anche la mucosa gengivale. Questo tipo di tumore si sviluppa nei tessuti epiteliali che rivestono la superficie interna della bocca, comprese le gengive, e tende a manifestarsi soprattutto negli individui sopra i 50 anni, ma può colpire anche i più giovani, soprattutto in presenza di fattori di rischio.
Cos’è il carcinoma a cellule squamose?
- Il carcinoma a cellule squamose rappresenta circa il 90% dei tumori maligni del cavo orale.
- Nelle gengive, si presenta inizialmente come una lesione ulcerata, nodulare o eritroplachica, ovvero una macchia rossa persistente.
- Il tumore può evolversi localmente invadendo l’osso alveolare e i tessuti adiacenti, con possibili metastasi linfonodali se non trattato tempestivamente.
Quali sono i principali fattori di rischio?
- Fumo e alcol: la combinazione dei due aumenta esponenzialmente il rischio di sviluppare un carcinoma gengivale.
- HPV (Papillomavirus umano): alcuni ceppi del virus sono implicati nello sviluppo di carcinomi orofaringei.
- Scarsa igiene orale: l’infiammazione cronica può creare un ambiente favorevole alla trasformazione cellulare maligna.
- Traumi cronici: ad esempio, da protesi dentarie mal adattate o denti scheggiati che irritano continuamente la gengiva.
Come si effettua la diagnosi?
- La diagnosi del carcinoma gengivale richiede una biopsia del tessuto sospetto seguita da un esame istologico.
- A supporto, possono essere eseguiti esami radiografici, TC o RMN, per valutare l’estensione dell’infiltrazione nei tessuti molli e nell’osso.
- La stadiazione TNM aiuta a classificare il tumore e a definire il piano terapeutico.
Quali trattamenti sono disponibili?
- Il trattamento principale è chirurgico, con l’asportazione del tumore e, nei casi più avanzati, anche dei linfonodi.
- A seconda dello stadio, può seguire radioterapia e, in certi casi, chemioterapia adiuvante.
- La ricostruzione estetica e funzionale può essere necessaria dopo l’asportazione di ampie porzioni di tessuto gengivale.
Prognosi e sopravvivenza
- La prognosi dipende molto dallo stadio alla diagnosi. I carcinomi gengivali diagnosticati precocemente hanno un tasso di sopravvivenza a 5 anni superiore al 70%.
- La prevenzione e la diagnosi precoce sono fondamentali per migliorare l’outcome.
La Fistola Gengivale è Pericolosa?
La fistola gengivale è una condizione che si presenta spesso come un piccolo foruncolo bianco o rosato sulla gengiva, dal quale può fuoriuscire pus. Anche se può sembrare un disturbo minore, è in realtà il segnale visibile di un problema più profondo: un’infezione cronica o acuta che interessa l’apparato dentale o parodontale.
Cos’è una fistola gengivale?
- Una fistola gengivale è un canale di drenaggio che il corpo crea spontaneamente per espellere pus e batteri da un’infezione dentale o parodontale.
- Può formarsi in seguito a granulomi apicali, ascessi dentali o infezioni post-estrattive.
- Si presenta tipicamente come una piccola protuberanza molle e dolorante o indolore, spesso accompagnata da un cattivo sapore in bocca.
Cause comuni della fistola gengivale
- Infezione del nervo del dente (necrosi pulpare) causata da una carie profonda.
- Ascesso parodontale in pazienti con malattia parodontale avanzata.
- Trattamenti canalari incompleti o falliti.
- Fratture dentali verticali non visibili a occhio nudo.
- Corpi estranei (semi o frammenti di cibo) incastrati nel parodonto.
È pericolosa?
- Sì, la fistola gengivale è un segnale d’allarme. Non trattare l’infezione alla base può portare a complicazioni più gravi:
- Perdita del dente interessato.
- Diffusione dell’infezione all’osso mascellare.
- Possibili infezioni sistemiche nei soggetti immunodepressi (batteriemie, endocarditi).
- Anche se la fuoriuscita di pus può momentaneamente alleviare il dolore, il problema sottostante persiste e tende a peggiorare.
Diagnosi e trattamento
- Il dentista esegue una valutazione clinica e radiografica per individuare la causa primaria.
- Il trattamento può includere:
- Devitalizzazione del dente se la causa è endodontica.
- Terapia parodontale profonda nel caso di infezione parodontale.
- Antibiotici, solo se necessario, in presenza di infezione diffusa.
- Intervento chirurgico per drenaggio o rimozione del tessuto infetto nei casi più complessi.
- Dopo la guarigione dell’infezione, la fistola si chiude spontaneamente.
Come prevenirla?
- Mantenere una corretta igiene orale quotidiana.
- Sottoporsi a controlli dentistici regolari, almeno due volte l’anno.
- Trattare tempestivamente carie, gengiviti e ogni dolore o anomalia orale.
Quali Sono le Malattie delle Gengive Più Comuni?
Le malattie gengivali sono tra i disturbi orali più diffusi e possono colpire persone di tutte le età. Alcune si manifestano in modo lieve e reversibile, altre invece possono evolvere in forme gravi, compromettendo seriamente la salute dei denti e dell’intero organismo. È fondamentale saperle riconoscere, classificarle e prevenirle attraverso una corretta igiene orale e controlli regolari.
Classificazione delle malattie gengivali
Le malattie gengivali si dividono in tre grandi categorie principali:
- Malattie gengivali infiammatorie
- Le più comuni e iniziali, come la gengivite, causata da placca e tartaro.
- Sintomi: arrossamento, gonfiore, sanguinamento gengivale.
- Reversibili se trattate precocemente.
- Malattie parodontali
- Comprendono condizioni più gravi come la parodontite.
- Comportano la distruzione dei tessuti di supporto del dente (legamento parodontale e osso alveolare).
- Possono portare alla mobilità e alla perdita dei denti se non curate.
- Malattie gengivali necrotiche o infettive
- Come la gengivite ulcerativa necrotizzante (GUN).
- Si presentano con dolore acuto, ulcere, sanguinamento e alitosi marcata.
- Richiedono trattamento urgente.
Altre patologie gengivali significative
- Iperplasia gengivale: aumento anomalo del tessuto gengivale, spesso indotto da farmaci.
- Recessione gengivale: retrazione delle gengive con esposizione della radice dentale.
- Gengivostomatite erpetica: infezione virale con vescicole e ulcerazioni.
- Fistole gengivali: indicate da rigonfiamenti o fuoriuscite di pus, legate ad ascessi o granulomi.
Frequenza nella popolazione italiana
- Si stima che oltre il 60% degli adulti italiani abbia sofferto almeno una volta di un disturbo gengivale.
- La parodontite colpisce circa il 40% della popolazione adulta, con picchi tra i 45 e i 65 anni.
- La gengivite è la forma più frequente nei giovani e può progredire se trascurata.
Conclusione
Le malattie gengivali più comuni possono sembrare inizialmente innocue, ma è essenziale intervenire tempestivamente per evitare complicazioni. La prevenzione resta l’arma più efficace, unita a visite regolari dal dentista e all’adozione di uno stile di vita sano.
Domande Frequenti su Malattie Gengivali

Questa sezione raccoglie le risposte ad alcune delle domande più comuni che i pazienti pongono riguardo alle malattie gengivali. Comprendere meglio i segnali, le cure e i momenti in cui agire può fare una grande differenza nel mantenere sana la propria bocca.
Come Si Curano le Malattie Gengivali?
- La cura varia a seconda dello stadio della patologia: in fase iniziale (come nella gengivite) può bastare una pulizia professionale associata a una buona igiene orale domestica.
- Nei casi di parodontite, invece, si interviene con trattamenti più approfonditi, come:
- Levigatura radicolare (root planing): pulizia profonda sotto il margine gengivale.
- Terapie antibiotiche locali o sistemiche per combattere l’infezione.
- Chirurgia parodontale nei casi più avanzati, con eventuale innesto osseo o gengivale.
- L’obiettivo del trattamento è arrestare la progressione della malattia, rigenerare i tessuti ove possibile e prevenire ulteriori danni.
- È fondamentale l’educazione del paziente: mantenere una buona igiene orale e seguire scrupolosamente le indicazioni post-trattamento.
Quando Preoccuparsi per le Gengive Infiammate?
- L’infiammazione occasionale delle gengive può essere normale, ma quando:
- Persiste per più di una settimana.
- È accompagnata da sanguinamento frequente, dolore, alitosi, gengive che si ritirano o mobilità dentale.
- In questi casi, è il momento di rivolgersi al dentista o al parodontologo.
- Un’infiammazione trascurata può trasformarsi in una malattia cronica, irreversibile e progressiva come la parodontite.
- Anche alcuni segnali meno comuni, come un cambiamento di colore (gengive troppo rosse o troppo pallide) o la formazione di pus o fistole, richiedono una visita urgente.
- Le persone con condizioni sistemiche (es. diabete, artrite reumatoide, malattie autoimmuni) dovrebbero prestare particolare attenzione ai segnali gengivali, in quanto più soggette a infiammazioni croniche.
Una gengiva sana è compatta, di colore rosa e non sanguina: qualsiasi deviazione da questa normalità è un campanello d’allarme.





