Table of Contents
ToggleCos’è il grande rialzo del seno mascellare e quando è necessario?
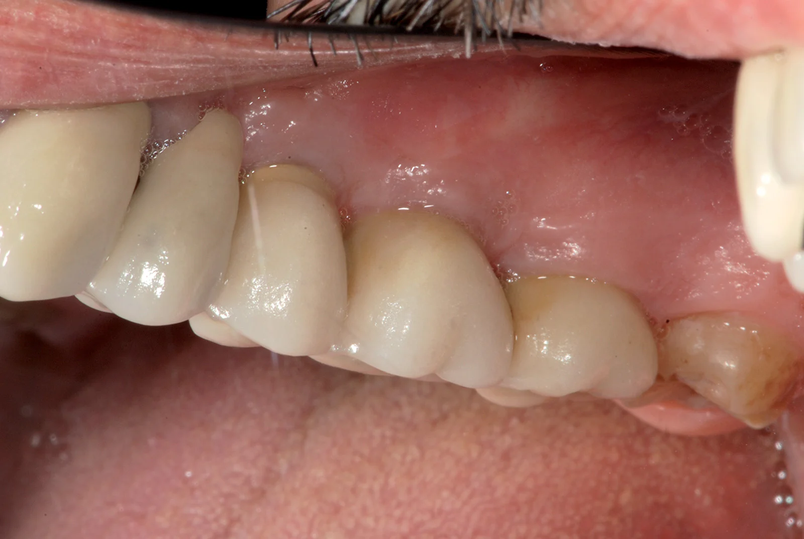
Il grande rialzo del seno mascellare, noto anche come “sinus lift laterale”, è un intervento chirurgico odontoiatrico finalizzato ad aumentare la quantità di osso disponibile nella parte posteriore della mascella superiore, in particolare nella zona dei molari e premolari.
Questa procedura si rende necessaria quando, a causa di riassorbimento osseo fisiologico o della pneumatizzazione del seno mascellare dopo l’estrazione dei denti, non è presente una quantità di osso sufficiente per l’inserimento sicuro e stabile di impianti dentali.
L’obiettivo è sollevare delicatamente la membrana del seno mascellare e riempire lo spazio creato con materiali da innesto osseo, che possono favorire la rigenerazione naturale dell’osso in quella zona.
Quando si rende indispensabile per posizionare impianti dentali
In assenza di almeno 4-5 mm di osso naturale tra la cresta ossea e il pavimento del seno mascellare, l’impianto non avrebbe sufficiente stabilità.
È una soluzione essenziale per pazienti che desiderano impianti dentali fissi ma hanno poco osso a causa di edentulia prolungata, traumi o patologie parodontali.
Il rialzo crea lo spazio per rigenerare osso e permette l’integrazione corretta delle “radici artificiali”.
Differenza tra grande rialzo e rialzo crestale (mini rialzo)
Il grande rialzo (approccio laterale) si esegue quando l’osso residuo è inferiore a 4 mm: è più invasivo ma consente una rigenerazione ampia.
Il rialzo crestale, o mini rialzo, si pratica quando c’è più osso residuo (almeno 5-6 mm): è meno invasivo e spesso si esegue durante lo stesso intervento implantare.
Entrambe le tecniche condividono l’obiettivo, ma si differenziano per accesso chirurgico, quantità di osso da rigenerare e tempistiche.
Importanza della quantità di osso disponibile prima dell’intervento
La quantità e qualità dell’osso disponibile sono fondamentali per garantire il successo dell’implantologia.
La valutazione viene effettuata tramite esami radiologici come la TAC Cone Beam (CBCT), che offre una mappa 3D precisa della struttura ossea.
In alcuni casi, si opta per tecniche alternative (impianti corti, inclinati o zigomatici) se il rialzo non è possibile per condizioni mediche.
Come si esegue il grande rialzo del seno mascellare?

Il grande rialzo del seno mascellare si esegue con una tecnica chirurgica precisa e ben collaudata, che consente di aumentare il volume osseo disponibile nella mascella superiore attraverso un accesso laterale.
L’intervento si svolge in anestesia locale, spesso con sedazione cosciente, per garantire massimo comfort al paziente durante tutta la procedura.
Lo scopo è sollevare la membrana del seno mascellare (detta membrana di Schneider) e inserire materiali da innesto osseo nello spazio creato, stimolando la formazione di nuovo osso nel tempo.
Descrizione dettagliata della tecnica con accesso laterale (finestra)
Il chirurgo pratica una piccola incisione nella gengiva nella zona posteriore della mascella.
Si accede alla parete laterale dell’osso mascellare, dove viene realizzata una “finestra” ossea per raggiungere la cavità del seno.
Dopo aver esposto la membrana sinusale, viene sollevata con delicatezza per non danneggiarla.
Nello spazio creato si inserisce il biomateriale che fungerà da base per la rigenerazione ossea.
Fasi operative dall’incisione alla sutura finale
Incisione gengivale: apertura chirurgica nella zona molare/posteriore.
Creazione della finestra ossea: apertura controllata sull’osso laterale del seno mascellare.
Sollevamento della membrana: delicato distacco della membrana per creare spazio per l’innesto.
Inserimento dell’innesto: posizionamento del materiale osseo scelto.
Chiusura della finestra: spesso con l’uso di membrane riassorbibili per proteggere l’innesto.
Sutura della gengiva: chiusura del lembo gengivale e posizionamento di punti riassorbibili.
Strumenti utilizzati come la piezochirurgia per sollevare la membrana sinusale
La piezochirurgia utilizza ultrasuoni per tagliare l’osso in modo selettivo e sicuro, senza danneggiare i tessuti molli come nervi o membrane.
Garantisce una maggiore precisione rispetto alle frese tradizionali, riducendo i rischi di perforazione della membrana.
Riduce anche il sanguinamento intra-operatorio e il gonfiore post-operatorio.
Materiali da innesto osseo più utilizzati e loro origine (autologo, sintetico, bovino, ecc.)
Autologo: prelevato dallo stesso paziente (mento, ramo mandibolare o cresta iliaca); alta compatibilità e capacità rigenerativa.
Eterologo: origine animale (es. osso bovino trattato); molto usato per la sua stabilità nel tempo.
Sintetico: biomateriali creati in laboratorio (fosfato tricalcico, idrossiapatite); sicuri, prevedibili e bioattivi.
La scelta dipende da fattori clinici, preferenze del chirurgo e indicazioni specifiche del paziente.
Quali tecniche esistono per eseguire il rialzo del seno mascellare?
Esistono diverse tecniche chirurgiche per eseguire un rialzo del seno mascellare, che vengono scelte in base alla quantità di osso disponibile, alla condizione clinica del paziente e all’esperienza dell’implantologo.
Ogni tecnica ha caratteristiche, indicazioni e tempi di guarigione diversi. Alcune permettono l’inserimento degli impianti contestualmente, altre richiedono una guarigione più lunga prima della seconda fase implantare.
Tecnica con approccio laterale: quando si utilizza
È la tecnica più usata nei casi di grave riassorbimento osseo (meno di 4 mm di osso residuo).
Viene eseguita creando una finestra laterale sull’osso mascellare per accedere al seno e sollevare la membrana.
Consente l’inserimento di una quantità maggiore di materiale da innesto, rendendola ideale per grandi deficit ossei.
Solitamente gli impianti vengono inseriti dopo 6-9 mesi, quando l’osso rigenerato ha raggiunto un buon livello di densità.
Tecnica crestale o mini rialzo: indicazioni e differenze
Si esegue quando il paziente ha almeno 5 mm di osso residuo, quindi un volume osseo sufficiente per garantire stabilità primaria all’impianto.
Consiste nel creare un piccolo foro attraverso la cresta ossea (dove si inserirà poi l’impianto) e nel sollevare la membrana da lì.
Meno invasiva rispetto alla tecnica laterale, ha un decorso post-operatorio più rapido.
Gli impianti vengono spesso inseriti nella stessa seduta.
Tecnica dell’ossodistrazione: spiegazione e quando viene scelta
Tecnica alternativa che prevede l’uso di dispositivi meccanici per espandere progressivamente l’osso.
Usata raramente, è indicata in pazienti giovani o in casi molto specifici di atrofia mascellare.
Permette una rigenerazione ossea graduale senza la necessità di inserire materiali da innesto.
Richiede però tempi lunghi di trattamento e un attento monitoraggio clinico.
Quali sono i benefici del grande rialzo del seno mascellare?
Il grande rialzo del seno mascellare rappresenta una delle soluzioni più efficaci per permettere l’inserimento di impianti dentali nella mascella superiore in presenza di grave perdita ossea.
I vantaggi riguardano sia l’estetica che la funzionalità masticatoria, migliorando la qualità della vita dei pazienti in modo significativo.
È una tecnica ben documentata e con un alto tasso di successo clinico se eseguita da specialisti qualificati.
Possibilità di posizionare impianti stabili in zone con poco osso
L’obiettivo principale dell’intervento è aumentare il volume osseo per permettere l’ancoraggio sicuro degli impianti.
Questo è particolarmente utile nei casi in cui gli impianti sarebbero altrimenti impossibili da inserire, evitando così protesi mobili.
Miglioramento dell’estetica del sorriso grazie al supporto osseo rigenerato
Una corretta rigenerazione ossea consente una migliore collocazione degli impianti, che si traduce in corone o protesi più armoniose con l’estetica del viso.
Il sorriso appare più naturale e simmetrico, con benefici anche in termini di autostima.
Recupero della funzionalità masticatoria in modo duraturo
Gli impianti supportati da osso rigenerato offrono un’eccellente stabilità funzionale.
Permettono di masticare normalmente e con forza, senza le limitazioni delle protesi mobili tradizionali.
Aumento della qualità della vita evitando protesi mobili
I pazienti non devono più preoccuparsi di protesi che si muovono o creano disagio.
Il risultato è una maggiore sicurezza nel parlare, mangiare e socializzare, con un netto miglioramento della vita quotidiana.
Quali sono i rischi e le controindicazioni del grande rialzo del seno mascellare?

Come ogni intervento chirurgico, anche il grande rialzo del seno mascellare comporta una serie di rischi, seppur ridotti se l’intervento è eseguito da specialisti esperti.
È fondamentale valutare attentamente la condizione clinica del paziente prima dell’intervento per evitare complicanze e scegliere la tecnica più adatta.
Rischi più comuni: infezioni, perforazione della membrana, emorragia
L’infezione è uno dei rischi più comuni ma prevenibile con una corretta igiene orale e l’uso di antibiotici prescritti.
La perforazione della membrana di Schneider può avvenire durante la procedura, ma può essere riparata se riconosciuta tempestivamente.
Emorragie contenute sono normali ma vanno gestite con competenza durante e dopo l’intervento.
Rischi post-operatori: gonfiore, dolore, ematomi
Dopo l’intervento, è frequente la comparsa di gonfiore nella zona operata, spesso accompagnata da ematomi e fastidi temporanei.
Il dolore può essere tenuto sotto controllo con antidolorifici specifici prescritti dal medico.
Il decorso post-operatorio può variare da paziente a paziente ma nella maggior parte dei casi è ben tollerato.
Controindicazioni mediche: sinusite cronica, patologie respiratorie, diabete scompensato, ecc.
Pazienti affetti da patologie sistemiche non controllate, come diabete scompensato o malattie autoimmuni, potrebbero non essere candidati idonei.
Anche condizioni locali come sinusiti croniche, poliposi o presenza di cisti richiedono una valutazione approfondita.
In alcuni casi è necessario consultare uno specialista ORL prima di procedere con il rialzo.
È doloroso il rialzo del seno mascellare?
Molti pazienti si chiedono se l’intervento sia doloroso: in realtà, grazie all’anestesia locale e alle tecniche moderne, il dolore durante la procedura è nullo o minimo.
La sedazione cosciente con protossido d’azoto viene spesso utilizzata per garantire il massimo comfort durante l’intervento.
Il disagio più significativo si manifesta nelle ore o nei giorni successivi all’intervento, ma può essere facilmente gestito con farmaci analgesici prescritti.
Quanto dura il dolore dopo il rialzo del seno mascellare?
Il dolore post-operatorio solitamente dura dai 2 ai 5 giorni, con picchi lievi nelle prime 48 ore.
È normale percepire fastidi come pressione nella zona degli zigomi, lieve mal di testa e sensazione di tensione al viso.
Se il dolore dovesse intensificarsi dopo il terzo giorno o essere accompagnato da febbre, è consigliato contattare il chirurgo per escludere infezioni.
L’uso di impacchi freddi esterni, una posizione elevata della testa durante il riposo e un’alimentazione leggera aiutano ad accelerare il recupero.
Quali sono le indicazioni post-operatorie da seguire?
Dopo un intervento di grande rialzo del seno mascellare, è essenziale seguire attentamente alcune regole per evitare complicanze e favorire una buona guarigione.
Vanno assolutamente evitati tutti quei comportamenti che possono creare pressione nei seni mascellari o interferire con il coagulo osseo.
L’igiene orale, l’alimentazione e la corretta assunzione della terapia farmacologica giocano un ruolo cruciale nei giorni successivi all’intervento.
Cosa non fare dopo un rialzo del seno mascellare?
Non soffiare il naso per almeno 10-15 giorni, per evitare la rottura della membrana sinusale sollevata.
Evitare attività che comportano sforzi fisici intensi, immersioni subacquee o voli in aereo nei primi 15-20 giorni.
Non utilizzare cannucce, evitare di starnutire con la bocca chiusa e non fumare: tutte queste azioni possono compromettere la guarigione.
Cosa mangiare dopo un grande rialzo del seno mascellare?
Nei primi giorni è consigliata un’alimentazione morbida, fredda o a temperatura ambiente: yogurt, frullati, vellutate, purè.
Evitare cibi caldi, duri, croccanti o appiccicosi che possono creare pressione o irritare la zona operata.
Favorire alimenti ricchi di proteine e vitamine (uova, pesce, legumi, frutta morbida) per stimolare la rigenerazione dei tessuti.
Bere molta acqua e assumere i pasti in modo lento e controllato, evitando il lato operato se possibile.
Quanto tempo ci vuole per inserire gli impianti dopo il rialzo?
Una delle domande più frequenti riguarda quando sarà possibile posizionare gli impianti dentali dopo il rialzo del seno mascellare.
Il tempo di attesa dipende da diversi fattori, tra cui la tecnica chirurgica utilizzata, la quantità di osso residuo prima dell’intervento e il tipo di materiale da innesto impiegato.
Il processo di rigenerazione ossea richiede pazienza per garantire stabilità e successo a lungo termine degli impianti.
Tempi medi di guarigione e rigenerazione ossea
In media, il tempo necessario per la rigenerazione ossea dopo un grande rialzo del seno mascellare varia da 6 a 9 mesi.
In alcuni casi, se il materiale innestato e la risposta dell’organismo sono ottimali, è possibile procedere già dopo 4-5 mesi.
La completa osteointegrazione è fondamentale per garantire una base solida all’impianto.
Inserimento immediato vs. posticipato degli impianti
In casi selezionati, con almeno 2-4 mm di osso residuo, è possibile procedere con il posizionamento degli impianti nella stessa seduta chirurgica del rialzo.
Tuttavia, questa opzione è riservata a pazienti con condizioni ossee e generali favorevoli.
Nella maggior parte dei casi, si preferisce l’inserimento posticipato, per ridurre il rischio di fallimento implantare.
Fattori che influenzano la scelta: quantità di osso residuo, tecnica chirurgica
Una valutazione radiografica tramite TAC Cone Beam consente di analizzare la quantità e la qualità dell’osso disponibile.
La tecnica utilizzata (laterale o crestale) può influenzare i tempi di attesa.
Anche la risposta biologica del paziente, l’età, le abitudini come il fumo e la presenza di patologie sistemiche possono modificare i tempi di guarigione.
Quali sono le alternative al grande rialzo del seno mascellare?
In alcuni casi, il grande rialzo del seno mascellare non è l’unica opzione per posizionare impianti dentali nella mascella superiore posteriore.
Esistono soluzioni chirurgiche alternative che permettono di evitare la rigenerazione ossea avanzata, riducendo i tempi, i costi e l’invasività dell’intervento.
La scelta della tecnica più adatta dipende da fattori clinici come lo spessore e l’altezza dell’osso disponibile, ma anche dallo stato di salute generale del paziente.
Impianti corti e inclinati: vantaggi e limiti
Gli impianti dentali corti (inferiori a 8 mm) sono una valida alternativa in presenza di osso limitato, senza necessità di innesti.
Gli impianti inclinati permettono di sfruttare l’osso disponibile in zone anteriori evitando le aree più critiche vicino al seno mascellare.
Queste soluzioni riducono la necessità di chirurgia rigenerativa ma possono presentare limiti biomeccanici in pazienti con forte forza masticatoria o bruxismo.
Impianti pterigoidei e zigomatici come opzioni in casi estremi
Gli impianti pterigoidei si ancorano all’osso pterigoideo, situato dietro il seno mascellare: sono indicati in casi di atrofia severa.
Gli impianti zigomatici si inseriscono nell’osso zigomatico (osso dello zigomo) e sono riservati a casi complessi in cui non vi è osso mascellare residuo sufficiente.
Sono tecniche avanzate che richiedono chirurghi altamente specializzati e una pianificazione computer-guidata.
Quando evitare il rialzo e optare per protocolli alternativi
Si può evitare il rialzo in pazienti con patologie sistemiche che aumentano i rischi chirurgici (diabete scompensato, patologie sinusali croniche).
Anche in pazienti ansiosi o con scarsa disponibilità a seguire un lungo percorso di cura, è preferibile considerare opzioni più rapide e meno invasive.
L’uso di carico immediato con impianti inclinati può permettere una riabilitazione estetica e funzionale in tempi molto ridotti.
Quanto costa un intervento di grande rialzo del seno mascellare?
Il costo di un grande rialzo del seno mascellare può variare notevolmente in base a diversi fattori, tra cui il tipo di tecnica utilizzata, il materiale da innesto impiegato, la complessità del caso e la località della clinica.
È importante chiarire che spesso il preventivo non include solo l’intervento chirurgico, ma anche visite pre-operatorie, radiografie, anestesia, follow-up e l’eventuale inserimento di impianti successivo.
Fasce di prezzo medie in Italia e all’estero
In Italia, il costo di un grande rialzo del seno mascellare può oscillare tra i 1.500€ e i 3.000€ per arcata, escluse eventuali protesi e impianti.
In paesi come l’Albania, la Croazia o la Turchia, lo stesso intervento può costare anche dal 30% al 50% in meno, mantenendo comunque standard elevati di qualità, sterilità e tecnologie.
I costi variano anche in base alla reputazione del chirurgo e alla città: le cliniche in grandi centri urbani tendono ad avere tariffe più alte.
Differenza di costi tra tecniche e materiali usati
Tecniche meno invasive come il rialzo crestale hanno generalmente un costo inferiore rispetto al grande rialzo laterale.
Il prezzo può aumentare se vengono utilizzati biomateriali di ultima generazione, come osso bovino Bio-Oss, membrane riassorbibili, PRGF (plasma ricco di fattori di crescita).
Anche la tecnologia utilizzata, come la piezochirurgia, può influenzare il prezzo dell’intervento.
Cosa include il preventivo: visita, chirurgia, follow-up
Un preventivo trasparente e completo dovrebbe includere:
Visita specialistica e diagnosi con ortopanoramica e/o TAC;
Intervento chirurgico con anestesia;
Materiale da innesto osseo;
Eventuali medicazioni e farmaci post-operatori;
Controlli di follow-up e sutura;
In alcuni casi, l’inserimento immediato degli impianti.
Dove effettuare il grande rialzo del seno mascellare?
La scelta della clinica dove sottoporsi all’intervento di grande rialzo del seno mascellare è fondamentale per il successo del trattamento.
È essenziale affidarsi a strutture odontoiatriche che utilizzano tecnologie moderne, dispongano di team specializzati e offrano protocolli chiari di assistenza pre e post-operatoria.
Criteri per scegliere la clinica o il chirurgo
Verifica l’esperienza del chirurgo in chirurgia orale avanzata e implantologia.
Controlla se il centro è attrezzato con tecnologia diagnostica all’avanguardia (TAC 3D, piezochirurgia).
Leggi recensioni verificate e testimonianze di altri pazienti.
Assicurati che la clinica rilasci un preventivo scritto e dettagliato.
Valuta la possibilità di ricevere una seconda opinione prima di confermare l’intervento.
Importanza dell’esperienza e dell’uso di tecnologie moderne
Chirurghi esperti riescono a minimizzare i rischi intra-operatori come la perforazione della membrana sinusale.
L’utilizzo di tecniche come la piezochirurgia o l’impiego di PRGF permette una guarigione più rapida e meno complicazioni.
L’approccio digitale (simulazioni, pianificazione 3D) consente una maggiore precisione nell’innesto e nel successivo posizionamento degli impianti.
Copertura assicurativa e convenzioni odontoiatriche
Alcune polizze sanitarie integrative coprono in parte o totalmente il costo del grande rialzo del seno mascellare, soprattutto se previsto da un piano implantologico approvato.
Verifica se la clinica è convenzionata con il tuo fondo sanitario (es. Previmedical, Unisalute, FASI).
Le cliniche che offrono rimborso diretto solitamente gestiscono anche tutta la burocrazia, evitando anticipi da parte del paziente.
Chi esegue il rialzo del seno mascellare?
L’intervento deve essere eseguito da un chirurgo orale o un implantologo con specializzazione accademica e comprovata esperienza.
È consigliabile che il professionista sia iscritto a società scientifiche riconosciute (es. SICOI, SIO, SIDP) e abbia partecipato a corsi di aggiornamento sulle tecniche di rigenerazione ossea.
Domande frequenti su Grande Rialzo del Seno Mascellare

Quanto costa un grande rialzo del seno mascellare?
- Costo medio in Italia: In media, il prezzo di un intervento di grande rialzo del seno mascellare può variare tra i 1.200€ e i 3.000€ per lato, a seconda della complessità del caso, della tecnica utilizzata e della città in cui si trova la clinica.
- Fattori che influenzano il costo:
- Tipo di materiale da innesto osseo (autologo, sintetico, eterologo).
- Utilizzo di tecnologie avanzate come la piezochirurgia o il PRF/PRGF.
- Esperienza del chirurgo e reputazione della struttura.
- Eventuale utilizzo di sedazione cosciente o anestesia avanzata.
- Cosa include il preventivo:
- Visita diagnostica iniziale e analisi radiologiche (CBCT, ortopanoramica).
- L’intervento chirurgico completo, con materiali e strumenti inclusi.
- Medicazioni, follow-up post-operatori e controlli.
- In alcuni casi, è incluso anche il successivo inserimento degli impianti o viene offerto in pacchetto scontato.
- Differenze di prezzo in Italia e all’estero:
- In paesi come la Croazia, l’Albania o la Turchia, i costi per lo stesso intervento possono essere del 30–50% inferiori rispetto all’Italia, mantenendo standard elevati.
- Tuttavia, è fondamentale valutare attentamente la qualità dei materiali, la trasparenza delle cliniche, e le recensioni dei pazienti prima di scegliere una soluzione di turismo dentale.
- Copertura assicurativa e convenzioni:
- In Italia il rialzo del seno mascellare è spesso considerato un trattamento estetico o funzionale non coperto dal SSN.
- Tuttavia, molte cliniche private offrono convenzioni con fondi sanitari integrativi, assicurazioni dentistiche e possibilità di pagamenti rateali senza interessi.
Quanto dura il dolore dopo un rialzo del seno mascellare?
- Durata media del dolore post-operatorio: Il dolore successivo a un intervento di grande rialzo del seno mascellare è generalmente moderato e può durare dai 2 ai 5 giorni. Nei casi più sensibili o complessi, può prolungarsi fino a una settimana, ma tende a diminuire gradualmente.
- Come si manifesta:
- Sensazione di pressione o pesantezza nella zona delle guance e sotto gli occhi.
- Dolore pulsante nella zona dell’intervento, spesso controllabile con i farmaci prescritti.
- Possibile gonfiore, talvolta accompagnato da ematomi o lividi.
- Gestione del dolore:
- Utilizzo di antidolorifici come ibuprofene, diclofenac o paracetamolo secondo prescrizione medica.
- Applicazione di ghiaccio a intervalli nelle prime 24–48 ore per ridurre gonfiore e disagio.
- Evitare movimenti bruschi, starnuti forzati o sforzi fisici che possono aumentare il dolore.
- Quando contattare il dentista:
- Se il dolore non si riduce dopo 5–7 giorni.
- Se compare febbre, gonfiore eccessivo o sanguinamento persistente.
- In presenza di sensazioni di intorpidimento prolungato o alterazioni della sensibilità.
- Consigli per un recupero più rapido:
- Seguire alla lettera le istruzioni post-operatorie.
- Evitare cibi duri o caldi nei primi giorni.
- Dormire con la testa sollevata per minimizzare il gonfiore.
Il dolore, sebbene presente, è transitorio e ben gestibile con le giuste precauzioni e farmaci. È sempre consigliabile seguire attentamente il piano terapeutico indicato dal proprio chirurgo orale.





