Table of Contents
ToggleCosa sono le faccette in composito e perché si usano?

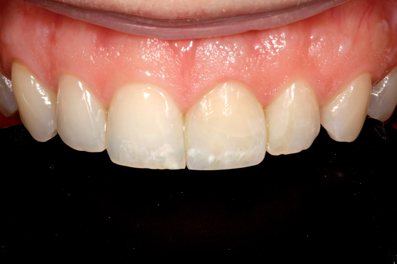
Le faccette in composito sono sottili strati di materiale composito applicati direttamente sulla superficie esterna dei denti anteriori, con l’obiettivo di migliorarne l’estetica. Si tratta di una soluzione di odontoiatria estetica sempre più popolare perché consente di ottenere risultati rapidi, naturali ed economicamente accessibili rispetto ad altre tecniche protesiche.
Queste faccette vengono modellate direttamente in bocca dal dentista (tecnica diretta) e, una volta applicate, permettono di correggere difetti visivi come denti scheggiati, disallineati, macchiati o leggermente storti. Rispetto ad altri interventi estetici più invasivi, le faccette in composito hanno il vantaggio di essere reversibili, ovvero possono essere rimosse o ritoccate con facilità nel tempo.
Oltre a essere rapide da applicare — spesso in un’unica seduta — offrono una buona resa estetica, pur richiedendo una manutenzione costante per mantenere nel tempo un sorriso impeccabile.
Cos’è il composito per i denti?
Il composito dentale è una resina sintetica arricchita con particelle ceramiche che garantisce resistenza meccanica, estetica e adesione alla superficie del dente. Questo materiale è stato sviluppato appositamente per mimare il colore naturale dei denti e adattarsi perfettamente alle varie tonalità dello smalto.
Il composito è disponibile in diverse opacità e traslucenze, il che permette al dentista di stratificare il materiale per creare effetti estetici molto naturali.
Si polimerizza con luce LED, diventando duro e resistente una volta modellato.
È usato anche in altre procedure conservative come le otturazioni estetiche.
Cosa sono le faccette dentali dirette in composito?
Le faccette dirette in composito vengono realizzate manualmente dal dentista direttamente sulla superficie del dente, senza bisogno di laboratorio odontotecnico.
Non richiedono una limatura significativa del dente.
Sono ideali per ritocchi estetici rapidi e modifiche leggere della forma o colore del sorriso.
Vengono spesso utilizzate anche per chiudere diastemi (spazi tra i denti) o ricostruire piccoli frammenti mancanti.
A differenza delle faccette in ceramica, che necessitano di un’impronta e una lavorazione tecnica in laboratorio, le faccette dirette offrono il vantaggio della velocità, reversibilità e basso costo.
Come vengono applicate le faccette in composito? Procedura passo dopo passo
L’applicazione delle faccette in composito segue una procedura altamente personalizzata che può avvenire anche in una singola seduta, soprattutto se si tratta di faccette dirette. Questo approccio rende il trattamento accessibile e pratico per molti pazienti, evitando tempi lunghi di attesa o l’invio in laboratorio.
Panoramica del processo di applicazione, dalla visita iniziale alla realizzazione
Si parte con una prima visita di valutazione estetica, durante la quale il dentista analizza il sorriso del paziente, la forma dei denti e le esigenze funzionali ed estetiche.
Vengono scattate fotografie e, in alcuni casi, viene eseguito un mock-up digitale o fisico, utile per mostrare al paziente l’anteprima del risultato.
Il giorno della procedura, i denti vengono puliti e levigati per garantire un’adesione ottimale del composito.
In molti casi non è necessaria la limatura dei denti, soprattutto se il trattamento è conservativo.
Indicazioni su come viene preparato il dente
Dopo la pulizia, si effettua una mordenzatura con acido ortofosforico, che rende la superficie dentale ruvida per favorire l’adesione.
Si applica quindi un adesivo dentale e successivamente si stratifica il composito, modellandolo direttamente sul dente con strumenti sottili e pennellature.
Ogni strato viene indurito con una lampada a polimerizzazione LED.
Tempi e strumenti coinvolti nella procedura
La durata dell’intervento varia dai 30 ai 60 minuti per dente, in base alla complessità del caso.
Gli strumenti utilizzati includono: spatoline, strumenti da modellazione in silicone, frese diamantate per rifinitura e lucidi a disco o gommini per la rifinitura finale.
Come funzionano le faccette in composito?
Le faccette in composito funzionano aderendo direttamente allo smalto del dente, creando una nuova superficie estetica che migliora forma e colore.
Il composito stratificato consente di personalizzare la traslucenza e la tonalità cromatica per ogni paziente.
Offrono un’adesione chimica sicura che, se ben mantenuta, può durare anni.
Come sono le faccette in composito a livello estetico?
Le faccette in composito possono riprodurre fedelmente l’aspetto naturale del dente, con variazioni di colore, texture e forma.
L’effetto visivo è molto naturale grazie alla traslucenza modulabile del materiale.
È possibile creare sorrisi molto realistici anche in pazienti con esigenze estetiche elevate.
Risultano ideali per armonizzare la forma dei denti anteriori, chiudere spazi o correggere disallineamenti minimi.
Quanto durano le faccette in composito?
Uno dei dubbi più frequenti dei pazienti riguarda la durata delle faccette in composito: quanto tempo restano belle, stabili e funzionali? La risposta dipende da diversi fattori, ma in media possiamo affermare che una faccetta in composito ben realizzata e ben mantenuta può durare dai 5 ai 7 anni, con possibilità di arrivare anche a 10 anni in condizioni ottimali.
Le faccette in composito hanno una durata inferiore rispetto a quelle in ceramica, ma il vantaggio è che sono più facili da ritoccare o sostituire senza necessità di interventi invasivi. Inoltre, il composito può essere aggiustato e lucidato direttamente in studio dal dentista.
Differenze in durata rispetto ad altri materiali
Le faccette in ceramica possono durare anche 15 anni o più, ma hanno costi più alti e richiedono limature più invasive.
Il composito, pur essendo meno durevole, è più economico, riparabile e reversibile.
I pazienti devono valutare se preferiscono un risultato immediato a basso costo (composito) o una soluzione più stabile a lungo termine (ceramica).
Fattori che influenzano la longevità
Igiene orale: spazzolamento corretto e uso del filo interdentale aiutano a mantenere le faccette in ottimo stato.
Alimentazione: evitare cibi duri o pigmentati (caffè, tè, vino rosso) riduce il rischio di usura e macchie.
Bruxismo: chi digrigna i denti può usurare o fratturare il composito più facilmente.
Controlli periodici: visite regolari dal dentista permettono di lucidare le faccette e intervenire tempestivamente in caso di microfratture.
Cosa succede alle faccette dopo 10 anni?
Dopo un decennio, è possibile che le faccette perdano brillantezza o presentino micro-usure.
In alcuni casi, possono staccarsi parzialmente o fratturarsi, specialmente in pazienti bruxisti o con abitudini scorrette (mordere penne, unghie, ecc.).
È possibile intervenire con ritocchi localizzati, oppure rimuovere la vecchia faccetta e applicarne una nuova.
Le faccette dentali in composito si macchiano col tempo?
- Sì, il composito è più poroso della ceramica e quindi più soggetto a macchiarsi.
- I pigmenti presenti in alimenti e bevande possono penetrare nel materiale, soprattutto se non viene lucidato regolarmente.
- Per evitare l’ingiallimento, è consigliato:
- evitare fumo e bevande pigmentate,
- eseguire lucidature periodiche dal dentista,
- mantenere una corretta igiene domiciliare.
Nonostante questi limiti, con le giuste attenzioni è possibile mantenere un sorriso luminoso per diversi anni.
Quanto costano le faccette in composito in Italia?
Il costo delle faccette in composito è uno dei principali motivi per cui molti pazienti scelgono questa soluzione rispetto ad alternative più costose come le faccette in ceramica. In Italia, i prezzi possono variare sensibilmente in base a fattori geografici, alla clinica scelta, al livello di esperienza del professionista, alla qualità dei materiali utilizzati e alla complessità del caso clinico.
In generale, le faccette in composito rappresentano una soluzione estetica accessibile, soprattutto per chi desidera migliorare il sorriso in modo veloce e poco invasivo.
Fascia di prezzo media per singola faccetta
Il prezzo medio per una singola faccetta in composito varia tra i 150€ e i 400€.
Il costo può aumentare se è necessaria una modellazione estetica avanzata, come nel caso di chiusura di diastemi o ricostruzione morfologica di denti compromessi.
Alcune cliniche offrono pacchetti promozionali per chi desidera trattare più denti nella stessa seduta.
Differenze di prezzo in base a città, clinica e esperienza del dentista
Nelle grandi città italiane (come Milano, Roma o Firenze), i prezzi tendono ad essere leggermente più alti per via del costo della vita e del prestigio di alcune cliniche.
Studi dentistici con tecnologie avanzate e team specializzati in odontoiatria estetica possono proporre tariffe più elevate, ma offrono anche un servizio più personalizzato e duraturo nel tempo.
Dentisti esperti in estetica dentale spesso impiegano tecniche di stratificazione e rifinitura molto sofisticate, che giustificano un costo maggiore.
Costi aggiuntivi: visita, lucidatura, controlli
- Alla cifra per ogni faccetta si possono sommare spese accessorie, tra cui:
- Visita iniziale e piano di trattamento (50€ – 100€).
- Mock-up estetico (facoltativo ma utile per valutare il risultato estetico).
- Lucidatura periodica delle faccette ogni 6-12 mesi (30€ – 50€).
- Eventuali controlli di mantenimento o piccoli ritocchi.
Quanto costa una faccetta in composito?
Una singola faccetta può costare in media tra 150€ e 300€ in studi standard.
In strutture specializzate o centri di estetica dentale di fascia alta, il prezzo può superare i 400€ a faccetta.
Il prezzo include generalmente la modellazione manuale, la polimerizzazione e la lucidatura finale.
Quanto costa farsi le faccette ai denti?
- Per un trattamento completo dell’arcata superiore o inferiore, i costi possono andare da:
- 800€ – 1.200€ per 4 faccette.
- 1.600€ – 2.500€ per 8 faccette.
- 3.000€ – 4.500€ per 10 o 12 faccette.
- Molti studi offrono piani di pagamento rateali per rendere il trattamento più accessibile.
Il costo complessivo va sempre valutato in relazione al risultato estetico desiderato, alla qualità del lavoro e alla durata prevista del trattamento.
Faccette in composito o ceramica: quale scegliere?

Una delle domande più comuni che i pazienti si pongono è: meglio le faccette in composito o in ceramica? La risposta dipende da molteplici fattori legati alle esigenze estetiche, funzionali e al budget disponibile. Entrambe le soluzioni sono efficaci per migliorare l’aspetto del sorriso, ma presentano differenze sostanziali in termini di durata, resa estetica, costo e invasività della procedura.
Le faccette in composito sono spesso consigliate per correzioni estetiche minori, risultati immediati e situazioni in cui è importante contenere i costi. Al contrario, le faccette in ceramica sono ideali per pazienti che desiderano una soluzione più stabile e duratura, anche se più impegnativa economicamente.
Analisi comparativa tra materiali
- Composito:
- Vantaggi: costo inferiore, reversibilità, possibilità di ritocco diretto, applicazione in una seduta.
- Svantaggi: durata inferiore, possibile ingiallimento, minore resistenza nel lungo periodo.
- Ceramica (porcellana o disilicato di litio):
- Vantaggi: eccellente estetica, alta resistenza all’usura e alle macchie, durata media oltre i 10-15 anni.
- Svantaggi: costo più elevato, procedura più invasiva (limatura del dente), necessità di laboratorio odontotecnico.
Quando è preferibile il composito e quando la ceramica
- Il composito è consigliato quando:
- Il paziente ha bisogno di un trattamento estetico veloce e poco invasivo.
- I difetti dentali sono lievi (macchie, leggere irregolarità).
- Si desidera un risultato estetico accessibile ma temporaneo.
- La ceramica è più indicata quando:
- Il paziente desidera una soluzione a lungo termine.
- Sono presenti difetti estetici marcati o disallineamenti importanti.
- Si vuole ottenere un risultato ultra-naturale, con traslucenze e riflessi simili allo smalto naturale.
Qual è il materiale migliore per le faccette dentali?
Non esiste un materiale “migliore” in assoluto, ma piuttosto il materiale più adatto al singolo caso clinico.
Il composito è ottimo per giovani pazienti, ritocchi estetici, e chi ha bisogno di soluzioni reversibili.
La ceramica si adatta meglio a casi di estetica complessa, con esigenze di lunga durata e resistenza funzionale.
Il parere del dentista specialista in estetica dentale è fondamentale per una valutazione personalizzata.
In sintesi, la scelta tra faccette in composito o ceramica dovrebbe basarsi su un bilancio tra obiettivi estetici, durata desiderata, tempo disponibile e possibilità economiche.
Quali sono i vantaggi e svantaggi delle faccette in composito?
Le faccette dentali in composito sono una delle soluzioni più apprezzate in odontoiatria estetica per la loro combinazione di accessibilità economica, rapidità di applicazione e buoni risultati estetici. Tuttavia, come ogni trattamento, presentano anche alcuni limiti che è importante conoscere prima di intraprendere il percorso.
Conoscere pro e contro delle faccette in composito è fondamentale per prendere una decisione consapevole e valutare se questa opzione è in linea con le proprie esigenze e aspettative.
Vantaggi principali delle faccette in composito
Costo contenuto: rispetto alle faccette in ceramica, il composito è notevolmente più economico, rendendolo una scelta accessibile per una vasta gamma di pazienti.
Applicazione rapida: nella maggior parte dei casi, la procedura si completa in una sola seduta, senza necessità di laboratorio odontotecnico.
Reversibilità: le faccette in composito non richiedono una limatura profonda del dente, il che le rende meno invasive e potenzialmente reversibili.
Personalizzazione estetica: grazie alle tecniche di stratificazione, è possibile ottenere un effetto estetico molto naturale, anche modificando la forma o il colore del dente.
Riparabilità: eventuali piccoli danni, scheggiature o macchie possono essere ritoccati direttamente dal dentista senza dover sostituire l’intera faccetta.
Le faccette dentali rovinano i denti?
- Le faccette in composito sono minimamente invasive e, nella maggior parte dei casi, non richiedono la limatura dello smalto.
- Non danneggiano il dente naturale se applicate correttamente da un professionista qualificato.
- In caso di rimozione, il dente sottostante mantiene la sua struttura quasi intatta.
Perché si staccano le faccette dentali?
- Le principali cause di distacco includono:
- Bruxismo non trattato (digrignamento involontario dei denti).
- Cattiva igiene orale, che compromette l’adesione del materiale nel tempo.
- Errori nella fase di applicazione, come un’incollaggio imperfetto o preparazione inadeguata della superficie.
- Anche il consumo di cibi molto duri (nocciole, ghiaccio, penne mordicchiate) può provocare la frattura o il distacco delle faccette.
- È importante effettuare controlli periodici dal dentista per verificarne lo stato e procedere a eventuali ritocchi o rifiniture.
Quando non è consigliato applicare faccette in composito?

Sebbene le faccette in composito rappresentino una soluzione efficace e poco invasiva per migliorare l’estetica del sorriso, non sono adatte a tutti i pazienti. Esistono situazioni cliniche e comportamentali in cui questo tipo di trattamento non è consigliabile o presenta dei limiti significativi.
Individuare le controindicazioni è fondamentale per garantire il successo a lungo termine della terapia e per evitare insoddisfazioni estetiche o funzionali. In alcuni casi, è preferibile optare per soluzioni alternative, come le faccette in ceramica o trattamenti ortodontici.
Casi di malocclusione, bruxismo o usura dentale importante
I pazienti che digrignano i denti (bruxismo) rischiano di scheggiare o staccare le faccette in composito nel tempo.
In presenza di malocclusioni gravi, le forze esercitate sui denti possono compromettere l’integrità delle faccette.
In questi casi, è opportuno considerare un trattamento ortodontico preliminare o l’uso di faccette in ceramica, più resistenti a carichi masticatori elevati.
L’uso di bite notturni può essere raccomandato per proteggere le faccette nei pazienti bruxisti lievi.
Scarsa igiene orale o patologie parodontali attive
I pazienti che non mantengono una corretta igiene orale rischiano accumuli di placca e infiammazioni gengivali attorno alle faccette.
In presenza di malattia parodontale non trattata, l’applicazione di faccette può aggravare la condizione e compromettere la salute dei denti.
In questi casi, è prioritario eseguire una riabilitazione parodontale completa prima di valutare un trattamento estetico.
Pazienti non collaborativi o con aspettative irrealistiche
I pazienti che non rispettano le indicazioni post-trattamento o non si presentano ai controlli periodici non sono buoni candidati per le faccette in composito.
Allo stesso modo, chi si aspetta un risultato “perfetto e permanente” senza comprendere i limiti del materiale potrebbe rimanere deluso.
È compito del dentista informare in modo chiaro e trasparente sulle aspettative realistiche e sulla necessità di manutenzione nel tempo.
In sintesi, le faccette in composito sono sconsigliate in presenza di:
Bruxismo severo non trattato.
Gravi malocclusioni o usura dentale avanzata.
Patologie gengivali o carie attive.
Scarsa motivazione all’igiene orale.
Pazienti con richieste estetiche irragionevoli o non compatibili con il composito.
Per ottenere il massimo beneficio estetico e funzionale, è fondamentale una selezione accurata del paziente e una valutazione clinica completa da parte di un dentista esperto.
Cosa sapere prima di scegliere le faccette in composito?
Optare per le faccette in composito è una decisione che va ponderata con attenzione. Prima di iniziare il trattamento, è importante essere ben informati su cosa comporta la procedura, come mantenere il risultato nel tempo e quali sono le aspettative realistiche. Una scelta consapevole riduce il rischio di delusioni e garantisce una maggiore soddisfazione estetica e funzionale.
Aspettative realistiche
Le faccette in composito migliorano l’aspetto dei denti, ma non sono una soluzione miracolosa. Non correggono problemi ortodontici complessi o gravi alterazioni funzionali.
Offrono un ottimo risultato estetico per difetti minori, come denti macchiati, leggermente disallineati, consumati o con diastemi.
È fondamentale comprendere che si tratta di una soluzione parzialmente temporanea, che richiede ritocchi nel tempo.
Il paziente deve accettare che nel tempo possono verificarsi alterazioni di colore o piccole fratture, gestibili però con interventi minimi.
Manutenzione a lungo termine
- La durabilità delle faccette in composito dipende in gran parte da come vengono curate.
- È indispensabile adottare una rigorosa igiene orale quotidiana:
- Spazzolamento due volte al giorno con spazzolino morbido.
- Uso regolare del filo interdentale o scovolini.
- Evitare dentifrici troppo abrasivi.
- Sono consigliate visite di controllo ogni 6 mesi, durante le quali il dentista potrà:
- Controllare l’integrità delle faccette.
- Effettuare lucidature professionali.
- Intervenire con micro-ritocchi in caso di scheggiature o discromie.
Importanza delle visite di controllo regolari
- I controlli periodici permettono di:
- Prolungare la vita del composito mantenendolo lucido e resistente.
- Prevenire distacchi o infiltrazioni batteriche.
- Valutare eventuali cambiamenti occlusali o posturali che potrebbero compromettere il trattamento.
- Un monitoraggio costante consente anche di pianificare per tempo una sostituzione programmata delle faccette quando necessaria, evitando urgenze o danni maggiori.
In definitiva, prima di scegliere le faccette in composito è fondamentale:
Valutare obiettivamente le proprie esigenze estetiche.
Comprendere la natura non definitiva del trattamento.
Impegnarsi a rispettare le buone pratiche di manutenzione.
Affidarsi a un dentista esperto in odontoiatria estetica che possa consigliare il piano più adatto al caso specifico.
Domande frequenti su Faccette in Composito

Quanto costano le faccette in composito?
Il costo delle faccette in composito è uno degli aspetti che maggiormente interessa chi desidera migliorare il proprio sorriso in modo rapido ed efficace. Rispetto ad altre soluzioni più complesse e costose come le faccette in ceramica, il composito si distingue per essere più accessibile e meno invasivo, pur garantendo risultati estetici molto soddisfacenti.
In Italia, il prezzo di una faccetta in composito può variare in base a numerosi fattori, tra cui:
la zona geografica in cui si trova la clinica,
il livello di specializzazione del dentista,
la complessità del trattamento richiesto,
la qualità dei materiali utilizzati,
il numero totale di faccette da applicare.
Fascia di prezzo media
Generalmente, una singola faccetta in composito ha un costo che si aggira tra i 150€ e i 400€. Questa fascia dipende soprattutto dal tipo di tecnica utilizzata (applicazione diretta o indiretta), dal grado di personalizzazione estetica (stratificazione, colorazione, traslucenza) e dalla durata dell’intervento.
Per esempio:
Un’applicazione semplice e rapida, su un dente leggermente macchiato o scheggiato, può costare attorno ai 150€ – 200€.
Un trattamento più avanzato, per modificare forma e proporzioni di un dente in modo dettagliato, può arrivare ai 300€ – 400€.
Pacchetti multipli e promozioni
Molti studi dentistici offrono pacchetti scontati per chi desidera trattare più denti contemporaneamente. In media:
4 faccette in composito: 600€ – 1.000€
8 faccette in composito: 1.200€ – 2.000€
10/12 faccette (arcata completa): da 2.000€ fino a 3.500€
Spesso vengono proposte promozioni periodiche o soluzioni di pagamento rateale, per rendere l’investimento più accessibile al paziente.
Costi aggiuntivi da considerare
Prima visita e diagnosi estetica: da 50€ a 100€
Lucidatura professionale periodica: circa 30€ – 50€ ogni 6-12 mesi
Ritocchi o riparazioni: variabili in base al danno (da 50€ a 150€)
Conclusione
Sebbene il prezzo delle faccette in composito sia decisamente più contenuto rispetto alla ceramica, è fondamentale valutare la qualità del lavoro, l’esperienza del professionista e i servizi inclusi nel trattamento. Un costo leggermente più elevato può tradursi in un risultato estetico superiore e più duraturo.
Quanto durano le faccette in composito?
La durata delle faccette in composito è uno degli elementi principali che influiscono sulla decisione del paziente. Questo tipo di trattamento estetico è molto apprezzato per la sua semplicità e per l’impatto visivo immediato, ma è importante capire anche quanto può effettivamente durare e quali fattori ne influenzano la longevità.
In media, una faccetta in composito ben realizzata ha una durata che si aggira tra i 5 e i 7 anni. Tuttavia, con una buona manutenzione e una corretta igiene orale, può durare anche fino a 10 anni. È importante ricordare che si tratta di un materiale più delicato rispetto alla ceramica, quindi più soggetto a usura, macchie e microfratture nel tempo.
Fattori che influenzano la durata
- Igiene orale quotidiana
- Spazzolare i denti almeno due volte al giorno con uno spazzolino a setole morbide.
- Usare il filo interdentale e/o scovolini per evitare accumuli di placca.
- Evitare dentifrici abrasivi che possono opacizzare la superficie del composito.
- Stile di vita e abitudini alimentari
- Il consumo eccessivo di bevande pigmentate (caffè, tè, vino rosso) può macchiare le faccette.
- Il fumo di sigaretta incide negativamente sulla brillantezza e sul colore.
- Evitare di mordere oggetti duri come penne o unghie.
- Bruxismo o digrignamento dei denti
- I pazienti con bruxismo hanno un rischio più alto di frattura o distacco delle faccette. In questi casi, è consigliato l’utilizzo di un bite notturno.
- Controlli periodici dal dentista
- Visite regolari ogni 6-12 mesi permettono di controllare lo stato delle faccette e di intervenire per lucidature o ritocchi locali.
- Anche una piccola scheggiatura può essere riparata senza dover sostituire l’intera faccetta.
Ritocchi e sostituzioni
- Le faccette in composito non devono essere considerate definitive, ma possono essere ritoccate o sostituite nel tempo senza grandi interventi.
- La possibilità di interventi localizzati è uno dei vantaggi più apprezzati di questo materiale, che consente di mantenere il sorriso sempre curato.
In sintesi, la durata delle faccette in composito dipende da cura, abitudini e materiali utilizzati. Scegliere un dentista esperto e seguire scrupolosamente le indicazioni post-trattamento sono le chiavi per mantenere il sorriso bello e sano nel tempo.





