Cos’è la recessione gengivale e quando preoccuparsi?

La recessione gengivale, conosciuta anche come ritiro gengivale o abbassamento delle gengive, è una condizione dentale progressiva in cui il tessuto gengivale si ritira, esponendo gradualmente la radice dei denti. Questo fenomeno può colpire persone di ogni età, anche chi segue con rigore l’igiene orale quotidiana. È importante riconoscerla in tempo, poiché una diagnosi precoce può evitare complicazioni gravi come la perdita dei denti.
Definizione chiara del fenomeno del ritiro gengivale
- La recessione gengivale avviene quando il bordo della gengiva che circonda i denti si ritira verso l’alto (nell’arcata superiore) o verso il basso (nell’arcata inferiore).
- Questo processo lascia scoperta la parte della radice dentale, che è più vulnerabile perché priva di smalto protettivo.
- Il recesso gengivale può essere localizzato (colpisce un solo dente) o diffuso (più elementi).
Differenze tra gengiva sana e gengiva ritirata
- Le gengive sane appaiono rosa, compatte e avvolgono i denti come un colletto.
- Le gengive ritirate, al contrario, lasciano visibile una porzione della radice dentale e possono dare l’impressione che i denti siano più lunghi.
- In casi estremi, si notano gengive scollate, pezzi di gengiva che si staccano o addirittura spazi neri tra i denti (tasche gengivali).
Implicazioni estetiche e funzionali della recessione
- Dal punto di vista estetico, i denti appaiono più grandi o irregolari, compromettendo il sorriso.
- Funzionalmente, le radici esposte aumentano la sensibilità dentale al caldo e al freddo, il rischio di carie e infezioni gengivali.
- Inoltre, la mobilità dentale può aumentare nei casi più avanzati, rendendo difficile anche la masticazione.
Quando è il momento di rivolgersi a uno specialista?
- Se noti gengive che si ritirano, dolore gengivale, alito cattivo persistente o gengive che sanguinano durante lo spazzolamento, è il momento di prenotare una visita dal dentista.
- Un controllo specialistico può individuare precocemente la presenza di una recessione gengivale lieve e stabilire un trattamento tempestivo.
- Ignorare i sintomi può portare alla formazione di tasche gengivali profonde e, nei casi più gravi, alla necessità di un intervento chirurgico come l’innesto gengivale.
Quali sono le cause della recessione gengivale?
Capire perché si ritirano le gengive è il primo passo per affrontare efficacemente il problema della recessione gengivale. Le cause possono essere molteplici e spesso si sovrappongono, aggravando la situazione se non individuate in tempo. Alcuni fattori sono legati a cattive abitudini, altri a condizioni mediche o predisposizioni genetiche.
Elenco dei principali fattori che contribuiscono al problema
- Spazzolamento aggressivo con uno spazzolino a setole dure o una tecnica errata è tra le principali cause meccaniche.
- Igiene orale inadeguata che porta all’accumulo di placca e tartaro, causando infiammazioni croniche.
- Fumo di sigaretta, che riduce l’ossigenazione dei tessuti gengivali, rallentando i processi di guarigione.
- Bruxismo (digrignamento notturno dei denti), che genera pressioni anomale sui tessuti gengivali.
- Cambiamenti ormonali nelle donne, soprattutto in gravidanza o menopausa, che possono aumentare la sensibilità gengivale.
Impatto del fumo, bruxismo e malposizionamento dentale
- Il fumo è un fattore altamente distruttivo: compromette la circolazione gengivale e favorisce la recessione gengivale.
- Il bruxismo applica una forza eccessiva sui denti e sulle gengive, provocando nel tempo ritiro gengivale e microlesioni.
- Il malposizionamento dei denti, come l’affollamento o una chiusura scorretta della bocca, può esercitare pressioni anomale sulla gengiva, contribuendo al suo abbassamento.
Perché le gengive si ritirano?
Cause meccaniche:
- Spazzolamento troppo vigoroso, uso di spazzolini a setole rigide.
- Utilizzo scorretto del filo interdentale.
Cause biologiche:
- Gengivite e parodontite causano infiammazione e distruzione del tessuto gengivale.
- Predisposizione genetica: alcune persone hanno naturalmente una gengiva più sottile e delicata.
Altri fattori:
- Dieta povera di nutrienti essenziali come vitamina C.
- Stress che compromette il sistema immunitario.
- Uso eccessivo di alcol o sostanze irritanti.
Quali sono le cause delle gengive che si staccano o si consumano?
- Traumi locali causati da protesi mobili mal adattate, piercing orali, o abitudini come mordere oggetti duri.
- Assottigliamento gengivale nel tempo, causato da fattori genetici o da una cronica infiammazione.
- Alterazioni tissutali dovute a trattamenti dentali scorretti o a carichi masticatori eccessivi.
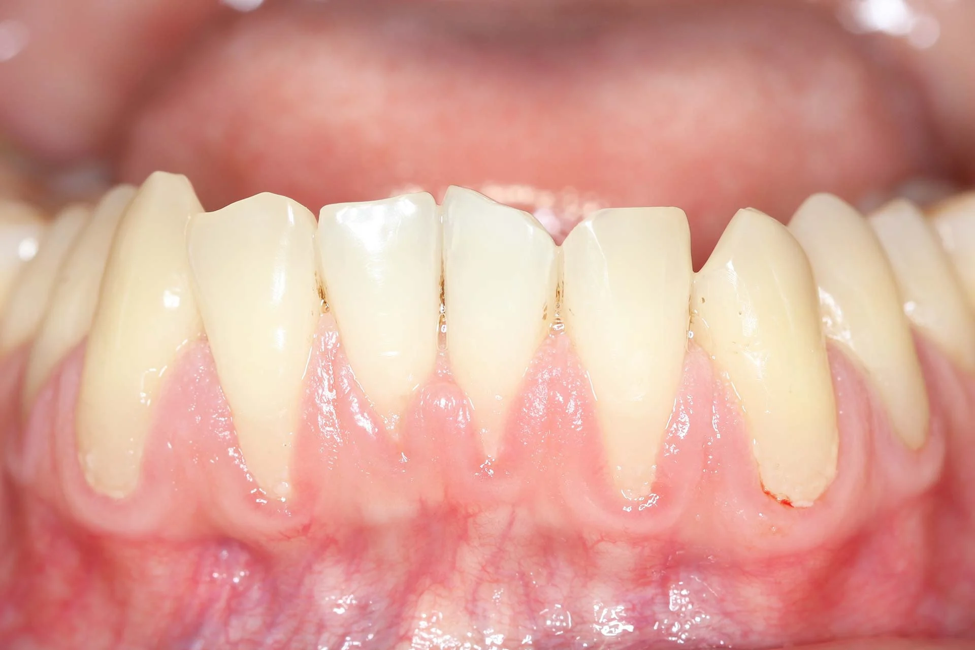
Come si riconosce la recessione gengivale?
La recessione gengivale è una condizione che può svilupparsi gradualmente, rendendo difficile per molte persone identificarla nelle fasi iniziali. Tuttavia, quando si manifestano segni evidenti, è fondamentale intervenire tempestivamente per evitare danni permanenti. Identificare la recessione gengivale prima che diventi troppo grave è essenziale per mantenere la salute orale e prevenire ulteriori complicazioni.
Segnali visibili come radici esposte o denti che appaiono più lunghi
- Radici esposte: La caratteristica principale della recessione gengivale è l’esposizione delle radici dei denti, che normalmente sono coperte dalla gengiva. Questo accade quando il tessuto gengivale si ritira, lasciando visibile la parte del dente sotto la linea gengivale. Le radici, non essendo protette dallo smalto, sono molto più sensibili agli stimoli esterni.
- Denti che appaiono più lunghi: Un altro segno visibile di recessione gengivale è la percezione di denti più lunghi rispetto al normale. Questa condizione è particolarmente visibile sui denti anteriori e sui molari. La lunghezza maggiore dei denti è causata dalla ritrazione della gengiva che lascia scoperta una parte del dente.
Sintomi fastidiosi come dolore, sanguinamento, sensibilità
- Sensibilità ai cambiamenti di temperatura: La sensibilità dentale è uno dei principali sintomi di recessione gengivale. Le radici esposte sono più suscettibili a temperature estreme, come cibi e bevande molto caldi o freddi. Questo provoca dolore acuto durante il consumo di cibi e bevande.
- Sanguinamento gengivale: Un altro sintomo comune della recessione gengivale è il sanguinamento delle gengive, che può verificarsi durante lo spazzolamento o l’uso del filo interdentale. La presenza di sangue è spesso legata a una gengivite o parodontite che accompagna la recessione gengivale.
- Gengive infiammate: Le gengive possono apparire rosse, gonfie e irritate a causa dell’infiammazione. La causa principale di questa infiammazione è la placca che si accumula e irrita i tessuti gengivali.
Cosa succede se le gengive si ritirano?
- Conseguenze a lungo termine: Se la recessione gengivale non viene trattata, può causare danni irreversibili ai denti e alle gengive. L’esposizione delle radici aumenta il rischio di carie, perché le radici sono più vulnerabili alla proliferazione dei batteri rispetto alla superficie dei denti.
- Comparsa di tasche gengivali: Un altro fenomeno legato alla recessione delle gengive è la formazione di tasche gengivali. Queste cavità si formano quando la gengiva si ritira dal dente, creando spazi tra il dente e il tessuto gengivale dove la placca e i batteri possono accumularsi, favorendo la parodontite.
- Perdita dei denti: Nei casi più gravi, la recessione gengivale può compromettere la stabilità dei denti, causando mobilità e, in casi estremi, la perdita dei denti stessi. La mancanza di supporto gengivale indebolisce la base dei denti, facilitando il loro spostamento o la caduta.
Quali sono i migliori rimedi naturali per la recessione gengivale?
Quando si parla di recessione gengivale, molti pazienti cercano soluzioni naturali per alleviare i sintomi e rallentare il processo. Sebbene non esistano rimedi naturali che possano completamente fermare la recessione gengivale una volta che è in fase avanzata, ci sono alcuni approcci che possono supportare la salute gengivale e migliorare la situazione nelle fasi iniziali. Di seguito sono elencati i rimedi naturali più comuni e utili.
Aloe Vera, oli essenziali e bicarbonato di sodio: alleati naturali per la salute gengivale
- Aloe Vera: L’aloe vera è nota per le sue proprietà lenitive e anti-infiammatorie. Può essere utilizzata come gel da applicare direttamente sulle gengive per ridurre l’infiammazione e migliorare la circolazione del sangue nelle aree colpite dalla recessione gengivale. L’aloe vera aiuta anche a ridurre il sanguinamento delle gengive e a stimolare la guarigione dei tessuti.
- Oli essenziali: Alcuni oli essenziali come l’olio di tea tree e l’olio di chiodi di garofano hanno proprietà antibatteriche che possono aiutare a ridurre la placca e prevenire l’infiammazione gengivale. Questi oli possono essere diluiti in acqua e utilizzati per sciacqui quotidiani. Tuttavia, è importante usarli con moderazione per evitare irritazioni.
- Bicarbonato di sodio: Il bicarbonato di sodio è un rimedio casalingo comune per rimuovere la placca dentale e ridurre l’infiammazione gengivale. Utilizzato con moderazione, può essere efficace nel trattamento della recessione gengivale grazie alle sue proprietà abrasivi delicati che rimuovono il tartaro senza danneggiare i tessuti gengivali.
Come posso far ricrescere le gengive naturalmente?
- Rigenerazione gengivale e limiti biologici: Sebbene non sia possibile far “ricrescere” le gengive in modo naturale una volta che sono ritirate, è possibile stimolare la rigenerazione gengivale in modo limitato. Utilizzare tecniche di igiene orale adeguata, come lo spazzolamento delicato e l’uso di collutori terapeutici, può aiutare a mantenere la salute delle gengive e prevenire l’aggravarsi della recessione gengivale. Anche massaggiare delicatamente le gengive può stimolare la circolazione sanguigna, favorendo un ambiente migliore per la salute dei tessuti.
- Migliori pratiche per rallentare il processo: Adottare abitudini quotidiane come l’uso di uno spazzolino elettrico con sensore di pressione, evitare il fumo e seguire una dieta equilibrata ricca di vitamine C ed E, può contribuire a rallentare il processo di recessione gengivale. Inoltre, evitare il bruxismo e il digrignamento dei denti, che esercitano un eccessivo stress sulle gengive, è fondamentale per prevenire danni a lungo termine.
Quali sono i rimedi della nonna per le gengive ritirate?
- Rimedi casalinghi popolari: I rimedi della nonna per le gengive ritirate includono l’utilizzo di infusi di camomilla o salvia, che hanno proprietà lenitive e antibatteriche. Questi rimedi possono essere usati come risciacqui per ridurre l’infiammazione e alleviare il dolore associato alla recessione gengivale.
- L’utilizzo di tè verde: Il tè verde è noto per le sue proprietà antiossidanti e può contribuire a ridurre l’infiammazione gengivale. L’applicazione di bustine di tè verde direttamente sulle gengive può aiutare a calmare l’irritazione e a migliorare la circolazione.
Come si cura la recessione gengivale dal dentista?

Quando la recessione gengivale è in uno stadio più avanzato, o se i rimedi naturali non sono sufficienti a risolvere il problema, è fondamentale rivolgersi a un dentista o a un parodontologo. I professionisti sono in grado di diagnosticare la gravità della condizione e proporre trattamenti più specifici ed efficaci. La cura della recessione gengivale in ambito clinico si suddivide in terapie conservative e chirurgiche, a seconda della gravità del caso.
Terapie conservative per la recessione gengivale
Le terapie conservative sono generalmente le prime soluzioni adottate, specialmente quando la recessione gengivale è in una fase iniziale. Esse comprendono trattamenti non invasivi che mirano a migliorare l’igiene orale e prevenire ulteriori danni.
- Pulizia profonda: La pulizia sottogengivale è una delle prime opzioni per rimuovere placca e tartaro accumulati sotto il margine gengivale, che contribuiscono alla recessione gengivale. Il trattamento consiste nell’utilizzo di strumenti professionali che rimuovono i depositi di placca, migliorando la salute delle gengive.
- Levigatura radicolare (root planing): Dopo la rimozione di placca e tartaro, la superficie delle radici dei denti viene levigata per eliminare eventuali irregolarità che potrebbero favorire la formazione di nuovo tartaro. Questo trattamento aiuta le gengive a riattaccarsi correttamente alla radice del dente, riducendo il rischio di ulteriori recessioni.
- Collutori terapeutici e gel gengivale: L’utilizzo di collutori antibatterici o gel terapeutici con proprietà rigeneranti può essere prescritto dal dentista per ridurre l’infiammazione e stimolare la guarigione. Questi prodotti possono essere applicati direttamente sulle gengive per migliorare il processo di rigenerazione del tessuto gengivale.
Chirurgia per la recessione gengivale
Quando la recessione gengivale è avanzata e le terapie conservative non sono sufficienti, si ricorre a interventi chirurgici. Questi trattamenti sono in grado di ripristinare la salute delle gengive e prevenire danni permanenti ai denti e all’osso sottostante.
- Innesto gengivale (graft gengivale): Questo è uno degli interventi chirurgici più comuni per trattare la recessione gengivale grave. Il dentista preleva un piccolo pezzo di tessuto gengivale dal palato o da un’altra parte della bocca e lo innesta nella zona in cui le gengive si sono ritirate. Questo aiuta a coprire la radice del dente esposta e a ripristinare la protezione naturale della gengiva.
- Chirurgia muco-gengivale: Questa tecnica prevede il riposizionamento della gengiva esistente per coprire le radici esposte, in modo da evitare ulteriori danni e migliorare l’estetica del sorriso. In alcuni casi, è possibile utilizzare un materiale biocompatibile per stimolare la rigenerazione del tessuto gengivale.
- Rigenerazione tissutale guidata: Se la recessione gengivale ha causato danni anche all’osso sottostante, il dentista può decidere di applicare un trattamento che stimola la rigenerazione dell’osso e dei tessuti gengivali attraverso l’uso di membrane speciali che favoriscono la crescita dei tessuti.
Quando è necessario un innesto gengivale?
Gli innesti gengivali sono necessari quando la recessione gengivale ha raggiunto un grado tale da compromettere la protezione delle radici dentali. Questo trattamento è utile per:
- Prevenire la sensibilità dentale causata dall’esposizione delle radici.
- Migliorare l’aspetto estetico, particolarmente nelle zone visibili dei denti.
- Ridurre il rischio di carie e infezioni nelle radici dei denti.
Il trattamento prevede un tempo di recupero che può variare a seconda dell’estensione dell’innesto, ma generalmente, la procedura è efficace e i risultati sono duraturi.
Quanto costa curare la recessione gengivale?
Il costo della cura per la recessione gengivale dipende da vari fattori, tra cui la gravità della condizione, il tipo di trattamento necessario e la clinica scelta. Mentre alcune soluzioni, come il miglioramento dell’igiene orale o i rimedi naturali, possono essere relativamente economiche, i trattamenti professionali, soprattutto quelli chirurgici, tendono a comportare costi più elevati.
Fasce di prezzo per il trattamento della recessione gengivale
Il costo dei trattamenti per la recessione gengivale può variare considerevolmente. Ecco una panoramica delle principali fasce di prezzo:
- Rimedi naturali e trattamenti non invasivi: Se la recessione gengivale è lieve e trattata precocemente con igiene orale migliorata, collutori terapeutici, e dentifrici specifici, i costi possono essere contenuti. Questi rimedi generalmente rientrano nella fascia di prezzo che va dai 20 ai 100 euro per i prodotti utilizzati. Tuttavia, l’efficacia dipende dalla costanza nell’applicazione e dalla gravità della condizione.
- Pulizia professionale e scaling: Un trattamento di pulizia sottogengivale (scaling) da un dentista, che rimuove placca e tartaro dalle aree più difficili da raggiungere, può costare tra i 100 e i 300 euro, a seconda della complessità e della durata della seduta. Se necessario, si può aggiungere una levigatura radicolare che può aumentare il costo di 50-150 euro per singola sessione.
- Trattamenti chirurgici: Se la recessione gengivale è più avanzata, i trattamenti chirurgici come l’innesto gengivale sono più costosi. Il costo di un innesto gengivale può variare da 600 a 2.000 euro per singolo dente trattato. In alcune situazioni, si potrebbero anche rendere necessari più interventi per coprire più denti, con costi che salgono ulteriormente. La chirurgia parodontale per riposizionare il tessuto gengivale o stimolare la rigenerazione tissutale può superare i 2.500-4.000 euro a seconda della procedura e della clinica.
Differenze di prezzo tra cliniche private e convenzionate
Il costo del trattamento della recessione gengivale può variare anche in base alla clinica che si sceglie. Le cliniche private tendono a avere costi più elevati rispetto alle strutture convenzionate, ma offrono generalmente tempi di attesa più brevi e servizi personalizzati. Invece, cliniche convenzionate o che operano sotto il sistema sanitario nazionale (ASL) possono offrire tariffe più basse, ma i tempi di attesa per un trattamento possono essere più lunghi.
Considerazioni sul trattamento: Quando scegliere un trattamento più costoso?
Se la recessione gengivale è trascurata o la condizione è grave, il costo di un trattamento chirurgico o un innesto gengivale potrebbe essere inevitabile. Sebbene i trattamenti chirurgici siano costosi, essi sono essenziali per prevenire danni permanenti, come la perdita dei denti o la mobilità dentale. È sempre meglio affrontare la condizione il prima possibile per evitare che la situazione peggiori, comportando trattamenti più complessi e costosi.
Come ridurre i costi del trattamento?
Ci sono alcuni modi per ridurre i costi del trattamento della recessione gengivale:
- Prevenzione: Investire in una corretta igiene orale e sottoporsi a visite regolari dal dentista può prevenire la necessità di interventi più costosi. La prevenzione è sempre il metodo più economico e sicuro.
- Piani di pagamento: Molte cliniche dentistiche offrono piani di pagamento rateizzati, che consentono di dilazionare i costi senza gravare sul bilancio familiare.
- Assicurazione sanitaria: Se si dispone di un’assicurazione sanitaria che copre i trattamenti odontoiatrici, è possibile ridurre significativamente i costi. In alcuni casi, i trattamenti chirurgici o le pulizie professionali possono essere parzialmente o totalmente coperti.
Quali prodotti aiutano a curare le gengive che si ritirano?
Quando si affronta la recessione gengivale, è essenziale adottare una cura adeguata non solo attraverso trattamenti professionali, ma anche con l’uso di prodotti specifici che possono supportare la salute delle gengive a casa. Diverse opzioni sono disponibili sul mercato, tra dentifrici, collutori e gel, che aiutano a trattare e prevenire ulteriori danni. In questa sezione, esploreremo i migliori prodotti da utilizzare per curare le gengive ritirate e migliorare la salute orale.
Dentifricio per gengive ritirate
Un dentifricio formulato per gengive ritirate è il primo passo verso il trattamento delle gengive che si ritirano. Questi dentifrici contengono ingredienti speciali che riducono la sensibilità dentale e rafforzano le gengive.
- Dentifrici con fluoro: Il fluoro aiuta a rinforzare lo smalto dei denti e a prevenire la formazione di carie sulle radici esposte. Molti dentifrici specifici per gengive sensibili contengono fluoro per proteggere le aree vulnerabili.
- Dentifrici con cloruro di stronzio: Questo ingrediente agisce sigillando i tubuli dentinali, riducendo la sensibilità. È particolarmente utile nelle situazioni di recessione gengivale, in cui le radici dei denti sono esposte e più sensibili.
- Dentifrici con aloe vera e vitamine: Aloe vera ha proprietà lenitive e rigeneranti per i tessuti gengivali, mentre vitamine come la vitamina C favoriscono la guarigione e il rafforzamento delle gengive.
Collutorio per gengive ritirate
Un collutorio terapeutico è un altro strumento utile per il trattamento delle gengive ritirate. I collutori specifici per le gengive offrono numerosi vantaggi, tra cui:
- Proprietà antibatteriche: Un collutorio antibatterico, come quelli a base di clorexidina, può aiutare a ridurre i batteri che contribuiscono alla gengivite e alla parodontite, condizioni che accelerano la recessione gengivale.
- Rimozione della placca: I collutori specifici possono aiutare a rimuovere la placca dai denti e dalle gengive, riducendo l’infiammazione e prevenendo il peggioramento della recessione gengivale.
- Miglioramento della circolazione gengivale: Collutori con ingredienti come il tea tree oil o la camomilla sono utili per migliorare la circolazione nelle gengive, favorendo la guarigione dei tessuti danneggiati.
Gel per gengive ritirate
I gel per gengive ritirate sono ideali per trattare direttamente le zone più sensibili e stimolare la guarigione delle gengive ritirate. Tra i migliori gel troviamo:
- Gel con aloe vera: L’aloe vera è un ingrediente naturale noto per le sue proprietà lenitive e rigeneranti, perfetto per trattare le gengive irritate e ridurre il dolore.
- Gel al collagene: I gel al collagene sono ideali per stimolare la rigenerazione del tessuto gengivale. Aiutano a ripristinare la struttura e l’elasticità della gengiva, migliorando il supporto ai denti.
- Gel con acido ialuronico: Questo ingrediente è efficace nel favorire la rigenerazione delle gengive danneggiate e nel mantenere la loro idratazione. Può essere applicato direttamente sulle aree esposte per migliorare la salute dei tessuti gengivali.
Utilizzo corretto di questi prodotti
Per ottenere il massimo beneficio dai prodotti per le gengive ritirate, è importante utilizzarli correttamente:
- Dentifricio: Spazzola delicatamente i denti due volte al giorno, preferendo uno spazzolino a setole morbide per non danneggiare ulteriormente le gengive.
- Collutorio: Usa il collutorio dopo il lavaggio dei denti, seguendo le indicazioni del prodotto per garantire che le gengive ricevano il massimo beneficio.
- Gel: Applica il gel direttamente sulle aree delle gengive ritirate o sensibili, massaggiando delicatamente per favorire l’assorbimento.
Quando consultare un dentista
Se nonostante l’uso di questi prodotti, la recessione gengivale persiste o peggiora, è fondamentale rivolgersi a un professionista per valutare l’eventuale necessità di trattamenti più avanzati, come l’innesto gengivale o la chirurgia parodontale.
Come prevenire la recessione gengivale?

La prevenzione della recessione gengivale è fondamentale per mantenere la salute orale a lungo termine. Quando si tratta di gengive ritirate, la chiave del successo sta nell’adottare abitudini quotidiane corrette e adottare una serie di pratiche che possano evitare l’insorgenza del problema o rallentare la sua progressione. In questa sezione, esploreremo le migliori tecniche di prevenzione per le gengive ritirate.
Tecniche corrette di spazzolamento e igiene orale
Un’igiene orale corretta è il fondamento di una buona salute gengivale. Il modo in cui ti spazzoli i denti gioca un ruolo cruciale nella prevenzione della recessione gengivale. Ecco alcuni accorgimenti:
- Spazzolino a setole morbide: Utilizzare uno spazzolino con setole morbide è essenziale per evitare danni al tessuto gengivale. Le setole dure o uno spazzolamento troppo energico possono provocare l’erosione delle gengive, portando alla loro ritrazione.
- Movimento delicato: Il movimento di spazzolamento dovrebbe essere delicato e orientato dalla gengiva verso il dente, non da sinistra a destra. Questo aiuta a rimuovere la placca senza stressare le gengive.
- Spazzolamento accurato: È importante non solo spazzolare la superficie dei denti, ma anche le linee gengivali per rimuovere la placca che si accumula in queste zone. Prenditi il tempo necessario e spazzola per almeno due minuti.
Abitudini alimentari e comportamentali da evitare
La dieta e le abitudini comportamentali giocano un ruolo importante nel mantenimento della salute delle gengive. Alcuni fattori possono accelerare il processo di recessione gengivale. Ecco cosa evitare:
- Eccesso di zuccheri: Consumare troppi zuccheri favorisce la formazione di placca e tartaro, che possono compromettere la salute delle gengive e causare gengivite, che se non trattata può portare a recessione gengivale.
- Fumo: Il fumo è uno dei principali fattori di rischio per la recessione gengivale. Il fumo riduce l’afflusso di sangue alle gengive, compromettendo la loro capacità di guarire e rigenerarsi. Smettere di fumare può avere effetti positivi sulla salute orale e prevenire ulteriori danni alle gengive.
- Stress: Lo stress può aumentare il rischio di digrignare i denti (bruxismo), che mette sotto pressione le gengive e i denti, accelerando la recessione gengivale. Pratiche di rilassamento e tecniche di gestione dello stress possono aiutare a proteggere le gengive.
Frequenza ideale delle visite dal dentista
Anche se una buona igiene orale a casa è essenziale, non sostituisce l’importanza di visite regolari dal dentista. Ecco cosa fare:
- Controlli regolari: È fondamentale effettuare controlli dal dentista ogni sei mesi per monitorare la salute delle gengive e identificare tempestivamente eventuali segni di recessione o malattia parodontale.
- Pulizia professionale: Un’igiene professionale dal dentista o dall’igienista dentale è fondamentale per rimuovere la placca e il tartaro che si accumulano sotto il margine gengivale e che non possono essere eliminati con lo spazzolino.
- Prevenzione della parodontite: Un dentista può eseguire trattamenti come la levigatura radicolare e lo scaling per evitare che la parodontite progredisca e causi danni permanenti alle gengive.
Come lavare i denti se ho le gengive ritirate?
Se hai già le gengive ritirate, è fondamentale adattare la tua routine di igiene orale per evitare di aggravare il problema. Ecco alcuni suggerimenti:
- Spazzolino elettrico: Un spazzolino elettrico con sensore di pressione può essere utile per assicurarti di non applicare troppa forza durante lo spazzolamento. Molti modelli hanno un sensore che emette una vibrazione o segnala quando si esercita troppa pressione.
- Tecnica di spazzolamento delicata: Evita movimenti troppo aggressivi e spazzola delicatamente la superficie dei denti e la linea gengivale per rimuovere la placca senza danneggiare ulteriormente le gengive.
- Filo interdentale: Utilizzare il filo interdentale è fondamentale per rimuovere i residui di cibo e la placca che si accumulano negli spazi tra i denti. Sii delicato nell’uso del filo per evitare lesioni alle gengive.
Frequently Asked Questions About Recessione gengivale

La recessione gengivale è reversibile?
La recessione gengivale è un problema che può essere affrontato, ma la sua reversibilità dipende dalla gravità e dal trattamento. Se la condizione è diagnosticata precocemente, ci sono molte opzioni per gestirla e fermare la progressione. Tuttavia, una volta che il tessuto gengivale è stato perso, non è possibile farlo ricrescere completamente, a meno che non venga eseguito un intervento chirurgico, come un innesto gengivale. In alcuni casi, trattamenti come la pulizia profonda e la levigatura radicolare possono fermare la ritrazione e migliorare la salute delle gengive, evitando danni più gravi.
Quanto costa un intervento di recessione gengivale?
Il costo per trattare la recessione gengivale varia in base alla gravità del caso e al tipo di trattamento necessario. Per una pulizia professionale e trattamenti non invasivi, il costo può essere relativamente basso, ma per interventi più complessi come gli innesti gengivali o la chirurgia parodontale, i prezzi possono aumentare significativamente. In media, il costo di un innesto gengivale può oscillare tra i 500 e i 2.000 euro a dente, a seconda della tecnica e della clinica scelta. È importante consultare il dentista per una valutazione dettagliata e un preventivo personalizzato, considerando anche le opzioni di pagamento e se la procedura è coperta da assicurazione sanitaria.





