Table of Contents
ToggleLimare i denti: quando serve e come funziona la procedura
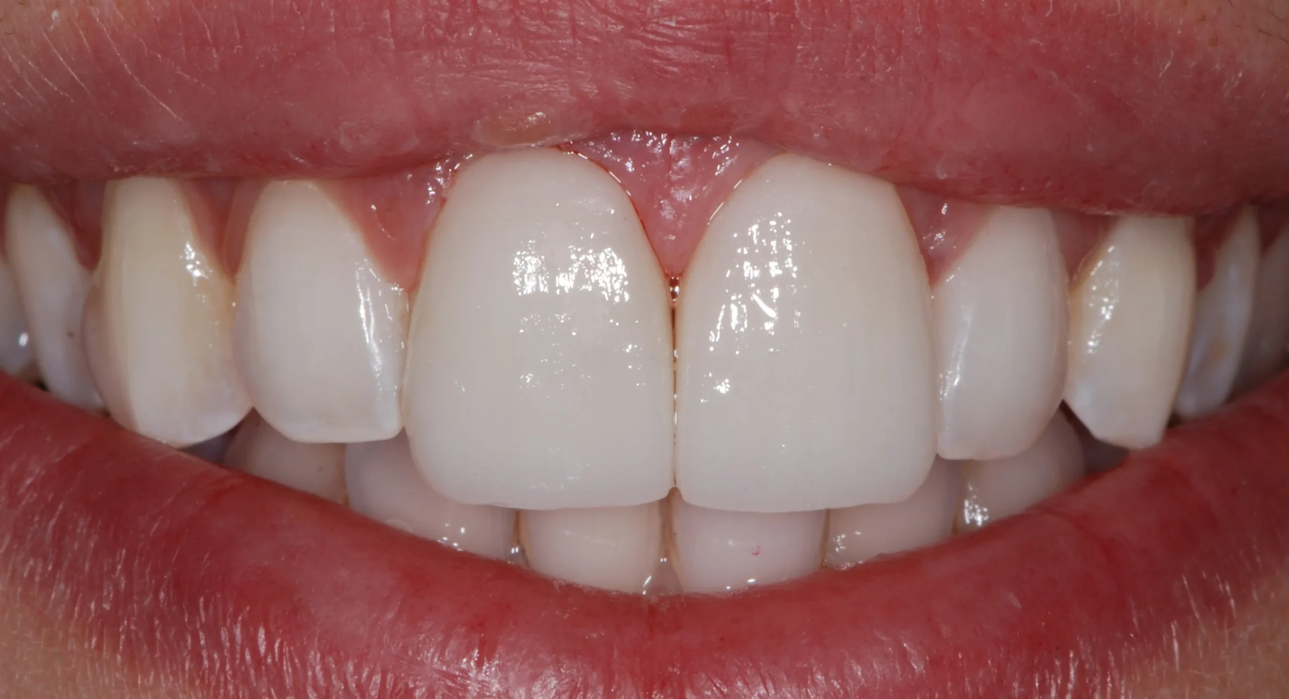
La limatura dei denti, conosciuta anche come rimodellamento dentale o contouring, è una procedura odontoiatrica minimamente invasiva che ha l’obiettivo di migliorare l’estetica del sorriso e, in alcuni casi, la funzionalità masticatoria. Non si tratta solo di un trattamento estetico: se effettuata da un professionista qualificato, la limatura può risolvere piccoli problemi occlusali e preparare il paziente a interventi successivi come faccette, capsule o trattamenti ortodontici.
Come funziona la limatura dentale: strumenti, smalto e durata
- Durante la limatura, il dentista lavora esclusivamente sullo smalto dentale, la parte più esterna e dura del dente, evitando di toccare la dentina o la polpa, che contengono terminazioni nervose.
- Gli strumenti comunemente usati includono frese diamantate, dischi abrasivi, lime dentali e strisce abrasive calibrate.
- La quantità di smalto rimossa è minima: si parla di frazioni di millimetro, generalmente tra 0,1 e 0,5 mm.
- L’intera procedura è rapida, spesso completata in una sola seduta, e non richiede anestesia nella maggior parte dei casi.
Quando è necessario limare i denti?
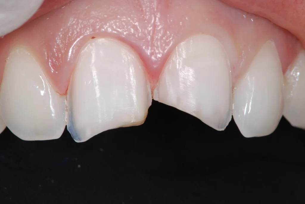
- La limatura è consigliata per correggere piccole irregolarità della forma dentale come angoli appuntiti, lunghezze disomogenee, o superfici scheggiate.
- Viene spesso utilizzata per armonizzare i margini degli incisivi anteriori e ottenere un sorriso più regolare e simmetrico.
- È indicata anche prima dell’applicazione di faccette dentali, capsule o altri restauri estetici, per creare la superficie ideale per il fissaggio.
- Alcuni pazienti si sottopongono alla limatura per ridurre fastidi occlusali o traumi da contatto tra i denti, specialmente se si soffre di bruxismo.
È una procedura dolorosa?
- In condizioni normali, limare i denti non fa male, poiché lo smalto non contiene terminazioni nervose.
- Solo in rari casi, quando la limatura si avvicina troppo alla dentina o se il paziente ha ipersensibilità dentale, può comparire un lieve fastidio temporaneo, facilmente gestibile con dentifrici specifici o trattamenti al fluoro.
- È fondamentale che la procedura sia eseguita da un dentista esperto per evitare limature eccessive e garantire un risultato naturale e sicuro.
Come si limano i denti? Tecniche e strumenti professionali spiegati

La limatura dentale è una tecnica di precisione che richiede competenze specifiche e strumenti adeguati per garantire un risultato sicuro, naturale e duraturo. Esistono diverse modalità con cui è possibile limare i denti, ognuna adatta a determinate esigenze cliniche o estetiche.
Come si può limare un dente?
- Lime manuali e strisce abrasive: Questi strumenti vengono utilizzati quando si interviene su piccole irregolarità o si esegue uno stripping dentale. Le strisce abrasive diamantate, simili a un nastro sottile, vengono passate tra i denti per ridurre leggermente la larghezza e creare spazio in caso di affollamento.
- Strumenti meccanici: Le frese diamantate, i dischi abrasivi rotanti e gli strumenti oscillanti sono impiegati per modellare il margine incisale o ridurre la lunghezza di un dente sporgente. Offrono maggiore precisione e velocità di esecuzione, specialmente se devono essere trattati più denti.
- La scelta tra metodo manuale o meccanico dipende da fattori come l’entità della limatura necessaria, la posizione dei denti da trattare e la sensibilità del paziente.
- I dentisti esperti utilizzano anche software digitali per simulare il risultato finale prima di iniziare il trattamento, garantendo così armonia estetica e funzionalità ottimale.
Che cos’è una lima dentale?
- La lima dentale è uno strumento odontoiatrico utilizzato per modellare o rifinire la superficie dei denti. Esistono lime di varie granulometrie, dalla più grossolana (per rimuovere smalto) alla più fine (per la lucidatura).
- Nel contesto ortodontico, le lime dentali vengono utilizzate durante il trattamento con allineatori trasparenti per eseguire la riduzione interprossimale (IPR).
- Nella preparazione per faccette o capsule dentali, le lime vengono utilizzate con estrema precisione per adattare il dente alla protesi da applicare, senza compromettere la struttura naturale.
- Le lime per uso professionale sono realizzate in materiali specifici come acciaio chirurgico o diamantato, e garantiscono un controllo preciso della quantità di smalto rimosso.
Quali sono i vantaggi della limatura dei denti?
La limatura dei denti, quando eseguita da un professionista qualificato, può offrire una serie di vantaggi sia estetici che funzionali. Non si tratta solo di un trattamento volto a migliorare l’aspetto del sorriso, ma anche di una procedura utile per prevenire o correggere problemi dentali minori.
- Miglioramento estetico del sorriso:
- Uno dei motivi principali per cui si ricorre alla limatura è l’estetica. Rimuovendo lievi irregolarità, come bordi frastagliati o denti leggermente più lunghi, si ottiene un sorriso più armonioso e simmetrico.
- Il rimodellamento dei margini può rendere i denti più uniformi, migliorando notevolmente l’aspetto generale della bocca, soprattutto nei denti anteriori, più visibili durante il sorriso e nel parlato.
- Correzione di piccoli difetti morfologici:
- Denti scheggiati, sporgenti o con forme irregolari possono essere corretti in modo non invasivo.
- Anche i cosiddetti “spazi neri” tra i denti (triangoli gengivali) possono essere ridotti attraverso una limatura calibrata, con l’obiettivo di migliorare l’estetica e la funzione masticatoria.
- Preparazione ideale per altri trattamenti:
- La limatura è spesso propedeutica a trattamenti estetici come l’applicazione di faccette dentali, capsule o ponti. In questi casi, limare leggermente la superficie del dente consente un’adesione ottimale dei materiali protesici.
- Viene utilizzata anche in ortodonzia per facilitare il movimento dentale, riducendo l’affollamento senza dover ricorrere all’estrazione di elementi sani.
- Riduzione di fastidi occlusali e piccoli traumi masticatori:
- Denti mal posizionati o troppo lunghi possono causare traumi durante la masticazione o alterare l’occlusione. La limatura selettiva (molaggio) può eliminare punti di contatto eccessivi, riducendo la pressione su articolazioni e denti.
- Questo tipo di intervento è utile anche nei pazienti che soffrono di bruxismo, per distribuire meglio le forze masticatorie ed evitare fratture o usura precoce dei denti.
In sintesi, la limatura dentale è una procedura sicura e versatile che, se eseguita con precisione, può migliorare sensibilmente la qualità della vita e l’autostima del paziente, evitando trattamenti invasivi o costosi.
Limare i denti fa male? Rischi, sensibilità e sicurezza del trattamento
Molte persone si chiedono se limare i denti possa essere doloroso o dannoso. Questa è una delle preoccupazioni più comuni tra i pazienti che si avvicinano per la prima volta alla limatura dentale. La verità è che, quando effettuata da un dentista esperto e in condizioni adeguate, la limatura dei denti è una procedura sicura, poco invasiva e generalmente priva di dolore.
Limare i denti è dannoso?
- Non è dannoso se eseguito correttamente:
- La limatura dei denti agisce esclusivamente sullo smalto, lo strato più esterno e privo di terminazioni nervose del dente. Di conseguenza, non provoca dolore né danni strutturali se condotta con precisione.
- I professionisti utilizzano strumenti calibrati che permettono di rimuovere porzioni minime di smalto (da 0,1 a 0,5 mm), mantenendo intatta la funzionalità del dente.
- Rischi legati a interventi non professionali:
- La limatura eccessiva o mal eseguita, soprattutto se realizzata in contesti non professionali o con metodi fai-da-te, può compromettere la salute dentale.
- Rimuovere troppo smalto può esporre la dentina, aumentando la sensibilità e rendendo il dente più vulnerabile a carie, fratture o indebolimento strutturale.
- Importanza della diagnosi preliminare:
- Prima di procedere, il dentista esegue una valutazione dettagliata dello stato di salute del dente e della quantità di smalto disponibile, spesso con l’ausilio di radiografie.
- In caso di smalto sottile, sensibilità preesistente o problematiche parodontali, si valuta l’eventuale controindicazione alla procedura.
Dente limato fa male?
- Generalmente indolore:
- La limatura non richiede anestesia e non comporta fastidi durante l’esecuzione. Tuttavia, alcuni pazienti particolarmente sensibili potrebbero percepire un leggero fastidio meccanico durante l’abrasione.
- Sensibilità post-trattamento:
- In alcuni casi può insorgere una sensibilità transitoria al caldo o al freddo, che tende a sparire entro pochi giorni.
- L’applicazione di fluoro e l’uso di dentifrici desensibilizzanti aiutano a rafforzare lo smalto e ridurre eventuali disagi.
- Gestione del dolore, se presente:
- In rarissimi casi, se la limatura ha interessato zone prossime alla dentina o se vi è una patologia pregressa, può essere necessario ricorrere a trattamenti protettivi, come vernici desensibilizzanti o ricostruzioni con compositi.
In conclusione, limare i denti non fa male se fatto nelle giuste condizioni e con competenza. È fondamentale rivolgersi a professionisti qualificati che conoscano le indicazioni e i limiti della procedura.
Quando si limano i denti? I casi in cui è davvero necessario

La limatura dei denti non è una pratica che viene eseguita di routine, ma si applica solo in situazioni ben precise. Questa procedura, chiamata anche rimodellamento dentale o stripping, può essere fondamentale per motivi estetici, ortodontici o protesici. È importante che venga effettuata esclusivamente da un dentista qualificato, in quanto richiede valutazioni approfondite e strumenti di precisione.
Quando è consigliato fare lo stripping dentale?
- Affollamento dentale lieve o moderato:
- In molti casi ortodontici, specialmente nei trattamenti con allineatori trasparenti, si preferisce limare piccole porzioni di smalto tra i denti per creare lo spazio necessario ad allinearli correttamente.
- È una valida alternativa all’estrazione dentale, più invasiva, e consente di mantenere intatti tutti gli elementi dell’arcata.
- Miglioramento del morso:
- Lo stripping può aiutare a migliorare la chiusura tra le arcate dentali, riducendo piccoli contatti anomali tra i denti che potrebbero portare a problemi di usura o fastidi durante la masticazione.
- È particolarmente utile nei pazienti con morso crociato, morso profondo o altri tipi di malocclusioni leggere.
- Rimozione di spazi neri interdentali:
- Spesso visibili negli adulti, questi spazi si formano tra i denti anteriori per ragioni estetiche e funzionali. Lo stripping può contribuire ad avvicinare i denti e a migliorare l’estetica del sorriso.
Limatura denti per inserimento di capsule dentali: quando è necessaria?
- Preparazione del dente per l’incapsulamento:
- Quando si applica una capsula dentale (corona), è quasi sempre necessario rimodellare il dente naturale per far spazio al rivestimento. Questo implica la limatura su tutti i lati del dente.
- Il dentista rimuove lo smalto in misura variabile, in base al materiale scelto per la capsula (zirconio, ceramica, metallo-ceramica).
- Tecniche moderne di preparazione:
- Grazie ai recenti progressi in odontoiatria, oggi si cerca di adottare un approccio mini-invasivo: si riduce solo lo smalto strettamente necessario, preservando il più possibile la struttura originale del dente.
- In alcuni casi, si utilizzano capsule ultrasottili che richiedono una limatura minima, simile a quella utilizzata per le faccette dentali.
In sintesi, la limatura dei denti è indicata quando apporta un beneficio concreto alla salute orale o all’estetica del sorriso. È essenziale sottoporsi a una visita odontoiatrica approfondita per valutare se e come effettuare questa procedura nel proprio caso specifico.
Faccette dentali: è obbligatorio limare i denti per applicarle?
Quando si parla di faccette dentali, uno dei dubbi più comuni tra i pazienti è se sia davvero necessario limare i denti per poterle applicare. Le faccette, sottili lamine in ceramica o composito che si incollano sulla superficie frontale dei denti, servono per migliorarne l’aspetto estetico, correggendo difetti come colore, forma, dimensione o leggeri disallineamenti. Tuttavia, l’applicazione può variare notevolmente a seconda del caso specifico.
Devo limare i denti per mettere le faccette?
- Dipende dal tipo di faccette scelte:
- Le faccette tradizionali richiedono spesso una leggera limatura dello smalto per evitare un effetto troppo sporgente. In genere si parla di una riduzione di 0,3-0,5 mm.
- Questo consente una migliore adesione della faccetta e un risultato estetico più armonico.
- Le faccette ultrasottili riducono (o eliminano) la necessità di limatura:
- Queste faccette di nuova generazione, spesso spesse quanto una lente a contatto (0,2 mm), permettono l’applicazione diretta sul dente senza intaccare lo smalto.
- Il risultato è un trattamento non invasivo, adatto a chi desidera conservare intatta la struttura del dente.
- La valutazione clinica è fondamentale:
- Il dentista valuta spessore, forma e posizione del dente, e solo in base a questi elementi decide se sia necessario limare o meno.
- In alcuni casi, per esempio denti troppo sporgenti, una limatura leggera è inevitabile per ottenere un buon risultato estetico e funzionale.
Faccette dentali senza limatura: quando è possibile?
- Tecnologie moderne e materiali innovativi:
- I materiali ceramici di ultima generazione permettono la realizzazione di faccette resistenti anche a spessori minimi.
- La progettazione digitale (mock-up e smile design) consente di prevedere il risultato finale e intervenire con la massima precisione.
- Ruolo dell’ortodonzia pre-faccette:
- In pazienti con denti molto disallineati o ruotati, si può prima intervenire con un breve trattamento ortodontico con allineatori trasparenti.
- Questo riduce la necessità di limare i denti prima di applicare le faccette e migliora la durata del trattamento estetico.
In sintesi, la limatura per le faccette non è sempre necessaria. Grazie alle moderne soluzioni estetiche, è possibile migliorare il sorriso in modo personalizzato e conservativo. Tuttavia, ogni caso va valutato singolarmente per scegliere la tecnica più adatta.
Limare i denti a casa: perché è estremamente pericoloso?
Negli ultimi anni, complice l’aumento dei tutorial online e dei video virali, si è diffusa l’errata convinzione che sia possibile limare i denti da soli a casa per correggere piccoli difetti estetici o scheggiature. Tuttavia, si tratta di una pratica altamente sconsigliata e potenzialmente molto pericolosa. Vediamo perché.
Limare i denti con lima unghie: cosa può succedere?
- Lo smalto dentale è fragile e insostituibile:
- Lo smalto è lo strato più esterno del dente e ha una funzione protettiva. Una volta rimosso, non si rigenera.
- Utilizzare strumenti non professionali come lime per unghie può provocare abrasioni e microfratture irreparabili.
- Rischio di danni permanenti:
- Una limatura casalinga può causare la perdita eccessiva di smalto, rendendo i denti sensibili al caldo e al freddo.
- Possono verificarsi alterazioni del morso, difficoltà nella masticazione e danni strutturali che richiedono interventi costosi e invasivi.
- Pericolo di infezioni:
- L’uso di strumenti non sterili aumenta il rischio di infezioni batteriche.
- Una scheggiatura mal trattata può trasformarsi in una carie profonda o in una pulpite.
Come limare un dente scheggiato fai da te? Perché evitarlo
- I metodi fai-da-te sono spesso imprecisi e rischiosi:
- Anche se la scheggiatura può sembrare superficiale, solo un dentista può valutare se il danno coinvolge lo smalto o la dentina.
- Limare un dente senza strumenti professionali può aggravare il danno e compromettere la struttura del dente.
- Le alternative di emergenza non sostituiscono la visita dal dentista:
- In caso di scheggiatura, può essere utile applicare cera ortodontica o prodotti temporanei come il Dentemp, ma solo per alleviare il fastidio temporaneamente.
- È comunque necessario rivolgersi il prima possibile al proprio dentista per un trattamento definitivo.
- L’estetica non deve mai compromettere la salute:
- Anche un piccolo errore può alterare in modo permanente il profilo del dente e compromettere il sorriso.
- La limatura deve essere sempre eseguita da un professionista che utilizza strumenti calibrati e tecniche sicure.
In conclusione, limare i denti a casa è una scelta sconsiderata che può portare a conseguenze gravi. Per qualsiasi esigenza estetica o funzionale è sempre bene rivolgersi a un dentista esperto.
Quali alternative esistono alla limatura dentale?

Sebbene la limatura dentale sia una procedura efficace e minimamente invasiva, non è sempre la soluzione migliore per tutti i pazienti. In alcuni casi, possono esistere alternative più conservative, altrettanto efficaci dal punto di vista estetico e funzionale. Vediamo nel dettaglio quali sono le principali opzioni disponibili oggi in odontoiatria estetica.
Ortodonzia invisibile per allineamento senza limature
- Allineatori trasparenti come Invisalign:
- Offrono un’opzione estetica e discreta per correggere il disallineamento dentale.
- Non necessitano limature, se non in casi molto specifici (stripping minimo) e sempre sotto controllo professionale.
- Evitano interventi invasivi:
- Permettono di ottenere denti dritti e ben posizionati senza dover rimuovere smalto o alterare la struttura dentale.
- Indicate anche per adulti:
- Le tecnologie moderne consentono trattamenti rapidi ed efficaci anche in età adulta.
Bonding dentale per correggere piccoli difetti
- Tecnica rapida e non invasiva:
- Consiste nell’applicazione di resina composita sui denti per correggere difetti minori come scheggiature, spazi interdentali o denti irregolari.
- Non richiede limatura:
- Nella maggior parte dei casi, non è necessaria alcuna abrasione dello smalto.
- Risultati estetici immediati:
- Il colore del composito viene scelto per integrarsi perfettamente con i denti naturali.
- Può essere ritoccato o rimosso:
- A differenza di altri trattamenti, il bonding è reversibile e modificabile nel tempo.
Faccette ultrasottili per coprire imperfezioni senza asportare smalto
- Ceramiche ultrasottili:
- Alcune faccette, come le Emax o le Elite, possono essere applicate senza limatura (no-prep veneers), grazie alla loro sottigliezza (0,2–0,3 mm).
- Perfette per pazienti con smalto sano:
- Mantengono intatta la struttura dentale e offrono risultati estetici naturali e duraturi.
- Richiedono grande esperienza clinica:
- Sono tecniche complesse che devono essere eseguite da dentisti e odontotecnici altamente specializzati.
In sintesi, le alternative alla limatura dei denti offrono soluzioni efficaci e sempre più conservative. Il giusto approccio dipende dalle esigenze specifiche del paziente, dalla situazione clinica e dal risultato estetico desiderato. Una consulenza approfondita con il proprio dentista è essenziale per individuare la scelta migliore, che non comprometta la salute dentale.
Quanto costa limare i denti? E da cosa dipende il prezzo
Il costo della limatura dei denti è una delle domande più frequenti da parte di chi desidera migliorare il proprio sorriso senza affrontare interventi troppo invasivi. Sebbene si tratti di una procedura semplice e veloce, è importante conoscere i fattori che influenzano il prezzo finale. Vediamo nel dettaglio cosa incide sui costi e quali sono le fasce di prezzo in Italia.
- Fascia di prezzo media in Italia (70–120€ a dente)
- Il costo per la limatura di un singolo dente generalmente varia tra i 70 e i 120 euro.
- Questa forbice dipende da diversi fattori, tra cui la difficoltà del caso, il numero di denti coinvolti e il tipo di tecnica utilizzata (manuale o meccanica).
- Nei casi in cui la limatura sia parte di un trattamento estetico più ampio (es. preparazione per faccette o bonding), il costo può essere incluso nel pacchetto complessivo.
- Variazioni in base alla tecnica, numero di denti trattati, zona geografica
- I prezzi possono variare in modo significativo da una città all’altra. Gli studi situati in grandi città o aree ad alta richiesta tendono ad avere tariffe più elevate.
- Il tipo di tecnica utilizzata incide sul prezzo: la limatura manuale, che richiede maggiore precisione e tempo, può avere un costo superiore rispetto alla tecnica meccanica.
- Più denti richiedono il trattamento, più alto sarà il costo complessivo, anche se molti studi offrono sconti su trattamenti multipli.
- Quando il costo include anche lucidatura e follow-up
- Un trattamento professionale di limatura dei denti non si conclude con la semplice abrasione: spesso include lucidatura finale per rendere le superfici lisce e prevenire accumuli di placca.
- Alcuni studi includono anche un controllo di follow-up per valutare il risultato e assicurarsi che non vi siano problemi di sensibilità.
- È consigliabile chiedere in anticipo se il preventivo include questi servizi aggiuntivi.
In definitiva, il costo della limatura dentale non è eccessivo, soprattutto se paragonato ai benefici estetici e funzionali che può offrire. Tuttavia, è fondamentale affidarsi a professionisti qualificati per evitare rischi e ottenere un risultato naturale, armonioso e duraturo.
Cosa fare dopo aver limato i denti? Cura e igiene post trattamento
La limatura dei denti è una procedura minimamente invasiva, ma richiede comunque una corretta gestione post-trattamento per garantire la salute dei denti e la durata del risultato estetico. Dopo essersi sottoposti a una limatura, anche se lieve, è importante adottare alcune accortezze per proteggere lo smalto residuo e prevenire eventuali sensibilità o complicazioni.
- Uso di dentifrici al fluoro e collutori remineralizzanti
- Dopo la limatura, lo smalto potrebbe risultare temporaneamente più sensibile. Per questo, è consigliabile utilizzare un dentifricio al fluoro che rafforzi la struttura dentale.
- Anche un collutorio contenente fluoro o agenti remineralizzanti può contribuire alla rigenerazione dello smalto e a una maggiore protezione contro carie e sensibilità.
- Alcuni professionisti suggeriscono anche l’utilizzo di mousse o gel specifici a base di calcio e fosfato per favorire la remineralizzazione.
- Igiene orale impeccabile per evitare carie e macchie
- Una buona igiene orale è fondamentale per mantenere i risultati ottenuti con la limatura. Lavarsi i denti almeno due volte al giorno con spazzolino a setole morbide e utilizzare il filo interdentale quotidianamente è essenziale.
- È consigliabile evitare il consumo eccessivo di bevande acide (come bibite gassate o succhi di agrumi) o alimenti zuccherati nelle settimane successive al trattamento.
- Per evitare la comparsa di macchie, meglio limitare anche caffè, tè, vino rosso e fumo, soprattutto nei giorni immediatamente successivi.
- Visite di controllo periodiche dal dentista
- Dopo il trattamento, è importante programmare una visita di controllo per monitorare l’adattamento della nuova forma dei denti e prevenire eventuali problematiche.
- In alcuni casi, il dentista potrebbe effettuare una lucidatura aggiuntiva o applicare prodotti rinforzanti per lo smalto.
- Le visite regolari consentono anche di individuare precocemente possibili carie o abrasioni e intervenire tempestivamente.
Una corretta routine post-trattamento non solo garantisce la salute orale, ma aiuta anche a mantenere nel tempo l’effetto estetico ottenuto con la limatura. I piccoli gesti quotidiani possono fare una grande differenza per il tuo sorriso.
Quali problemi risolve la limatura dei denti?
La limatura dei denti, anche detta rimodellamento dentale o odontoplastica, non è solo una procedura estetica. Può infatti rappresentare una soluzione efficace a diversi problemi funzionali e morfologici che compromettono il benessere e l’armonia del sorriso. Vediamo quali sono le principali problematiche che possono essere risolte con questo trattamento.
- Sovraffollamento dentale lieve o moderato
- In presenza di affollamento dentale, ovvero quando i denti sono troppo vicini tra loro o disallineati per mancanza di spazio, la limatura può offrire una soluzione alternativa all’estrazione.
- Attraverso lo stripping interprossimale si rimuove una quantità millimetrica di smalto tra i denti per guadagnare spazio e facilitare l’allineamento tramite ortodonzia.
- Questa tecnica è particolarmente utile nei trattamenti con apparecchi ortodontici invisibili come gli allineatori trasparenti.
- Incisivi sporgenti o mal posizionati
- Nei casi in cui alcuni denti, come gli incisivi superiori, risultano più sporgenti o ruotati rispetto agli altri, la limatura può aiutare a ridurne visivamente l’evidenza.
- In alcuni casi si ricorre alla limatura per ridurre la sporgenza o correggere lievi inclinazioni, migliorando la simmetria del sorriso senza interventi invasivi.
- Correzione estetica dei bordi irregolari
- Denti con bordi frastagliati, consumati o scheggiati possono essere facilmente armonizzati con una limatura controllata.
- Questo consente di uniformare la lunghezza e la forma degli elementi dentali, rendendo il sorriso più curato e proporzionato.
- È una soluzione rapida ed efficace per piccoli difetti estetici post-ortodontici o dovuti a bruxismo.
- Eliminazione di spazi neri tra i denti
- Gli spazi neri interdentali, detti “triangoli neri”, si formano quando la gengiva si ritira o quando c’è una discrepanza nella forma dei denti.
- Attraverso lo stripping dentale, si può modificare la forma dei denti e creare un punto di contatto più ampio, aiutando a chiudere visivamente questi spazi.
- Spesso questa procedura viene affiancata da un trattamento ortodontico per ottenere un risultato estetico ottimale.
Domande frequenti piu Limare i denti

Questa sezione è dedicata alle domande più comuni che i pazienti si pongono prima di sottoporsi a un trattamento di limatura dentale. Chiarire questi dubbi è fondamentale per affrontare la procedura con consapevolezza e tranquillità.
Limare i denti fa male ed è pericoloso?
- La procedura è dolorosa?
- In linea generale, limare i denti non provoca dolore, perché si lavora esclusivamente sullo smalto, una parte del dente priva di terminazioni nervose.
- Tuttavia, in alcuni pazienti può insorgere una lieve sensibilità temporanea, soprattutto se il dente è già compromesso o se si rimuove una quantità maggiore di smalto.
- Esistono rischi concreti?
- Se eseguita correttamente da un professionista, la limatura dentale è una tecnica sicura e minimamente invasiva.
- I principali rischi emergono solo quando il trattamento viene eseguito senza competenza o strumenti adeguati, come nel caso del fai-da-te, e possono includere l’assottigliamento eccessivo dello smalto, sensibilità cronica o danni strutturali.
- Quali sono le controindicazioni principali?
- Smalto molto sottile, denti con carie o sensibilità marcata sono condizioni che devono essere valutate con attenzione.
- In questi casi, il dentista potrebbe sconsigliare la procedura o proporre trattamenti alternativi.
Come si può limare un dente?
- Chi può effettuare la limatura dentale?
- Solo odontoiatri professionisti sono abilitati ad eseguire questa procedura. È assolutamente sconsigliato tentare da soli di modificare la forma dei propri denti.
- Quali strumenti vengono utilizzati?
- Per la limatura vengono impiegate lime manuali diamantate, strisce abrasive o strumenti rotanti come frese e dischi ad alta precisione.
- La scelta dello strumento dipende dal tipo di dente, dall’area da trattare e dalla quantità di smalto da rimuovere.
- Esistono metodi “fai da te”?
- Sebbene in rete si trovino video e guide su come limare i denti con lime per unghie o strumenti simili, queste pratiche sono altamente rischiose e da evitare.
- Anche una limatura minima fatta in modo scorretto può compromettere seriamente la salute e la funzionalità del dente.





