Table of Contents
ToggleCosa Sono Gli Impianti Nasali E Perché Vengono Utilizzati?
Gli impianti nasali rappresentano una soluzione avanzata per la riabilitazione dentale nei casi in cui il mascellare superiore è gravemente atrofico e presenta una significativa mancanza di osso. In questi scenari, i classici impianti endossei non trovano sufficiente supporto e l’inserimento di impianti convenzionali è spesso impossibile senza ricorrere a procedure invasive come gli innesti ossei.
L’impianto nasale viene inserito tra la mascella superiore e la parete ossea della cavità nasale, sfruttando l’osso disponibile nella zona premascellare e nasale, che spesso mantiene una densità adeguata anche nei casi di grave atrofia.
Gli impianti nasali sono progettati per garantire stabilità primaria elevata, consentendo in molti casi l’applicazione del protocollo di carico immediato, cioè il posizionamento di una protesi fissa nello stesso giorno dell’intervento.
Si utilizzano in particolare nei pazienti che non sono candidati per tecniche tradizionali come l’All-on-4 (AO4) a causa della perdita ossea frontale, oppure quando si vuole evitare un innesto osseo o ridurre i tempi di riabilitazione.
Un’altra importante distinzione riguarda il confronto con gli impianti zigomatici e impianti pterigoidei:
-
- Gli impianti zigomatici si ancorano nell’osso zigomatico, posizionato lateralmente e più in alto.
- Gli impianti pterigoidei, invece, vengono inseriti nella parte posteriore del mascellare, nella regione del processo pterigoideo.
- Gli impianti nasali si collocano invece nella zona anteriore, fungendo da supporto mesiale all’interno di una riabilitazione completa dell’arcata.
Vengono spesso impiegati nel protocollo Maxilla-for-All®, che prevede la combinazione strategica di impianti nasali, pterigoidei e zigomatici per riabilitare completamente anche i pazienti con edentulia totale e volume osseo praticamente assente.
La loro adozione è in crescita, grazie al miglioramento delle tecnologie diagnostiche (es. TAC 3D e software di chirurgia guidata) che permettono una pianificazione chirurgica estremamente precisa e personalizzata.
In sintesi, l’impianto nasale è una tecnica salvavita implantare per quei pazienti che, fino a pochi anni fa, venivano esclusi da soluzioni fisse.
Quali Sono I Vantaggi Degli Impianti Nasali Per La Riabilitazione Dentale?
Gli impianti nasali rappresentano una delle più rivoluzionarie soluzioni in implantologia avanzata per il trattamento dei pazienti con atrofia ossea severa nel mascellare superiore. Il primo e più evidente vantaggio è che questa tecnica non richiede innesti ossei complessi, i quali comportano tempi lunghi, costi più elevati e rischi di rigetto o complicazioni.
Un altro beneficio fondamentale è la possibilità di effettuare il carico immediato. Questo significa che, in un’unica seduta chirurgica, è possibile inserire l’impianto e posizionare la protesi provvisoria fissa, offrendo al paziente una soluzione estetica e funzionale fin da subito. Ciò rappresenta un enorme vantaggio psicologico e pratico, specialmente per chi è completamente edentulo nella zona anteriore superiore.
A differenza degli impianti convenzionali, che richiedono una quantità e qualità di osso sufficiente nella zona alveolare, gli impianti nasali sfruttano l’osso della parete nasale, che, anche nei pazienti con perdita ossea grave, tende a mantenere buona densità e resistenza. Questo garantisce una stabilità primaria eccellente, indispensabile per il successo a lungo termine dell’impianto e della protesi.
Inoltre, gli impianti nasali si sono dimostrati particolarmente efficaci nei casi in cui le tecniche AO4 (All-on-4) non risultano applicabili, ad esempio in pazienti con perdita ossea frontale avanzata. In questi casi, l’integrazione con impianti zigomatici e pterigoidei permette di ottenere una protesi fissa full arch anche nei casi più estremi, evitando soluzioni mobili e migliorando notevolmente la qualità di vita del paziente.
- L’uso degli impianti nasali comporta anche una significativa riduzione dei tempi di trattamento complessivi, sia per l’assenza di procedure rigenerative preliminari sia per il minor numero di sedute richieste per completare la riabilitazione.
- A livello estetico, il supporto anteriore fornito da questi impianti consente una ricostruzione del sorriso più naturale, mantenendo i corretti volumi labiali e la simmetria facciale, elementi fondamentali per un risultato visivo soddisfacente.
- Infine, grazie all’evoluzione della chirurgia guidata computerizzata e all’utilizzo di software 3D per la pianificazione, oggi gli impianti nasali possono essere inseriti con estrema precisione, aumentando il tasso di successo e riducendo le complicanze chirurgiche.
Come Funziona La Procedura Chirurgica Per Gli Impianti Nasali?

La procedura di inserimento degli impianti nasali è una delle tecniche più avanzate e delicate in implantologia dentale, e richiede un’elevata competenza chirurgica. Si articola in più fasi ben precise, che vanno dalla valutazione iniziale fino al completamento della riabilitazione protesica.
Quali Sono Le Fasi Preoperatorie?
La prima fase fondamentale è la valutazione clinica e radiografica. Il chirurgo raccoglie l’anamnesi completa del paziente, analizzando lo stato di salute generale e le condizioni locali del cavo orale.
Si eseguono radiografie panoramiche e una TAC Cone Beam (CBCT), indispensabile per visualizzare con precisione la quantità di osso presente nella mascella e la morfologia della cavità nasale.
Viene studiata l’anatomia del mascellare superiore e la posizione dei turbinati, per evitare interferenze anatomiche durante l’inserimento degli impianti.
Attraverso un software di pianificazione 3D, il chirurgo simula virtualmente la procedura, scegliendo la lunghezza, l’inclinazione e il punto d’ingresso ideale degli impianti nasali. Questo riduce drasticamente i margini d’errore intraoperatori.
Come Avviene L’Inserimento Degli Impianti Nasali?
Il giorno dell’intervento, il paziente viene sottoposto a anestesia locale; nei casi più complessi si può optare per la sedazione cosciente o l’anestesia generale.
Dopo aver eseguito un’incisione sulla gengiva, si accede all’osso mascellare superiore.
Utilizzando strumenti specifici e calibrati, il chirurgo esegue una foratura dell’osso con un’angolazione precisa che si estende dalla zona alveolare superiore fino al bordo inferiore della cavità nasale, mirando al punto Z (vicino al turbinato inferiore).
L’impianto nasale viene inserito con estrema delicatezza, facendo attenzione a non danneggiare le strutture circostanti (membrana nasale, dotto lacrimale, vasi e nervi).
Infine, la gengiva viene suturata e si lascia esposta solo la parte emergente dell’impianto, utile per l’aggancio protesico.
Cosa Avviene Dopo L’Intervento?
Dopo l’intervento, inizia la fase detta di osteointegrazione, ovvero il processo biologico mediante cui l’osso si integra stabilmente con l’impianto in titanio.
La durata di questa fase può variare da 6 a 16 settimane, a seconda della qualità ossea e delle condizioni generali del paziente.
In molti casi selezionati, è possibile effettuare il carico immediato, ovvero applicare già entro 24-48 ore una protesi fissa provvisoria.
Il paziente dovrà seguire controlli periodici post-operatori, dove si verifica la guarigione, l’assenza di infezioni e la stabilità dell’impianto.
Al termine della guarigione, viene posizionata la protesi definitiva, spesso realizzata in zirconia per garantire resistenza ed estetica.
Quando Sono Preferibili Gli Impianti Nasali Rispetto Ad Altre Soluzioni?
Gli impianti nasali si stanno affermando come una delle soluzioni più efficaci nei casi in cui altre tecniche implantari risultano insufficienti o inapplicabili. Sono particolarmente indicati per pazienti con atrofia mascellare severa, dove l’osso residuo è insufficiente per l’inserimento di impianti convenzionali, e dove anche le opzioni come All-on-4 possono non garantire stabilità a lungo termine.
Ecco i principali scenari in cui l’utilizzo degli impianti nasali è da preferire:
- Grave riassorbimento osseo della mascella superiore anteriore
Quando l’osso del premaxilla (zona frontale della mascella) è estremamente riassorbito, le tecniche tradizionali non possono garantire un ancoraggio stabile. In questi casi, l’impianto nasale rappresenta un’ottima alternativa, sfruttando la densità e la verticalità dell’osso nasale. - Impossibilità o rifiuto di effettuare innesti ossei
Molti pazienti non desiderano sottoporsi a interventi di rigenerazione ossea per i tempi lunghi, il costo aggiuntivo o per controindicazioni cliniche. Gli impianti nasali aggirano il bisogno di innesto, offrendo una soluzione efficace senza attendere la maturazione del nuovo osso. - Fallimento di tecniche precedenti (es. AO4, mini-impianti, innesti)
In pazienti con precedenti tentativi falliti di riabilitazione implantare, come protesi mobili non stabili, rigetti di impianti o innesti non riusciti, l’approccio nasale può essere l’unica opzione per una riabilitazione definitiva con carico fisso. - Quando gli impianti zigomatici non bastano o non sono indicati
Gli impianti zigomatici sono spesso impiegati per ancoraggio in caso di atrofia laterale della mascella. Tuttavia, se anche la parte frontale è compromessa, gli impianti nasali possono completare la stabilità del full-arch combinandosi con zigomatici e pterigoidei. - Esigenza di soluzioni a carico immediato
Nei casi clinicamente compatibili, l’impianto nasale permette l’applicazione di protesi fissa immediata, riducendo i tempi di trattamento e restituendo al paziente estetica e funzionalità in tempi rapidi.
Chi Non È Un Buon Candidato Per Gli Impianti Nasali?
Nonostante i numerosi vantaggi offerti dagli impianti nasali, non tutti i pazienti sono candidati ideali per questa procedura. Come per ogni intervento chirurgico avanzato, è necessaria una valutazione attenta e personalizzata che tenga conto di condizioni sistemiche, anatomiche e abitudini di vita. Ecco i principali fattori che possono rappresentare una controindicazione o almeno una precauzione nell’uso degli impianti nasali:
- Pazienti con sinusite cronica o patologie dei seni paranasali
Le patologie croniche dei seni nasali, come sinusite ricorrente, poliposi nasale o deviazioni settali marcate, possono compromettere l’integrità della cavità nasale e rendere rischioso l’ancoraggio dell’impianto. In questi casi, si consiglia di trattare prima la patologia otorinolaringoiatrica e valutare successivamente l’idoneità implantare. - Presenza di osteoporosi avanzata
L’osteoporosi può influenzare negativamente l’osteointegrazione dell’impianto. In pazienti con bassa densità ossea sistemica, l’impianto potrebbe non ottenere la stabilità primaria necessaria, aumentando il rischio di fallimento. È essenziale un esame densitometrico e, se necessario, una terapia preventiva. - Immunodepressione o malattie sistemiche gravi
Condizioni come diabete non controllato, patologie autoimmuni o trattamenti oncologici in corso (es. chemioterapia, bisfosfonati) riducono la capacità dell’organismo di guarire correttamente e aumentano il rischio di infezioni e mancata osteointegrazione. - Fumo e alcol
Il fumo rallenta il flusso sanguigno e compromette la guarigione dei tessuti, mentre l’alcol in eccesso indebolisce il sistema immunitario. Entrambi i fattori sono legati a una maggiore incidenza di fallimenti implantari. I fumatori devono essere informati sui rischi e, ove possibile, incentivati a smettere prima dell’intervento. - Pregresse chirurgie complesse nell’area nasale
Interventi chirurgici importanti nella regione naso-mascellare, come settoplastiche, turbinectomie o ricostruzioni post-trauma, possono alterare l’anatomia e rendere complicato o impossibile il corretto inserimento dell’impianto.
Quali Sono I Rischi Degli Impianti Nasali?
Come ogni procedura chirurgica avanzata, anche gli impianti nasali comportano dei rischi e delle possibili complicanze. Sebbene la maggior parte dei pazienti affronti l’intervento senza problemi, è importante essere pienamente informati sui potenziali effetti collaterali, in modo da poter prendere una decisione consapevole e adottare tutte le precauzioni necessarie per ridurre le probabilità di insuccesso.
Ecco una panoramica completa dei rischi più comuni associati agli impianti nasali:
- Infezione post-operatoria
Le infezioni rappresentano una delle complicanze più frequenti, come in ogni chirurgia orale. Possono verificarsi a causa della contaminazione del sito operatorio, di una scarsa igiene orale o della presenza di condizioni sistemiche non controllate. I segni tipici sono gonfiore, dolore persistente, secrezione purulenta o febbre. Per prevenire questo rischio, vengono generalmente prescritti antibiotici e disinfettanti specifici nel post-operatorio. - Perforazione della cavità nasale o del dotto lacrimale
Un impianto inserito con un’angolazione errata o eccessivamente profonda può raggiungere strutture delicate come il dotto naso-lacrimale o la mucosa interna della cavità nasale, con conseguenti complicanze come epistassi, lacrimazione persistente o infezioni ricorrenti. - Mancata osteointegrazione
L’impianto potrebbe non integrarsi correttamente con l’osso circostante, portando a mobilità, dolore e necessità di rimozione. Ciò può essere causato da una qualità ossea scadente, un’infezione non trattata o errori durante la procedura chirurgica. Il rischio aumenta in pazienti fumatori, diabetici non controllati o con igiene orale insufficiente. - Sinusite post-operatoria o oro-antral fistula
Poiché l’impianto si ancora vicino o attraverso la parete del seno mascellare, può verificarsi un’infiammazione o infezione della mucosa sinusale, che può evolvere in sinusite cronica. Nei casi più gravi si può formare una comunicazione patologica tra la cavità orale e il seno mascellare, chiamata fistola oro-antrale. - Dolore o disagio persistente
Anche se il dolore è solitamente temporaneo e gestibile con farmaci, alcuni pazienti possono avvertire fastidi prolungati nella zona implantare. Ciò potrebbe indicare una risposta infiammatoria, una compressione nervosa o una cattiva posizione dell’impianto.
Che Differenza C’è Tra Impianti Nasali, Zigomatici E Pterigoidei?

Quando si affronta una grave atrofia ossea del mascellare superiore, le tecniche implantari tradizionali possono non essere sufficienti. In questi casi, la soluzione può arrivare da impianti alternativi come quelli nasali, zigomatici e pterigoidei. Ma qual è la differenza tra queste tre tipologie? Vediamolo nel dettaglio.
Dove Sono Posizionati Gli Impianti?
- Impianti Nasali
Questi impianti vengono inseriti nella parte frontale del mascellare superiore, con ancoraggio che si estende fino all’osso della cavità nasale. Sono ideali nei casi in cui manca l’osso nella zona premascellare (zona degli incisivi e canini) e permettono un fissaggio stabile sfruttando l’osso residuo tra la mascella e il naso. - Impianti Zigomatici
Questi impianti sono molto più lunghi dei tradizionali e si ancorano nell’osso zigomatico, ovvero lo zigomo, una struttura ossea molto densa e stabile. Vengono utilizzati in presenza di grave atrofia laterale del mascellare superiore, dove non c’è più osso nelle regioni dei molari e premolari. - Impianti Pterigoidei
Gli impianti pterigoidei si inseriscono nell’osso pterigoideo, situato nella parte più posteriore della mascella. Offrono un ancoraggio efficace quando manca l’osso mascellare posteriore e sono una valida alternativa all’innesto osseo o al rialzo del seno mascellare.
Quando Si Usa Ogni Tipo Di Impianto?
- Impianti Nasali
Sono indicati nei pazienti che presentano atrofia nella parte anteriore del mascellare, spesso in combinazione con zigomatici o pterigoidei, per completare la stabilità dell’intera arcata. Ideali quando si vuole evitare un innesto osseo. - Impianti Zigomatici
Si usano quando è presente una forte perdita ossea laterale e non è possibile utilizzare impianti convenzionali o innesti. Possono essere parte di un protocollo full-arch (come il Maxilla-for-All®), garantendo un ancoraggio robusto nei casi estremi. - Impianti Pterigoidei
Perfetti per situazioni di edentulia posteriore in cui la qualità ossea è scarsa o del tutto assente. Grazie all’osso denso dell’area pterigoidea, permettono di evitare l’innesto e ridurre i tempi operatori.
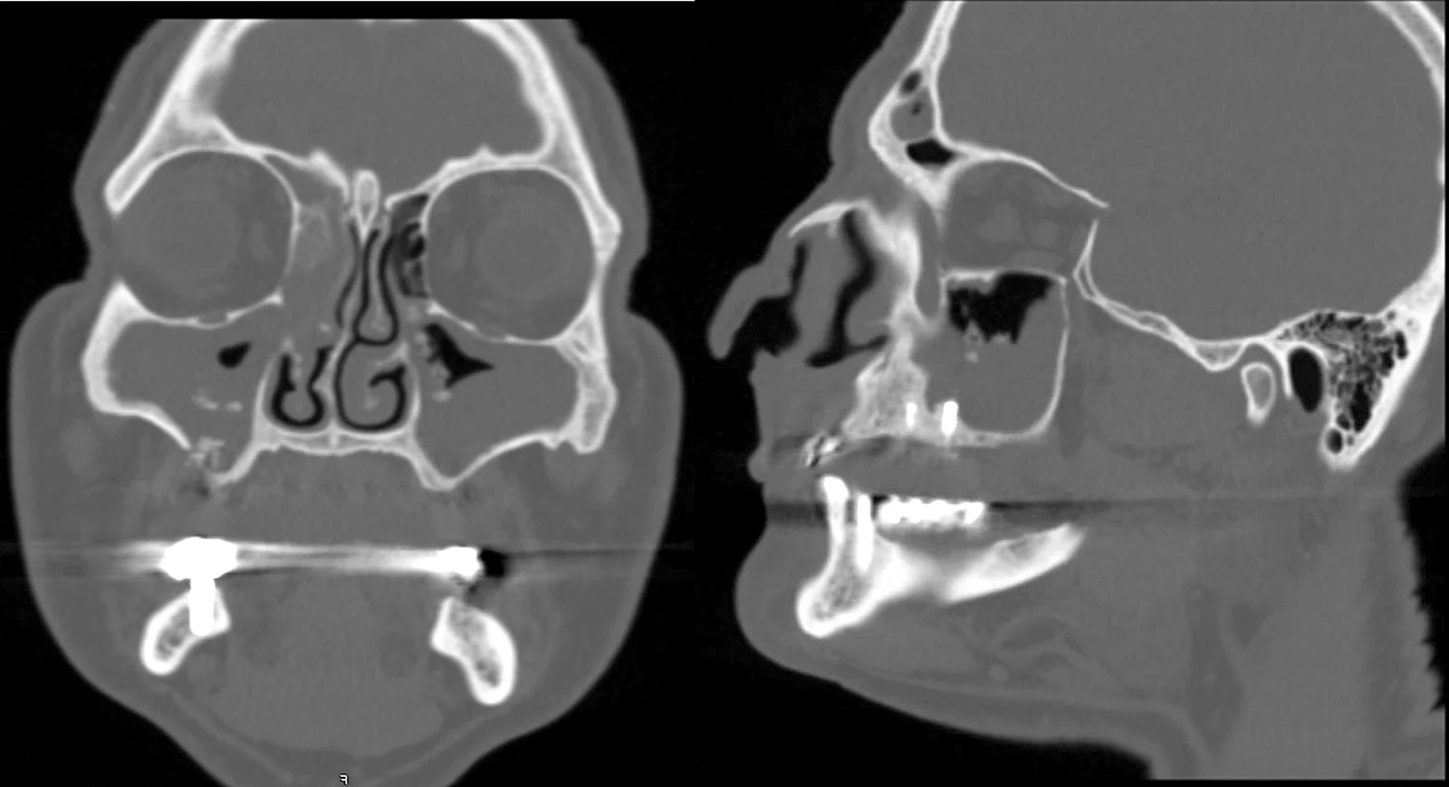
Cosa Dice La Scienza Sugli Impianti Che Protrudono Nella Cavità Nasale?
Il posizionamento degli impianti dentali nella zona mascellare superiore, in particolare nelle vicinanze del seno mascellare o della cavità nasale, ha sollevato numerose questioni cliniche. Una delle più discusse riguarda gli impianti che protrudono nella cavità nasale: devono essere rimossi oppure possono essere mantenuti? La scienza più recente fornisce indicazioni chiare, basate su studi clinici e consenso tra esperti.
- Non sempre è necessaria la rimozione dell’impianto
La convinzione comune che un impianto che sporge nella cavità nasale debba essere immediatamente rimosso non è più sostenuta dalla letteratura attuale. Diversi studi, tra cui quelli coordinati dal Prof. Tiziano Testori, sottolineano che l’assenza di sintomi clinici legati a sinusite o infezioni rende possibile il mantenimento dell’impianto senza interventi invasivi. - Monitoraggio clinico regolare come alternativa alla rimozione
In pazienti asintomatici, è raccomandato un approccio conservativo: l’impianto può essere lasciato in sede e controllato nel tempo attraverso visite periodiche e indagini radiografiche. Il monitoraggio permette di identificare precocemente eventuali complicazioni, evitando rimozioni non necessarie. - Criteri per l’intervento di rimozione
Secondo il consenso internazionale, l’impianto dovrebbe essere rimosso solo in presenza di sinusite odontogena persistente che non risponde ai trattamenti farmacologici o chirurgici conservativi. In tutti gli altri casi, l’intervento può rappresentare un trauma inutile per il paziente e comportare rischi maggiori rispetto ai benefici. - Importanza della diagnostica avanzata
La cone beam CT (CBCT) è lo strumento diagnostico di riferimento per valutare con precisione la posizione dell’impianto rispetto alla mucosa del seno mascellare o alle strutture nasali. In molti casi, quella che appare come una protrusione può in realtà essere solo un artefatto radiografico, mascherato da mucosa o tessuto osseo sottile. - Raccomandazioni dei professionisti
Il consenso multidisciplinare (implantologi, otorini, radiologi) stabilisce che in assenza di infezioni, dolore, drenaggi o altri segni clinici, la protrusione non rappresenta un problema. L’approccio moderno favorisce la personalizzazione del trattamento e il minimo intervento, a favore del benessere del paziente.
Come Si Integra L’Impianto Nasale In Una Riabilitazione Full Arch?
Gli impianti nasali rappresentano un’evoluzione significativa nella riabilitazione implantare di pazienti con atrofie ossee avanzate, in particolare quando si desidera eseguire una riabilitazione full arch (intera arcata superiore) senza dover ricorrere a innesti ossei o procedure rigenerative lunghe e invasive. Il loro utilizzo si integra perfettamente nei protocolli moderni come il Maxilla-for-All®, che combina diversi tipi di impianti per offrire soluzioni fisse anche in casi estremi.
- Combinazione di impianti per il massimo ancoraggio
Nella riabilitazione full arch, l’utilizzo esclusivo di impianti standard può non essere sufficiente in presenza di grave atrofia ossea. Ecco perché gli impianti nasali vengono abbinati ad altre soluzioni, come quelli zigomatici (ancorati all’osso zigomatico) e pterigoidei (inseriti nel processo pterigoideo). Insieme, forniscono un sistema di supporto completo anche nei casi di totale assenza di osso mascellare. - Protocollo Maxilla-for-All®: una soluzione integrata
JDentalCare ha sviluppato il protocollo Maxilla-for-All® proprio per affrontare situazioni estreme di edentulia e atrofia mascellare. Questo approccio sfrutta l’anatomia disponibile al di fuori dell’osso alveolare convenzionale: parete nasale, zigomo e regione pterigoidea. Gli impianti nasali, all’interno di questo schema, vengono collocati nella regione del premaxilla, dove l’osso è spesso assente nei pazienti con atrofia severa, fornendo un ancoraggio mesiale efficace. - Stabilità immediata per il carico immediato
Una delle caratteristiche più apprezzate dagli specialisti è la possibilità di carico immediato: grazie all’elevata stabilità primaria degli impianti transnasali, è possibile fissare una protesi provvisoria entro 24 ore dall’intervento. Questo riduce drasticamente i tempi di trattamento e permette al paziente di tornare rapidamente a una vita sociale e alimentare normale. - Estetica e funzionalità in pazienti complessi
Gli impianti nasali, in combinazione con altre tipologie, non solo ripristinano la funzione masticatoria, ma offrono anche eccellenti risultati estetici, grazie al posizionamento strategico che rispetta i contorni naturali del viso. Inoltre, si evita l’effetto “protesi mobile” tanto temuto da molti pazienti, migliorando l’autostima e la qualità della vita. - Riduzione dei costi e dei tempi complessivi
Evitando l’uso di innesti ossei, spesso necessari nelle tecniche convenzionali, si accorciano i tempi clinici e si contengono i costi, sia per la struttura che per il paziente. Questo rende la riabilitazione full arch con impianti nasali una soluzione economicamente vantaggiosa e tecnicamente avanzata.
Perché Scegliere Gli Impianti Nasali In Albania?
Negli ultimi anni, l’Albania è diventata una delle destinazioni più popolari per il turismo dentale, grazie all’unione tra elevati standard medici, costi accessibili e l’utilizzo delle tecniche più innovative, tra cui gli impianti nasali. Questa tecnica avanzata è oggi disponibile in diverse cliniche albanesi specializzate, dove lavorano chirurghi implantologi altamente formati, come il Dr. Roland Zhuka, noto per la sua esperienza in trattamenti complessi di riabilitazione full arch.
- Costi inferiori rispetto all’Italia o ad altri paesi UE Una delle motivazioni principali che spingono i pazienti a scegliere l’Albania è la convenienza economica. Gli impianti nasali, in particolare, rappresentano una tecnica ad alta complessità e, in Europa occidentale, i costi possono essere proibitivi. In Albania, grazie al costo della vita più basso e a politiche sanitarie competitive, i pazienti risparmiano fino al 70% rispetto a tariffe italiane o tedesche, senza compromettere la qualità del trattamento.
- Alto tasso di successo clinico Le cliniche albanesi che offrono impianti transnasali si avvalgono di strumentazione di ultima generazione, tecnologie di imaging 3D e sistemi CAD/CAM per la pianificazione precisa degli interventi. Questo garantisce risultati affidabili e duraturi, con tassi di successo comparabili alle migliori cliniche internazionali.
- Esperienza e specializzazione chirurgica Il Dr. Roland Zhuka, pioniere in Albania nell’uso degli impianti nasali, ha maturato anni di esperienza internazionale in implantologia avanzata. Il suo approccio multidisciplinare, combinato con un’elevata capacità diagnostica, permette di trattare anche i casi più complessi, come pazienti con gravi atrofie ossee e fallimenti implantari precedenti.
- Turismo dentale con servizi completi inclusi Le cliniche in Albania non offrono solo trattamenti, ma anche un’esperienza personalizzata. I pazienti ricevono supporto nella prenotazione del volo, nell’alloggio e nei trasferimenti locali. Alcuni pacchetti includono anche escursioni turistiche, permettendo di abbinare il trattamento a una vacanza rigenerante lungo la costa adriatica o tra le montagne dell’interno.
- Trattamenti rapidi e senza liste d’attesa A differenza dei sistemi sanitari di molti altri paesi europei, in Albania non ci sono liste d’attesa. I trattamenti sono organizzati in tempi brevi e ottimizzati anche per chi può restare pochi giorni. Questo rende gli impianti nasali a carico immediato una soluzione perfetta anche per chi desidera un intervento rapido ed efficace.
- Alta soddisfazione dei pazienti internazionali Testimonianze video e recensioni online confermano il livello di soddisfazione molto alto tra i pazienti stranieri. Molti di loro raccontano come, dopo anni di insicurezze o rinvii a causa dei costi elevati nel proprio paese, sono riusciti a ottenere un sorriso fisso, estetico e funzionale in Albania, grazie agli impianti transnasali.
Qual È Il Legame Tra Impianti Dentali E Sinusite?
Il rapporto tra impianti dentali e sinusite è un tema importante, soprattutto nei casi in cui si utilizzano tecniche implantari avanzate come gli impianti transnasali o trans-sinusali. La vicinanza anatomica tra l’arcata superiore e il seno mascellare rende necessario comprendere le possibili correlazioni, i rischi e le strategie per prevenirli o trattarli.
- Cos’è la sinusite odontogena e come si manifesta La sinusite odontogena è una condizione infiammatoria dei seni paranasali causata da infezioni dentali o da trattamenti odontoiatrici, come impianti mal posizionati o estrazioni complicate. Si manifesta con dolore facciale localizzato, sensazione di pressione sopra i denti superiori, secrezione nasale, alitosi, e a volte febbre. È importante riconoscere la fonte dell’infezione per trattarla in modo efficace.
- Quando un impianto può causare la sinusite Se un impianto transnasale viene posizionato troppo in profondità o se penetra nella cavità del seno mascellare senza una corretta valutazione preoperatoria, può irritare o infettare le mucose, favorendo la comparsa di sinusite. Tuttavia, non tutti gli impianti che protrudono nel seno provocano infezioni: molti pazienti rimangono asintomatici per anni. Solo in caso di sintomi persistenti si considera l’intervento correttivo.
- Importanza della diagnosi preoperatoria Prima di procedere con l’inserimento di impianti, soprattutto in presenza di atrofie, è fondamentale eseguire una TAC Cone Beam per valutare l’anatomia dei seni paranasali, la presenza di infiammazioni, cisti o varianti anatomiche (come deviazioni del setto o polipi). In presenza di patologie, il paziente deve essere trattato prima dell’intervento implantare.
- Quando consultare l’otorinolaringoiatra In caso di sospetta sinusite cronica o recidivante, è essenziale il parere di un otorino, che può valutare l’idoneità del paziente all’intervento implantare e suggerire eventuali trattamenti pre-implantologici come drenaggio o terapia farmacologica.
- Tecniche moderne per la gestione della sinusite Tra le tecniche più innovative per il trattamento della sinusite vi è la Balloon Sinuplasty, una procedura minimamente invasiva che prevede l’inserimento di un micro-palloncino nei canali ostruiti dei seni per riaprirli senza tagli o cicatrici. È particolarmente utile nei pazienti che soffrono di sinusite ma desiderano evitare interventi chirurgici invasivi prima dell’implantologia.
- Ruolo della perimplantite e del riassorbimento osseo Una perimplantite avanzata può causare una comunicazione anomala tra cavità orale e seno mascellare, detta fistola oro-antrale, che favorisce infezioni e sinusiti. Anche il riassorbimento osseo attorno all’impianto, se trascurato, può esporre il seno a contaminazioni batteriche.
- Prevenzione e follow-up post-operatorio Dopo l’inserimento di impianti in aree adiacenti ai seni nasali, è essenziale mantenere una scrupolosa igiene orale e sottoporsi a controlli regolari, soprattutto nei primi mesi. La prevenzione è la chiave per evitare infezioni e garantire il successo dell’osteointegrazione.
È Necessario Un Chirurgo Esperto Per Questa Procedura?
Quando si parla di impianti nasali o transnasali, l’esperienza e la competenza del chirurgo diventano elementi determinanti per il successo del trattamento. Questa tecnica avanzata, utilizzata soprattutto in casi di atrofia mascellare grave, richiede una padronanza chirurgica elevata, una conoscenza approfondita dell’anatomia cranio-facciale e l’uso di strumenti tecnologici di ultima generazione.
- Perché la zona nasale è così complessa La regione naso-mascellare è ricca di strutture sensibili come il seno mascellare, la cavità nasale, i turbinati e il dotto nasolacrimale. Una manovra errata può causare:
- Perforazione del seno mascellare o del setto nasale.
- Lesioni ai nervi.
- Infezioni post-operatorie.
- Perdita dell’ancoraggio implantare. Solo un chirurgo esperto è in grado di evitare questi rischi, lavorando con la massima precisione.
- L’importanza della pianificazione digitale e TAC 3D Il chirurgo esperto utilizza tecnologie avanzate come la pianificazione computer-guidata, la chirurgia assistita da software 3D e la tomografia Cone Beam (CBCT) per avere una visione completa delle strutture ossee e dei seni paranasali. Questa fase preoperatoria consente di:
- Individuare il punto esatto di inserimento.
- Calcolare angolazioni e profondità dell’impianto.
- Prevenire complicanze intraoperatorie.
- Esperienza clinica e casistiche documentate Affidarsi a un professionista con una lunga esperienza clinica documentata in impianti nasali, zigomatici e pterigoidei aumenta significativamente le probabilità di successo. I chirurghi con un’elevata casistica, come il Dr. Cesare Paoleschi o il Dr. Roland Zhuka, hanno trattato centinaia di casi complessi con successo, diventando punti di riferimento nel settore.
- Formazione continua e aggiornamento Le tecniche implantari evolvono rapidamente. Un chirurgo qualificato partecipa regolarmente a congressi, corsi su cadavere, simulazioni in realtà aumentata e training internazionali per rimanere aggiornato sui protocolli più innovativi. Solo in questo modo può proporre al paziente la soluzione meno invasiva, più sicura e più duratura.
- Supporto nel follow-up post-operatorio L’esperienza non si limita all’intervento. Un chirurgo esperto fornisce indicazioni chiare e personalizzate nel post-operatorio:
- Monitoraggio dell’osteointegrazione.
- Prevenzione della perimplantite.
- Supporto in caso di sinusite o complicanze. Questo approccio garantisce continuità di cura e tranquillità al paziente.
- Ruolo del team multidisciplinare Nei casi più complessi, l’esperienza del chirurgo si combina con la collaborazione di altri specialisti (otorinolaringoiatri, anestesisti, protesisti), garantendo una gestione multidisciplinare integrata, fondamentale per affrontare con successo le riabilitazioni con impianti nasali.
In conclusione, scegliere un chirurgo esperto per un impianto nasale non è solo una raccomandazione: è una condizione imprescindibile per il successo a lungo termine. Non si tratta solo di inserire un impianto, ma di ripristinare estetica, funzione e salute con sicurezza, precisione e competenza.
Frequently Asked Questions About Impianti Nasali

Cos’è un impianto nasale?
- Un impianto nasale, noto anche come impianto transnasale, è una soluzione implantare avanzata utilizzata nei pazienti con grave atrofia del mascellare superiore, dove l’osso frontale (premaxilla) non è sufficiente per sostenere impianti convenzionali.
- A differenza degli impianti tradizionali, che vengono inseriti verticalmente nell’osso alveolare, gli impianti nasali passano attraverso il mascellare superiore e si ancorano all’osso della parete laterale della cavità nasale, ottenendo una stabilità elevata in una zona dove il volume osseo è estremamente ridotto.
- Sono particolarmente indicati in riabilitazioni full-arch complesse, spesso in combinazione con impianti pterigoidei e zigomatici.
- Grazie alla loro lunghezza e inclinazione, riescono a sfruttare osso disponibile in regioni non utilizzabili dagli impianti convenzionali, rendendoli ideali per pazienti che altrimenti dovrebbero ricorrere a lunghi e costosi interventi di rigenerazione ossea.
Quali sono i rischi degli impianti nasali?
- Come ogni procedura chirurgica avanzata, anche gli impianti nasali comportano alcuni rischi, seppur rari in mani esperte.
- Infezioni post-operatorie: possono insorgere se non viene mantenuta un’adeguata igiene orale o se si trascurano le indicazioni post-intervento. È importante seguire la terapia antibiotica e i controlli periodici.
- Perforazione del dotto nasolacrimale o della mucosa nasale: se la procedura non viene pianificata correttamente con TAC 3D o eseguita con la giusta inclinazione.
- Sinusite odontogena: in rari casi, l’impianto può interferire con la fisiologia del seno mascellare causando infiammazione o dolore. Tuttavia, se ben posizionato, il rischio è minimo.
- Mancata osteointegrazione: l’impianto potrebbe non integrarsi perfettamente con l’osso, specialmente nei fumatori o nei pazienti con osteoporosi avanzata.
- Reiezione o instabilità meccanica: nei casi di carico eccessivo precoce o in pazienti non idonei.
In generale, gli impianti nasali hanno un elevato tasso di successo quando eseguiti da chirurghi esperti e ben pianificati. La selezione accurata del paziente e una buona compliance post-operatoria sono fondamentali per evitare complicazioni.





