Table of Contents
TogglePonti Dentali: Soluzione per la Sostituzione dei Denti Mancanti
Un ponte dentale è un dispositivo permanente che sostituisce uno o più denti mancanti o gravemente danneggiati. È composto da diverse parti fuse insieme per adattarsi allo spazio dove si trovavano i denti. I ponti dentali sono un’ottima alternativa alle protesi parziali, offrendo soluzioni pratiche ed estetiche per migliorare la funzione e l’aspetto del tuo sorriso.
Tipi di Ponti Dentali

I ponti dentali sono composti da denti artificiali chiamati pontici, che sostituiscono i denti mancanti. Questi pontici si appoggiano sui denti o sugli impianti adiacenti. Esistono quattro tipi principali di ponti dentali:
- Ponte Fisso Tradizionale:
- È il più comunemente utilizzato.
- Include una corona su entrambi i lati del pontico, che si appoggia sui denti adiacenti.
- Ponte Maryland (Adesivo):
- Utilizzato solitamente per i denti anteriori.
- Utilizza una struttura con “ali” che si attaccano alla parte posteriore dei denti adiacenti.
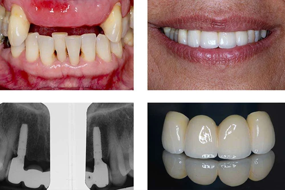
- Ponte Supportato da Impianti:
- Un impianto viene posizionato nell’osso mascellare per ogni dente mancante.
- Il ponte viene posizionato sugli impianti in una procedura successiva.
- Ponte Conservativo:
- Utilizzato quando solo un dente naturale è vicino allo spazio vuoto.
- Il pontico è collegato a una corona su un lato e a un dente naturale sull’altro.
Vantaggi dei Ponti Dentali
- Ripristinano l’aspetto naturale del sorriso.
- Migliorano la capacità di parlare e masticare.
- Prevengono lo spostamento dei denti adiacenti nello spazio vuoto.
- Mantengono la struttura del viso prevenendo la perdita ossea.
Svantaggi dei Ponti Dentali
- Il danneggiamento dei denti di supporto può compromettere il ponte.
- Il rischio di rottura se le corone non sono adeguate.
- I cambiamenti nella struttura dei denti possono influenzare l’occlusione.
- La necessità di impianti se i denti di supporto non sono abbastanza forti.
Chi è un Candidato Adatto per i Ponti Dentali?

Potresti essere un buon candidato per un ponte dentale se:
- Ti manca uno o più denti permanenti.
- Hai una buona salute generale.
- Hai denti sani e una struttura ossea forte per il supporto.
- Pratici una buona igiene orale.
Perché Scegliere un Ponte Dentale?
La perdita di un dente può causare problemi seri, come:
- Lo spostamento dei denti adiacenti e opposti.
- L’aumento del rischio di carie e malattie gengivali.
- La perdita ossea e cambiamenti nella struttura del viso.
Un ponte dentale può risolvere questi problemi e ripristinare la funzione e l’aspetto dei tuoi denti.
Come Viene Posizionato un Ponte Dentale?
- Consultazione e Pianificazione:
- Il dentista valuta la tua condizione dentale e pianifica la procedura.
- Preparazione dei Denti di Supporto:
- I denti adiacenti vengono preparati per posizionare le corone.
- Presione delle Impronte:
- Vengono prese impronte della bocca per creare un ponte su misura.
- Posizionamento del Ponte Temporaneo:
- Un ponte temporaneo viene posizionato mentre si prepara quello definitivo.
- Posizionamento del Ponte Definitivo:
- Il ponte definitivo viene posizionato e regolato per garantire adattamento e comfort.
Perché Scegliere la Nostra Clinica?
Nella nostra clinica, offriamo ponti dentali di alta qualità, personalizzati per le esigenze di ogni paziente. I nostri specialisti sono dedicati a garantire che ogni ponte sia comodo, funzionale ed estetico.
Non perdere tempo! Prenota una consulenza con i nostri medici oggi per discutere le tue opzioni per la sostituzione dei denti mancanti.
Ti diamo il benvenuto!





