Table of Contents
ToggleEstrazione dei Denti: Quando e Perché è Necessaria
Anche se i denti permanenti sono progettati per durare tutta la vita, ci sono situazioni in cui l’estrazione di un dente diventa necessaria. Questo può accadere a causa di danni gravi, infezioni o altri problemi di salute.
Motivi Comuni per l’Estrazione dei Denti

- Danno Grave:
- Quando un dente è molto danneggiato o fratturato e non può essere riparato con un’otturazione o una corona.
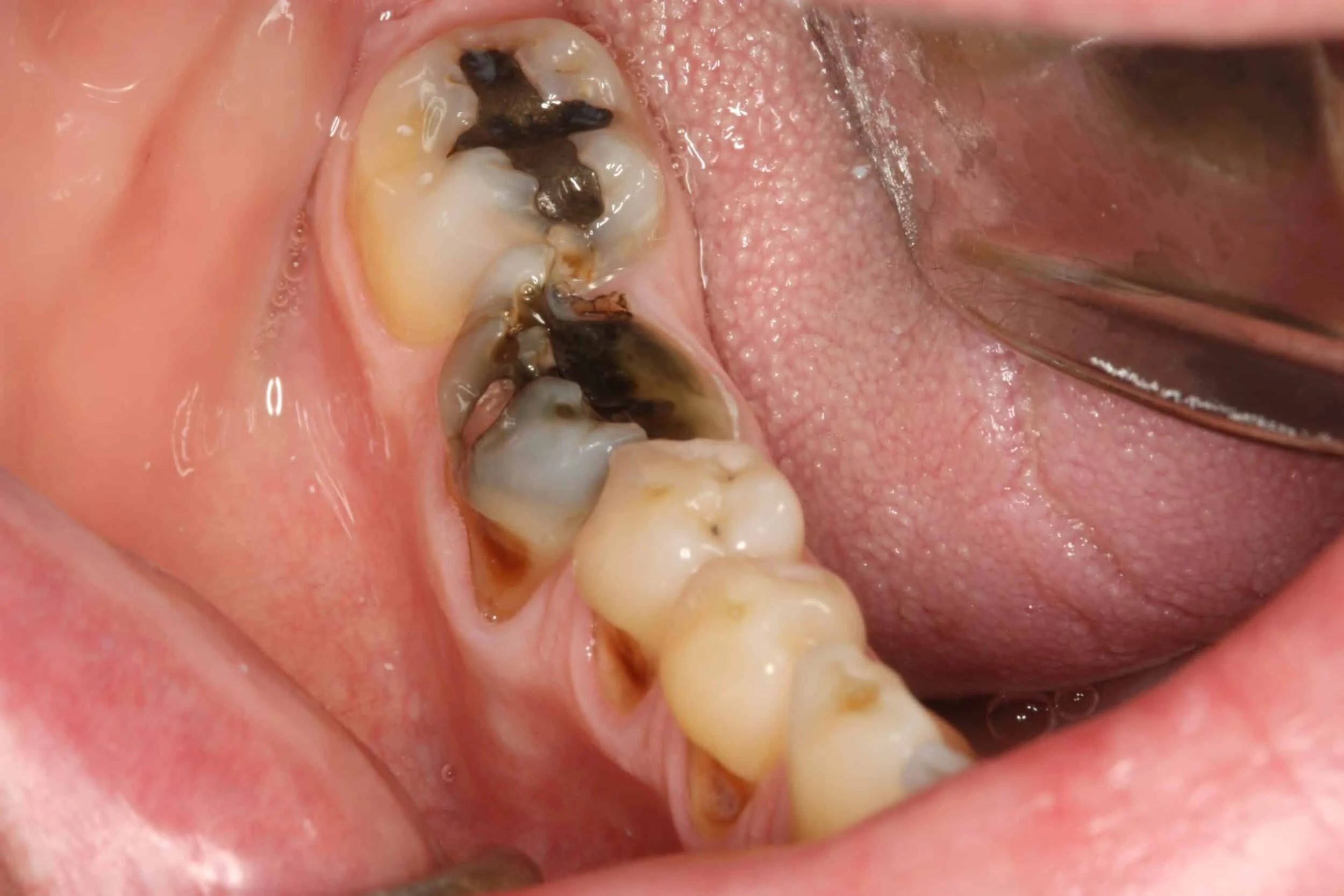
- Carie Profonda:
- Se la carie ha raggiunto la polpa del dente e l’infezione non può essere trattata con una terapia canalare.
- Malattia Parodontale:
- Infezioni gravi delle gengive possono causare la mobilità dei denti, rendendo necessaria l’estrazione.
- Denti Sovraffollati:
- A volte, denti extra o denti che non hanno spazio nella bocca devono essere rimossi per consentire un corretto allineamento (ortodonzia).
- Rischio di Infezione:
- Pazienti con sistemi immunitari deboli (ad esempio, dopo un trapianto o chemioterapia) potrebbero aver bisogno di rimuovere i denti per prevenire infezioni.
Come Viene Eseguita l’Estrazione dei Denti?
- Anestesia:
- Il dentista applica un’anestesia locale per intorpidire l’area intorno al dente. In alcuni casi, può essere utilizzata un’anestesia generale.
- Estrazione del Dente:
- Per i denti semplici, il dentista utilizza una pinza per allentare e rimuovere il dente. Per i denti più complessi, potrebbe essere necessario rimuoverlo a pezzi.
- Chiusura del Sito di Estrazione:
- Dopo l’estrazione, si forma un coagulo di sangue nella cavità. Il dentista posiziona una garza per fermare il sanguinamento e potrebbe suturare i bordi della gengiva se necessario.
Cosa Aspettarsi Dopo l’Estrazione del Dente
- Dolore e Gonfiore: È normale provare dolore e avere gonfiore per alcuni giorni.
- Cure Post-Operatorie:
- Mordere la garza per fermare il sanguinamento.
- Applicare ghiaccio per ridurre il gonfiore.
- Mangiare cibi morbidi ed evitare di sputare con forza.
- Non fumare o usare dispositivi che potrebbero irritare l’area.
- Guarigione: La guarigione di solito richiede 1-2 settimane. Nuovi tessuti ossei e gengivali cresceranno nel sito di estrazione.
Quando Contattare il Dentista?
Se noti uno dei seguenti segni, contatta immediatamente il tuo dentista:
- Sanguinamento persistente per più di 4 ore.
- Febbre, brividi o segni di infezione.
- Dolore intenso che non si allevia con i farmaci.
- Nausea, vomito o gonfiore eccessivo.
Cure Dopo l’Estrazione del Dente

- Igiene: Continua a lavare i denti e la lingua, ma evita l’area dell’estrazione.
- Dieta: Mangia cibi morbidi ed evita cibi duri fino a completa guarigione.
- Riposo: Limita le attività fisiche per almeno 24 ore dopo l’estrazione.
Sostituzione del Dente Estratto
La mancanza di un dente può causare lo spostamento degli altri denti e problemi di masticazione. Il tuo dentista potrebbe raccomandare la sostituzione del dente con:
- Un impianto dentale.
- Un ponte dentale.
- Una protesi.
Perché Scegliere la Nostra Clinica?
Nella nostra clinica, offriamo estrazioni sicure e poco dolorose, oltre a cure post-operatorie complete. I nostri specialisti sono attenti in ogni fase per garantire che ogni paziente abbia un’esperienza confortevole e di successo.
Non lasciare un dente danneggiato senza trattamento! Prenota una consulenza con i nostri medici oggi per discutere le tue opzioni.
Ti diamo il benvenuto!





