Table of Contents
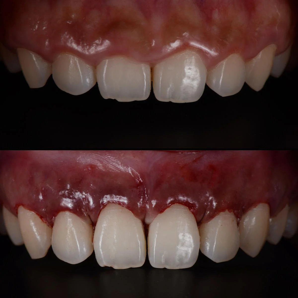
ToggleSollevamento o innalzamento delle gengive (noto anche come gengivectomia)

Il sollevamento o innalzamento delle gengive (noto anche come gengivectomia) è una procedura dentale cosmetica che solleva e rimodella la linea delle gengive. Questa procedura prevede il rimodellamento dei tessuti e/o delle ossa sottostanti per creare un aspetto dei denti più lungo o più simmetrico, rendendo così il sorriso più piacevole dal punto di vista estetico.
Le linee delle gengive variano da persona a persona. Alcune sono alte, altre basse, alcune irregolari, mentre altre sono intermedie. Ma ora hai la soluzione se desideri cambiare il tuo sorriso.
Se non sei soddisfatto dell’aspetto delle tue gengive, ci sono modi per cambiarlo. Il contorno delle gengive, noto anche come scultura delle gengive o gengivoplastica, è una delle opzioni che può aiutare a rimodellare la linea delle tue gengive.
Il sollevamento e la scultura delle gengive non vengono eseguiti solo per scopi estetici. Questa procedura viene eseguita anche quando ci sono problemi con le gengive e i denti. Quindi, questo intervento non è solo per l’aspetto, ma anche per la tua salute orale.
Questa informazione ti aiuterà a capire cos’è il contorno delle gengive, quando viene eseguito e come funziona il processo di recupero.
Cos’è il contorno delle gengive?
Il contorno delle gengive è una procedura eseguita da uno specialista dentale, in questo caso dai nostri medici specializzati, che rimodella o rivitalizza la linea delle gengive.
Il processo di contorno prevede il taglio o la rimozione del tessuto gengivale in eccesso intorno ai denti. Se hai una recessione gengivale, la procedura prevede il ripristino del tessuto gengivale.
In molti casi, il contorno delle gengive è una procedura opzionale, il che significa che non è necessaria dal punto di vista medico. Invece, viene eseguito per migliorare l’aspetto delle gengive, dei denti o del sorriso.
Tuttavia, ci sono casi in cui il tuo dentista potrebbe raccomandare il contorno delle gengive per motivi di salute orale.
Quando è necessario il contorno delle gengive?
Spesso, il contorno delle gengive viene eseguito per scopi cosmetici. Ma ci sono casi in cui potrebbe essere una necessità medica.
Se hai una malattia parodontale, il contorno delle gengive potrebbe essere un’opzione di trattamento. Il tuo dentista inizialmente cercherà di trattare la malattia con metodi non chirurgici, come antibiotici per combattere l’infezione o pulizie profonde per ripristinare la salute delle gengive.
Se questi metodi non danno risultati, il tuo dentista potrebbe raccomandare un trattamento chirurgico, come l’intervento per ridurre la tasca gengivale e l’osso circostante, o una procedura di rigenerazione per ripristinare l’osso danneggiato e il tessuto gengivale.
Cosa comporta il contorno delle gengive?
Il contorno delle gengive viene solitamente eseguito da un parodontologo o da un dentista estetico. È una procedura semplice che viene eseguita in clinica e di solito si conclude in una visita.
Nella maggior parte dei casi, sarai sveglio durante la procedura. Prima che inizi, riceverai un’anestesia locale per intorpidire l’area delle gengive.
Durante la procedura, il medico utilizzerà un laser per i tessuti molli o un bisturi per rimuovere il tessuto gengivale in eccesso e regolare la linea delle gengive, esponendo più dente. In alcuni casi, potrebbero essere utilizzate suture per mantenere il tessuto gengivale in posizione.
Se le gengive si sono ritirate e la procedura prevede l’aggiunta di tessuto, il medico preleverà tessuto da un’altra parte della bocca (ad esempio, il palato) e lo posizionerà intorno ai denti per ristrutturare la linea delle gengive.
La durata della procedura dipende dall’estensione del contorno e dalla quantità di scultura necessaria. In generale, il contorno delle gengive dura da 1 a 2 ore.
Il contorno delle gengive è doloroso?

Ti verrà somministrata un’anestesia locale prima che inizi la procedura, quindi non sentirai dolore durante l’intervento. Tuttavia, dopo la procedura, potresti avvertire un po’ di sensibilità o intorpidimento nell’area trattata.
Quanto dura il recupero?
Il recupero è solitamente rapido. La maggior parte dei pazienti torna alle proprie attività normali entro un giorno o due. Tuttavia, potrebbe essere consigliabile evitare cibi duri o quelli che potrebbero irritare l’area trattata per alcuni giorni.
Sono necessari controlli dopo il trattamento?
Sì, è importante avere controlli dopo il trattamento per monitorare la salute delle gengive e assicurarsi che la procedura abbia dato i risultati desiderati.
Quanto costa il contorno delle gengive?
Il costo del contorno delle gengive varia a seconda della quantità di lavoro necessaria e della complessità del caso. Per una valutazione accurata, ti preghiamo di contattare la nostra clinica.
Conclusione
Il contorno delle gengive, noto anche come scultura delle gengive, è un processo che prevede il rimodellamento della linea delle gengive. Spesso viene utilizzato per migliorare l’aspetto estetico del sorriso, ma può essere necessario anche per motivi di salute orale, in particolare nei casi di malattie parodontali.
La procedura è semplice e di solito dura da 1 a 2 ore. Se hai domande o desideri fare una consultazione, non esitare a contattarci.
Ti diamo il benvenuto nella nostra clinica!





